Sign in
Sign up
home
>
HUABIO
> HUABIO TREM2 antibody
TREM2
HUABIO
catalog: ER1902-96
domestic rabbit polyclonal
reactivity:
human
application:
western blot
,
flow cytometry
,
immunohistochemistry - paraffin section
Western blot analysis of TREM2 on different lysates with Rabbit anti-TREM2 antibody (ER1902-96) at 1/1,000 dilution. Lane 1: THP-1 cell lysate Lane 2: Jurkat cell lysate (negative) Lane 3: HL-60 cell lysate (negative) Lysates/proteins at 20 µg/Lane. Predicted band size: 25 kDa Observed band size: 28 kDa Exposure time: 59 seconds; ECL: K1801; 4-20% SDS-PAGE gel. Proteins were transferred to a PVDF membrane and blocked with 5% NFDM/TBST for 1 hour at room temperature. The primary antibody (ER1902-96) at 1/1,000 dilution was used in 5% NFDM/TBST at 4℃ overnight. Goat Anti-Rabbit IgG - HRP Secondary Antibody (HA1001) at 1/50,000 dilution was used for 1 hour at room temperature.
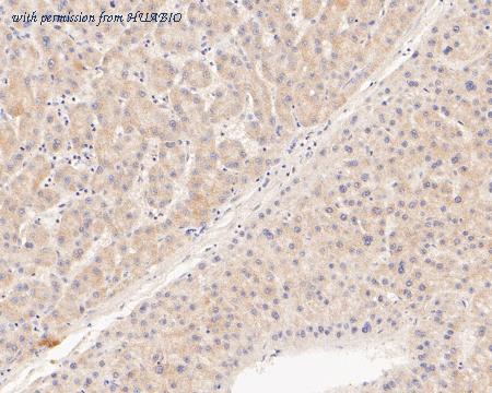
Immunohistochemical analysis of paraffin-embedded human liver tissue using anti-TREM2 antibody. The section was pre-treated using heat mediated antigen retrieval with Tris-EDTA buffer (pH 8.0-8.4) for 20 minutes.The tissues were blocked in 5% BSA for 30 minutes at room temperature, washed with ddH2O and PBS, and then probed with the primary antibody (ER1902-96, 1/50) for 30 minutes at room temperature. The detection was performed using an HRP conjugated compact polymer system. DAB was used as the chromogen. Tissues were counterstained with hematoxylin and mounted with DPX.
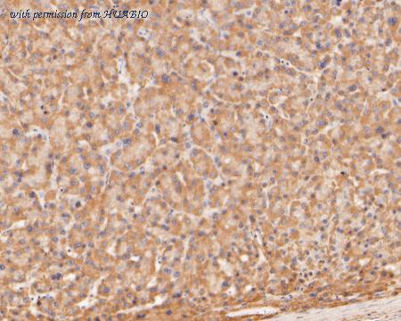
Immunohistochemical analysis of paraffin-embedded human liver carcinoma tissue using anti-TREM2 antibody. The section was pre-treated using heat mediated antigen retrieval with Tris-EDTA buffer (pH 8.0-8.4) for 20 minutes.The tissues were blocked in 5% BSA for 30 minutes at room temperature, washed with ddH2O and PBS, and then probed with the primary antibody (ER1902-96, 1/50) for 30 minutes at room temperature. The detection was performed using an HRP conjugated compact polymer system. DAB was used as the chromogen. Tissues were counterstained with hematoxylin and mounted with DPX.
quantity: 100μl
price: 330 USD
to the supplier
TREM2
HUABIO
catalog: ER2001-05
domestic rabbit polyclonal
reactivity:
human
application:
western blot
,
flow cytometry
,
immunohistochemistry - paraffin section
Western blot analysis of TREM2 on U937 cell lysates. Proteins were transferred to a PVDF membrane and blocked with 5% BSA in PBS for 1 hour at room temperature. The primary antibody (ER2001-05, 1/500) was used in 5% BSA at room temperature for 2 hours. Goat Anti-Rabbit IgG - HRP Secondary Antibody (HA1001) at 1:5,000 dilution was used for 1 hour at room temperature.
