Sign in
Sign up
home
>
HUABIO
> HUABIO ERK2 antibody
ERK2
HUABIO
catalog: EM1901-53
mouse monoclonal (B10-8)
reactivity:
human
,
mouse
,
rat
application:
western blot
,
flow cytometry
,
immunohistochemistry - paraffin section
Western blot analysis of ERK2 on different lysates with Mouse anti-ERK2 antibody (EM1901-53) at 1/2,000 dilution. Lane 1: A549-si NT cell lysate Lane 2: A549-si ERK2 cell lysate Lysates/proteins at 10 µg/Lane. Predicted band size: 41 kDa Observed band size: 41 kDa Exposure time: 30 seconds; ECL: K1802; 4-20% SDS-PAGE gel. Proteins were transferred to a PVDF membrane and blocked with 5% NFDM/TBST for 1 hour at room temperature. The primary antibody (EM1901-53) at 1/2,000 dilution was used in 5% NFDM/TBST at 4℃ overnight. Goat Anti-Mouse IgG - HRP Secondary Antibody (HA1006) at 1/50,000 dilution was used for 1 hour at room temperature.
Western blot analysis of ERK2 on different lysates with Mouse anti-ERK2 antibody (EM1901-53) at 1/2,000 dilution. Lane 1: A431 cell lysate (20 µg/Lane) Lane 2: C6 cell lysate (20 µg/Lane) Lane 3: Mouse brain tissue lysate (40 µg/Lane) Lane 4: Rat brain tissue lysate (40 µg/Lane) Predicted band size: 41 kDa Observed band size: 41 kDa Exposure time: 2 seconds; ECL: K1801; 4-20% SDS-PAGE gel. Proteins were transferred to a PVDF membrane and blocked with 5% NFDM/TBST for 1 hour at room temperature. The primary antibody (EM1901-53) at 1/2,000 dilution was used in primary antibody dilution (K1803) at 4℃ overnight. Goat Anti-Mouse IgG - HRP Secondary Antibody (HA1006) at 1/50,000 dilution was used for 1 hour at room temperature.
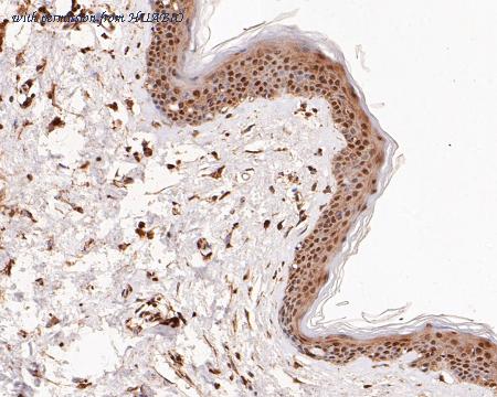
Immunohistochemical analysis of paraffin-embedded human skin tissue using anti-ERK2 antibody. The section was pre-treated using heat mediated antigen retrieval with sodium citrate buffer (pH 6.0) (high pressure) for 2 minutes. The tissues were blocked in 5% BSA for 30 minutes at room temperature, washed with ddH2O and PBS, and then probed with the primary antibody (EM1901-53, 1/100) for 30 minutes at room temperature. The detection was performed using an HRP conjugated compact polymer system. DAB was used as the chromogen. Tissues were counterstained with hematoxylin and mounted with DPX.
quantity: 100μl
price: 360.00 USD
to the supplier
ERK2
HUABIO
catalog: EM1901-54
mouse monoclonal (A10D2)
reactivity:
human
,
mouse
,
rat
application:
western blot
,
flow cytometry
,
immunohistochemistry - paraffin section
Western blot analysis of ERK2 on different lysates with Mouse anti-ERK2 antibody (EM1901-54) at 1/1,000 dilution. Lane 1: HeLa cell lysate (20 µg/Lane) Lane 2: Jurkat cell lysate (20 µg/Lane) Lane 3: A549 cell lysate (20 µg/Lane) Lane 4: A431 cell lysate (20 µg/Lane) Lane 5: HepG2 cell lysate (20 µg/Lane) Lane 6: HEK-293 cell lysate (20 µg/Lane) Lane 7: NIH/3T3 cell lysate (20 µg/Lane) Lane 8: RAW264.7 cell lysate (20 µg/Lane) Lane 9: C6 cell lysate (20 µg/Lane) Lane 10: PC-12 cell lysate (20 µg/Lane) Lane 11: Human brain tissue lysate (40 µg/Lane) Lane 12: Mouse brain tissue lysate (40 µg/Lane) Lane 13: Rat brain tissue lysate (40 µg/Lane) Predicted band size: 41 kDa Observed band size: 41 kDa Exposure time: Lane 1-11: 1 minute 30 seconds; Lane 12-13: 15 seconds; ECL: K1801; 4-20% SDS-PAGE gel. Proteins were transferred to a PVDF membrane and blocked with 5% NFDM/TBST for 1 hour at room temperature. The primary antibody (EM1901-54) at 1/1,000 dilution was used in 5% NFDM/TBST at 4℃ overnight. Alpaca Anti-Mouse IgG - HRP for IP Nano-Secondary Antibody (NBI02H) at 1/5,000 dilution was used for 1 hour at room temperature.
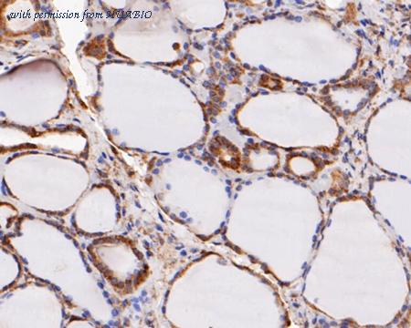
Immunohistochemical analysis of paraffin-embedded human thyroid tissue using anti-ERK2 antibody. The section was pre-treated using heat mediated antigen retrieval with sodium citrate buffer (pH 6.0) (high pressure) for 2 minutes. The tissues were blocked in 5% BSA for 30 minutes at room temperature, washed with ddH2O and PBS, and then probed with the primary antibody (EM1901-54, 1/100) for 30 minutes at room temperature. The detection was performed using an HRP conjugated compact polymer system. DAB was used as the chromogen. Tissues were counterstained with hematoxylin and mounted with DPX.
