Sign in
Sign up
home
>
HUABIO
> HUABIO CD45 antibody
CD45
HUABIO
catalog: ER1901-29
domestic rabbit polyclonal
reactivity:
human
application:
western blot
,
flow cytometry
,
immunohistochemistry - paraffin section
Western blot analysis of CD45 on Jurkat cell lysate. Proteins were transferred to a PVDF membrane and blocked with 5% BSA in PBS for 1 hour at room temperature. The primary antibody (ER1901-29, 1/1000) was used in 5% BSA at room temperature for 2 hours. Goat Anti-Rabbit IgG - HRP Secondary Antibody (HA1001) at 1:5,000 dilution was used for 1 hour at room temperature.
Immunohistochemical analysis of paraffin-embedded human tonsil tissue using anti-CD45 antibody. The section was pre-treated using heat mediated antigen retrieval with Tris-EDTA buffer (pH 8.0-8.4) for 20 minutes.The tissues were blocked in 5% BSA for 30 minutes at room temperature, washed with ddH2O and PBS, and then probed with the primary antibody (ER1901-29, 1/50) for 30 minutes at room temperature. The detection was performed using an HRP conjugated compact polymer system. DAB was used as the chromogen. Tissues were counterstained with hematoxylin and mounted with DPX.
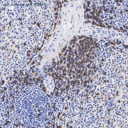
Immunohistochemical analysis of paraffin-embedded human spleen tissue using anti-CD45 antibody. The section was pre-treated using heat mediated antigen retrieval with Tris-EDTA buffer (pH 8.0-8.4) for 20 minutes.The tissues were blocked in 5% BSA for 30 minutes at room temperature, washed with ddH2O and PBS, and then probed with the primary antibody (ER1901-29, 1/50) for 30 minutes at room temperature. The detection was performed using an HRP conjugated compact polymer system. DAB was used as the chromogen. Tissues were counterstained with hematoxylin and mounted with DPX.
quantity: 100μl
price: 330 USD
to the supplier
CD45
HUABIO
catalog: ER1902-02
domestic rabbit polyclonal
reactivity:
human
application:
western blot
,
flow cytometry
Western blot analysis of CD45 on U937 cell lysates using anti-CD45 antibody. Lane 1: Anti-CD45 Antibody (1/500). Lane 2: Anti-CD45 Antibody, pre-incubated with the immunizaiton peptide.
Western blot analysis of CD45 on Jurkat cell lysates using anti-CD45 antibody. Lane 1: Anti-CD45 Antibody (1/500). Lane 2: Anti-CD45 Antibody, pre-incubated with the immunizaiton peptide.
Flow cytometric analysis of CD45 was done on Jurkat cells. The cells were fixed, permeabilized and stained with the primary antibody (ER1902-02, 1/50) (red). After incubation of the primary antibody at room temperature for an hour, the cells were stained with a Alexa Fluor 488-conjugated Goat anti-Rabbit IgG Secondary antibody at 1/1000 dilution for 30 minutes.Unlabelled sample was used as a control (cells without incubation with primary antibody; black).
quantity: 100μl
price: 330 USD
to the supplier
CD45
HUABIO
catalog: ET7111-03
domestic rabbit monoclonal (JE03-05)
reactivity:
human
application:
western blot
,
flow cytometry
,
immunohistochemistry - paraffin section
Fluorescence multiplex immunohistochemical analysis of Human tonsil (Formalin/PFA-fixed paraffin-embedded sections). Panel A: the merged image of anti-CD68 (HA601115, Red), anti-CD38 (HA721268, Green), anti-CD23 (HA721139, White), anti-CD11C (ET1606-19, Cyan), anti-CD45 (ET7111-03, Magenta) and anti-CD20 (HA721138, Yellow) on tonsil. Panel B: anti-CD68 stained on Macrophage. Panel C: anti-CD38 stained on lymphocyte subsets. Panel D: anti-CD11C stained on dendritic cells. Panel E: CD45 stained on lymphocytes. Panel F: anti-CD20 stained on B cells. Panel G: anti-CD23 stained on follicular dendritic cells. HRP Conjugated UltraPolymer Goat Polyclonal Antibody HA1119/HA1120 was used as a secondary antibody. The immunostaining was performed with the Sequential Immuno-staining Kit (IRISKit™MH010101, www.luminiris.cn). The section was incubated in six rounds of staining: in the order of HA601115 (1/2,000 dilution), HA721268 (1/1,000 dilution), ET1606-19 (1/1,000 dilution), ET7111-03 (1/500 dilution), HA721138 (1/2,000 dilution) and HA721139 (1/800 dilution) for 20 mins at room temperature. Each round was followed by a separate fluorescent tyramide signal amplification system. Heat mediated antigen retrieval with Tris-EDTA buffer (pH 9.0) for 30 mins at 95℃. DAPI (blue) was used as a nuclear counter stain. Image acquisition was performed with Olympus VS200 Slide Scanner.
