Sign in
Sign up
home
>
HUABIO
> HUABIO PAI-1 antibody
PAI1
HUABIO
catalog: HA500124
domestic rabbit polyclonal
reactivity:
human
,
mouse
,
rat
application:
western blot
,
immunohistochemistry - paraffin section
Western blot analysis of PAI1 on different lysates. Proteins were transferred to a PVDF membrane and blocked with 5% BSA in PBS for 1 hour at room temperature. The primary antibody (HA500124, 1/1,000) was used in 5% BSA at room temperature for 2 hours. Goat Anti-Rabbit IgG - HRP Secondary Antibody (HA1001) at 1:200,000 dilution was used for 1 hour at room temperature. Positive control: Lane 1: Rat brain tissue lysate Lane 2: Rat cerebellum tissue lysate
ICC staining of PAI1 in MG-63 cells (green). Formalin fixed cells were permeabilized with 0.1% Triton X-100 in TBS for 10 minutes at room temperature and blocked with 1% Blocker BSA for 15 minutes at room temperature. Cells were probed with the primary antibody (HA500124, 1/50) for 1 hour at room temperature, washed with PBS. Alexa Fluor®488 Goat anti-Rabbit IgG was used as the secondary antibody at 1/1,000 dilution. The nuclear counter stain is DAPI (blue).
ICC staining of PAI1 in SiHa cells (green). Formalin fixed cells were permeabilized with 0.1% Triton X-100 in TBS for 10 minutes at room temperature and blocked with 1% Blocker BSA for 15 minutes at room temperature. Cells were probed with the primary antibody (HA500124, 1/50) for 1 hour at room temperature, washed with PBS. Alexa Fluor®488 Goat anti-Rabbit IgG was used as the secondary antibody at 1/1,000 dilution. The nuclear counter stain is DAPI (blue).
quantity: 100μl
price: 330 USD
to the supplier
PAI1
HUABIO
catalog: HA601152
mouse monoclonal (A9G8)
reactivity:
human
,
mouse
,
rat
application:
western blot
,
flow cytometry
,
immunohistochemistry - paraffin section
Western blot analysis of PAI1 on different lysates with Mouse anti-PAI1 antibody (HA601152) at 1/1,000 dilution. Lane 1: no heat NIH/3T3 cell lysate (20 µg/Lane) Lane 2: no heat NIH/3T3 serum starved for 4 hours then treated with 10ng/mL TGF-β for 21 hours add 300ng/mL BFA for 18 hours cell lysate (20 µg/Lane) Lane 3: NIH/3T3 cell lysate (20 µg/Lane) Lane 4: NIH/3T3 serum starved for 4 hours then treated with 10ng/mL TGF-β for 21 hours add 300ng/mL BFA for 18 hours cell lysate (20 µg/Lane) Lane 5: HUVEC cell lysate (20 µg/Lane) Lane 6: Mouse placenta tissue lysate (40 µg/Lane) Lane 7: Rat placenta tissue lysate (40 µg/Lane) Notice: no heat means the lysate is not boiled. Predicted band size: 45 kDa Observed band size: 45/100 kDa Exposure time: 10 seconds; 4-20% SDS-PAGE gel. Proteins were transferred to a PVDF membrane and blocked with 5% NFDM/TBST for 1 hour at room temperature. The primary antibody (HA601152) at 1/1,000 dilution was used in 5% NFDM/TBST at room temperature for 2 hours. Goat Anti-Mouse IgG - HRP Secondary Antibody (NBI02H) at 1:100,000 dilution was used for 1 hour at room temperature.
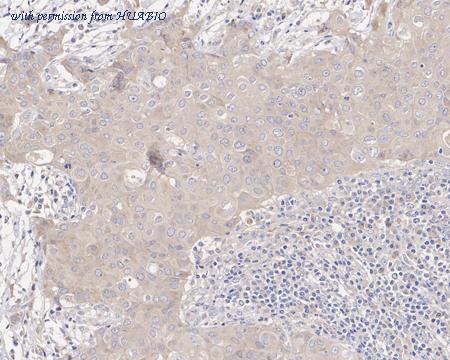
Immunohistochemical analysis of paraffin-embedded human breast carcinoma tissue with Mouse anti-PAI1 antibody (HA601152) at 1/5,000 dilution. The section was pre-treated using heat mediated antigen retrieval with Tris-EDTA buffer (pH 9.0) for 20 minutes. The tissues were blocked in 1% BSA for 20 minutes at room temperature, washed with ddH2O and PBS, and then probed with the primary antibody (HA601152) at 1/5,000 dilution for 1 hour at room temperature. The detection was performed using an HRP conjugated compact polymer system. DAB was used as the chromogen. Tissues were counterstained with hematoxylin and mounted with DPX.
