Sign in
Sign up
home
>
HUABIO
> HUABIO PKC beta antibody
PKC beta
HUABIO
catalog: ER1802-14
domestic rabbit polyclonal
reactivity:
human
,
mouse
application:
western blot
,
immunohistochemistry - paraffin section
Western blot analysis of PKC beta 2 on different lysates using anti-PKC beta 2 antibody at 1/500 dilution. Positive control: Lane 1: Rat spleen tissue lysate Lane 2: Jurkat cell lysate
ICC staining PKC beta 2 in Hela cells (green). The nuclear counter stain is DAPI (blue). Cells were fixed in paraformaldehyde, permeabilised with 0.25% Triton X100/PBS.
ICC staining PKC beta 2 in HepG2 cells (green). The nuclear counter stain is DAPI (blue). Cells were fixed in paraformaldehyde, permeabilised with 0.25% Triton X100/PBS.
quantity: 100μl
price: 330 USD
to the supplier
PKC beta 2
HUABIO
catalog: ET1609-44
domestic rabbit monoclonal (ST48-06)
reactivity:
human
,
mouse
,
rat
application:
western blot
,
immunoprecipitation
,
flow cytometry
,
immunohistochemistry - paraffin section
Western blot analysis of PKC beta 2 on different lysates with Rabbit anti-PKC beta 2 antibody (ET1609-44) at 1/500 dilution. Lane 1: K-562 cell lysate (20 µg/Lane) Lane 2: Raji cell lysate (20 µg/Lane) Lane 3: Mouse spleen tissue lysate (40 µg/Lane) Lane 4: Rat spleen tissue lysate (40 µg/Lane) Predicted band size: 77 kDa Observed band size: 77 kDa Exposure time: 25 seconds; ECL: K1801; 4-20% SDS-PAGE gel. Proteins were transferred to a PVDF membrane and blocked with 5% NFDM/TBST for 1 hour at room temperature. The primary antibody (ET1609-44) at 1/500 dilution was used in 5% NFDM/TBST at 4℃ overnight. Goat Anti-Rabbit IgG - HRP Secondary Antibody (HA1001) at 1/50,000 dilution was used for 1 hour at room temperature.
Immunohistochemical analysis of paraffin-embedded human spleen tissue with Rabbit anti-PKC beta 2 antibody (ET1609-44) at 1/50 dilution. The section was pre-treated using heat mediated antigen retrieval with sodium citrate buffer (pH 6.0) (high pressure) for 2 minutes. The tissues were blocked in 1% BSA for 20 minutes at room temperature, washed with ddH2O and PBS, and then probed with the primary antibody (ET1609-44) at 1/50 dilution for 1 hour at room temperature. The detection was performed using an HRP conjugated compact polymer system. DAB was used as the chromogen. Tissues were counterstained with hematoxylin and mounted with DPX.
Immunohistochemical analysis of paraffin-embedded mouse spleen tissue with Rabbit anti-PKC beta 2 antibody (ET1609-44) at 1/200 dilution. The section was pre-treated using heat mediated antigen retrieval with sodium citrate buffer (pH 6.0) (high pressure) for 2 minutes. The tissues were blocked in 1% BSA for 20 minutes at room temperature, washed with ddH2O and PBS, and then probed with the primary antibody (ET1609-44) at 1/200 dilution for 1 hour at room temperature. The detection was performed using an HRP conjugated compact polymer system. DAB was used as the chromogen. Tissues were counterstained with hematoxylin and mounted with DPX.
