Sign in
Sign up
home
>
HUABIO
> HUABIO ERK1 antibody
ERK1/2
HUABIO
catalog: ER131011
domestic rabbit polyclonal
reactivity:
human
,
mouse
,
rat
application:
western blot
,
immunohistochemistry - paraffin section
Western blot analysis of ERK1/2 on different lysates with Rabbit anti-ERK1/2 antibody (ER131011) at 1/2,000 dilution. Lane 1: HeLa cell lysate Lane 2: Jurkat cell lysate Lane 3: Ramos cell lysate Lane 4: MCF7 cell lysate Lane 5: Neuro-2a cell lysate Lane 6: C6 cell lysate Lysates/proteins at 20 µg/Lane. Predicted band size: 43/41 kDa Observed band size: 43/41 kDa Exposure time: 6 seconds; ECL: K1801; 4-20% SDS-PAGE gel. Proteins were transferred to a PVDF membrane and blocked with 5% NFDM/TBST for 1 hour at room temperature. The primary antibody (ER131011) at 1/2,000 dilution was used in 5% NFDM/TBST at 4℃ overnight. Goat Anti-Rabbit IgG - HRP Secondary Antibody (HA1001) at 1/50,000 dilution was used for 1 hour at room temperature.
Immunocytochemistry analysis of HeLa cells labeling ERK1/2 with Rabbit anti-ERK1/2 antibody (ER131011) at 1/100 dilution. Cells were fixed in 4% paraformaldehyde for 15 minutes at room temperature, permeabilized with 0.1% Triton X-100 in PBS for 15 minutes at room temperature, then blocked with 1% BSA in 10% negative goat serum for 1 hour at room temperature. Cells were then incubated with Rabbit anti-ERK1/2 antibody (ER131011) at 1/100 dilution in 1% BSA in PBST overnight at 4 ℃. Goat Anti-Rabbit IgG H&L (iFluor™ 488, HA1121) was used as the secondary antibody at 1/1,000 dilution. PBS instead of the primary antibody was used as the secondary antibody only control. Nuclear DNA was labelled in blue with DAPI. Beta tubulin (HA601187, red) was stained at 1/100 dilution overnight at +4℃. Goat Anti-Mouse IgG H&L (iFluor™ 594, HA1126) was used as the secondary antibody at 1/1,000 dilution.
Immunocytochemistry analysis of RAW264.7 cells labeling ERK1/2 with Rabbit anti-ERK1/2 antibody (ER131011) at 1/100 dilution. Cells were fixed in 4% paraformaldehyde for 15 minutes at room temperature, permeabilized with 0.1% Triton X-100 in PBS for 15 minutes at room temperature, then blocked with 1% BSA in 10% negative goat serum for 1 hour at room temperature. Cells were then incubated with Rabbit anti-ERK1/2 antibody (ER131011) at 1/100 dilution in 1% BSA in PBST overnight at 4 ℃. Goat Anti-Rabbit IgG H&L (iFluor™ 488, HA1121) was used as the secondary antibody at 1/1,000 dilution. PBS instead of the primary antibody was used as the secondary antibody only control. Nuclear DNA was labelled in blue with DAPI. Beta tubulin (HA601187, red) was stained at 1/100 dilution overnight at +4℃. Goat Anti-Mouse IgG H&L (iFluor™ 594, HA1126) was used as the secondary antibody at 1/1,000 dilution.
quantity: 100μl
price: 330 USD
to the supplier
ERK1/2
HUABIO
catalog: ET1601-29
domestic rabbit monoclonal (SA43-03)
reactivity:
human
,
mouse
,
rat
,
zebrafish
application:
western blot
,
immunoprecipitation
,
flow cytometry
,
immunohistochemistry - paraffin section
,
immunohistochemistry - frozen section
Western blot analysis of ERK1/2 on different lysates with Rabbit anti-ERK1/2 antibody (ET1601-29) at 1/5,000 dilution and competitor's antibody at 1/1,000 dilution. Lane 1: HeLa cell lysate Lane 2: Jurkat cell lysate Lane 3: HepG2 cell lysate Lane 4: NIH/3T3 cell lysate Lane 5: PC-12 cell lysate Lane 6: C6 cell lysate Lysates/proteins at 15 µg/Lane. Predicted band size: 43/41 kDa Observed band size: 43/41 kDa Exposure time: 19 seconds; ECL: K1801; 4-20% SDS-PAGE gel. Proteins were transferred to a PVDF membrane and blocked with 5% NFDM/TBST for 1 hour at room temperature. The primary antibody (ET1601-29) at 1/5,000 dilution and competitor's antibody at 1/1,000 dilution were used in 5% NFDM/TBST at 4℃ overnight. Goat Anti-Rabbit IgG - HRP Secondary Antibody (HA1001) at 1/50,000 dilution was used for 1 hour at room temperature.
