Sign in
Sign up
home
>
HUABIO
> HUABIO CD56 antibody
NCAM1 / CD56
HUABIO
catalog: ET1702-43
domestic rabbit monoclonal (JF1021)
reactivity:
human
,
zebrafish
application:
western blot
,
immunoprecipitation
,
flow cytometry
,
immunohistochemistry - paraffin section
Western blot analysis of NCAM1 / CD56 on SH-SY5Y cell lysates with Rabbit anti-NCAM1 / CD56 antibody (ET1702-43) at 1/500 dilution. Lysates/proteins at 10 µg/Lane. Predicted band size: 95 kDa Observed band size: 120/140 kDa Exposure time: 2 minutes; 6% SDS-PAGE gel. Proteins were transferred to a PVDF membrane and blocked with 5% NFDM/TBST for 1 hour at room temperature. The primary antibody (ET1702-43) at 1/500 dilution was used in 5% NFDM/TBST at room temperature for 2 hours. Goat Anti-Rabbit IgG - HRP Secondary Antibody (HA1001) at 1:300,000 dilution was used for 1 hour at room temperature.
Western blot analysis of NCAM1 / CD56 on human brain tissue lysates with Rabbit anti-NCAM1 / CD56 antibody (ET1702-43) at 1/2,000 dilution. Lysates/proteins at 20 µg/Lane. Predicted band size: 95 kDa Observed band size: 140/180 kDa Exposure time: 30 seconds; 6% SDS-PAGE gel. Proteins were transferred to a PVDF membrane and blocked with 5% NFDM/TBST for 1 hour at room temperature. The primary antibody (ET1702-43) at 1/2,000 dilution was used in 5% NFDM/TBST at room temperature for 2 hours. Goat Anti-Rabbit IgG - HRP Secondary Antibody (HA1001) at 1:300,000 dilution was used for 1 hour at room temperature.
Fluorescence multiplex immunohistochemical analysis of Tertiary Lymphoid Structures in Human Small Cell Lung Cancer (Formalin/PFA-fixed paraffin-embedded sections). Panel A: the merged image of anti-CD20 (HA721138, green), anti-PD-L1 (HA721176, cyan), anti-CD56 (ET1702-43, magenta) and anti-CD3 (HA720082, yellow) on tertiary lymphoid structures. Panel B: anti- CD20 stained on B cells. Panel C: anti-PD-L1 stained on dendritic cells and macrophages cells. Panel D: anti-CD56 stained on NKT cells. Panel E: anti-CD3 stained on T cells. HRP Conjugated UltraPolymer Goat Polyclonal Antibody HA1119/HA1120 was used as a secondary antibody. The immunostaining was performed with the Sequential Immuno-staining Kit (IRISKit™MH010101, www.luminiris.cn). The section was incubated in four rounds of staining: in the order of HA721138 (1/1,500 dilution), HA721176 (1/1,000 dilution), ET1702-43 (1/1,000 dilution), and HA720082 (1/500 dilution) for 20 mins at room temperature. Each round was followed by a separate fluorescent tyramide signal amplification system. Heat mediated antigen retrieval with Tris-EDTA buffer (pH 9.0) for 30 mins at 95℃. DAPI (blue) was used as a nuclear counter stain. Image acquisition was performed with Olympus VS200 Slide Scanner.
quantity: 100μl
price: 385.00 USD
to the supplier
NCAM1 / CD56
HUABIO
catalog: HA601126
mouse monoclonal (PDH0-07)
reactivity:
human
application:
western blot
,
immunohistochemistry - paraffin section
Western blot analysis of NCAM1 / CD56 on different lysates with Mouse anti-NCAM1 / CD56 antibody (HA601126) at 1/2,000 dilution. Lane 1: SH-SY5Y cell lysate Lane 2: MCF7 cell lysate (negative) Lane 3: Human brain tissue lysate Lysates/proteins at 20 µg/Lane. Predicted band size: 95 kDa Observed band size: 140-250 kDa Exposure time: 10 seconds; ECL: K1801; 4-20% SDS-PAGE gel. Proteins were transferred to a PVDF membrane and blocked with 5% NFDM/TBST for 1 hour at room temperature. The primary antibody (HA601126) at 1/2,000 dilution was used in 5% NFDM/TBST at 4℃ overnight. Goat Anti-Mouse IgG - HRP Secondary Antibody (HA1006) at 1/50,000 dilution was used for 1 hour at room temperature.