quantity: 100μl
price: 385.00 USD
to the supplier
PKC beta 1
HUABIO
catalog: ET1705-30
domestic rabbit monoclonal (JM43-26)
reactivity:
human
,
mouse
,
rat
application:
western blot
,
flow cytometry
,
immunohistochemistry - paraffin section
Western blot analysis of PKC beta 1 on different lysates with Rabbit anti-PKC beta 1 antibody (ET1705-30) at 1/5,000 dilution. Lane 1: L-929 cell lysate (20 µg/Lane) Lane 2: HeLa cell lysate (20 µg/Lane) Lane 3: C2C12 cell lysate (20 µg/Lane) Lane 4: NIH/3T3 cell lysate (20 µg/Lane) Lane 5: C6 cell lysate (20 µg/Lane) Predicted band size: 77 kDa Observed band size: 77 kDa Exposure time: 2 minutes; ECL: K1801; 4-20% SDS-PAGE gel. Proteins were transferred to a PVDF membrane and blocked with 5% NFDM/TBST for 1 hour at room temperature. The primary antibody (ET1705-30) at 1/5,000 dilution was used in primary antibody dilution (K1803) at 4℃ overnight. Goat Anti-Rabbit IgG - HRP Secondary Antibody (HA1001) at 1/50,000 dilution was used for 1 hour at room temperature.
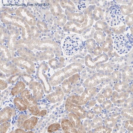
Immunohistochemical analysis of paraffin-embedded mouse kidney tissue with Rabbit anti-PKC beta 1 antibody (ET1705-30) at 1/200 dilution. The section was pre-treated using heat mediated antigen retrieval with Tris-EDTA buffer (pH 9.0) for 20 minutes. The tissues were blocked in 1% BSA for 20 minutes at room temperature, washed with ddH2O and PBS, and then probed with the primary antibody (ET1705-30) at 1/200 dilution for 1 hour at room temperature. The detection was performed using an HRP conjugated compact polymer system. DAB was used as the chromogen. Tissues were counterstained with hematoxylin and mounted with DPX.
Immunohistochemical analysis of paraffin-embedded mouse spleen tissue with Rabbit anti-PKC beta 1 antibody (ET1705-30) at 1/200 dilution. The section was pre-treated using heat mediated antigen retrieval with Tris-EDTA buffer (pH 9.0) for 20 minutes. The tissues were blocked in 1% BSA for 20 minutes at room temperature, washed with ddH2O and PBS, and then probed with the primary antibody (ET1705-30) at 1/200 dilution for 1 hour at room temperature. The detection was performed using an HRP conjugated compact polymer system. DAB was used as the chromogen. Tissues were counterstained with hematoxylin and mounted with DPX.
quantity: 100μl
price: 385.00 USD
to the supplier
Phospho-PKC (S729)
HUABIO
catalog: HA722846
domestic rabbit monoclonal (JE77-54)
reactivity:
human
,
mouse
,
rat
application:
western blot
,
immunohistochemistry - paraffin section
Western blot analysis of Phospho-PKC (S729) on different lysates with Rabbit anti-Phospho-PKC (S729) antibody (HA722846) at 1/1,000 dilution. Lane 1: HeLa cell lysate Lane 2: HeLa treated with 200nM TPA for 30 minutes cell lysate Lane 3: C2C12 cell lysate Lane 4: C2C12 treated with 200nM TPA for 30 minutes cell lysate Lane 5: C6 cell lysate Lane 6: C6 treated with 200nM TPA for 10 minutes cell lysate Lane 7: HeLa treated with 200nM TPA for 30 minutes cell lysate, then the membrane treated with Lambda PP for 1 hour Lane 8: C2C12 treated with 200nM TPA for 30 minutes cell lysate, then the membrane treated with Lambda PP for 1 hour Lane 9: C6 treated with 200nM TPA for 10 minutes cell lysate, then the membrane treated with Lambda PP for 1 hour Lysates/proteins at 20 µg/Lane. Predicted band size: 84 kDa Observed band size: 84 kDa Exposure time: 59 seconds; ECL: K1802; 4-20% SDS-PAGE gel. Proteins were transferred to a PVDF membrane and blocked with 5% NFDM/TBST for 1 hour at room temperature. The primary antibody (HA722846) at 1/1,000 dilution was used in 5% NFDM/TBST at 4℃ overnight. Goat Anti-Rabbit IgG - HRP Secondary Antibody (HA1001) at 1/50,000 dilution was used for 1 hour at room temperature.
