Sign in
Sign up
home
>
HUABIO
> HUABIO NME1 antibody
NM23
HUABIO
catalog: EM1801-20
mouse monoclonal (12A1)
reactivity:
human
,
mouse
,
rat
application:
western blot
,
flow cytometry
,
immunohistochemistry - paraffin section
Western blot analysis of NM23 on different lysates with Mouse anti-NM23 antibody (EM1801-20) at 1/2,000 dilution. Lane 1: HeLa cell lysate (15 µg/Lane) Lane 2: A431 cell lysate (15 µg/Lane) Lane 3: A549 cell lysate (15 µg/Lane) Lane 4: MCF7 cell lysate (15 µg/Lane) Lane 5: Caco-2 cell lysate (15 µg/Lane) Predicted band size: 17 kDa Observed band size: 17/19 kDa Exposure time: 2 minutes; 4-20% SDS-PAGE gel. Proteins were transferred to a PVDF membrane and blocked with 5% NFDM/TBST for 1 hour at room temperature. The primary antibody (EM1801-20) at 1/2,000 dilution was used in 5% NFDM/TBST at 4℃ overnight. Goat Anti-Mouse IgG - HRP Secondary Antibody (HA1006) at 1:50,000 dilution was used for 1 hour at room temperature.
Western blot analysis of NM23 on different lysates with Mouse anti-NM23 antibody (EM1801-20) at 1/1,000 dilution. Lane 1: MCF7 cell lysate (20 µg/Lane) Lane 2: PC-3M cell lysate (20 µg/Lane) Lane 3: HeLa cell lysate (20 µg/Lane) Lane 4: HepG2 cell lysate (20 µg/Lane) Lane 5: A549 cell lysate (20 µg/Lane) Lane 4: NIH/3T3 cell lysate (20 µg/Lane) Lane 5: C6 cell lysate (20 µg/Lane) Lane 5: Rat brain tissue lysate (40 µg/Lane) Predicted band size: 17 kDa Observed band size: 17/19 kDa Exposure time: 3 minutes; 4-20% SDS-PAGE gel. Proteins were transferred to a PVDF membrane and blocked with 5% NFDM/TBST for 1 hour at room temperature. The primary antibody (EM1801-20) at 1/1,000 dilution was used in 5% NFDM/TBST at 4℃ overnight. Goat Anti-Mouse IgG - HRP Secondary Antibody (HA1006) at 1:50,000 dilution was used for 1 hour at room temperature.
Immunocytochemistry analysis of MCF7 cells labeling NM23 with Mouse anti-NM23 antibody (EM1801-20) at 1/100 dilution. Cells were fixed in 4% paraformaldehyde for 20 minutes at room temperature, permeabilized with 0.1% Triton X-100 in PBS for 5 minutes at room temperature, then blocked with 1% BSA in 10% negative goat serum for 1 hour at room temperature. Cells were then incubated with Mouse anti-NM23 antibody (EM1801-20) at 1/100 dilution in 1% BSA in PBST overnight at 4 ℃. Goat Anti-Mouse IgG H&L (iFluor™ 488, HA1125) was used as the secondary antibody at 1/1,000 dilution. PBS instead of the primary antibody was used as the secondary antibody only control. Nuclear DNA was labelled in blue with DAPI. beta Tubulin (ET1602-4, red) was stained at 1/100 dilution overnight at +4℃. Goat Anti-Rabbit IgG H&L (iFluor™ 594, HA1122) were used as the secondary antibody at 1/1,000 dilution.
