Sign in
Sign up
home
>
HUABIO
> HUABIO KRT20 antibody
Cytokeratin 20
HUABIO
catalog: EM1901-96
mouse monoclonal (A3D12)
reactivity:
human
application:
western blot
,
flow cytometry
,
immunohistochemistry - paraffin section
Western blot analysis of Cytokeratin 20 on Lovo cell lysates. Proteins were transferred to a PVDF membrane and blocked with 5% BSA in PBS for 1 hour at room temperature. The primary antibody (EM1901-96, 1/500) was used in 5% BSA at room temperature for 2 hours. Goat Anti-Mouse IgG - HRP Secondary Antibody (HA1006) at 1:5,000 dilution was used for 1 hour at room temperature.
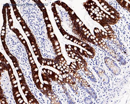
Immunohistochemical analysis of paraffin-embedded human small intestine tissue using anti-Cytokeratin 20 antibody. The section was pre-treated using heat mediated antigen retrieval with Tris-EDTA buffer (pH 8.0-8.4) for 20 minutes.The tissues were blocked in 5% BSA for 30 minutes at room temperature, washed with ddH2O and PBS, and then probed with the primary antibody (EM1901-96, 1/400) for 30 minutes at room temperature. The detection was performed using an HRP conjugated compact polymer system. DAB was used as the chromogen. Tissues were counterstained with hematoxylin and mounted with DPX.
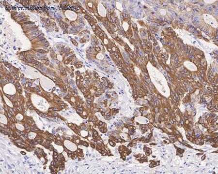
Immunohistochemical analysis of paraffin-embedded human colon carcinoma tissue using anti-Cytokeratin 20 antibody. The section was pre-treated using heat mediated antigen retrieval with Tris-EDTA buffer (pH 8.0-8.4) for 20 minutes.The tissues were blocked in 5% BSA for 30 minutes at room temperature, washed with ddH2O and PBS, and then probed with the primary antibody (EM1901-96, 1/500) for 30 minutes at room temperature. The detection was performed using an HRP conjugated compact polymer system. DAB was used as the chromogen. Tissues were counterstained with hematoxylin and mounted with DPX.
quantity: 100μl
price: 360.00 USD
to the supplier
Cytokeratin 20
HUABIO
catalog: EM1901-97
mouse monoclonal (A3H7)
reactivity:
human
application:
immunohistochemistry - paraffin section
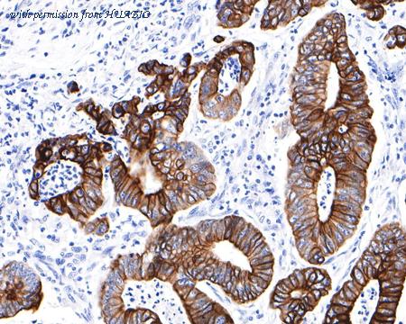
Immunohistochemical analysis of paraffin-embedded human colon carcinoma tissue with Mouse anti-Cytokeratin 20 antibody (EM1901-97) at 1/800 dilution. The section was pre-treated using heat mediated antigen retrieval with Tris-EDTA buffer (pH 9.0) for 20 minutes. The tissues were blocked in 1% BSA for 20 minutes at room temperature, washed with ddH2O and PBS, and then probed with the primary antibody (EM1901-97) at 1/800 dilution for 1 hour at room temperature. The detection was performed using an HRP conjugated compact polymer system. DAB was used as the chromogen. Tissues were counterstained with hematoxylin and mounted with DPX.
Immunohistochemical analysis of paraffin-embedded human small intestine tissue with Mouse anti-Cytokeratin 20 antibody (EM1901-97) at 1/1,000 dilution. The section was pre-treated using heat mediated antigen retrieval with Tris-EDTA buffer (pH 9.0) for 20 minutes. The tissues were blocked in 1% BSA for 20 minutes at room temperature, washed with ddH2O and PBS, and then probed with the primary antibody (EM1901-97) at 1/1,000 dilution for 1 hour at room temperature. The detection was performed using an HRP conjugated compact polymer system. DAB was used as the chromogen. Tissues were counterstained with hematoxylin and mounted with DPX.