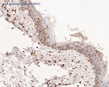
Immunohistochemical analysis of paraffin-embedded human skin tissue using anti-ERK2 antibody. The section was pre-treated using heat mediated antigen retrieval with sodium citrate buffer (pH 6.0) (high pressure) for 2 minutes. The tissues were blocked in 5% BSA for 30 minutes at room temperature, washed with ddH2O and PBS, and then probed with the primary antibody (EM1901-54, 1/100) for 30 minutes at room temperature. The detection was performed using an HRP conjugated compact polymer system. DAB was used as the chromogen. Tissues were counterstained with hematoxylin and mounted with DPX.
quantity: 100μl
price: 360.00 USD
to the supplier
ERK2
HUABIO
catalog: EM1901-55
mouse monoclonal (C3B12)
reactivity:
human
,
mouse
,
rat
application:
western blot
,
flow cytometry
,
immunohistochemistry - paraffin section
Western blot analysis of ERK2 on different lysates with Mouse anti-ERK2 antibody (EM1901-55) at 1/3,000 dilution. Lane 1: HeLa cell lysate (20 µg/Lane) Lane 2: Jurkat cell lysate (20 µg/Lane) Lane 3: A549 cell lysate (20 µg/Lane) Lane 4: A431 cell lysate (20 µg/Lane) Lane 5: HepG2 cell lysate (20 µg/Lane) Lane 6: HEK-293 cell lysate (20 µg/Lane) Lane 7: NIH/3T3 cell lysate (20 µg/Lane) Lane 8: RAW264.7 cell lysate (20 µg/Lane) Lane 9: C6 cell lysate (20 µg/Lane) Lane 10: PC-12 cell lysate (20 µg/Lane) Lane 11: Human brain tissue lysate (40 µg/Lane) Lane 12: Mouse brain tissue lysate (40 µg/Lane) Lane 13: Rat brain tissue lysate (40 µg/Lane) Predicted band size: 41 kDa Observed band size: 41 kDa Exposure time: Lane 1-10: 2 minute 37 seconds; Lane 11-13: 5 seconds; ECL: K1801; 4-20% SDS-PAGE gel. Proteins were transferred to a PVDF membrane and blocked with 5% NFDM/TBST for 1 hour at room temperature. The primary antibody (EM1901-55) at 1/3,000 dilution was used in 5% NFDM/TBST at 4℃ overnight. Alpaca Anti-Mouse IgG - HRP for IP Nano-Secondary Antibody (NBI02H) at 1/5,000 dilution was used for 1 hour at room temperature.
Immunohistochemical analysis of paraffin-embedded human thyroid tissue using anti-ERK2 antibody. The section was pre-treated using heat mediated antigen retrieval with sodium citrate buffer (pH 6.0) (high pressure) for 2 minutes. The tissues were blocked in 5% BSA for 30 minutes at room temperature, washed with ddH2O and PBS, and then probed with the primary antibody (EM1901-55, 1/100) for 30 minutes at room temperature. The detection was performed using an HRP conjugated compact polymer system. DAB was used as the chromogen. Tissues were counterstained with hematoxylin and mounted with DPX.
Immunohistochemical analysis of paraffin-embedded human skin tissue using anti-ERK2 antibody. The section was pre-treated using heat mediated antigen retrieval with sodium citrate buffer (pH 6.0) (high pressure) for 2 minutes. The tissues were blocked in 5% BSA for 30 minutes at room temperature, washed with ddH2O and PBS, and then probed with the primary antibody (EM1901-55, 1/100) for 30 minutes at room temperature. The detection was performed using an HRP conjugated compact polymer system. DAB was used as the chromogen. Tissues were counterstained with hematoxylin and mounted with DPX.
quantity: 100μl
price: 360.00 USD
to the supplier
ERK1/2
HUABIO
catalog: ER131011
domestic rabbit polyclonal
reactivity:
human
,
mouse
,
rat
application:
western blot
,
immunohistochemistry - paraffin section
Western blot analysis of ERK1/2 on different lysates with Rabbit anti-ERK1/2 antibody (ER131011) at 1/2,000 dilution. Lane 1: HeLa cell lysate Lane 2: Jurkat cell lysate Lane 3: Ramos cell lysate Lane 4: MCF7 cell lysate Lane 5: Neuro-2a cell lysate Lane 6: C6 cell lysate Lysates/proteins at 20 µg/Lane. Predicted band size: 43/41 kDa Observed band size: 43/41 kDa Exposure time: 6 seconds; ECL: K1801; 4-20% SDS-PAGE gel. Proteins were transferred to a PVDF membrane and blocked with 5% NFDM/TBST for 1 hour at room temperature. The primary antibody (ER131011) at 1/2,000 dilution was used in 5% NFDM/TBST at 4℃ overnight. Goat Anti-Rabbit IgG - HRP Secondary Antibody (HA1001) at 1/50,000 dilution was used for 1 hour at room temperature.
Immunocytochemistry analysis of HeLa cells labeling ERK1/2 with Rabbit anti-ERK1/2 antibody (ER131011) at 1/100 dilution. Cells were fixed in 4% paraformaldehyde for 15 minutes at room temperature, permeabilized with 0.1% Triton X-100 in PBS for 15 minutes at room temperature, then blocked with 1% BSA in 10% negative goat serum for 1 hour at room temperature. Cells were then incubated with Rabbit anti-ERK1/2 antibody (ER131011) at 1/100 dilution in 1% BSA in PBST overnight at 4 ℃. Goat Anti-Rabbit IgG H&L (iFluor™ 488, HA1121) was used as the secondary antibody at 1/1,000 dilution. PBS instead of the primary antibody was used as the secondary antibody only control. Nuclear DNA was labelled in blue with DAPI. Beta tubulin (HA601187, red) was stained at 1/100 dilution overnight at +4℃. Goat Anti-Mouse IgG H&L (iFluor™ 594, HA1126) was used as the secondary antibody at 1/1,000 dilution.
Immunocytochemistry analysis of RAW264.7 cells labeling ERK1/2 with Rabbit anti-ERK1/2 antibody (ER131011) at 1/100 dilution. Cells were fixed in 4% paraformaldehyde for 15 minutes at room temperature, permeabilized with 0.1% Triton X-100 in PBS for 15 minutes at room temperature, then blocked with 1% BSA in 10% negative goat serum for 1 hour at room temperature. Cells were then incubated with Rabbit anti-ERK1/2 antibody (ER131011) at 1/100 dilution in 1% BSA in PBST overnight at 4 ℃. Goat Anti-Rabbit IgG H&L (iFluor™ 488, HA1121) was used as the secondary antibody at 1/1,000 dilution. PBS instead of the primary antibody was used as the secondary antibody only control. Nuclear DNA was labelled in blue with DAPI. Beta tubulin (HA601187, red) was stained at 1/100 dilution overnight at +4℃. Goat Anti-Mouse IgG H&L (iFluor™ 594, HA1126) was used as the secondary antibody at 1/1,000 dilution.
quantity: 100μl
price: 330 USD
to the supplier
ERK2
HUABIO
catalog: ER131218
domestic rabbit polyclonal
reactivity:
human
,
mouse
,
rat
application:
western blot
,
flow cytometry
,
immunohistochemistry - paraffin section
Western blot analysis of ERK2 on different lysates with Rabbit anti-ERK2 antibody (ER131218) at 1/2,000 dilution. Lane 1: A549-si NT cell lysate (10 µg/Lane) Lane 2: A549-si ERK2 cell lysate (10 µg/Lane) Predicted band size: 41 kDa Observed band size: 41 kDa Exposure time: 17 seconds; ECL: K1801; 4-20% SDS-PAGE gel. Proteins were transferred to a PVDF membrane and blocked with 5% NFDM/TBST for 1 hour at room temperature. The primary antibody (ER131218) at 1/2,000 dilution was used in 5% NFDM/TBST at room temperature for 2 hours. Goat Anti-Rabbit IgG - HRP Secondary Antibody (HA1001) at 1/50,000 dilution was used for 1 hour at room temperature.