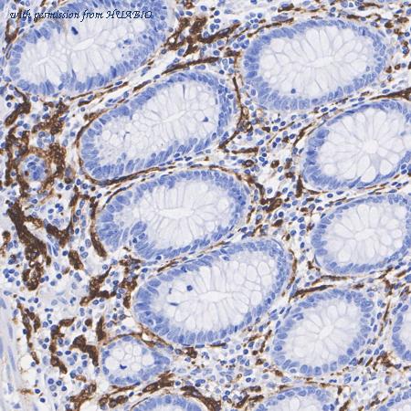
Immunohistochemical analysis of paraffin-embedded human appendix tissue with Mouse anti-NCAM1 / CD56 antibody (HA601126) at 1/1,000 dilution. The section was pre-treated using heat mediated antigen retrieval with Tris-EDTA buffer (pH 9.0) for 20 minutes. The tissues were blocked in 1% BSA for 20 minutes at room temperature, washed with ddH2O and PBS, and then probed with the primary antibody (HA601126) at 1/1,000 dilution for 1 hour at room temperature. The detection was performed using an HRP conjugated compact polymer system. DAB was used as the chromogen. Tissues were counterstained with hematoxylin and mounted with DPX.
Immunohistochemical analysis of paraffin-embedded human brain tissue with Mouse anti-NCAM1 / CD56 antibody (HA601126) at 1/3,000 dilution. The section was pre-treated using heat mediated antigen retrieval with Tris-EDTA buffer (pH 9.0) for 20 minutes. The tissues were blocked in 1% BSA for 20 minutes at room temperature, washed with ddH2O and PBS, and then probed with the primary antibody (HA601126) at 1/3,000 dilution for 1 hour at room temperature. The detection was performed using an HRP conjugated compact polymer system. DAB was used as the chromogen. Tissues were counterstained with hematoxylin and mounted with DPX.
quantity: 100μl
price: 360.00 USD
to the supplier
Human NCAM1 / CD56
HUABIO
catalog: HA720215F
domestic rabbit monoclonal (PSH06-53)
reactivity:
human
conjugate: PE
application:
flow cytometry
Flow cytometric analysis of human peripheral blood lymphocytes labelling Human NCAM1 / CD56 (HA720215F, PE) and CD3 (HA600118F, APC). Cells were washed twice with cold PBS and resuspend. Then incubated for 1 hour at +4℃ with Human NCAM1 / CD56 (HA720215F, PE, 1/1,000) compared with Rabbit IgG Isotype Control (PE, 1/1,000).
quantity: 100μl
price: 385.00 USD
to the supplier
NCAM1 / CD56
HUABIO
catalog: HA722755
domestic rabbit monoclonal (PSH06-82)
reactivity:
human
,
mouse
,
rat
application:
western blot
,
flow cytometry
,
immunohistochemistry - paraffin section
,
immunohistochemistry - frozen section
Application: IHC-Fr Species: Mouse Site: Cerebral cortex Sample: Frozen section Antibody concentration: 1:500 Antigen retrieval: The section was pre-treated using heat mediated antigen retrieval with sodium citrate buffer (pH 6.0) for about 2 minutes in microwave oven.
Application: IHC-Fr Species: Rat Site: Cerebral cortex Sample: Frozen section Antibody concentration: 1:500 Antigen retrieval: The section was pre-treated using heat mediated antigen retrieval with sodium citrate buffer (pH 6.0) for about 2 minutes in microwave oven.