Fluorescence multiplex immunohistochemical analysis of Human tonsil (Formalin/PFA-fixed paraffin-embedded sections). Panel A: the merged image of anti-BCL6 (HA601083, Red), anti-HLA-DPB1 (ET1704-13, Green), anti-Tryptase (ET1610-64, White), anti-CD20 (HA721138, Magenta) and anti-CD45 (ET7111-03, Yellow) on tonsil. HRP Conjugated UltraPolymer Goat Polyclonal Antibody HA1119/HA1120 was used as a secondary antibody. The immunostaining was performed with the Sequential Immuno-staining Kit (IRISKit™MH010101, www.luminiris.cn). The section was incubated in five rounds of staining: in the order of HA601083 (1/200 dilution), ET1704-13 (1/2,000 dilution), ET1610-64 (1/5,000 dilution), HA721138 (1/2,000 dilution) and ET7111-03 (1/500 dilution) for 20 mins at room temperature. Each round was followed by a separate fluorescent tyramide signal amplification system. Heat mediated antigen retrieval with Tris-EDTA buffer (pH 9.0) for 30 mins at 95℃. DAPI (blue) was used as a nuclear counter stain. Image acquisition was performed with Olympus VS200 Slide Scanner.
Fluorescence multiplex immunohistochemical analysis of human tonsil (Formalin/PFA-fixed paraffin-embedded sections). Panel A: the merged image of anti-CD45 (ET7111-03, Yellow), anti-CD15 (HA721246, Green) and anti-CD11c (ET1606-19, Red) on tonsil. HRP Conjugated UltraPolymer Goat Polyclonal Antibody HA1119/HA1120 was used as a secondary antibody. The immunostaining was performed with the Sequential Immuno-staining Kit (IRISKit™MH010101, www.luminiris.cn). The section was incubated in three rounds of staining: in the order of ET7111-03 (1/500 dilution), HA721246 (1/500 dilution) and ET1606-19 (1/1,000 dilution) for 20 mins at room temperature. Each round was followed by a separate fluorescent tyramide signal amplification system. Heat mediated antigen retrieval with Tris-EDTA buffer (pH 9.0) for 30 mins at 95℃. DAPI (blue) was used as a nuclear counter stain. Image acquisition was performed with Zeiss Observer 7 Inverted Fluorescence Microscope.
quantity: 100μl
price: 385.00 USD
to the supplier
Human CD45
HUABIO
catalog: HA600109F
mouse monoclonal (PSH03-64)
reactivity:
human
application:
flow cytometry
Flow cytometric analysis of human PBMC labeling Human CD45. Cells were washed twice with cold PBS and resuspend. Then incubated for 1 hour at +4℃ with Human CD45 (HA600109F, red, 1μg/mL). Unlabelled sample was used as a control (cells without incubation with primary antibody; black).
quantity: 100T
price: 394.00 USD
to the supplier
Human CD45
HUABIO
catalog: HA600112F
mouse monoclonal (PSH03-64)
reactivity:
human
conjugate: FITC
application:
flow cytometry
Flow cytometric analysis of Raji cells labeling Human CD45. Cells were washed twice with cold PBS and resuspend. Then incubated for 1 hour at +4℃ with Human CD45 (HA600112F, red, 1μg/mL). Unlabelled sample was used as a control (cells without incubation with primary antibody; black).