Western blot analysis of ERK2 on different lysates with Rabbit anti-ERK2 antibody (ER131218) at 1/5,000 dilution. Lane 1: A431 cell lysate (20 µg/Lane) Lane 2: C6 cell lysate (20 µg/Lane) Lane 3: Mouse brain tissue lysate (40 µg/Lane) Lane 4: Rat brain tissue lysate (40 µg/Lane) Predicted band size: 41 kDa Observed band size: 41 kDa Exposure time: 2 seconds; ECL: K1801; 4-20% SDS-PAGE gel. Proteins were transferred to a PVDF membrane and blocked with 5% NFDM/TBST for 1 hour at room temperature. The primary antibody (ER131218) at 1/5,000 dilution was used in primary antibody dilution (K1803) at 4℃ overnight. Goat Anti-Rabbit IgG - HRP Secondary Antibody (HA1001) at 1/50,000 dilution was used for 1 hour at room temperature.
Immunocytochemistry analysis of A549 cells labeling ERK2 with Rabbit anti-ERK2 antibody (ER131218) at 1/200 dilution. Cells were fixed in 4% paraformaldehyde for 15 minutes at room temperature, permeabilized with 0.1% Triton X-100 in PBS for 15 minutes at room temperature, then blocked with 1% BSA in 10% negative goat serum for 1 hour at room temperature. Cells were then incubated with Rabbit anti-ERK2 antibody (ER131218) at 1/200 dilution in 1% BSA in PBST overnight at 4 ℃. Goat Anti-Rabbit IgG H&L (iFluor™ 488, HA1121) was used as the secondary antibody at 1/1,000 dilution. PBS instead of the primary antibody was used as the secondary antibody only control. Nuclear DNA was labelled in blue with DAPI. Beta tubulin (HA601187, red) was stained at 1/100 dilution overnight at +4℃. Goat Anti-Mouse IgG H&L (iFluor™ 594, HA1126) was used as the secondary antibody at 1/1,000 dilution.
quantity: 100μl
price: 330 USD
to the supplier
ERK1/2
HUABIO
catalog: ET1601-29
domestic rabbit monoclonal (SA43-03)
reactivity:
human
,
mouse
,
rat
,
zebrafish
application:
western blot
,
immunoprecipitation
,
flow cytometry
,
immunohistochemistry - paraffin section
,
immunohistochemistry - frozen section
Western blot analysis of ERK1/2 on different lysates with Rabbit anti-ERK1/2 antibody (ET1601-29) at 1/5,000 dilution and competitor's antibody at 1/1,000 dilution. Lane 1: HeLa cell lysate Lane 2: Jurkat cell lysate Lane 3: HepG2 cell lysate Lane 4: NIH/3T3 cell lysate Lane 5: PC-12 cell lysate Lane 6: C6 cell lysate Lysates/proteins at 15 µg/Lane. Predicted band size: 43/41 kDa Observed band size: 43/41 kDa Exposure time: 19 seconds; ECL: K1801; 4-20% SDS-PAGE gel. Proteins were transferred to a PVDF membrane and blocked with 5% NFDM/TBST for 1 hour at room temperature. The primary antibody (ET1601-29) at 1/5,000 dilution and competitor's antibody at 1/1,000 dilution were used in 5% NFDM/TBST at 4℃ overnight. Goat Anti-Rabbit IgG - HRP Secondary Antibody (HA1001) at 1/50,000 dilution was used for 1 hour at room temperature.
Immunocytochemistry analysis of Jurkat cells labeling ERK1/2 with Rabbit anti-ERK1/2 antibody (ET1601-29) at 1/2,000 dilution and competitor's antibody at 1/1,600 dilution. Cells were fixed in 4% paraformaldehyde for 20 minutes at room temperature, permeabilized with 0.1% Triton X-100 in PBS for 5 minutes at room temperature, then blocked with 1% BSA in 10% negative goat serum for 1 hour at room temperature. Cells were then incubated with Rabbit anti-ERK1/2 antibody (ET1601-29) at 1/2,000 dilution and competitor's antibody at 1/1,600 dilution in 1% BSA in PBST overnight at 4 ℃. Goat Anti-Rabbit IgG H&L (iFluor™ 488, HA1121) was used as the secondary antibody at 1/1,000 dilution. PBS instead of the primary antibody was used as the secondary antibody only control. Nuclear DNA was labelled in blue with DAPI. Beta tubulin (M1305-2, red) was stained at 1/100 dilution overnight at +4℃. Goat Anti-Mouse IgG H&L (iFluor™ 594, HA1126) was used as the secondary antibody at 1/1,000 dilution.
Western blot analysis of ERK1/2 on different lysates with Rabbit anti-ERK1/2 antibody (ET1601-29) at 1/5,000 dilution. Lane 1: HEK-293-si NT cell lysate Lane 2: HEK-293-si ERK1/2 cell lysate Lysates/proteins at 10 µg/Lane. Predicted band size: 41/43 kDa Observed band size: 41/43kDa Exposure time: 20 seconds; ECL: K1801; 4-20% SDS-PAGE gel. Proteins were transferred to a PVDF membrane and blocked with 5% NFDM in TBST for 1 hour at room temperature. The primary antibody (ET1601-29, 1/5,000) and Loading control antibody (Rabbit anti-GAPDH, ET1601-4, 1/10,000) were used in 5% NFDM/TBST at 4℃ overnight. Goat Anti-rabbit IgG-HRP Secondary Antibody (HA1001) at 1/50,000 dilution was used for 1 hour at room temperature.