Immunohistochemical analysis of paraffin-embedded human placenta tissue with Mouse anti-PAI1 antibody (HA601152) at 1/5,000 dilution. The section was pre-treated using heat mediated antigen retrieval with Tris-EDTA buffer (pH 9.0) for 20 minutes. The tissues were blocked in 1% BSA for 20 minutes at room temperature, washed with ddH2O and PBS, and then probed with the primary antibody (HA601152) at 1/5,000 dilution for 1 hour at room temperature. The detection was performed using an HRP conjugated compact polymer system. DAB was used as the chromogen. Tissues were counterstained with hematoxylin and mounted with DPX.
quantity: 100μl
price: 360.00 USD
to the supplier
Human PAI1
HUABIO
catalog: HA723435
domestic rabbit monoclonal (PSH12-18)
reactivity:
human
application:
ELISA
Sandwich ELISA analysis of Human PAI1 matched pair antibodies Capture: HA723435, Human PAI1 Rabbit mAb [PSH12-18] Detector: HA723436, Human PAI1 Rabbit mAb [PSH12-19] Elisa assay was performed by coating wells of a 96-well plate with 100 µl per well of capture antibody (HA723435) diluted in carbonate/bicarbonate buffer, at a concentration of 5 µg/mL overnight at 4℃. Wells of the plate were washed, blocked with 150 µl 0.05% tween-20 1% BSA blocking buffer, and incubated with serial diluted Recombinant Human PAI1 protein (HA210982) starting from 10,000 pg/ml to 0 pg/ml and detect antibody (HA723436, Biotin, 0.2 µg/ml) for 1 hour at 30℃ with shaking. Then the plate was washed and incubated with 100 µl per well of SA-HRP for 0.5 hour at 30℃ with shaking. Detection was performed using an Ultra TMB Substrate for 10 minutes at room temperature in the dark. The reaction was stopped with sulfuric acid and absorbances were read on a spectrophotometer at 450 nm.
Interpolated concentrations of native PAI1 in human cell culture supernatant samples. Capture: HA723435, Human PAI1 Rabbit mAb [PSH12-18] Detector: HA723436, Human PAI1 Rabbit mAb [PSH12-19] Interpolated concentration of native PAI1 was measured in duplicate at different sample concentrations. The interpolated dilution factor corrected values were plotted (mean +/- SD, n=2). The mean PAI1 concentration was determined to be 1276000pg/mL in HUVEC sups, 158000 pg/ml in HepG2 cell culture supernatant.
Interpolated concentrations of spiked PAI1 in cell culture media samples. Capture: HA723435, Human PAI1 Rabbit mAb [PSH12-18] Detector: HA723436, Human PAI1 Rabbit mAb [PSH12-19] The concentrations of PAI1 were measured in duplicates, interpolated from the PAI1 standard curves and corrected for sample dilution. Undiluted samples are as follows: cell culture media 50%. The interpolated dilution factor corrected values are plotted (mean +/- SD, n=2).
quantity: 100μl
price: 649.00 USD
to the supplier
Human PAI1
HUABIO
catalog: HA723436
domestic rabbit monoclonal (PSH12-19)
reactivity:
human
application:
ELISA
Sandwich ELISA analysis of Human PAI1 matched pair antibodies Capture: HA723435, Human PAI1 Rabbit mAb [PSH12-18] Detector: HA723436, Human PAI1 Rabbit mAb [PSH12-19] Elisa assay was performed by coating wells of a 96-well plate with 100 µl per well of capture antibody (HA723435) diluted in carbonate/bicarbonate buffer, at a concentration of 5 µg/mL overnight at 4℃. Wells of the plate were washed, blocked with 150 µl 0.05% tween-20 1% BSA blocking buffer, and incubated with serial diluted Recombinant Human PAI1 protein (HA210982) starting from 10,000 pg/ml to 0 pg/ml and detect antibody (HA723436, Biotin, 0.2 µg/ml) for 1 hour at 30℃ with shaking. Then the plate was washed and incubated with 100 µl per well of SA-HRP for 0.5 hour at 30℃ with shaking. Detection was performed using an Ultra TMB Substrate for 10 minutes at room temperature in the dark. The reaction was stopped with sulfuric acid and absorbances were read on a spectrophotometer at 450 nm.