quantity: 100μl
price: 394.00 USD
to the supplier
Human CD45
HUABIO
catalog: HA600125F
mouse monoclonal (PSH03-64)
reactivity:
human
conjugate: FITC
application:
flow cytometry
Flow cytometric analysis of human peripheral blood cells labelling Human CD45 (HA600125F, FITC).
quantity: 100μl
price: 394.00 USD
to the supplier
Human CD45
HUABIO
catalog: HA600126F
mouse monoclonal (PSH03-64)
reactivity:
human
conjugate: PE
application:
flow cytometry
Flow cytometric analysis of human peripheral blood cells labelling Human CD45 (HA600126F, PE).
quantity: 100μl
price: 360.00 USD
to the supplier
Human CD45
HUABIO
catalog: HA600127F
mouse monoclonal (PSH03-64)
reactivity:
human
conjugate: APC
application:
flow cytometry
Flow cytometric analysis of human peripheral blood cells labelling Human CD45 (HA600127F, APC).
Flow cytometric analysis of human peripheral blood cells labeling Human CD45. Cells were washed twice with cold PBS and resuspend. Then incubated for 1 hour at +4℃ with Human CD45 (HA600127F, red, 1μg/mL). Unlabelled sample was used as a control (cells without incubation with primary antibody; black).
quantity: 100μl
price: 360.00 USD
to the supplier
Human CD45
HUABIO
catalog: HA600128F
mouse monoclonal (PSH03-64)
reactivity:
human
conjugate: PerCP/Cy5.5
application:
flow cytometry
Flow cytometric analysis of human peripheral blood cells labelling Human CD45 (HA600128F, Percp-Cy5.5).
quantity: 100μl
price: 360.00 USD
to the supplier
Human CD45RA
HUABIO
catalog: HA600131F
mouse monoclonal (PSH04-97)
reactivity:
human
conjugate: FITC
application:
flow cytometry
Flow cytometric analysis of human peripheral blood cells labelling Human CD45RA (HA600131F, FITC). Cells were washed twice with cold PBS and resuspend. Then incubated for 1 hour at +4℃ with Human CD45RA (HA600131F, FITC, 1μg/mL) compared with Mouse IgG1 Isotype Control (FITC, 1μg/mL).
quantity: 100μl
price: 394.00 USD
to the supplier
Human CD45
HUABIO
catalog: HA601285
mouse monoclonal (PSH03-64)
reactivity:
human
application:
flow cytometry
Immunocytochemistry analysis of Raji cells labeling Human CD45 with Mouse anti-Human CD45 antibody (HA601285) at 1/100 dilution. Cells were fixed in 4% paraformaldehyde for 20 minutes at room temperature, permeabilized with 0.1% Triton X-100 in PBS for 5 minutes at room temperature, then blocked with 1% BSA in 10% negative goat serum for 1 hour at room temperature. Cells were then incubated with Mouse anti-Human CD45 antibody (HA601285) at 1/100 dilution in 1% BSA in PBST overnight at 4 ℃. Goat Anti-Mouse IgG H&L (iFluor™ 488, HA1125) was used as the secondary antibody at 1/1,000 dilution. PBS instead of the primary antibody was used as the secondary antibody only control. Nuclear DNA was labelled in blue with DAPI. beta Tubulin (ET1602-4, red) was stained at 1/100 dilution overnight at +4℃. Goat Anti-Rabbit IgG H&L (iFluor™ 594, HA1122) were used as the secondary antibody at 1/1,000 dilution.
Flow cytometric analysis of human PBMC labeling Human CD45. Cells were washed twice with cold PBS and resuspend. Then stained with the primary antibody (HA601285, 1μg/mL) (red). After incubation of the primary antibody at +4℃ for 30 minutes, the cells were stained with a iFluor™ 488 conjugate-Goat anti-Mouse IgG Secondary antibody (HA1125) at 1/1,000 dilution for 30 minutes at +4℃. Unlabelled sample was used as a control (cells without incubation with primary antibody; black).