quantity: 100μl
price: 385.00 USD
to the supplier
Phospho-Erk1 (T202)+Erk2 (T185)
HUABIO
catalog: ET1603-22
domestic rabbit monoclonal (SZ2-4)
reactivity:
human
,
mouse
,
rat
application:
western blot
,
flow cytometry
,
immunohistochemistry - paraffin section
Western blot analysis of Phospho-Erk1 (T202)+Erk2 (T185) on different lysates with Rabbit anti-Phospho-Erk1 (T202)+Erk2 (T185) antibody (ET1603-22) at 1/1,000 dilution. Lane 1: Jurkat cell lysate Lane 2: Jurkat treated with 200ng/mL PMA for 35 minutes cell lysate Lane 3: NIH/3T3 cell lysate Lane 4: NIH/3T3 treated with 200nM PMA for 30 minutes cell lysate Lane 5: C6 cell lysate Lane 6: C6 treated with 200nM PMA for 30 minutes cell lysate Lysates/proteins at 10 µg/Lane. Predicted band size: 41/43 kDa Observed band size: 41/43 kDa Exposure time: 3 minutes; ECL: K1802; 4-20% SDS-PAGE gel. Proteins were transferred to a PVDF membrane and blocked with 5% NFDM/TBST for 1 hour at room temperature. The primary antibody (ET1603-22) at 1/1,000 dilution was used in 5% NFDM/TBST at 4℃ overnight. Goat Anti-Rabbit IgG - HRP Secondary Antibody (HA1001) at 1/50,000 dilution was used for 1 hour at room temperature.
Western blot analysis of Phospho-Erk1(T202)+Erk2(T185) on jurkat cell lysates. Lane 1: jurkat cells, whole cell lysate, 10ug/lane Lane 2/3: jurkat cells treated with 200 ng/ml PMA for 35 minutes, whole cell lysate, 10ug/lane Lane 4: jurkat cells treated with 200 ng/ml PMA for 35 minutes, then treated with 2.8ug/ul lambda-PP for 30 minutes, whole cell lysates, 10ug/lane All lanes : Anti-Phospho-Erk1(T202)+Erk2(T185) antibody (ET1603-22) at 1/500 dilution. Anti-Erk1+Erk2antibody (ET1601-29) at 1/500 dilution. Anti-GAPDH antibody (ET1601-4) at 1/10,000 dilution. Goat Anti-Rabbit IgG H&L (HRP) (HA1001) at 1/200,000 dilution. Predicted band size: 41/43 kDa Observed band size: 41/43 kDa Blocking and diluting buffer: 5% BSA. Exposure time: Lan1/2 4 minutes; Lan3/4 3 minutes
ICC staining of Phospho-Erk1 (T202)+Erk2 (T185) in A549 cells (green). Formalin fixed cells were permeabilized with 0.1% Triton X-100 in TBS for 10 minutes at room temperature and blocked with 1% Blocker BSA for 15 minutes at room temperature. Cells were probed with the primary antibody (ET1603-22, 1/50) for 1 hour at room temperature, washed with PBS. Alexa Fluor®488 Goat anti-Rabbit IgG was used as the secondary antibody at 1/1,000 dilution. The nuclear counter stain is DAPI (blue).
quantity: 100μl
price: 385.00 USD
to the supplier
ERK2
HUABIO
catalog: ET1603-23
domestic rabbit monoclonal (SZ25-01)
reactivity:
human
,
mouse
,
rat
application:
western blot
,
immunoprecipitation
,
flow cytometry
,
immunohistochemistry - paraffin section
,
immunohistochemistry - frozen section
Western blot analysis of ERK2 on different lysates with Rabbit anti-ERK2 antibody (ET1603-23) at 1/2,000 dilution. Lane 1: A549-si NT cell lysate Lane 2: A549-si ERK2 cell lysate Lysates/proteins at 10 µg/Lane. Predicted band size: 41 kDa Observed band size: 41 kDa Exposure time: 1 minute; ECL: K1801; 4-20% SDS-PAGE gel. Proteins were transferred to a PVDF membrane and blocked with 5% NFDM/TBST for 1 hour at room temperature. The primary antibody (ET1603-23) at 1/2,000 dilution was used in 5% NFDM/TBST at room temperature for 2 hours. Goat Anti-Rabbit IgG - HRP Secondary Antibody (HA1001) at 1/50,000 dilution was used for 1 hour at room temperature.
Western blot analysis of ERK2 on different lysates with Rabbit anti-ERK2 antibody (ET1603-23) at 1/2,000 dilution. Lane 1: HEK-293 cell lysate Lane 2: HeLa cell lysate Lane 3: NIH/3T3 cell lysate Lane 4: RAW264.7 cell lysate Lane 5: PC-12 cell lysate Lane 6: C6 cell lysate Lysates/proteins at 15 µg/Lane. Predicted band size: 41 kDa Observed band size: 41 kDa Exposure time: 3 minutes; ECL: K1801; 4-20% SDS-PAGE gel. Proteins were transferred to a PVDF membrane and blocked with 5% NFDM/TBST for 1 hour at room temperature. The primary antibody (ET1603-23) at 1/2,000 dilution was used in 5% NFDM/TBST at 4℃ overnight. Goat Anti-Rabbit IgG - HRP Secondary Antibody (HA1001) at 1/50,000 dilution was used for 1 hour at room temperature.
ICC staining of ERK2 in Hela cells (green). Formalin fixed cells were permeabilized with 0.1% Triton X-100 in TBS for 10 minutes at room temperature and blocked with 1% Blocker BSA for 15 minutes at room temperature. Cells were probed with the primary antibody (ET1603-23, 1/50) for 1 hour at room temperature, washed with PBS. Alexa Fluor®488 Goat anti-Rabbit IgG was used as the secondary antibody at 1/1,000 dilution. The nuclear counter stain is DAPI (blue).
quantity: 100μl
price: 385.00 USD
to the supplier
Phospho-Erk1 (T202 + Y204) + Erk2 (T185 + Y187)
HUABIO
catalog: ET1610-13
domestic rabbit monoclonal (SC58-01)
reactivity:
human
,
mouse
,
rat
application:
western blot
,
immunoprecipitation
,
flow cytometry
,
immunohistochemistry - paraffin section
Western blot analysis of Phospho-Erk1 (T202 + Y204) + Erk2 (T185 + Y187) on different lysates with Rabbit anti-Phospho-Erk1 (T202 + Y204) + Erk2 (T185 + Y187) antibody (ET1610-13) at 1/5,000 dilution and competitor's antibody at 1/5,000 dilution. Lane 1: SH-SY5Y cell lysate Lane 2: SH-SY5Y treated with 100ng/mL hβ-NGF for 10 minutes cell lysate Lane 3: PC-12 cell lysate Lane 4: PC-12 treated with 100ng/mL hβ-NGF for 10 minutes cell lysate Lysates/proteins at 15 µg/Lane. Predicted band size: 41/43 kDa Observed band size: 41/43 kDa Exposure time: 1 minute 50 seconds; ECL: K1801; 4-20% SDS-PAGE gel. Proteins were transferred to a PVDF membrane and blocked with 5% NFDM/TBST for 1 hour at room temperature. The primary antibody (ET1610-13) at 1/5,000 dilution and competitor's antibody at 1/5,000 dilution were used in 5% BSA at 4℃ overnight. Goat Anti-Rabbit IgG - HRP Secondary Antibody (HA1001) at 1/50,000 dilution was used for 1 hour at room temperature.
