domestic rabbit monoclonal (PSH14-07)
reactivity: human, mouse, rat
application: western blot, immunoprecipitation, immunohistochemistry - paraffin section
reactivity: human, mouse, rat
application: western blot, immunoprecipitation, immunohistochemistry - paraffin section

Western blot analysis of NDUFA9 on different lysates with Rabbit anti-NDUFA9 antibody (HA723597) at 1/5,000 dilution. Lane 1: HepG2 cell lysate Lane 2: HeLa cell lysate Lane 3: U-2 OS cell lysate Lane 4: Caco-2 cell lysate Lane 5: COS-1 cell lysate Lane 6: NIH/3T3 cell lysate Lane 7: Neuro-2a cell lysate Lane 8: C6 cell lysate Lane 9: L6 cell lysate Lane 10: Mouse liver tissue lysate Lane 11: Rat liver tissue lysate Lane 12: Mouse skeletal muscle tissue lysate Lane 13: Rat skeletal muscle tissue lysate Lysates/proteins at 20 µg/Lane. Predicted band size: 43 kDa Observed band size: 36 kDa Exposure time: 10 seconds; ECL: K1801; 4-20% SDS-PAGE gel. Proteins were transferred to a PVDF membrane and blocked with 5% NFDM/TBST for 1 hour at room temperature. The primary antibody (HA723597) at 1/5,000 dilution was used in primary antibody dilution (K1803) at 4℃ overnight. Goat Anti-Rabbit IgG - HRP Secondary Antibody (HA1001) at 1/50,000 dilution was used for 1 hour at room temperature.

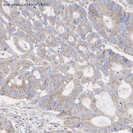
Immunohistochemical analysis of paraffin-embedded human colon cancer tissue with Rabbit anti-NDUFA9 antibody (HA723597) at 1/200 dilution. The section was pre-treated using heat mediated antigen retrieval with Tris-EDTA buffer (pH 9.0) for 20 minutes. The tissues were blocked in 1% BSA for 20 minutes at room temperature, washed with ddH2O and PBS, and then probed with the primary antibody (HA723597) at 1/200 dilution for 1 hour at room temperature. The detection was performed using an HRP conjugated compact polymer system. DAB was used as the chromogen. Tissues were counterstained with hematoxylin and mounted with DPX.

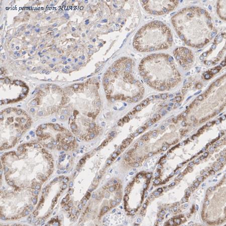
Immunohistochemical analysis of paraffin-embedded human kidney tissue with Rabbit anti-NDUFA9 antibody (HA723597) at 1/200 dilution. The section was pre-treated using heat mediated antigen retrieval with Tris-EDTA buffer (pH 9.0) for 20 minutes. The tissues were blocked in 1% BSA for 20 minutes at room temperature, washed with ddH2O and PBS, and then probed with the primary antibody (HA723597) at 1/200 dilution for 1 hour at room temperature. The detection was performed using an HRP conjugated compact polymer system. DAB was used as the chromogen. Tissues were counterstained with hematoxylin and mounted with DPX.
quantity: 100μl
price: 385.00 USD
to the supplier
domestic rabbit monoclonal (PSH14-08)
reactivity: human, mouse, rat
application: western blot, immunoprecipitation
reactivity: human, mouse, rat
application: western blot, immunoprecipitation

Western blot analysis of NDUFA9 on different lysates with Rabbit anti-NDUFA9 antibody (HA723598) at 1/5,000 dilution. Lane 1: HepG2 cell lysate Lane 2: HeLa cell lysate Lane 3: U-2 OS cell lysate Lane 4: Caco-2 cell lysate Lane 5: COS-1 cell lysate Lane 6: NIH/3T3 cell lysate Lane 7: Neuro-2a cell lysate Lane 8: C6 cell lysate Lane 9: L6 cell lysate Lane 10: Mouse liver tissue lysate Lane 11: Rat liver tissue lysate Lane 12: Mouse skeletal muscle tissue lysate Lane 13: Rat skeletal muscle tissue lysate Lysates/proteins at 20 µg/Lane. Predicted band size: 43 kDa Observed band size: 36 kDa Exposure time: 10 seconds; ECL: K1801; 4-20% SDS-PAGE gel. Proteins were transferred to a PVDF membrane and blocked with 5% NFDM/TBST for 1 hour at room temperature. The primary antibody (HA723598) at 1/5,000 dilution was used in primary antibody dilution (K1803) at 4℃ overnight. Goat Anti-Rabbit IgG - HRP Secondary Antibody (HA1001) at 1/50,000 dilution was used for 1 hour at room temperature.

