Sign in
Sign up
home
>
HUABIO
> HUABIO antithrombin antibody
Antithrombin III / ATIII / SERPINC1
HUABIO
catalog: EM1901-10
mouse monoclonal (15F2)
reactivity:
human
,
mouse
,
rat
application:
western blot
,
flow cytometry
,
immunohistochemistry - paraffin section
Western blot analysis of Antithrombin III / ATIII / SERPINC1 on different lysates. Proteins were transferred to a PVDF membrane and blocked with 5% BSA in PBS for 1 hour at room temperature. The primary antibody (EM1901-10, 1/500) was used in 5% BSA at room temperature for 2 hours. Goat Anti-Mouse IgG - HRP Secondary Antibody (HA1006) at 1:5,000 dilution was used for 1 hour at room temperature. Positive control: Lane 1: HL-60 cell lysate Lane 2: HepG2 cell lysate Lane 3: SiHa cell lysate
Immunohistochemical analysis of paraffin-embedded rat testis tissue using anti-Antithrombin III / ATIII / SERPINC1 antibody. The section was pre-treated using heat mediated antigen retrieval with Tris-EDTA buffer (pH 8.0-8.4) for 20 minutes.The tissues were blocked in 5% BSA for 30 minutes at room temperature, washed with ddH2O and PBS, and then probed with the primary antibody (EM1901-10, 1/50) for 30 minutes at room temperature. The detection was performed using an HRP conjugated compact polymer system. DAB was used as the chromogen. Tissues were counterstained with hematoxylin and mounted with DPX.
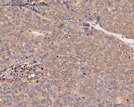
Immunohistochemical analysis of paraffin-embedded human lung carcinoma tissue using anti-Antithrombin III / ATIII / SERPINC1 antibody. The section was pre-treated using heat mediated antigen retrieval with Tris-EDTA buffer (pH 8.0-8.4) for 20 minutes.The tissues were blocked in 5% BSA for 30 minutes at room temperature, washed with ddH2O and PBS, and then probed with the primary antibody (EM1901-10, 1/50) for 30 minutes at room temperature. The detection was performed using an HRP conjugated compact polymer system. DAB was used as the chromogen. Tissues were counterstained with hematoxylin and mounted with DPX.
quantity: 100μl
price: 360.00 USD
to the supplier
Antithrombin III / ATIII / SERPINC1
HUABIO
catalog: EM1901-11
mouse monoclonal (15F1)
reactivity:
human
,
mouse
,
rat
,
zebrafish
application:
western blot
,
flow cytometry
,
immunohistochemistry - paraffin section
Western blot analysis of Antithrombin III / ATIII / SERPINC1 on different lysates with Mouse anti-Antithrombin III / ATIII / SERPINC1 antibody (EM1901-11) at 1/1,000 dilution. Lane 1: Mouse liver tissue lysate Lane 2: Mouse brain tissue lysate (low expression) Lysates/proteins at 20 µg/Lane. Predicted band size: 53 kDa Observed band size: 53 kDa Exposure time: 23 seconds; ECL: K1801; 4-20% SDS-PAGE gel. Proteins were transferred to a PVDF membrane and blocked with 5% NFDM/TBST for 1 hour at room temperature. The primary antibody (EM1901-11) at 1/1,000 dilution was used in 5% NFDM/TBST at 4℃ overnight. Goat Anti-Mouse IgG - HRP Secondary Antibody (HA1006) at 1/50,000 dilution was used for 1 hour at room temperature.
Western blot analysis of Antithrombin III / ATIII / SERPINC1 on HL-60 cell lysates. Proteins were transferred to a PVDF membrane and blocked with 5% BSA in PBS for 1 hour at room temperature. The primary antibody (EM1901-11, 1/500) was used in 5% BSA at room temperature for 2 hours. Goat Anti-Mouse IgG - HRP Secondary Antibody (HA1006) at 1:5,000 dilution was used for 1 hour at room temperature.
