Sign in
Sign up
home
>
HUABIO
> HUABIO SIRT6 antibody
SIRT6
HUABIO
catalog: ET1701-29
domestic rabbit monoclonal (JJ20-69)
reactivity:
human
application:
western blot
Western blot analysis of SIRT6 on different lysates with Rabbit anti-SIRT6 antibody (ET1701-29) at 1/500 dilution. Lane 1: HeLa cell lysate Lane 2: MDA-MB-231 cell lysate Lysates/proteins at 15 µg/Lane. Predicted band size: 39 kDa Observed band size: 39 kDa Exposure time: 2 minutes 24 seconds; ECL: K1801; 4-20% SDS-PAGE gel. Proteins were transferred to a PVDF membrane and blocked with 5% NFDM/TBST for 1 hour at room temperature. The primary antibody (ET1701-29) at 1/500 dilution was used in 5% NFDM/TBST at 4℃ overnight. Goat Anti-Rabbit IgG - HRP Secondary Antibody (HA1001) at 1/50,000 dilution was used for 1 hour at room temperature.
Western blot analysis of SIRT6 on different lysates with Rabbit anti-SIRT6 antibody (ET1701-29) at 1/2,000 dilution. Lane 1: HAP1-parental cell lysate Lane 2: HAP1-SIRT6 KD cell lysate Lysates/proteins at 10 µg/Lane. Predicted band size: 39 kDa Observed band size: 39 kDa Exposure time: 62 seconds; ECL: K1802; 4-20% SDS-PAGE gel. Proteins were transferred to a PVDF membrane and blocked with 5% NFDM/TBST for 1 hour at room temperature. The primary antibody (ET1701-29) at 1/2,000 dilution was used in K1803 at 4℃ overnight. Goat Anti-Rabbit IgG - HRP Secondary Antibody (HA1001) at 1/50,000 dilution was used for 1 hour at room temperature.
quantity: 100μl
price: 385.00 USD
to the supplier
SIRT6
HUABIO
catalog: HA723265
domestic rabbit monoclonal (PSH10-98)
reactivity:
human
,
mouse
,
rat
application:
western blot
,
immunohistochemistry - paraffin section
Western blot analysis of SIRT6 on different lysates with Rabbit anti-SIRT6 antibody (HA723265) at 1/2,000 dilution. Lane 1: HeLa cell lysate Lane 2: HCT 116 cell lysate Lane 3: NIH/3T3 cell lysate Lane 4: MEF cell lysate Lane 5: C6 cell lysate Lane 6: PC-12 cell lysate Lane 7: COS-1 cell lysate Lysates/proteins at 20 µg/Lane. Predicted band size: 39 kDa Observed band size: 36/42 kDa Exposure time: 1 minute; ECL: K1801; 4-20% SDS-PAGE gel. Proteins were transferred to a PVDF membrane and blocked with 5% NFDM/TBST for 1 hour at room temperature. The primary antibody (HA723265) at 1/2,000 dilution was used in 5% NFDM/TBST at 4℃ overnight. Goat Anti-Rabbit IgG - HRP Secondary Antibody (HA1001) at 1/50,000 dilution was used for 1 hour at room temperature.
Immunocytochemistry analysis of HCT 116 cells labeling SIRT6 with Rabbit anti-SIRT6 antibody (HA723265) at 1/100 dilution. Cells were fixed in 4% paraformaldehyde for 15 minutes at room temperature, permeabilized with 0.1% Triton X-100 in PBS for 15 minutes at room temperature, then blocked with 1% BSA in 10% negative goat serum for 1 hour at room temperature. Cells were then incubated with Rabbit anti-SIRT6 antibody (HA723265) at 1/100 dilution in 1% BSA in PBST overnight at 4 ℃. Goat Anti-Rabbit IgG H&L (iFluor™ 488, HA1121) was used as the secondary antibody at 1/1,000 dilution. PBS instead of the primary antibody was used as the secondary antibody only control. Nuclear DNA was labelled in blue with DAPI. Beta tubulin (HA601187, red) was stained at 1/100 dilution overnight at +4℃. Goat Anti-Mouse IgG H&L (iFluor™ 594, HA1126) was used as the secondary antibody at 1/1,000 dilution.
