JNK1+JNK2+JNK3
HUABIO
catalog: ET1601-28
domestic rabbit monoclonal (SA43-06)
reactivity: human, mouse, rat, bovine, zebrafish
application: western blot, immunoprecipitation, immunohistochemistry - paraffin section

Western blot analysis of JNK1+JNK2+JNK3 on different lysates with Rabbit anti-JNK1+JNK2+JNK3 antibody (ET1601-28) at 1/2,000 dilution and competitor's antibody at 1/1,000 dilution. Lane 1: HeLa cell lysate Lane 2: HEK-293 cell lysate Lane 3: Jurkat cell lysate Lane 4: MCF7 cell lysate Lane 5: NIH/3T3 cell lysate Lane 6: PC-12 cell lysate Lane 7: C6 cell lysate Lysates/proteins at 15 µg/Lane. Predicted band size: 48/53 kDa Observed band size: 48/53 kDa Exposure time: 35 seconds; ECL: K1801; 4-20% SDS-PAGE gel. Proteins were transferred to a PVDF membrane and blocked with 5% NFDM/TBST for 1 hour at room temperature. The primary antibody (ET1601-28) at 1/2,000 dilution and competitor's antibody at 1/1,000 dilution were used in 5% NFDM/TBST at 4℃ overnight. Goat Anti-Rabbit IgG - HRP Secondary Antibody (HA1001) at 1/50,000 dilution was used for 1 hour at room temperature.

Western blot analysis of JNK1+JNK2+JNK3 on different lysates with Rabbit anti-JNK1+JNK2+JNK3 antibody (ET1601-28) at 1/5,000 dilution. Lane 1: Mouse brain tissue lysate (15 µg/Lane) Lane 2: Rat brain tissue lysate (15 µg/Lane) Predicted band size: 48/53 kDa Observed band size: 48/53 kDa Exposure time: 1 minute; ECL: K1801; 4-20% SDS-PAGE gel. Proteins were transferred to a PVDF membrane and blocked with 5% NFDM/TBST for 1 hour at room temperature. The primary antibody (ET1601-28) at 1/5,000 dilution was used in 5% BSA at 4℃ overnight. Goat Anti-Rabbit IgG - HRP Secondary Antibody (HA1001) at 1/50,000 dilution was used for 1 hour at room temperature.

Immunohistochemical analysis of paraffin-embedded human brain tissue with Rabbit anti-JNK1+JNK2+JNK3 antibody (ET1601-28) at 1/1,000 dilution. The section was pre-treated using heat mediated antigen retrieval with sodium citrate buffer (pH 6.0) (high pressure) for 2 minutes. The tissues were blocked in 1% BSA for 20 minutes at room temperature, washed with ddH2O and PBS, and then probed with the primary antibody (ET1601-28) at 1/1,000 dilution for 1 hour at room temperature. The detection was performed using an HRP conjugated compact polymer system. DAB was used as the chromogen. Tissues were counterstained with hematoxylin and mounted with DPX.
quantity: 100μl
price: 385.00 USD
to the supplier
domestic rabbit monoclonal (ST500)
reactivity: human, mouse, rat
application: western blot, immunoprecipitation, flow cytometry, immunohistochemistry - paraffin section, immunohistochemistry - frozen section