quantity: 100μl
price: 360.00 USD
to the supplier
Human CD45RA
HUABIO
catalog: HA601341
mouse monoclonal (PSH04-97)
reactivity:
human
application:
flow cytometry
,
immunohistochemistry - paraffin section
Flow cytometric analysis of human peripheral blood lymphocytes labeling Human CD45RA. Cells were washed twice with cold PBS and resuspend. Then stained with the primary antibody (HA601341, 1μg/mL) (red). After incubation of the primary antibody at +4℃ for an hour, the cells were stained with a iFluor™ 488 conjugate-Goat anti-Mouse IgG Secondary antibody (HA1125) at 1/1,000 dilution for 30 minutes at +4℃. Unlabelled sample was used as a control (cells without incubation with primary antibody; blue).
Immunocytochemistry analysis of Jurkat cells labeling Human CD45RA with Mouse anti-Human CD45RA antibody (HA601341) at 1/100 dilution. Cells were fixed in 4% paraformaldehyde for 15 minutes at room temperature, permeabilized with 0.1% Triton X-100 in PBS for 15 minutes at room temperature, then blocked with 1% BSA in 10% negative goat serum for 1 hour at room temperature. Cells were then incubated with Mouse anti-Human CD45RA antibody (HA601341) at 1/100 dilution in 1% BSA in PBST overnight at 4 ℃. Goat Anti-Mouse IgG H&L (iFluor™ 488, HA1125) was used as the secondary antibody at 1/1,000 dilution. PBS instead of the primary antibody was used as the secondary antibody only control. Nuclear DNA was labelled in blue with DAPI. beta Tubulin (ET1602-4, red) was stained at 1/100 dilution overnight at +4℃. Goat Anti-Rabbit IgG H&L (iFluor™ 594, HA1122) were used as the secondary antibody at 1/1,000 dilution.
Immunocytochemistry analysis of Raji cells labeling Human CD45RA with Rabbit anti-Human CD45RA antibody (HA601341) at 1/500 dilution. Cells were fixed in 4% paraformaldehyde for 15 minutes at room temperature, permeabilized with 0.1% Triton X-100 in PBS for 15 minutes at room temperature, then blocked with 1% BSA in 10% negative goat serum for 1 hour at room temperature. Cells were then incubated with Rabbit anti-Human CD45RA antibody (HA601341) at 1/500 dilution in 1% BSA in PBST overnight at 4 ℃. Goat Anti-Rabbit IgG H&L (iFluor™ 488, HA1121) was used as the secondary antibody at 1/1,000 dilution. PBS instead of the primary antibody was used as the secondary antibody only control. Nuclear DNA was labelled in blue with DAPI. Beta tubulin (HA601187, red) was stained at 1/100 dilution overnight at +4℃. Goat Anti-Mouse IgG H&L (iFluor™ 594, HA1126) was used as the secondary antibody at 1/1,000 dilution.
quantity: 100μl
price: 360.00 USD
to the supplier
CD45RO
HUABIO
catalog: HA601441
mouse monoclonal (PSH13-94)
reactivity:
human
application:
flow cytometry
,
immunohistochemistry - paraffin section
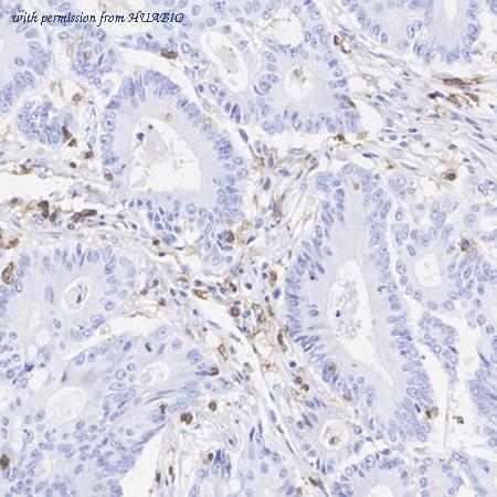
Immunohistochemical analysis of paraffin-embedded human colon cancer tissue with Mouse anti-CD45RO antibody (HA601441) at 1/10,000 dilution. The section was pre-treated using heat mediated antigen retrieval with Tris-EDTA buffer (pH 9.0) for 20 minutes. The tissues were blocked in 1% BSA for 20 minutes at room temperature, washed with ddH2O and PBS, and then probed with the primary antibody (HA601441) at 1/10,000 dilution for 1 hour at room temperature. The detection was performed using an HRP conjugated compact polymer system. DAB was used as the chromogen. Tissues were counterstained with hematoxylin and mounted with DPX.