Immunohistochemical analysis of paraffin-embedded human thyroid carcinoma tissue with Rabbit anti-Phospho-Erk1 (T202 + Y204) + Erk2 (T185 + Y187) antibody (ET1610-13) at 1/1,000 dilution. The section was pre-treated using heat mediated antigen retrieval with sodium citrate buffer (pH 6.0) (high pressure) for 2 minutes. The tissues were blocked in 1% BSA for 20 minutes at room temperature, washed with ddH2O and PBS, and then probed with the primary antibody (ET1610-13) at 1/1,000 dilution for 1 hour at room temperature. The detection was performed using an HRP conjugated compact polymer system. DAB was used as the chromogen. Tissues were counterstained with hematoxylin and mounted with DPX.
Western blot analysis of Phospho-Erk1 (T202 + Y204) + Erk2 (T185 + Y187) on different lysates with Rabbit anti-Phospho-Erk1 (T202 + Y204) + Erk2 (T185 + Y187) antibody (ET1610-13) at 1/5,000 dilution. Lane 1: NIH/3T3 cell lysate Lane 2: NIH/3T3 treated with 200nM PMA for 30 minutes cell lysate Lane 3: HeLa cell lysate Lane 4: HeLa treated with 200nM PMA for 30 minutes cell lysate Lysates/proteins at 20 µg/Lane. Predicted band size: 41/43 kDa Observed band size: 41/43 kDa Exposure time: 13 seconds; ECL: K1801; 4-20% SDS-PAGE gel. Proteins were transferred to a PVDF membrane and blocked with 5% NFDM/TBST for 1 hour at room temperature. The primary antibody (ET1610-13) at 1/5,000 dilution was used in 5% NFDM/TBST at 4℃ overnight. Goat Anti-Rabbit IgG - HRP Secondary Antibody (HA1001) at 1/50,000 dilution was used for 1 hour at room temperature.
quantity: 100μl
price: 385.00 USD
to the supplier
ERK2
HUABIO
catalog: HA601201
mouse monoclonal (C3B12-R)
reactivity:
human
,
mouse
,
rat
application:
western blot
Western blot analysis of ERK2 on different lysates with Mouse anti-ERK2 antibody (HA601201) at 1/1,000 dilution. Lane 1: HeLa cell lysate (20 µg/Lane) Lane 2: Jurkat cell lysate (20 µg/Lane) Lane 3: A549 cell lysate (20 µg/Lane) Lane 4: A431 cell lysate (20 µg/Lane) Lane 5: HepG2 cell lysate (20 µg/Lane) Lane 6: HEK-293 cell lysate (20 µg/Lane) Lane 7: NIH/3T3 cell lysate (20 µg/Lane) Lane 8: RAW264.7 cell lysate (20 µg/Lane) Lane 9: C6 cell lysate (20 µg/Lane) Lane 10: Human brain tissue lysate (40 µg/Lane) Lane 11: Mouse brain tissue lysate (40 µg/Lane) Lane 12: Rat brain tissue lysate (40 µg/Lane) Predicted band size: 41 kDa Observed band size: 41 kDa Exposure time: 43 seconds; ECL: K1801; 4-20% SDS-PAGE gel. Proteins were transferred to a PVDF membrane and blocked with 5% NFDM/TBST for 1 hour at room temperature. The primary antibody (HA601201) at 1/1,000 dilution was used in 5% NFDM/TBST at 4℃ overnight. Alpaca Anti-Mouse IgG - HRP for IP Nano-Secondary Antibody (NBI02H) at 1/5,000 dilution was used for 1 hour at room temperature.
Western blot analysis of ERK2 on different lysates with Mouse anti-ERK2 antibody (HA601201) at 1/2,000 dilution. Lane 1: A549-si NT cell lysate (10 µg/Lane) Lane 2: A549-si ERK2 cell lysate (10 µg/Lane) Predicted band size: 41 kDa Observed band size: 41 kDa Exposure time: 1 minute; ECL: K1801; 4-20% SDS-PAGE gel. Proteins were transferred to a PVDF membrane and blocked with 5% NFDM/TBST for 1 hour at room temperature. The primary antibody (HA601201) at 1/2,000 dilution was used in 5% NFDM/TBST at room temperature for 2 hours. Goat Anti-Mouse IgG - HRP Secondary Antibody (HA1006) at 1/50,000 dilution was used for 1 hour at room temperature.
quantity: 100μl
price: 360.00 USD
to the supplier
ERK2
HUABIO
catalog: HA601202
mouse monoclonal (5-D2-R)
reactivity:
human
,
mouse
,
rat
application:
western blot
Western blot analysis of ERK2 on different lysates with Mouse anti-ERK2 antibody (HA601202) at 1/1,000 dilution. Lane 1: HeLa cell lysate (20 µg/Lane) Lane 2: Jurkat cell lysate (20 µg/Lane) Lane 3: A549 cell lysate (20 µg/Lane) Lane 4: A431 cell lysate (20 µg/Lane) Lane 5: HepG2 cell lysate (20 µg/Lane) Lane 6: HEK-293 cell lysate (20 µg/Lane) Lane 7: NIH/3T3 cell lysate (20 µg/Lane) Lane 8: RAW264.7 cell lysate (20 µg/Lane) Lane 9: C6 cell lysate (20 µg/Lane) Lane 10: PC-12 cell lysate (20 µg/Lane) Predicted band size: 41 kDa Observed band size: 41 kDa Exposure time: 3 minutes; 4-20% SDS-PAGE gel. Proteins were transferred to a PVDF membrane and blocked with 5% NFDM/TBST for 1 hour at room temperature. The primary antibody (HA601202) at 1/1,000 dilution was used in 5% NFDM/TBST at 4℃ overnight. Alpaca Anti-Mouse IgG - HRP for IP Nano-Secondary Antibody (NBI02H) at 1/5,000 dilution was used for 1 hour at room temperature.
