Sign in
Sign up
home
>
HUABIO
> HUABIO IkappaBalpha antibody
IKB alpha
HUABIO
catalog: ET1603-6
domestic rabbit monoclonal (SZ00-07)
reactivity:
human
,
mouse
,
rat
application:
western blot
,
immunoprecipitation
,
flow cytometry
,
immunohistochemistry - paraffin section
Western blot analysis of IKB alpha on different lysates with Rabbit anti-IKB alpha antibody (ET1603-6) at 1/5,000 dilution. Lane 1: HeLa cell lysate Lane 2: HeLa cell lysate Lane 3: SK-Br-3 cell lysate Lane 4: NIH/3T3 cell lysate Lane 5: RAW264.7 cell lysate Lane 6: PC-12 cell lysate Lysates/proteins at 20 µg/Lane. Predicted band size: 36 kDa Observed band size: 36 kDa Exposure time: 1 minute; 12% SDS-PAGE gel. Proteins were transferred to a PVDF membrane and blocked with 5% NFDM/TBST for 1 hour at room temperature. The primary antibody (ET1603-6) at 1/5,000 dilution was used in 5% NFDM/TBST at room temperature for 2 hours. Goat Anti-Rabbit IgG - HRP Secondary Antibody (HA1001) at 1:300,000 dilution was used for 1 hour at room temperature.
IKB alpha was immunoprecipitated from 0.5 mg Hela whole cell lysates with ET1603-6 at 2 μg/mL. Western blot was performed from the immunoprecipitate using ET1603-6 at 1/5,000 dilution for 45 minutes at room temperature. Goat anti-Rabbit IgG-HRP Secondary Antibody (HA1001) was used at 1:300,000 dilution for 30 minutes at room temperature. Lane 1: Hela whole cell lysates at 10 μg; Lane 2: IKB alpha (ET1603-6) IP in Hela whole cell lysates; Lane 3: Rabbit IgG instead of IKB alpha (ET1603-6) in Hela whole cell lysates. Predicted band size: 36 kDa Observed band size: 36 kDa Exposure time: 1 minute; 12% SDS-PAGE gel.
Immunohistochemical analysis of paraffin-embedded human kidney tissue with Rabbit anti-IKB alpha antibody (ET1603-6) at 1/1,000 dilution. The section was pre-treated using heat mediated antigen retrieval with Tris-EDTA buffer (pH 9.0) for 20 minutes. The tissues were blocked in 1% BSA for 20 minutes at room temperature, washed with ddH2O and PBS, and then probed with the primary antibody (ET1603-6) at 1/1,000 dilution for 1 hour at room temperature. The detection was performed using an HRP conjugated compact polymer system. DAB was used as the chromogen. Tissues were counterstained with hematoxylin and mounted with DPX.
quantity: 100μl
price: 385.00 USD
to the supplier
Phospho-IKB alpha (S32)
HUABIO
catalog: ET1609-78
domestic rabbit monoclonal (ST53-05)
reactivity:
human
,
mouse
application:
western blot
,
immunoprecipitation
Western blot analysis of Phospho-IKB alpha (S32) on different lysates with Rabbit anti-Phospho-IKB alpha (S32) antibody (ET1609-78) at 1/1,000 dilution. Lane 1: HeLa cell lysate Lane 2: HeLa treated with 20ng/mL TNF-α for 5 minutes cell lysate Lane 3: HeLa treated with 20ng/mL TNF-α for 5 minutes cell lysate, then the membrane treated with λpp for 1 hour Lysates/proteins at 20 µg/Lane. Predicted band size: 36 kDa Observed band size: 36 kDa Exposure time: 1 minute 2 seconds; 4-20% SDS-PAGE gel. Proteins were transferred to a PVDF membrane and blocked with 5% NFDM/TBST for 1 hour at room temperature. The primary antibody (ET1609-78) at 1/1,000 dilution was used in 5% NFDM/TBST at 4℃ overnight. Goat Anti-Rabbit IgG - HRP Secondary Antibody (HA1001) at 1/50,000 dilution was used for 1 hour at room temperature.