Immunocytochemistry analysis of Jurkat cells labeling ERK1/2 with Rabbit anti-ERK1/2 antibody (ET1601-29) at 1/2,000 dilution and competitor's antibody at 1/1,600 dilution. Cells were fixed in 4% paraformaldehyde for 20 minutes at room temperature, permeabilized with 0.1% Triton X-100 in PBS for 5 minutes at room temperature, then blocked with 1% BSA in 10% negative goat serum for 1 hour at room temperature. Cells were then incubated with Rabbit anti-ERK1/2 antibody (ET1601-29) at 1/2,000 dilution and competitor's antibody at 1/1,600 dilution in 1% BSA in PBST overnight at 4 ℃. Goat Anti-Rabbit IgG H&L (iFluor™ 488, HA1121) was used as the secondary antibody at 1/1,000 dilution. PBS instead of the primary antibody was used as the secondary antibody only control. Nuclear DNA was labelled in blue with DAPI. Beta tubulin (M1305-2, red) was stained at 1/100 dilution overnight at +4℃. Goat Anti-Mouse IgG H&L (iFluor™ 594, HA1126) was used as the secondary antibody at 1/1,000 dilution.
Western blot analysis of ERK1/2 on different lysates with Rabbit anti-ERK1/2 antibody (ET1601-29) at 1/5,000 dilution. Lane 1: HEK-293-si NT cell lysate Lane 2: HEK-293-si ERK1/2 cell lysate Lysates/proteins at 10 µg/Lane. Predicted band size: 41/43 kDa Observed band size: 41/43kDa Exposure time: 20 seconds; ECL: K1801; 4-20% SDS-PAGE gel. Proteins were transferred to a PVDF membrane and blocked with 5% NFDM in TBST for 1 hour at room temperature. The primary antibody (ET1601-29, 1/5,000) and Loading control antibody (Rabbit anti-GAPDH, ET1601-4, 1/10,000) were used in 5% NFDM/TBST at 4℃ overnight. Goat Anti-rabbit IgG-HRP Secondary Antibody (HA1001) at 1/50,000 dilution was used for 1 hour at room temperature.
quantity: 100μl
price: 385.00 USD
to the supplier
Phospho-Erk1 (T202)+Erk2 (T185)
HUABIO
catalog: ET1603-22
domestic rabbit monoclonal (SZ2-4)
reactivity:
human
,
mouse
,
rat
application:
western blot
,
flow cytometry
,
immunohistochemistry - paraffin section
Western blot analysis of Phospho-Erk1 (T202)+Erk2 (T185) on different lysates with Rabbit anti-Phospho-Erk1 (T202)+Erk2 (T185) antibody (ET1603-22) at 1/1,000 dilution. Lane 1: Jurkat cell lysate Lane 2: Jurkat treated with 200ng/mL PMA for 35 minutes cell lysate Lane 3: NIH/3T3 cell lysate Lane 4: NIH/3T3 treated with 200nM PMA for 30 minutes cell lysate Lane 5: C6 cell lysate Lane 6: C6 treated with 200nM PMA for 30 minutes cell lysate Lysates/proteins at 10 µg/Lane. Predicted band size: 41/43 kDa Observed band size: 41/43 kDa Exposure time: 3 minutes; ECL: K1802; 4-20% SDS-PAGE gel. Proteins were transferred to a PVDF membrane and blocked with 5% NFDM/TBST for 1 hour at room temperature. The primary antibody (ET1603-22) at 1/1,000 dilution was used in 5% NFDM/TBST at 4℃ overnight. Goat Anti-Rabbit IgG - HRP Secondary Antibody (HA1001) at 1/50,000 dilution was used for 1 hour at room temperature.
