Sign in
Sign up
home
>
HUABIO
> HUABIO DNA-PKcs antibody
DNA PKcs
HUABIO
catalog: ET1610-12-50UL
domestic rabbit monoclonal (SC57-08)
reactivity:
human
,
mouse
,
rat
application:
western blot
,
immunoprecipitation
,
immunohistochemistry - paraffin section
Western blot analysis of DNA PKcs on different lysates with Rabbit anti-DNA PKcs antibody (ET1610-12) at 1/5,000 dilution. Lane 1: K-562 cell lysate Lane 2: NIH/3T3 cell lysate Lane 3: PC-12 cell lysate Lysates/proteins at 15 µg/Lane. Predicted band size: 469 kDa Observed band size: 469 kDa Exposure time: 5 seconds; ECL: K1801; 3-8% SDS-PAGE gel. Proteins were transferred to a PVDF membrane and blocked with 5% NFDM/TBST for 1 hour at room temperature. The primary antibody (ET1610-12) at 1/5,000 dilution was used in 5% NFDM/TBST at 4℃ overnight. Goat Anti-Rabbit IgG - HRP Secondary Antibody (HA1001) at 1/50,000 dilution was used for 1 hour at room temperature.
Immunocytochemistry analysis of K-562 cells labeling DNA PKcs with Rabbit anti-DNA PKcs antibody (ET1610-12) at 1/100 dilution. Cells were fixed in 4% paraformaldehyde for 20 minutes at room temperature, permeabilized with 0.1% Triton X-100 in PBS for 5 minutes at room temperature, then blocked with 1% BSA in 10% negative goat serum for 1 hour at room temperature. Cells were then incubated with Rabbit anti-DNA PKcs antibody (ET1610-12) at 1/100 dilution in 1% BSA in PBST overnight at 4 ℃. Goat Anti-Rabbit IgG H&L (iFluor™ 488, HA1121) was used as the secondary antibody at 1/1,000 dilution. PBS instead of the primary antibody was used as the secondary antibody only control. Nuclear DNA was labelled in blue with DAPI. Beta tubulin (M1305-2, red) was stained at 1/100 dilution overnight at +4℃. Goat Anti-Mouse IgG H&L (iFluor™ 594, HA1126) was used as the secondary antibody at 1/1,000 dilution.
ICC staining of DNA PKcs in Hela cells (green). Formalin fixed cells were permeabilized with 0.1% Triton X-100 in TBS for 10 minutes at room temperature and blocked with 1% Blocker BSA for 15 minutes at room temperature. Cells were probed with the primary antibody (ET1610-12, 1/50) for 1 hour at room temperature, washed with PBS. Alexa Fluor®488 Goat anti-Rabbit IgG was used as the secondary antibody at 1/1,000 dilution. The nuclear counter stain is DAPI (blue).
quantity: 50μl
price: 205.00 USD
to the supplier
DNA-PKcs/PRKDC
HUABIO
catalog: HA601232
mouse monoclonal (2-B3-R)
reactivity:
human
application:
western blot
,
immunohistochemistry - paraffin section
Western blot analysis of DNA-PKcs/PRKDC on different lysates with Mouse anti-DNA-PKcs/PRKDC antibody (HA601232) at 1/2,000 dilution. Lane 1: K-562 cell lysate Lane 2: HepG2 cell lysate Lane 3: HeLa cell lysate Lane 4: Jurkat cell lysate Lane 5: 293T cell lysate Lane 6: HT-29 cell lysate Lane 7: A549 cell lysate Lane 8: MCF7 cell lysate Lysates/proteins at 20 µg/Lane. Predicted band size: 469 kDa Observed band size: 469 kDa Exposure time: 23 seconds; 3-8% SDS-PAGE gel. Proteins were transferred to a PVDF membrane and blocked with 5% NFDM/TBST for 1 hour at room temperature. The primary antibody (HA601232) at 1/2,000 dilution was used in 5% NFDM/TBST at 4℃ overnight. Goat Anti-Mouse IgG - HRP Secondary Antibody (HA1006) at 1/50,000 dilution was used for 1 hour at room temperature.