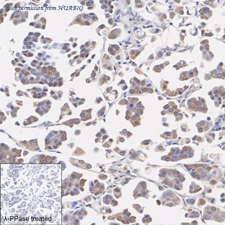
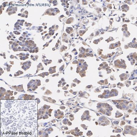
Immunohistochemical analysis of paraffin-embedded human breast cancer tissue with Rabbit anti-Phospho-PKC (S729) antibody (HA722846) at 1/200 dilution. The section was pre-treated using heat mediated antigen retrieval with Tris-EDTA buffer (pH 9.0) for 20 minutes. The tissues were blocked in 1% BSA for 20 minutes at room temperature, washed with ddH2O and PBS, and then probed with the primary antibody (HA722846) at 1/200 dilution for 1 hour at room temperature. The detection was performed using an HRP conjugated compact polymer system. DAB was used as the chromogen. Tissues were counterstained with hematoxylin and mounted with DPX.
quantity: 100μl
price: 385.00 USD
to the supplier
Phospho-PKC alpha/beta II (T638/T641)
HUABIO
catalog: HA723796
domestic rabbit monoclonal (PSH15-91)
reactivity:
human
,
mouse
,
rat
application:
western blot
Western blot analysis of Phospho-PKC alpha/beta II (T638/T641) on different lysates with Rabbit anti-Phospho-PKC alpha/beta II (T638/T641) antibody (HA723796) at 1/25,000 dilution. Lane 1: HEK-293 cell lysate Lane 2: HeLa cell lysate Lane 3: C6 cell lysate Lane 4: Mouse brain tissue lysate Lane 5: Rat brain tissue lysate Lane 6: NIH/3T3 cell lysate Lane 7: NIH/3T3 starved overnight then treated with 200nM TPA for 4 hours cell lysate Lane 8: NIH/3T3 starved overnight then treated with 200nM TPA for 4 hours cell lysate, then the membrane treated with λpp for 1 hour Lysates/proteins at 20 µg/Lane. Predicted band size: 77 kDa Observed band size: 77 kDa Exposure time: 14 seconds; ECL: K1801; 4-20% SDS-PAGE gel. Proteins were transferred to a PVDF membrane and blocked with 5% NFDM/TBST for 1 hour at room temperature. The primary antibody (HA723796) at 1/25,000 dilution was used in primary antibody dilution (K1803) at 4℃ overnight. Goat Anti-Rabbit IgG - HRP Secondary Antibody (HA1001) at 1/50,000 dilution was used for 1 hour at room temperature.
Immunocytochemistry analysis of HeLa cells untreated / treated with λpp labeling Phospho-PKC alpha/beta II (T638/T641) with Rabbit anti-Phospho-PKC alpha/beta II (T638/T641) antibody (HA723796) at 1/100 dilution. Cells were fixed in 4% paraformaldehyde for 15 minutes at room temperature, permeabilized with 0.1% Triton X-100 in PBS for 15 minutes at room temperature, then blocked with 1% BSA in 10% negative goat serum for 1 hour at room temperature. Cells were then incubated with Rabbit anti-Phospho-PKC alpha/beta II (T638/T641) antibody (HA723796) at 1/100 dilution in 1% BSA in PBST overnight at 4 ℃. Goat Anti-Rabbit IgG H&L (iFluor™ 488, HA1121) was used as the secondary antibody at 1/1,000 dilution. PBS instead of the primary antibody was used as the secondary antibody only control. Nuclear DNA was labelled in blue with DAPI. Beta tubulin (HA601187, red) was stained at 1/100 dilution overnight at +4℃. Goat Anti-Mouse IgG H&L (iFluor™ 594, HA1126) was used as the secondary antibody at 1/1,000 dilution.
