Sign in
Sign up
home
>
HUABIO
> HUABIO PDCD1 antibody
PD1 Blocking
HUABIO
catalog: EM1701-17
mouse monoclonal (3A11)
reactivity:
human
application:
ELISA
,
flow cytometry
Flow cytometric analysis of Jurkat cells with PD1 blocking antibody at 1/100 dilution (red) compared with an unlabelled control (cells without incubation with primary antibody; black).
Blockade of Receptor-ligand Interaction at the cellular level using PD1 transfected CHO cells. In a functional ELISA, 50ng of PD1 antibody will block 52% of the binding of PD-L1-Fc to PD1 transfected CHO cells.
quantity: 100μl
price: 360.00 USD
to the supplier
PD1
HUABIO
catalog: EM1707-60
mouse monoclonal (1F2)
reactivity:
human
application:
western blot
,
flow cytometry
,
immunohistochemistry - paraffin section
Western blot analysis of PD1 on PD1 transfected 293FT cell lysate using anti-PD1 antibody at 1/1,000 dilution.
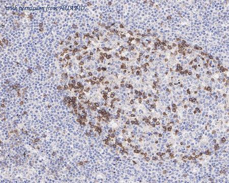
Immunohistochemical analysis of paraffin-embedded human tonsils tissue with Mouse anti-PD1 antibody (EM1707-60) at 1/200 dilution. The section was pre-treated using heat mediated antigen retrieval with Tris-EDTA buffer (pH 9.0) for 20 minutes. The tissues were blocked in 1% BSA for 20 minutes at room temperature, washed with ddH2O and PBS, and then probed with the primary antibody (EM1707-60) at 1/200 dilution for 1 hour at room temperature. The detection was performed using an HRP conjugated compact polymer system. DAB was used as the chromogen. Tissues were counterstained with hematoxylin and mounted with DPX.
Flow cytometric analysis of HeLa cells labeling PD1. Cells were fixed and permeabilized. Then stained with the primary antibody (EM1707-60, 1/100) (red). After incubation of the primary antibody at +4℃ for an hour, the cells were stained with a Alexa Flour® 488 conjugate-Goat anti-Mouse IgG Secondary antibody at 1/1,000 dilution for 30 minutes at +4℃. Unlabelled sample was used as a control (cells without incubation with primary antibody; black).
quantity: 100μl
price: 360.00 USD
to the supplier
PD1
HUABIO
catalog: ET1606-41-50UL
domestic rabbit monoclonal (SJ01-91)
reactivity:
human
application:
western blot
,
immunohistochemistry - paraffin section
Western blot analysis of over-expressed PD1(whole extracellular domain) on 293T cell lysates. Proteins were transferred to a PVDF membrane and blocked with 5% BSA in PBS for 1 hour at room temperature. The primary antibody (ET1606-41, 1/500) was used in 5% BSA at room temperature for 2 hours. Goat Anti-Rabbit IgG - HRP Secondary Antibody (HA1001) at 1:5,000 dilution was used for 1 hour at room temperature.
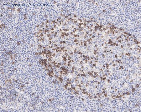
Immunohistochemical analysis of paraffin-embedded human lymph nodes tissue with Rabbit anti-PD1 antibody (ET1606-41) at 1/50 dilution. The section was pre-treated using heat mediated antigen retrieval with Tris-EDTA buffer (pH 9.0) for 20 minutes. The tissues were blocked in 1% BSA for 20 minutes at room temperature, washed with ddH2O and PBS, and then probed with the primary antibody (ET1606-41) at 1/50 dilution for 1 hour at room temperature. The detection was performed using an HRP conjugated compact polymer system. DAB was used as the chromogen. Tissues were counterstained with hematoxylin and mounted with DPX.
quantity: 50μl
price: 205.00 USD
to the supplier
Human PD1
HUABIO
catalog: HA723521
domestic rabbit monoclonal (SJ01-91)
reactivity:
human
application:
ELISA
Sandwich ELISA analysis of Human PD1 matched pair antibodies Capture: HA723521, Human PD1 Rabbit mAb [SJ01-91] Detector: HA723522, Human PD1 Rabbit mAb [PSH13-38] Elisa assay was performed by coating wells of a 96-well plate with 50 µl per well of capture antibody (HA723521) diluted in carbonate/bicarbonate buffer, at a concentration of 2 µg/mL overnight at 4℃. Wells of the plate were washed, blocked with 150 µl 0.05% tween-20 1% BSA blocking buffer, and incubated with serial diluted Recombinant Human PD1 protein (HA210922) starting from 2,000 pg/ml to 0 pg/ml and detect antibody (HA723522, Biotin, 0.2 µg/ml) for 1 hour at 30℃ with shaking. Then the plate was washed and incubated with 50 µl per well of SA-HRP for 0.5 hour at 30℃ with shaking. Detection was performed using an Ultra TMB Substrate for 10 minutes at room temperature in the dark. The reaction was stopped with sulfuric acid and absorbances were read on a spectrophotometer at 450 nm.
