Phospho-PLK1 (T210)
HUABIO
catalog: ET1701-33
domestic rabbit monoclonal (JJ20-58)
reactivity: human, mouse
application: western blot, flow cytometry, immunohistochemistry - paraffin section

Western blot analysis of Phospho-PLK1 (T210) on different lysates with Rabbit anti-Phospho-PLK1 (T210) antibody (ET1701-33) at 1/1,000 dilution. Lane 1: HeLa cell lysate Lane 2: HeLa treated with 100nM Nocodazole for 24 hours cell lysate Lane 3: HeLa treated with 2mM thymidine for 16 hours then treated with 100nM Nocodazole for 24 hours cell lysate Lane 4: HT-29 cell lysate Lane 5: HT-29 treated with 100nM Nocodazole for 24 hours cell lysate Lane 6: HT-29 treated with 2mM thymidine for 16 hours then treated with 100nM Nocodazole for 24 hours cell lysate Lysates/proteins at 20 µg/Lane. Predicted band size: 68 kDa Observed band size: 68 kDa Exposure time: 3 minutes; ECL: K1801; 4-20% SDS-PAGE gel. Proteins were transferred to a PVDF membrane and blocked with 5% NFDM/TBST for 1 hour at room temperature. The primary antibody (ET1701-33) at 1/1,000 dilution was used in primary antibody dilution (K1803) at 4℃ overnight. Goat Anti-Rabbit IgG - HRP Secondary Antibody (HA1001) at 1/50,000 dilution was used for 1 hour at room temperature.

Immunohistochemical analysis of paraffin-embedded mouse thymus tissue with Rabbit anti-Phospho-PLK1 (T210) antibody (ET1701-33) at 1/200 dilution. The section was pre-treated using heat mediated antigen retrieval with Tris-EDTA buffer (pH 9.0) for 20 minutes. The tissues were blocked in 1% BSA for 20 minutes at room temperature, washed with ddH2O and PBS, and then probed with the primary antibody (ET1701-33) at 1/200 dilution for 1 hour at room temperature. The detection was performed using an HRP conjugated compact polymer system. DAB was used as the chromogen. Tissues were counterstained with hematoxylin and mounted with DPX.

Flow cytometric analysis of Phospho-PLK1 (T210) was done on MCF-7 cells. The cells were fixed, permeabilized and stained with the primary antibody (ET1701-33, 1/50) (red). After incubation of the primary antibody at room temperature for an hour, the cells were stained with a Alexa Fluor 488-conjugated Goat anti-Rabbit IgG Secondary antibody at 1/1000 dilution for 30 minutes.Unlabelled sample was used as a control (cells without incubation with primary antibody; black).
quantity: 100μl
price: 385.00 USD
to the supplier
PLK1
HUABIO
catalog: HA500281
domestic rabbit polyclonal
reactivity: human, mouse
application: western blot, flow cytometry

Western blot analysis of PLK1 on different lysates with Rabbit anti-PLK1 antibody (HA500281) at 1/1,000 dilution. Lane 1: HeLa whole cell lysate Lane 2: HeLa treated with 100nM Nocodazole for 24 hours whole cell lysate Lane 3: HeLa treated with 2mM thymidine for 16 hours then treated with 100nM Nocodazole for 24 hours whole cell lysate Lane 4: HT-29 whole cell lysate Lane 5: HT-29 treated with 100nM Nocodazole for 24 hours whole cell lysate Lane 6: HT-29 treated with 2mM thymidine for 16 hours then treated with 100nM Nocodazole for 24 hours whole cell lysate Lysates/proteins at 30 µg/Lane. Predicted band size: 68 kDa Observed band size: 68 kDa Exposure time: 2 minutes; 4-20% SDS-PAGE gel. Proteins were transferred to a PVDF membrane and blocked with 5% NFDM/TBST for 1 hour at room temperature. The primary antibody (HA500281) at 1/1,000 dilution was used in 5% NFDM/TBST at room temperature for 2 hours. Goat Anti-Rabbit IgG - HRP Secondary Antibody (HA1001) at 1:100,000 dilution was used for 1 hour at room temperature.