Western blot analysis of Phospho-IKB alpha (S32) on NIH-3T3 cell lysates. Lane 1: NIH/3T3 cells were starved for 18 hours, whole cell lysate, 10 ug/lane. Lane 2: NIH/3T3 cells were starved for 18 hours, then treated with 20 ng/ml TNF alpha for 5 minutes, whole cell lysates, 10 ug/lane. Lane 3: NIH/3T3 cells were starved for 18 hours, then treated with 20 ng/ml TNF alpha for 10 minutes, whole cell lysates, 10 ug/lane. Proteins were transferred to a PVDF membrane and blocked with 5% BSA in PBS for 1 hour at room temperature. The primary antibody Anti-Phospho-IKB alpha (S32) (ET1609-78, 1/1,000) , Anti-IKB alpha antibody ( ET1603-6, 1/2,000) and Anti-GAPDH antibody (ET1601-4, 1/10,000)was used in 5% BSA at room temperature for 2 hours. Goat Anti-Rabbit IgG H&L (HRP) Secondary Antibody (HA1001) at 1:200,000 dilution was used for 1 hour at room temperature. Predicted band size: 36 kDa Observed band size: 36 kDa Exposure time: 1 minute
Immunocytochemistry analysis of HeLa cells labeling Phospho-IKB alpha (S32) with Rabbit anti-Phospho-IKB alpha (S32) antibody (ET1609-78) at 1/100 dilution. Cells were fixed in 4% paraformaldehyde for 20 minutes at room temperature, permeabilized with 0.1% Triton X-100 in PBS for 5 minutes at room temperature, then blocked with 1% BSA in 10% negative goat serum for 1 hour at room temperature. Cells were then incubated with Rabbit anti-Phospho-IKB alpha (S32) antibody (ET1609-78) at 1/100 dilution in 1% BSA in PBST overnight at 4 ℃. Goat Anti-Rabbit IgG H&L (iFluor™ 488, HA1121) was used as the secondary antibody at 1/1,000 dilution. PBS instead of the primary antibody was used as the secondary antibody only control. Nuclear DNA was labelled in blue with DAPI. Beta tubulin (M1305-2, red) was stained at 1/100 dilution overnight at +4℃. Goat Anti-Mouse IgG H&L (iFluor™ 594, HA1126) was used as the secondary antibody at 1/1,000 dilution.
quantity: 100μl
price: 385.00 USD
to the supplier
Phospho-IKB alpha (S36)
HUABIO
catalog: HA721802
domestic rabbit monoclonal (JE56-65)
reactivity:
human
,
mouse
,
rat
application:
western blot
Western blot analysis of Phospho-IKB alpha (S36) on different lysates with Rabbit anti-Phospho-IKB alpha (S36) antibody (HA721802) at 1/1,000 dilution. Lane 1: C6 cell lysate Lane 2: C6 treated with 100n/mL Calyculin A for 1 hour cell lysate Lysates/proteins at 20 µg/Lane. Predicted band size: 36 kDa Observed band size: 38 kDa Exposure time: 2 minutes 45 seconds; 4-20% SDS-PAGE gel. Proteins were transferred to a PVDF membrane and blocked with 5% NFDM/TBST for 1 hour at room temperature. The primary antibody (HA721802) at 1/1,000 dilution was used in 5% NFDM/TBST at 4℃ overnight. Goat Anti-Rabbit IgG - HRP Secondary Antibody (HA1001) at 1/50,000 dilution was used for 1 hour at room temperature.
