domestic rabbit polyclonal
reactivity: human, mouse, rat
application: western blot
reactivity: human, mouse, rat
application: western blot

Western blot analysis of MFF on different lysates with Rabbit anti-MFF antibody (ER1902-93) at 1/5,000 dilution. Lane 1: HeLa cell lysate (20 µg/Lane) Lane 2: MCF7 cell lysate (20 µg/Lane) Lane 3: 293T cell lysate (20 µg/Lane) Lane 4: PC-12 cell lysate (20 µg/Lane) Lane 5: Mouse brain tissue lysate (40 µg/Lane) Lane 6: Rat brain tissue lysate (40 µg/Lane) Predicted band size: 38 kDa Observed band size: 30 kDa Exposure time: 4 seconds; ECL: K1801; 4-20% SDS-PAGE gel. Proteins were transferred to a PVDF membrane and blocked with 5% NFDM/TBST for 1 hour at room temperature. The primary antibody (ER1902-93) at 1/5,000 dilution was used in primary antibody dilution (K1803) at 4℃ overnight. Goat Anti-Rabbit IgG - HRP Secondary Antibody (HA1001) at 1/50,000 dilution was used for 1 hour at room temperature.
quantity: 100μl
price: 330 USD
to the supplier
domestic rabbit polyclonal
reactivity: human
application: western blot, flow cytometry, immunohistochemistry - paraffin section
reactivity: human
application: western blot, flow cytometry, immunohistochemistry - paraffin section

Western blot analysis of MFF on different lysates. Proteins were transferred to a PVDF membrane and blocked with 5% BSA in PBS for 1 hour at room temperature. The primary antibody (ER2001-01, 1/500) was used in 5% BSA at room temperature for 2 hours. Goat Anti-Rabbit IgG - HRP Secondary Antibody (HA1001) at 1:5,000 dilution was used for 1 hour at room temperature. Positive control: Lane 1: HepG2 cell lysate Lane 2: SiHa cell lysate

Immunohistochemical analysis of paraffin-embedded human liver tissue using anti-MFF antibody. The section was pre-treated using heat mediated antigen retrieval with Tris-EDTA buffer (pH 8.0-8.4) for 20 minutes.The tissues were blocked in 5% BSA for 30 minutes at room temperature, washed with ddH2O and PBS, and then probed with the primary antibody (ER2001-01, 1/200) for 30 minutes at room temperature. The detection was performed using an HRP conjugated compact polymer system. DAB was used as the chromogen. Tissues were counterstained with hematoxylin and mounted with DPX.

Immunohistochemical analysis of paraffin-embedded human liver carcinoma tissue using anti-MFF antibody. The section was pre-treated using heat mediated antigen retrieval with Tris-EDTA buffer (pH 8.0-8.4) for 20 minutes.The tissues were blocked in 5% BSA for 30 minutes at room temperature, washed with ddH2O and PBS, and then probed with the primary antibody (ER2001-01, 1/200) for 30 minutes at room temperature. The detection was performed using an HRP conjugated compact polymer system. DAB was used as the chromogen. Tissues were counterstained with hematoxylin and mounted with DPX.
quantity: 100μl
price: 330 USD
to the supplier
domestic rabbit monoclonal (PSH14-36)
reactivity: human, mouse, rat
application: western blot, immunoprecipitation, flow cytometry, immunohistochemistry - paraffin section
reactivity: human, mouse, rat
application: western blot, immunoprecipitation, flow cytometry, immunohistochemistry - paraffin section

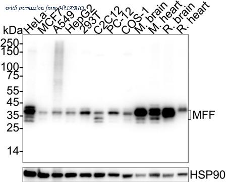
Western blot analysis of MFF on different lysates with Rabbit anti-MFF antibody (HA723630) at 1/25,000 dilution. Lane 1: HeLa cell lysate (10 µg/Lane) Lane 2: MCF7 cell lysate (10 µg/Lane) Lane 3: A549 cell lysate (10 µg/Lane) Lane 4: HepG2 cell lysate (10 µg/Lane) Lane 5: 293T cell lysate (10 µg/Lane) Lane 6: C2C12 cell lysate (10 µg/Lane) Lane 7: PC-12 cell lysate (10 µg/Lane) Lane 8: COS-1 cell lysate (10 µg/Lane) Lane 9: Mouse brain tissue lysate (20 µg/Lane) Lane 10: Mouse heart tissue lysate (20 µg/Lane) Lane 11: Rat brain tissue lysate (20 µg/Lane) Lane 12: Rat heart tissue lysate (20 µg/Lane) Predicted band size: 38 kDa Observed band size: 30-38 kDa Exposure time: 4 seconds; ECL: K1801; 4-20% SDS-PAGE gel. Proteins were transferred to a PVDF membrane and blocked with 5% NFDM/TBST for 1 hour at room temperature. The primary antibody (HA723630) at 1/25,000 dilution was used in primary antibody dilution (K1803) at 4℃ overnight. Goat Anti-Rabbit IgG - HRP Secondary Antibody (HA1001) at 1/50,000 dilution was used for 1 hour at room temperature.