quantity: 100μl
price: 360.00 USD
to the supplier
NM23
HUABIO
catalog: EM1901-09
mouse monoclonal (13C1)
reactivity:
human
,
mouse
,
rat
application:
western blot
,
flow cytometry
,
immunohistochemistry - paraffin section
Western blot analysis of NM23 on different lysates with Mouse anti-NM23 antibody (EM1901-09) at 1/2,000 dilution. Lane 1: HEK-293 cell lysate (20 µg/Lane) Lane 2: MCF7 cell lysate (20 µg/Lane) Lane 3: Jurkat cell lysate (20 µg/Lane) Lane 4: HeLa cell lysate (20 µg/Lane) Lane 5: HepG2 cell lysate (20 µg/Lane) Lane 6: K-562 cell lysate (20 µg/Lane) Lane 7: A549 cell lysate (20 µg/Lane) Lane 8: Raji cell lysate (20 µg/Lane) Predicted band size: 17 kDa Observed band size: 17/20 kDa Exposure time: 3 minutes; ECL: K1801; 4-20% SDS-PAGE gel. Proteins were transferred to a PVDF membrane and blocked with 5% NFDM/TBST for 1 hour at room temperature. The primary antibody (EM1901-09) at 1/2,000 dilution was used in 5% NFDM/TBST at 4℃ overnight. Goat Anti-Mouse IgG - HRP Secondary Antibody (HA1006) at 1/50,000 dilution was used for 1 hour at room temperature.
Western blot analysis of NM23 on different lysates with Mouse anti-NM23 antibody (EM1901-09) at 1/2,000 dilution. Lane 1: NIH/3T3 cell lysate (20 µg/Lane) Lane 2: C6 cell lysate (20 µg/Lane) Lane 3: Mouse kidney tissue lysate (40 µg/Lane) Lane 4: Mouse liver tissue lysate (40 µg/Lane) Lane 5: Mouse brain tissue lysate (40 µg/Lane) Lane 6: Rat brain tissue lysate (40 µg/Lane) Lane 7: Rat liver tissue lysate (40 µg/Lane) Predicted band size: 17 kDa Observed band size: 17 kDa Exposure time: 25 seconds; ECL: K1801; 4-20% SDS-PAGE gel. Proteins were transferred to a PVDF membrane and blocked with 5% NFDM/TBST for 1 hour at room temperature. The primary antibody (EM1901-09) at 1/2,000 dilution was used in 5% NFDM/TBST at 4℃ overnight. Goat Anti-Mouse IgG - HRP Secondary Antibody (HA1006) at 1/50,000 dilution was used for 1 hour at room temperature.
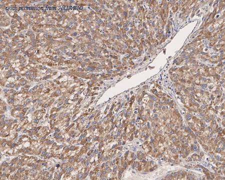
Immunohistochemical analysis of paraffin-embedded human liver cancer tissue with Mouse anti-NM23 antibody (EM1901-09) at 1/200 dilution. The section was pre-treated using heat mediated antigen retrieval with sodium citrate buffer (pH 6.0) (high pressure) for 2 minutes. The tissues were blocked in 1% BSA for 20 minutes at room temperature, washed with ddH2O and PBS, and then probed with the primary antibody (EM1901-09) at 1/200 dilution for 1 hour at room temperature. The detection was performed using an HRP conjugated compact polymer system. DAB was used as the chromogen. Tissues were counterstained with hematoxylin and mounted with DPX.
quantity: 100μl
price: 360.00 USD
to the supplier
NM23
HUABIO
catalog: EM1901-18
mouse monoclonal (13C2)
reactivity:
human
,
mouse
,
rat
application:
western blot
,
immunohistochemistry - paraffin section
Western blot analysis of NM23 on different lysates with Mouse anti-NM23 antibody (EM1901-18) at 1/2,000 dilution. Lane 1: HEK-293 cell lysate (20 µg/Lane) Lane 2: MCF7 cell lysate (20 µg/Lane) Lane 3: Jurkat cell lysate (20 µg/Lane) Lane 4: Raji cell lysate (20 µg/Lane) Lane 5: HeLa cell lysate (20 µg/Lane) Lane 6: K-562 cell lysate (20 µg/Lane) Lane 7: A549 cell lysate (20 µg/Lane) Lane 8: A431 cell lysate (20 µg/Lane) Lane 9: HepG2 cell lysate (20 µg/Lane) Lane 10: NIH/3T3 cell lysate (20 µg/Lane) Lane 11: C6 cell lysate (20 µg/Lane) Lane 12: Mouse kidney tissue lysate (40 µg/Lane) Lane 13: Mouse liver tissue lysate (40 µg/Lane) Lane 14: Rat brain tissue lysate (40 µg/Lane) Predicted band size: 17 kDa Observed band size: 17/20 kDa Exposure time: 1 minute 59 seconds; 4-20% SDS-PAGE gel. Proteins were transferred to a PVDF membrane and blocked with 5% NFDM/TBST for 1 hour at room temperature. The primary antibody (EM1901-18) at 1/2,000 dilution was used in 5% NFDM/TBST at 4℃ overnight. Goat Anti-Mouse IgG - HRP Secondary Antibody (HA1006) at 1/50,000 dilution was used for 1 hour at room temperature.