Western blot analysis of Phospho-JNK1/2/3 (T183 + T183 + T221) on different lysates with Rabbit anti-Phospho-JNK1/2/3 (T183 + T183 + T221) antibody (ET1609-42) at 1/1,000 dilution. Lane 1: Hela cell lysate, untreated (10 µg/Lane) Lane 2: Hela cell lysate, treated with Anisomycin (10 µg/Lane) Lane 3: A431 cell lysate, untreated (10 µg/Lane) Lane 4: A431 cell lysate, treated with UV40 (10 µg/Lane) Lane 5: 293 cell lysate, untreated (10 µg/Lane) Lane 6: 293 cell lysate, treated with UV40 (10 µg/Lane) Lane 7: Hela cell lysate, untreated (10 µg/Lane) Lane 8: Hela cell lysate, treated with UV40 (10 µg/Lane) Predicted band size: 48/53 kDa Observed band size: 48/53 kDa Exposure time: 2 minutes; 12% SDS-PAGE gel. Proteins were transferred to a PVDF membrane and blocked with 5% NFDM/TBST for 1 hour at room temperature. The primary antibody (ET1609-42) at 1/1,000 dilution was used in 5% NFDM/TBST at room temperature for 2 hours. Goat Anti-Rabbit IgG - HRP Secondary Antibody (HA1001) at 1:300,000 dilution was used for 1 hour at room temperature.

Western blot analysis of Phospho-JNK1/2/3 (T183 + T183 + T221) on different lysates with Rabbit anti-Phospho-JNK1/2/3 (T183 + T183 + T221) antibody (ET1609-42) at 1/2,000 dilution. Lane 1: C6 cell lysate Lane 2: C6 treated with 25µg/mL Anisomycin for 30 minutes cell lysate. Lysates/proteins at 20 µg/Lane. Predicted band size: 48/53 kDa Observed band size: 48/53 kDa Exposure time: 2 minutes 6 seconds; ECL: K1802; 4-20% SDS-PAGE gel. Proteins were transferred to a PVDF membrane and blocked with 5% NFDM/TBST for 1 hour at room temperature. The primary antibody (ET1609-42) at 1/2,000 dilution was used in 5% NFDM/TBST at 4℃ overnight. Goat Anti-Rabbit IgG - HRP Secondary Antibody (HA1001) at 1/50,000 dilution was used for 1 hour at room temperature.

Western blot analysis of Phospho-JNK1/2/3 (T183 + T183 + T221) on different lysates with Rabbit anti-Phospho-JNK1/2/3 (T183 + T183 + T221) antibody (ET1609-42) at 1/2,000 dilution. Lane 1: HeLa cell lysate Lane 2: HeLa treated with 25μg/mL Anisomycin for 30 minutes cell lysate Lane 3: NIH/3T3 cell lysate Lane 4: NIH/3T3 treated with 25μg/mL Anisomycin for 30 minutes cell lysate Lysates/proteins at 20 µg/Lane. Predicted band size: 48/53 kDa Observed band size: 48/53 kDa Exposure time: 59 seconds; ECL: K1801; 4-20% SDS-PAGE gel. Proteins were transferred to a PVDF membrane and blocked with 5% NFDM/TBST for 1 hour at room temperature. The primary antibody (ET1609-42) at 1/2,000 dilution was used in 5% NFDM/TBST at 4℃ overnight. Goat Anti-Rabbit IgG - HRP Secondary Antibody (HA1001) at 1/50,000 dilution was used for 1 hour at room temperature.
quantity: 100μl
price: 385.00 USD
to the supplier
JNK1
HUABIO
catalog: HA721899
domestic rabbit monoclonal (JE63-04)
reactivity: human, mouse, rat
application: western blot, immunohistochemistry - paraffin section

Western blot analysis of JNK1 on different lysates with Rabbit anti-JNK1 antibody (HA721899) at 1/2,000 dilution. Lane 1: HeLa cell lysate Lane 2: HEK-293 cell lysate Lane 3: Jurkat cell lysate Lane 4: MCF7 cell lysate Lane 5: NIH/3T3 cell lysate Lane 6: PC-12 cell lysate Lane 7: C6 cell lysate Lysates/proteins at 20 µg/Lane. Predicted band size: 44 kDa Observed band size: 44/48 kDa Exposure time: 3 minutes; 4-20% SDS-PAGE gel. Proteins were transferred to a PVDF membrane and blocked with 5% NFDM/TBST for 1 hour at room temperature. The primary antibody (HA721899) at 1/2,000 dilution was used in 5% NFDM/TBST at 4℃ overnight. Goat Anti-Rabbit IgG - HRP Secondary Antibody (HA1001) at 1/50,000 dilution was used for 1 hour at room temperature.