Sandwich ELISA analysis of Human PD1 matched pair antibodies Capture: HA723521, Human PD1 Rabbit mAb [SJ01-91] Detector: HA723524, Human PD1 Rabbit mAb [PSH13-39] Elisa assay was performed by coating wells of a 96-well plate with 50 µl per well of capture antibody (HA723521) diluted in carbonate/bicarbonate buffer, at a concentration of 2 µg/mL overnight at 4℃. Wells of the plate were washed, blocked with 150 µl 0.05% tween-20 1% BSA blocking buffer, and incubated with serial diluted Recombinant Human PD1 protein (HA210922) starting from 2,000 pg/ml to 0 pg/ml and detect antibody (HA723524, Biotin, 0.2 µg/ml) for 1 hour at 30℃ with shaking. Then the plate was washed and incubated with 50 µl per well of SA-HRP for 0.5 hour at 30℃ with shaking. Detection was performed using an Ultra TMB Substrate for 10 minutes at room temperature in the dark. The reaction was stopped with sulfuric acid and absorbances were read on a spectrophotometer at 450 nm.
Interpolated concentrations of native PD1 in MOLT-4 and HeLa extract samples based on a 1,000 µg/ml extract load. Capture: HA723521, Human PD1 Rabbit mAb [SJ01-91] Detector: HA723522, Human PD1 Rabbit mAb [PSH13-38] The concentrations of PD1 were measured in triplicates, interpolated from the PD1 standard curve and corrected for sample dilution. Undiluted samples are MOLT-4 extract 100% and HeLa extract 100%. The interpolated dilution factor corrected values are plotted (mean +/- SD, n=3). The mean PD1 concentration was determined to be 148.6 pg/ml in MOLT-4 extract and undetectable in HeLa extract.
quantity: 100μl
price: 649.00 USD
to the supplier
Human PD1
HUABIO
catalog: HA723522
domestic rabbit monoclonal (PSH13-38)
reactivity:
human
application:
ELISA
Sandwich ELISA analysis of Human PD1 matched pair antibodies Capture: HA723521, Human PD1 Rabbit mAb [SJ01-91] Detector: HA723522, Human PD1 Rabbit mAb [PSH13-38] Elisa assay was performed by coating wells of a 96-well plate with 50 µl per well of capture antibody (HA723521) diluted in carbonate/bicarbonate buffer, at a concentration of 2 µg/mL overnight at 4℃. Wells of the plate were washed, blocked with 150 µl 0.05% tween-20 1% BSA blocking buffer, and incubated with serial diluted Recombinant Human PD1 protein (HA210922) starting from 2,000 pg/ml to 0 pg/ml and detect antibody (HA723522, Biotin, 0.2 µg/ml) for 1 hour at 30℃ with shaking. Then the plate was washed and incubated with 50 µl per well of SA-HRP for 0.5 hour at 30℃ with shaking. Detection was performed using an Ultra TMB Substrate for 10 minutes at room temperature in the dark. The reaction was stopped with sulfuric acid and absorbances were read on a spectrophotometer at 450 nm.
Interpolated concentrations of native PD1 in MOLT-4 and HeLa extract samples based on a 1,000 µg/ml extract load. Capture: HA723521, Human PD1 Rabbit mAb [SJ01-91] Detector: HA723522, Human PD1 Rabbit mAb [PSH13-38] The concentrations of PD1 were measured in triplicates, interpolated from the PD1 standard curve and corrected for sample dilution. Undiluted samples are MOLT-4 extract 100% and HeLa extract 100%. The interpolated dilution factor corrected values are plotted (mean +/- SD, n=3). The mean PD1 concentration was determined to be 148.6 pg/ml in MOLT-4 extract and undetectable in HeLa extract.
