domestic rabbit polyclonal
reactivity: human, rat
application: western blot, flow cytometry, immunohistochemistry - paraffin section
reactivity: human, rat
application: western blot, flow cytometry, immunohistochemistry - paraffin section

Western blot analysis of Glucosidase 2 subunit beta on different lysates with Rabbit anti-Glucosidase 2 subunit beta antibody (HA500152) at 1/2,000 dilution. Lane 1: HAP1-parental cell lysate Lane 2: HAP1-Glucosidase 2 subunit beta KD cell lysate Lysates/proteins at 10 µg/Lane. Predicted band size: 59 kDa Observed band size: 75 kDa Exposure time: 6 seconds; ECL: K1801; 4-20% SDS-PAGE gel. Proteins were transferred to a PVDF membrane and blocked with 5% NFDM/TBST for 1 hour at room temperature. The primary antibody (HA500152) at 1/2,000 dilution was used in primary antibody dilution (K1803) at 4℃ overnight. Goat Anti-Rabbit IgG - HRP Secondary Antibody (HA1001) at 1/50,000 dilution was used for 1 hour at room temperature.

Western blot analysis of Glucosidase 2 subunit beta on different lysates. Proteins were transferred to a PVDF membrane and blocked with 5% BSA in PBS for 1 hour at room temperature. The primary antibody (HA500152, 1/1,000) was used in 5% BSA at room temperature for 2 hours. Goat Anti-Rabbit IgG - HRP Secondary Antibody (HA1001) at 1:200,000 dilution was used for 1 hour at room temperature. Positive control: Lane 1: Hela cell lysate Lane 2: Jurkat cell lysate Lane 3: A431 cell lysate Lane 4: Rat kidney tissue lysate Lane 5: Rat liver tissue lysate

Immunocytochemistry analysis of SiHa cells labeling Glucosidase 2 subunit beta with Rabbit anti-Glucosidase 2 subunit beta antibody (HA500152) at 1/200 dilution. Cells were fixed in 4% paraformaldehyde for 10 minutes at 37 ℃, permeabilized with 0.05% Triton X-100 in PBS for 20 minutes, and then blocked with 2% negative goat serum for 30 minutes at room temperature. Cells were then incubated with Rabbit anti-Glucosidase 2 subunit beta antibody (HA500152) at 1/200 dilution in 2% negative goat serum overnight at 4 ℃. Goat Anti-Rabbit IgG H&L (iFluor™ 488, HA1121) was used as the secondary antibody at 1/1,000 dilution. PBS instead of the primary antibody was used as the secondary antibody only control. Nuclear DNA was labelled in blue with DAPI.
quantity: 100μl
price: 330 USD
to the supplier
mouse monoclonal (A6H9)
reactivity: human
application: western blot, flow cytometry, immunohistochemistry - paraffin section
reactivity: human
application: western blot, flow cytometry, immunohistochemistry - paraffin section

Western blot analysis of Glucosidase 2 subunit beta on different lysates with Mouse anti-Glucosidase 2 subunit beta antibody (HA600054) at 1/1,000 dilution. Lane 1: HeLa cell lysate Lane 2: 293T cell lysate Lane 3: Daudi cell lysate Lane 4: Jurkat cell lysate Lane 5: A431 cell lysate Lysates/proteins at 20 µg/Lane. Predicted band size: 59 kDa Observed band size: 80 kDa Exposure time: 5 minutes; 4-20% SDS-PAGE gel. Proteins were transferred to a PVDF membrane and blocked with 5% NFDM/TBST for 1 hour at room temperature. The primary antibody (HA600054) at 1/1,000 dilution was used in 5% NFDM/TBST at 4℃ overnight. Goat Anti-Mouse IgG - HRP Secondary Antibody (HA1006) at 1/50,000 dilution was used for 1 hour at room temperature.

Western blot analysis of Glucosidase 2 subunit beta on different lysates with Mouse anti-Glucosidase 2 subunit beta antibody (HA600054) at 1/2,000 dilution. Lane 1: HAP1-parental cell lysate Lane 2: HAP1-Glucosidase 2 subunit beta KD cell lysate Lysates/proteins at 10 µg/Lane. Predicted band size: 59 kDa Observed band size: 70 kDa Exposure time: 9 seconds; ECL: K1801; 4-20% SDS-PAGE gel. Proteins were transferred to a PVDF membrane and blocked with 5% NFDM/TBST for 1 hour at room temperature. The primary antibody (HA600054) at 1/2,000 dilution was used in primary antibody dilution (K1803) at 4℃ overnight. Goat Anti-Mouse IgG - HRP Secondary Antibody (HA1006) at 1/50,000 dilution was used for 1 hour at room temperature.

