Sign in
Sign up
home
>
HUABIO
> HUABIO NGF antibody
NGF
HUABIO
catalog: ER1802-59
domestic rabbit polyclonal
reactivity:
human
,
mouse
,
rat
application:
western blot
,
immunohistochemistry - paraffin section
Western blot analysis of NGF on recombinant protein lysate using anti-NGF antibody at 1/500 dilution.
ICC staining NGF in N2A cells (green). The nuclear counter stain is DAPI (blue). Cells were fixed in paraformaldehyde, permeabilised with 0.25% Triton X100/PBS.
ICC staining NGF in SHG-44 cells (green). The nuclear counter stain is DAPI (blue). Cells were fixed in paraformaldehyde, permeabilised with 0.25% Triton X100/PBS.
quantity: 100μl
price: 330 USD
to the supplier
NGF
HUABIO
catalog: ET1606-29-50UL
domestic rabbit monoclonal (SI79-01)
reactivity:
human
,
mouse
,
rat
application:
western blot
,
immunohistochemistry - paraffin section
,
immunohistochemistry - frozen section
Western blot analysis of NGF on different lysates with Rabbit anti-NGF antibody (ET1606-29) at 1/2,000 dilution. Lane 1: HL-60 cell lysate Lane 2: HeLa cell lysate Lane 3: MDA-MB-231 cell lysate Lane 4: Human liver tissue lysate Lane 5: Mouse liver tissue lysate Lane 6: Rat liver tissue lysate Lane 7: Mouse skeletal muscle tissue lysate Lane 8: Rat skeletal muscle tissue lysate Lysates/proteins at 20 µg/Lane. Predicted band size: 27 kDa Observed band size: 35 kDa Exposure time: 3 minutes; 4-20% SDS-PAGE gel. Proteins were transferred to a PVDF membrane and blocked with 5% NFDM/TBST for 1 hour at room temperature. The primary antibody (ET1606-29) at 1/2,000 dilution was used in 5% NFDM/TBST at 4℃ overnight. Goat Anti-Rabbit IgG - HRP Secondary Antibody (HA1001) at 1:50,000 dilution was used for 1 hour at room temperature.
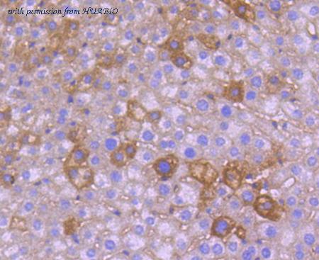
Immunohistochemical analysis of paraffin-embedded mouse liver tissue using anti-NGF antibody. The section was pre-treated using heat mediated antigen retrieval with Tris-EDTA buffer (pH 8.0-8.4) for 20 minutes.The tissues were blocked in 5% BSA for 30 minutes at room temperature, washed with ddH2O and PBS, and then probed with the primary antibody (ET1606-29, 1/50) for 30 minutes at room temperature. The detection was performed using an HRP conjugated compact polymer system. DAB was used as the chromogen. Tissues were counterstained with hematoxylin and mounted with DPX.
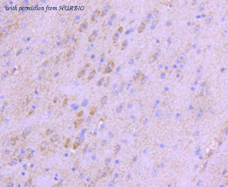
Immunohistochemical analysis of paraffin-embedded mouse brain tissue using anti-NGF antibody. The section was pre-treated using heat mediated antigen retrieval with Tris-EDTA buffer (pH 8.0-8.4) for 20 minutes.The tissues were blocked in 5% BSA for 30 minutes at room temperature, washed with ddH2O and PBS, and then probed with the primary antibody (ET1606-29, 1/50) for 30 minutes at room temperature. The detection was performed using an HRP conjugated compact polymer system. DAB was used as the chromogen. Tissues were counterstained with hematoxylin and mounted with DPX.
quantity: 50μl
price: 205.00 USD
to the supplier
Human Beta Nerve Growth Factor
HUABIO
catalog: HA722902
domestic rabbit monoclonal (PSH07-79)
reactivity:
human
application:
ELISA
Sandwich ELISA analysis of human beta-NGF matched pair antibodies Elisa assay was performed by coating wells of a 96-well plate with 50 µl per well of capture antibody (HA722902) diluted in carbonate/bicarbonate buffer, at a concentration of 2 µg/mL overnight at 4℃. Wells of the plate were washed, blocked with 150 µl 0.05% tween-20 1%BSA blocking buffer, and incubated with serial diluted Recombinant Human Beta Nerve Growth Factor protein (HA211073) starting from 4,000 pg/ml to 0 pg/ml and detect antibody (HA722904, Biotin, 0.2 µg/ml) for 1 hour at 30℃ with shaking. Then the plate was washed and incubated with 50 µl per well of SA-HRP for 0.5 hour at 30℃ with shaking. Detection was performed using an Ultra TMB Substrate for 10 minutes at room temperature in the dark. The reaction was stopped with sulfuric acid and absorbances were read on a spectrophotometer at 450 nm.