Western blot analysis of Phospho-Erk1(T202)+Erk2(T185) on jurkat cell lysates. Lane 1: jurkat cells, whole cell lysate, 10ug/lane Lane 2/3: jurkat cells treated with 200 ng/ml PMA for 35 minutes, whole cell lysate, 10ug/lane Lane 4: jurkat cells treated with 200 ng/ml PMA for 35 minutes, then treated with 2.8ug/ul lambda-PP for 30 minutes, whole cell lysates, 10ug/lane All lanes : Anti-Phospho-Erk1(T202)+Erk2(T185) antibody (ET1603-22) at 1/500 dilution. Anti-Erk1+Erk2antibody (ET1601-29) at 1/500 dilution. Anti-GAPDH antibody (ET1601-4) at 1/10,000 dilution. Goat Anti-Rabbit IgG H&L (HRP) (HA1001) at 1/200,000 dilution. Predicted band size: 41/43 kDa Observed band size: 41/43 kDa Blocking and diluting buffer: 5% BSA. Exposure time: Lan1/2 4 minutes; Lan3/4 3 minutes
ICC staining of Phospho-Erk1 (T202)+Erk2 (T185) in A549 cells (green). Formalin fixed cells were permeabilized with 0.1% Triton X-100 in TBS for 10 minutes at room temperature and blocked with 1% Blocker BSA for 15 minutes at room temperature. Cells were probed with the primary antibody (ET1603-22, 1/50) for 1 hour at room temperature, washed with PBS. Alexa Fluor®488 Goat anti-Rabbit IgG was used as the secondary antibody at 1/1,000 dilution. The nuclear counter stain is DAPI (blue).
quantity: 100μl
price: 385.00 USD
to the supplier
ERK1
HUABIO
catalog: ET1604-16
domestic rabbit monoclonal (SP05-09)
reactivity:
human
,
mouse
,
rat
application:
western blot
,
flow cytometry
,
immunohistochemistry - paraffin section
Western blot analysis of ERK1 on different lysates with Rabbit anti-ERK1 antibody (ET1604-16) at 1/2,000 dilution. Lane 1: HeLa cell lysate Lane 2: Jurkat cell lysate Lane 3: A549 cell lysate Lane 4: Ramos cell lysate Lane 5: MCF7 cell lysate Lane 6: Neuro-2a cell lysate Lane 7: C6 cell lysate Lysates/proteins at 20 µg/Lane. Predicted band size: 43 kDa Observed band size: 43 kDa Exposure time: 10 seconds; ECL: K1801; 4-20% SDS-PAGE gel. Proteins were transferred to a PVDF membrane and blocked with 5% NFDM/TBST for 1 hour at room temperature. The primary antibody (ET1604-16) at 1/2,000 dilution was used in 5% NFDM/TBST at 4℃ overnight. Goat Anti-Rabbit IgG - HRP Secondary Antibody (HA1001) at 1/50,000 dilution was used for 1 hour at room temperature.
Western blot analysis of ERK1 on different lysates with Rabbit anti-ERK1 antibody (ET1604-16) at 1/5,000 dilution. Lane 1: HAP1-parental cell lysate Lane 2: HAP1-ERK1 KD cell lysate Lysates/proteins at 10 µg/Lane. Predicted band size: 43 kDa Observed band size: 43 kDa Exposure time: 2 minutes; ECL: K1801; 4-20% SDS-PAGE gel. Proteins were transferred to a PVDF membrane and blocked with 5% NFDM/TBST for 1 hour at room temperature. The primary antibody (ET1604-16) at 1/5,000 dilution was used in primary antibody dilution (K1803) at 4℃ overnight. Goat Anti-Rabbit IgG - HRP Secondary Antibody (HA1001) at 1/50,000 dilution was used for 1 hour at room temperature.