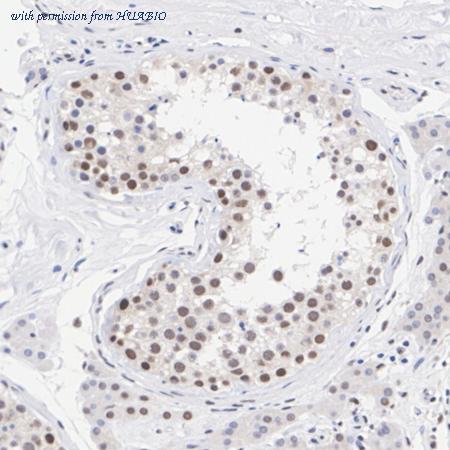
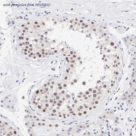
Immunohistochemical analysis of paraffin-embedded human testis tissue with Rabbit anti-SIRT6 antibody (HA723265) at 1/1,000 dilution. The section was pre-treated using heat mediated antigen retrieval with Tris-EDTA buffer (pH 9.0) for 20 minutes. The tissues were blocked in 1% BSA for 20 minutes at room temperature, washed with ddH2O and PBS, and then probed with the primary antibody (HA723265) at 1/1,000 dilution for 1 hour at room temperature. The detection was performed using an HRP conjugated compact polymer system. DAB was used as the chromogen. Tissues were counterstained with hematoxylin and mounted with DPX.
quantity: 100μl
price: 385.00 USD
to the supplier
SIRT6
HUABIO
catalog: HA723266
domestic rabbit monoclonal (PSH10-99)
reactivity:
human
,
mouse
,
rat
application:
western blot
,
immunohistochemistry - paraffin section
Western blot analysis of SIRT6 on different lysates with Rabbit anti-SIRT6 antibody (HA723266) at 1/2,000 dilution. Lane 1: HeLa cell lysate (20 µg/Lane) Lane 2: HCT 116 cell lysate (20 µg/Lane) Lane 3: NIH/3T3 cell lysate (20 µg/Lane) Lane 4: MEF cell lysate (20 µg/Lane) Lane 5: C6 cell lysate (20 µg/Lane) Lane 6: PC-12 cell lysate (20 µg/Lane) Lane 7: COS-1 cell lysate (20 µg/Lane) Predicted band size: 39 kDa Observed band size: 36/42 kDa Exposure time: 46 seconds; ECL: K1801; 4-20% SDS-PAGE gel. Proteins were transferred to a PVDF membrane and blocked with 5% NFDM/TBST for 1 hour at room temperature. The primary antibody (HA723266) at 1/2,000 dilution was used in 5% NFDM/TBST at 4℃ overnight. Goat Anti-Rabbit IgG - HRP Secondary Antibody (HA1001) at 1/50,000 dilution was used for 1 hour at room temperature.
Immunohistochemical analysis of paraffin-embedded mouse testis tissue with Rabbit anti-SIRT6 antibody (HA723266) at 1/1,000 dilution. The section was pre-treated using heat mediated antigen retrieval with Tris-EDTA buffer (pH 9.0) for 20 minutes. The tissues were blocked in 1% BSA for 20 minutes at room temperature, washed with ddH2O and PBS, and then probed with the primary antibody (HA723266) at 1/1,000 dilution for 1 hour at room temperature. The detection was performed using an HRP conjugated compact polymer system. DAB was used as the chromogen. Tissues were counterstained with hematoxylin and mounted with DPX.
Western blot analysis of SIRT6 on different lysates with Rabbit anti-SIRT6 antibody (HA723266) at 1/2,000 dilution. Lane 1: HAP1-parental cell lysate Lane 2: HAP1-SIRT6 KO cell lysate Lysates/proteins at 10 µg/Lane. Predicted band size: 39 kDa Observed band size: 39 kDa Exposure time: 3 minutes; ECL: K1801; 4-20% SDS-PAGE gel. Proteins were transferred to a PVDF membrane and blocked with 5% NFDM/TBST for 1 hour at room temperature. The primary antibody (HA723266) at 1/2,000 dilution was used in 5% NFDM/TBST at 4℃ overnight. Goat Anti-Rabbit IgG - HRP Secondary Antibody (HA1001) at 1/50,000 dilution was used for 1 hour at room temperature.