Interpolated concentrations of spiked beta-NGF in human cell culture media samples. The concentrations of beta-NGF were measured in duplicates, interpolated from the beta-NGF standard curves and corrected for sample dilution. Undiluted samples are as follows: cell culture media 50%. The interpolated dilution factor corrected values are plotted (mean +/- SD, n=2).
quantity: 100μl
price: 649.00 USD
to the supplier
Human Beta Nerve Growth Factor
HUABIO
catalog: HA722903
domestic rabbit monoclonal (PSH07-80)
reactivity:
human
application:
ELISA
Sandwich ELISA analysis of human beta-NGF matched pair antibodies Elisa assay was performed by coating wells of a 96-well plate with 50 µl per well of capture antibody (HA722903) diluted in carbonate/bicarbonate buffer, at a concentration of 2 µg/mL overnight at 4℃. Wells of the plate were washed, blocked with 150 µl 0.05% tween-20 1%BSA blocking buffer, and incubated with serial diluted Recombinant Human Beta Nerve Growth Factor protein (HA211073) starting from 4,000 pg/ml to 0 pg/ml and detect antibody (HA722904, Biotin, 0.2 µg/ml) for 1 hour at 30℃ with shaking. Then the plate was washed and incubated with 50 µl per well of SA-HRP for 0.5 hour at 30℃ with shaking. Detection was performed using an Ultra TMB Substrate for 10 minutes at room temperature in the dark. The reaction was stopped with sulfuric acid and absorbances were read on a spectrophotometer at 450 nm.
Interpolated concentrations of spiked beta-NGF in human cell culture media samples. The concentrations of beta-NGF were measured in duplicates, interpolated from the beta-NGF standard curves and corrected for sample dilution. Undiluted samples are as follows: cell culture media 50%. The interpolated dilution factor corrected values are plotted (mean +/- SD, n=2).
quantity: 100μl
price: 649.00 USD
to the supplier
Human Beta Nerve Growth Factor
HUABIO
catalog: HA722904
domestic rabbit monoclonal (PSH07-81)
reactivity:
human
application:
ELISA
Sandwich ELISA analysis of human beta-NGF matched pair antibodies Elisa assay was performed by coating wells of a 96-well plate with 50 µl per well of capture antibody (HA722903) diluted in carbonate/bicarbonate buffer, at a concentration of 2 µg/mL overnight at 4℃. Wells of the plate were washed, blocked with 150 µl 0.05% tween-20 1%BSA blocking buffer, and incubated with serial diluted Recombinant Human Beta Nerve Growth Factor protein (HA211073) starting from 4,000 pg/ml to 0 pg/ml and detect antibody (HA722904, Biotin, 0.2 µg/ml) for 1 hour at 30℃ with shaking. Then the plate was washed and incubated with 50 µl per well of SA-HRP for 0.5 hour at 30℃ with shaking. Detection was performed using an Ultra TMB Substrate for 10 minutes at room temperature in the dark. The reaction was stopped with sulfuric acid and absorbances were read on a spectrophotometer at 450 nm.
Sandwich ELISA analysis of human beta-NGF matched pair antibodies Elisa assay was performed by coating wells of a 96-well plate with 50 µl per well of capture antibody (HA722902) diluted in carbonate/bicarbonate buffer, at a concentration of 2 µg/mL overnight at 4℃. Wells of the plate were washed, blocked with 150 µl 0.05% tween-20 1%BSA blocking buffer, and incubated with serial diluted Recombinant Human Beta Nerve Growth Factor protein (HA211073) starting from 4,000 pg/ml to 0 pg/ml and detect antibody (HA722904, Biotin, 0.2 µg/ml) for 1 hour at 30℃ with shaking. Then the plate was washed and incubated with 50 µl per well of SA-HRP for 0.5 hour at 30℃ with shaking. Detection was performed using an Ultra TMB Substrate for 10 minutes at room temperature in the dark. The reaction was stopped with sulfuric acid and absorbances were read on a spectrophotometer at 450 nm.
