Sign in
Sign up
home
>
HUABIO
> HUABIO PECAM 1 antibody
CD31
HUABIO
catalog: ER31219
domestic rabbit polyclonal
reactivity:
human
,
mouse
,
rat
application:
western blot
,
flow cytometry
,
immunohistochemistry - paraffin section
Western blot analysis of CD31 on different lysates with Rabbit anti-CD31 antibody (ER31219) at 1/1,000 dilution. Lane 1: THP-1 cell lysate (10 µg/Lane) Lane 2: NIH/3T3 cell lysate (negative) (10 µg/Lane) Lane 3: Mouse lung tissue lysate (40 µg/Lane) Lane 4: Rat lung tissue lysate (40 µg/Lane) Predicted band size: 83 kDa Observed band size: 120-130 kDa Exposure time: Lane 1: 16 seconds; Lane 2-4: 1 minute 2 seconds; ECL: K1801; 4-20% SDS-PAGE gel. Proteins were transferred to a PVDF membrane and blocked with 5% NFDM/TBST for 1 hour at room temperature. The primary antibody (ER31219) at 1/1,000 dilution was used in 5% NFDM/TBST at 4℃ overnight. Goat Anti-Rabbit IgG - HRP Secondary Antibody (HA1001) at 1/50,000 dilution was used for 1 hour at room temperature.
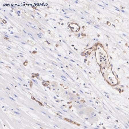
Immunohistochemical analysis of paraffin-embedded human lung tissue with Rabbit anti-CD31 antibody (ER31219) at 1/5,000 dilution. The section was pre-treated using heat mediated antigen retrieval with Tris-EDTA buffer (pH 9.0) for 20 minutes. The tissues were blocked in 1% BSA for 20 minutes at room temperature, washed with ddH2O and PBS, and then probed with the primary antibody (ER31219) at 1/5,000 dilution for 1 hour at room temperature. The detection was performed using an HRP conjugated compact polymer system. DAB was used as the chromogen. Tissues were counterstained with hematoxylin and mounted with DPX.
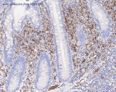
Immunohistochemical analysis of paraffin-embedded human tonsil tissue with Rabbit anti-CD31 antibody (ER31219) at 1/1,000 dilution. The section was pre-treated using heat mediated antigen retrieval with Tris-EDTA buffer (pH 9.0) for 20 minutes. The tissues were blocked in 1% BSA for 20 minutes at room temperature, washed with ddH2O and PBS, and then probed with the primary antibody (ER31219) at 1/1,000 dilution for 1 hour at room temperature. The detection was performed using an HRP conjugated compact polymer system. DAB was used as the chromogen. Tissues were counterstained with hematoxylin and mounted with DPX.
quantity: 100μl
price: 330 USD
to the supplier
CD31
HUABIO
catalog: ET1608-48-50UL
domestic rabbit monoclonal (SU03-59)
reactivity:
human
application:
western blot
,
immunoprecipitation
,
flow cytometry
,
immunohistochemistry - paraffin section
Western blot analysis of CD31 on THP-1 cell lysates with Rabbit anti-CD31 antibody (ET1608-48) at 1/2,000 dilution. Lysates/proteins at 15 µg/Lane. Predicted band size: 83 kDa Observed band size: 130 kDa Exposure time: 20 seconds; 4-20% SDS-PAGE gel. Proteins were transferred to a PVDF membrane and blocked with 5% NFDM/TBST for 1 hour at room temperature. The primary antibody (ET1608-48) at 1/2,000 dilution was used in 5% NFDM/TBST at room temperature for 2 hours. Goat Anti-Rabbit IgG - HRP Secondary Antibody (HA1001) at 1:50,000 dilution was used for 1 hour at room temperature.
CD31 was immunoprecipitated in 0.2mg THP-1 cell lysate with ET1608-48 at 2 µg/10 µl beads. Western blot was performed from the immunoprecipitate using ET1608-48 at 1/1,000 dilution. Anti-Rabbit IgG for IP Nano-secondary antibody (NBI01H) at 1/5,000 dilution was used for 1 hour at room temperature. Lane 1: THP-1 cell lysate (input) Lane 2: Rabbit IgG instead of ET1608-48 in THP-1 cell lysate Lane 3: ET1608-48 IP in THP-1 cell lysate Blocking/Dilution buffer: 5% NFDM/TBST Exposure time: 5 seconds
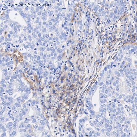
Immunohistochemical analysis of paraffin-embedded human tonsil tissue with Rabbit anti-CD31 antibody (ET1608-48) at 1/1,000 dilution. The section was pre-treated using heat mediated antigen retrieval with Tris-EDTA buffer (pH 9.0) for 20 minutes. The tissues were blocked in 1% BSA for 20 minutes at room temperature, washed with ddH2O and PBS, and then probed with the primary antibody (ET1608-48) at 1/1,000 dilution for 1 hour at room temperature. The detection was performed using an HRP conjugated compact polymer system. DAB was used as the chromogen. Tissues were counterstained with hematoxylin and mounted with DPX.