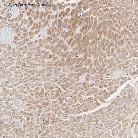
Immunohistochemical analysis of paraffin-embedded human heart tissue with Rabbit anti-MFF antibody (HA723630) at 1/5,000 dilution. The section was pre-treated using heat mediated antigen retrieval with Tris-EDTA buffer (pH 9.0) for 20 minutes. The tissues were blocked in 1% BSA for 20 minutes at room temperature, washed with ddH2O and PBS, and then probed with the primary antibody (HA723630) at 1/5,000 dilution for 1 hour at room temperature. The detection was performed using an HRP conjugated compact polymer system. DAB was used as the chromogen. Tissues were counterstained with hematoxylin and mounted with DPX.

Immunohistochemical analysis of paraffin-embedded human brain tissue with Rabbit anti-MFF antibody (HA723630) at 1/5,000 dilution. The section was pre-treated using heat mediated antigen retrieval with Tris-EDTA buffer (pH 9.0) for 20 minutes. The tissues were blocked in 1% BSA for 20 minutes at room temperature, washed with ddH2O and PBS, and then probed with the primary antibody (HA723630) at 1/5,000 dilution for 1 hour at room temperature. The detection was performed using an HRP conjugated compact polymer system. DAB was used as the chromogen. Tissues were counterstained with hematoxylin and mounted with DPX.
quantity: 100μl
price: 385.00 USD
to the supplier
domestic rabbit monoclonal (PSH14-36)
reactivity: human, mouse, rat
application: western blot, immunoprecipitation, flow cytometry, immunohistochemistry - paraffin section
reactivity: human, mouse, rat
application: western blot, immunoprecipitation, flow cytometry, immunohistochemistry - paraffin section

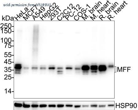
Western blot analysis of MFF on different lysates with Rabbit anti-MFF antibody (HA751518) at 1/25,000 dilution. Lane 1: HeLa cell lysate (10 µg/Lane) Lane 2: MCF7 cell lysate (10 µg/Lane) Lane 3: A549 cell lysate (10 µg/Lane) Lane 4: HepG2 cell lysate (10 µg/Lane) Lane 5: 293T cell lysate (10 µg/Lane) Lane 6: C2C12 cell lysate (10 µg/Lane) Lane 7: PC-12 cell lysate (10 µg/Lane) Lane 8: COS-1 cell lysate (10 µg/Lane) Lane 9: Mouse brain tissue lysate (20 µg/Lane) Lane 10: Mouse heart tissue lysate (20 µg/Lane) Lane 11: Rat brain tissue lysate (20 µg/Lane) Lane 12: Rat heart tissue lysate (20 µg/Lane) Predicted band size: 38 kDa Observed band size: 30-38 kDa Exposure time: 4 seconds; ECL: K1801; 4-20% SDS-PAGE gel. Proteins were transferred to a PVDF membrane and blocked with 5% NFDM/TBST for 1 hour at room temperature. The primary antibody (HA751518) at 1/25,000 dilution was used in primary antibody dilution (K1803) at 4℃ overnight. Goat Anti-Rabbit IgG - HRP Secondary Antibody (HA1001) at 1/50,000 dilution was used for 1 hour at room temperature.

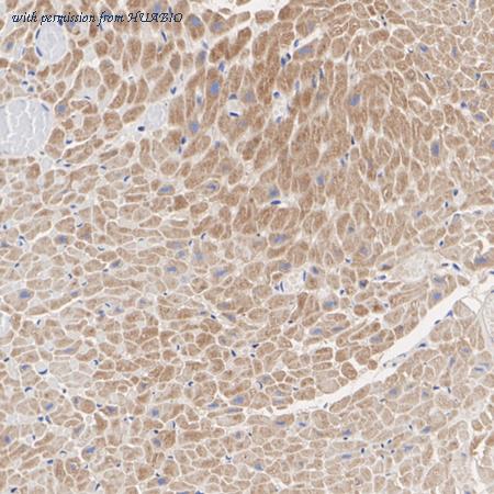
Immunohistochemical analysis of paraffin-embedded human heart tissue with Rabbit anti-MFF antibody (HA751518) at 1/5,000 dilution. The section was pre-treated using heat mediated antigen retrieval with Tris-EDTA buffer (pH 9.0) for 20 minutes. The tissues were blocked in 1% BSA for 20 minutes at room temperature, washed with ddH2O and PBS, and then probed with the primary antibody (HA751518) at 1/5,000 dilution for 1 hour at room temperature. The detection was performed using an HRP conjugated compact polymer system. DAB was used as the chromogen. Tissues were counterstained with hematoxylin and mounted with DPX.

Immunohistochemical analysis of paraffin-embedded human brain tissue with Rabbit anti-MFF antibody (HA751518) at 1/5,000 dilution. The section was pre-treated using heat mediated antigen retrieval with Tris-EDTA buffer (pH 9.0) for 20 minutes. The tissues were blocked in 1% BSA for 20 minutes at room temperature, washed with ddH2O and PBS, and then probed with the primary antibody (HA751518) at 1/5,000 dilution for 1 hour at room temperature. The detection was performed using an HRP conjugated compact polymer system. DAB was used as the chromogen. Tissues were counterstained with hematoxylin and mounted with DPX.
quantity: 100μl
price: 649.00 USD
to the supplier