Western blot analysis of ERK2 on different lysates with Mouse anti-ERK2 antibody (HA601202) at 1/1,000 dilution. Lane 1: Human brain tissue lysate (40 µg/Lane) Lane 2: Mouse brain tissue lysate (40 µg/Lane) Lane 3: Rat brain tissue lysate (40 µg/Lane) Predicted band size: 41 kDa Observed band size: 41 kDa Exposure time: 1 minute 2 seconds; 4-20% SDS-PAGE gel. Proteins were transferred to a PVDF membrane and blocked with 5% NFDM/TBST for 1 hour at room temperature. The primary antibody (HA601202) at 1/1,000 dilution was used in 5% NFDM/TBST at 4℃ overnight. Alpaca Anti-Mouse IgG - HRP for IP Nano-Secondary Antibody (NBI02H) at 1/5,000 dilution was used for 1 hour at room temperature.
Western blot analysis of ERK2 on different lysates with Mouse anti-ERK2 antibody (HA601202) at 1/2,000 dilution. Lane 1: A549-si NT cell lysate (10 µg/Lane) Lane 2: A549-si ERK2 cell lysate (10 µg/Lane) Predicted band size: 41 kDa Observed band size: 41 kDa Exposure time: 1 minute; ECL: K1801; 4-20% SDS-PAGE gel. Proteins were transferred to a PVDF membrane and blocked with 5% NFDM/TBST for 1 hour at room temperature. The primary antibody (HA601202) at 1/2,000 dilution was used in 5% NFDM/TBST at room temperature for 2 hours. Goat Anti-Mouse IgG - HRP Secondary Antibody (HA1006) at 1/50,000 dilution was used for 1 hour at room temperature.
quantity: 100μl
price: 360.00 USD
to the supplier
ERK2
HUABIO
catalog: HA610079
mouse monoclonal (C3B12-R)
reactivity:
human
,
mouse
,
rat
application:
western blot
Western blot analysis of ERK2 on different lysates with Mouse anti-ERK2 antibody (HA610079) at 1/1,000 dilution. Lane 1: HeLa cell lysate (20 µg/Lane) Lane 2: Jurkat cell lysate (20 µg/Lane) Lane 3: A549 cell lysate (20 µg/Lane) Lane 4: A431 cell lysate (20 µg/Lane) Lane 5: HepG2 cell lysate (20 µg/Lane) Lane 6: HEK-293 cell lysate (20 µg/Lane) Lane 7: NIH/3T3 cell lysate (20 µg/Lane) Lane 8: RAW264.7 cell lysate (20 µg/Lane) Lane 9: C6 cell lysate (20 µg/Lane) Lane 10: Human brain tissue lysate (40 µg/Lane) Lane 11: Mouse brain tissue lysate (40 µg/Lane) Lane 12: Rat brain tissue lysate (40 µg/Lane) Predicted band size: 41 kDa Observed band size: 41 kDa Exposure time: 43 seconds; ECL: K1801; 4-20% SDS-PAGE gel. Proteins were transferred to a PVDF membrane and blocked with 5% NFDM/TBST for 1 hour at room temperature. The primary antibody (HA610079) at 1/1,000 dilution was used in 5% NFDM/TBST at 4℃ overnight. Alpaca Anti-Mouse IgG - HRP for IP Nano-Secondary Antibody (NBI02H) at 1/5,000 dilution was used for 1 hour at room temperature.
Western blot analysis of ERK2 on different lysates with Mouse anti-ERK2 antibody (HA610079) at 1/2,000 dilution. Lane 1: A549-si NT cell lysate (10 µg/Lane) Lane 2: A549-si ERK2 cell lysate (10 µg/Lane) Predicted band size: 41 kDa Observed band size: 41 kDa Exposure time: 1 minute; ECL: K1801; 4-20% SDS-PAGE gel. Proteins were transferred to a PVDF membrane and blocked with 5% NFDM/TBST for 1 hour at room temperature. The primary antibody (HA610079) at 1/2,000 dilution was used in 5% NFDM/TBST at room temperature for 2 hours. Goat Anti-Mouse IgG - HRP Secondary Antibody (HA1006) at 1/50,000 dilution was used for 1 hour at room temperature.
quantity: 100μg
price: 649.00 USD
to the supplier
ERK2
HUABIO
catalog: HA610080
mouse monoclonal (5-D2-R)
reactivity:
human
,
mouse
,
rat
application:
western blot
Western blot analysis of ERK2 on different lysates with Mouse anti-ERK2 antibody (HA610080) at 1/1,000 dilution. Lane 1: HeLa cell lysate (20 µg/Lane) Lane 2: Jurkat cell lysate (20 µg/Lane) Lane 3: A549 cell lysate (20 µg/Lane) Lane 4: A431 cell lysate (20 µg/Lane) Lane 5: HepG2 cell lysate (20 µg/Lane) Lane 6: HEK-293 cell lysate (20 µg/Lane) Lane 7: NIH/3T3 cell lysate (20 µg/Lane) Lane 8: RAW264.7 cell lysate (20 µg/Lane) Lane 9: C6 cell lysate (20 µg/Lane) Lane 10: PC-12 cell lysate (20 µg/Lane) Predicted band size: 41 kDa Observed band size: 41 kDa Exposure time: 3 minutes; 4-20% SDS-PAGE gel. Proteins were transferred to a PVDF membrane and blocked with 5% NFDM/TBST for 1 hour at room temperature. The primary antibody (HA610080) at 1/1,000 dilution was used in 5% NFDM/TBST at 4℃ overnight. Alpaca Anti-Mouse IgG - HRP for IP Nano-Secondary Antibody (NBI02H) at 1/5,000 dilution was used for 1 hour at room temperature.
Western blot analysis of ERK2 on different lysates with Mouse anti-ERK2 antibody (HA610080) at 1/1,000 dilution. Lane 1: Human brain tissue lysate (40 µg/Lane) Lane 2: Mouse brain tissue lysate (40 µg/Lane) Lane 3: Rat brain tissue lysate (40 µg/Lane) Predicted band size: 41 kDa Observed band size: 41 kDa Exposure time: 1 minute 2 seconds; 4-20% SDS-PAGE gel. Proteins were transferred to a PVDF membrane and blocked with 5% NFDM/TBST for 1 hour at room temperature. The primary antibody (HA610080) at 1/1,000 dilution was used in 5% NFDM/TBST at 4℃ overnight. Alpaca Anti-Mouse IgG - HRP for IP Nano-Secondary Antibody (NBI02H) at 1/5,000 dilution was used for 1 hour at room temperature.