Immunocytochemistry analysis of Neuro-2a cells labeling ERK1 with Rabbit anti-ERK1 antibody (ET1604-16) at 1/50 dilution. Cells were fixed in 4% paraformaldehyde for 15 minutes at room temperature, permeabilized with 0.1% Triton X-100 in PBS for 15 minutes at room temperature, then blocked with 1% BSA in 10% negative goat serum for 1 hour at room temperature. Cells were then incubated with Rabbit anti-ERK1 antibody (ET1604-16) at 1/50 dilution in 1% BSA in PBST overnight at 4 ℃. Goat Anti-Rabbit IgG H&L (iFluor™ 488, HA1121) was used as the secondary antibody at 1/1,000 dilution. PBS instead of the primary antibody was used as the secondary antibody only control. Nuclear DNA was labelled in blue with DAPI. Beta tubulin (HA601187, red) was stained at 1/100 dilution overnight at +4℃. Goat Anti-Mouse IgG H&L (iFluor™ 594, HA1126) was used as the secondary antibody at 1/1,000 dilution.
quantity: 100μl
price: 385.00 USD
to the supplier
ERK1
HUABIO
catalog: ET1604-32
domestic rabbit monoclonal (SP00-74)
reactivity:
human
application:
western blot
,
immunoprecipitation
,
flow cytometry
,
immunohistochemistry - paraffin section
Western blot analysis of ERK1 on different lysates with Rabbit anti-ERK1 antibody (ET1604-32) at 1/1,000 dilution. Lane 1: HeLa cell lysate Lane 2: Jurkat cell lysate Lane 3: A549 cell lysate Lane 4: Ramos cell lysate Lane 5: MCF7 cell lysate Lysates/proteins at 20 µg/Lane. Predicted band size: 43 kDa Observed band size: 43 kDa Exposure time: 6 seconds; ECL: K1801; 4-20% SDS-PAGE gel. Proteins were transferred to a PVDF membrane and blocked with 5% NFDM/TBST for 1 hour at room temperature. The primary antibody (ET1604-32) at 1/1,000 dilution was used in 5% NFDM/TBST at 4℃ overnight. Goat Anti-Rabbit IgG - HRP Secondary Antibody (HA1001) at 1/50,000 dilution was used for 1 hour at room temperature.
Western blot analysis of ERK1 on different lysates with Rabbit anti-ERK1 antibody (ET1604-32) at 1/2,000 dilution. Lane 1: HAP1-parental cell lysate Lane 2: HAP1-ERK1 KD cell lysate Lysates/proteins at 10 µg/Lane. Predicted band size: 43 kDa Observed band size: 43 kDa Exposure time: 40 seconds; ECL: K1801; 4-20% SDS-PAGE gel. Proteins were transferred to a PVDF membrane and blocked with 5% NFDM/TBST for 1 hour at room temperature. The primary antibody (ET1604-32) at 1/2,000 dilution was used in primary antibody dilution (K1803) at 4℃ overnight. Goat Anti-Rabbit IgG - HRP Secondary Antibody (HA1001) at 1/50,000 dilution was used for 1 hour at room temperature.
Immunocytochemistry analysis of Jurkat cells labeling ERK1 with Rabbit anti-ERK1 antibody (ET1604-32) at 1/100 dilution. Cells were fixed in 4% paraformaldehyde for 15 minutes at room temperature, permeabilized with 0.1% Triton X-100 in PBS for 15 minutes at room temperature, then blocked with 1% BSA in 10% negative goat serum for 1 hour at room temperature. Cells were then incubated with Rabbit anti-ERK1 antibody (ET1604-32) at 1/100 dilution in 1% BSA in PBST overnight at 4 ℃. Goat Anti-Rabbit IgG H&L (iFluor™ 488, HA1121) was used as the secondary antibody at 1/1,000 dilution. PBS instead of the primary antibody was used as the secondary antibody only control. Nuclear DNA was labelled in blue with DAPI. Beta tubulin (HA601187, red) was stained at 1/100 dilution overnight at +4℃. Goat Anti-Mouse IgG H&L (iFluor™ 594, HA1126) was used as the secondary antibody at 1/1,000 dilution.