quantity: 50μl
price: 205.00 USD
to the supplier
CD31
HUABIO
catalog: HA601240
mouse monoclonal (7-A1-R)
reactivity:
human
application:
western blot
,
immunohistochemistry - paraffin section
Western blot analysis of CD31 on different lysates with Mouse anti-CD31 antibody (HA601240) at 1/2,000 dilution. Lane 1: THP-1 cell lysate Lane 2: Jurkat cell lysate Lane 3: U-937 cell lysate Lane 4: HeLa cell lysate (negative) Lane 5: MDA-MB-231 cell lysate (negative) Lysates/proteins at 20 µg/Lane. Predicted band size: 83 kDa Observed band size: 130 kDa Exposure time: 1 minute 58 seconds; 4-20% SDS-PAGE gel. Proteins were transferred to a PVDF membrane and blocked with 5% NFDM/TBST for 1 hour at room temperature. The primary antibody (HA601240) at 1/2,000 dilution was used in 5% NFDM/TBST at 4℃ overnight. Goat Anti-Mouse IgG - HRP Secondary Antibody (HA1006) at 1/50,000 dilution was used for 1 hour at room temperature.
Immunocytochemistry analysis of THP-1 (positive) and HeLa (negative) labeling CD31 with Mouse anti-CD31 antibody (HA601240) at 1/100 dilution. Cells were fixed in 4% paraformaldehyde for 20 minutes at room temperature, permeabilized with 0.1% Triton X-100 in PBS for 5 minutes at room temperature, then blocked with 1% BSA in 10% negative goat serum for 1 hour at room temperature. Cells were then incubated with Mouse anti-CD31 antibody (HA601240) at 1/100 dilution in 1% BSA in PBST overnight at 4 ℃. Goat Anti-Mouse IgG H&L (iFluor™ 488, HA1125) was used as the secondary antibody at 1/1,000 dilution. PBS instead of the primary antibody was used as the secondary antibody only control. Nuclear DNA was labelled in blue with DAPI. beta Tubulin (ET1602-4, red) was stained at 1/100 dilution overnight at +4℃. Goat Anti-Rabbit IgG H&L (iFluor™ 594, HA1122) were used as the secondary antibody at 1/1,000 dilution.
Immunohistochemical analysis of paraffin-embedded human appendix tissue with Mouse anti-CD31 antibody (HA601240) at 1/2,000 dilution. The section was pre-treated using heat mediated antigen retrieval with Tris-EDTA buffer (pH 9.0) for 20 minutes. The tissues were blocked in 1% BSA for 20 minutes at room temperature, washed with ddH2O and PBS, and then probed with the primary antibody (HA601240) at 1/2,000 dilution for 1 hour at room temperature. The detection was performed using an HRP conjugated compact polymer system. DAB was used as the chromogen. Tissues were counterstained with hematoxylin and mounted with DPX.
quantity: 100μl
price: 360.00 USD
to the supplier
CD31
HUABIO
catalog: HA610115
mouse monoclonal (7-A1-R)
reactivity:
human
application:
western blot
,
immunohistochemistry - paraffin section
Western blot analysis of CD31 on different lysates with Mouse anti-CD31 antibody (HA610115) at 1/2,000 dilution. Lane 1: THP-1 cell lysate Lane 2: Jurkat cell lysate Lane 3: U-937 cell lysate Lane 4: HeLa cell lysate (negative) Lane 5: MDA-MB-231 cell lysate (negative) Lysates/proteins at 20 µg/Lane. Predicted band size: 83 kDa Observed band size: 130 kDa Exposure time: 1 minute 58 seconds; 4-20% SDS-PAGE gel. Proteins were transferred to a PVDF membrane and blocked with 5% NFDM/TBST for 1 hour at room temperature. The primary antibody (HA610115) at 1/2,000 dilution was used in 5% NFDM/TBST at 4℃ overnight. Goat Anti-Mouse IgG - HRP Secondary Antibody (HA1006) at 1/50,000 dilution was used for 1 hour at room temperature.