Western blot analysis of PLK1 on different lysates. Proteins were transferred to a PVDF membrane and blocked with 5% NFDM/TBST for 1 hour at room temperature. The primary antibody (HA500281, 1/1,000) was used in 5% NFDM/TBST at room temperature for 2 hours. Goat Anti-Rabbit IgG - HRP Secondary Antibody (HA1001) at 1:200,000 dilution was used for 1 hour at room temperature. Positive control: Lane 1: HepG2 cell lysate Lane 2: Hela cell lysate Lane 3: Mouse testis tissue lysate Predicted band size: 68 kDa Observed band size: 68/55/40 kDa

Flow cytometric analysis of PLK1 was done on Hela cells. The cells were fixed, permeabilized and stained with the primary antibody (HA500281, 1ug/ml) (red) compared with Rabbit IgG, monoclonal - Isotype Control (green). After incubation of the primary antibody at +4℃ for 1 hour, the cells were stained with a Alexa Fluor®488 conjugate-Goat anti-Rabbit IgG Secondary antibody at 1/1,000 dilution for 30 minutes at +4℃ (dark incubation).Unlabelled sample was used as a control (cells without incubation with primary antibody; black).
quantity: 100μl
price: 330 USD
to the supplier
PLK1
HUABIO
catalog: HA722118
domestic rabbit monoclonal (PSH04-35)
reactivity: human, mouse, rat
application: western blot, immunohistochemistry - paraffin section

Western blot analysis of PLK1 on different lysates with Rabbit anti-PLK1 antibody (HA722118) at 1/1,000 dilution. Lane 1: HeLa cell lysate (20 µg/Lane) Lane 2: K-562 cell lysate (20 µg/Lane) Lane 3: HEK-293 cell lysate (20 µg/Lane) Lane 4: Raji cell lysate (20 µg/Lane) Lane 5: HT-29 cell lysate (20 µg/Lane) Lane 6: HCT 116 cell lysate (20 µg/Lane) Lane 7: COS-1 cell lysate (20 µg/Lane) Lane 8: RAW264.7 cell lysate (20 µg/Lane) Lane 9: C6 cell lysate (20 µg/Lane) Lane 10: Mouse testis tissue lysate (40 µg/Lane) Lane 11: Rat testis tissue lysate (40 µg/Lane) Predicted band size: 68 kDa Observed band size: 68 kDa Exposure time: 1 minute; ECL: K1801; 4-20% SDS-PAGE gel. Proteins were transferred to a PVDF membrane and blocked with 5% NFDM/TBST for 1 hour at room temperature. The primary antibody (HA722118) at 1/1,000 dilution was used in 5% NFDM/TBST at 4℃ overnight. Goat Anti-Rabbit IgG - HRP Secondary Antibody (HA1001) at 1/50,000 dilution was used for 1 hour at room temperature.

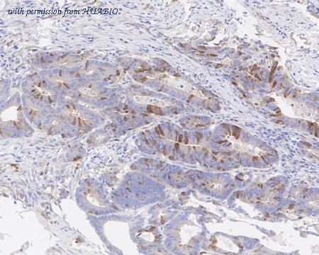
Immunohistochemical analysis of paraffin-embedded human colon cancer tissue with Rabbit anti-PLK1 antibody (HA722118) at 1/200 dilution. The section was pre-treated using heat mediated antigen retrieval with sodium citrate buffer (pH 6.0) (high pressure) for 2 minutes. The tissues were blocked in 1% BSA for 20 minutes at room temperature, washed with ddH2O and PBS, and then probed with the primary antibody (HA722118) at 1/200 dilution for 1 hour at room temperature. The detection was performed using an HRP conjugated compact polymer system. DAB was used as the chromogen. Tissues were counterstained with hematoxylin and mounted with DPX.