Immunohistochemical analysis of paraffin-embedded human liver tissue using anti-TREM2 antibody. The section was pre-treated using heat mediated antigen retrieval with Tris-EDTA buffer (pH 8.0-8.4) for 20 minutes.The tissues were blocked in 5% BSA for 30 minutes at room temperature, washed with ddH2O and PBS, and then probed with the primary antibody (ER2001-05, 1/200) for 30 minutes at room temperature. The detection was performed using an HRP conjugated compact polymer system. DAB was used as the chromogen. Tissues were counterstained with hematoxylin and mounted with DPX.
Immunohistochemical analysis of paraffin-embedded human liver carcinoma tissue using anti-TREM2 antibody. The section was pre-treated using heat mediated antigen retrieval with Tris-EDTA buffer (pH 8.0-8.4) for 20 minutes.The tissues were blocked in 5% BSA for 30 minutes at room temperature, washed with ddH2O and PBS, and then probed with the primary antibody (ER2001-05, 1/200) for 30 minutes at room temperature. The detection was performed using an HRP conjugated compact polymer system. DAB was used as the chromogen. Tissues were counterstained with hematoxylin and mounted with DPX.
quantity: 100μl
price: 330 USD
to the supplier
TREM2
HUABIO
catalog: ER2001-59
domestic rabbit polyclonal
reactivity:
human
application:
western blot
,
flow cytometry
Western blot analysis of TREM2 on different lysates. Proteins were transferred to a PVDF membrane and blocked with 5% BSA in PBS for 1 hour at room temperature. The primary antibody (ER2001-59, 1/500) was used in 5% BSA at room temperature for 2 hours. Goat Anti-Rabbit IgG - HRP Secondary Antibody (HA1001) at 1:5,000 dilution was used for 1 hour at room temperature. Positive control: Lane 1: THP-1 cell lysate Lane 2: Rat bone marrow tissue lysate
Flow cytometric analysis of TREM2 was done on THP-1 cells. The cells were fixed, permeabilized and stained with the primary antibody (ER2001-59, 1/50) (red). After incubation of the primary antibody at room temperature for an hour, the cells were stained with a Alexa Fluor 488-conjugated Goat anti-Rabbit IgG Secondary antibody at 1/1000 dilution for 30 minutes.Unlabelled sample was used as a control (cells without incubation with primary antibody; black).
quantity: 100μl
price: 330 USD
to the supplier
Human TREM2
HUABIO
catalog: HA723149
domestic rabbit monoclonal (PSH09-83)
reactivity:
human
application:
ELISA
Sandwich ELISA analysis of Human TREM2 matched pair antibodies Elisa assay was performed by coating wells of a 96-well plate with 100 µl per well of capture antibody (HA723149) diluted in carbonate/bicarbonate buffer, at a concentration of 2ug/ml overnight at 4℃. Wells of the plate were washed, blocked with 150 µl 0.05% tween-20 1% BSA blocking buffer, and incubated with serial diluted Recombinant Human TREM2 protein (HA210647) starting from 5,000 pg/ml to 0 pg/ml and detect antibody (HA723151, Biotin, 0.2 µg/ml) for 1 hour at 30℃ with shaking. Then the plate was washed and incubated with 100 µl per well of SA-HRP for 0.5 hour at 30℃ with shaking. Detection was performed using an Ultra TMB Substrate for 10 minutes at room temperature in the dark. The reaction was stopped with sulfuric acid and absorbances were read on a spectrophotometer at 450 nm.
Interpolated concentrations of native TREM2 in human cell culture supernatant samples. Interpolated concentration of native TREM2 was measured in duplicate at different sample concentrations and interpolated from the TREM2 standard curves. Undiluted samples were 50% cell supernatant. The interpolated dilution factor corrected values were plotted (mean +/- SD, n=2). The mean TREM2 concentration was determined to be 4,912 pg/mL in THP-1 cell culture supernatant, undetectable in Jurkat cell culture supernatant.