Immunocytochemistry analysis of THP-1 (positive) and HeLa (negative) labeling CD31 with Mouse anti-CD31 antibody (HA610115) at 1/100 dilution. Cells were fixed in 4% paraformaldehyde for 20 minutes at room temperature, permeabilized with 0.1% Triton X-100 in PBS for 5 minutes at room temperature, then blocked with 1% BSA in 10% negative goat serum for 1 hour at room temperature. Cells were then incubated with Mouse anti-CD31 antibody (HA610115) at 1/100 dilution in 1% BSA in PBST overnight at 4 ℃. Goat Anti-Mouse IgG H&L (iFluor™ 488, HA1125) was used as the secondary antibody at 1/1,000 dilution. PBS instead of the primary antibody was used as the secondary antibody only control. Nuclear DNA was labelled in blue with DAPI. beta Tubulin (ET1602-4, red) was stained at 1/100 dilution overnight at +4℃. Goat Anti-Rabbit IgG H&L (iFluor™ 594, HA1122) were used as the secondary antibody at 1/1,000 dilution.
Immunohistochemical analysis of paraffin-embedded human appendix tissue with Mouse anti-CD31 antibody (HA610115) at 1/2,000 dilution. The section was pre-treated using heat mediated antigen retrieval with Tris-EDTA buffer (pH 9.0) for 20 minutes. The tissues were blocked in 1% BSA for 20 minutes at room temperature, washed with ddH2O and PBS, and then probed with the primary antibody (HA610115) at 1/2,000 dilution for 1 hour at room temperature. The detection was performed using an HRP conjugated compact polymer system. DAB was used as the chromogen. Tissues were counterstained with hematoxylin and mounted with DPX.
quantity: 100μg
price: 649.00 USD
to the supplier
CD31
HUABIO
catalog: HA720220F
domestic rabbit monoclonal (SU03-59)
reactivity:
human
Immunofluorescence analysis of paraffin-embedded human tonsils tissue labeling CD31 with Rabbit anti-CD31 antibody (HA720220F) at 1/200 dilution. The section was pre-treated using heat mediated antigen retrieval with Tris-EDTA buffer (pH 9.0) for 20 minutes. The tissues were blocked in 10% negative goat serum for 1 hour at room temperature, washed with PBS, and then probed with the primary antibody (HA720220F, green) at 1/200 dilution overnight at 4 ℃, washed with PBS. Goat Anti-Rabbit IgG H&L (iFluor™ 488, HA1121) was used as the secondary antibody at 1/1,000 dilution. Nuclei were counterstained with DAPI (blue).
quantity: 100μl
price: 429.00 USD
to the supplier
Human CD31
HUABIO
catalog: HA722906
domestic rabbit monoclonal (PSH07-82)
reactivity:
human
application:
ELISA
Sandwich ELISA analysis of Human CD31 matched pair antibodies Elisa assay was performed by coating wells of a 96-well plate with 50 µl per well of capture antibody (HA722906) diluted in carbonate/bicarbonate buffer, at a concentration of 2 µg/mL overnight at 4℃. Wells of the plate were washed, blocked with 150 µl 0.05% tween-20 1%BSA blocking buffer, and incubated with serial diluted Recombinant Human CD31 protein (HA210891) starting from 10,000 pg/ml to 0 pg/ml and detect antibody (HA722907, Biotin, 0.1 µg/ml) for 1 hour at 30℃ with shaking. Then the plate was washed and incubated with 50 µl per well of SA-HRP for 0.5 hour at 30℃ with shaking. Detection was performed using an Ultra TMB Substrate for 10 minutes at room temperature in the dark. The reaction was stopped with sulfuric acid and absorbances were read on a spectrophotometer at 450 nm.
Interpolated concentrations of native CD31in human serum samples. The concentrations of CD31 were interpolated from the CD31 standard curve and corrected for sample dilution. Undiluted samples are human serum 20%. The mean CD31 concentration was determined to be 39.7 ng/mL in human serum.
Interpolated concentrations of native CD31 in THP-1 and HeLa extract samples based on a 1,000 µg/ml extract load. The concentrations of CD31 were measured in duplicates, interpolated from the CD31 standard curve and corrected for sample dilution. Undiluted samples are THP-1 extract 3% and HeLa extract 100%. The interpolated dilution factor corrected values are plotted (mean +/- SD, n=2). The mean CD31 concentration was determined to be 68.19 ng/ml in THP-1 extract and undetectable in HeLa extract.