quantity: 100μl
price: 385.00 USD
to the supplier
Phospho-Erk1 (T202 + Y204) + Erk2 (T185 + Y187)
HUABIO
catalog: ET1610-13
domestic rabbit monoclonal (SC58-01)
reactivity:
human
,
mouse
,
rat
application:
western blot
,
immunoprecipitation
,
flow cytometry
,
immunohistochemistry - paraffin section
Western blot analysis of Phospho-Erk1 (T202 + Y204) + Erk2 (T185 + Y187) on different lysates with Rabbit anti-Phospho-Erk1 (T202 + Y204) + Erk2 (T185 + Y187) antibody (ET1610-13) at 1/5,000 dilution and competitor's antibody at 1/5,000 dilution. Lane 1: SH-SY5Y cell lysate Lane 2: SH-SY5Y treated with 100ng/mL hβ-NGF for 10 minutes cell lysate Lane 3: PC-12 cell lysate Lane 4: PC-12 treated with 100ng/mL hβ-NGF for 10 minutes cell lysate Lysates/proteins at 15 µg/Lane. Predicted band size: 41/43 kDa Observed band size: 41/43 kDa Exposure time: 1 minute 50 seconds; ECL: K1801; 4-20% SDS-PAGE gel. Proteins were transferred to a PVDF membrane and blocked with 5% NFDM/TBST for 1 hour at room temperature. The primary antibody (ET1610-13) at 1/5,000 dilution and competitor's antibody at 1/5,000 dilution were used in 5% BSA at 4℃ overnight. Goat Anti-Rabbit IgG - HRP Secondary Antibody (HA1001) at 1/50,000 dilution was used for 1 hour at room temperature.
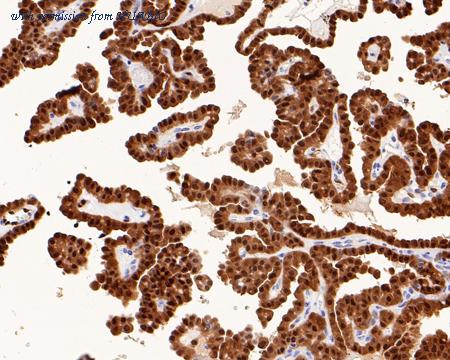
Immunohistochemical analysis of paraffin-embedded human thyroid carcinoma tissue with Rabbit anti-Phospho-Erk1 (T202 + Y204) + Erk2 (T185 + Y187) antibody (ET1610-13) at 1/1,000 dilution. The section was pre-treated using heat mediated antigen retrieval with sodium citrate buffer (pH 6.0) (high pressure) for 2 minutes. The tissues were blocked in 1% BSA for 20 minutes at room temperature, washed with ddH2O and PBS, and then probed with the primary antibody (ET1610-13) at 1/1,000 dilution for 1 hour at room temperature. The detection was performed using an HRP conjugated compact polymer system. DAB was used as the chromogen. Tissues were counterstained with hematoxylin and mounted with DPX.
Western blot analysis of Phospho-Erk1 (T202 + Y204) + Erk2 (T185 + Y187) on different lysates with Rabbit anti-Phospho-Erk1 (T202 + Y204) + Erk2 (T185 + Y187) antibody (ET1610-13) at 1/5,000 dilution. Lane 1: NIH/3T3 cell lysate Lane 2: NIH/3T3 treated with 200nM PMA for 30 minutes cell lysate Lane 3: HeLa cell lysate Lane 4: HeLa treated with 200nM PMA for 30 minutes cell lysate Lysates/proteins at 20 µg/Lane. Predicted band size: 41/43 kDa Observed band size: 41/43 kDa Exposure time: 13 seconds; ECL: K1801; 4-20% SDS-PAGE gel. Proteins were transferred to a PVDF membrane and blocked with 5% NFDM/TBST for 1 hour at room temperature. The primary antibody (ET1610-13) at 1/5,000 dilution was used in 5% NFDM/TBST at 4℃ overnight. Goat Anti-Rabbit IgG - HRP Secondary Antibody (HA1001) at 1/50,000 dilution was used for 1 hour at room temperature.