Interpolated concentrations of native PD1 in human urine samples. Capture: HA723521, Human PD1 Rabbit mAb [SJ01-91] Detector: HA723522, Human PD1 Rabbit mAb [PSH13-38] The concentrations of PD1 were measured in duplicates, interpolated from the PD1 standard curve and corrected for sample dilution. Undiluted samples are human urine 100%. The interpolated dilution factor corrected values are plotted (mean +/- SD, n=2). The mean PD1 concentration was determined to be 243.4 pg/ml in human urine.
quantity: 100μl
price: 649.00 USD
to the supplier
Human PD1
HUABIO
catalog: HA723523B
domestic rabbit monoclonal (PSH13-38)
reactivity:
human
conjugate: biotin
application:
ELISA
Sandwich ELISA analysis of Human PD1 matched pair antibodies Capture: HA723521, Human PD1 Rabbit mAb [SJ01-91] Detector: HA723522, Human PD1 Rabbit mAb [PSH13-38] Elisa assay was performed by coating wells of a 96-well plate with 50 µl per well of capture antibody (HA723521) diluted in carbonate/bicarbonate buffer, at a concentration of 2 µg/mL overnight at 4℃. Wells of the plate were washed, blocked with 150 µl 0.05% tween-20 1% BSA blocking buffer, and incubated with serial diluted Recombinant Human PD1 protein (HA210922) starting from 2,000 pg/ml to 0 pg/ml and detect antibody (HA723522, Biotin, 0.2 µg/ml) for 1 hour at 30℃ with shaking. Then the plate was washed and incubated with 50 µl per well of SA-HRP for 0.5 hour at 30℃ with shaking. Detection was performed using an Ultra TMB Substrate for 10 minutes at room temperature in the dark. The reaction was stopped with sulfuric acid and absorbances were read on a spectrophotometer at 450 nm.
Interpolated concentrations of native PD1 in MOLT-4 and HeLa extract samples based on a 1,000 µg/ml extract load. Capture: HA723521, Human PD1 Rabbit mAb [SJ01-91] Detector: HA723522, Human PD1 Rabbit mAb [PSH13-38] The concentrations of PD1 were measured in triplicates, interpolated from the PD1 standard curve and corrected for sample dilution. Undiluted samples are MOLT-4 extract 100% and HeLa extract 100%. The interpolated dilution factor corrected values are plotted (mean +/- SD, n=3). The mean PD1 concentration was determined to be 148.6 pg/ml in MOLT-4 extract and undetectable in HeLa extract.
Interpolated concentrations of native PD1 in human urine samples. Capture: HA723521, Human PD1 Rabbit mAb [SJ01-91] Detector: HA723522, Human PD1 Rabbit mAb [PSH13-38] The concentrations of PD1 were measured in duplicates, interpolated from the PD1 standard curve and corrected for sample dilution. Undiluted samples are human urine 100%. The interpolated dilution factor corrected values are plotted (mean +/- SD, n=2). The mean PD1 concentration was determined to be 243.4 pg/ml in human urine.
quantity: 100μl
price: 409.00 USD
to the supplier
Human PD1
HUABIO
catalog: HA723524
domestic rabbit monoclonal (PSH13-39)
reactivity:
human
application:
ELISA
Sandwich ELISA analysis of Human PD1 matched pair antibodies Capture: HA723521, Human PD1 Rabbit mAb [SJ01-91] Detector: HA723524, Human PD1 Rabbit mAb [PSH13-39] Elisa assay was performed by coating wells of a 96-well plate with 50 µl per well of capture antibody (HA723521) diluted in carbonate/bicarbonate buffer, at a concentration of 2 µg/mL overnight at 4℃. Wells of the plate were washed, blocked with 150 µl 0.05% tween-20 1% BSA blocking buffer, and incubated with serial diluted Recombinant Human PD1 protein (HA210922) starting from 2,000 pg/ml to 0 pg/ml and detect antibody (HA723524, Biotin, 0.2 µg/ml) for 1 hour at 30℃ with shaking. Then the plate was washed and incubated with 50 µl per well of SA-HRP for 0.5 hour at 30℃ with shaking. Detection was performed using an Ultra TMB Substrate for 10 minutes at room temperature in the dark. The reaction was stopped with sulfuric acid and absorbances were read on a spectrophotometer at 450 nm.
Interpolated concentrations of native PD1 in MOLT-4 and HeLa extract samples based on a 1,000 µg/ml extract load. Capture: HA723521, Human PD1 Rabbit mAb [SJ01-91] Detector: HA723524, Human PD1 Rabbit mAb [PSH13-39] The concentrations of PD1 were measured in triplicates, interpolated from the PD-1 standard curve and corrected for sample dilution. Undiluted samples are MOLT-4 extract 100% and HeLa extract 100%. The interpolated dilution factor corrected values are plotted (mean +/- SD, n=3). The mean PD1 concentration was determined to be 96.2 pg/ml in MOLT-4 extract and undetectable in HeLa extract.