quantity: 100μl
price: 649.00 USD
to the supplier
Human CD31
HUABIO
catalog: HA722907
domestic rabbit monoclonal (PSH07-83)
reactivity:
human
application:
ELISA
Sandwich ELISA analysis of Human CD31 matched pair antibodies Elisa assay was performed by coating wells of a 96-well plate with 50 µl per well of capture antibody (HA722906) diluted in carbonate/bicarbonate buffer, at a concentration of 2 µg/mL overnight at 4℃. Wells of the plate were washed, blocked with 150 µl 0.05% tween-20 1%BSA blocking buffer, and incubated with serial diluted Recombinant Human CD31 protein (HA210891) starting from 10,000 pg/ml to 0 pg/ml and detect antibody (HA722907, Biotin, 0.1 µg/ml) for 1 hour at 30℃ with shaking. Then the plate was washed and incubated with 50 µl per well of SA-HRP for 0.5 hour at 30℃ with shaking. Detection was performed using an Ultra TMB Substrate for 10 minutes at room temperature in the dark. The reaction was stopped with sulfuric acid and absorbances were read on a spectrophotometer at 450 nm.
Interpolated concentrations of native CD31in human serum samples. The concentrations of CD31 were interpolated from the CD31 standard curve and corrected for sample dilution. Undiluted samples are human serum 20%. The mean CD31 concentration was determined to be 39.7 ng/mL in human serum.
Interpolated concentrations of native CD31 in THP-1 and HeLa extract samples based on a 1,000 µg/ml extract load. The concentrations of CD31 were measured in duplicates, interpolated from the CD31 standard curve and corrected for sample dilution. Undiluted samples are THP-1 extract 3% and HeLa extract 100%. The interpolated dilution factor corrected values are plotted (mean +/- SD, n=2). The mean CD31 concentration was determined to be 68.19 ng/ml in THP-1 extract and undetectable in HeLa extract.
quantity: 100μl
price: 649.00 USD
to the supplier
Human CD31
HUABIO
catalog: HA722908B
domestic rabbit monoclonal (PSH07-83)
reactivity:
human
conjugate: biotin
application:
ELISA
Sandwich ELISA analysis of Human CD31 matched pair antibodies Elisa assay was performed by coating wells of a 96-well plate with 50 µl per well of capture antibody (HA722906) diluted in carbonate/bicarbonate buffer, at a concentration of 2 µg/mL overnight at 4℃. Wells of the plate were washed, blocked with 150 µl 0.05% tween-20 1%BSA blocking buffer, and incubated with serial diluted Recombinant Human CD31 protein (HA210891) starting from 10,000 pg/ml to 0 pg/ml and detect antibody (HA722908B, 0.1 µg/ml) for 1 hour at 30℃ with shaking. Then the plate was washed and incubated with 50 µl per well of SA-HRP for 0.5 hour at 30℃ with shaking. Detection was performed using an Ultra TMB Substrate for 10 minutes at room temperature in the dark. The reaction was stopped with sulfuric acid and absorbances were read on a spectrophotometer at 450 nm.
Interpolated concentrations of native CD31in human serum samples. The concentrations of CD31 were interpolated from the CD31 standard curve and corrected for sample dilution. Undiluted samples are human serum 20%. The mean CD31 concentration was determined to be 39.7 ng/mL in human serum.
Interpolated concentrations of native CD31 in THP-1 and HeLa extract samples based on a 1,000 µg/ml extract load. The concentrations of CD31 were measured in duplicates, interpolated from the CD31 standard curve and corrected for sample dilution. Undiluted samples are THP-1 extract 3% and HeLa extract 100%. The interpolated dilution factor corrected values are plotted (mean +/- SD, n=2). The mean CD31 concentration was determined to be 68.19 ng/ml in THP-1 extract and undetectable in HeLa extract.
quantity: 100μl
price: 409.00 USD
to the supplier
CD31
HUABIO
catalog: HA750151
domestic rabbit monoclonal (SU03-59)
reactivity:
human
application:
western blot
,
immunoprecipitation
,
flow cytometry
,
immunohistochemistry - paraffin section
Western blot analysis of CD31 on THP-1 cell lysates with Rabbit anti-CD31 antibody (HA750151) at 1/2,000 dilution. Lysates/proteins at 15 µg/Lane. Predicted band size: 83 kDa Observed band size: 130 kDa Exposure time: 20 seconds; 4-20% SDS-PAGE gel. Proteins were transferred to a PVDF membrane and blocked with 5% NFDM/TBST for 1 hour at room temperature. The primary antibody (HA750151) at 1/2,000 dilution was used in 5% NFDM/TBST at room temperature for 2 hours. Goat Anti-Rabbit IgG - HRP Secondary Antibody (HA1001) at 1:50,000 dilution was used for 1 hour at room temperature.
