domestic rabbit polyclonal
reactivity: human
application: western blot, flow cytometry, immunohistochemistry - paraffin section
reactivity: human
application: western blot, flow cytometry, immunohistochemistry - paraffin section

Western blot analysis of MAVS on different lysates with Rabbit anti-MAVS antibody (HA500530) at 1/1,000 dilution. Lane 1: A549 cell lysate Lane 2: MCF7 cell lysate Lane 3: Jurkat cell lysate Lane 4: HeLa cell lysate Lane 5: A431 cell lysate Lane 6: THP-1 cell lysate Lane 7: HCT 116 cell lysate Lane 8: HepG2 cell lysate Lysates/proteins at 20 µg/Lane. Predicted band size: 56 kDa Observed band size: 56/75 kDa Exposure time: 17 seconds; 4-20% SDS-PAGE gel. Proteins were transferred to a PVDF membrane and blocked with 5% NFDM/TBST for 1 hour at room temperature. The primary antibody (HA500530) at 1/1,000 dilution was used in 5% NFDM/TBST at room temperature for 2 hours. Goat Anti-Rabbit IgG - HRP Secondary Antibody (HA1001) at 1:50,000 dilution was used for 1 hour at room temperature.

Immunocytochemistry analysis of A431 cells labeling MAVS with Rabbit anti-MAVS antibody (HA500530) at 1/200 dilution. Cells were fixed in 4% paraformaldehyde for 20 minutes at room temperature, permeabilized with 0.1% Triton X-100 in PBS for 5 minutes at room temperature, then blocked with 1% BSA in 10% negative goat serum for 1 hour at room temperature. Cells were then incubated with Rabbit anti-MAVS antibody (HA500530) at 1/200 dilution in 1% BSA in PBST overnight at 4 ℃. Goat Anti-Rabbit IgG H&L (iFluor™ 488, HA1121) was used as the secondary antibody at 1/1,000 dilution. PBS instead of the primary antibody was used as the secondary antibody only control. Nuclear DNA was labelled in blue with DAPI. Beta tubulin (M1305-2, red) was stained at 1/100 dilution overnight at +4℃. Goat Anti-Mouse IgG H&L (iFluor™ 594, HA1126) was used as the secondary antibody at 1/1,000 dilution.

Immunohistochemical analysis of paraffin-embedded human pancreas tissue with Rabbit anti-MAVS antibody (HA500530) at 1/1,000 dilution. The section was pre-treated using heat mediated antigen retrieval with Tris-EDTA buffer (pH 9.0) for 20 minutes. The tissues were blocked in 1% BSA for 20 minutes at room temperature, washed with ddH2O and PBS, and then probed with the primary antibody (HA500530) at 1/1,000 dilution for 1 hour at room temperature. The detection was performed using an HRP conjugated compact polymer system. DAB was used as the chromogen. Tissues were counterstained with hematoxylin and mounted with DPX.
quantity: 100μl
price: 330 USD
to the supplier
domestic rabbit monoclonal (PSH0-30)
reactivity: human, mouse
application: western blot, immunoprecipitation, immunohistochemistry - paraffin section
reactivity: human, mouse
application: western blot, immunoprecipitation, immunohistochemistry - paraffin section

Western blot analysis of MAVS on different lysates with Rabbit anti-MAVS antibody (HA721310) at 1/1,000 dilution. Lane 1: MCF7 cell lysate Lane 2: C2C12 cell lysate Lane 3: A431 cell lysate Lane 4: HeLa cell lysate Lane 5: A549 cell lysate Lane 6: Jurkat cell lysate Lane 7: THP-1 cell lysate Lane 8: NIH/3T3 cell lysate Lysates/proteins at 10 µg/Lane. Predicted band size: 56 kDa Observed band size: 75 kDa The molecular weight observed is consistent with that described in the literature (PMID: 16125763 and 30460894) Exposure time: 10S; 10% SDS-PAGE gel. Proteins were transferred to a PVDF membrane and blocked with 5% NFDM/TBST for 1 hour at room temperature. The primary antibody (HA721310) at 1/1,000 dilution was used in 5% NFDM/TBST at room temperature for 2 hours. Goat Anti-Rabbit IgG - HRP Secondary Antibody (HA1001) at 1:200,000 dilution was used for 1 hour at room temperature.