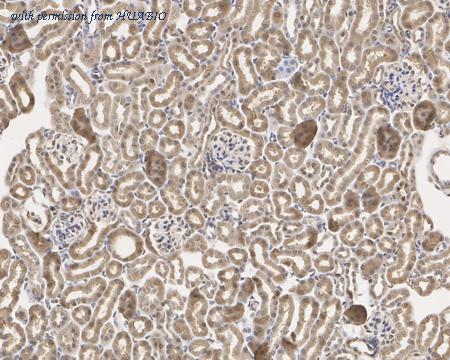
Immunohistochemical analysis of paraffin-embedded mouse kidney tissue with Mouse anti-NM23 antibody (EM1901-18) at 1/2,000 dilution. The section was pre-treated using heat mediated antigen retrieval with Tris-EDTA buffer (pH 9.0) for 20 minutes. The tissues were blocked in 1% BSA for 20 minutes at room temperature, washed with ddH2O and PBS, and then probed with the primary antibody (EM1901-18) at 1/2,000 dilution for 1 hour at room temperature. The detection was performed using an HRP conjugated compact polymer system. DAB was used as the chromogen. Tissues were counterstained with hematoxylin and mounted with DPX.
Western blot analysis of NM23 on different lysates with Mouse anti-NM23 antibody (EM1901-18) at 1/2,000 dilution. Lane 1: A549-si NT cell lysate Lane 2: A549-si NM23 cell lysate Lysates/proteins at 10 µg/Lane. Predicted band size: 17 kDa Observed band size: 17/20 kDa Exposure time: 17 seconds; ECL: K1801; 4-20% SDS-PAGE gel. Proteins were transferred to a PVDF membrane and blocked with 5% NFDM/TBST for 1 hour at room temperature. The primary antibody (EM1901-18) at 1/2,000 dilution was used in 5% NFDM/TBST at room temperature for 2 hours. Goat Anti-Mouse IgG - HRP Secondary Antibody (HA1006) at 1/50,000 dilution was used for 1 hour at room temperature.
quantity: 100μl
price: 360.00 USD
to the supplier
NM23
HUABIO
catalog: ER1603-4
domestic rabbit polyclonal
reactivity:
human
,
mouse
application:
western blot
,
flow cytometry
,
immunohistochemistry - paraffin section
ICC staining NM23 in Hela cells (red). The nuclear counter stain is DAPI (blue). Cells were fixed in paraformaldehyde, permeabilised with 0.25% Triton X100/PBS.
ICC staining NM23 in HepG2 cells (red). The nuclear counter stain is DAPI (blue). Cells were fixed in paraformaldehyde, permeabilised with 0.25% Triton X100/PBS.
ICC staining NM23 in MCF-7 cells (red). The nuclear counter stain is DAPI (blue). Cells were fixed in paraformaldehyde, permeabilised with 0.25% Triton X100/PBS.