CD31 was immunoprecipitated in 0.2mg THP-1 cell lysate with HA750151 at 2 µg/10 µl beads. Western blot was performed from the immunoprecipitate using HA750151 at 1/1,000 dilution. Anti-Rabbit IgG for IP Nano-secondary antibody (NBI01H) at 1/5,000 dilution was used for 1 hour at room temperature. Lane 1: THP-1 cell lysate (input) Lane 2: Rabbit IgG instead of HA750151 in THP-1 cell lysate Lane 3: HA750151 IP in THP-1 cell lysate Blocking/Dilution buffer: 5% NFDM/TBST Exposure time: 5 seconds
Immunohistochemical analysis of paraffin-embedded human tonsil tissue with Rabbit anti-CD31 antibody (HA750151) at 1/1,000 dilution. The section was pre-treated using heat mediated antigen retrieval with Tris-EDTA buffer (pH 9.0) for 20 minutes. The tissues were blocked in 1% BSA for 20 minutes at room temperature, washed with ddH2O and PBS, and then probed with the primary antibody (HA750151) at 1/1,000 dilution for 1 hour at room temperature. The detection was performed using an HRP conjugated compact polymer system. DAB was used as the chromogen. Tissues were counterstained with hematoxylin and mounted with DPX.
quantity: 100μl
price: 649.00 USD
to the supplier
CD31
HUABIO
catalog: IRS023
mouse monoclonal
reactivity:
human
mIHC analysis of human tonsil tissue (Formalin/PFA-fixed paraffin-embedded sections) with Ki67 (IRS036), CD23 (IRS021), CD31 (IRS023) and PD-1 antibody at 1/100 dilution. The immunostaining was performed with the IRISKitCmTSA Kit (900802). Heat mediated antigen retrieval with Tris-EDTA buffer (pH 9.0) for 30 mins at 95℃. DAPI (blue) was used as a nuclear counter stain. Image acquisition was performed with Olympus VS200 Slide Scanner.
mIHC analysis of human gastric cancer tissue (Formalin/PFA-fixed paraffin-embedded sections) with CD11b (IRS014), CD31 (IRS023), aSMA (IRS012), panCK (IRS010) and CD3 (IRS022) antibody at 1/100 dilution. The immunostaining was performed with the IRISKitCmTSA Kit (900802). Heat mediated antigen retrieval with Tris-EDTA buffer (pH 9.0) for 30 mins at 95℃. DAPI (blue) was used as a nuclear counter stain. Image acquisition was performed with Olympus VS200 Slide Scanner.
mIHC analysis of human pancreas tissue (Formalin/PFA-fixed paraffin-embedded sections) with CHGA, CD31 (IRS023), CK19 (IRS011) and Somatostatin 28 antibody at 1/100 dilution. The immunostaining was performed with the IRISKitCmTSA Kit (900802). Heat mediated antigen retrieval with Tris-EDTA buffer (pH 9.0) for 30 mins at 95℃. DAPI (blue) was used as a nuclear counter stain. Image acquisition was performed with Olympus VS200 Slide Scanner.
quantity: 100μl
price: 360.00 USD
to the supplier
CD31
HUABIO
catalog: M1511-8
mouse monoclonal (7-A1)
reactivity:
human
,
mouse
application:
western blot
,
immunohistochemistry - paraffin section
Western blot analysis of CD31 on different lysates with Mouse anti-CD31 antibody (M1511-8) at 1/2,000 dilution. Lane 1: THP-1 cell lysate Lane 2: Jurkat cell lysate Lane 3: U-937 cell lysate Lane 4: HeLa cell lysate (negative) Lane 5: MDA-MB-231 cell lysate (negative) Lysates/proteins at 20 µg/Lane. Predicted band size: 83 kDa Observed band size: 130 kDa Exposure time: 1 minute 58 seconds; 4-20% SDS-PAGE gel. Proteins were transferred to a PVDF membrane and blocked with 5% NFDM/TBST for 1 hour at room temperature. The primary antibody (M1511-8) at 1/2,000 dilution was used in 5% NFDM/TBST at 4℃ overnight. Goat Anti-Mouse IgG - HRP Secondary Antibody (HA1006) at 1/50,000 dilution was used for 1 hour at room temperature.