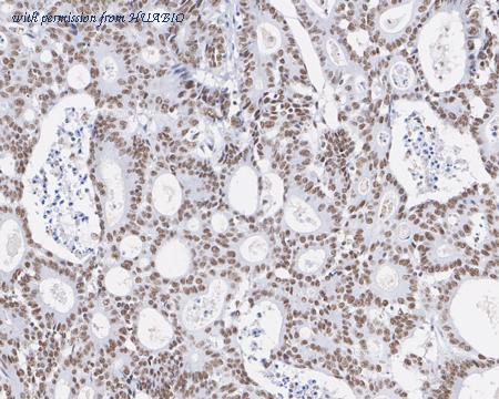
Immunohistochemical analysis of paraffin-embedded human colon cancer tissue with Mouse anti-DNA-PKcs/PRKDC antibody (HA601232) at 1/500 dilution. The section was pre-treated using heat mediated antigen retrieval with sodium citrate buffer (pH 6.0) (high pressure) for 2 minutes. The tissues were blocked in 1% BSA for 20 minutes at room temperature, washed with ddH2O and PBS, and then probed with the primary antibody (HA601232) at 1/500 dilution for 1 hour at room temperature. The detection was performed using an HRP conjugated compact polymer system. DAB was used as the chromogen. Tissues were counterstained with hematoxylin and mounted with DPX.
Immunocytochemistry analysis of HepG2 cells labeling DNA-PKcs/PRKDC with Mouse anti-DNA-PKcs/PRKDC antibody (HA601232) at 1/100 dilution. Cells were fixed in 4% paraformaldehyde for 20 minutes at room temperature, permeabilized with 0.1% Triton X-100 in PBS for 5 minutes at room temperature, then blocked with 1% BSA in 10% negative goat serum for 1 hour at room temperature. Cells were then incubated with Mouse anti-DNA-PKcs/PRKDC antibody (HA601232) at 1/100 dilution in 1% BSA in PBST overnight at 4 ℃. Goat Anti-Mouse IgG H&L (iFluor™ 488, HA1125) was used as the secondary antibody at 1/1,000 dilution. PBS instead of the primary antibody was used as the secondary antibody only control. Nuclear DNA was labelled in blue with DAPI. beta Tubulin (ET1602-4, red) was stained at 1/100 dilution overnight at +4℃. Goat Anti-Rabbit IgG H&L (iFluor™ 594, HA1122) were used as the secondary antibody at 1/1,000 dilution.
quantity: 100μl
price: 360.00 USD
to the supplier
DNA-PKcs/PRKDC
HUABIO
catalog: HA610107
mouse monoclonal (2-B3-R)
reactivity:
human
application:
western blot
,
immunohistochemistry - paraffin section
Western blot analysis of DNA-PKcs/PRKDC on different lysates with Mouse anti-DNA-PKcs/PRKDC antibody (HA610107) at 1/2,000 dilution. Lane 1: K-562 cell lysate Lane 2: HepG2 cell lysate Lane 3: HeLa cell lysate Lane 4: Jurkat cell lysate Lane 5: 293T cell lysate Lane 6: HT-29 cell lysate Lane 7: A549 cell lysate Lane 8: MCF7 cell lysate Lysates/proteins at 20 µg/Lane. Predicted band size: 469 kDa Observed band size: 469 kDa Exposure time: 23 seconds; 3-8% SDS-PAGE gel. Proteins were transferred to a PVDF membrane and blocked with 5% NFDM/TBST for 1 hour at room temperature. The primary antibody (HA610107) at 1/2,000 dilution was used in 5% NFDM/TBST at 4℃ overnight. Goat Anti-Mouse IgG - HRP Secondary Antibody (HA1006) at 1/50,000 dilution was used for 1 hour at room temperature.
Immunohistochemical analysis of paraffin-embedded human colon cancer tissue with Mouse anti-DNA-PKcs/PRKDC antibody (HA610107) at 1/500 dilution. The section was pre-treated using heat mediated antigen retrieval with sodium citrate buffer (pH 6.0) (high pressure) for 2 minutes. The tissues were blocked in 1% BSA for 20 minutes at room temperature, washed with ddH2O and PBS, and then probed with the primary antibody (HA610107) at 1/500 dilution for 1 hour at room temperature. The detection was performed using an HRP conjugated compact polymer system. DAB was used as the chromogen. Tissues were counterstained with hematoxylin and mounted with DPX.
Immunocytochemistry analysis of HepG2 cells labeling DNA-PKcs/PRKDC with Mouse anti-DNA-PKcs/PRKDC antibody (HA610107) at 1/100 dilution. Cells were fixed in 4% paraformaldehyde for 20 minutes at room temperature, permeabilized with 0.1% Triton X-100 in PBS for 5 minutes at room temperature, then blocked with 1% BSA in 10% negative goat serum for 1 hour at room temperature. Cells were then incubated with Mouse anti-DNA-PKcs/PRKDC antibody (HA610107) at 1/100 dilution in 1% BSA in PBST overnight at 4 ℃. Goat Anti-Mouse IgG H&L (iFluor™ 488, HA1125) was used as the secondary antibody at 1/1,000 dilution. PBS instead of the primary antibody was used as the secondary antibody only control. Nuclear DNA was labelled in blue with DAPI. beta Tubulin (ET1602-4, red) was stained at 1/100 dilution overnight at +4℃. Goat Anti-Rabbit IgG H&L (iFluor™ 594, HA1122) were used as the secondary antibody at 1/1,000 dilution.