Immunohistochemical analysis of paraffin-embedded human liver tissue with Mouse anti-CD45RO antibody (HA601441) at 1/10,000 dilution. The section was pre-treated using heat mediated antigen retrieval with Tris-EDTA buffer (pH 9.0) for 20 minutes. The tissues were blocked in 1% BSA for 20 minutes at room temperature, washed with ddH2O and PBS, and then probed with the primary antibody (HA601441) at 1/10,000 dilution for 1 hour at room temperature. The detection was performed using an HRP conjugated compact polymer system. DAB was used as the chromogen. Tissues were counterstained with hematoxylin and mounted with DPX.
Immunohistochemical analysis of paraffin-embedded human spleen tissue with Mouse anti-CD45RO antibody (HA601441) at 1/10,000 dilution. The section was pre-treated using heat mediated antigen retrieval with Tris-EDTA buffer (pH 9.0) for 20 minutes. The tissues were blocked in 1% BSA for 20 minutes at room temperature, washed with ddH2O and PBS, and then probed with the primary antibody (HA601441) at 1/10,000 dilution for 1 hour at room temperature. The detection was performed using an HRP conjugated compact polymer system. DAB was used as the chromogen. Tissues were counterstained with hematoxylin and mounted with DPX.
quantity: 100μl
price: 360.00 USD
to the supplier
Human CD45RA
HUABIO
catalog: HA601525F
mouse monoclonal (PSH04-97)
reactivity:
human
conjugate: PE
application:
flow cytometry
Flow cytometric analysis of human peripheral blood cells labeling Human CD45RA (HA601525F, PE). Cells were washed twice with cold PBS and resuspend. Then incubated for 1 hour at +4℃ with Human CD45RA (HA601525F, PE, 1/1,000) (red). Unlabelled sample was used as a control (cells without incubation with primary antibody; black).
quantity: 100T
price: 89.00 USD
to the supplier
CD45RO
HUABIO
catalog: HA601531F
mouse monoclonal (PSH13-94)
reactivity:
human
conjugate: PE
application:
flow cytometry
Flow cytometric analysis of human peripheral blood cells labeling CD45RO (HA601531F, PE). Cells were washed twice with cold PBS and resuspend. Then incubated for 1 hour at +4℃ with CD45RO (HA601531F, PE, 1/1,000) (red). Unlabelled sample was used as a control (cells without incubation with primary antibody; black).
quantity: 100T
price: 99.00 USD
to the supplier
Human CD45
HUABIO
catalog: HA610158
mouse monoclonal (PSH03-64)
reactivity:
human
application:
flow cytometry
Immunocytochemistry analysis of Raji cells labeling Human CD45 with Mouse anti-Human CD45 antibody (HA610158) at 1/100 dilution. Cells were fixed in 4% paraformaldehyde for 20 minutes at room temperature, permeabilized with 0.1% Triton X-100 in PBS for 5 minutes at room temperature, then blocked with 1% BSA in 10% negative goat serum for 1 hour at room temperature. Cells were then incubated with Mouse anti-Human CD45 antibody (HA610158) at 1/100 dilution in 1% BSA in PBST overnight at 4 ℃. Goat Anti-Mouse IgG H&L (iFluor™ 488, HA1125) was used as the secondary antibody at 1/1,000 dilution. PBS instead of the primary antibody was used as the secondary antibody only control. Nuclear DNA was labelled in blue with DAPI. beta Tubulin (ET1602-4, red) was stained at 1/100 dilution overnight at +4℃. Goat Anti-Rabbit IgG H&L (iFluor™ 594, HA1122) were used as the secondary antibody at 1/1,000 dilution.