Interpolated concentrations of native PAI1 in human cell culture supernatant samples. Capture: HA723435, Human PAI1 Rabbit mAb [PSH12-18] Detector: HA723436, Human PAI1 Rabbit mAb [PSH12-19] Interpolated concentration of native PAI1 was measured in duplicate at different sample concentrations. The interpolated dilution factor corrected values were plotted (mean +/- SD, n=2). The mean PAI1 concentration was determined to be 1276000pg/mL in HUVEC sups, 158000 pg/ml in HepG2 cell culture supernatant.
Interpolated concentrations of spiked PAI1 in cell culture media samples. Capture: HA723435, Human PAI1 Rabbit mAb [PSH12-18] Detector: HA723436, Human PAI1 Rabbit mAb [PSH12-19] The concentrations of PAI1 were measured in duplicates, interpolated from the PAI1 standard curves and corrected for sample dilution. Undiluted samples are as follows: cell culture media 50%. The interpolated dilution factor corrected values are plotted (mean +/- SD, n=2).
quantity: 100μl
price: 649.00 USD
to the supplier
Human PAI1
HUABIO
catalog: HA723437B
domestic rabbit monoclonal (PSH12-19)
reactivity:
human
conjugate: biotin
application:
ELISA
Sandwich ELISA analysis of Human PAI1 matched pair antibodies Capture: HA723435, Human PAI1 Rabbit mAb [PSH12-18] Detector: HA723436, Human PAI1 Rabbit mAb [PSH12-19] Elisa assay was performed by coating wells of a 96-well plate with 100 µl per well of capture antibody (HA723435) diluted in carbonate/bicarbonate buffer, at a concentration of 5 µg/mL overnight at 4℃. Wells of the plate were washed, blocked with 150 µl 0.05% tween-20 1% BSA blocking buffer, and incubated with serial diluted Recombinant Human PAI1 protein (HA210982) starting from 10,000 pg/ml to 0 pg/ml and detect antibody (HA723436, Biotin, 0.2 µg/ml) for 1 hour at 30℃ with shaking. Then the plate was washed and incubated with 100 µl per well of SA-HRP for 0.5 hour at 30℃ with shaking. Detection was performed using an Ultra TMB Substrate for 10 minutes at room temperature in the dark. The reaction was stopped with sulfuric acid and absorbances were read on a spectrophotometer at 450 nm.
Interpolated concentrations of native PAI1 in human cell culture supernatant samples. Capture: HA723435, Human PAI1 Rabbit mAb [PSH12-18] Detector: HA723436, Human PAI1 Rabbit mAb [PSH12-19] Interpolated concentration of native PAI1 was measured in duplicate at different sample concentrations. The interpolated dilution factor corrected values were plotted (mean +/- SD, n=2). The mean PAI1 concentration was determined to be 1276000pg/mL in HUVEC sups, 158000 pg/ml in HepG2 cell culture supernatant.
Interpolated concentrations of spiked PAI1 in cell culture media samples. Capture: HA723435, Human PAI1 Rabbit mAb [PSH12-18] Detector: HA723436, Human PAI1 Rabbit mAb [PSH12-19] The concentrations of PAI1 were measured in duplicates, interpolated from the PAI1 standard curves and corrected for sample dilution. Undiluted samples are as follows: cell culture media 50%. The interpolated dilution factor corrected values are plotted (mean +/- SD, n=2).
quantity: 100μl
price: 409.00 USD
to the supplier
Human PAI1
HUABIO
catalog: HA723438
domestic rabbit monoclonal (PSH12-20)
reactivity:
human
application:
ELISA
Sandwich ELISA analysis of Human PAI1 matched pair antibodies Capture: HA723438, Human PAI1 Rabbit mAb [PSH12-20] Detector: HA723435, Human PAI1 Rabbit mAb [PSH12-18] Elisa assay was performed by coating wells of a 96-well plate with 100 µl per well of capture antibody (HA723438) diluted in carbonate/bicarbonate buffer, at a concentration of 5 µg/mL overnight at 4℃. Wells of the plate were washed, blocked with 150 µl 0.05% tween-20 1% BSA blocking buffer, and incubated with serial diluted Recombinant Human PAI1 protein (HA210982) starting from 10,000 pg/ml to 0 pg/ml and detect antibody (HA723435, Biotin, 0.2 µg/ml) for 1 hour at 30℃ with shaking. Then the plate was washed and incubated with 100 µl per well of SA-HRP for 0.5 hour at 30℃ with shaking. Detection was performed using an Ultra TMB Substrate for 10 minutes at room temperature in the dark. The reaction was stopped with sulfuric acid and absorbances were read on a spectrophotometer at 450 nm.