Immunohistochemical analysis of paraffin-embedded mouse brain tissue with Rabbit anti-NCAM1 / CD56 antibody (HA722755) at 1/1,000 dilution. The section was pre-treated using heat mediated antigen retrieval with Tris-EDTA buffer (pH 9.0) for 20 minutes. The tissues were blocked in 1% BSA for 20 minutes at room temperature, washed with ddH2O and PBS, and then probed with the primary antibody (HA722755) at 1/1,000 dilution for 1 hour at room temperature. The detection was performed using an HRP conjugated compact polymer system. DAB was used as the chromogen. Tissues were counterstained with hematoxylin and mounted with DPX.
quantity: 100μl
price: 385.00 USD
to the supplier
NCAM1 / CD56
HUABIO
catalog: HA722756
domestic rabbit monoclonal (PSH06-53)
reactivity:
human
,
mouse
,
rat
application:
western blot
,
immunoprecipitation
,
flow cytometry
,
immunohistochemistry - paraffin section
Western blot analysis of NCAM1 / CD56 on different lysates with Rabbit anti-NCAM1 / CD56 antibody (HA722756) at 1/3,000 dilution. Lane 1: SH-SY5Y cell lysate (20 µg/Lane) Lane 2: HeLa cell lysate (negative) (20 µg/Lane) Lane 3: C6 cell lysate (20 µg/Lane) Lane 4: Rat brain tissue lysate (20 µg/Lane) Predicted band size: 95 kDa Observed band size: 120-250 kDa Exposure time: 5 seconds; ECL: K1801; 4-20% SDS-PAGE gel. Proteins were transferred to a PVDF membrane and blocked with 5% NFDM/TBST for 1 hour at room temperature. The primary antibody (HA722756) at 1/3,000 dilution was used in 5% NFDM/TBST at 4℃ overnight. Goat Anti-Rabbit IgG - HRP Secondary Antibody (HA1001) at 1/50,000 dilution was used for 1 hour at room temperature.
Immunohistochemical analysis of paraffin-embedded human brain tissue with Rabbit anti-NCAM1 / CD56 antibody (HA722756) at 1/1,000 dilution. The section was pre-treated using heat mediated antigen retrieval with Tris-EDTA buffer (pH 9.0) for 20 minutes. The tissues were blocked in 1% BSA for 20 minutes at room temperature, washed with ddH2O and PBS, and then probed with the primary antibody (HA722756) at 1/1,000 dilution for 1 hour at room temperature. The detection was performed using an HRP conjugated compact polymer system. DAB was used as the chromogen. Tissues were counterstained with hematoxylin and mounted with DPX.
Immunohistochemical analysis of paraffin-embedded rat brain tissue with Rabbit anti-NCAM1 / CD56 antibody (HA722756) at 1/1,000 dilution. The section was pre-treated using heat mediated antigen retrieval with Tris-EDTA buffer (pH 9.0) for 20 minutes. The tissues were blocked in 1% BSA for 20 minutes at room temperature, washed with ddH2O and PBS, and then probed with the primary antibody (HA722756) at 1/1,000 dilution for 1 hour at room temperature. The detection was performed using an HRP conjugated compact polymer system. DAB was used as the chromogen. Tissues were counterstained with hematoxylin and mounted with DPX.
quantity: 100μl
price: 385.00 USD
to the supplier
Human NCAM1
HUABIO
catalog: HA722946
domestic rabbit monoclonal (PSH08-07)
reactivity:
human
application:
ELISA
Sandwich ELISA analysis of Human NCAM1 matched pair antibodies Elisa assay was performed by coating wells of a 96-well plate with 100 µl per well of capture antibody (HA722946) diluted in carbonate/bicarbonate buffer, at a concentration of 5 µg/ml overnight at 4℃. Wells of the plate were washed, blocked with 150 µl 0.05% tween-20 1%BSA blocking buffer, and incubated with serial diluted Recombinant Human NCAM1 protein (HA210820) starting from 5000 pg/ml to 0 pg/ml and detect antibody (HA722947, Biotin, 0.2 µg/ml) for 1 hour at 30℃ with shaking. Then the plate was washed and incubated with 100 µl per well of SA-HRP for 0.5 hour at 30℃ with shaking. Detection was performed using an Ultra TMB Substrate for 10 minutes at room temperature in the dark. The reaction was stopped with sulfuric acid and absorbances were read on a spectrophotometer at 450 nm.
Interpolated concentrations of native NCAM1 in human samples. Interpolated concentration of native NCAM1 was measured in duplicate at different sample concentrations. Undiluted samples were 1% cell supernatant. The interpolated dilution factor corrected values were plotted (mean +/- SD, n=2). The mean NCAM1 concentration was determined to be 320 ng/mL in human serum.
