mouse monoclonal (3G3)
reactivity: human, mouse, rat
application: western blot, immunohistochemistry - paraffin section
reactivity: human, mouse, rat
application: western blot, immunohistochemistry - paraffin section

Western blot analysis of PLGF on JAR using anti-PLGF antibody at 1/500 dilution.

ICC staining PLGF (green) in LOVO cells. The nuclear counter stain is DAPI (blue). Cells were fixed in paraformaldehyde, permeabilised with 0.25% Triton X100/PBS.

Immunohistochemical analysis of paraffin-embedded rat kidney tissue using anti-PLGF antibody. Counter stained with hematoxylin.
quantity: 100μl
price: 360.00 USD
to the supplier
mouse monoclonal (3G2)
reactivity: human, mouse, rat
application: western blot, immunohistochemistry - paraffin section
reactivity: human, mouse, rat
application: western blot, immunohistochemistry - paraffin section

Western blot analysis of PLGF on JAR using anti-PLGF antibody at 1/500 dilution.

ICC staining PLGF (green) in HepG2 cells. The nuclear counter stain is DAPI (blue). Cells were fixed in paraformaldehyde, permeabilised with 0.25% Triton X100/PBS.

ICC staining PLGF (green) in LOVO cells. The nuclear counter stain is DAPI (blue). Cells were fixed in paraformaldehyde, permeabilised with 0.25% Triton X100/PBS.
quantity: 100μl
price: 360.00 USD
to the supplier
domestic rabbit polyclonal
reactivity: human, mouse
application: flow cytometry, immunohistochemistry - paraffin section
reactivity: human, mouse
application: flow cytometry, immunohistochemistry - paraffin section

Immunohistochemical analysis of paraffin-embedded human kidney tissue using anti-PLGF antibody. Counter stained with hematoxylin.

Immunohistochemical analysis of paraffin-embedded mouse testis tissue using anti-PLGF antibody. Counter stained with hematoxylin.

Flow cytometric analysis of SH-SY5Y cells with PLGF antibody at 1/100 dilution (red) compared with an unlabelled control (cells without incubation with primary antibody; black). Alexa Fluor 488-conjugated goat anti rabbit IgG was used as the secondary antibody.
quantity: 100μl
price: 330 USD
to the supplier
domestic rabbit monoclonal (JA63-15)
reactivity: human, mouse, rat
application: western blot, immunohistochemistry - paraffin section
reactivity: human, mouse, rat
application: western blot, immunohistochemistry - paraffin section

Western blot analysis of PLGF on JAR cell lysates. Proteins were transferred to a PVDF membrane and blocked with 5% BSA in PBS for 1 hour at room temperature. The primary antibody (ET1704-99, 1/500) was used in 5% BSA at room temperature for 2 hours. Goat Anti-Rabbit IgG - HRP Secondary Antibody (HA1001) at 1:200,000 dilution was used for 1 hour at room temperature.

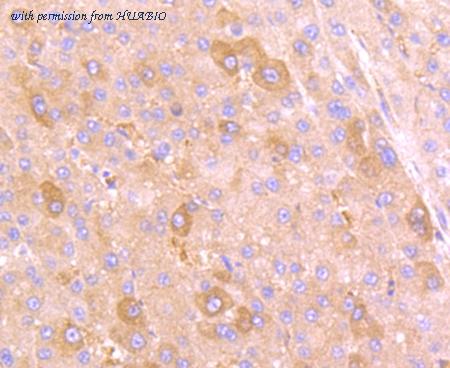
Immunohistochemical analysis of paraffin-embedded human liver carcinoma tissue using anti-PLGF antibody. The section was pre-treated using heat mediated antigen retrieval with Tris-EDTA buffer (pH 8.0-8.4) for 20 minutes.The tissues were blocked in 5% BSA for 30 minutes at room temperature, washed with ddH2O and PBS, and then probed with the primary antibody (ET1704-99, 1/50) for 30 minutes at room temperature. The detection was performed using an HRP conjugated compact polymer system. DAB was used as the chromogen. Tissues were counterstained with hematoxylin and mounted with DPX.

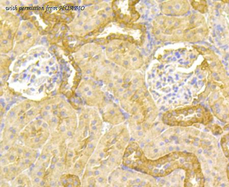
Immunohistochemical analysis of paraffin-embedded rat kidney tissue using anti-PLGF antibody. The section was pre-treated using heat mediated antigen retrieval with Tris-EDTA buffer (pH 8.0-8.4) for 20 minutes.The tissues were blocked in 5% BSA for 30 minutes at room temperature, washed with ddH2O and PBS, and then probed with the primary antibody (ET1704-99, 1/50) for 30 minutes at room temperature. The detection was performed using an HRP conjugated compact polymer system. DAB was used as the chromogen. Tissues were counterstained with hematoxylin and mounted with DPX.
quantity: 100μl
price: 385.00 USD
to the supplier