Immunocytochemistry analysis of NIH/3T3 cells untreated / treated with λpp labeling Phospho-PKC alpha/beta II (T638/T641) with Rabbit anti-Phospho-PKC alpha/beta II (T638/T641) antibody (HA723796) at 1/100 dilution. Cells were fixed in 4% paraformaldehyde for 15 minutes at room temperature, permeabilized with 0.1% Triton X-100 in PBS for 15 minutes at room temperature, then blocked with 1% BSA in 10% negative goat serum for 1 hour at room temperature. Cells were then incubated with Rabbit anti-Phospho-PKC alpha/beta II (T638/T641) antibody (HA723796) at 1/100 dilution in 1% BSA in PBST overnight at 4 ℃. Goat Anti-Rabbit IgG H&L (iFluor™ 488, HA1121) was used as the secondary antibody at 1/1,000 dilution. PBS instead of the primary antibody was used as the secondary antibody only control. Nuclear DNA was labelled in blue with DAPI. Beta tubulin (HA601187, red) was stained at 1/100 dilution overnight at +4℃. Goat Anti-Mouse IgG H&L (iFluor™ 594, HA1126) was used as the secondary antibody at 1/1,000 dilution.
quantity: 100μl
price: 385.00 USD
to the supplier
Phospho-PKC alpha/beta II (T638/T641)
HUABIO
catalog: HA723825
domestic rabbit monoclonal (PSH16-27)
reactivity:
human
,
mouse
,
rat
application:
western blot
,
flow cytometry
,
immunohistochemistry - paraffin section
Western blot analysis of Phospho-PKC alpha/beta II (T638/T641) on different lysates with Rabbit anti-Phospho-PKC alpha/beta II (T638/T641) antibody (HA723825) at 1/25,000 dilution. Lane 1: HEK-293 cell lysate Lane 2: HeLa cell lysate Lane 3: C6 cell lysate Lane 4: Mouse brain tissue lysate Lane 5: Rat brain tissue lysate Lane 6: NIH/3T3 cell lysate Lane 7: NIH/3T3 starved overnight then treated with 200nM TPA for 4 hours cell lysate Lane 8: NIH/3T3 starved overnight then treated with 200nM TPA for 4 hours cell lysate, then the membrane treated with λpp for 1 hour Lysates/proteins at 20 µg/Lane. Predicted band size: 77 kDa Observed band size: 77 kDa Exposure time: 14 seconds; ECL: K1801; 4-20% SDS-PAGE gel. Proteins were transferred to a PVDF membrane and blocked with 5% NFDM/TBST for 1 hour at room temperature. The primary antibody (HA723825) at 1/25,000 dilution was used in primary antibody dilution (K1803) at 4℃ overnight. Goat Anti-Rabbit IgG - HRP Secondary Antibody (HA1001) at 1/50,000 dilution was used for 1 hour at room temperature.
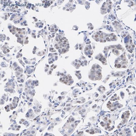
Immunohistochemical analysis of paraffin-embedded human breast cancer tissue untreated / treated with λpp with Rabbit anti-Phospho-PKC alpha/beta II (T638/T641) antibody (HA723825) at 1/200 dilution. The section was pre-treated using heat mediated antigen retrieval with Tris-EDTA buffer (pH 9.0) for 20 minutes. The tissues were blocked in 1% BSA for 20 minutes at room temperature, washed with ddH2O and PBS, and then probed with the primary antibody (HA723825) at 1/200 dilution for 1 hour at room temperature. The detection was performed using an HRP conjugated compact polymer system. DAB was used as the chromogen. Tissues were counterstained with hematoxylin and mounted with DPX.
Immunocytochemistry analysis of HeLa cells untreated / treated with λpp labeling Phospho-PKC alpha/beta II (T638/T641) with Rabbit anti-Phospho-PKC alpha/beta II (T638/T641) antibody (HA723825) at 1/100 dilution. Cells were fixed in 4% paraformaldehyde for 15 minutes at room temperature, permeabilized with 0.1% Triton X-100 in PBS for 15 minutes at room temperature, then blocked with 1% BSA in 10% negative goat serum for 1 hour at room temperature. Cells were then incubated with Rabbit anti-Phospho-PKC alpha/beta II (T638/T641) antibody (HA723825) at 1/100 dilution in 1% BSA in PBST overnight at 4 ℃. Goat Anti-Rabbit IgG H&L (iFluor™ 488, HA1121) was used as the secondary antibody at 1/1,000 dilution. PBS instead of the primary antibody was used as the secondary antibody only control. Nuclear DNA was labelled in blue with DAPI. Beta tubulin (HA601187, red) was stained at 1/100 dilution overnight at +4℃. Goat Anti-Mouse IgG H&L (iFluor™ 594, HA1126) was used as the secondary antibody at 1/1,000 dilution.