quantity: 100μl
price: 385.00 USD
to the supplier
ERK1/2
HUABIO
catalog: HA750019
domestic rabbit monoclonal (SA43-03)
reactivity:
human
,
mouse
,
rat
,
zebrafish
application:
western blot
,
immunoprecipitation
,
flow cytometry
,
immunohistochemistry - paraffin section
,
immunohistochemistry - frozen section
Western blot analysis of ERK1/2 on different lysates with Rabbit anti-ERK1/2 antibody (HA750019) at 1/5,000 dilution and competitor's antibody at 1/1,000 dilution. Lane 1: HeLa cell lysate Lane 2: Jurkat cell lysate Lane 3: HepG2 cell lysate Lane 4: NIH/3T3 cell lysate Lane 5: PC-12 cell lysate Lane 6: C6 cell lysate Lysates/proteins at 15 µg/Lane. Predicted band size: 43/41 kDa Observed band size: 43/41 kDa Exposure time: 19 seconds; ECL: K1801; 4-20% SDS-PAGE gel. Proteins were transferred to a PVDF membrane and blocked with 5% NFDM/TBST for 1 hour at room temperature. The primary antibody (HA750019) at 1/5,000 dilution and competitor's antibody at 1/1,000 dilution were used in 5% NFDM/TBST at 4℃ overnight. Goat Anti-Rabbit IgG - HRP Secondary Antibody (HA1001) at 1/50,000 dilution was used for 1 hour at room temperature.
Immunocytochemistry analysis of Jurkat cells labeling ERK1/2 with Rabbit anti-ERK1/2 antibody (HA750019) at 1/2,000 dilution and competitor's antibody at 1/1,600 dilution. Cells were fixed in 4% paraformaldehyde for 20 minutes at room temperature, permeabilized with 0.1% Triton X-100 in PBS for 5 minutes at room temperature, then blocked with 1% BSA in 10% negative goat serum for 1 hour at room temperature. Cells were then incubated with Rabbit anti-ERK1/2 antibody (HA750019) at 1/2,000 dilution and competitor's antibody at 1/1,600 dilution in 1% BSA in PBST overnight at 4 ℃. Goat Anti-Rabbit IgG H&L (iFluor™ 488, HA1121) was used as the secondary antibody at 1/1,000 dilution. PBS instead of the primary antibody was used as the secondary antibody only control. Nuclear DNA was labelled in blue with DAPI. Beta tubulin (M1305-2, red) was stained at 1/100 dilution overnight at +4℃. Goat Anti-Mouse IgG H&L (iFluor™ 594, HA1126) was used as the secondary antibody at 1/1,000 dilution.
Western blot analysis of ERK1/2 on different lysates with Rabbit anti-ERK1/2 antibody (HA750019) at 1/5,000 dilution. Lane 1: HEK-293-si NT cell lysate Lane 2: HEK-293-si ERK1/2 cell lysate Lysates/proteins at 10 µg/Lane. Predicted band size: 41/43 kDa Observed band size: 41/43kDa Exposure time: 20 seconds; ECL: K1801; 4-20% SDS-PAGE gel. Proteins were transferred to a PVDF membrane and blocked with 5% NFDM in TBST for 1 hour at room temperature. The primary antibody (ET1601-29, 1/5,000) and Loading control antibody (Rabbit anti-GAPDH, ET1601-4, 1/10,000) were used in 5% NFDM/TBST at 4℃ overnight. Goat Anti-rabbit IgG-HRP Secondary Antibody (HA1001) at 1/50,000 dilution was used for 1 hour at room temperature.
quantity: 100μl
price: 649.00 USD
to the supplier
Phospho-Erk1 (T202)+Erk2 (T185)
HUABIO
catalog: HA750061
domestic rabbit monoclonal (SZ2-4)
reactivity:
human
,
mouse
,
rat
application:
western blot
,
flow cytometry
,
immunohistochemistry - paraffin section
Western blot analysis of Phospho-Erk1 (T202)+Erk2 (T185) on different lysates with Rabbit anti-Phospho-Erk1 (T202)+Erk2 (T185) antibody (HA750061) at 1/1,000 dilution. Lane 1: Jurkat cell lysate Lane 2: Jurkat treated with 200ng/mL PMA for 35 minutes cell lysate Lane 3: NIH/3T3 cell lysate Lane 4: NIH/3T3 treated with 200nM PMA for 30 minutes cell lysate Lane 5: C6 cell lysate Lane 6: C6 treated with 200nM PMA for 30 minutes cell lysate Lysates/proteins at 10 µg/Lane. Predicted band size: 41/43 kDa Observed band size: 41/43 kDa Exposure time: 3 minutes; ECL: K1802; 4-20% SDS-PAGE gel. Proteins were transferred to a PVDF membrane and blocked with 5% NFDM/TBST for 1 hour at room temperature. The primary antibody (HA750061) at 1/1,000 dilution was used in 5% NFDM/TBST at 4℃ overnight. Goat Anti-Rabbit IgG - HRP Secondary Antibody (HA1001) at 1/50,000 dilution was used for 1 hour at room temperature.
