domestic rabbit polyclonal
reactivity: human, mouse
application: western blot, flow cytometry, immunohistochemistry - paraffin section
reactivity: human, mouse
application: western blot, flow cytometry, immunohistochemistry - paraffin section

Western blot analysis of RBX1 on HepG2 cell lysates using anti-RBX1 antibody at 1/500 dilution.

ICC staining RBX1 in MCF-7 cells (green). The nuclear counter stain is DAPI (blue). Cells were fixed in paraformaldehyde, permeabilised with 0.25% Triton X100/PBS.

ICC staining RBX1 in 293T cells (green). The nuclear counter stain is DAPI (blue). Cells were fixed in paraformaldehyde, permeabilised with 0.25% Triton X100/PBS.
quantity: 100μl
price: 330 USD
to the supplier
domestic rabbit monoclonal (JE32-69)
reactivity: human, mouse, rat
application: western blot, immunoprecipitation, flow cytometry, immunohistochemistry - paraffin section
reactivity: human, mouse, rat
application: western blot, immunoprecipitation, flow cytometry, immunohistochemistry - paraffin section

Western blot analysis of RBX1 on different lysates with Rabbit anti-RBX1 antibody (HA722534) at 1/1,000 dilution. Lane 1: HeLa cell lysate (20 µg/Lane) Lane 2: HepG2 cell lysate (20 µg/Lane) Lane 3: Jurkat cell lysate (20 µg/Lane) Lane 4: RAW264.7 cell lysate (20 µg/Lane) Lane 5: C6 cell lysate (20 µg/Lane) Lane 6: Mouse heart tissue lysate (40 µg/Lane) Predicted band size: 12 kDa Observed band size: 15 kDa Exposure time: 59 seconds; ECL: K1801; 4-20% SDS-PAGE gel. Proteins were transferred to a PVDF membrane and blocked with 5% NFDM/TBST for 1 hour at room temperature. The primary antibody (HA722534) at 1/1,000 dilution was used in 5% NFDM/TBST at 4℃ overnight. Goat Anti-Rabbit IgG - HRP Secondary Antibody (HA1001) at 1/50,000 dilution was used for 1 hour at room temperature.

Immunohistochemical analysis of paraffin-embedded human colon cancer tissue with Rabbit anti-RBX1 antibody (HA722534) at 1/3,000 dilution. The section was pre-treated using heat mediated antigen retrieval with sodium citrate buffer (pH 6.0) (high pressure) for 2 minutes. The tissues were blocked in 1% BSA for 20 minutes at room temperature, washed with ddH2O and PBS, and then probed with the primary antibody (HA722534) at 1/3,000 dilution for 1 hour at room temperature. The detection was performed using an HRP conjugated compact polymer system. DAB was used as the chromogen. Tissues were counterstained with hematoxylin and mounted with DPX.

Immunohistochemical analysis of paraffin-embedded human lung cancer tissue with Rabbit anti-RBX1 antibody (HA722534) at 1/3,000 dilution. The section was pre-treated using heat mediated antigen retrieval with sodium citrate buffer (pH 6.0) (high pressure) for 2 minutes. The tissues were blocked in 1% BSA for 20 minutes at room temperature, washed with ddH2O and PBS, and then probed with the primary antibody (HA722534) at 1/3,000 dilution for 1 hour at room temperature. The detection was performed using an HRP conjugated compact polymer system. DAB was used as the chromogen. Tissues were counterstained with hematoxylin and mounted with DPX.
quantity: 100μl
price: 385.00 USD
to the supplier
domestic rabbit monoclonal (PSH07-01)
reactivity: human, mouse, rat
application: western blot, immunoprecipitation, immunohistochemistry - paraffin section
reactivity: human, mouse, rat
application: western blot, immunoprecipitation, immunohistochemistry - paraffin section

Western blot analysis of RBX1 on different lysates with Rabbit anti-RBX1 antibody (HA722779) at 1/1,000 dilution. Lane 1: HeLa cell lysate (20 µg/Lane) Lane 2: Jurkat cell lysate (20 µg/Lane) Lane 3: HEK-293 cell lysate (20 µg/Lane) Lane 4: HepG2 cell lysate (20 µg/Lane) Lane 5: MCF7 cell lysate (20 µg/Lane) Lane 6: NIH/3T3 cell lysate (20 µg/Lane) Lane 7: RAW264.7 cell lysate (20 µg/Lane) Lane 8: PC-12 cell lysate (20 µg/Lane) Lane 9: C6 cell lysate (20 µg/Lane) Lane 10: Mouse heart tissue lysate (30 µg/Lane) Lane 11: Rat heart tissue lysate (30 µg/Lane) Predicted band size: 12 kDa Observed band size: 16 kDa Exposure time: 14 seconds; ECL: K1801; 4-20% SDS-PAGE gel. Proteins were transferred to a PVDF membrane and blocked with 5% NFDM/TBST for 1 hour at room temperature. The primary antibody (HA722779) at 1/1,000 dilution was used in 5% NFDM/TBST at 4℃ overnight. Goat Anti-Rabbit IgG - HRP Secondary Antibody (HA1001) at 1/50,000 dilution was used for 1 hour at room temperature.