quantity: 100μl
price: 385.00 USD
to the supplier
SIRT6
HUABIO
catalog: HA751388
domestic rabbit monoclonal (PSH10-98)
reactivity:
human
,
mouse
,
rat
application:
western blot
,
immunohistochemistry - paraffin section
Western blot analysis of SIRT6 on different lysates with Rabbit anti-SIRT6 antibody (HA751388) at 1/2,000 dilution. Lane 1: HeLa cell lysate Lane 2: HCT 116 cell lysate Lane 3: NIH/3T3 cell lysate Lane 4: MEF cell lysate Lane 5: C6 cell lysate Lane 6: PC-12 cell lysate Lane 7: COS-1 cell lysate Lysates/proteins at 20 µg/Lane. Predicted band size: 39 kDa Observed band size: 36/42 kDa Exposure time: 1 minute; ECL: K1801; 4-20% SDS-PAGE gel. Proteins were transferred to a PVDF membrane and blocked with 5% NFDM/TBST for 1 hour at room temperature. The primary antibody (HA751388) at 1/2,000 dilution was used in 5% NFDM/TBST at 4℃ overnight. Goat Anti-Rabbit IgG - HRP Secondary Antibody (HA1001) at 1/50,000 dilution was used for 1 hour at room temperature.
Immunocytochemistry analysis of HCT 116 cells labeling SIRT6 with Rabbit anti-SIRT6 antibody (HA751388) at 1/100 dilution. Cells were fixed in 4% paraformaldehyde for 15 minutes at room temperature, permeabilized with 0.1% Triton X-100 in PBS for 15 minutes at room temperature, then blocked with 1% BSA in 10% negative goat serum for 1 hour at room temperature. Cells were then incubated with Rabbit anti-SIRT6 antibody (HA751388) at 1/100 dilution in 1% BSA in PBST overnight at 4 ℃. Goat Anti-Rabbit IgG H&L (iFluor™ 488, HA1121) was used as the secondary antibody at 1/1,000 dilution. PBS instead of the primary antibody was used as the secondary antibody only control. Nuclear DNA was labelled in blue with DAPI. Beta tubulin (HA601187, red) was stained at 1/100 dilution overnight at +4℃. Goat Anti-Mouse IgG H&L (iFluor™ 594, HA1126) was used as the secondary antibody at 1/1,000 dilution.
Immunohistochemical analysis of paraffin-embedded human testis tissue with Rabbit anti-SIRT6 antibody (HA751388) at 1/1,000 dilution. The section was pre-treated using heat mediated antigen retrieval with Tris-EDTA buffer (pH 9.0) for 20 minutes. The tissues were blocked in 1% BSA for 20 minutes at room temperature, washed with ddH2O and PBS, and then probed with the primary antibody (HA751388) at 1/1,000 dilution for 1 hour at room temperature. The detection was performed using an HRP conjugated compact polymer system. DAB was used as the chromogen. Tissues were counterstained with hematoxylin and mounted with DPX.
quantity: 100μl
price: 649.00 USD
to the supplier
SIRT6
HUABIO
catalog: HA751389
domestic rabbit monoclonal (PSH10-99)
reactivity:
human
,
mouse
,
rat
application:
western blot
,
immunohistochemistry - paraffin section
Western blot analysis of SIRT6 on different lysates with Rabbit anti-SIRT6 antibody (HA751389) at 1/2,000 dilution. Lane 1: HeLa cell lysate (20 µg/Lane) Lane 2: HCT 116 cell lysate (20 µg/Lane) Lane 3: NIH/3T3 cell lysate (20 µg/Lane) Lane 4: MEF cell lysate (20 µg/Lane) Lane 5: C6 cell lysate (20 µg/Lane) Lane 6: PC-12 cell lysate (20 µg/Lane) Lane 7: COS-1 cell lysate (20 µg/Lane) Predicted band size: 39 kDa Observed band size: 36/42 kDa Exposure time: 46 seconds; ECL: K1801; 4-20% SDS-PAGE gel. Proteins were transferred to a PVDF membrane and blocked with 5% NFDM/TBST for 1 hour at room temperature. The primary antibody (HA751389) at 1/2,000 dilution was used in 5% NFDM/TBST at 4℃ overnight. Goat Anti-Rabbit IgG - HRP Secondary Antibody (HA1001) at 1/50,000 dilution was used for 1 hour at room temperature.