Interpolated concentrations of spiked TREM2 in cell culture media samples. The concentrations of TREM2 were measured in duplicates, interpolated from the TREM2 standard curves and corrected for sample dilution. Undiluted samples are as follows: cell culture media 50%. The interpolated dilution factor corrected values are plotted (mean +/- SD, n=2).
quantity: 100μl
price: 649.00 USD
to the supplier
Human TREM2
HUABIO
catalog: HA723150
domestic rabbit monoclonal (PSH09-84)
reactivity:
human
application:
ELISA
Sandwich ELISA analysis of Human TREM2 matched pair antibodies Elisa assay was performed by coating wells of a 96-well plate with 100 µl per well of capture antibody (HA723150) diluted in carbonate/bicarbonate buffer, at a concentration of 2ug/ml overnight at 4℃. Wells of the plate were washed, blocked with 150 µl 0.05% tween-20 1% BSA blocking buffer, and incubated with serial diluted Recombinant Human TREM2 protein (HA210647) starting from 5,000 pg/ml to 0 pg/ml and detect antibody (HA723149, Biotin, 0.2 µg/ml) for 1 hour at 30℃ with shaking. Then the plate was washed and incubated with 100 µl per well of SA-HRP for 0.5 hour at 30℃ with shaking. Detection was performed using an Ultra TMB Substrate for 10 minutes at room temperature in the dark. The reaction was stopped with sulfuric acid and absorbances were read on a spectrophotometer at 450 nm.
Interpolated concentrations of native TREM2 in human cell culture supernatant samples. Interpolated concentration of native TREM2 was measured in duplicate at different sample concentrations and interpolated from the TREM2 standard curves. Undiluted samples were 50% cell supernatant. The interpolated dilution factor corrected values were plotted (mean +/- SD, n=2). The mean TREM2 concentration was determined to be 4,597 pg/mL in THP-1 cell culture supernatant, undetectable in Jurkat cell culture supernatant.
Interpolated concentrations of spiked TREM2 in cell culture media samples. The concentrations of TREM2 were measured in duplicates, interpolated from the TREM2 standard curves and corrected for sample dilution. Undiluted samples are as follows: cell culture media 50%. The interpolated dilution factor corrected values are plotted (mean +/- SD, n=2).
quantity: 100μl
price: 649.00 USD
to the supplier
Human TREM2
HUABIO
catalog: HA723151
domestic rabbit monoclonal (PSH09-85)
reactivity:
human
application:
ELISA
Sandwich ELISA analysis of Human TREM2 matched pair antibodies Elisa assay was performed by coating wells of a 96-well plate with 100 µl per well of capture antibody (HA723149) diluted in carbonate/bicarbonate buffer, at a concentration of 2ug/ml overnight at 4℃. Wells of the plate were washed, blocked with 150 µl 0.05% tween-20 1% BSA blocking buffer, and incubated with serial diluted Recombinant Human TREM2 protein (HA210647) starting from 5,000 pg/ml to 0 pg/ml and detect antibody (HA723151, Biotin, 0.2 µg/ml) for 1 hour at 30℃ with shaking. Then the plate was washed and incubated with 100 µl per well of SA-HRP for 0.5 hour at 30℃ with shaking. Detection was performed using an Ultra TMB Substrate for 10 minutes at room temperature in the dark. The reaction was stopped with sulfuric acid and absorbances were read on a spectrophotometer at 450 nm.
Interpolated concentrations of native TREM2 in human cell culture supernatant samples. Interpolated concentration of native TREM2 was measured in duplicate at different sample concentrations and interpolated from the TREM2 standard curves. Undiluted samples were 50% cell supernatant. The interpolated dilution factor corrected values were plotted (mean +/- SD, n=2). The mean TREM2 concentration was determined to be 4,912 pg/mL in THP-1 cell culture supernatant, undetectable in Jurkat cell culture supernatant.