quantity: 100μl
price: 330 USD
to the supplier
NM23
HUABIO
catalog: HA601190
mouse monoclonal (12A1-R)
reactivity:
human
,
mouse
,
rat
application:
western blot
,
flow cytometry
,
immunohistochemistry - paraffin section
Western blot analysis of NM23 on different lysates with Mouse anti-NM23 antibody (HA601190) at 1/1,000 dilution. Lane 1: MCF7 cell lysate (20 µg/Lane) Lane 2: PC-3M cell lysate (20 µg/Lane) Lane 3: HeLa cell lysate (20 µg/Lane) Lane 4: HepG2 cell lysate (20 µg/Lane) Lane 5: A549 cell lysate (20 µg/Lane) Lane 4: NIH/3T3 cell lysate (20 µg/Lane) Lane 5: C6 cell lysate (20 µg/Lane) Lane 5: Rat brain tissue lysate (40 µg/Lane) Predicted band size: 17 kDa Observed band size: 17/19 kDa Exposure time: 1 minute; 4-20% SDS-PAGE gel. Proteins were transferred to a PVDF membrane and blocked with 5% NFDM/TBST for 1 hour at room temperature. The primary antibody (HA601190) at 1/1,000 dilution was used in 5% NFDM/TBST at 4℃ overnight. Goat Anti-Mouse IgG - HRP Secondary Antibody (HA1006) at 1:50,000 dilution was used for 1 hour at room temperature.
Immunocytochemistry analysis of MCF7 cells labeling NM23 with Mouse anti-NM23 antibody (HA601190) at 1/100 dilution. Cells were fixed in 4% paraformaldehyde for 20 minutes at room temperature, permeabilized with 0.1% Triton X-100 in PBS for 5 minutes at room temperature, then blocked with 1% BSA in 10% negative goat serum for 1 hour at room temperature. Cells were then incubated with Mouse anti-NM23 antibody (HA601190) at 1/100 dilution in 1% BSA in PBST overnight at 4 ℃. Goat Anti-Mouse IgG H&L (iFluor™ 488, HA1125) was used as the secondary antibody at 1/1,000 dilution. PBS instead of the primary antibody was used as the secondary antibody only control. Nuclear DNA was labelled in blue with DAPI. beta Tubulin (ET1602-4, red) was stained at 1/100 dilution overnight at +4℃. Goat Anti-Rabbit IgG H&L (iFluor™ 594, HA1122) were used as the secondary antibody at 1/1,000 dilution.
Western blot analysis of NM23 on different lysates with Mouse anti-NM23 antibody (HA601190) at 1/2,000 dilution. Lane 1: HeLa-si NT cell lysate Lane 2: HeLa-si NM23 cell lysate Lysates/proteins at 15 µg/Lane. Predicted band size: 17 kDa Observed band size: 17/19 kDa Exposure time: 46 seconds; 4-20% SDS-PAGE gel. Proteins were transferred to a PVDF membrane and blocked with 5% NFDM/TBST for 1 hour at room temperature. The primary antibody (HA601190) at 1/2,000 dilution was used in 5% NFDM/TBST at 4℃ overnight. Goat Anti-Mouse IgG - HRP Secondary Antibody (HA1006) at 1/50,000 dilution was used for 1 hour at room temperature.
quantity: 100μl
price: 360.00 USD
to the supplier
NM23
HUABIO
catalog: HA601238
mouse monoclonal (13C1-R)
reactivity:
human
,
mouse
,
rat
application:
western blot
Western blot analysis of NM23 on different lysates with Mouse anti-NM23 antibody (HA601238) at 1/1,000 dilution. Lane 1: HEK-293 cell lysate (20 µg/Lane) Lane 2: MCF7 cell lysate (20 µg/Lane) Lane 3: Jurkat cell lysate (20 µg/Lane) Lane 4: HeLa cell lysate (20 µg/Lane) Lane 5: HepG2 cell lysate (20 µg/Lane) Lane 6: K-562 cell lysate (20 µg/Lane) Lane 7: A549 cell lysate (20 µg/Lane) Lane 8: Raji cell lysate (20 µg/Lane) Predicted band size: 17 kDa Observed band size: 17/20 kDa Exposure time: 3 minutes; ECL: K1801; 4-20% SDS-PAGE gel. Proteins were transferred to a PVDF membrane and blocked with 5% NFDM/TBST for 1 hour at room temperature. The primary antibody (HA601238) at 1/1,000 dilution was used in 5% NFDM/TBST at 4℃ overnight. Goat Anti-Mouse IgG - HRP Secondary Antibody (HA1006) at 1/50,000 dilution was used for 1 hour at room temperature.