Western blot analysis of Antithrombin III / ATIII / SERPINC1 on different lysates. Proteins were transferred to a PVDF membrane and blocked with 5% BSA in PBS for 1 hour at room temperature. The primary antibody (EM1901-11, 1/500) was used in 5% BSA at room temperature for 2 hours. Goat Anti-Mouse IgG - HRP Secondary Antibody (HA1006) at 1:5,000 dilution was used for 1 hour at room temperature. Positive control: Lane 1: HepG2 cell lysate Lane 2: SiHa cell lysate Lane 3: U937 cell lysate
quantity: 100μl
price: 360.00 USD
to the supplier
Antithrombin III / ATIII / SERPINC1
HUABIO
catalog: ER1803-06
domestic rabbit polyclonal
reactivity:
human
,
mouse
,
rat
application:
western blot
,
flow cytometry
,
immunohistochemistry - paraffin section
Western blot analysis of SERPINC1 on different lysates using anti-SERPINC1 antibody at 1/500 dilution. Positive control: Lane 1: HepG2 Lane 2: Mouse smooth muscle Lane 3: Mouse lung
ICC staining SERPINC1 in H22 cells (green). The nuclear counter stain is DAPI (blue). Cells were fixed in paraformaldehyde, permeabilised with 0.25% Triton X100/PBS.
ICC staining SERPINC1 in HepG2 cells (green). The nuclear counter stain is DAPI (blue). Cells were fixed in paraformaldehyde, permeabilised with 0.25% Triton X100/PBS.
quantity: 100μl
price: 330 USD
to the supplier
Antithrombin III / ATIII
HUABIO
catalog: HA723429
domestic rabbit monoclonal (PSH12-13)
reactivity:
human
,
mouse
,
rat
application:
western blot
,
immunohistochemistry - paraffin section
Western blot analysis of Antithrombin III / ATIII on different lysates with Rabbit anti-Antithrombin III / ATIII antibody (HA723429) at 1/5,000 dilution. Lane 1: Mouse liver tissue lysate (40 µg/Lane) Lane 2: Mouse testis tissue lysate (40 µg/Lane) Lane 3: Rat testis tissue lysate (40 µg/Lane) Lane 4: Human plasma tissue lysate (40 µg/Lane) Predicted band size: 53 kDa Observed band size: 53 kDa Exposure time: 10 seconds; ECL: K1801; 4-20% SDS-PAGE gel. Proteins were transferred to a PVDF membrane and blocked with 5% NFDM/TBST for 1 hour at room temperature. The primary antibody (HA723429) at 1/5,000 dilution was used in 5% NFDM/TBST at 4℃ overnight. Goat Anti-Rabbit IgG - HRP Secondary Antibody (HA1001) at 1/50,000 dilution was used for 1 hour at room temperature.
Immunohistochemical analysis of paraffin-embedded human liver tissue with Rabbit anti-Antithrombin III / ATIII antibody (HA723429) at 1/200 dilution. The section was pre-treated using heat mediated antigen retrieval with Tris-EDTA buffer (pH 9.0) for 20 minutes. The tissues were blocked in 1% BSA for 20 minutes at room temperature, washed with ddH2O and PBS, and then probed with the primary antibody (HA723429) at 1/200 dilution for 1 hour at room temperature. The detection was performed using an HRP conjugated compact polymer system. DAB was used as the chromogen. Tissues were counterstained with hematoxylin and mounted with DPX.
Immunohistochemical analysis of paraffin-embedded mouse liver tissue with Rabbit anti-Antithrombin III / ATIII antibody (HA723429) at 1/1,000 dilution. The section was pre-treated using heat mediated antigen retrieval with Tris-EDTA buffer (pH 9.0) for 20 minutes. The tissues were blocked in 1% BSA for 20 minutes at room temperature, washed with ddH2O and PBS, and then probed with the primary antibody (HA723429) at 1/1,000 dilution for 1 hour at room temperature. The detection was performed using an HRP conjugated compact polymer system. DAB was used as the chromogen. Tissues were counterstained with hematoxylin and mounted with DPX.
quantity: 100μl
price: 385.00 USD
to the supplier
Human Antithrombin III / ATIII
HUABIO
catalog: HA723612
domestic rabbit monoclonal (PSH14-23)
reactivity:
human
application:
ELISA
Sandwich ELISA analysis of Human Antithrombin III matched pair antibodies Capture: HA723612, Human Antithrombin III Rabbit mAb [PSH14-23] Detector: HA723613, Human Antithrombin III Rabbit mAb [PSH14-24] Elisa assay was performed by coating wells of a 96-well plate with 100 µl per well of capture antibody (HA723612) diluted in carbonate/bicarbonate buffer, at a concentration of 2 µg/mL overnight at 4℃. Wells of the plate were washed, blocked with 150 µl 0.05% tween-20 1% BSA blocking buffer, and incubated with serial diluted Recombinant Human Antithrombin III protein (HA210985) starting from 10,000 pg/ml to 0 pg/ml and detect antibody (HA723613, Biotin, 0.2 µg/ml) for 1 hour at 30℃ with shaking. Then the plate was washed and incubated with 100 µl per well of SA-HRP for 0.5 hour at 30℃ with shaking. Detection was performed using an Ultra TMB Substrate for 10 minutes at room temperature in the dark. The reaction was stopped with sulfuric acid and absorbances were read on a spectrophotometer at 450 nm.