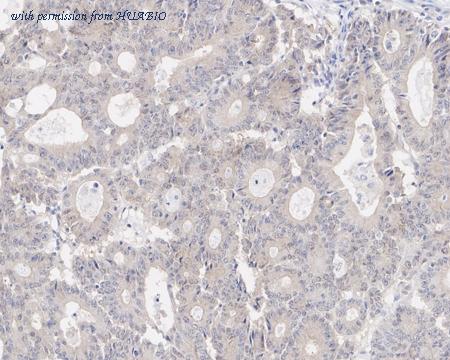
Immunohistochemical analysis of paraffin-embedded human colon cancer tissue with Rabbit anti-JNK1 antibody (HA721899) at 1/500 dilution. The section was pre-treated using heat mediated antigen retrieval with Tris-EDTA buffer (pH 9.0) for 20 minutes. The tissues were blocked in 1% BSA for 20 minutes at room temperature, washed with ddH2O and PBS, and then probed with the primary antibody (HA721899) at 1/500 dilution for 1 hour at room temperature. The detection was performed using an HRP conjugated compact polymer system. DAB was used as the chromogen. Tissues were counterstained with hematoxylin and mounted with DPX.

Immunohistochemical analysis of paraffin-embedded mouse brain tissue with Rabbit anti-JNK1 antibody (HA721899) at 1/2,000 dilution. The section was pre-treated using heat mediated antigen retrieval with Tris-EDTA buffer (pH 9.0) for 20 minutes. The tissues were blocked in 1% BSA for 20 minutes at room temperature, washed with ddH2O and PBS, and then probed with the primary antibody (HA721899) at 1/2,000 dilution for 1 hour at room temperature. The detection was performed using an HRP conjugated compact polymer system. DAB was used as the chromogen. Tissues were counterstained with hematoxylin and mounted with DPX.
quantity: 100μl
price: 385.00 USD
to the supplier
JNK1+JNK2+JNK3
HUABIO
catalog: HA750018
domestic rabbit monoclonal (SA43-06)
reactivity: human, mouse, rat, bovine, zebrafish
application: western blot, immunoprecipitation, immunohistochemistry - paraffin section

Western blot analysis of JNK1+JNK2+JNK3 on different lysates with Rabbit anti-JNK1+JNK2+JNK3 antibody (HA750018) at 1/2,000 dilution and competitor's antibody at 1/1,000 dilution. Lane 1: HeLa cell lysate Lane 2: HEK-293 cell lysate Lane 3: Jurkat cell lysate Lane 4: MCF7 cell lysate Lane 5: NIH/3T3 cell lysate Lane 6: PC-12 cell lysate Lane 7: C6 cell lysate Lysates/proteins at 15 µg/Lane. Predicted band size: 48/53 kDa Observed band size: 48/53 kDa Exposure time: 35 seconds; ECL: K1801; 4-20% SDS-PAGE gel. Proteins were transferred to a PVDF membrane and blocked with 5% NFDM/TBST for 1 hour at room temperature. The primary antibody (HA750018) at 1/2,000 dilution and competitor's antibody at 1/1,000 dilution were used in 5% NFDM/TBST at 4℃ overnight. Goat Anti-Rabbit IgG - HRP Secondary Antibody (HA1001) at 1/50,000 dilution was used for 1 hour at room temperature.

