Sign in
Sign up
home
>
HUABIO
> HUABIO Mtor antibody
mTOR
HUABIO
catalog: ET1608-5
domestic rabbit monoclonal (SU30-00)
reactivity:
human
,
mouse
,
rat
application:
western blot
,
immunoprecipitation
,
immunohistochemistry - paraffin section
Western blot analysis of mTOR on different lysates with Rabbit anti-mTOR antibody (ET1608-5) at 1/5,000 dilution and competitor's antibody at 1/1,000 dilution. Lane 1: HeLa cell lysate (20 µg/Lane) Lane 2: MCF7 cell lysate (20 µg/Lane) Lane 3: HEK-293 cell lysate (20 µg/Lane) Lane 4: HepG2 cell lysate (20 µg/Lane) Lane 5: C2C12 cell lysate (20 µg/Lane) Lane 6: PC-12 cell lysate (20 µg/Lane) Lane 7: C6 cell lysate (20 µg/Lane) Lane 8: Mouse testis tissue lysate (20 µg/Lane) Lane 9: Rat testis tissue lysate (20 µg/Lane) Predicted band size: 289 kDa Observed band size: 289 kDa Exposure time: 24 seconds; ECL: K1801; 4-20% SDS-PAGE gel. Proteins were transferred to a PVDF membrane and blocked with 5% NFDM/TBST for 1 hour at room temperature. The primary antibody (ET1608-5) at 1/5,000 dilution and competitor's antibody at 1/1,000 dilution were used in 5% NFDM/TBST at 4℃ overnight. Goat Anti-Rabbit IgG - HRP Secondary Antibody (HA1001) at 1/50,000 dilution was used for 1 hour at room temperature.
Immunocytochemistry analysis of HeLa cells labeling mTOR with Rabbit anti-mTOR antibody (ET1608-5) at 1/100 dilution. Cells were fixed in 4% paraformaldehyde for 20 minutes at room temperature, permeabilized with 0.1% Triton X-100 in PBS for 5 minutes at room temperature, then blocked with 1% BSA in 10% negative goat serum for 1 hour at room temperature. Cells were then incubated with Rabbit anti-mTOR antibody (ET1608-5) at 1/100 dilution in 1% BSA in PBST overnight at 4 ℃. Goat Anti-Rabbit IgG H&L (iFluor™ 488, HA1121) was used as the secondary antibody at 1/1,000 dilution. PBS instead of the primary antibody was used as the secondary antibody only control. Nuclear DNA was labelled in blue with DAPI. Beta tubulin (M1305-2, red) was stained at 1/100 dilution overnight at +4℃. Goat Anti-Mouse IgG H&L (iFluor™ 594, HA1126) was used as the secondary antibody at 1/1,000 dilution.
Immunocytochemistry analysis of NIH/3T3 cells labeling mTOR with Rabbit anti-mTOR antibody (ET1608-5) at 1/200 dilution. Cells were fixed in 4% paraformaldehyde for 20 minutes at room temperature, permeabilized with 0.1% Triton X-100 in PBS for 5 minutes at room temperature, then blocked with 1% BSA in 10% negative goat serum for 1 hour at room temperature. Cells were then incubated with Rabbit anti-mTOR antibody (ET1608-5) at 1/200 dilution in 1% BSA in PBST overnight at 4 ℃. Goat Anti-Rabbit IgG H&L (iFluor™ 488, HA1121) was used as the secondary antibody at 1/1,000 dilution. PBS instead of the primary antibody was used as the secondary antibody only control. Nuclear DNA was labelled in blue with DAPI. Beta tubulin (M1305-2, red) was stained at 1/100 dilution overnight at +4℃. Goat Anti-Mouse IgG H&L (iFluor™ 594, HA1126) was used as the secondary antibody at 1/1,000 dilution.