Interpolated concentrations of native NCAM1 in human cell culture supernatant samples. Interpolated concentration of native NCAM1 was measured in duplicate at different sample concentrations. Undiluted samples were 50% cell supernatant. The interpolated dilution factor corrected values were plotted (mean +/- SD, n=2). The mean NCAM1 concentration was determined to be 4621 pg/mL in SH-SY5Y cell culture supernatant samples.
quantity: 100μl
price: 649.00 USD
to the supplier
Human NCAM1
HUABIO
catalog: HA722947
domestic rabbit monoclonal (PSH08-08)
reactivity:
human
application:
ELISA
Sandwich ELISA analysis of Human NCAM1 matched pair antibodies Elisa assay was performed by coating wells of a 96-well plate with 100 µl per well of capture antibody (HA722946) diluted in carbonate/bicarbonate buffer, at a concentration of 5 µg/ml overnight at 4℃. Wells of the plate were washed, blocked with 150 µl 0.05% tween-20 1%BSA blocking buffer, and incubated with serial diluted Recombinant Human NCAM1 protein (HA210820) starting from 5000 pg/ml to 0 pg/ml and detect antibody (HA722947, Biotin, 0.2 µg/ml) for 1 hour at 30℃ with shaking. Then the plate was washed and incubated with 100 µl per well of SA-HRP for 0.5 hour at 30℃ with shaking. Detection was performed using an Ultra TMB Substrate for 10 minutes at room temperature in the dark. The reaction was stopped with sulfuric acid and absorbances were read on a spectrophotometer at 450 nm.
Interpolated concentrations of native NCAM1 in human samples. Interpolated concentration of native NCAM1 was measured in duplicate at different sample concentrations. Undiluted samples were 1% cell supernatant. The interpolated dilution factor corrected values were plotted (mean +/- SD, n=2). The mean NCAM1 concentration was determined to be 320 ng/mL in human serum.
Interpolated concentrations of native NCAM1 in human cell culture supernatant samples. Interpolated concentration of native NCAM1 was measured in duplicate at different sample concentrations. Undiluted samples were 50% cell supernatant. The interpolated dilution factor corrected values were plotted (mean +/- SD, n=2). The mean NCAM1 concentration was determined to be 4621 pg/mL in SH-SY5Y cell culture supernatant samples.
quantity: 100μl
price: 649.00 USD
to the supplier
Human NCAM1
HUABIO
catalog: HA722948B
domestic rabbit monoclonal (PSH08-08)
reactivity:
human
conjugate: biotin
application:
ELISA
Sandwich ELISA analysis of Human NCAM1 matched pair antibodies Elisa assay was performed by coating wells of a 96-well plate with 100 µl per well of capture antibody (HA722946) diluted in carbonate/bicarbonate buffer, at a concentration of 5 µg/ml overnight at 4℃. Wells of the plate were washed, blocked with 150 µl 0.05% tween-20 1%BSA blocking buffer, and incubated with serial diluted Recombinant Human NCAM1 protein (HA210820) starting from 5000 pg/ml to 0 pg/ml and detect antibody (HA722948B, 0.2 µg/ml) for 1 hour at 30℃ with shaking. Then the plate was washed and incubated with 100 µl per well of SA-HRP for 0.5 hour at 30℃ with shaking. Detection was performed using an Ultra TMB Substrate for 10 minutes at room temperature in the dark. The reaction was stopped with sulfuric acid and absorbances were read on a spectrophotometer at 450 nm.
Interpolated concentrations of native NCAM1 in human samples. Interpolated concentration of native NCAM1 was measured in duplicate at different sample concentrations. Undiluted samples were 1% cell supernatant. The interpolated dilution factor corrected values were plotted (mean +/- SD, n=2). The mean NCAM1 concentration was determined to be 320 ng/mL in human serum.