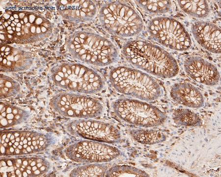
Immunohistochemical analysis of paraffin-embedded human colon tissue with Mouse anti-Cytokeratin 20 antibody (EM1901-97) at 1/1,000 dilution. The section was pre-treated using heat mediated antigen retrieval with Tris-EDTA buffer (pH 9.0) for 20 minutes. The tissues were blocked in 1% BSA for 20 minutes at room temperature, washed with ddH2O and PBS, and then probed with the primary antibody (EM1901-97) at 1/1,000 dilution for 1 hour at room temperature. The detection was performed using an HRP conjugated compact polymer system. DAB was used as the chromogen. Tissues were counterstained with hematoxylin and mounted with DPX.
quantity: 100μl
price: 360.00 USD
to the supplier
Cytokeratin 20
HUABIO
catalog: ER1901-76
domestic rabbit polyclonal
reactivity:
human
,
mouse
,
rat
application:
western blot
,
flow cytometry
,
immunohistochemistry - paraffin section
Western blot analysis of Cytokeratin 20 on Human small intestine tissue lysate. Proteins were transferred to a PVDF membrane and blocked with 5% BSA in PBS for 1 hour at room temperature. The primary antibody (ER1901-76, 1/1000) was used in 5% BSA at room temperature for 2 hours. Goat Anti-Rabbit IgG - HRP Secondary Antibody (HA1001) at 1:5,000 dilution was used for 1 hour at room temperature.
Western blot analysis of Cytokeratin 20 on mouse colon tissue lysate. Proteins were transferred to a PVDF membrane and blocked with 5% BSA in PBS for 1 hour at room temperature. The primary antibody (ER1901-76, 1/1000) was used in 5% BSA at room temperature for 2 hours. Goat Anti-Rabbit IgG - HRP Secondary Antibody (HA1001) at 1:5,000 dilution was used for 1 hour at room temperature.
ICC staining of Cytokeratin 20 in SW480 cells (green). Formalin fixed cells were permeabilized with 0.1% Triton X-100 in TBS for 10 minutes at room temperature and blocked with 1% Blocker BSA for 15 minutes at room temperature. Cells were probed with the primary antibody (ER1901-76, 1/100) for 1 hour at room temperature, washed with PBS. Alexa Fluor®488 Goat anti-Rabbit IgG was used as the secondary antibody at 1/100 dilution. The nuclear counter stain is DAPI (blue).
quantity: 100μl
price: 330 USD
to the supplier
Cytokeratin 20
HUABIO
catalog: ER1901-97
domestic rabbit polyclonal
reactivity:
human
,
mouse
application:
western blot
,
flow cytometry
,
immunohistochemistry - paraffin section
Western blot analysis of Cytokeratin 20 on mouse colon tissue lysates. Proteins were transferred to a PVDF membrane and blocked with 5% BSA in PBS for 1 hour at room temperature. The primary antibody (ER1901-97, 1/500) was used in 5% BSA at room temperature for 2 hours. Goat Anti-Rabbit IgG - HRP Secondary Antibody (HA1001) at 1:5,000 dilution was used for 1 hour at room temperature.
Immunohistochemical analysis of paraffin-embedded human tonsil tissue using anti-Cytokeratin 20 antibody. The section was pre-treated using heat mediated antigen retrieval with Tris-EDTA buffer (pH 8.0-8.4) for 20 minutes.The tissues were blocked in 5% BSA for 30 minutes at room temperature, washed with ddH2O and PBS, and then probed with the primary antibody (ER1901-97, 1/200) for 30 minutes at room temperature. The detection was performed using an HRP conjugated compact polymer system. DAB was used as the chromogen. Tissues were counterstained with hematoxylin and mounted with DPX.