Western blot analysis of JNK1+JNK2+JNK3 on different lysates with Rabbit anti-JNK1+JNK2+JNK3 antibody (HA750018) at 1/5,000 dilution. Lane 1: Mouse brain tissue lysate (15 µg/Lane) Lane 2: Rat brain tissue lysate (15 µg/Lane) Predicted band size: 48/53 kDa Observed band size: 48/53 kDa Exposure time: 1 minute; ECL: K1801; 4-20% SDS-PAGE gel. Proteins were transferred to a PVDF membrane and blocked with 5% NFDM/TBST for 1 hour at room temperature. The primary antibody (HA750018) at 1/5,000 dilution was used in 5% BSA at 4℃ overnight. Goat Anti-Rabbit IgG - HRP Secondary Antibody (HA1001) at 1/50,000 dilution was used for 1 hour at room temperature.

Immunohistochemical analysis of paraffin-embedded human brain tissue with Rabbit anti-JNK1+JNK2+JNK3 antibody (HA750018) at 1/1,000 dilution. The section was pre-treated using heat mediated antigen retrieval with sodium citrate buffer (pH 6.0) (high pressure) for 2 minutes. The tissues were blocked in 1% BSA for 20 minutes at room temperature, washed with ddH2O and PBS, and then probed with the primary antibody (HA750018) at 1/1,000 dilution for 1 hour at room temperature. The detection was performed using an HRP conjugated compact polymer system. DAB was used as the chromogen. Tissues were counterstained with hematoxylin and mounted with DPX.
quantity: 100μl
price: 649.00 USD
to the supplier
domestic rabbit monoclonal (ST500)
reactivity: human, mouse, rat
application: western blot, immunoprecipitation, flow cytometry, immunohistochemistry - paraffin section, immunohistochemistry - frozen section

Western blot analysis of Phospho-JNK1/2/3 (T183 + T183 + T221) on different lysates with Rabbit anti-Phospho-JNK1/2/3 (T183 + T183 + T221) antibody (HA750173) at 1/1,000 dilution. Lane 1: Hela cell lysate, untreated (10 µg/Lane) Lane 2: Hela cell lysate, treated with Anisomycin (10 µg/Lane) Lane 3: A431 cell lysate, untreated (10 µg/Lane) Lane 4: A431 cell lysate, treated with UV40 (10 µg/Lane) Lane 5: 293 cell lysate, untreated (10 µg/Lane) Lane 6: 293 cell lysate, treated with UV40 (10 µg/Lane) Lane 7: Hela cell lysate, untreated (10 µg/Lane) Lane 8: Hela cell lysate, treated with UV40 (10 µg/Lane) Predicted band size: 48/53 kDa Observed band size: 48/53 kDa Exposure time: 2 minutes; 12% SDS-PAGE gel. Proteins were transferred to a PVDF membrane and blocked with 5% NFDM/TBST for 1 hour at room temperature. The primary antibody (HA750173) at 1/1,000 dilution was used in 5% NFDM/TBST at room temperature for 2 hours. Goat Anti-Rabbit IgG - HRP Secondary Antibody (HA1001) at 1:300,000 dilution was used for 1 hour at room temperature.

Western blot analysis of Phospho-JNK1/2/3 (T183 + T183 + T221) on different lysates with Rabbit anti-Phospho-JNK1/2/3 (T183 + T183 + T221) antibody (HA750173) at 1/2,000 dilution. Lane 1: C6 cell lysate Lane 2: C6 treated with 25µg/mL Anisomycin for 30 minutes cell lysate. Lysates/proteins at 20 µg/Lane. Predicted band size: 48/53 kDa Observed band size: 48/53 kDa Exposure time: 2 minutes 6 seconds; ECL: K1802; 4-20% SDS-PAGE gel. Proteins were transferred to a PVDF membrane and blocked with 5% NFDM/TBST for 1 hour at room temperature. The primary antibody (HA750173) at 1/2,000 dilution was used in 5% NFDM/TBST at 4℃ overnight. Goat Anti-Rabbit IgG - HRP Secondary Antibody (HA1001) at 1/50,000 dilution was used for 1 hour at room temperature.