Western blot analysis of NM23 on different lysates with Mouse anti-NM23 antibody (HA601238) at 1/1,000 dilution. Lane 1: NIH/3T3 cell lysate (20 µg/Lane) Lane 2: C6 cell lysate (20 µg/Lane) Lane 3: Mouse kidney tissue lysate (40 µg/Lane) Lane 4: Mouse liver tissue lysate (40 µg/Lane) Lane 5: Mouse brain tissue lysate (40 µg/Lane) Lane 6: Rat brain tissue lysate (40 µg/Lane) Lane 7: Rat liver tissue lysate (40 µg/Lane) Predicted band size: 17 kDa Observed band size: 17 kDa Exposure time: 25 seconds; ECL: K1801; 4-20% SDS-PAGE gel. Proteins were transferred to a PVDF membrane and blocked with 5% NFDM/TBST for 1 hour at room temperature. The primary antibody (HA601238) at 1/1,000 dilution was used in 5% NFDM/TBST at 4℃ overnight. Goat Anti-Mouse IgG - HRP Secondary Antibody (HA1006) at 1/50,000 dilution was used for 1 hour at room temperature.
Western blot analysis of NM23 on different lysates with Mouse anti-NM23 antibody (HA601238) at 1/2,000 dilution. Lane 1: A549-si NT cell lysate Lane 2: A549-si NM23 cell lysate Lysates/proteins at 10 µg/Lane. Predicted band size: 17 kDa Observed band size: 17/20 kDa Exposure time: 30 seconds; ECL: K1801; 4-20% SDS-PAGE gel. Proteins were transferred to a PVDF membrane and blocked with 5% NFDM/TBST for 1 hour at room temperature. The primary antibody (HA601238) at 1/2,000 dilution was used in 5% NFDM/TBST at room temperature for 2 hours. Goat Anti-Mouse IgG - HRP Secondary Antibody (HA1006) at 1/50,000 dilution was used for 1 hour at room temperature.
quantity: 100μl
price: 360.00 USD
to the supplier
NM23
HUABIO
catalog: HA601307
mouse monoclonal (13C2-R)
reactivity:
human
,
mouse
,
rat
application:
western blot
,
immunohistochemistry - paraffin section
Western blot analysis of NM23 on different lysates with Mouse anti-NM23 antibody (HA601307) at 1/2,000 dilution. Lane 1: HEK-293 cell lysate (20 µg/Lane) Lane 2: MCF7 cell lysate (20 µg/Lane) Lane 3: Jurkat cell lysate (20 µg/Lane) Lane 4: Raji cell lysate (20 µg/Lane) Lane 5: HeLa cell lysate (20 µg/Lane) Lane 6: K-562 cell lysate (20 µg/Lane) Lane 7: A549 cell lysate (20 µg/Lane) Lane 8: A431 cell lysate (20 µg/Lane) Lane 9: HepG2 cell lysate (20 µg/Lane) Lane 10: NIH/3T3 cell lysate (20 µg/Lane) Lane 11: C6 cell lysate (20 µg/Lane) Lane 12: Mouse kidney tissue lysate (40 µg/Lane) Lane 13: Mouse liver tissue lysate (40 µg/Lane) Lane 14: Rat brain tissue lysate (40 µg/Lane) Predicted band size: 17 kDa Observed band size: 17/20 kDa Exposure time: 1 minute 59 seconds; 4-20% SDS-PAGE gel. Proteins were transferred to a PVDF membrane and blocked with 5% NFDM/TBST for 1 hour at room temperature. The primary antibody (HA601307) at 1/2,000 dilution was used in 5% NFDM/TBST at 4℃ overnight. Goat Anti-Mouse IgG - HRP Secondary Antibody (HA1006) at 1/50,000 dilution was used for 1 hour at room temperature.
Immunohistochemical analysis of paraffin-embedded mouse kidney tissue with Mouse anti-NM23 antibody (HA601307) at 1/2,000 dilution. The section was pre-treated using heat mediated antigen retrieval with Tris-EDTA buffer (pH 9.0) for 20 minutes. The tissues were blocked in 1% BSA for 20 minutes at room temperature, washed with ddH2O and PBS, and then probed with the primary antibody (HA601307) at 1/2,000 dilution for 1 hour at room temperature. The detection was performed using an HRP conjugated compact polymer system. DAB was used as the chromogen. Tissues were counterstained with hematoxylin and mounted with DPX.