Interpolated concentrations of native Antithrombin III in HepG2 culture supernatant and Human urine. Capture: HA723612, Human Antithrombin III Rabbit mAb [PSH14-23] Detector: HA723613, Human Antithrombin III Rabbit mAb [PSH14-24] Interpolated concentration of native Antithrombin III was measured in duplicate at different sample concentrations and interpolated from the Antithrombin III standard curves. The interpolated dilution factor corrected values were plotted (mean +/- SD, n=2). The mean Antithrombin III concentration was determined to be 37019 pg/ml in HepG2 cell culture supernatant, 1364 pg/ml in Human urine.
Interpolated concentrations of spiked Antithrombin III in cell culture media samples. Capture: HA723612, Human Antithrombin III Rabbit mAb [PSH14-23] Detector: HA723613, Human Antithrombin III Rabbit mAb [PSH14-24] The concentrations of Antithrombin III were measured in duplicates, interpolated from the Antithrombin III standard curves and corrected for sample dilution. Undiluted samples are as follows: cell culture media 50%. The interpolated dilution factor corrected values are plotted (mean +/- SD, n=2).
quantity: 100μl
price: 649.00 USD
to the supplier
Human Antithrombin III / ATIII
HUABIO
catalog: HA723613
domestic rabbit monoclonal (PSH14-24)
reactivity:
human
application:
ELISA
Sandwich ELISA analysis of Human Antithrombin III matched pair antibodies Capture: HA723612, Human Antithrombin III Rabbit mAb [PSH14-23] Detector: HA723613, Human Antithrombin III Rabbit mAb [PSH14-24] Elisa assay was performed by coating wells of a 96-well plate with 100 µl per well of capture antibody (HA723612) diluted in carbonate/bicarbonate buffer, at a concentration of 2 µg/mL overnight at 4℃. Wells of the plate were washed, blocked with 150 µl 0.05% tween-20 1% BSA blocking buffer, and incubated with serial diluted Recombinant Human Antithrombin III protein (HA210985) starting from 10,000 pg/ml to 0 pg/ml and detect antibody (HA723613, Biotin, 0.2 µg/ml) for 1 hour at 30℃ with shaking. Then the plate was washed and incubated with 100 µl per well of SA-HRP for 0.5 hour at 30℃ with shaking. Detection was performed using an Ultra TMB Substrate for 10 minutes at room temperature in the dark. The reaction was stopped with sulfuric acid and absorbances were read on a spectrophotometer at 450 nm.
Interpolated concentrations of native Antithrombin III in HepG2 culture supernatant and Human urine. Capture: HA723612, Human Antithrombin III Rabbit mAb [PSH14-23] Detector: HA723613, Human Antithrombin III Rabbit mAb [PSH14-24] Interpolated concentration of native Antithrombin III was measured in duplicate at different sample concentrations and interpolated from the Antithrombin III standard curves. The interpolated dilution factor corrected values were plotted (mean +/- SD, n=2). The mean Antithrombin III concentration was determined to be 37019 pg/ml in HepG2 cell culture supernatant, 1364 pg/ml in Human urine.
Interpolated concentrations of spiked Antithrombin III in cell culture media samples. Capture: HA723612, Human Antithrombin III Rabbit mAb [PSH14-23] Detector: HA723613, Human Antithrombin III Rabbit mAb [PSH14-24] The concentrations of Antithrombin III were measured in duplicates, interpolated from the Antithrombin III standard curves and corrected for sample dilution. Undiluted samples are as follows: cell culture media 50%. The interpolated dilution factor corrected values are plotted (mean +/- SD, n=2).