Western blot analysis of CD31 on different lysates with Mouse anti-CD31 antibody (M1511-8) at 1/500 dilution. Lane 1: Mouse lung tissue lysate (no heat) Lane 2: Mouse spleen tissue lysate (no heat) Notice: no heat means the lysate is not boiled. Lysates/proteins at 20 µg/Lane. Predicted band size: 83 kDa Observed band size: 83-130 kDa Exposure time: 5 minutes; 4-20% SDS-PAGE gel. Proteins were transferred to a PVDF membrane and blocked with 5% NFDM/TBST for 1 hour at room temperature. The primary antibody (M1511-8) at 1/500 dilution was used in 5% NFDM/TBST at room temperature for 2 hours. Goat Anti-Mouse IgG - HRP Secondary Antibody (HA1006) at 1/100,000 dilution was used for 1 hour at room temperature.
Fluorescence multiplex immunohistochemical analysis of the human gastric cancer (Formalin/PFA-fixed paraffin-embedded sections). Panel A: the merged image of anti-CD31 (M1511-8, red), anti-αSMA (ET1607-53, gray), anti-CD11b (ET1706-04, cyan), anti-panCK (HA601138, magenta) and anti-CD3 (HA720082, yellow) on human gastric cancer. Panel B: anti- CD31 stained on the endothelial cells. Panel C: anti-αSMA stained on cancer-associated fibroblasts and smooth muscle cells. Panel D: anti-CD11b stained on myeloid cells. Panel E: anti-panCK stained on cancer cells. Panel F: anti-CD3 stained on T cells. HRP Conjugated UltraPolymer Goat Polyclonal Antibody HA1119/HA1120 was used as a secondary antibody. The immunostaining was performed with the Sequential Immuno-staining Kit (IRISKit™MH010101, www.luminiris.cn). The section was incubated in five rounds of staining: in the order of M1511-8 (1/1,000 dilution), ET1607-53 (1/2,000 dilution), ET1706-04 (1/1,000 dilution), HA601138 (1/3,000 dilution), and HA720082 (1/500 dilution) for 20 mins at room temperature. Each round was followed by a separate fluorescent tyramide signal amplification system. Heat mediated antigen retrieval with Tris-EDTA buffer (pH 9.0) for 30 mins at 95℃. DAPI (blue) was used as a nuclear counter stain. Image acquisition was performed with Olympus VS200 Slide Scanner.
quantity: 100μl
price: 360.00 USD
to the supplier
Anti-CD31 Antibody [7-A1]
HUABIO
catalog: M1511-8TR
mouse monoclonal (7-A1)
reactivity:
human
application:
western blot
,
flow cytometry
,
immunohistochemistry - paraffin section
quantity: 20 uL
price: 99 USD
to the supplier
CD31
HUABIO
catalog: HA601522
domestic rabbit polyclonal (7-A1-R)
reactivity:
human
application:
immunohistochemistry - paraffin section
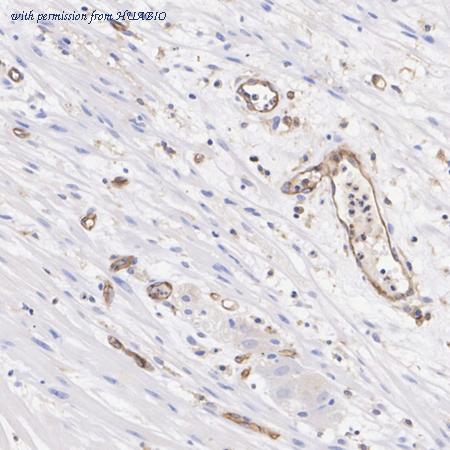
Immunohistochemical analysis of paraffin-embedded human appendix tissue with Rat anti-CD31 antibody (HA601522) at 1/1,000 dilution. The section was pre-treated using heat mediated antigen retrieval with Tris-EDTA buffer (pH 9.0) for 20 minutes. The tissues were blocked in 1% BSA for 20 minutes at room temperature, washed with ddH2O and PBS, and then probed with the primary antibody (HA601522) at 1/1,000 dilution for 1 hour at room temperature. The detection was performed using an HRP conjugated compact polymer system. DAB was used as the chromogen. Tissues were counterstained with hematoxylin and mounted with DPX.
Immunohistochemical analysis of paraffin-embedded human appendix tissue with Rat anti-CD31 antibody (HA601522) at 1/1,000 dilution. The section was pre-treated using heat mediated antigen retrieval with Tris-EDTA buffer (pH 9.0) for 20 minutes. The tissues were blocked in 1% BSA for 20 minutes at room temperature, washed with ddH2O and PBS, and then probed with the primary antibody (HA601522) at 1/1,000 dilution for 1 hour at room temperature. The detection was performed using an HRP conjugated compact polymer system. DAB was used as the chromogen. Tissues were counterstained with hematoxylin and mounted with DPX.