quantity: 100μg
price: 649.00 USD
to the supplier
Phospho-DNA PKcs (S2056)
HUABIO
catalog: HA722066
domestic rabbit monoclonal (JE41-92)
reactivity:
human
application:
western blot
Western blot analysis of Phospho-DNA PKcs (S2056) on different lysates with Rabbit anti-Phospho-DNA PKcs (S2056) antibody (HA722066) at 1/1,000 dilution. Lane 1: HT-29 cell lysate Lane 2: HT-29 treated with UV for 3 hours cell lysate Lysates/proteins at 20 µg/Lane. Predicted band size: 469 kDa Observed band size: 469 kDa Exposure time: 2 minutes; 6% SDS-PAGE gel. Proteins were transferred to a PVDF membrane and blocked with 5% NFDM/TBST for 1 hour at room temperature. The primary antibody (HA722066) at 1/1,000 dilution was used in 5% NFDM/TBST at 4℃ overnight. Goat Anti-Rabbit IgG - HRP Secondary Antibody (HA1001) at 1/50,000 dilution was used for 1 hour at room temperature.
Immunocytochemistry analysis of HT-29 cells treated with or without UV for 3 hours labeling Phospho-DNA PKcs (S2056) with Rabbit anti-Phospho-DNA PKcs (S2056) antibody (HA722066) at 1/100 dilution. Cells were fixed in 4% paraformaldehyde for 20 minutes at room temperature, permeabilized with 0.1% Triton X-100 in PBS for 5 minutes at room temperature, then blocked with 1% BSA in 10% negative goat serum for 1 hour at room temperature. Cells were then incubated with Rabbit anti-Phospho-DNA PKcs (S2056) antibody (HA722066) at 1/100 dilution in 1% BSA in PBST overnight at 4 ℃. Goat Anti-Rabbit IgG H&L (iFluor™ 488, HA1121) was used as the secondary antibody at 1/1,000 dilution. PBS instead of the primary antibody was used as the secondary antibody only control. Nuclear DNA was labelled in blue with DAPI. Beta tubulin (M1305-2, red) was stained at 1/100 dilution overnight at +4℃. Goat Anti-Mouse IgG H&L (iFluor™ 594, HA1126) was used as the secondary antibody at 1/1,000 dilution.
quantity: 100μl
price: 385.00 USD
to the supplier
DNA PKcs
HUABIO
catalog: HA750198
domestic rabbit monoclonal (SC57-08)
reactivity:
human
,
mouse
,
rat
application:
western blot
,
immunoprecipitation
,
immunohistochemistry - paraffin section
Western blot analysis of DNA PKcs on different lysates with Rabbit anti-DNA PKcs antibody (HA750198) at 1/5,000 dilution. Lane 1: K-562 cell lysate Lane 2: NIH/3T3 cell lysate Lane 3: PC-12 cell lysate Lysates/proteins at 15 µg/Lane. Predicted band size: 469 kDa Observed band size: 469 kDa Exposure time: 5 seconds; ECL: K1801; 3-8% SDS-PAGE gel. Proteins were transferred to a PVDF membrane and blocked with 5% NFDM/TBST for 1 hour at room temperature. The primary antibody (HA750198) at 1/5,000 dilution was used in 5% NFDM/TBST at 4℃ overnight. Goat Anti-Rabbit IgG - HRP Secondary Antibody (HA1001) at 1/50,000 dilution was used for 1 hour at room temperature.
Immunocytochemistry analysis of K-562 cells labeling DNA PKcs with Rabbit anti-DNA PKcs antibody (HA750198) at 1/100 dilution. Cells were fixed in 4% paraformaldehyde for 20 minutes at room temperature, permeabilized with 0.1% Triton X-100 in PBS for 5 minutes at room temperature, then blocked with 1% BSA in 10% negative goat serum for 1 hour at room temperature. Cells were then incubated with Rabbit anti-DNA PKcs antibody (HA750198) at 1/100 dilution in 1% BSA in PBST overnight at 4 ℃. Goat Anti-Rabbit IgG H&L (iFluor™ 488, HA1121) was used as the secondary antibody at 1/1,000 dilution. PBS instead of the primary antibody was used as the secondary antibody only control. Nuclear DNA was labelled in blue with DAPI. Beta tubulin (M1305-2, red) was stained at 1/100 dilution overnight at +4℃. Goat Anti-Mouse IgG H&L (iFluor™ 594, HA1126) was used as the secondary antibody at 1/1,000 dilution.