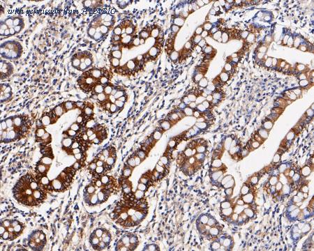
Immunohistochemical analysis of paraffin-embedded human colon tissue using anti-Cytokeratin 20 antibody. The section was pre-treated using heat mediated antigen retrieval with Tris-EDTA buffer (pH 8.0-8.4) for 20 minutes.The tissues were blocked in 5% BSA for 30 minutes at room temperature, washed with ddH2O and PBS, and then probed with the primary antibody (ER1901-97, 1/50) for 30 minutes at room temperature. The detection was performed using an HRP conjugated compact polymer system. DAB was used as the chromogen. Tissues were counterstained with hematoxylin and mounted with DPX.
quantity: 100μl
price: 330 USD
to the supplier
Cytokeratin 20
HUABIO
catalog: ET1601-8-50UL
domestic rabbit monoclonal (SA35-03)
reactivity:
human
,
rat
application:
western blot
,
immunoprecipitation
,
flow cytometry
,
immunohistochemistry - paraffin section
Western blot analysis of Cytokeratin 20 on different lysates with Rabbit anti-Cytokeratin 20 antibody (ET1601-8) at 1/5,000 dilution. Lane 1: HT-29 cell lysate Lane 2: LoVo cell lysate Lane 2: CRC cell lysate Lysates/proteins at 15 µg/Lane. Predicted band size: 48 kDa Observed band size: 48/50 kDa Exposure time: 1 minute; 4-20% SDS-PAGE gel. Proteins were transferred to a PVDF membrane and blocked with 5% NFDM/TBST for 1 hour at room temperature. The primary antibody (ET1601-8) at 1/5,000 dilution was used in 5% NFDM/TBST at 4℃ overnight. Goat Anti-Rabbit IgG - HRP Secondary Antibody (HA1001) at 1:50,000 dilution was used for 1 hour at room temperature.
ICC staining of Cytokeratin 20 in CRC cells (green). Formalin fixed cells were permeabilized with 0.1% Triton X-100 in TBS for 10 minutes at room temperature and blocked with 1% Blocker BSA for 15 minutes at room temperature. Cells were probed with the primary antibody (ET1601-8, 1/50) for 1 hour at room temperature, washed with PBS. Alexa Fluor®488 Goat anti-Rabbit IgG was used as the secondary antibody at 1/1,000 dilution. The nuclear counter stain is DAPI (blue).
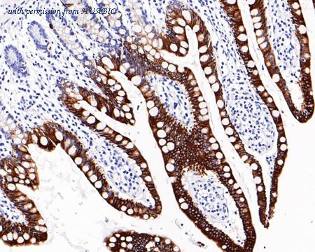
Immunohistochemical analysis of paraffin-embedded human colon carcinoma tissue with Rabbit anti-Cytokeratin 20 antibody (ET1601-8) at 1/500 dilution. The section was pre-treated using heat mediated antigen retrieval with Tris-EDTA buffer (pH 9.0) for 20 minutes. The tissues were blocked in 1% BSA for 20 minutes at room temperature, washed with ddH2O and PBS, and then probed with the primary antibody (ET1601-8) at 1/500 dilution for 1 hour at room temperature. The detection was performed using an HRP conjugated compact polymer system. DAB was used as the chromogen. Tissues were counterstained with hematoxylin and mounted with DPX.