Interpolated concentrations of native NCAM1 in human cell culture supernatant samples. Interpolated concentration of native NCAM1 was measured in duplicate at different sample concentrations. Undiluted samples were 50% cell supernatant. The interpolated dilution factor corrected values were plotted (mean +/- SD, n=2). The mean NCAM1 concentration was determined to be 4621 pg/mL in SH-SY5Y cell culture supernatant samples.
quantity: 100μl
price: 409.00 USD
to the supplier
Human NCAM1
HUABIO
catalog: HA722949
domestic rabbit monoclonal (PSH08-09)
reactivity:
human
application:
ELISA
Sandwich ELISA analysis of Human NCAM1 matched pair antibodies Elisa assay was performed by coating wells of a 96-well plate with 100 µl per well of capture antibody (HA722947) diluted in carbonate/bicarbonate buffer, at a concentration of 5 µg/ml overnight at 4℃. Wells of the plate were washed, blocked with 150 µl 0.05% tween-20 1%BSA blocking buffer, and incubated with serial diluted Recombinant Human NCAM1 protein (HA210820) starting from 5000 pg/ml to 0 pg/ml and detect antibody (HA722949, Biotin, 0.2 µg/ml) for 1 hour at 30℃ with shaking. Then the plate was washed and incubated with 100 µl per well of SA-HRP for 0.5 hour at 30℃ with shaking. Detection was performed using an Ultra TMB Substrate for 10 minutes at room temperature in the dark. The reaction was stopped with sulfuric acid and absorbances were read on a spectrophotometer at 450 nm.
Interpolated concentrations of native NCAM1 in human samples. Interpolated concentration of native NCAM1 was measured in duplicate at different sample concentrations. Undiluted samples were 1% cell supernatant. The interpolated dilution factor corrected values were plotted (mean +/- SD, n=2). The mean NCAM1 concentration was determined to be 374 ng/mL in human serum.
Interpolated concentrations of native NCAM1 in human cell culture supernatant samples. Interpolated concentration of native NCAM1 was measured in duplicate at different sample concentrations. Undiluted samples were 50% cell supernatant. The interpolated dilution factor corrected values were plotted (mean +/- SD, n=2). The mean NCAM1 concentration was determined to be 3503 pg/mL in SH-SY5Y cell culture supernatant samples.
quantity: 100μl
price: 649.00 USD
to the supplier
Human NCAM1
HUABIO
catalog: HA722950B
domestic rabbit monoclonal (PSH08-09)
reactivity:
human
conjugate: biotin
application:
ELISA
Sandwich ELISA analysis of Human NCAM1 matched pair antibodies Elisa assay was performed by coating wells of a 96-well plate with 100 µl per well of capture antibody (HA722947) diluted in carbonate/bicarbonate buffer, at a concentration of 5 µg/ml overnight at 4℃. Wells of the plate were washed, blocked with 150 µl 0.05% tween-20 1%BSA blocking buffer, and incubated with serial diluted Recombinant Human NCAM1 protein (HA210820) starting from 5000 pg/ml to 0 pg/ml and detect antibody (HA722950B, 0.2 µg/ml) for 1 hour at 30℃ with shaking. Then the plate was washed and incubated with 100 µl per well of SA-HRP for 0.5 hour at 30℃ with shaking. Detection was performed using an Ultra TMB Substrate for 10 minutes at room temperature in the dark. The reaction was stopped with sulfuric acid and absorbances were read on a spectrophotometer at 450 nm.
Interpolated concentrations of native NCAM1 in human samples. Interpolated concentration of native NCAM1 was measured in duplicate at different sample concentrations. Undiluted samples were 1% cell supernatant. The interpolated dilution factor corrected values were plotted (mean +/- SD, n=2). The mean NCAM1 concentration was determined to be 374 ng/mL in human serum.
Interpolated concentrations of native NCAM1 in human cell culture supernatant samples. Interpolated concentration of native NCAM1 was measured in duplicate at different sample concentrations. Undiluted samples were 50% cell supernatant. The interpolated dilution factor corrected values were plotted (mean +/- SD, n=2). The mean NCAM1 concentration was determined to be 3503 pg/mL in SH-SY5Y cell culture supernatant samples.
quantity: 100μl
price: 409.00 USD
to the supplier
NCAM1 / CD56
HUABIO
catalog: HA723041
domestic rabbit monoclonal (PSH08-89)
reactivity:
human
application:
western blot
,
immunohistochemistry - paraffin section
Western blot analysis of NCAM1 / CD56 on different lysates with Rabbit anti-NCAM1 / CD56 antibody (HA723041) at 1/2,000 dilution. Lane 1: SH-SY5Y cell lysate (20 µg/Lane) Lane 2: MCF7 cell lysate (negative)(20 µg/Lane) Lane 3: Human brain tissue lysate(20 µg/Lane) Predicted band size: 95 kDa Observed band size: 140-250 kDa Exposure time: 2 seconds; ECL: K1801; 4-20% SDS-PAGE gel. Proteins were transferred to a PVDF membrane and blocked with 5% NFDM/TBST for 1 hour at room temperature. The primary antibody (HA723041) at 1/2,000 dilution was used in 5% NFDM/TBST at 4℃ overnight. Goat Anti-Rabbit IgG - HRP Secondary Antibody (HA1001) at 1/50,000 dilution was used for 1 hour at room temperature.