NDUFA9 was immunoprecipitated from 0.2 mg HepG2 cell lysate with HA723598 at 2 µg/10 µl beads. Western blot was performed from the immunoprecipitate using HA723598 at 1/5,000 dilution. HRP Conjugated Anti-Rabbit IgG for IP Nano-secondary antibody at 1/5,000 dilution was used for 1 hour at room temperature. Lane 1: HepG2 cell lysate (input) Lane 2: HA723598 IP in HepG2 cell lysate Lane 3: Rabbit IgG instead of HA723598 in HepG2 cell lysate Blocking/Dilution buffer: 5% NFDM/TBST Exposure time: 15 seconds; ECL: K1801
quantity: 100μl
price: 385.00 USD
to the supplier
domestic rabbit monoclonal (PSH14-07)
reactivity: human, mouse, rat
application: western blot, immunoprecipitation, immunohistochemistry - paraffin section
reactivity: human, mouse, rat
application: western blot, immunoprecipitation, immunohistochemistry - paraffin section

Western blot analysis of NDUFA9 on different lysates with Rabbit anti-NDUFA9 antibody (HA751502) at 1/5,000 dilution. Lane 1: HepG2 cell lysate Lane 2: HeLa cell lysate Lane 3: U-2 OS cell lysate Lane 4: Caco-2 cell lysate Lane 5: COS-1 cell lysate Lane 6: NIH/3T3 cell lysate Lane 7: Neuro-2a cell lysate Lane 8: C6 cell lysate Lane 9: L6 cell lysate Lane 10: Mouse liver tissue lysate Lane 11: Rat liver tissue lysate Lane 12: Mouse skeletal muscle tissue lysate Lane 13: Rat skeletal muscle tissue lysate Lysates/proteins at 20 µg/Lane. Predicted band size: 43 kDa Observed band size: 36 kDa Exposure time: 10 seconds; ECL: K1801; 4-20% SDS-PAGE gel. Proteins were transferred to a PVDF membrane and blocked with 5% NFDM/TBST for 1 hour at room temperature. The primary antibody (HA751502) at 1/5,000 dilution was used in primary antibody dilution (K1803) at 4℃ overnight. Goat Anti-Rabbit IgG - HRP Secondary Antibody (HA1001) at 1/50,000 dilution was used for 1 hour at room temperature.

Immunohistochemical analysis of paraffin-embedded human colon cancer tissue with Rabbit anti-NDUFA9 antibody (HA751502) at 1/200 dilution. The section was pre-treated using heat mediated antigen retrieval with Tris-EDTA buffer (pH 9.0) for 20 minutes. The tissues were blocked in 1% BSA for 20 minutes at room temperature, washed with ddH2O and PBS, and then probed with the primary antibody (HA751502) at 1/200 dilution for 1 hour at room temperature. The detection was performed using an HRP conjugated compact polymer system. DAB was used as the chromogen. Tissues were counterstained with hematoxylin and mounted with DPX.

Immunohistochemical analysis of paraffin-embedded human kidney tissue with Rabbit anti-NDUFA9 antibody (HA751502) at 1/200 dilution. The section was pre-treated using heat mediated antigen retrieval with Tris-EDTA buffer (pH 9.0) for 20 minutes. The tissues were blocked in 1% BSA for 20 minutes at room temperature, washed with ddH2O and PBS, and then probed with the primary antibody (HA751502) at 1/200 dilution for 1 hour at room temperature. The detection was performed using an HRP conjugated compact polymer system. DAB was used as the chromogen. Tissues were counterstained with hematoxylin and mounted with DPX.
quantity: 100μl
price: 649.00 USD
to the supplier
domestic rabbit monoclonal (PSH14-08)
reactivity: human, mouse, rat
application: western blot, immunoprecipitation
reactivity: human, mouse, rat
application: western blot, immunoprecipitation

Western blot analysis of NDUFA9 on different lysates with Rabbit anti-NDUFA9 antibody (HA751503) at 1/5,000 dilution. Lane 1: HepG2 cell lysate Lane 2: HeLa cell lysate Lane 3: U-2 OS cell lysate Lane 4: Caco-2 cell lysate Lane 5: COS-1 cell lysate Lane 6: NIH/3T3 cell lysate Lane 7: Neuro-2a cell lysate Lane 8: C6 cell lysate Lane 9: L6 cell lysate Lane 10: Mouse liver tissue lysate Lane 11: Rat liver tissue lysate Lane 12: Mouse skeletal muscle tissue lysate Lane 13: Rat skeletal muscle tissue lysate Lysates/proteins at 20 µg/Lane. Predicted band size: 43 kDa Observed band size: 36 kDa Exposure time: 10 seconds; ECL: K1801; 4-20% SDS-PAGE gel. Proteins were transferred to a PVDF membrane and blocked with 5% NFDM/TBST for 1 hour at room temperature. The primary antibody (HA751503) at 1/5,000 dilution was used in primary antibody dilution (K1803) at 4℃ overnight. Goat Anti-Rabbit IgG - HRP Secondary Antibody (HA1001) at 1/50,000 dilution was used for 1 hour at room temperature.

NDUFA9 was immunoprecipitated from 0.2 mg HepG2 cell lysate with HA751503 at 2 µg/10 µl beads. Western blot was performed from the immunoprecipitate using HA751503 at 1/5,000 dilution. HRP Conjugated Anti-Rabbit IgG for IP Nano-secondary antibody at 1/5,000 dilution was used for 1 hour at room temperature. Lane 1: HepG2 cell lysate (input) Lane 2: HA751503 IP in HepG2 cell lysate Lane 3: Rabbit IgG instead of HA751503 in HepG2 cell lysate Blocking/Dilution buffer: 5% NFDM/TBST Exposure time: 15 seconds; ECL: K1801
quantity: 100μl
price: 649.00 USD
to the supplier