Immunocytochemistry analysis of HeLa cells labeling NM23 with Mouse anti-NM23 antibody (HA601307) at 1/100 dilution. Cells were fixed in 4% paraformaldehyde for 20 minutes at room temperature, permeabilized with 0.1% Triton X-100 in PBS for 5 minutes at room temperature, then blocked with 1% BSA in 10% negative goat serum for 1 hour at room temperature. Cells were then incubated with Mouse anti-NM23 antibody (HA601307) at 1/100 dilution in 1% BSA in PBST overnight at 4 ℃. Goat Anti-Mouse IgG H&L (iFluor™ 488, HA1125) was used as the secondary antibody at 1/1,000 dilution. PBS instead of the primary antibody was used as the secondary antibody only control. Nuclear DNA was labelled in blue with DAPI. beta Tubulin (ET1602-4, red) was stained at 1/100 dilution overnight at +4℃. Goat Anti-Rabbit IgG H&L (iFluor™ 594, HA1122) were used as the secondary antibody at 1/1,000 dilution.
quantity: 100μl
price: 360.00 USD
to the supplier
NM23
HUABIO
catalog: HA610070
mouse monoclonal (12A1-R)
reactivity:
human
,
mouse
,
rat
application:
western blot
,
flow cytometry
,
immunohistochemistry - paraffin section
Western blot analysis of NM23 on different lysates with Mouse anti-NM23 antibody (HA610070) at 1/1,000 dilution. Lane 1: MCF7 cell lysate (20 µg/Lane) Lane 2: PC-3M cell lysate (20 µg/Lane) Lane 3: HeLa cell lysate (20 µg/Lane) Lane 4: HepG2 cell lysate (20 µg/Lane) Lane 5: A549 cell lysate (20 µg/Lane) Lane 4: NIH/3T3 cell lysate (20 µg/Lane) Lane 5: C6 cell lysate (20 µg/Lane) Lane 5: Rat brain tissue lysate (40 µg/Lane) Predicted band size: 17 kDa Observed band size: 17/19 kDa Exposure time: 1 minute; 4-20% SDS-PAGE gel. Proteins were transferred to a PVDF membrane and blocked with 5% NFDM/TBST for 1 hour at room temperature. The primary antibody (HA610070) at 1/1,000 dilution was used in 5% NFDM/TBST at 4℃ overnight. Goat Anti-Mouse IgG - HRP Secondary Antibody (HA1006) at 1:50,000 dilution was used for 1 hour at room temperature.
Immunocytochemistry analysis of MCF7 cells labeling NM23 with Mouse anti-NM23 antibody (HA610070) at 1/100 dilution. Cells were fixed in 4% paraformaldehyde for 20 minutes at room temperature, permeabilized with 0.1% Triton X-100 in PBS for 5 minutes at room temperature, then blocked with 1% BSA in 10% negative goat serum for 1 hour at room temperature. Cells were then incubated with Mouse anti-NM23 antibody (HA610070) at 1/100 dilution in 1% BSA in PBST overnight at 4 ℃. Goat Anti-Mouse IgG H&L (iFluor™ 488, HA1125) was used as the secondary antibody at 1/1,000 dilution. PBS instead of the primary antibody was used as the secondary antibody only control. Nuclear DNA was labelled in blue with DAPI. beta Tubulin (ET1602-4, red) was stained at 1/100 dilution overnight at +4℃. Goat Anti-Rabbit IgG H&L (iFluor™ 594, HA1122) were used as the secondary antibody at 1/1,000 dilution.