Immunohistochemical analysis of paraffin-embedded human appendix tissue with Rabbit anti-NCAM1 / CD56 antibody (HA723041) at 1/10,000 dilution. The section was pre-treated using heat mediated antigen retrieval with Tris-EDTA buffer (pH 9.0) for 20 minutes. The tissues were blocked in 1% BSA for 20 minutes at room temperature, washed with ddH2O and PBS, and then probed with the primary antibody (HA723041) at 1/10,000 dilution for 1 hour at room temperature. The detection was performed using an HRP conjugated compact polymer system. DAB was used as the chromogen. Tissues were counterstained with hematoxylin and mounted with DPX.
Immunohistochemical analysis of paraffin-embedded human brain tissue with Rabbit anti-NCAM1 / CD56 antibody (HA723041) at 1/1,000 dilution. The section was pre-treated using heat mediated antigen retrieval with Tris-EDTA buffer (pH 9.0) for 20 minutes. The tissues were blocked in 1% BSA for 20 minutes at room temperature, washed with ddH2O and PBS, and then probed with the primary antibody (HA723041) at 1/1,000 dilution for 1 hour at room temperature. The detection was performed using an HRP conjugated compact polymer system. DAB was used as the chromogen. Tissues were counterstained with hematoxylin and mounted with DPX.
quantity: 100μl
price: 385.00 USD
to the supplier
NCAM1 / CD56
HUABIO
catalog: HA750346
domestic rabbit monoclonal (JF1021)
reactivity:
human
,
zebrafish
application:
western blot
,
immunoprecipitation
,
flow cytometry
,
immunohistochemistry - paraffin section
Western blot analysis of NCAM1 / CD56 on SH-SY5Y cell lysates with Rabbit anti-NCAM1 / CD56 antibody (HA750346) at 1/500 dilution. Lysates/proteins at 10 µg/Lane. Predicted band size: 95 kDa Observed band size: 120/140 kDa Exposure time: 2 minutes; 6% SDS-PAGE gel. Proteins were transferred to a PVDF membrane and blocked with 5% NFDM/TBST for 1 hour at room temperature. The primary antibody (HA750346) at 1/500 dilution was used in 5% NFDM/TBST at room temperature for 2 hours. Goat Anti-Rabbit IgG - HRP Secondary Antibody (HA1001) at 1:300,000 dilution was used for 1 hour at room temperature.
Western blot analysis of NCAM1 / CD56 on human brain tissue lysates with Rabbit anti-NCAM1 / CD56 antibody (HA750346) at 1/2,000 dilution. Lysates/proteins at 20 µg/Lane. Predicted band size: 95 kDa Observed band size: 140/180 kDa Exposure time: 30 seconds; 6% SDS-PAGE gel. Proteins were transferred to a PVDF membrane and blocked with 5% NFDM/TBST for 1 hour at room temperature. The primary antibody (HA750346) at 1/2,000 dilution was used in 5% NFDM/TBST at room temperature for 2 hours. Goat Anti-Rabbit IgG - HRP Secondary Antibody (HA1001) at 1:300,000 dilution was used for 1 hour at room temperature.