quantity: 50μl
price: 205.00 USD
to the supplier
Cytokeratin 20
HUABIO
catalog: ET7110-54
domestic rabbit monoclonal (JE20-39)
reactivity:
human
,
mouse
application:
western blot
,
immunohistochemistry - paraffin section
Western blot analysis of Cytokeratin 20 on different lysates. Proteins were transferred to a PVDF membrane and blocked with 5% BSA in PBS for 1 hour at room temperature. The primary antibody (ET7110-54, 1/500) was used in 5% BSA at room temperature for 2 hours. Goat Anti-Rabbit IgG - HRP Secondary Antibody (HA1001) at 1:5,000 dilution was used for 1 hour at room temperature. Positive control: Lane 1: human stomach tissue lysate Lane 2: SK-Br-3 cell lysate
Western blot analysis of Cytokeratin 20 on human small intestine tissue lysates. Proteins were transferred to a PVDF membrane and blocked with 5% BSA in PBS for 1 hour at room temperature. The primary antibody (ET7110-54, 1/5000) was used in 5% BSA at room temperature for 2 hours. Goat Anti-Rabbit IgG - HRP Secondary Antibody (HA1001) at 1:5,000 dilution was used for 1 hour at room temperature.
Immunohistochemical analysis of paraffin-embedded human colon carcinoma tissue using anti-Cytokeratin 20 antibody. The section was pre-treated using heat mediated antigen retrieval with Tris-EDTA buffer (pH 8.0-8.4) for 20 minutes.The tissues were blocked in 5% BSA for 30 minutes at room temperature, washed with ddH2O and PBS, and then probed with the primary antibody (ET7110-54, 1/50) for 30 minutes at room temperature. The detection was performed using an HRP conjugated compact polymer system. DAB was used as the chromogen. Tissues were counterstained with hematoxylin and mounted with DPX.
quantity: 100μl
price: 385.00 USD
to the supplier
Cytokeratin 20
HUABIO
catalog: HA601077
mouse monoclonal (A3H7-R)
reactivity:
human
application:
immunohistochemistry - paraffin section
Immunohistochemical analysis of paraffin-embedded human colon tissue with Mouse anti-Cytokeratin 20 antibody (HA601077) at 1/1,000 dilution. The section was pre-treated using heat mediated antigen retrieval with Tris-EDTA buffer (pH 9.0) for 20 minutes. The tissues were blocked in 1% BSA for 20 minutes at room temperature, washed with ddH2O and PBS, and then probed with the primary antibody (HA601077) at 1/1,000 dilution for 1 hour at room temperature. The detection was performed using an HRP conjugated compact polymer system. DAB was used as the chromogen. Tissues were counterstained with hematoxylin and mounted with DPX.
Immunohistochemical analysis of paraffin-embedded human small intestine tissue with Mouse anti-Cytokeratin 20 antibody (HA601077) at 1/1,000 dilution. The section was pre-treated using heat mediated antigen retrieval with Tris-EDTA buffer (pH 9.0) for 20 minutes. The tissues were blocked in 1% BSA for 20 minutes at room temperature, washed with ddH2O and PBS, and then probed with the primary antibody (HA601077) at 1/1,000 dilution for 1 hour at room temperature. The detection was performed using an HRP conjugated compact polymer system. DAB was used as the chromogen. Tissues were counterstained with hematoxylin and mounted with DPX.
Application: IF-Tissue Species: Human Site: small intestine Sample: Paraffin-embedded section Antibody concentration: 1/500
quantity: 100μl
price: 360.00 USD
to the supplier
Cytokeratin 20
HUABIO
catalog: HA720189F
domestic rabbit monoclonal (SA35-03)
reactivity:
human
Immunocytochemistry analysis of HT-29 cells labeling Cytokeratin 20 with Rabbit anti-Cytokeratin 20 antibody (HA720189F) at 1/500 dilution. Cells were fixed in 4% paraformaldehyde for 20 minutes at room temperature, permeabilized with 0.1% Triton X-100 in PBS for 5 minutes at room temperature, then blocked with 1% BSA in 10% negative goat serum for 1 hour at room temperature. Cells were then incubated with Rabbit anti-Cytokeratin 20 antibody (HA720189F) at 1/500 dilution in 1% BSA in PBST overnight at 4 ℃. Nuclear DNA was labelled in blue with DAPI. Beta tubulin (M1305-2, red) was stained at 1/100 dilution overnight at +4℃. Goat Anti-Mouse IgG H&L (iFluor™ 594, HA1126) was used as the secondary antibody at 1/1,000 dilution.