Immunocytochemistry analysis of Hela cells labeling Glucosidase 2 subunit beta with Mouse anti-Glucosidase 2 subunit beta antibody (HA600054) at 1/100 dilution. Cells were fixed in 4% paraformaldehyde for 15 minutes, permeabilized with 0.1% Triton X-100 in PBS for 15 minutes, and then blocked with 1% BSA for 30 minutes at room temperature. Cells were then incubated with Mouse anti-Glucosidase 2 subunit beta antibody (HA600054) at 1/100 dilution in 1% BSA overnight at 4 ℃. Goat Anti-Mouse IgG H&L (iFluor™ 488, HA1125) was used as the secondary antibody at 1/1,000 dilution. PBS instead of the primary antibody was used as the secondary antibody only control. Nuclear DNA was labelled in blue with DAPI.
quantity: 100μl
price: 360.00 USD
to the supplier
mouse monoclonal (A6H9-R)
reactivity: human
application: western blot
reactivity: human
application: western blot

Western blot analysis of Glucosidase 2 subunit beta on different lysates with Mouse anti-Glucosidase 2 subunit beta antibody (HA601276) at 1/1,000 dilution. Lane 1: HeLa cell lysate Lane 2: 293T cell lysate Lane 3: Daudi cell lysate Lane 4: Jurkat cell lysate Lane 5: A431 cell lysate Lysates/proteins at 20 µg/Lane. Predicted band size: 59 kDa Observed band size: 80 kDa Exposure time: 5 minutes; 4-20% SDS-PAGE gel. Proteins were transferred to a PVDF membrane and blocked with 5% NFDM/TBST for 1 hour at room temperature. The primary antibody (HA601276) at 1/1,000 dilution was used in 5% NFDM/TBST at 4℃ overnight. Goat Anti-Mouse IgG - HRP Secondary Antibody (HA1006) at 1/50,000 dilution was used for 1 hour at room temperature.

Western blot analysis of Glucosidase 2 subunit beta on different lysates with Mouse anti-Glucosidase 2 subunit beta antibody (HA601276) at 1/2,000 dilution. Lane 1: HAP1-parental cell lysate Lane 2: HAP1-Glucosidase 2 subunit beta KD cell lysate Lysates/proteins at 10 µg/Lane. Predicted band size: 59 kDa Observed band size: 75 kDa Exposure time: 15 seconds; ECL: K1801; 4-20% SDS-PAGE gel. Proteins were transferred to a PVDF membrane and blocked with 5% NFDM/TBST for 1 hour at room temperature. The primary antibody (HA601276) at 1/2,000 dilution was used in primary antibody dilution (K1803) at 4℃ overnight. Goat Anti-Mouse IgG - HRP Secondary Antibody (HA1006) at 1/50,000 dilution was used for 1 hour at room temperature.
quantity: 100μl
price: 360.00 USD
to the supplier
mouse monoclonal (A6H9-R)
reactivity: human
application: western blot
reactivity: human
application: western blot

Western blot analysis of Glucosidase 2 subunit beta on different lysates with Mouse anti-Glucosidase 2 subunit beta antibody (HA610151) at 1/1,000 dilution. Lane 1: HeLa cell lysate Lane 2: 293T cell lysate Lane 3: Daudi cell lysate Lane 4: Jurkat cell lysate Lane 5: A431 cell lysate Lysates/proteins at 20 µg/Lane. Predicted band size: 59 kDa Observed band size: 80 kDa Exposure time: 5 minutes; 4-20% SDS-PAGE gel. Proteins were transferred to a PVDF membrane and blocked with 5% NFDM/TBST for 1 hour at room temperature. The primary antibody (HA610151) at 1/1,000 dilution was used in 5% NFDM/TBST at 4℃ overnight. Goat Anti-Mouse IgG - HRP Secondary Antibody (HA1006) at 1/50,000 dilution was used for 1 hour at room temperature.