quantity: 100μl
price: 649.00 USD
to the supplier
Human Antithrombin III / ATIII
HUABIO
catalog: HA723614B
domestic rabbit monoclonal (PSH14-24)
reactivity:
human
conjugate: biotin
application:
ELISA
Sandwich ELISA analysis of Human Antithrombin III matched pair antibodies Capture: HA723612, Human Antithrombin III Rabbit mAb [PSH14-23] Detector: HA723613, Human Antithrombin III Rabbit mAb [PSH14-24] Elisa assay was performed by coating wells of a 96-well plate with 100 µl per well of capture antibody (HA723612) diluted in carbonate/bicarbonate buffer, at a concentration of 2 µg/mL overnight at 4℃. Wells of the plate were washed, blocked with 150 µl 0.05% tween-20 1% BSA blocking buffer, and incubated with serial diluted Recombinant Human Antithrombin III protein (HA210985) starting from 10,000 pg/ml to 0 pg/ml and detect antibody (HA723613, Biotin, 0.2 µg/ml) for 1 hour at 30℃ with shaking. Then the plate was washed and incubated with 100 µl per well of SA-HRP for 0.5 hour at 30℃ with shaking. Detection was performed using an Ultra TMB Substrate for 10 minutes at room temperature in the dark. The reaction was stopped with sulfuric acid and absorbances were read on a spectrophotometer at 450 nm.
Interpolated concentrations of native Antithrombin III in HepG2 culture supernatant and Human urine. Capture: HA723612, Human Antithrombin III Rabbit mAb [PSH14-23] Detector: HA723613, Human Antithrombin III Rabbit mAb [PSH14-24] Interpolated concentration of native Antithrombin III was measured in duplicate at different sample concentrations and interpolated from the Antithrombin III standard curves. The interpolated dilution factor corrected values were plotted (mean +/- SD, n=2). The mean Antithrombin III concentration was determined to be 37019 pg/ml in HepG2 cell culture supernatant, 1364 pg/ml in Human urine.
Interpolated concentrations of spiked Antithrombin III in cell culture media samples. Capture: HA723612, Human Antithrombin III Rabbit mAb [PSH14-23] Detector: HA723613, Human Antithrombin III Rabbit mAb [PSH14-24] The concentrations of Antithrombin III were measured in duplicates, interpolated from the Antithrombin III standard curves and corrected for sample dilution. Undiluted samples are as follows: cell culture media 50%. The interpolated dilution factor corrected values are plotted (mean +/- SD, n=2).
quantity: 100μl
price: 409.00 USD
to the supplier
Human Antithrombin III / ATIII
HUABIO
catalog: HA723615
domestic rabbit monoclonal (PSH14-25)
reactivity:
human
application:
ELISA
Sandwich ELISA analysis of Human Antithrombin III matched pair antibodies Capture: HA723615, Human Antithrombin III Rabbit mAb [PSH14-25] Detector: HA723616, Human Antithrombin III Rabbit mAb [PSH14-26] Elisa assay was performed by coating wells of a 96-well plate with 100 µl per well of capture antibody (HA723615) diluted in carbonate/bicarbonate buffer, at a concentration of 2 µg/mL overnight at 4℃. Wells of the plate were washed, blocked with 150 µl 0.05% tween-20 1% BSA blocking buffer, and incubated with serial diluted Recombinant Human Antithrombin III protein (HA210985) starting from 10,000 pg/ml to 0 pg/ml and detect antibody (HA723616, Biotin, 0.2 µg/ml) for 1 hour at 30℃ with shaking. Then the plate was washed and incubated with 100 µl per well of SA-HRP for 0.5 hour at 30℃ with shaking. Detection was performed using an Ultra TMB Substrate for 10 minutes at room temperature in the dark. The reaction was stopped with sulfuric acid and absorbances were read on a spectrophotometer at 450 nm.
Interpolated concentrations of native Antithrombin III in HepG2 culture supernatant and Human urine. Capture: HA723615, Human Antithrombin III Rabbit mAb [PSH14-25] Detector: HA723616, Human Antithrombin III Rabbit mAb [PSH14-26] Interpolated concentration of native Antithrombin III was measured in duplicate at different sample concentrations and interpolated from the Antithrombin III standard curves. The interpolated dilution factor corrected values were plotted (mean +/- SD, n=2). The mean Antithrombin III concentration was determined to be 25046 pg/ml in HepG2 cell culture supernatant,317 pg/ml in Human urine.