Immunohistochemical analysis of paraffin-embedded mouse testis tissue with Rabbit anti-SIRT6 antibody (HA751389) at 1/1,000 dilution. The section was pre-treated using heat mediated antigen retrieval with Tris-EDTA buffer (pH 9.0) for 20 minutes. The tissues were blocked in 1% BSA for 20 minutes at room temperature, washed with ddH2O and PBS, and then probed with the primary antibody (HA751389) at 1/1,000 dilution for 1 hour at room temperature. The detection was performed using an HRP conjugated compact polymer system. DAB was used as the chromogen. Tissues were counterstained with hematoxylin and mounted with DPX.
Western blot analysis of SIRT6 on different lysates with Rabbit anti-SIRT6 antibody (HA751389) at 1/2,000 dilution. Lane 1: HAP1-parental cell lysate Lane 2: HAP1-SIRT6 KO cell lysate Lysates/proteins at 10 µg/Lane. Predicted band size: 39 kDa Observed band size: 39 kDa Exposure time: 3 minutes; ECL: K1801; 4-20% SDS-PAGE gel. Proteins were transferred to a PVDF membrane and blocked with 5% NFDM/TBST for 1 hour at room temperature. The primary antibody (HA751389) at 1/2,000 dilution was used in 5% NFDM/TBST at 4℃ overnight. Goat Anti-Rabbit IgG - HRP Secondary Antibody (HA1001) at 1/50,000 dilution was used for 1 hour at room temperature.
quantity: 100μl
price: 649.00 USD
to the supplier
SIRT6
HUABIO
catalog: R1511-1
domestic rabbit polyclonal
reactivity:
human
,
rat
application:
western blot
,
flow cytometry
Western blot analysis of SIRT6 on different lysates with Rabbit anti-SIRT6 antibody (R1511-1) at 1/4,000 dilution. Lane 1: HeLa cell lysate Lane 2: HCT 116 cell lysate Lane 3: HepG2 cell lysate Lane 4: PC-12 cell lysate Lysates/proteins at 20 µg/Lane. Predicted band size: 39 kDa Observed band size: 45 kDa Exposure time: 10 seconds; ECL: K1801; 4-20% SDS-PAGE gel. Proteins were transferred to a PVDF membrane and blocked with 5% NFDM/TBST for 1 hour at room temperature. The primary antibody (R1511-1) at 1/4,000 dilution was used in 5% NFDM/TBST at 4℃ overnight. Goat Anti-Rabbit IgG - HRP Secondary Antibody (HA1001) at 1/50,000 dilution was used for 1 hour at room temperature.
Immunocytochemistry analysis of HCT 116 cells labeling SIRT6 with Rabbit anti-SIRT6 antibody (R1511-1) at 1/1,000 dilution. Cells were fixed in 4% paraformaldehyde for 15 minutes at room temperature, permeabilized with 0.1% Triton X-100 in PBS for 15 minutes at room temperature, then blocked with 1% BSA in 10% negative goat serum for 1 hour at room temperature. Cells were then incubated with Rabbit anti-SIRT6 antibody (R1511-1) at 1/1,000 dilution in 1% BSA in PBST overnight at 4 ℃. Goat Anti-Rabbit IgG H&L (iFluor™ 488, HA1121) was used as the secondary antibody at 1/1,000 dilution. PBS instead of the primary antibody was used as the secondary antibody only control. Nuclear DNA was labelled in blue with DAPI. Beta tubulin (HA601187, red) was stained at 1/100 dilution overnight at +4℃. Goat Anti-Mouse IgG H&L (iFluor™ 594, HA1126) was used as the secondary antibody at 1/1,000 dilution.
Flow cytometric analysis of HCT 116 cells labeling SIRT6. Cells were fixed and permeabilized. Then stained with the primary antibody (R1511-1, 1/1,000) (red) compared with Rabbit IgG Isotype Control (green). After incubation of the primary antibody at +4℃ for an hour, the cells were stained with a iFluor™ 488 conjugate-Goat anti-Rabbit IgG Secondary antibody (HA1121) at 1/1,000 dilution for 30 minutes at +4℃. Unlabelled sample was used as a control (cells without incubation with primary antibody; black).
quantity: 100μl
price: 330 USD
to the supplier