Western blot analysis of Glucosidase 2 subunit beta on different lysates with Mouse anti-Glucosidase 2 subunit beta antibody (HA610151) at 1/2,000 dilution. Lane 1: HAP1-parental cell lysate Lane 2: HAP1-Glucosidase 2 subunit beta KD cell lysate Lysates/proteins at 10 µg/Lane. Predicted band size: 59 kDa Observed band size: 75 kDa Exposure time: 15 seconds; ECL: K1801; 4-20% SDS-PAGE gel. Proteins were transferred to a PVDF membrane and blocked with 5% NFDM/TBST for 1 hour at room temperature. The primary antibody (HA610151) at 1/2,000 dilution was used in primary antibody dilution (K1803) at 4℃ overnight. Goat Anti-Mouse IgG - HRP Secondary Antibody (HA1006) at 1/50,000 dilution was used for 1 hour at room temperature.
quantity: 100μg
price: 649.00 USD
to the supplier
domestic rabbit monoclonal (JE58-41)
reactivity: human
application: western blot, immunohistochemistry - paraffin section
reactivity: human
application: western blot, immunohistochemistry - paraffin section

Western blot analysis of Glucosidase 2 subunit beta on different lysates with Rabbit anti-Glucosidase 2 subunit beta antibody (HA720042) at 1/2,000 dilution. Lane 1: MCF7 cell lysate Lane 2: HeLa cell lysate Lysates/proteins at 20 µg/Lane. Predicted band size: 59 kDa Observed band size: 80 kDa Exposure time: 4 seconds; ECL: K1801; 4-20% SDS-PAGE gel. Proteins were transferred to a PVDF membrane and blocked with 5% NFDM/TBST for 1 hour at room temperature. The primary antibody (HA720042) at 1/2,000 dilution was used in 5% NFDM/TBST at 4℃ overnight. Goat Anti-Rabbit IgG - HRP Secondary Antibody (HA1001) at 1/50,000 dilution was used for 1 hour at room temperature.

Western blot analysis of Glucosidase 2 subunit beta on different lysates with Rabbit anti-Glucosidase 2 subunit beta antibody (HA720042) at 1/2,000 dilution. Lane 1: HAP1-parental cell lysate Lane 2: HAP1-Glucosidase 2 subunit beta KD cell lysate Lysates/proteins at 10 µg/Lane. Predicted band size: 59 kDa Observed band size: 80 kDa Exposure time: 9 seconds; ECL: K1801; 4-20% SDS-PAGE gel. Proteins were transferred to a PVDF membrane and blocked with 5% NFDM/TBST for 1 hour at room temperature. The primary antibody (HA720042) at 1/2,000 dilution was used in K1803 at 4℃ overnight. Goat Anti-Rabbit IgG - HRP Secondary Antibody (HA1001) at 1/50,000 dilution was used for 1 hour at room temperature.

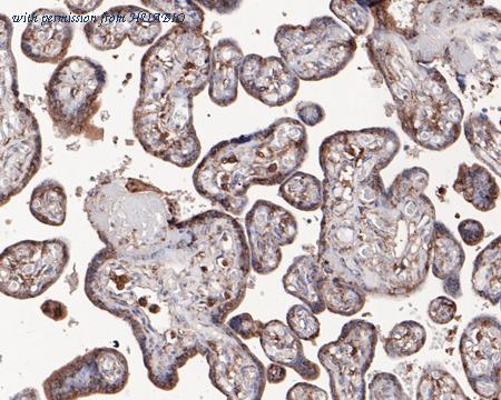
Immunohistochemical analysis of paraffin-embedded human placenta tissue using anti-Glucosidase 2 subunit beta antibody. The section was pre-treated using heat mediated antigen retrieval with Tris-EDTA buffer (pH 8.0-8.4) for 20 minutes.The tissues were blocked in 5% BSA for 30 minutes at room temperature, washed with ddH2O and PBS, and then probed with the primary antibody (HA720042, 1/50) for 30 minutes at room temperature. The detection was performed using an HRP conjugated compact polymer system. DAB was used as the chromogen. Tissues were counterstained with hematoxylin and mounted with DPX.
quantity: 100μl
price: 385.00 USD
to the supplier