Interpolated concentrations of native PAI1 in human cell culture supernatant samples. Capture: HA723438, Human PAI1 Rabbit mAb [PSH12-20] Detector: HA723435, Human PAI1 Rabbit mAb [PSH12-18] Interpolated concentration of native PAI1 was measured in duplicate at different sample concentrations. The interpolated dilution factor corrected values were plotted (mean +/- SD, n=2). The mean PAI1 concentration was determined to be 371000 pg/mL in HUVEC sups, 51000 pg/ml in HepG2 cell culture supernatant.
Interpolated concentrations of spiked PAI1 in cell culture media samples. Capture: HA723438, Human PAI1 Rabbit mAb [PSH12-20] Detector: HA723435, Human PAI1 Rabbit mAb [PSH12-18] The concentrations of PAI1 were measured in duplicates, interpolated from the PAI1 standard curves and corrected for sample dilution. Undiluted samples are as follows: cell culture media 50%. The interpolated dilution factor corrected values are plotted (mean +/- SD, n=2).
quantity: 100μl
price: 649.00 USD
to the supplier
Human PAI1
HUABIO
catalog: HA723439B
domestic rabbit monoclonal (PSH12-18)
reactivity:
human
conjugate: biotin
application:
ELISA
Sandwich ELISA analysis of Human PAI1 matched pair antibodies Capture: HA723438, Human PAI1 Rabbit mAb [PSH12-20] Detector: HA723435, Human PAI1 Rabbit mAb [PSH12-18] Elisa assay was performed by coating wells of a 96-well plate with 100 µl per well of capture antibody (HA723438) diluted in carbonate/bicarbonate buffer, at a concentration of 5 µg/mL overnight at 4℃. Wells of the plate were washed, blocked with 150 µl 0.05% tween-20 1% BSA blocking buffer, and incubated with serial diluted Recombinant Human PAI1 protein (HA210982) starting from 10,000 pg/ml to 0 pg/ml and detect antibody (HA723435, Biotin, 0.2 µg/ml) for 1 hour at 30℃ with shaking. Then the plate was washed and incubated with 100 µl per well of SA-HRP for 0.5 hour at 30℃ with shaking. Detection was performed using an Ultra TMB Substrate for 10 minutes at room temperature in the dark. The reaction was stopped with sulfuric acid and absorbances were read on a spectrophotometer at 450 nm.
Interpolated concentrations of native PAI1 in human cell culture supernatant samples. Capture: HA723438, Human PAI1 Rabbit mAb [PSH12-20] Detector: HA723435, Human PAI1 Rabbit mAb [PSH12-18] Interpolated concentration of native PAI1 was measured in duplicate at different sample concentrations. The interpolated dilution factor corrected values were plotted (mean +/- SD, n=2). The mean PAI1 concentration was determined to be 371000 pg/mL in HUVEC sups, 51000 pg/ml in HepG2 cell culture supernatant.
Interpolated concentrations of spiked PAI1 in cell culture media samples. Capture: HA723438, Human PAI1 Rabbit mAb [PSH12-20] Detector: HA723435, Human PAI1 Rabbit mAb [PSH12-18] The concentrations of PAI1 were measured in duplicates, interpolated from the PAI1 standard curves and corrected for sample dilution. Undiluted samples are as follows: cell culture media 50%. The interpolated dilution factor corrected values are plotted (mean +/- SD, n=2).
quantity: 100μl
price: 409.00 USD
to the supplier
Human PAI1
HUABIO
catalog: HA723439H
domestic rabbit monoclonal (PSH12-18)
reactivity:
human
conjugate: HRP
application:
ELISA
Sandwich ELISA analysis of Human PAI1 matched pair antibodies Capture: HA723438, Human PAI1 Rabbit mAb [PSH12-20] Detector: HA723435, Human PAI1 Rabbit mAb [PSH12-18] Elisa assay was performed by coating wells of a 96-well plate with 100 µl per well of capture antibody (HA723438) diluted in carbonate/bicarbonate buffer, at a concentration of 5 µg/mL overnight at 4℃. Wells of the plate were washed, blocked with 150 µl 0.05% tween-20 1% BSA blocking buffer, and incubated with serial diluted Recombinant Human PAI1 protein (HA210982) starting from 15,000 pg/ml to 0 pg/ml and detect antibody (HA723435, HRP, 0.2 µg/ml) for 1 hour at 30℃ with shaking. Detection was performed using an Ultra TMB Substrate for 10 minutes at room temperature in the dark. The reaction was stopped with sulfuric acid and absorbances were read on a spectrophotometer at 450 nm.
quantity: 100μl
price: 409.00 USD
to the supplier