quantity: 100μl
price: 385.00 USD
to the supplier
mTOR
HUABIO
catalog: HA500126
domestic rabbit polyclonal
reactivity:
human
,
mouse
,
rat
application:
western blot
,
immunohistochemistry - paraffin section
Western blot analysis of mTOR on different lysates. Proteins were transferred to a PVDF membrane and blocked with 5% BSA in PBS for 1 hour at room temperature. The primary antibody (HA500126, 1/1,000) was used in 5% BSA at room temperature for 2 hours. Goat Anti-Rabbit IgG - HRP Secondary Antibody (HA1001) at 1:200,000 dilution was used for 1 hour at room temperature. Positive control: Lane 1: MCF-7 cell lysate Lane 2: Rat brain tissue lysate Lane 3: HepG2 cell lysate
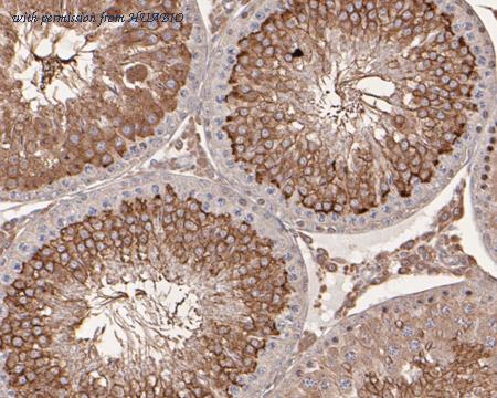
Immunohistochemical analysis of paraffin-embedded rat testis tissue using anti-mTOR antibody. The section was pre-treated using heat mediated antigen retrieval with sodium citrate buffer (pH 6.0) (high pressure) for 2 minutes. The tissues were blocked in 5% BSA for 30 minutes at room temperature, washed with ddH2O and PBS, and then probed with the primary antibody (HA500126, 1/200) for 30 minutes at room temperature. The detection was performed using an HRP conjugated compact polymer system. DAB was used as the chromogen. Tissues were counterstained with hematoxylin and mounted with DPX.
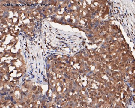
Immunohistochemical analysis of paraffin-embedded human breast carcinoma tissue using anti-mTOR antibody. The section was pre-treated using heat mediated antigen retrieval with sodium citrate buffer (pH 6.0) (high pressure) for 2 minutes. The tissues were blocked in 5% BSA for 30 minutes at room temperature, washed with ddH2O and PBS, and then probed with the primary antibody (HA500126, 1/400) for 30 minutes at room temperature. The detection was performed using an HRP conjugated compact polymer system. DAB was used as the chromogen. Tissues were counterstained with hematoxylin and mounted with DPX.
quantity: 100μl
price: 330 USD
to the supplier
Phospho-mTOR (S2448)
HUABIO
catalog: HA600094
mouse monoclonal (A5D5)
reactivity:
human
,
mouse
,
rat
application:
western blot
,
immunohistochemistry - paraffin section
Western blot analysis of Phospho-mTOR (S2448) on different lysates with Mouse anti-Phospho-mTOR (S2448) antibody (HA600094) at 1/5,000 dilution. Lane 1: HeLa cell lysate Lane 2: HeLa starved overnight then treated with 200nM PMA for 4 hours cell lysate Lysates/proteins at 20 µg/Lane. Predicted band size: 289 kDa Observed band size: 289 kDa Exposure time: 1 minute 30 seconds; 4-20% SDS-PAGE gel. Proteins were transferred to a PVDF membrane and blocked with 5% NFDM/TBST for 1 hour at room temperature. The primary antibody (HA600094) at 1/5,000 dilution was used in 5% NFDM/TBST at 4℃ overnight. Goat Anti-Mouse IgG - HRP Secondary Antibody (HA1006) at 1/50,000 dilution was used for 1 hour at room temperature.
Western blot analysis of Phospho-mTOR (S2448) on different lysates with Mouse anti-Phospho-mTOR (S2448) antibody (HA600094) at 1/1,000 dilution. Lane 1: NIH/3T3 cell lysate treated with serum-starvation overnight Lane 2: NIH/3T3 cell lysate treated with Insulin (100nM) for 10 minutes after serum-starvation overnight Lysates/proteins at 10 µg/Lane. Predicted band size: 288 kDa Observed band size: 255 kDa Exposure time: 2 minutes; 10% SDS-PAGE gel. Proteins were transferred to a PVDF membrane and blocked with 5% BSA for 1 hour at room temperature. The primary antibody (HA600094) at 1/1,000 dilution was used in 5% BSA at room temperature for 2 hours. Goat Anti-Mouse IgG - HRP Secondary Antibody (HA1006) at 1/50,000 dilution was used for 1 hour at room temperature.
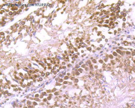
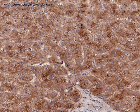
Immunohistochemical analysis of paraffin-embedded human liver tissue with Mouse anti-Phospho-mTOR (S2448) antibody (HA600094) at 1/100 dilution. The section was pre-treated using heat mediated antigen retrieval with sodium citrate buffer (pH 6.0) (high pressure) for 2 minutes. The tissues were blocked in 1% BSA for 20 minutes at room temperature, washed with ddH2O and PBS, and then probed with the primary antibody (HA600094) at 1/400 dilution for 1 hour at room temperature. The detection was performed using an HRP conjugated compact polymer system. DAB was used as the chromogen. Tissues were counterstained with hematoxylin and mounted with DPX.