ICC staining of NCAM1 / CD56 in A549 cells (red). Formalin fixed cells were permeabilized with 0.1% Triton X-100 in TBS for 10 minutes at room temperature and blocked with 1% Blocker BSA for 15 minutes at room temperature. Cells were probed with the primary antibody (HA750346, 1/50) for 1 hour at room temperature, washed with PBS. Alexa Fluor®594 Goat anti-Rabbit IgG was used as the secondary antibody at 1/1,000 dilution. The nuclear counter stain is DAPI (blue).
quantity: 100μl
price: 649.00 USD
to the supplier
NCAM1 / CD56
HUABIO
catalog: HA751104
domestic rabbit monoclonal (PSH06-82)
reactivity:
human
,
mouse
,
rat
application:
western blot
,
flow cytometry
,
immunohistochemistry - paraffin section
,
immunohistochemistry - frozen section
Application: IHC-Fr Species: Mouse Site: Cerebral cortex Sample: Frozen section Antibody concentration: 1:500 Antigen retrieval: The section was pre-treated using heat mediated antigen retrieval with sodium citrate buffer (pH 6.0) for about 2 minutes in microwave oven.
Application: IHC-Fr Species: Rat Site: Cerebral cortex Sample: Frozen section Antibody concentration: 1:500 Antigen retrieval: The section was pre-treated using heat mediated antigen retrieval with sodium citrate buffer (pH 6.0) for about 2 minutes in microwave oven.
Immunohistochemical analysis of paraffin-embedded mouse brain tissue with Rabbit anti-NCAM1 / CD56 antibody (HA751104) at 1/1,000 dilution. The section was pre-treated using heat mediated antigen retrieval with Tris-EDTA buffer (pH 9.0) for 20 minutes. The tissues were blocked in 1% BSA for 20 minutes at room temperature, washed with ddH2O and PBS, and then probed with the primary antibody (HA751104) at 1/1,000 dilution for 1 hour at room temperature. The detection was performed using an HRP conjugated compact polymer system. DAB was used as the chromogen. Tissues were counterstained with hematoxylin and mounted with DPX.
quantity: 100μl
price: 649.00 USD
to the supplier
NCAM1 / CD56
HUABIO
catalog: HA751105
domestic rabbit monoclonal (PSH06-53)
reactivity:
human
,
mouse
,
rat
application:
western blot
,
immunoprecipitation
,
flow cytometry
,
immunohistochemistry - paraffin section
Western blot analysis of NCAM1 / CD56 on different lysates with Rabbit anti-NCAM1 / CD56 antibody (HA751105) at 1/3,000 dilution. Lane 1: SH-SY5Y cell lysate (20 µg/Lane) Lane 2: HeLa cell lysate (negative) (20 µg/Lane) Lane 3: C6 cell lysate (20 µg/Lane) Lane 4: Rat brain tissue lysate (20 µg/Lane) Predicted band size: 95 kDa Observed band size: 120-250 kDa Exposure time: 5 seconds; ECL: K1801; 4-20% SDS-PAGE gel. Proteins were transferred to a PVDF membrane and blocked with 5% NFDM/TBST for 1 hour at room temperature. The primary antibody (HA751105) at 1/3,000 dilution was used in 5% NFDM/TBST at 4℃ overnight. Goat Anti-Rabbit IgG - HRP Secondary Antibody (HA1001) at 1/50,000 dilution was used for 1 hour at room temperature.
Immunohistochemical analysis of paraffin-embedded human brain tissue with Rabbit anti-NCAM1 / CD56 antibody (HA751105) at 1/1,000 dilution. The section was pre-treated using heat mediated antigen retrieval with Tris-EDTA buffer (pH 9.0) for 20 minutes. The tissues were blocked in 1% BSA for 20 minutes at room temperature, washed with ddH2O and PBS, and then probed with the primary antibody (HA751105) at 1/1,000 dilution for 1 hour at room temperature. The detection was performed using an HRP conjugated compact polymer system. DAB was used as the chromogen. Tissues were counterstained with hematoxylin and mounted with DPX.
Immunohistochemical analysis of paraffin-embedded rat brain tissue with Rabbit anti-NCAM1 / CD56 antibody (HA751105) at 1/1,000 dilution. The section was pre-treated using heat mediated antigen retrieval with Tris-EDTA buffer (pH 9.0) for 20 minutes. The tissues were blocked in 1% BSA for 20 minutes at room temperature, washed with ddH2O and PBS, and then probed with the primary antibody (HA751105) at 1/1,000 dilution for 1 hour at room temperature. The detection was performed using an HRP conjugated compact polymer system. DAB was used as the chromogen. Tissues were counterstained with hematoxylin and mounted with DPX.