Interpolated concentrations of spiked beta-NGF in human cell culture media samples. The concentrations of beta-NGF were measured in duplicates, interpolated from the beta-NGF standard curves and corrected for sample dilution. Undiluted samples are as follows: cell culture media 50%. The interpolated dilution factor corrected values are plotted (mean +/- SD, n=2).
quantity: 100μl
price: 649.00 USD
to the supplier
Human Beta Nerve Growth Factor
HUABIO
catalog: HA722905B
domestic rabbit monoclonal (PSH07-81)
reactivity:
human
conjugate: biotin
application:
ELISA
Sandwich ELISA analysis of human beta-NGF matched pair antibodies Elisa assay was performed by coating wells of a 96-well plate with 50 µl per well of capture antibody (HA722903) diluted in carbonate/bicarbonate buffer, at a concentration of 2 µg/mL overnight at 4℃. Wells of the plate were washed, blocked with 150 µl 0.05% tween-20 1%BSA blocking buffer, and incubated with serial diluted Recombinant Human Beta Nerve Growth Factor protein (HA211073) starting from 4,000 pg/ml to 0 pg/ml and detect antibody (HA722905B, 0.2 µg/ml) for 1 hour at 30℃ with shaking. Then the plate was washed and incubated with 50 µl per well of SA-HRP for 0.5 hour at 30℃ with shaking. Detection was performed using an Ultra TMB Substrate for 10 minutes at room temperature in the dark. The reaction was stopped with sulfuric acid and absorbances were read on a spectrophotometer at 450 nm.
Sandwich ELISA analysis of human beta-NGF matched pair antibodies Elisa assay was performed by coating wells of a 96-well plate with 50 µl per well of capture antibody (HA722902) diluted in carbonate/bicarbonate buffer, at a concentration of 2 µg/mL overnight at 4℃. Wells of the plate were washed, blocked with 150 µl 0.05% tween-20 1%BSA blocking buffer, and incubated with serial diluted Recombinant Human Beta Nerve Growth Factor protein (HA211073) starting from 4,000 pg/ml to 0 pg/ml and detect antibody (HA722905B, 0.2 µg/ml) for 1 hour at 30℃ with shaking. Then the plate was washed and incubated with 50 µl per well of SA-HRP for 0.5 hour at 30℃ with shaking. Detection was performed using an Ultra TMB Substrate for 10 minutes at room temperature in the dark. The reaction was stopped with sulfuric acid and absorbances were read on a spectrophotometer at 450 nm.
Interpolated concentrations of spiked beta-NGF in human cell culture media samples. The concentrations of beta-NGF were measured in duplicates, interpolated from the beta-NGF standard curves and corrected for sample dilution. Undiluted samples are as follows: cell culture media 50%. The interpolated dilution factor corrected values are plotted (mean +/- SD, n=2).
quantity: 100μl
price: 409.00 USD
to the supplier
NGF
HUABIO
catalog: HA750099
domestic rabbit monoclonal (SI79-01)
reactivity:
human
,
mouse
,
rat
application:
western blot
,
immunohistochemistry - paraffin section
,
immunohistochemistry - frozen section
Western blot analysis of NGF on different lysates with Rabbit anti-NGF antibody (HA750099) at 1/2,000 dilution. Lane 1: HL-60 cell lysate Lane 2: HeLa cell lysate Lane 3: MDA-MB-231 cell lysate Lane 4: Human liver tissue lysate Lane 5: Mouse liver tissue lysate Lane 6: Rat liver tissue lysate Lane 7: Mouse skeletal muscle tissue lysate Lane 8: Rat skeletal muscle tissue lysate Lysates/proteins at 20 µg/Lane. Predicted band size: 27 kDa Observed band size: 35 kDa Exposure time: 3 minutes; 4-20% SDS-PAGE gel. Proteins were transferred to a PVDF membrane and blocked with 5% NFDM/TBST for 1 hour at room temperature. The primary antibody (HA750099) at 1/2,000 dilution was used in 5% NFDM/TBST at 4℃ overnight. Goat Anti-Rabbit IgG - HRP Secondary Antibody (HA1001) at 1:50,000 dilution was used for 1 hour at room temperature.
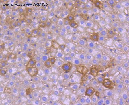
Immunohistochemical analysis of paraffin-embedded mouse liver tissue using anti-NGF antibody. The section was pre-treated using heat mediated antigen retrieval with Tris-EDTA buffer (pH 8.0-8.4) for 20 minutes.The tissues were blocked in 5% BSA for 30 minutes at room temperature, washed with ddH2O and PBS, and then probed with the primary antibody (HA750099, 1/50) for 30 minutes at room temperature. The detection was performed using an HRP conjugated compact polymer system. DAB was used as the chromogen. Tissues were counterstained with hematoxylin and mounted with DPX.
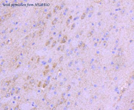
Immunohistochemical analysis of paraffin-embedded mouse brain tissue using anti-NGF antibody. The section was pre-treated using heat mediated antigen retrieval with Tris-EDTA buffer (pH 8.0-8.4) for 20 minutes.The tissues were blocked in 5% BSA for 30 minutes at room temperature, washed with ddH2O and PBS, and then probed with the primary antibody (HA750099, 1/50) for 30 minutes at room temperature. The detection was performed using an HRP conjugated compact polymer system. DAB was used as the chromogen. Tissues were counterstained with hematoxylin and mounted with DPX.
quantity: 100μl
price: 649.00 USD
to the supplier