Immunocytochemistry analysis of C6 cells untreated / treated with 100ng/mL Calyculin A for 1 hour labeling Phospho-IKB alpha (S36) with Rabbit anti-Phospho-IKB alpha (S36) antibody (HA721802) at 1/100 dilution. Cells were fixed in 4% paraformaldehyde for 15 minutes at room temperature, permeabilized with 0.1% Triton X-100 in PBS for 15 minutes at room temperature, then blocked with 1% BSA in 10% negative goat serum for 1 hour at room temperature. Cells were then incubated with Rabbit anti-Phospho-IKB alpha (S36) antibody (HA721802) at 1/100 dilution in 1% BSA in PBST overnight at 4 ℃. Goat Anti-Rabbit IgG H&L (iFluor™ 488, HA1121) was used as the secondary antibody at 1/1,000 dilution. PBS instead of the primary antibody was used as the secondary antibody only control. Nuclear DNA was labelled in blue with DAPI. Beta tubulin (HA601187, red) was stained at 1/100 dilution overnight at +4℃. Goat Anti-Mouse IgG H&L (iFluor™ 594, HA1126) was used as the secondary antibody at 1/1,000 dilution.
quantity: 100μl
price: 385.00 USD
to the supplier
Phospho-IKB alpha (S32/S36)
HUABIO
catalog: HA722770
domestic rabbit monoclonal (PSH06-76)
reactivity:
human
,
mouse
,
rat
application:
western blot
,
immunohistochemistry - paraffin section
Western blot analysis of Phospho-IKB alpha (S32/S36) on different lysates with Rabbit anti-Phospho-IKB alpha (S32/S36) antibody (HA722770) at 1/5,000 dilution. Lane 1: HeLa cell lysate Lane 2: HeLa treated with 20ng/mL TNF-α and 100nM Calyculin A for 10 minutes cell lysate Lane 3: NIH/3T3 cell lysate Lane 4: NIH/3T3 treated with 20ng/mL TNF-α and 100nM Calyculin A for 10 minutes cell lysate Lane 5: C6 cell lysate Lane 6: C6 treated with 100ng/mL Calyculin A for 1 hours cell lysate Lysates/proteins at 20 µg/Lane. Predicted band size: 36 kDa Observed band size: 36 kDa Exposure time: 3 minutes; ECL: K1801; 4-20% SDS-PAGE gel. Proteins were transferred to a PVDF membrane and blocked with 5% NFDM/TBST for 1 hour at room temperature. The primary antibody (HA722770) at 1/5,000 dilution was used in 5% NFDM/TBST at 4℃ overnight. Goat Anti-Rabbit IgG - HRP Secondary Antibody (HA1001) at 1/50,000 dilution was used for 1 hour at room temperature.
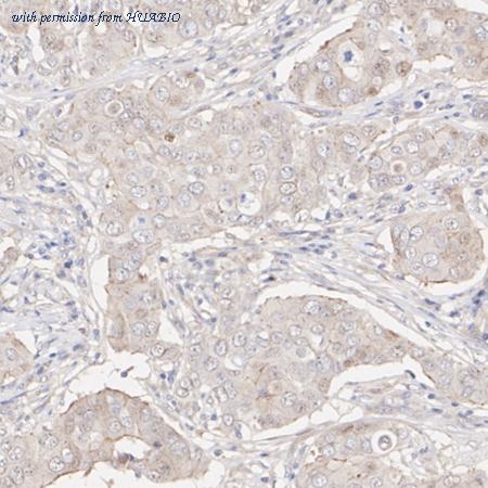
Immunohistochemical analysis of paraffin-embedded human breast cancer tissue with Rabbit anti-Phospho-IKB alpha (S32/S36) antibody (HA722770) at 1/200 dilution. The section was pre-treated using heat mediated antigen retrieval with sodium citrate buffer (pH 6.0) (high pressure) for 2 minutes. The tissues were blocked in 1% BSA for 20 minutes at room temperature, washed with ddH2O and PBS, and then probed with the primary antibody (HA722770) at 1/200 dilution for 1 hour at room temperature. The detection was performed using an HRP conjugated compact polymer system. DAB was used as the chromogen. Tissues were counterstained with hematoxylin and mounted with DPX.