Western blot analysis of NM23 on different lysates with Mouse anti-NM23 antibody (HA610070) at 1/2,000 dilution. Lane 1: HeLa-si NT cell lysate Lane 2: HeLa-si NM23 cell lysate Lysates/proteins at 15 µg/Lane. Predicted band size: 17 kDa Observed band size: 17/19 kDa Exposure time: 46 seconds; 4-20% SDS-PAGE gel. Proteins were transferred to a PVDF membrane and blocked with 5% NFDM/TBST for 1 hour at room temperature. The primary antibody (HA610070) at 1/2,000 dilution was used in 5% NFDM/TBST at 4℃ overnight. Goat Anti-Mouse IgG - HRP Secondary Antibody (HA1006) at 1/50,000 dilution was used for 1 hour at room temperature.
quantity: 100μg
price: 649.00 USD
to the supplier
NM23
HUABIO
catalog: HA610113
mouse monoclonal (13C1-R)
reactivity:
human
,
mouse
,
rat
application:
western blot
Western blot analysis of NM23 on different lysates with Mouse anti-NM23 antibody (HA610113) at 1/1,000 dilution. Lane 1: HEK-293 cell lysate (20 µg/Lane) Lane 2: MCF7 cell lysate (20 µg/Lane) Lane 3: Jurkat cell lysate (20 µg/Lane) Lane 4: HeLa cell lysate (20 µg/Lane) Lane 5: HepG2 cell lysate (20 µg/Lane) Lane 6: K-562 cell lysate (20 µg/Lane) Lane 7: A549 cell lysate (20 µg/Lane) Lane 8: Raji cell lysate (20 µg/Lane) Predicted band size: 17 kDa Observed band size: 17/20 kDa Exposure time: 3 minutes; ECL: K1801; 4-20% SDS-PAGE gel. Proteins were transferred to a PVDF membrane and blocked with 5% NFDM/TBST for 1 hour at room temperature. The primary antibody (HA610113) at 1/1,000 dilution was used in 5% NFDM/TBST at 4℃ overnight. Goat Anti-Mouse IgG - HRP Secondary Antibody (HA1006) at 1/50,000 dilution was used for 1 hour at room temperature.
Western blot analysis of NM23 on different lysates with Mouse anti-NM23 antibody (HA610113) at 1/1,000 dilution. Lane 1: NIH/3T3 cell lysate (20 µg/Lane) Lane 2: C6 cell lysate (20 µg/Lane) Lane 3: Mouse kidney tissue lysate (40 µg/Lane) Lane 4: Mouse liver tissue lysate (40 µg/Lane) Lane 5: Mouse brain tissue lysate (40 µg/Lane) Lane 6: Rat brain tissue lysate (40 µg/Lane) Lane 7: Rat liver tissue lysate (40 µg/Lane) Predicted band size: 17 kDa Observed band size: 17 kDa Exposure time: 25 seconds; ECL: K1801; 4-20% SDS-PAGE gel. Proteins were transferred to a PVDF membrane and blocked with 5% NFDM/TBST for 1 hour at room temperature. The primary antibody (HA610113) at 1/1,000 dilution was used in 5% NFDM/TBST at 4℃ overnight. Goat Anti-Mouse IgG - HRP Secondary Antibody (HA1006) at 1/50,000 dilution was used for 1 hour at room temperature.
Western blot analysis of NM23 on different lysates with Mouse anti-NM23 antibody (HA610113) at 1/2,000 dilution. Lane 1: A549-si NT cell lysate Lane 2: A549-si NM23 cell lysate Lysates/proteins at 10 µg/Lane. Predicted band size: 17 kDa Observed band size: 17/20 kDa Exposure time: 30 seconds; ECL: K1801; 4-20% SDS-PAGE gel. Proteins were transferred to a PVDF membrane and blocked with 5% NFDM/TBST for 1 hour at room temperature. The primary antibody (HA610113) at 1/2,000 dilution was used in 5% NFDM/TBST at room temperature for 2 hours. Goat Anti-Mouse IgG - HRP Secondary Antibody (HA1006) at 1/50,000 dilution was used for 1 hour at room temperature.