quantity: 100μl
price: 649.00 USD
to the supplier
NCAM1 / CD56
HUABIO
catalog: IRS026
domestic rabbit monoclonal
reactivity:
human
mIHC analysis of human tonsil tissue (Formalin/PFA-fixed paraffin-embedded sections) with CD56 (IRS026), CD68 (IRS004), CD163 (IRS002), panCK (IRS010) and CD20 (IRS003) antibody at 1/100 dilution. The immunostaining was performed with the IRISKitCmTSA Kit (900802). Heat mediated antigen retrieval with Tris-EDTA buffer (pH 9.0) for 30 mins at 95℃. DAPI (blue) was used as a nuclear counter stain. Image acquisition was performed with Olympus VS200 Slide Scanner.
mIHC analysis of human tonsil tissue (Formalin/PFA-fixed paraffin-embedded sections) with Rabbit anti-NCAM1 / CD56 antibody (IRS026) at 1/100 dilution. The immunostaining was performed with the IRISKitCmTSA Kit (900808). Heat mediated antigen retrieval with Tris-EDTA buffer (pH 9.0) for 30 mins at 95℃. DAPI (blue) was used as a nuclear counter stain. Image acquisition was performed with Olympus VS200 Slide Scanner.
quantity: 100μl
price: 385.00 USD
to the supplier
NCAM1 / CD56
HUABIO
catalog: R1204-1
domestic rabbit polyclonal
reactivity:
human
,
mouse
,
rat
application:
western blot
Western blot analysis of NCAM1 / CD56 on different lysates with Rabbit anti-NCAM1 / CD56 antibody (R1204-1) at 1/1,000 dilution. Lane 1: SH-SY5Y cell lysate (20 µg/Lane) Lane 2: NCCIT cell lysate (20 µg/Lane) Lane 3: F9 cell lysate (20 µg/Lane) Lane 4: C6 cell lysate (20 µg/Lane) Lane 5: Mouse brain tissue lysate (40 µg/Lane) Lane 6: Rat brain tissue lysate (40 µg/Lane) Predicted band size: 95 kDa Observed band size: 120-180 kDa Exposure time: 10 seconds; ECL: K1801; 4-20% SDS-PAGE gel. Proteins were transferred to a PVDF membrane and blocked with 5% NFDM/TBST for 1 hour at room temperature. The primary antibody (R1204-1) at 1/1,000 dilution was used in 5% NFDM/TBST at 4℃ overnight. Goat Anti-Rabbit IgG - HRP Secondary Antibody (HA1001) at 1/50,000 dilution was used for 1 hour at room temperature.
Immunocytochemistry analysis of SH-SY5Y cells labeling NCAM1 / CD56 with Rabbit anti-NCAM1 / CD56 antibody (R1204-1) at 1/50 dilution. Cells were fixed in 4% paraformaldehyde for 10 minutes at 37 ℃, permeabilized with 0.05% Triton X-100 in PBS for 20 minutes, and then blocked with 2% negative goat serum for 30 minutes at room temperature. Cells were then incubated with Rabbit anti-NCAM1 / CD56 antibody (R1204-1) at 1/50 dilution in 2% negative goat serum overnight at 4 ℃. Goat Anti-Rabbit IgG H&L (iFluor™ 488, HA1121) was used as the secondary antibody at 1/1,000 dilution. PBS instead of the primary antibody was used as the secondary antibody only control. Nuclear DNA was labelled in blue with DAPI.
Immunocytochemistry analysis of N2A cells labeling NCAM1 / CD56 with Rabbit anti-NCAM1 / CD56 antibody (R1204-1) at 1/50 dilution. Cells were fixed in 4% paraformaldehyde for 10 minutes at 37 ℃, permeabilized with 0.05% Triton X-100 in PBS for 20 minutes, and then blocked with 2% negative goat serum for 30 minutes at room temperature. Cells were then incubated with Rabbit anti-NCAM1 / CD56 antibody (R1204-1) at 1/50 dilution in 2% negative goat serum overnight at 4 ℃. Goat Anti-Rabbit IgG H&L (iFluor™ 488, HA1121) was used as the secondary antibody at 1/1,000 dilution. PBS instead of the primary antibody was used as the secondary antibody only control. Nuclear DNA was labelled in blue with DAPI.
quantity: 100μl
price: 330 USD
to the supplier