Interpolated concentrations of native PD1 in human urine samples. Capture: HA723521, Human PD1 Rabbit mAb [SJ01-91] Detector: HA723524, Human PD1 Rabbit mAb [PSH13-39] The concentrations of PD1 were measured in duplicates, interpolated from the PD1 standard curve and corrected for sample dilution. Undiluted samples are human urine 100%. The interpolated dilution factor corrected values are plotted (mean +/- SD, n=2). The mean PD1 concentration was determined to be 187.8 pg/ml in human urine.
quantity: 100μl
price: 649.00 USD
to the supplier
Human PD1
HUABIO
catalog: HA723525B
domestic rabbit monoclonal (PSH13-39)
reactivity:
human
conjugate: biotin
application:
ELISA
Sandwich ELISA analysis of Human PD1 matched pair antibodies Capture: HA723521, Human PD1 Rabbit mAb [SJ01-91] Detector: HA723524, Human PD1 Rabbit mAb [PSH13-39] Elisa assay was performed by coating wells of a 96-well plate with 50 µl per well of capture antibody (HA723521) diluted in carbonate/bicarbonate buffer, at a concentration of 2 µg/mL overnight at 4℃. Wells of the plate were washed, blocked with 150 µl 0.05% tween-20 1% BSA blocking buffer, and incubated with serial diluted Recombinant Human PD1 protein (HA210922) starting from 2,000 pg/ml to 0 pg/ml and detect antibody (HA723524, Biotin, 0.2 µg/ml) for 1 hour at 30℃ with shaking. Then the plate was washed and incubated with 50 µl per well of SA-HRP for 0.5 hour at 30℃ with shaking. Detection was performed using an Ultra TMB Substrate for 10 minutes at room temperature in the dark. The reaction was stopped with sulfuric acid and absorbances were read on a spectrophotometer at 450 nm.
Interpolated concentrations of native PD1 in MOLT-4 and HeLa extract samples based on a 1,000 µg/ml extract load. Capture: HA723521, Human PD1 Rabbit mAb [SJ01-91] Detector: HA723524, Human PD1 Rabbit mAb [PSH13-39] The concentrations of PD1 were measured in triplicates, interpolated from the PD-1 standard curve and corrected for sample dilution. Undiluted samples are MOLT-4 extract 100% and HeLa extract 100%. The interpolated dilution factor corrected values are plotted (mean +/- SD, n=3). The mean PD1 concentration was determined to be 96.2 pg/ml in MOLT-4 extract and undetectable in HeLa extract.
Interpolated concentrations of native PD1 in human urine samples. Capture: HA723521, Human PD1 Rabbit mAb [SJ01-91] Detector: HA723524, Human PD1 Rabbit mAb [PSH13-39] The concentrations of PD1 were measured in duplicates, interpolated from the PD1 standard curve and corrected for sample dilution. Undiluted samples are human urine 100%. The interpolated dilution factor corrected values are plotted (mean +/- SD, n=2). The mean PD1 concentration was determined to be 187.8 pg/ml in human urine.
quantity: 100μl
price: 409.00 USD
to the supplier
PD1
HUABIO
catalog: HA750103
domestic rabbit monoclonal (SJ01-91)
reactivity:
human
application:
western blot
,
immunohistochemistry - paraffin section
Western blot analysis of over-expressed PD1(whole extracellular domain) on 293T cell lysates. Proteins were transferred to a PVDF membrane and blocked with 5% BSA in PBS for 1 hour at room temperature. The primary antibody (HA750103, 1/500) was used in 5% BSA at room temperature for 2 hours. Goat Anti-Rabbit IgG - HRP Secondary Antibody (HA1001) at 1:5,000 dilution was used for 1 hour at room temperature.
Immunohistochemical analysis of paraffin-embedded human lymph nodes tissue with Rabbit anti-PD1 antibody (HA750103) at 1/50 dilution. The section was pre-treated using heat mediated antigen retrieval with Tris-EDTA buffer (pH 9.0) for 20 minutes. The tissues were blocked in 1% BSA for 20 minutes at room temperature, washed with ddH2O and PBS, and then probed with the primary antibody (HA750103) at 1/50 dilution for 1 hour at room temperature. The detection was performed using an HRP conjugated compact polymer system. DAB was used as the chromogen. Tissues were counterstained with hematoxylin and mounted with DPX.
quantity: 100μl
price: 649.00 USD
to the supplier