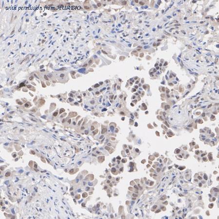
Immunohistochemical analysis of paraffin-embedded human breast tissue with Rabbit anti-RBX1 antibody (HA722779) at 1/1,000 dilution. The section was pre-treated using heat mediated antigen retrieval with Tris-EDTA buffer (pH 9.0) for 20 minutes. The tissues were blocked in 1% BSA for 20 minutes at room temperature, washed with ddH2O and PBS, and then probed with the primary antibody (HA722779) at 1/1,000 dilution for 1 hour at room temperature. The detection was performed using an HRP conjugated compact polymer system. DAB was used as the chromogen. Tissues were counterstained with hematoxylin and mounted with DPX.

Immunohistochemical analysis of paraffin-embedded mouse breast tissue with Rabbit anti-RBX1 antibody (HA722779) at 1/1,000 dilution. The section was pre-treated using heat mediated antigen retrieval with Tris-EDTA buffer (pH 9.0) for 20 minutes. The tissues were blocked in 1% BSA for 20 minutes at room temperature, washed with ddH2O and PBS, and then probed with the primary antibody (HA722779) at 1/1,000 dilution for 1 hour at room temperature. The detection was performed using an HRP conjugated compact polymer system. DAB was used as the chromogen. Tissues were counterstained with hematoxylin and mounted with DPX.
quantity: 100μl
price: 385.00 USD
to the supplier
domestic rabbit monoclonal (PSH07-01)
reactivity: human, mouse, rat
application: western blot, immunoprecipitation, immunohistochemistry - paraffin section
reactivity: human, mouse, rat
application: western blot, immunoprecipitation, immunohistochemistry - paraffin section

Western blot analysis of RBX1 on different lysates with Rabbit anti-RBX1 antibody (HA751128) at 1/1,000 dilution. Lane 1: HeLa cell lysate (20 µg/Lane) Lane 2: Jurkat cell lysate (20 µg/Lane) Lane 3: HEK-293 cell lysate (20 µg/Lane) Lane 4: HepG2 cell lysate (20 µg/Lane) Lane 5: MCF7 cell lysate (20 µg/Lane) Lane 6: NIH/3T3 cell lysate (20 µg/Lane) Lane 7: RAW264.7 cell lysate (20 µg/Lane) Lane 8: PC-12 cell lysate (20 µg/Lane) Lane 9: C6 cell lysate (20 µg/Lane) Lane 10: Mouse heart tissue lysate (30 µg/Lane) Lane 11: Rat heart tissue lysate (30 µg/Lane) Predicted band size: 12 kDa Observed band size: 16 kDa Exposure time: 14 seconds; ECL: K1801; 4-20% SDS-PAGE gel. Proteins were transferred to a PVDF membrane and blocked with 5% NFDM/TBST for 1 hour at room temperature. The primary antibody (HA751128) at 1/1,000 dilution was used in 5% NFDM/TBST at 4℃ overnight. Goat Anti-Rabbit IgG - HRP Secondary Antibody (HA1001) at 1/50,000 dilution was used for 1 hour at room temperature.

Immunohistochemical analysis of paraffin-embedded human breast tissue with Rabbit anti-RBX1 antibody (HA751128) at 1/1,000 dilution. The section was pre-treated using heat mediated antigen retrieval with Tris-EDTA buffer (pH 9.0) for 20 minutes. The tissues were blocked in 1% BSA for 20 minutes at room temperature, washed with ddH2O and PBS, and then probed with the primary antibody (HA751128) at 1/1,000 dilution for 1 hour at room temperature. The detection was performed using an HRP conjugated compact polymer system. DAB was used as the chromogen. Tissues were counterstained with hematoxylin and mounted with DPX.

Immunohistochemical analysis of paraffin-embedded mouse breast tissue with Rabbit anti-RBX1 antibody (HA751128) at 1/1,000 dilution. The section was pre-treated using heat mediated antigen retrieval with Tris-EDTA buffer (pH 9.0) for 20 minutes. The tissues were blocked in 1% BSA for 20 minutes at room temperature, washed with ddH2O and PBS, and then probed with the primary antibody (HA751128) at 1/1,000 dilution for 1 hour at room temperature. The detection was performed using an HRP conjugated compact polymer system. DAB was used as the chromogen. Tissues were counterstained with hematoxylin and mounted with DPX.
quantity: 100μl
price: 649.00 USD
to the supplier