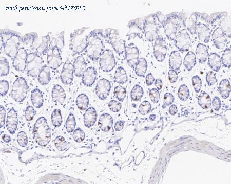
Immunohistochemical analysis of paraffin-embedded mouse colon tissue with Rabbit anti-PLK1 antibody (HA722118) at 1/200 dilution. The section was pre-treated using heat mediated antigen retrieval with sodium citrate buffer (pH 6.0) (high pressure) for 2 minutes. The tissues were blocked in 1% BSA for 20 minutes at room temperature, washed with ddH2O and PBS, and then probed with the primary antibody (HA722118) at 1/200 dilution for 1 hour at room temperature. The detection was performed using an HRP conjugated compact polymer system. DAB was used as the chromogen. Tissues were counterstained with hematoxylin and mounted with DPX.
quantity: 100μl
price: 385.00 USD
to the supplier
PLK1
HUABIO
catalog: HA750944
domestic rabbit monoclonal (PSH04-35)
reactivity: human, mouse, rat
application: western blot, immunohistochemistry - paraffin section

Western blot analysis of PLK1 on different lysates with Rabbit anti-PLK1 antibody (HA750944) at 1/1,000 dilution. Lane 1: HeLa cell lysate (20 µg/Lane) Lane 2: K-562 cell lysate (20 µg/Lane) Lane 3: HEK-293 cell lysate (20 µg/Lane) Lane 4: Raji cell lysate (20 µg/Lane) Lane 5: HT-29 cell lysate (20 µg/Lane) Lane 6: HCT 116 cell lysate (20 µg/Lane) Lane 7: COS-1 cell lysate (20 µg/Lane) Lane 8: RAW264.7 cell lysate (20 µg/Lane) Lane 9: C6 cell lysate (20 µg/Lane) Lane 10: Mouse testis tissue lysate (40 µg/Lane) Lane 11: Rat testis tissue lysate (40 µg/Lane) Predicted band size: 68 kDa Observed band size: 68 kDa Exposure time: 1 minute; ECL: K1801; 4-20% SDS-PAGE gel. Proteins were transferred to a PVDF membrane and blocked with 5% NFDM/TBST for 1 hour at room temperature. The primary antibody (HA750944) at 1/1,000 dilution was used in 5% NFDM/TBST at 4℃ overnight. Goat Anti-Rabbit IgG - HRP Secondary Antibody (HA1001) at 1/50,000 dilution was used for 1 hour at room temperature.

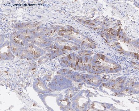
Immunohistochemical analysis of paraffin-embedded human colon cancer tissue with Rabbit anti-PLK1 antibody (HA750944) at 1/200 dilution. The section was pre-treated using heat mediated antigen retrieval with sodium citrate buffer (pH 6.0) (high pressure) for 2 minutes. The tissues were blocked in 1% BSA for 20 minutes at room temperature, washed with ddH2O and PBS, and then probed with the primary antibody (HA750944) at 1/200 dilution for 1 hour at room temperature. The detection was performed using an HRP conjugated compact polymer system. DAB was used as the chromogen. Tissues were counterstained with hematoxylin and mounted with DPX.

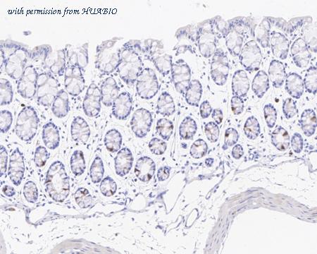
Immunohistochemical analysis of paraffin-embedded mouse colon tissue with Rabbit anti-PLK1 antibody (HA750944) at 1/200 dilution. The section was pre-treated using heat mediated antigen retrieval with sodium citrate buffer (pH 6.0) (high pressure) for 2 minutes. The tissues were blocked in 1% BSA for 20 minutes at room temperature, washed with ddH2O and PBS, and then probed with the primary antibody (HA750944) at 1/200 dilution for 1 hour at room temperature. The detection was performed using an HRP conjugated compact polymer system. DAB was used as the chromogen. Tissues were counterstained with hematoxylin and mounted with DPX.
quantity: 100μl
price: 649.00 USD
to the supplier