Western blot analysis of Phospho-Erk1(T202)+Erk2(T185) on jurkat cell lysates. Lane 1: jurkat cells, whole cell lysate, 10ug/lane Lane 2/3: jurkat cells treated with 200 ng/ml PMA for 35 minutes, whole cell lysate, 10ug/lane Lane 4: jurkat cells treated with 200 ng/ml PMA for 35 minutes, then treated with 2.8ug/ul lambda-PP for 30 minutes, whole cell lysates, 10ug/lane All lanes : Anti-Phospho-Erk1(T202)+Erk2(T185) antibody (HA750061) at 1/500 dilution. Anti-Erk1+Erk2antibody (ET1601-29) at 1/500 dilution. Anti-GAPDH antibody (ET1601-4) at 1/10,000 dilution. Goat Anti-Rabbit IgG H&L (HRP) (HA1001) at 1/200,000 dilution. Predicted band size: 41/43 kDa Observed band size: 41/43 kDa Blocking and diluting buffer: 5% BSA. Exposure time: Lan1/2 4 minutes; Lan3/4 3 minutes
ICC staining of Phospho-Erk1 (T202)+Erk2 (T185) in A549 cells (green). Formalin fixed cells were permeabilized with 0.1% Triton X-100 in TBS for 10 minutes at room temperature and blocked with 1% Blocker BSA for 15 minutes at room temperature. Cells were probed with the primary antibody (HA750061, 1/50) for 1 hour at room temperature, washed with PBS. Alexa Fluor®488 Goat anti-Rabbit IgG was used as the secondary antibody at 1/1,000 dilution. The nuclear counter stain is DAPI (blue).
quantity: 100μl
price: 649.00 USD
to the supplier
Phospho-Erk1 (T202 + Y204) + Erk2 (T185 + Y187)
HUABIO
catalog: HA750199
domestic rabbit monoclonal (SC58-01)
reactivity:
human
,
mouse
,
rat
application:
western blot
,
immunoprecipitation
,
flow cytometry
,
immunohistochemistry - paraffin section
Western blot analysis of Phospho-Erk1 (T202 + Y204) + Erk2 (T185 + Y187) on different lysates with Rabbit anti-Phospho-Erk1 (T202 + Y204) + Erk2 (T185 + Y187) antibody (HA750199) at 1/5,000 dilution and competitor's antibody at 1/5,000 dilution. Lane 1: SH-SY5Y cell lysate Lane 2: SH-SY5Y treated with 100ng/mL hβ-NGF for 10 minutes cell lysate Lane 3: PC-12 cell lysate Lane 4: PC-12 treated with 100ng/mL hβ-NGF for 10 minutes cell lysate Lysates/proteins at 15 µg/Lane. Predicted band size: 41/43 kDa Observed band size: 41/43 kDa Exposure time: 1 minute 50 seconds; ECL: K1801; 4-20% SDS-PAGE gel. Proteins were transferred to a PVDF membrane and blocked with 5% NFDM/TBST for 1 hour at room temperature. The primary antibody (HA750199) at 1/5,000 dilution and competitor's antibody at 1/5,000 dilution were used in 5% BSA at 4℃ overnight. Goat Anti-Rabbit IgG - HRP Secondary Antibody (HA1001) at 1/50,000 dilution was used for 1 hour at room temperature.
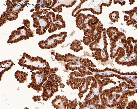
Immunohistochemical analysis of paraffin-embedded human thyroid carcinoma tissue with Rabbit anti-Phospho-Erk1 (T202 + Y204) + Erk2 (T185 + Y187) antibody (HA750199) at 1/1,000 dilution. The section was pre-treated using heat mediated antigen retrieval with sodium citrate buffer (pH 6.0) (high pressure) for 2 minutes. The tissues were blocked in 1% BSA for 20 minutes at room temperature, washed with ddH2O and PBS, and then probed with the primary antibody (HA750199) at 1/1,000 dilution for 1 hour at room temperature. The detection was performed using an HRP conjugated compact polymer system. DAB was used as the chromogen. Tissues were counterstained with hematoxylin and mounted with DPX.