Flow cytometric analysis of human PBMC labeling Human CD45. Cells were washed twice with cold PBS and resuspend. Then stained with the primary antibody (HA610158, 1μg/mL) (red). After incubation of the primary antibody at +4℃ for 30 minutes, the cells were stained with a iFluor™ 488 conjugate-Goat anti-Mouse IgG Secondary antibody (HA1125) at 1/1,000 dilution for 30 minutes at +4℃. Unlabelled sample was used as a control (cells without incubation with primary antibody; black).
quantity: 100μg
price: 649.00 USD
to the supplier
CD45
HUABIO
catalog: HA723606
domestic rabbit polyclonal (PSH14-19)
reactivity:
human
,
mouse
application:
western blot
,
immunohistochemistry - paraffin section
Western blot analysis of CD45 on different lysates with Rabbit anti-CD45 antibody (HA723606) at 1/5,000 dilution. Lane 1: Jurkat cell lysate Lane 2: MCF7 cell lysate (negative) Lane 3: Raji cell lysate Lane 4: A20 cell lysate Lane 5: C2C12 cell lysate (negative) Lane 6: RAW234.7 cell lysate Lysates/proteins at 20 µg/Lane. Predicted band size: 145 kDa Observed band size: 250 kDa Exposure time: 20 seconds; ECL: K1801; 4-20% SDS-PAGE gel. Proteins were transferred to a PVDF membrane and blocked with 5% NFDM/TBST for 1 hour at room temperature. The primary antibody (HA723606) at 1/5,000 dilution was used in primary antibody dilution (K1803) at 4℃ overnight. Goat Anti-Rabbit IgG - HRP Secondary Antibody (HA1001) at 1/50,000 dilution was used for 1 hour at room temperature.
Immunocytochemistry analysis of Jurkat cells labeling CD45 with Rabbit anti-CD45 antibody (HA723606) at 1/500 dilution. Cells were fixed in 4% paraformaldehyde for 15 minutes at room temperature, permeabilized with 0.1% Triton X-100 in PBS for 15 minutes at room temperature, then blocked with 1% BSA in 10% negative goat serum for 1 hour at room temperature. Cells were then incubated with Rabbit anti-CD45 antibody (HA723606) at 1/500 dilution in 1% BSA in PBST overnight at 4 ℃. Goat Anti-Rabbit IgG H&L (iFluor™ 488, HA1121) was used as the secondary antibody at 1/1,000 dilution. PBS instead of the primary antibody was used as the secondary antibody only control. Nuclear DNA was labelled in blue with DAPI. Beta tubulin (HA601187, red) was stained at 1/100 dilution overnight at +4℃. Goat Anti-Mouse IgG H&L (iFluor™ 594, HA1126) was used as the secondary antibody at 1/1,000 dilution.
Immunocytochemistry analysis of RAW264.7 cells labeling CD45 with Rabbit anti-CD45 antibody (HA723606) at 1/1,000 dilution. Cells were fixed in 4% paraformaldehyde for 15 minutes at room temperature, permeabilized with 0.1% Triton X-100 in PBS for 15 minutes at room temperature, then blocked with 1% BSA in 10% negative goat serum for 1 hour at room temperature. Cells were then incubated with Rabbit anti-CD45 antibody (HA723606) at 1/1,000 dilution in 1% BSA in PBST overnight at 4 ℃. Goat Anti-Rabbit IgG H&L (iFluor™ 488, HA1121) was used as the secondary antibody at 1/1,000 dilution. PBS instead of the primary antibody was used as the secondary antibody only control. Nuclear DNA was labelled in blue with DAPI. Beta tubulin (HA601187, red) was stained at 1/100 dilution overnight at +4℃. Goat Anti-Mouse IgG H&L (iFluor™ 594, HA1126) was used as the secondary antibody at 1/1,000 dilution.