Interpolated concentrations of spiked TREM2 in cell culture media samples. The concentrations of TREM2 were measured in duplicates, interpolated from the TREM2 standard curves and corrected for sample dilution. Undiluted samples are as follows: cell culture media 50%. The interpolated dilution factor corrected values are plotted (mean +/- SD, n=2).
quantity: 100μl
price: 649.00 USD
to the supplier
Human TREM2
HUABIO
catalog: HA723152B
domestic rabbit monoclonal (PSH09-85)
reactivity:
human
conjugate: biotin
application:
ELISA
Sandwich ELISA analysis of Human TREM2 matched pair antibodies Elisa assay was performed by coating wells of a 96-well plate with 100 µl per well of capture antibody (HA723149) diluted in carbonate/bicarbonate buffer, at a concentration of 2ug/ml overnight at 4℃. Wells of the plate were washed, blocked with 150 µl 0.05% tween-20 1% BSA blocking buffer, and incubated with serial diluted Recombinant Human TREM2 protein (HA210647) starting from 5,000 pg/ml to 0 pg/ml and detect antibody (HA723152B, 0.2 µg/ml) for 1 hour at 30℃ with shaking. Then the plate was washed and incubated with 100 µl per well of SA-HRP for 0.5 hour at 30℃ with shaking. Detection was performed using an Ultra TMB Substrate for 10 minutes at room temperature in the dark. The reaction was stopped with sulfuric acid and absorbances were read on a spectrophotometer at 450 nm.
Interpolated concentrations of native TREM2 in human cell culture supernatant samples. Interpolated concentration of native TREM2 was measured in duplicate at different sample concentrations and interpolated from the TREM2 standard curves. Undiluted samples were 50% cell supernatant. The interpolated dilution factor corrected values were plotted (mean +/- SD, n=2). The mean TREM2 concentration was determined to be 4,912 pg/mL in THP-1 cell culture supernatant, undetectable in Jurkat cell culture supernatant.
Interpolated concentrations of spiked TREM2 in cell culture media samples. The concentrations of TREM2 were measured in duplicates, interpolated from the TREM2 standard curves and corrected for sample dilution. Undiluted samples are as follows: cell culture media 50%. The interpolated dilution factor corrected values are plotted (mean +/- SD, n=2).
quantity: 100μl
price: 409.00 USD
to the supplier
Human TREM2
HUABIO
catalog: HA723153B
domestic rabbit monoclonal (PSH09-83)
reactivity:
human
conjugate: biotin
application:
ELISA
Elisa assay was performed by coating wells of a 96-well plate with 100 µl per well of capture antibody (HA723150) diluted in carbonate/bicarbonate buffer, at a concentration of 2ug/ml overnight at 4℃. Wells of the plate were washed, blocked with 150 µl 0.05% tween-20 1% BSA blocking buffer, and incubated with serial diluted Recombinant Human TREM2 protein (HA210647) starting from 5,000 pg/ml to 0 pg/ml and detect antibody (HA723153B, 0.2 µg/ml) for 1 hour at 30℃ with shaking. Then the plate was washed and incubated with 100 µl per well of SA-HRP for 0.5 hour at 30℃ with shaking. Detection was performed using an Ultra TMB Substrate for 10 minutes at room temperature in the dark. The reaction was stopped with sulfuric acid and absorbances were read on a spectrophotometer at 450 nm.
Interpolated concentrations of native TREM2 in human cell culture supernatant samples. Interpolated concentration of native TREM2 was measured in duplicate at different sample concentrations and interpolated from the TREM2 standard curves. Undiluted samples were 50% cell supernatant. The interpolated dilution factor corrected values were plotted (mean +/- SD, n=2). The mean TREM2 concentration was determined to be 4,597 pg/mL in THP-1 cell culture supernatant, undetectable in Jurkat cell culture supernatant.
Interpolated concentrations of spiked TREM2 in cell culture media samples. The concentrations of TREM2 were measured in duplicates, interpolated from the TREM2 standard curves and corrected for sample dilution. Undiluted samples are as follows: cell culture media 50%. The interpolated dilution factor corrected values are plotted (mean +/- SD, n=2).
quantity: 100μl
price: 409.00 USD
to the supplier
Human TREM2
HUABIO
catalog: HA723372
domestic rabbit monoclonal (PSH09-83)
reactivity:
human
conjugate: HRP
application:
ELISA
quantity: 100μl
price: 409.00 USD
to the supplier