quantity: 100μg
price: 649.00 USD
to the supplier
NM23
HUABIO
catalog: HA610180
mouse monoclonal (13C2-R)
reactivity:
human
,
mouse
,
rat
application:
western blot
,
immunohistochemistry - paraffin section
Western blot analysis of NM23 on different lysates with Mouse anti-NM23 antibody (HA610180) at 1/2,000 dilution. Lane 1: HEK-293 cell lysate (20 µg/Lane) Lane 2: MCF7 cell lysate (20 µg/Lane) Lane 3: Jurkat cell lysate (20 µg/Lane) Lane 4: Raji cell lysate (20 µg/Lane) Lane 5: HeLa cell lysate (20 µg/Lane) Lane 6: K-562 cell lysate (20 µg/Lane) Lane 7: A549 cell lysate (20 µg/Lane) Lane 8: A431 cell lysate (20 µg/Lane) Lane 9: HepG2 cell lysate (20 µg/Lane) Lane 10: NIH/3T3 cell lysate (20 µg/Lane) Lane 11: C6 cell lysate (20 µg/Lane) Lane 12: Mouse kidney tissue lysate (40 µg/Lane) Lane 13: Mouse liver tissue lysate (40 µg/Lane) Lane 14: Rat brain tissue lysate (40 µg/Lane) Predicted band size: 17 kDa Observed band size: 17/20 kDa Exposure time: 1 minute 59 seconds; 4-20% SDS-PAGE gel. Proteins were transferred to a PVDF membrane and blocked with 5% NFDM/TBST for 1 hour at room temperature. The primary antibody (HA610180) at 1/2,000 dilution was used in 5% NFDM/TBST at 4℃ overnight. Goat Anti-Mouse IgG - HRP Secondary Antibody (HA1006) at 1/50,000 dilution was used for 1 hour at room temperature.
Immunohistochemical analysis of paraffin-embedded mouse kidney tissue with Mouse anti-NM23 antibody (HA610180) at 1/2,000 dilution. The section was pre-treated using heat mediated antigen retrieval with Tris-EDTA buffer (pH 9.0) for 20 minutes. The tissues were blocked in 1% BSA for 20 minutes at room temperature, washed with ddH2O and PBS, and then probed with the primary antibody (HA610180) at 1/2,000 dilution for 1 hour at room temperature. The detection was performed using an HRP conjugated compact polymer system. DAB was used as the chromogen. Tissues were counterstained with hematoxylin and mounted with DPX.
Immunocytochemistry analysis of HeLa cells labeling NM23 with Mouse anti-NM23 antibody (HA610180) at 1/100 dilution. Cells were fixed in 4% paraformaldehyde for 20 minutes at room temperature, permeabilized with 0.1% Triton X-100 in PBS for 5 minutes at room temperature, then blocked with 1% BSA in 10% negative goat serum for 1 hour at room temperature. Cells were then incubated with Mouse anti-NM23 antibody (HA610180) at 1/100 dilution in 1% BSA in PBST overnight at 4 ℃. Goat Anti-Mouse IgG H&L (iFluor™ 488, HA1125) was used as the secondary antibody at 1/1,000 dilution. PBS instead of the primary antibody was used as the secondary antibody only control. Nuclear DNA was labelled in blue with DAPI. beta Tubulin (ET1602-4, red) was stained at 1/100 dilution overnight at +4℃. Goat Anti-Rabbit IgG H&L (iFluor™ 594, HA1122) were used as the secondary antibody at 1/1,000 dilution.
quantity: 100μg
price: 649.00 USD
to the supplier
NM23
HUABIO
catalog: R1603-3
domestic rabbit polyclonal
reactivity:
human
,
mouse
application:
western blot
,
flow cytometry
,
immunohistochemistry - paraffin section
Western blot analysis of NM23 on Hela (1) and HepG2 (2) cell lysate using anti-NM23 antibody at 1/1,000 dilution.
ICC staining NM23 in Hela cells (red). The nuclear counter stain is DAPI (blue). Cells were fixed in paraformaldehyde, permeabilised with 0.25% Triton X100/PBS.
ICC staining NM23 in MCF-7 cells (red). The nuclear counter stain is DAPI (blue). Cells were fixed in paraformaldehyde, permeabilised with 0.25% Triton X100/PBS.
quantity: 100μl
price: 330 USD
to the supplier