Western blot analysis of Phospho-Erk1 (T202 + Y204) + Erk2 (T185 + Y187) on different lysates with Rabbit anti-Phospho-Erk1 (T202 + Y204) + Erk2 (T185 + Y187) antibody (HA750199) at 1/5,000 dilution. Lane 1: NIH/3T3 cell lysate Lane 2: NIH/3T3 treated with 200nM PMA for 30 minutes cell lysate Lane 3: HeLa cell lysate Lane 4: HeLa treated with 200nM PMA for 30 minutes cell lysate Lysates/proteins at 20 µg/Lane. Predicted band size: 41/43 kDa Observed band size: 41/43 kDa Exposure time: 13 seconds; ECL: K1801; 4-20% SDS-PAGE gel. Proteins were transferred to a PVDF membrane and blocked with 5% NFDM/TBST for 1 hour at room temperature. The primary antibody (HA750199) at 1/5,000 dilution was used in 5% NFDM/TBST at 4℃ overnight. Goat Anti-Rabbit IgG - HRP Secondary Antibody (HA1001) at 1/50,000 dilution was used for 1 hour at room temperature.
quantity: 100μl
price: 649.00 USD
to the supplier
ERK1
HUABIO
catalog: M1505-9
mouse monoclonal (7-D6-E5)
reactivity:
human
,
mouse
,
rat
application:
western blot
,
immunohistochemistry - paraffin section
Western blot analysis on Hela cell lysates using anti-ERK1 mouse mAb.
Immunocytochemistry analysis of MCF-7 cells labeling ERK1 with Mouse anti-ERK1 antibody (M1505-9) at 1/50 dilution. Cells were fixed in 4% paraformaldehyde for 30 minutes, permeabilized with 0.1% Triton X-100 in PBS for 15 minutes, and then blocked with 2% BSA for 30 minutes at room temperature. Cells were then incubated with Mouse anti-ERK1 antibody (M1505-9) at 1/50 dilution in 2% BSA overnight at 4 ℃. Goat Anti-Mouse IgG H&L (iFluor™ 488, HA1125) was used as the secondary antibody at 1/1,000 dilution. PBS instead of the primary antibody was used as the secondary antibody only control. Nuclear DNA was labelled in blue with DAPI.
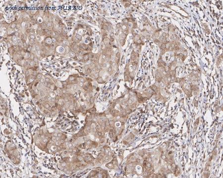
Immunohistochemical analysis of paraffin-embedded human breast carcinoma tissue with Mouse anti-ERK1 antibody (M1505-9) at 1/3,000 dilution. The section was pre-treated using heat mediated antigen retrieval with sodium citrate buffer (pH 6.0) (high pressure) for 2 minutes. The tissues were blocked in 1% BSA for 20 minutes at room temperature, washed with ddH2O and PBS, and then probed with the primary antibody (M1505-9) at 1/3,000 dilution for 1 hour at room temperature. The detection was performed using an HRP conjugated compact polymer system. DAB was used as the chromogen. Tissues were counterstained with hematoxylin and mounted with DPX.
quantity: 100μl
price: 360.00 USD
to the supplier
Anti-ERK1/2 Antibody [SA43-03]
HUABIO
catalog: ET1601-29TR
domestic rabbit monoclonal (SA43-03)
reactivity:
human
,
mouse
,
rat
,
zebrafish
application:
western blot
,
immunoprecipitation
,
flow cytometry
,
immunohistochemistry - paraffin section
,
immunohistochemistry - frozen section
quantity: 20 uL
price: 99 USD
to the supplier
Anti-Phospho-Erk1 (T202/Y204) + Erk2 (T185/Y187) Antibody [SC58-01]
HUABIO
catalog: ET1610-13TR
domestic rabbit monoclonal (SC58-01)
reactivity:
human
,
mouse
,
rat
application:
western blot
,
immunoprecipitation
,
immunohistochemistry - paraffin section
quantity: 20 uL
price: 99 USD
to the supplier