Immunocytochemistry analysis of HeLa cells treated with 20ng/mL TNF-α and 100nM Calyculin A for 10 minutes labeling Phospho-IKB alpha (S32/S36) with Rabbit anti-Phospho-IKB alpha (S32/S36) antibody (HA722770) at 1/1,000 dilution. Cells were fixed in 4% paraformaldehyde for 20 minutes at room temperature, permeabilized with 0.1% Triton X-100 in PBS for 5 minutes at room temperature, then blocked with 1% BSA in 10% negative goat serum for 1 hour at room temperature. Cells were then incubated with Rabbit anti-Phospho-IKB alpha (S32/S36) antibody (HA722770) at 1/1,000 dilution in 1% BSA in PBST overnight at 4 ℃. Goat Anti-Rabbit IgG H&L (iFluor™ 488, HA1121) was used as the secondary antibody at 1/1,000 dilution. PBS instead of the primary antibody was used as the secondary antibody only control. Nuclear DNA was labelled in blue with DAPI. Beta tubulin (M1305-2, red) was stained at 1/100 dilution overnight at +4℃. Goat Anti-Mouse IgG H&L (iFluor™ 594, HA1126) was used as the secondary antibody at 1/1,000 dilution.
quantity: 100μl
price: 385.00 USD
to the supplier
IKB alpha
HUABIO
catalog: HA750068
domestic rabbit monoclonal (SZ00-07)
reactivity:
human
,
mouse
,
rat
application:
western blot
,
immunoprecipitation
,
flow cytometry
,
immunohistochemistry - paraffin section
Western blot analysis of IKB alpha on different lysates with Rabbit anti-IKB alpha antibody (HA750068) at 1/5,000 dilution. Lane 1: HeLa cell lysate Lane 2: HeLa cell lysate Lane 3: SK-Br-3 cell lysate Lane 4: NIH/3T3 cell lysate Lane 5: RAW264.7 cell lysate Lane 6: PC-12 cell lysate Lysates/proteins at 20 µg/Lane. Predicted band size: 36 kDa Observed band size: 36 kDa Exposure time: 1 minute; 12% SDS-PAGE gel. Proteins were transferred to a PVDF membrane and blocked with 5% NFDM/TBST for 1 hour at room temperature. The primary antibody (HA750068) at 1/5,000 dilution was used in 5% NFDM/TBST at room temperature for 2 hours. Goat Anti-Rabbit IgG - HRP Secondary Antibody (HA1001) at 1:300,000 dilution was used for 1 hour at room temperature.
IKB alpha was immunoprecipitated from 0.5 mg Hela whole cell lysates with HA750068 at 2 μg/mL. Western blot was performed from the immunoprecipitate using ET1603-6 at 1/5,000 dilution for 45 minutes at room temperature. Goat anti-Rabbit IgG-HRP Secondary Antibody (HA1001) was used at 1:300,000 dilution for 30 minutes at room temperature. Lane 1: Hela whole cell lysates at 10 μg; Lane 2: IKB alpha (ET1603-6) IP in Hela whole cell lysates; Lane 3: Rabbit IgG instead of IKB alpha (ET1603-6) in Hela whole cell lysates. Predicted band size: 36 kDa Observed band size: 36 kDa Exposure time: 1 minute; 12% SDS-PAGE gel.