Immunohistochemical analysis of paraffin-embedded human gastric cancer tissue with Rat anti-CD31 antibody (HA601522) at 1/1,000 dilution. The section was pre-treated using heat mediated antigen retrieval with Tris-EDTA buffer (pH 9.0) for 20 minutes. The tissues were blocked in 1% BSA for 20 minutes at room temperature, washed with ddH2O and PBS, and then probed with the primary antibody (HA601522) at 1/1,000 dilution for 1 hour at room temperature. The detection was performed using an HRP conjugated compact polymer system. DAB was used as the chromogen. Tissues were counterstained with hematoxylin and mounted with DPX.
quantity: 100μl
price: 360.00 USD
to the supplier
CD31
HUABIO
catalog: HA610349
domestic rabbit polyclonal (7-A1-R)
reactivity:
human
application:
immunohistochemistry - paraffin section
Immunohistochemical analysis of paraffin-embedded human appendix tissue with Rat anti-CD31 antibody (HA610349) at 1/1,000 dilution. The section was pre-treated using heat mediated antigen retrieval with Tris-EDTA buffer (pH 9.0) for 20 minutes. The tissues were blocked in 1% BSA for 20 minutes at room temperature, washed with ddH2O and PBS, and then probed with the primary antibody (HA610349) at 1/1,000 dilution for 1 hour at room temperature. The detection was performed using an HRP conjugated compact polymer system. DAB was used as the chromogen. Tissues were counterstained with hematoxylin and mounted with DPX.
Immunohistochemical analysis of paraffin-embedded human appendix tissue with Rat anti-CD31 antibody (HA610349) at 1/1,000 dilution. The section was pre-treated using heat mediated antigen retrieval with Tris-EDTA buffer (pH 9.0) for 20 minutes. The tissues were blocked in 1% BSA for 20 minutes at room temperature, washed with ddH2O and PBS, and then probed with the primary antibody (HA610349) at 1/1,000 dilution for 1 hour at room temperature. The detection was performed using an HRP conjugated compact polymer system. DAB was used as the chromogen. Tissues were counterstained with hematoxylin and mounted with DPX.
Immunohistochemical analysis of paraffin-embedded human gastric cancer tissue with Rat anti-CD31 antibody (HA610349) at 1/1,000 dilution. The section was pre-treated using heat mediated antigen retrieval with Tris-EDTA buffer (pH 9.0) for 20 minutes. The tissues were blocked in 1% BSA for 20 minutes at room temperature, washed with ddH2O and PBS, and then probed with the primary antibody (HA610349) at 1/1,000 dilution for 1 hour at room temperature. The detection was performed using an HRP conjugated compact polymer system. DAB was used as the chromogen. Tissues were counterstained with hematoxylin and mounted with DPX.
quantity: 100μl
price: 385.00 USD
to the supplier
CD31
HUABIO
catalog: HA723897
domestic rabbit polyclonal (7-A1-R)
reactivity:
human
application:
western blot
,
flow cytometry
,
immunohistochemistry - paraffin section
Western blot analysis of CD31 on different lysates with Rabbit anti-CD31 antibody (HA723897) at 1/5,000 dilution. Lane 1: U-937 cell lysate Lane 2: HeLa cell lysate (negative) Lane 3: THP-1 cell lysate Lane 4: MDA-MB-231 cell lysate (negative) Lane 5: Jurkat cell lysate Lysates/proteins at 20 µg/Lane. Predicted band size: 83 kDa Observed band size: 130 kDa Exposure time: 10 seconds; ECL: K1801; 4-20% SDS-PAGE gel. Proteins were transferred to a PVDF membrane and blocked with 5% NFDM/TBST for 1 hour at room temperature. The primary antibody (HA723897) at 1/5,000 dilution was used in primary antibody dilution (K1803) at 4℃ overnight. Goat Anti-Rabbit IgG - HRP Secondary Antibody (HA1001) at 1/50,000 dilution was used for 1 hour at room temperature.
Immunocytochemistry analysis of THP-1 (positive) and HeLa (negative) labeling CD31 with Rabbit anti-CD31 antibody (HA723897) at 1/100 dilution. Cells were fixed in 4% paraformaldehyde for 15 minutes at room temperature, permeabilized with 0.1% Triton X-100 in PBS for 15 minutes at room temperature, then blocked with 1% BSA in 10% negative goat serum for 1 hour at room temperature. Cells were then incubated with Rabbit anti-CD31 antibody (HA723897) at 1/100 dilution in 1% BSA in PBST overnight at 4 ℃. Goat Anti-Rabbit IgG H&L (iFluor™ 488, HA1121) was used as the secondary antibody at 1/1,000 dilution. PBS instead of the primary antibody was used as the secondary antibody only control. Nuclear DNA was labelled in blue with DAPI. Beta tubulin (HA601187, red) was stained at 1/100 dilution overnight at +4℃. Goat Anti-Mouse IgG H&L (iFluor™ 594, HA1126) was used as the secondary antibody at 1/1,000 dilution.