quantity: 100μl
price: 385.00 USD
to the supplier
Phospho-PKC alpha/beta II (T638/T641)
HUABIO
catalog: HA751582
domestic rabbit monoclonal (PSH15-91)
reactivity:
human
,
mouse
,
rat
application:
western blot
Western blot analysis of Phospho-PKC alpha/beta II (T638/T641) on different lysates with Rabbit anti-Phospho-PKC alpha/beta II (T638/T641) antibody (HA751582) at 1/25,000 dilution. Lane 1: HEK-293 cell lysate Lane 2: HeLa cell lysate Lane 3: C6 cell lysate Lane 4: Mouse brain tissue lysate Lane 5: Rat brain tissue lysate Lane 6: NIH/3T3 cell lysate Lane 7: NIH/3T3 starved overnight then treated with 200nM TPA for 4 hours cell lysate Lane 8: NIH/3T3 starved overnight then treated with 200nM TPA for 4 hours cell lysate, then the membrane treated with λpp for 1 hour Lysates/proteins at 20 µg/Lane. Predicted band size: 77 kDa Observed band size: 77 kDa Exposure time: 14 seconds; ECL: K1801; 4-20% SDS-PAGE gel. Proteins were transferred to a PVDF membrane and blocked with 5% NFDM/TBST for 1 hour at room temperature. The primary antibody (HA751582) at 1/25,000 dilution was used in primary antibody dilution (K1803) at 4℃ overnight. Goat Anti-Rabbit IgG - HRP Secondary Antibody (HA1001) at 1/50,000 dilution was used for 1 hour at room temperature.
Immunocytochemistry analysis of HeLa cells untreated / treated with λpp labeling Phospho-PKC alpha/beta II (T638/T641) with Rabbit anti-Phospho-PKC alpha/beta II (T638/T641) antibody (HA751582) at 1/100 dilution. Cells were fixed in 4% paraformaldehyde for 15 minutes at room temperature, permeabilized with 0.1% Triton X-100 in PBS for 15 minutes at room temperature, then blocked with 1% BSA in 10% negative goat serum for 1 hour at room temperature. Cells were then incubated with Rabbit anti-Phospho-PKC alpha/beta II (T638/T641) antibody (HA751582) at 1/100 dilution in 1% BSA in PBST overnight at 4 ℃. Goat Anti-Rabbit IgG H&L (iFluor™ 488, HA1121) was used as the secondary antibody at 1/1,000 dilution. PBS instead of the primary antibody was used as the secondary antibody only control. Nuclear DNA was labelled in blue with DAPI. Beta tubulin (HA601187, red) was stained at 1/100 dilution overnight at +4℃. Goat Anti-Mouse IgG H&L (iFluor™ 594, HA1126) was used as the secondary antibody at 1/1,000 dilution.
Immunocytochemistry analysis of NIH/3T3 cells untreated / treated with λpp labeling Phospho-PKC alpha/beta II (T638/T641) with Rabbit anti-Phospho-PKC alpha/beta II (T638/T641) antibody (HA751582) at 1/100 dilution. Cells were fixed in 4% paraformaldehyde for 15 minutes at room temperature, permeabilized with 0.1% Triton X-100 in PBS for 15 minutes at room temperature, then blocked with 1% BSA in 10% negative goat serum for 1 hour at room temperature. Cells were then incubated with Rabbit anti-Phospho-PKC alpha/beta II (T638/T641) antibody (HA751582) at 1/100 dilution in 1% BSA in PBST overnight at 4 ℃. Goat Anti-Rabbit IgG H&L (iFluor™ 488, HA1121) was used as the secondary antibody at 1/1,000 dilution. PBS instead of the primary antibody was used as the secondary antibody only control. Nuclear DNA was labelled in blue with DAPI. Beta tubulin (HA601187, red) was stained at 1/100 dilution overnight at +4℃. Goat Anti-Mouse IgG H&L (iFluor™ 594, HA1126) was used as the secondary antibody at 1/1,000 dilution.