Western blot analysis of ERK2 on different lysates with Mouse anti-ERK2 antibody (HA610080) at 1/2,000 dilution. Lane 1: A549-si NT cell lysate (10 µg/Lane) Lane 2: A549-si ERK2 cell lysate (10 µg/Lane) Predicted band size: 41 kDa Observed band size: 41 kDa Exposure time: 1 minute; ECL: K1801; 4-20% SDS-PAGE gel. Proteins were transferred to a PVDF membrane and blocked with 5% NFDM/TBST for 1 hour at room temperature. The primary antibody (HA610080) at 1/2,000 dilution was used in 5% NFDM/TBST at room temperature for 2 hours. Goat Anti-Mouse IgG - HRP Secondary Antibody (HA1006) at 1/50,000 dilution was used for 1 hour at room temperature.
quantity: 100μg
price: 649.00 USD
to the supplier
ERK1/2
HUABIO
catalog: HA750019
domestic rabbit monoclonal (SA43-03)
reactivity:
human
,
mouse
,
rat
,
zebrafish
application:
western blot
,
immunoprecipitation
,
flow cytometry
,
immunohistochemistry - paraffin section
,
immunohistochemistry - frozen section
Western blot analysis of ERK1/2 on different lysates with Rabbit anti-ERK1/2 antibody (HA750019) at 1/5,000 dilution and competitor's antibody at 1/1,000 dilution. Lane 1: HeLa cell lysate Lane 2: Jurkat cell lysate Lane 3: HepG2 cell lysate Lane 4: NIH/3T3 cell lysate Lane 5: PC-12 cell lysate Lane 6: C6 cell lysate Lysates/proteins at 15 µg/Lane. Predicted band size: 43/41 kDa Observed band size: 43/41 kDa Exposure time: 19 seconds; ECL: K1801; 4-20% SDS-PAGE gel. Proteins were transferred to a PVDF membrane and blocked with 5% NFDM/TBST for 1 hour at room temperature. The primary antibody (HA750019) at 1/5,000 dilution and competitor's antibody at 1/1,000 dilution were used in 5% NFDM/TBST at 4℃ overnight. Goat Anti-Rabbit IgG - HRP Secondary Antibody (HA1001) at 1/50,000 dilution was used for 1 hour at room temperature.
Immunocytochemistry analysis of Jurkat cells labeling ERK1/2 with Rabbit anti-ERK1/2 antibody (HA750019) at 1/2,000 dilution and competitor's antibody at 1/1,600 dilution. Cells were fixed in 4% paraformaldehyde for 20 minutes at room temperature, permeabilized with 0.1% Triton X-100 in PBS for 5 minutes at room temperature, then blocked with 1% BSA in 10% negative goat serum for 1 hour at room temperature. Cells were then incubated with Rabbit anti-ERK1/2 antibody (HA750019) at 1/2,000 dilution and competitor's antibody at 1/1,600 dilution in 1% BSA in PBST overnight at 4 ℃. Goat Anti-Rabbit IgG H&L (iFluor™ 488, HA1121) was used as the secondary antibody at 1/1,000 dilution. PBS instead of the primary antibody was used as the secondary antibody only control. Nuclear DNA was labelled in blue with DAPI. Beta tubulin (M1305-2, red) was stained at 1/100 dilution overnight at +4℃. Goat Anti-Mouse IgG H&L (iFluor™ 594, HA1126) was used as the secondary antibody at 1/1,000 dilution.
Western blot analysis of ERK1/2 on different lysates with Rabbit anti-ERK1/2 antibody (HA750019) at 1/5,000 dilution. Lane 1: HEK-293-si NT cell lysate Lane 2: HEK-293-si ERK1/2 cell lysate Lysates/proteins at 10 µg/Lane. Predicted band size: 41/43 kDa Observed band size: 41/43kDa Exposure time: 20 seconds; ECL: K1801; 4-20% SDS-PAGE gel. Proteins were transferred to a PVDF membrane and blocked with 5% NFDM in TBST for 1 hour at room temperature. The primary antibody (ET1601-29, 1/5,000) and Loading control antibody (Rabbit anti-GAPDH, ET1601-4, 1/10,000) were used in 5% NFDM/TBST at 4℃ overnight. Goat Anti-rabbit IgG-HRP Secondary Antibody (HA1001) at 1/50,000 dilution was used for 1 hour at room temperature.
quantity: 100μl
price: 649.00 USD
to the supplier
Phospho-Erk1 (T202)+Erk2 (T185)
HUABIO
catalog: HA750061
domestic rabbit monoclonal (SZ2-4)
reactivity:
human
,
mouse
,
rat
application:
western blot
,
flow cytometry
,
immunohistochemistry - paraffin section
Western blot analysis of Phospho-Erk1 (T202)+Erk2 (T185) on different lysates with Rabbit anti-Phospho-Erk1 (T202)+Erk2 (T185) antibody (HA750061) at 1/1,000 dilution. Lane 1: Jurkat cell lysate Lane 2: Jurkat treated with 200ng/mL PMA for 35 minutes cell lysate Lane 3: NIH/3T3 cell lysate Lane 4: NIH/3T3 treated with 200nM PMA for 30 minutes cell lysate Lane 5: C6 cell lysate Lane 6: C6 treated with 200nM PMA for 30 minutes cell lysate Lysates/proteins at 10 µg/Lane. Predicted band size: 41/43 kDa Observed band size: 41/43 kDa Exposure time: 3 minutes; ECL: K1802; 4-20% SDS-PAGE gel. Proteins were transferred to a PVDF membrane and blocked with 5% NFDM/TBST for 1 hour at room temperature. The primary antibody (HA750061) at 1/1,000 dilution was used in 5% NFDM/TBST at 4℃ overnight. Goat Anti-Rabbit IgG - HRP Secondary Antibody (HA1001) at 1/50,000 dilution was used for 1 hour at room temperature.
Western blot analysis of Phospho-Erk1(T202)+Erk2(T185) on jurkat cell lysates. Lane 1: jurkat cells, whole cell lysate, 10ug/lane Lane 2/3: jurkat cells treated with 200 ng/ml PMA for 35 minutes, whole cell lysate, 10ug/lane Lane 4: jurkat cells treated with 200 ng/ml PMA for 35 minutes, then treated with 2.8ug/ul lambda-PP for 30 minutes, whole cell lysates, 10ug/lane All lanes : Anti-Phospho-Erk1(T202)+Erk2(T185) antibody (HA750061) at 1/500 dilution. Anti-Erk1+Erk2antibody (ET1601-29) at 1/500 dilution. Anti-GAPDH antibody (ET1601-4) at 1/10,000 dilution. Goat Anti-Rabbit IgG H&L (HRP) (HA1001) at 1/200,000 dilution. Predicted band size: 41/43 kDa Observed band size: 41/43 kDa Blocking and diluting buffer: 5% BSA. Exposure time: Lan1/2 4 minutes; Lan3/4 3 minutes
ICC staining of Phospho-Erk1 (T202)+Erk2 (T185) in A549 cells (green). Formalin fixed cells were permeabilized with 0.1% Triton X-100 in TBS for 10 minutes at room temperature and blocked with 1% Blocker BSA for 15 minutes at room temperature. Cells were probed with the primary antibody (HA750061, 1/50) for 1 hour at room temperature, washed with PBS. Alexa Fluor®488 Goat anti-Rabbit IgG was used as the secondary antibody at 1/1,000 dilution. The nuclear counter stain is DAPI (blue).