quantity: 100μl
price: 360.00 USD
to the supplier
mTOR
HUABIO
catalog: HA750153
domestic rabbit monoclonal (SU30-00)
reactivity:
human
,
mouse
,
rat
application:
western blot
,
immunoprecipitation
,
immunohistochemistry - paraffin section
Western blot analysis of mTOR on different lysates with Rabbit anti-mTOR antibody (HA750153) at 1/5,000 dilution and competitor's antibody at 1/1,000 dilution. Lane 1: HeLa cell lysate (20 µg/Lane) Lane 2: MCF7 cell lysate (20 µg/Lane) Lane 3: HEK-293 cell lysate (20 µg/Lane) Lane 4: HepG2 cell lysate (20 µg/Lane) Lane 5: C2C12 cell lysate (20 µg/Lane) Lane 6: PC-12 cell lysate (20 µg/Lane) Lane 7: C6 cell lysate (20 µg/Lane) Lane 8: Mouse testis tissue lysate (20 µg/Lane) Lane 9: Rat testis tissue lysate (20 µg/Lane) Predicted band size: 289 kDa Observed band size: 289 kDa Exposure time: 24 seconds; ECL: K1801; 4-20% SDS-PAGE gel. Proteins were transferred to a PVDF membrane and blocked with 5% NFDM/TBST for 1 hour at room temperature. The primary antibody (HA750153) at 1/5,000 dilution and competitor's antibody at 1/1,000 dilution were used in 5% NFDM/TBST at 4℃ overnight. Goat Anti-Rabbit IgG - HRP Secondary Antibody (HA1001) at 1/50,000 dilution was used for 1 hour at room temperature.
Immunocytochemistry analysis of HeLa cells labeling mTOR with Rabbit anti-mTOR antibody (HA750153) at 1/100 dilution. Cells were fixed in 4% paraformaldehyde for 20 minutes at room temperature, permeabilized with 0.1% Triton X-100 in PBS for 5 minutes at room temperature, then blocked with 1% BSA in 10% negative goat serum for 1 hour at room temperature. Cells were then incubated with Rabbit anti-mTOR antibody (HA750153) at 1/100 dilution in 1% BSA in PBST overnight at 4 ℃. Goat Anti-Rabbit IgG H&L (iFluor™ 488, HA1121) was used as the secondary antibody at 1/1,000 dilution. PBS instead of the primary antibody was used as the secondary antibody only control. Nuclear DNA was labelled in blue with DAPI. Beta tubulin (M1305-2, red) was stained at 1/100 dilution overnight at +4℃. Goat Anti-Mouse IgG H&L (iFluor™ 594, HA1126) was used as the secondary antibody at 1/1,000 dilution.
Immunocytochemistry analysis of NIH/3T3 cells labeling mTOR with Rabbit anti-mTOR antibody (HA750153) at 1/200 dilution. Cells were fixed in 4% paraformaldehyde for 20 minutes at room temperature, permeabilized with 0.1% Triton X-100 in PBS for 5 minutes at room temperature, then blocked with 1% BSA in 10% negative goat serum for 1 hour at room temperature. Cells were then incubated with Rabbit anti-mTOR antibody (HA750153) at 1/200 dilution in 1% BSA in PBST overnight at 4 ℃. Goat Anti-Rabbit IgG H&L (iFluor™ 488, HA1121) was used as the secondary antibody at 1/1,000 dilution. PBS instead of the primary antibody was used as the secondary antibody only control. Nuclear DNA was labelled in blue with DAPI. Beta tubulin (M1305-2, red) was stained at 1/100 dilution overnight at +4℃. Goat Anti-Mouse IgG H&L (iFluor™ 594, HA1126) was used as the secondary antibody at 1/1,000 dilution.
quantity: 100μl
price: 649.00 USD
to the supplier
mTOR
HUABIO
catalog: R1510-21
domestic rabbit polyclonal
reactivity:
human
,
mouse
,
rat
application:
immunohistochemistry - paraffin section
ICC staining MTOR in MCF-7 cells (green). The nuclear counter stain is DAPI (blue). Cells were fixed in paraformaldehyde, permeabilised with 0.25% Triton X100/PBS.
ICC staining MTOR in HepG2 cells (green). The nuclear counter stain is DAPI (blue). Cells were fixed in paraformaldehyde, permeabilised with 0.25% Triton X100/PBS.
Immunohistochemical analysis of paraffin-embedded rat testis tissue using anti-MTOR antibody. Counter stained with hematoxylin.
quantity: 100μl
price: 330 USD
to the supplier
Anti-mTOR Antibody [SU30-00]
HUABIO
catalog: ET1608-5TR
domestic rabbit monoclonal (SU30-00)
reactivity:
human
,
mouse
,
rat
application:
western blot
,
immunoprecipitation
,
immunohistochemistry - paraffin section
quantity: 20 uL
price: 99 USD
to the supplier