mouse monoclonal (A4-G2-A3)
reactivity: human, mouse, rat
application: western blot, flow cytometry, immunohistochemistry - paraffin section
reactivity: human, mouse, rat
application: western blot, flow cytometry, immunohistochemistry - paraffin section

Western blot analysis of Alpha 1 Acid Glycoprotein on different lysates with Mouse anti-Alpha 1 Acid Glycoprotein antibody (EM1510-42) at 1/1,000 dilution. Lane 1: HepG2 cell lysate (20 µg/Lane) Lane 2: HeLa cell lysate (20 µg/Lane) Lane 3: THP-1 cell lysate (20 µg/Lane) Lane 4: HCT 116 cell lysate (20 µg/Lane) Lane 5: 293T cell lysate (20 µg/Lane) Lane 6: NIH:OVCAR-3 cell lysate (20 µg/Lane) Lane 7: Human liver tissue lysate (40 µg/Lane) Predicted band size: 24 kDa Observed band size: 37/45 kDa Exposure time: 1 minute 59 seconds; 4-20% SDS-PAGE gel. Proteins were transferred to a PVDF membrane and blocked with 5% NFDM/TBST for 1 hour at room temperature. The primary antibody (EM1510-42) at 1/1,000 dilution was used in 5% NFDM/TBST at 4℃ overnight. Goat Anti-Mouse IgG - HRP Secondary Antibody (HA1006) at 1/50,000 dilution was used for 1 hour at room temperature.

Immunohistochemical analysis of paraffin-embedded rat liver tissue using anti-Alpha 1 Acid Glycoprotein antibody. Counter stained with hematoxylin.

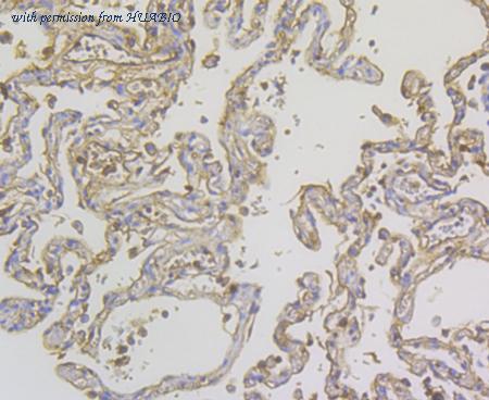
Immunohistochemical analysis of paraffin-embedded human lung cancer tissue using anti-Alpha 1 Acid Glycoprotein antibody. Counter stained with hematoxylin.
quantity: 100μl
price: 360.00 USD
to the supplier
domestic rabbit polyclonal
reactivity: human, mouse, rat
application: western blot, flow cytometry, immunohistochemistry - paraffin section
reactivity: human, mouse, rat
application: western blot, flow cytometry, immunohistochemistry - paraffin section

Western blot analysis of Alpha-1 Acid Glycoprotein on human liver tissue lysates using anti-Alpha-1 acid glycoprotein antibody at 1/500 dilution.

Immunohistochemical analysis of paraffin-embedded human liver tissue using anti-Alpha-1 Acid Glycoprotein antibody. Counter stained with hematoxylin.

Immunohistochemical analysis of paraffin-embedded mouse liver tissue using anti-Alpha-1 Acid Glycoprotein antibody. Counter stained with hematoxylin.
quantity: 100μl
price: 330 USD
to the supplier
mouse monoclonal (A4-G2-A3-R)
reactivity: human
application: western blot
reactivity: human
application: western blot

Western blot analysis of Alpha 1 Acid Glycoprotein on different lysates with Mouse anti-Alpha 1 Acid Glycoprotein antibody (HA601226) at 1/1,000 dilution. Lane 1: HepG2 cell lysate (20 µg/Lane) Lane 2: HeLa cell lysate (20 µg/Lane) Lane 3: HCT 116 cell lysate (20 µg/Lane) Lane 4: 293T cell lysate (20 µg/Lane) Lane 5: Human liver tissue lysate (40 µg/Lane) Predicted band size: 24 kDa Observed band size: 37/45 kDa Exposure time: 43 seconds; 4-20% SDS-PAGE gel. Proteins were transferred to a PVDF membrane and blocked with 5% NFDM/TBST for 1 hour at room temperature. The primary antibody (HA601226) at 1/1,000 dilution was used in 5% NFDM/TBST at 4℃ overnight. Goat Anti-Mouse IgG - HRP Secondary Antibody (HA1006) at 1/50,000 dilution was used for 1 hour at room temperature.
quantity: 100μl
price: 360.00 USD
to the supplier
mouse monoclonal (A4-G2-A3-R)
reactivity: human
application: western blot
reactivity: human
application: western blot

Western blot analysis of Alpha 1 Acid Glycoprotein on different lysates with Mouse anti-Alpha 1 Acid Glycoprotein antibody (HA610101) at 1/1,000 dilution. Lane 1: HepG2 cell lysate (20 µg/Lane) Lane 2: HeLa cell lysate (20 µg/Lane) Lane 3: HCT 116 cell lysate (20 µg/Lane) Lane 4: 293T cell lysate (20 µg/Lane) Lane 5: Human liver tissue lysate (40 µg/Lane) Predicted band size: 24 kDa Observed band size: 37/45 kDa Exposure time: 43 seconds; 4-20% SDS-PAGE gel. Proteins were transferred to a PVDF membrane and blocked with 5% NFDM/TBST for 1 hour at room temperature. The primary antibody (HA610101) at 1/1,000 dilution was used in 5% NFDM/TBST at 4℃ overnight. Goat Anti-Mouse IgG - HRP Secondary Antibody (HA1006) at 1/50,000 dilution was used for 1 hour at room temperature.
quantity: 100μg
price: 649.00 USD
to the supplier
domestic rabbit monoclonal (JE31-16)
reactivity: human
application: western blot, immunohistochemistry - paraffin section
reactivity: human
application: western blot, immunohistochemistry - paraffin section

Western blot analysis of Alpha 1 Acid Glycoprotein on human small intestine tissue lysates with Rabbit anti-Alpha 1 Acid Glycoprotein antibody (HA721396) at 1/1,000 dilution. Lysates/proteins at 30 µg/Lane. Predicted band size: 23.5 kDa Observed band size: 45 kDa (Glycosylation) Exposure time: 5 minutes; 4-20% SDS-PAGE gel. Proteins were transferred to a PVDF membrane and blocked with 5% NFDM/TBST for 1 hour at room temperature. The primary antibody (HA721396) at 1/1,000 dilution was used in 5% NFDM/TBST at room temperature for 2 hours. Goat Anti-Rabbit IgG - HRP Secondary Antibody (HA1001) at 1:100,000 dilution was used for 1 hour at room temperature.

Immunohistochemical analysis of paraffin-embedded human liver tissue with Rabbit anti-Alpha 1 Acid Glycoprotein antibody (HA721396) at 1/200 dilution. The section was pre-treated using heat mediated antigen retrieval with Tris-EDTA buffer (pH 9.0) for 20 minutes. The tissues were blocked in 1% BSA for 20 minutes at room temperature, washed with ddH2O and PBS, and then probed with the primary antibody (HA721396) at 1/200 dilution for 1 hour at room temperature. The detection was performed using an HRP conjugated compact polymer system. DAB was used as the chromogen. Tissues were counterstained with hematoxylin and mounted with DPX.
quantity: 100μl
price: 385.00 USD
to the supplier