quantity: 100μl
price: 649.00 USD
to the supplier
Phospho-Erk1 (T202 + Y204) + Erk2 (T185 + Y187)
HUABIO
catalog: HA750199
domestic rabbit monoclonal (SC58-01)
reactivity:
human
,
mouse
,
rat
application:
western blot
,
immunoprecipitation
,
flow cytometry
,
immunohistochemistry - paraffin section
Western blot analysis of Phospho-Erk1 (T202 + Y204) + Erk2 (T185 + Y187) on different lysates with Rabbit anti-Phospho-Erk1 (T202 + Y204) + Erk2 (T185 + Y187) antibody (HA750199) at 1/5,000 dilution and competitor's antibody at 1/5,000 dilution. Lane 1: SH-SY5Y cell lysate Lane 2: SH-SY5Y treated with 100ng/mL hβ-NGF for 10 minutes cell lysate Lane 3: PC-12 cell lysate Lane 4: PC-12 treated with 100ng/mL hβ-NGF for 10 minutes cell lysate Lysates/proteins at 15 µg/Lane. Predicted band size: 41/43 kDa Observed band size: 41/43 kDa Exposure time: 1 minute 50 seconds; ECL: K1801; 4-20% SDS-PAGE gel. Proteins were transferred to a PVDF membrane and blocked with 5% NFDM/TBST for 1 hour at room temperature. The primary antibody (HA750199) at 1/5,000 dilution and competitor's antibody at 1/5,000 dilution were used in 5% BSA at 4℃ overnight. Goat Anti-Rabbit IgG - HRP Secondary Antibody (HA1001) at 1/50,000 dilution was used for 1 hour at room temperature.
Immunohistochemical analysis of paraffin-embedded human thyroid carcinoma tissue with Rabbit anti-Phospho-Erk1 (T202 + Y204) + Erk2 (T185 + Y187) antibody (HA750199) at 1/1,000 dilution. The section was pre-treated using heat mediated antigen retrieval with sodium citrate buffer (pH 6.0) (high pressure) for 2 minutes. The tissues were blocked in 1% BSA for 20 minutes at room temperature, washed with ddH2O and PBS, and then probed with the primary antibody (HA750199) at 1/1,000 dilution for 1 hour at room temperature. The detection was performed using an HRP conjugated compact polymer system. DAB was used as the chromogen. Tissues were counterstained with hematoxylin and mounted with DPX.
Western blot analysis of Phospho-Erk1 (T202 + Y204) + Erk2 (T185 + Y187) on different lysates with Rabbit anti-Phospho-Erk1 (T202 + Y204) + Erk2 (T185 + Y187) antibody (HA750199) at 1/5,000 dilution. Lane 1: NIH/3T3 cell lysate Lane 2: NIH/3T3 treated with 200nM PMA for 30 minutes cell lysate Lane 3: HeLa cell lysate Lane 4: HeLa treated with 200nM PMA for 30 minutes cell lysate Lysates/proteins at 20 µg/Lane. Predicted band size: 41/43 kDa Observed band size: 41/43 kDa Exposure time: 13 seconds; ECL: K1801; 4-20% SDS-PAGE gel. Proteins were transferred to a PVDF membrane and blocked with 5% NFDM/TBST for 1 hour at room temperature. The primary antibody (HA750199) at 1/5,000 dilution was used in 5% NFDM/TBST at 4℃ overnight. Goat Anti-Rabbit IgG - HRP Secondary Antibody (HA1001) at 1/50,000 dilution was used for 1 hour at room temperature.
quantity: 100μl
price: 649.00 USD
to the supplier
ERK2
HUABIO
catalog: M1407-3
mouse monoclonal (5-D2)
reactivity:
human
,
mouse
,
rat
application:
western blot
,
flow cytometry
,
immunohistochemistry - paraffin section
Western blot analysis of ERK2 on different lysates with Mouse anti-ERK2 antibody (M1407-3) at 1/1,000 dilution. Lane 1: Human brain tissue lysate Lane 2: Mouse brain tissue lysate Lane 3: Rat brain tissue lysate Lysates/proteins at 40 µg/Lane. Predicted band size: 41 kDa Observed band size: 41 kDa Exposure time: 1 minute 2 seconds; 4-20% SDS-PAGE gel. Proteins were transferred to a PVDF membrane and blocked with 5% NFDM/TBST for 1 hour at room temperature. The primary antibody (M1407-3) at 1/1,000 dilution was used in 5% NFDM/TBST at 4℃ overnight. Alpaca Anti-Mouse IgG - HRP for IP Nano-Secondary Antibody (NBI02H) at 1/5,000 dilution was used for 1 hour at room temperature.
ICC staining ERK2 in A549 cells (green). Formalin fixed cells were permeabilized with 0.1% Triton X-100 in TBS for 10 minutes at room temperature and blocked with 1% Blocker BSA for 15 minutes at room temperature. Cells were probed with ERK2 monoclonal antibody at a dilution of 1:100 for 1 hour at room temperature, washed with PBS. Alexa Fluorc™ 488 Goat anti-Mouse IgG was used as the secondary antibody at 1/100 dilution.
ICC staining ERK2 in HepG2 cells (green). Formalin fixed cells were permeabilized with 0.1% Triton X-100 in TBS for 10 minutes at room temperature and blocked with 1% Blocker BSA for 15 minutes at room temperature. Cells were probed with ERK2 monoclonal antibody at a dilution of 1:100 for 1 hour at room temperature, washed with PBS. Alexa Fluorc™ 488 Goat anti-Mouse IgG was used as the secondary antibody at 1/100 dilution.
quantity: 100μl
price: 360.00 USD
to the supplier
Anti-ERK1/2 Antibody [SA43-03]
HUABIO
catalog: ET1601-29TR
domestic rabbit monoclonal (SA43-03)
reactivity:
human
,
mouse
,
rat
,
zebrafish
application:
western blot
,
immunoprecipitation
,
flow cytometry
,
immunohistochemistry - paraffin section
,
immunohistochemistry - frozen section
quantity: 20 uL
price: 99 USD
to the supplier
Anti-Phospho-Erk1 (T202/Y204) + Erk2 (T185/Y187) Antibody [SC58-01]
HUABIO
catalog: ET1610-13TR
domestic rabbit monoclonal (SC58-01)
reactivity:
human
,
mouse
,
rat
application:
western blot
,
immunoprecipitation
,
immunohistochemistry - paraffin section
quantity: 20 uL
price: 99 USD
to the supplier