Interpolated concentrations of spiked Antithrombin III in cell culture media samples. Capture: HA723615, Human Antithrombin III Rabbit mAb [PSH14-25] Detector: HA723616, Human Antithrombin III Rabbit mAb [PSH14-26] The concentrations of Antithrombin III were measured in duplicates, interpolated from the Antithrombin III standard curves and corrected for sample dilution. Undiluted samples are as follows: cell culture media 50%. The interpolated dilution factor corrected values are plotted (mean +/- SD, n=2).
quantity: 100μl
price: 649.00 USD
to the supplier
Human Antithrombin III / ATIII
HUABIO
catalog: HA723616
domestic rabbit monoclonal (PSH14-26)
reactivity:
human
application:
ELISA
Sandwich ELISA analysis of Human Antithrombin III matched pair antibodies Capture: HA723615, Human Antithrombin III Rabbit mAb [PSH14-25] Detector: HA723616, Human Antithrombin III Rabbit mAb [PSH14-26] Elisa assay was performed by coating wells of a 96-well plate with 100 µl per well of capture antibody (HA723615) diluted in carbonate/bicarbonate buffer, at a concentration of 2 µg/mL overnight at 4℃. Wells of the plate were washed, blocked with 150 µl 0.05% tween-20 1% BSA blocking buffer, and incubated with serial diluted Recombinant Human Antithrombin III protein (HA210985) starting from 10,000 pg/ml to 0 pg/ml and detect antibody (HA723616, Biotin, 0.2 µg/ml) for 1 hour at 30℃ with shaking. Then the plate was washed and incubated with 100 µl per well of SA-HRP for 0.5 hour at 30℃ with shaking. Detection was performed using an Ultra TMB Substrate for 10 minutes at room temperature in the dark. The reaction was stopped with sulfuric acid and absorbances were read on a spectrophotometer at 450 nm.
Interpolated concentrations of native Antithrombin III in HepG2 culture supernatant and Human urine. Capture: HA723615, Human Antithrombin III Rabbit mAb [PSH14-25] Detector: HA723616, Human Antithrombin III Rabbit mAb [PSH14-26] Interpolated concentration of native Antithrombin III was measured in duplicate at different sample concentrations and interpolated from the Antithrombin III standard curves. The interpolated dilution factor corrected values were plotted (mean +/- SD, n=2). The mean Antithrombin III concentration was determined to be 25046 pg/ml in HepG2 cell culture supernatant,317 pg/ml in Human urine.
Interpolated concentrations of spiked Antithrombin III in cell culture media samples. Capture: HA723615, Human Antithrombin III Rabbit mAb [PSH14-25] Detector: HA723616, Human Antithrombin III Rabbit mAb [PSH14-26] The concentrations of Antithrombin III were measured in duplicates, interpolated from the Antithrombin III standard curves and corrected for sample dilution. Undiluted samples are as follows: cell culture media 50%. The interpolated dilution factor corrected values are plotted (mean +/- SD, n=2).
quantity: 100μl
price: 649.00 USD
to the supplier
Human Antithrombin III / ATIII
HUABIO
catalog: HA723617B
domestic rabbit monoclonal (PSH14-26)
reactivity:
human
conjugate: biotin
application:
ELISA
Sandwich ELISA analysis of Human Antithrombin III matched pair antibodies Capture: HA723615, Human Antithrombin III Rabbit mAb [PSH14-25] Detector: HA723616, Human Antithrombin III Rabbit mAb [PSH14-26] Elisa assay was performed by coating wells of a 96-well plate with 100 µl per well of capture antibody (HA723615) diluted in carbonate/bicarbonate buffer, at a concentration of 2 µg/mL overnight at 4℃. Wells of the plate were washed, blocked with 150 µl 0.05% tween-20 1% BSA blocking buffer, and incubated with serial diluted Recombinant Human Antithrombin III protein (HA210985) starting from 10,000 pg/ml to 0 pg/ml and detect antibody (HA723616, Biotin, 0.2 µg/ml) for 1 hour at 30℃ with shaking. Then the plate was washed and incubated with 100 µl per well of SA-HRP for 0.5 hour at 30℃ with shaking. Detection was performed using an Ultra TMB Substrate for 10 minutes at room temperature in the dark. The reaction was stopped with sulfuric acid and absorbances were read on a spectrophotometer at 450 nm.
Interpolated concentrations of native Antithrombin III in HepG2 culture supernatant and Human urine. Capture: HA723615, Human Antithrombin III Rabbit mAb [PSH14-25] Detector: HA723616, Human Antithrombin III Rabbit mAb [PSH14-26] Interpolated concentration of native Antithrombin III was measured in duplicate at different sample concentrations and interpolated from the Antithrombin III standard curves. The interpolated dilution factor corrected values were plotted (mean +/- SD, n=2). The mean Antithrombin III concentration was determined to be 25046 pg/ml in HepG2 cell culture supernatant,317 pg/ml in Human urine.
