domestic rabbit polyclonal
reactivity: human, rat
application: western blot, immunohistochemistry - paraffin section
reactivity: human, rat
application: western blot, immunohistochemistry - paraffin section

Western blot analysis of ATR on Hela cell lysates. Proteins were transferred to a PVDF membrane and blocked with 5% BSA in PBS for 1 hour at room temperature. The primary antibody (HA500176, 1/500) was used in 5% BSA at room temperature for 2 hours. Goat Anti-Rabbit IgG - HRP Secondary Antibody (HA1001) at 1:5,000 dilution was used for 1 hour at room temperature.

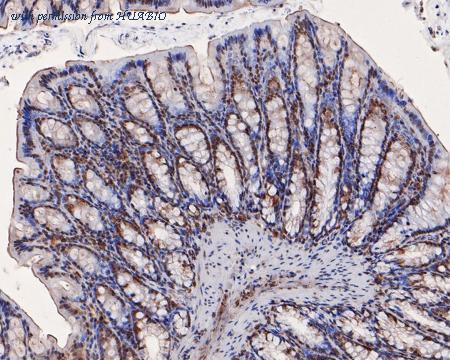
Immunohistochemical analysis of paraffin-embedded rat large intestine tissue using anti-ATR antibody. The section was pre-treated using heat mediated antigen retrieval with sodium citrate buffer (pH 6.0) (high pressure) for 2 minutes. The tissues were blocked in 5% BSA for 30 minutes at room temperature, washed with ddH2O and PBS, and then probed with the primary antibody (HA500176, 1/400) for 30 minutes at room temperature. The detection was performed using an HRP conjugated compact polymer system. DAB was used as the chromogen. Tissues were counterstained with hematoxylin and mounted with DPX.
quantity: 100μl
price: 330 USD
to the supplier
domestic rabbit polyclonal
reactivity: human
application: western blot
reactivity: human
application: western blot

Western blot analysis of Phospho-ATR (T1989) on different lysates with Rabbit anti-Phospho-ATR (T1989) antibody (HA500405) at 1/1,000 dilution. Lane 1: Hela cell lysate Lane 2: HeLa treated with 1.5mM hydroxyurea for 16 hours cell lysate Lysates/proteins at 10 µg/Lane. Predicted band size: 301 kDa Observed band size: 301 kDa Exposure time: 2 minutes; 6% SDS-PAGE gel. Proteins were transferred to a PVDF membrane and blocked with 5% NFDM/TBST for 1 hour at room temperature. The primary antibody (HA500405) at 1/1,000 dilution was used in 5% NFDM/TBST at room temperature for 2 hours. Goat Anti-Rabbit IgG - HRP Secondary Antibody (HA1001) at 1:300,000 dilution was used for 1 hour at room temperature.
quantity: 100μl
price: 330 USD
to the supplier
domestic rabbit monoclonal (PS01-18)
reactivity: human
application: western blot
reactivity: human
application: western blot

Western blot analysis of Phospho-ATR (T1989) on different lysates with Rabbit anti-Phospho-ATR (T1989) antibody (HA721190) at 1/1,000 dilution. Lane 1: HeLa cell lysate Lane 2: HeLa treated with Hydroxyurea cell lysate Lysates/proteins at 20 µg/Lane. Exposure time: 5 minutes; 4-20% SDS-PAGE gel. Proteins were transferred to a PVDF membrane and blocked with 5% NFDM/TBST for 1 hour at room temperature. The primary antibody (HA721190) at 1/1,000 dilution was used in 5% NFDM/TBST at room temperature for 2 hours. Goat Anti-Rabbit IgG - HRP Secondary Antibody (HA1001) at 1:300,000 dilution was used for 1 hour at room temperature.

Immunocytochemistry analysis of HeLa cells treated with or without 4mM Hydroxyurea for 20 hours labeling Phospho-ATR (T1989) with Rabbit anti-Phospho-ATR (T1989) antibody (HA721190) at 1/200 dilution. Image shown an increased nuclear staining upon Hydroxyurea treatment. Cells were fixed in 4% paraformaldehyde for 20 minutes at 37 ℃, permeabilized with 0.1% Triton X-100 in PBS permeabilization for 5 minutes, and then blocked with 2% negative goat serum for 60 minutes at room temperature. Cells were then incubated with Rabbit anti-Phospho-ATR (T1989) antibody (HA721190) at 1/200 dilution in 1% BSA overnight at 4 ℃. Goat Anti-Rabbit IgG H&L (iFluor™ 488, HA1121) was used as the secondary antibody at 1/1,000 dilution. PBS instead of the primary antibody was used as the secondary antibody only control. Nuclear DNA was labelled in blue with DAPI.
quantity: 100μl
price: 385.00 USD
to the supplier
domestic rabbit monoclonal (PS01-18)
reactivity: human
application: western blot
reactivity: human
application: western blot

Western blot analysis of Phospho-ATR (T1989) on different lysates with Rabbit anti-Phospho-ATR (T1989) antibody (HA750524) at 1/1,000 dilution. Lane 1: HeLa cell lysate Lane 2: HeLa treated with Hydroxyurea cell lysate Lysates/proteins at 20 µg/Lane. Exposure time: 5 minutes; 4-20% SDS-PAGE gel. Proteins were transferred to a PVDF membrane and blocked with 5% NFDM/TBST for 1 hour at room temperature. The primary antibody (HA750524) at 1/1,000 dilution was used in 5% NFDM/TBST at room temperature for 2 hours. Goat Anti-Rabbit IgG - HRP Secondary Antibody (HA1001) at 1:300,000 dilution was used for 1 hour at room temperature.

Immunocytochemistry analysis of HeLa cells treated with or without 4mM Hydroxyurea for 20 hours labeling Phospho-ATR (T1989) with Rabbit anti-Phospho-ATR (T1989) antibody (HA750524) at 1/200 dilution. Image shown an increased nuclear staining upon Hydroxyurea treatment. Cells were fixed in 4% paraformaldehyde for 20 minutes at 37 ℃, permeabilized with 0.1% Triton X-100 in PBS permeabilization for 5 minutes, and then blocked with 2% negative goat serum for 60 minutes at room temperature. Cells were then incubated with Rabbit anti-Phospho-ATR (T1989) antibody (HA750524) at 1/200 dilution in 1% BSA overnight at 4 ℃. Goat Anti-Rabbit IgG H&L (iFluor™ 488, HA1121) was used as the secondary antibody at 1/1,000 dilution. PBS instead of the primary antibody was used as the secondary antibody only control. Nuclear DNA was labelled in blue with DAPI.
quantity: 100μl
price: 649.00 USD
to the supplier