Immunohistochemical analysis of paraffin-embedded human kidney tissue with Rabbit anti-IKB alpha antibody (HA750068) at 1/1,000 dilution. The section was pre-treated using heat mediated antigen retrieval with Tris-EDTA buffer (pH 9.0) for 20 minutes. The tissues were blocked in 1% BSA for 20 minutes at room temperature, washed with ddH2O and PBS, and then probed with the primary antibody (HA750068) at 1/1,000 dilution for 1 hour at room temperature. The detection was performed using an HRP conjugated compact polymer system. DAB was used as the chromogen. Tissues were counterstained with hematoxylin and mounted with DPX.
quantity: 100μl
price: 649.00 USD
to the supplier
Phospho-IKB alpha (S32)
HUABIO
catalog: HA750196
domestic rabbit monoclonal (ST53-05)
reactivity:
human
,
mouse
application:
western blot
,
immunoprecipitation
Western blot analysis of Phospho-IKB alpha (S32) on different lysates with Rabbit anti-Phospho-IKB alpha (S32) antibody (HA750196) at 1/1,000 dilution. Lane 1: HeLa cell lysate Lane 2: HeLa treated with 20ng/mL TNF-α for 5 minutes cell lysate Lane 3: HeLa treated with 20ng/mL TNF-α for 5 minutes cell lysate, then the membrane treated with λpp for 1 hour Lysates/proteins at 20 µg/Lane. Predicted band size: 36 kDa Observed band size: 36 kDa Exposure time: 1 minute 2 seconds; 4-20% SDS-PAGE gel. Proteins were transferred to a PVDF membrane and blocked with 5% NFDM/TBST for 1 hour at room temperature. The primary antibody (HA750196) at 1/1,000 dilution was used in 5% NFDM/TBST at 4℃ overnight. Goat Anti-Rabbit IgG - HRP Secondary Antibody (HA1001) at 1/50,000 dilution was used for 1 hour at room temperature.
Western blot analysis of Phospho-IKB alpha (S32) on NIH-3T3 cell lysates. Lane 1: NIH/3T3 cells were starved for 18 hours, whole cell lysate, 10 ug/lane. Lane 2: NIH/3T3 cells were starved for 18 hours, then treated with 20 ng/ml TNF alpha for 5 minutes, whole cell lysates, 10 ug/lane. Lane 3: NIH/3T3 cells were starved for 18 hours, then treated with 20 ng/ml TNF alpha for 10 minutes, whole cell lysates, 10 ug/lane. Proteins were transferred to a PVDF membrane and blocked with 5% BSA in PBS for 1 hour at room temperature. The primary antibody Anti-Phospho-IKB alpha (S32) (HA750196, 1/1,000) , Anti-IKB alpha antibody ( ET1603-6, 1/2,000) and Anti-GAPDH antibody (ET1601-4, 1/10,000)was used in 5% BSA at room temperature for 2 hours. Goat Anti-Rabbit IgG H&L (HRP) Secondary Antibody (HA1001) at 1:200,000 dilution was used for 1 hour at room temperature. Predicted band size: 36 kDa Observed band size: 36 kDa Exposure time: 1 minute
Immunocytochemistry analysis of HeLa cells labeling Phospho-IKB alpha (S32) with Rabbit anti-Phospho-IKB alpha (S32) antibody (HA750196) at 1/100 dilution. Cells were fixed in 4% paraformaldehyde for 20 minutes at room temperature, permeabilized with 0.1% Triton X-100 in PBS for 5 minutes at room temperature, then blocked with 1% BSA in 10% negative goat serum for 1 hour at room temperature. Cells were then incubated with Rabbit anti-Phospho-IKB alpha (S32) antibody (HA750196) at 1/100 dilution in 1% BSA in PBST overnight at 4 ℃. Goat Anti-Rabbit IgG H&L (iFluor™ 488, HA1121) was used as the secondary antibody at 1/1,000 dilution. PBS instead of the primary antibody was used as the secondary antibody only control. Nuclear DNA was labelled in blue with DAPI. Beta tubulin (M1305-2, red) was stained at 1/100 dilution overnight at +4℃. Goat Anti-Mouse IgG H&L (iFluor™ 594, HA1126) was used as the secondary antibody at 1/1,000 dilution.