Immunohistochemical analysis of paraffin-embedded human colon tissue with Rabbit anti-MAVS antibody (HA721310) at 1/200 dilution. The section was pre-treated using heat mediated antigen retrieval with Tris-EDTA buffer (pH 9.0) for 20 minutes. The tissues were blocked in 1% BSA for 20 minutes at room temperature, washed with ddH2O and PBS, and then probed with the primary antibody (HA721310) at 1/200 dilution for 1 hour at room temperature. The detection was performed using an HRP conjugated compact polymer system. DAB was used as the chromogen. Tissues were counterstained with hematoxylin and mounted with DPX

Immunohistochemical analysis of paraffin-embedded human endometrium tissue with Rabbit anti-MAVS antibody (HA721310) at 1/1,000 dilution. The section was pre-treated using heat mediated antigen retrieval with Tris-EDTA buffer (pH 9.0) for 20 minutes. The tissues were blocked in 1% BSA for 20 minutes at room temperature, washed with ddH2O and PBS, and then probed with the primary antibody (HA721310) at 1/1,000 dilution for 1 hour at room temperature. The detection was performed using an HRP conjugated compact polymer system. DAB was used as the chromogen. Tissues were counterstained with hematoxylin and mounted with DPX
quantity: 100μl
price: 385.00 USD
to the supplier
domestic rabbit monoclonal (PSH01-65)
reactivity: human
application: western blot, immunohistochemistry - paraffin section
reactivity: human
application: western blot, immunohistochemistry - paraffin section

Western blot analysis of MAVS on different lysates with Rabbit anti-MAVS antibody (HA721708) at 1/1,000 dilution. Lane 1: MCF7 cell lysate Lane 2: A431 cell lysate Lane 3: A549 cell lysate Lane 4: Jurkat cell lysate Lane 5: THP-1 cell lysate Lane 6: HepG2 cell lysate Lysates/proteins at 20 µg/Lane. Predicted band size: 56.5 kDa Observed band size: 57/75 kDa Exposure time: 1 minute 46 seconds; 4-20% SDS-PAGE gel. Proteins were transferred to a PVDF membrane and blocked with 5% NFDM/TBST for 1 hour at room temperature. The primary antibody (HA721708) at 1/1,000 dilution was used in 5% NFDM/TBST at room temperature for 2 hours. Goat Anti-Rabbit IgG - HRP Secondary Antibody (HA1001) at 1/100,000 dilution was used for 1 hour at room temperature.

Immunofluorescence analysis of paraffin-embedded human colon tissue labeling MAVS with Rabbit anti-MAVS antibody (HA721708) at 1/200 dilution. The section was pre-treated using heat mediated antigen retrieval with Tris-EDTA buffer (pH 9.0) for 20 minutes. The tissues were blocked in 10% negative goat serum for 1 hour at room temperature, washed with PBS, and then probed with the primary antibody (HA721708, green) at 1/200 dilution overnight at 4 ℃, washed with PBS. Goat Anti-Rabbit IgG H&L (iFluor™ 488, HA1121) was used as the secondary antibody at 1/1,000 dilution. Nuclei were counterstained with DAPI (blue).

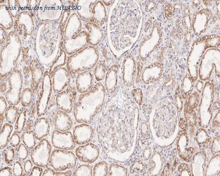
Immunohistochemical analysis of paraffin-embedded human kideny tissue with Rabbit anti-MAVS antibody (HA721708) at 1/1,000 dilution. The section was pre-treated using heat mediated antigen retrieval with Tris-EDTA buffer (pH 9.0) for 20 minutes. The tissues were blocked in 1% BSA for 20 minutes at room temperature, washed with ddH2O and PBS, and then probed with the primary antibody (HA721708) at 1/1,000 dilution for 1 hour at room temperature. The detection was performed using an HRP conjugated compact polymer system. DAB was used as the chromogen. Tissues were counterstained with hematoxylin and mounted with DPX.
quantity: 100μl
price: 385.00 USD
to the supplier
domestic rabbit monoclonal (PSH0-30)
reactivity: human, mouse
application: western blot, immunoprecipitation, immunohistochemistry - paraffin section
reactivity: human, mouse
application: western blot, immunoprecipitation, immunohistochemistry - paraffin section

Western blot analysis of MAVS on different lysates with Rabbit anti-MAVS antibody (HA750604) at 1/1,000 dilution. Lane 1: MCF7 cell lysate Lane 2: C2C12 cell lysate Lane 3: A431 cell lysate Lane 4: HeLa cell lysate Lane 5: A549 cell lysate Lane 6: Jurkat cell lysate Lane 7: THP-1 cell lysate Lane 8: NIH/3T3 cell lysate Lysates/proteins at 10 µg/Lane. Predicted band size: 56 kDa Observed band size: 75 kDa The molecular weight observed is consistent with that described in the literature (PMID: 16125763 and 30460894) Exposure time: 10S; 10% SDS-PAGE gel. Proteins were transferred to a PVDF membrane and blocked with 5% NFDM/TBST for 1 hour at room temperature. The primary antibody (HA750604) at 1/1,000 dilution was used in 5% NFDM/TBST at room temperature for 2 hours. Goat Anti-Rabbit IgG - HRP Secondary Antibody (HA1001) at 1:200,000 dilution was used for 1 hour at room temperature.