Western blot analysis of Phospho-JNK1/2/3 (T183 + T183 + T221) on different lysates with Rabbit anti-Phospho-JNK1/2/3 (T183 + T183 + T221) antibody (HA750173) at 1/2,000 dilution. Lane 1: HeLa cell lysate Lane 2: HeLa treated with 25μg/mL Anisomycin for 30 minutes cell lysate Lane 3: NIH/3T3 cell lysate Lane 4: NIH/3T3 treated with 25μg/mL Anisomycin for 30 minutes cell lysate Lysates/proteins at 20 µg/Lane. Predicted band size: 48/53 kDa Observed band size: 48/53 kDa Exposure time: 59 seconds; ECL: K1801; 4-20% SDS-PAGE gel. Proteins were transferred to a PVDF membrane and blocked with 5% NFDM/TBST for 1 hour at room temperature. The primary antibody (HA750173) at 1/2,000 dilution was used in 5% NFDM/TBST at 4℃ overnight. Goat Anti-Rabbit IgG - HRP Secondary Antibody (HA1001) at 1/50,000 dilution was used for 1 hour at room temperature.
quantity: 100μl
price: 649.00 USD
to the supplier
JNK1
HUABIO
catalog: R1309-1
domestic rabbit polyclonal
reactivity: human, mouse, rat, zebrafish
application: western blot, flow cytometry, immunohistochemistry - paraffin section

Western blot analysis of JNK1 on different cell lysates using anti-JNK1 antibody at 1/1,000 dilution. Positive control: Lane 1: K562 cell lysate Lane 2: PC-12 cell lysate Lane 3: Hela cell lysate

Immunocytochemistry analysis of PC-12 cells labeling JNK1 with Rabbit anti-JNK1 antibody (R1309-1) at 1/100 dilution. Cells were fixed in 4% paraformaldehyde for 15 minutes at room temperature, permeabilized with 0.1% Triton X-100 in PBS for 15 minutes at room temperature, then blocked with 1% BSA in 10% negative goat serum for 1 hour at room temperature. Cells were then incubated with Rabbit anti-JNK1 antibody (R1309-1) at 1/100 dilution in 1% BSA in PBST overnight at 4 ℃. Goat Anti-Rabbit IgG H&L (iFluor™ 488, HA1121) was used as the secondary antibody at 1/1,000 dilution. PBS instead of the primary antibody was used as the secondary antibody only control. Nuclear DNA was labelled in blue with DAPI. Beta tubulin (HA601187, red) was stained at 1/100 dilution overnight at +4℃. Goat Anti-Mouse IgG H&L (iFluor™ 594, HA1126) was used as the secondary antibody at 1/1,000 dilution.

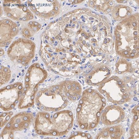
Immunohistochemical analysis of paraffin-embedded human kidney tissue with Rabbit anti-JNK1 antibody (R1309-1) at 1/1,000 dilution. The section was pre-treated using heat mediated antigen retrieval with Tris-EDTA buffer (pH 9.0) for 20 minutes. The tissues were blocked in 1% BSA for 20 minutes at room temperature, washed with ddH2O and PBS, and then probed with the primary antibody (R1309-1) at 1/1,000 dilution for 1 hour at room temperature. The detection was performed using an HRP conjugated compact polymer system. DAB was used as the chromogen. Tissues were counterstained with hematoxylin and mounted with DPX.
quantity: 100μl
price: 330 USD
to the supplier
Anti-JNK1+JNK2+JNK3 Antibody [SA43-06]
HUABIO
catalog: ET1601-28TR
domestic rabbit monoclonal (SA43-06)
reactivity: human, mouse, rat, bovine, zebrafish
application: western blot, immunoprecipitation, immunohistochemistry - paraffin section
quantity: 20 uL
price: 99 USD
to the supplier
domestic rabbit monoclonal (ST500)
reactivity: human, mouse, rat
application: western blot, immunoprecipitation, flow cytometry, immunohistochemistry - paraffin section, immunohistochemistry - frozen section
quantity: 20 uL
price: 99 USD
to the supplier