Immunofluorescence analysis of paraffin-embedded human small intestine tissue labeling Cytokeratin 20 with Rabbit anti-Cytokeratin 20 antibody (HA720189F) at 1/200 dilution. The section was pre-treated using heat mediated antigen retrieval with Tris-EDTA buffer (pH 9.0) for 20 minutes. The tissues were blocked in 10% negative goat serum for 1 hour at room temperature, washed with PBS, and then probed with the primary antibody (HA720189F, green) at 1/200 dilution overnight at 4 ℃, washed with PBS. Nuclei were counterstained with DAPI (blue).
quantity: 100μl
price: 429.00 USD
to the supplier
Cytokeratin 20
HUABIO
catalog: HA750026
domestic rabbit monoclonal (SA35-03)
reactivity:
human
,
rat
application:
western blot
,
immunoprecipitation
,
flow cytometry
,
immunohistochemistry - paraffin section
Western blot analysis of Cytokeratin 20 on different lysates with Rabbit anti-Cytokeratin 20 antibody (HA750026) at 1/5,000 dilution. Lane 1: HT-29 cell lysate Lane 2: LoVo cell lysate Lane 2: CRC cell lysate Lysates/proteins at 15 µg/Lane. Predicted band size: 48 kDa Observed band size: 48/50 kDa Exposure time: 1 minute; 4-20% SDS-PAGE gel. Proteins were transferred to a PVDF membrane and blocked with 5% NFDM/TBST for 1 hour at room temperature. The primary antibody (HA750026) at 1/5,000 dilution was used in 5% NFDM/TBST at 4℃ overnight. Goat Anti-Rabbit IgG - HRP Secondary Antibody (HA1001) at 1:50,000 dilution was used for 1 hour at room temperature.
ICC staining of Cytokeratin 20 in CRC cells (green). Formalin fixed cells were permeabilized with 0.1% Triton X-100 in TBS for 10 minutes at room temperature and blocked with 1% Blocker BSA for 15 minutes at room temperature. Cells were probed with the primary antibody (HA750026, 1/50) for 1 hour at room temperature, washed with PBS. Alexa Fluor®488 Goat anti-Rabbit IgG was used as the secondary antibody at 1/1,000 dilution. The nuclear counter stain is DAPI (blue).
Immunohistochemical analysis of paraffin-embedded human colon carcinoma tissue with Rabbit anti-Cytokeratin 20 antibody (HA750026) at 1/500 dilution. The section was pre-treated using heat mediated antigen retrieval with Tris-EDTA buffer (pH 9.0) for 20 minutes. The tissues were blocked in 1% BSA for 20 minutes at room temperature, washed with ddH2O and PBS, and then probed with the primary antibody (HA750026) at 1/500 dilution for 1 hour at room temperature. The detection was performed using an HRP conjugated compact polymer system. DAB was used as the chromogen. Tissues were counterstained with hematoxylin and mounted with DPX.
quantity: 100μl
price: 649.00 USD
to the supplier
Cytokeratin 20
HUABIO
catalog: IRS135RB
domestic rabbit monoclonal
reactivity:
human
mIHC analysis of human colon tissue (Formalin/PFA-fixed paraffin-embedded sections) with Rabbit anti-Cytokeratin 20 antibody (IRS135RB) at 1/100 dilution. The immunostaining was performed with the IRISKitCmTSA Kit (900808). Heat mediated antigen retrieval with Tris-EDTA buffer (pH 9.0) for 30 mins at 95℃. DAPI (blue) was used as a nuclear counter stain. Image acquisition was performed with Olympus VS200 Slide Scanner.
quantity: 50T
price: 278.00 USD
to the supplier