quantity: 100μl
price: 385.00 USD
to the supplier
Phospho-PKC alpha/beta II (T638/T641)
HUABIO
catalog: HA751595
domestic rabbit monoclonal (PSH16-27)
reactivity:
human
,
mouse
,
rat
application:
western blot
,
flow cytometry
,
immunohistochemistry - paraffin section
Western blot analysis of Phospho-PKC alpha/beta II (T638/T641) on different lysates with Rabbit anti-Phospho-PKC alpha/beta II (T638/T641) antibody (HA751595) at 1/25,000 dilution. Lane 1: HEK-293 cell lysate Lane 2: HeLa cell lysate Lane 3: C6 cell lysate Lane 4: Mouse brain tissue lysate Lane 5: Rat brain tissue lysate Lane 6: NIH/3T3 cell lysate Lane 7: NIH/3T3 starved overnight then treated with 200nM TPA for 4 hours cell lysate Lane 8: NIH/3T3 starved overnight then treated with 200nM TPA for 4 hours cell lysate, then the membrane treated with λpp for 1 hour Lysates/proteins at 20 µg/Lane. Predicted band size: 77 kDa Observed band size: 77 kDa Exposure time: 14 seconds; ECL: K1801; 4-20% SDS-PAGE gel. Proteins were transferred to a PVDF membrane and blocked with 5% NFDM/TBST for 1 hour at room temperature. The primary antibody (HA751595) at 1/25,000 dilution was used in primary antibody dilution (K1803) at 4℃ overnight. Goat Anti-Rabbit IgG - HRP Secondary Antibody (HA1001) at 1/50,000 dilution was used for 1 hour at room temperature.
Immunohistochemical analysis of paraffin-embedded human breast cancer tissue untreated / treated with λpp with Rabbit anti-Phospho-PKC alpha/beta II (T638/T641) antibody (HA751595) at 1/200 dilution. The section was pre-treated using heat mediated antigen retrieval with Tris-EDTA buffer (pH 9.0) for 20 minutes. The tissues were blocked in 1% BSA for 20 minutes at room temperature, washed with ddH2O and PBS, and then probed with the primary antibody (HA751595) at 1/200 dilution for 1 hour at room temperature. The detection was performed using an HRP conjugated compact polymer system. DAB was used as the chromogen. Tissues were counterstained with hematoxylin and mounted with DPX.
Immunocytochemistry analysis of HeLa cells untreated / treated with λpp labeling Phospho-PKC alpha/beta II (T638/T641) with Rabbit anti-Phospho-PKC alpha/beta II (T638/T641) antibody (HA751595) at 1/100 dilution. Cells were fixed in 4% paraformaldehyde for 15 minutes at room temperature, permeabilized with 0.1% Triton X-100 in PBS for 15 minutes at room temperature, then blocked with 1% BSA in 10% negative goat serum for 1 hour at room temperature. Cells were then incubated with Rabbit anti-Phospho-PKC alpha/beta II (T638/T641) antibody (HA751595) at 1/100 dilution in 1% BSA in PBST overnight at 4 ℃. Goat Anti-Rabbit IgG H&L (iFluor™ 488, HA1121) was used as the secondary antibody at 1/1,000 dilution. PBS instead of the primary antibody was used as the secondary antibody only control. Nuclear DNA was labelled in blue with DAPI. Beta tubulin (HA601187, red) was stained at 1/100 dilution overnight at +4℃. Goat Anti-Mouse IgG H&L (iFluor™ 594, HA1126) was used as the secondary antibody at 1/1,000 dilution.
quantity: 100μl
price: 385.00 USD
to the supplier