Immunohistochemical analysis of paraffin-embedded human colon tissue with Rabbit anti-MAVS antibody (HA750604) at 1/200 dilution. The section was pre-treated using heat mediated antigen retrieval with Tris-EDTA buffer (pH 9.0) for 20 minutes. The tissues were blocked in 1% BSA for 20 minutes at room temperature, washed with ddH2O and PBS, and then probed with the primary antibody (HA750604) at 1/200 dilution for 1 hour at room temperature. The detection was performed using an HRP conjugated compact polymer system. DAB was used as the chromogen. Tissues were counterstained with hematoxylin and mounted with DPX

Immunohistochemical analysis of paraffin-embedded human endometrium tissue with Rabbit anti-MAVS antibody (HA750604) at 1/1,000 dilution. The section was pre-treated using heat mediated antigen retrieval with Tris-EDTA buffer (pH 9.0) for 20 minutes. The tissues were blocked in 1% BSA for 20 minutes at room temperature, washed with ddH2O and PBS, and then probed with the primary antibody (HA750604) at 1/1,000 dilution for 1 hour at room temperature. The detection was performed using an HRP conjugated compact polymer system. DAB was used as the chromogen. Tissues were counterstained with hematoxylin and mounted with DPX
quantity: 100μl
price: 649.00 USD
to the supplier
domestic rabbit monoclonal (PSH01-65)
reactivity: human
application: western blot, immunohistochemistry - paraffin section
reactivity: human
application: western blot, immunohistochemistry - paraffin section

Western blot analysis of MAVS on different lysates with Rabbit anti-MAVS antibody (HA750741) at 1/1,000 dilution. Lane 1: MCF7 cell lysate Lane 2: A431 cell lysate Lane 3: A549 cell lysate Lane 4: Jurkat cell lysate Lane 5: THP-1 cell lysate Lane 6: HepG2 cell lysate Lysates/proteins at 20 µg/Lane. Predicted band size: 56.5 kDa Observed band size: 57/75 kDa Exposure time: 1 minute 46 seconds; 4-20% SDS-PAGE gel. Proteins were transferred to a PVDF membrane and blocked with 5% NFDM/TBST for 1 hour at room temperature. The primary antibody (HA750741) at 1/1,000 dilution was used in 5% NFDM/TBST at room temperature for 2 hours. Goat Anti-Rabbit IgG - HRP Secondary Antibody (HA1001) at 1/100,000 dilution was used for 1 hour at room temperature.

Immunofluorescence analysis of paraffin-embedded human colon tissue labeling MAVS with Rabbit anti-MAVS antibody (HA750741) at 1/200 dilution. The section was pre-treated using heat mediated antigen retrieval with Tris-EDTA buffer (pH 9.0) for 20 minutes. The tissues were blocked in 10% negative goat serum for 1 hour at room temperature, washed with PBS, and then probed with the primary antibody (HA750741, green) at 1/200 dilution overnight at 4 ℃, washed with PBS. Goat Anti-Rabbit IgG H&L (iFluor™ 488, HA1121) was used as the secondary antibody at 1/1,000 dilution. Nuclei were counterstained with DAPI (blue).

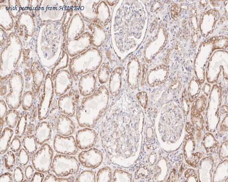
Immunohistochemical analysis of paraffin-embedded human kideny tissue with Rabbit anti-MAVS antibody (HA750741) at 1/1,000 dilution. The section was pre-treated using heat mediated antigen retrieval with Tris-EDTA buffer (pH 9.0) for 20 minutes. The tissues were blocked in 1% BSA for 20 minutes at room temperature, washed with ddH2O and PBS, and then probed with the primary antibody (HA750741) at 1/1,000 dilution for 1 hour at room temperature. The detection was performed using an HRP conjugated compact polymer system. DAB was used as the chromogen. Tissues were counterstained with hematoxylin and mounted with DPX.
quantity: 100μl
price: 649.00 USD
to the supplier