quantity: 100μl
price: 649.00 USD
to the supplier
Phospho-IKB alpha (S32/S36)
HUABIO
catalog: HA751119
domestic rabbit monoclonal (PSH06-76)
reactivity:
human
,
mouse
,
rat
application:
western blot
,
immunohistochemistry - paraffin section
Western blot analysis of Phospho-IKB alpha (S32/S36) on different lysates with Rabbit anti-Phospho-IKB alpha (S32/S36) antibody (HA751119) at 1/5,000 dilution. Lane 1: HeLa cell lysate Lane 2: HeLa treated with 20ng/mL TNF-α and 100nM Calyculin A for 10 minutes cell lysate Lane 3: NIH/3T3 cell lysate Lane 4: NIH/3T3 treated with 20ng/mL TNF-α and 100nM Calyculin A for 10 minutes cell lysate Lane 5: C6 cell lysate Lane 6: C6 treated with 100ng/mL Calyculin A for 1 hours cell lysate Lysates/proteins at 20 µg/Lane. Predicted band size: 36 kDa Observed band size: 36 kDa Exposure time: 3 minutes; ECL: K1801; 4-20% SDS-PAGE gel. Proteins were transferred to a PVDF membrane and blocked with 5% NFDM/TBST for 1 hour at room temperature. The primary antibody (HA751119) at 1/5,000 dilution was used in 5% NFDM/TBST at 4℃ overnight. Goat Anti-Rabbit IgG - HRP Secondary Antibody (HA1001) at 1/50,000 dilution was used for 1 hour at room temperature.
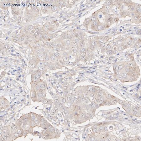
Immunohistochemical analysis of paraffin-embedded human breast cancer tissue with Rabbit anti-Phospho-IKB alpha (S32/S36) antibody (HA751119) at 1/200 dilution. The section was pre-treated using heat mediated antigen retrieval with sodium citrate buffer (pH 6.0) (high pressure) for 2 minutes. The tissues were blocked in 1% BSA for 20 minutes at room temperature, washed with ddH2O and PBS, and then probed with the primary antibody (HA751119) at 1/200 dilution for 1 hour at room temperature. The detection was performed using an HRP conjugated compact polymer system. DAB was used as the chromogen. Tissues were counterstained with hematoxylin and mounted with DPX.
Immunocytochemistry analysis of HeLa cells treated with 20ng/mL TNF-α and 100nM Calyculin A for 10 minutes labeling Phospho-IKB alpha (S32/S36) with Rabbit anti-Phospho-IKB alpha (S32/S36) antibody (HA751119) at 1/1,000 dilution. Cells were fixed in 4% paraformaldehyde for 20 minutes at room temperature, permeabilized with 0.1% Triton X-100 in PBS for 5 minutes at room temperature, then blocked with 1% BSA in 10% negative goat serum for 1 hour at room temperature. Cells were then incubated with Rabbit anti-Phospho-IKB alpha (S32/S36) antibody (HA751119) at 1/1,000 dilution in 1% BSA in PBST overnight at 4 ℃. Goat Anti-Rabbit IgG H&L (iFluor™ 488, HA1121) was used as the secondary antibody at 1/1,000 dilution. PBS instead of the primary antibody was used as the secondary antibody only control. Nuclear DNA was labelled in blue with DAPI. Beta tubulin (M1305-2, red) was stained at 1/100 dilution overnight at +4℃. Goat Anti-Mouse IgG H&L (iFluor™ 594, HA1126) was used as the secondary antibody at 1/1,000 dilution.
quantity: 100μl
price: 649.00 USD
to the supplier
Anti-Phospho-IKB alpha(S32) Antibody [ST53-05]
HUABIO
catalog: ET1609-78TR
domestic rabbit monoclonal (ST53-05)
reactivity:
human
,
mouse
application:
western blot
,
immunoprecipitation
quantity: 20 uL
price: 99 USD
to the supplier