quantity: 100μl
price: 385.00 USD
to the supplier
CD45
HUABIO
catalog: HA751510
domestic rabbit polyclonal (PSH14-19)
reactivity:
human
,
mouse
application:
western blot
,
immunohistochemistry - paraffin section
Western blot analysis of CD45 on different lysates with Rabbit anti-CD45 antibody (HA751510) at 1/5,000 dilution. Lane 1: Jurkat cell lysate Lane 2: MCF7 cell lysate (negative) Lane 3: Raji cell lysate Lane 4: A20 cell lysate Lane 5: C2C12 cell lysate (negative) Lane 6: RAW234.7 cell lysate Lysates/proteins at 20 µg/Lane. Predicted band size: 145 kDa Observed band size: 250 kDa Exposure time: 20 seconds; ECL: K1801; 4-20% SDS-PAGE gel. Proteins were transferred to a PVDF membrane and blocked with 5% NFDM/TBST for 1 hour at room temperature. The primary antibody (HA751510) at 1/5,000 dilution was used in primary antibody dilution (K1803) at 4℃ overnight. Goat Anti-Rabbit IgG - HRP Secondary Antibody (HA1001) at 1/50,000 dilution was used for 1 hour at room temperature.
Immunocytochemistry analysis of Jurkat cells labeling CD45 with Rabbit anti-CD45 antibody (HA751510) at 1/500 dilution. Cells were fixed in 4% paraformaldehyde for 15 minutes at room temperature, permeabilized with 0.1% Triton X-100 in PBS for 15 minutes at room temperature, then blocked with 1% BSA in 10% negative goat serum for 1 hour at room temperature. Cells were then incubated with Rabbit anti-CD45 antibody (HA751510) at 1/500 dilution in 1% BSA in PBST overnight at 4 ℃. Goat Anti-Rabbit IgG H&L (iFluor™ 488, HA1121) was used as the secondary antibody at 1/1,000 dilution. PBS instead of the primary antibody was used as the secondary antibody only control. Nuclear DNA was labelled in blue with DAPI. Beta tubulin (HA601187, red) was stained at 1/100 dilution overnight at +4℃. Goat Anti-Mouse IgG H&L (iFluor™ 594, HA1126) was used as the secondary antibody at 1/1,000 dilution.
Immunocytochemistry analysis of RAW264.7 cells labeling CD45 with Rabbit anti-CD45 antibody (HA751510) at 1/1,000 dilution. Cells were fixed in 4% paraformaldehyde for 15 minutes at room temperature, permeabilized with 0.1% Triton X-100 in PBS for 15 minutes at room temperature, then blocked with 1% BSA in 10% negative goat serum for 1 hour at room temperature. Cells were then incubated with Rabbit anti-CD45 antibody (HA751510) at 1/1,000 dilution in 1% BSA in PBST overnight at 4 ℃. Goat Anti-Rabbit IgG H&L (iFluor™ 488, HA1121) was used as the secondary antibody at 1/1,000 dilution. PBS instead of the primary antibody was used as the secondary antibody only control. Nuclear DNA was labelled in blue with DAPI. Beta tubulin (HA601187, red) was stained at 1/100 dilution overnight at +4℃. Goat Anti-Mouse IgG H&L (iFluor™ 594, HA1126) was used as the secondary antibody at 1/1,000 dilution.
quantity: 100μl
price: 649.00 USD
to the supplier
CD45
HUABIO
catalog: IRS025
domestic rabbit monoclonal
reactivity:
human
mIHC analysis of human tonsil tissue (Formalin/PFA-fixed paraffin-embedded sections) with CD38 (IRS006), CD57 (IRS027), CD11c (IRS001), Tryptase (IRS041) and CD45 (IRS025) antibody at 1/100 dilution. The immunostaining was performed with the IRISKitCmTSA Kit (900802). Heat mediated antigen retrieval with Tris-EDTA buffer (pH 9.0) for 30 mins at 95℃. DAPI (blue) was used as a nuclear counter stain. Image acquisition was performed with Olympus VS200 Slide Scanner.
mIHC analysis of human tonsils tissue (Formalin/PFA-fixed paraffin-embedded sections) with Rabbit anti-CD45 antibody (IRS025) at 1/100 dilution. The immunostaining was performed with the IRISKitCmTSA Kit (900808). Heat mediated antigen retrieval with Tris-EDTA buffer (pH 9.0) for 30 mins at 95℃. DAPI (blue) was used as a nuclear counter stain. Image acquisition was performed with Olympus VS200 Slide Scanner.
quantity: 100μl
price: 385.00 USD
to the supplier