Immunohistochemical analysis of paraffin-embedded human appendix tissue with Rabbit anti-CD31 antibody (HA723897) at 1/1,000 dilution. The section was pre-treated using heat mediated antigen retrieval with Tris-EDTA buffer (pH 9.0) for 20 minutes. The tissues were blocked in 1% BSA for 20 minutes at room temperature, washed with ddH2O and PBS, and then probed with the primary antibody (HA723897) at 1/1,000 dilution for 1 hour at room temperature. The detection was performed using an HRP conjugated compact polymer system. DAB was used as the chromogen. Tissues were counterstained with hematoxylin and mounted with DPX.
quantity: 100μl
price: 385.00 USD
to the supplier
CD31
HUABIO
catalog: HA751615
domestic rabbit polyclonal (7-A1-R)
reactivity:
human
application:
western blot
,
flow cytometry
,
immunohistochemistry - paraffin section
Western blot analysis of CD31 on different lysates with Rabbit anti-CD31 antibody (HA751615) at 1/5,000 dilution. Lane 1: U-937 cell lysate Lane 2: HeLa cell lysate (negative) Lane 3: THP-1 cell lysate Lane 4: MDA-MB-231 cell lysate (negative) Lane 5: Jurkat cell lysate Lysates/proteins at 20 µg/Lane. Predicted band size: 83 kDa Observed band size: 130 kDa Exposure time: 10 seconds; ECL: K1801; 4-20% SDS-PAGE gel. Proteins were transferred to a PVDF membrane and blocked with 5% NFDM/TBST for 1 hour at room temperature. The primary antibody (HA751615) at 1/5,000 dilution was used in primary antibody dilution (K1803) at 4℃ overnight. Goat Anti-Rabbit IgG - HRP Secondary Antibody (HA1001) at 1/50,000 dilution was used for 1 hour at room temperature.
Immunocytochemistry analysis of THP-1 (positive) and HeLa (negative) labeling CD31 with Rabbit anti-CD31 antibody (HA751615) at 1/100 dilution. Cells were fixed in 4% paraformaldehyde for 15 minutes at room temperature, permeabilized with 0.1% Triton X-100 in PBS for 15 minutes at room temperature, then blocked with 1% BSA in 10% negative goat serum for 1 hour at room temperature. Cells were then incubated with Rabbit anti-CD31 antibody (HA751615) at 1/100 dilution in 1% BSA in PBST overnight at 4 ℃. Goat Anti-Rabbit IgG H&L (iFluor™ 488, HA1121) was used as the secondary antibody at 1/1,000 dilution. PBS instead of the primary antibody was used as the secondary antibody only control. Nuclear DNA was labelled in blue with DAPI. Beta tubulin (HA601187, red) was stained at 1/100 dilution overnight at +4℃. Goat Anti-Mouse IgG H&L (iFluor™ 594, HA1126) was used as the secondary antibody at 1/1,000 dilution.
Immunohistochemical analysis of paraffin-embedded human appendix tissue with Rabbit anti-CD31 antibody (HA751615) at 1/1,000 dilution. The section was pre-treated using heat mediated antigen retrieval with Tris-EDTA buffer (pH 9.0) for 20 minutes. The tissues were blocked in 1% BSA for 20 minutes at room temperature, washed with ddH2O and PBS, and then probed with the primary antibody (HA751615) at 1/1,000 dilution for 1 hour at room temperature. The detection was performed using an HRP conjugated compact polymer system. DAB was used as the chromogen. Tissues were counterstained with hematoxylin and mounted with DPX.
quantity: 100μl
price: 385.00 USD
to the supplier
CD31
HUABIO
catalog: IRS116RB
domestic rabbit polyclonal
reactivity:
human
mIHC analysis of human tonsil tissue (Formalin/PFA-fixed paraffin-embedded sections) with Rabbit anti-CD31 antibody (IRS116RB) at 1/100 dilution. The immunostaining was performed with the IRISKitCmTSA Kit (900808). Heat mediated antigen retrieval with Tris-EDTA buffer (pH 9.0) for 30 mins at 95℃. DAPI (blue) was used as a nuclear counter stain. Image acquisition was performed with Olympus VS200 Slide Scanner.
quantity: 50T
price: 278.00 USD
to the supplier