ICC staining of DNA PKcs in Hela cells (green). Formalin fixed cells were permeabilized with 0.1% Triton X-100 in TBS for 10 minutes at room temperature and blocked with 1% Blocker BSA for 15 minutes at room temperature. Cells were probed with the primary antibody (HA750198, 1/50) for 1 hour at room temperature, washed with PBS. Alexa Fluor®488 Goat anti-Rabbit IgG was used as the secondary antibody at 1/1,000 dilution. The nuclear counter stain is DAPI (blue).
quantity: 100μl
price: 649.00 USD
to the supplier
DNA-PKcs/PRKDC
HUABIO
catalog: M1204-6
mouse monoclonal (2-B3)
reactivity:
human
,
mouse
application:
western blot
,
immunohistochemistry - paraffin section
Western blot analysis of DNA-PKcs/PRKDC on different lysates with Mouse anti-DNA-PKcs/PRKDC antibody (M1204-6) at 1/2,000 dilution. Lane 1: K-562 cell lysate Lane 2: HepG2 cell lysate Lane 3: HeLa cell lysate Lane 4: Jurkat cell lysate Lane 5: 293T cell lysate Lane 6: HT-29 cell lysate Lane 7: A549 cell lysate Lane 8: MCF7 cell lysate Lysates/proteins at 20 µg/Lane. Predicted band size: 469 kDa Observed band size: 469 kDa Exposure time: 23 seconds; 3-8% SDS-PAGE gel. Proteins were transferred to a PVDF membrane and blocked with 5% NFDM/TBST for 1 hour at room temperature. The primary antibody (M1204-6) at 1/2,000 dilution was used in 5% NFDM/TBST at 4℃ overnight. Goat Anti-Mouse IgG - HRP Secondary Antibody (HA1006) at 1/50,000 dilution was used for 1 hour at room temperature.
Immunocytochemistry analysis of HepG2 cells labeling DNA-PKcs/PRKDC with Mouse anti-DNA-PKcs/PRKDC antibody (M1204-6) at 1/100 dilution. Cells were fixed in 4% paraformaldehyde for 20 minutes at room temperature, permeabilized with 0.1% Triton X-100 in PBS for 5 minutes at room temperature, then blocked with 1% BSA in 10% negative goat serum for 1 hour at room temperature. Cells were then incubated with Mouse anti-DNA-PKcs/PRKDC antibody (M1204-6) at 1/100 dilution in 1% BSA in PBST overnight at 4 ℃. Goat Anti-Mouse IgG H&L (iFluor™ 488, HA1125) was used as the secondary antibody at 1/1,000 dilution. PBS instead of the primary antibody was used as the secondary antibody only control. Nuclear DNA was labelled in blue with DAPI. beta Tubulin (ET1602-4, red) was stained at 1/100 dilution overnight at +4℃. Goat Anti-Rabbit IgG H&L (iFluor™ 594, HA1122) were used as the secondary antibody at 1/1,000 dilution.
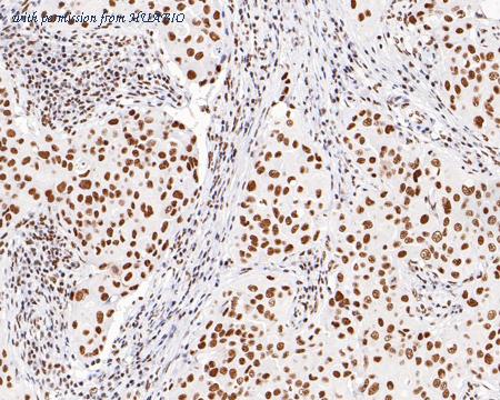
Immunohistochemical analysis of paraffin-embedded human breast carcinoma tissue with Mouse anti-DNA-PKcs/PRKDC antibody (M1204-6) at 1/500 dilution. The section was pre-treated using heat mediated antigen retrieval with sodium citrate buffer (pH 6.0) (high pressure) for 2 minutes. The tissues were blocked in 1% BSA for 20 minutes at room temperature, washed with ddH2O and PBS, and then probed with the primary antibody (M1204-6) at 1/500 dilution for 1 hour at room temperature. The detection was performed using an HRP conjugated compact polymer system. DAB was used as the chromogen. Tissues were counterstained with hematoxylin and mounted with DPX.
quantity: 100μl
price: 360.00 USD
to the supplier