Interpolated concentrations of spiked Antithrombin III in cell culture media samples. Capture: HA723615, Human Antithrombin III Rabbit mAb [PSH14-25] Detector: HA723616, Human Antithrombin III Rabbit mAb [PSH14-26] The concentrations of Antithrombin III were measured in duplicates, interpolated from the Antithrombin III standard curves and corrected for sample dilution. Undiluted samples are as follows: cell culture media 50%. The interpolated dilution factor corrected values are plotted (mean +/- SD, n=2).
quantity: 100μl
price: 409.00 USD
to the supplier
Human Antithrombin III / ATIII
HUABIO
catalog: HA723617H
domestic rabbit monoclonal (PSH14-26)
reactivity:
human
conjugate: HRP
application:
ELISA
Sandwich ELISA analysis of Human Antithrombin III matched pair antibodies Capture: HA723615, Human Antithrombin III Rabbit mAb [PSH14-25] Detector: HA723616, Human Antithrombin III Rabbit mAb [PSH14-26] Elisa assay was performed by coating wells of a 96-well plate with 100 µl per well of capture antibody (HA723615) diluted in carbonate/bicarbonate buffer, at a concentration of 2 µg/mL overnight at 4℃. Wells of the plate were washed, blocked with 150 µl 0.05% tween-20 1% BSA blocking buffer, and incubated with serial diluted Recombinant Human Antithrombin III protein (HA210985) starting from 111,000 pg/ml to 0 pg/ml and detect antibody (HA723616, HRP, 0.5 µg/ml) for 1 hour at 30℃ with shaking. Detection was performed using an Ultra TMB Substrate for 10 minutes at room temperature in the dark. The reaction was stopped with sulfuric acid and absorbances were read on a spectrophotometer at 450 nm.
quantity: 100μl
price: 409.00 USD
to the supplier
Antithrombin III / ATIII
HUABIO
catalog: HA751442
domestic rabbit monoclonal (PSH12-13)
reactivity:
human
,
mouse
,
rat
application:
western blot
,
immunohistochemistry - paraffin section
Western blot analysis of Antithrombin III / ATIII on different lysates with Rabbit anti-Antithrombin III / ATIII antibody (HA751442) at 1/5,000 dilution. Lane 1: Mouse liver tissue lysate (40 µg/Lane) Lane 2: Mouse testis tissue lysate (40 µg/Lane) Lane 3: Rat testis tissue lysate (40 µg/Lane) Lane 4: Human plasma tissue lysate (40 µg/Lane) Predicted band size: 53 kDa Observed band size: 53 kDa Exposure time: 10 seconds; ECL: K1801; 4-20% SDS-PAGE gel. Proteins were transferred to a PVDF membrane and blocked with 5% NFDM/TBST for 1 hour at room temperature. The primary antibody (HA751442) at 1/5,000 dilution was used in 5% NFDM/TBST at 4℃ overnight. Goat Anti-Rabbit IgG - HRP Secondary Antibody (HA1001) at 1/50,000 dilution was used for 1 hour at room temperature.
Immunohistochemical analysis of paraffin-embedded human liver tissue with Rabbit anti-Antithrombin III / ATIII antibody (HA751442) at 1/200 dilution. The section was pre-treated using heat mediated antigen retrieval with Tris-EDTA buffer (pH 9.0) for 20 minutes. The tissues were blocked in 1% BSA for 20 minutes at room temperature, washed with ddH2O and PBS, and then probed with the primary antibody (HA751442) at 1/200 dilution for 1 hour at room temperature. The detection was performed using an HRP conjugated compact polymer system. DAB was used as the chromogen. Tissues were counterstained with hematoxylin and mounted with DPX.
Immunohistochemical analysis of paraffin-embedded mouse liver tissue with Rabbit anti-Antithrombin III / ATIII antibody (HA751442) at 1/1,000 dilution. The section was pre-treated using heat mediated antigen retrieval with Tris-EDTA buffer (pH 9.0) for 20 minutes. The tissues were blocked in 1% BSA for 20 minutes at room temperature, washed with ddH2O and PBS, and then probed with the primary antibody (HA751442) at 1/1,000 dilution for 1 hour at room temperature. The detection was performed using an HRP conjugated compact polymer system. DAB was used as the chromogen. Tissues were counterstained with hematoxylin and mounted with DPX.
quantity: 100μl
price: 649.00 USD
to the supplier