Sign in
Sign up
home
>
HUABIO
> HUABIO MYD88 antibody
MyD88
HUABIO
catalog: ET1610-81
domestic rabbit monoclonal (SC65-04)
reactivity:
human
application:
western blot
,
flow cytometry
,
immunohistochemistry - paraffin section
Western blot analysis of MyD88 on different lysates with Rabbit anti-MyD88 antibody (ET1610-81) at 1/1,000 dilution. Lane 1: HepG2 cell lysate Lane 2: MCF7 cell lysate Lane 3: HeLa cell lysate Lysates/proteins at 20 µg/Lane. Predicted band size: 33 kDa Observed band size: 35 kDa Exposure time: 42 seconds; ECL: K1801; 4-20% SDS-PAGE gel. Proteins were transferred to a PVDF membrane and blocked with 5% NFDM/TBST for 1 hour at room temperature. The primary antibody (ET1610-81) at 1/1,000 dilution was used in 5% NFDM/TBST at 4℃ overnight. Goat Anti-Rabbit IgG - HRP Secondary Antibody (HA1001) at 1/50,000 dilution was used for 1 hour at room temperature.
Immunocytochemistry analysis of HepG2 cells labeling MyD88 with Rabbit anti-MyD88 antibody (ET1610-81) at 1/250 dilution. Cells were fixed in 4% paraformaldehyde for 20 minutes at room temperature, permeabilized with 0.1% Triton X-100 in PBS for 5 minutes at room temperature, then blocked with 1% BSA in 10% negative goat serum for 1 hour at room temperature. Cells were then incubated with Rabbit anti-MyD88 antibody (ET1610-81) at 1/250 dilution in 1% BSA in PBST overnight at 4 ℃. Goat Anti-Rabbit IgG H&L (iFluor™ 488, HA1121) was used as the secondary antibody at 1/1,000 dilution. PBS instead of the primary antibody was used as the secondary antibody only control. Nuclear DNA was labelled in blue with DAPI. Beta tubulin (M1305-2, red) was stained at 1/100 dilution overnight at +4℃. Goat Anti-Mouse IgG H&L (iFluor™ 594, HA1126) was used as the secondary antibody at 1/1,000 dilution.
Immunocytochemistry analysis of MCF7 cells labeling MyD88 with Rabbit anti-MyD88 antibody (ET1610-81) at 1/100 dilution. Cells were fixed in 4% paraformaldehyde for 20 minutes at room temperature, permeabilized with 0.1% Triton X-100 in PBS for 5 minutes at room temperature, then blocked with 1% BSA in 10% negative goat serum for 1 hour at room temperature. Cells were then incubated with Rabbit anti-MyD88 antibody (ET1610-81) at 1/100 dilution in 1% BSA in PBST overnight at 4 ℃. Goat Anti-Rabbit IgG H&L (iFluor™ 488, HA1121) was used as the secondary antibody at 1/1,000 dilution. PBS instead of the primary antibody was used as the secondary antibody only control. Nuclear DNA was labelled in blue with DAPI. Beta tubulin (M1305-2, red) was stained at 1/100 dilution overnight at +4℃. Goat Anti-Mouse IgG H&L (iFluor™ 594, HA1126) was used as the secondary antibody at 1/1,000 dilution.
quantity: 100μl
price: 385.00 USD
to the supplier
MyD88
HUABIO
catalog: HA722378
domestic rabbit monoclonal (PSH05-58)
reactivity:
human
application:
western blot
,
immunoprecipitation
,
flow cytometry
,
immunohistochemistry - paraffin section
Western blot analysis of MyD88 on different lysates with Rabbit anti-MyD88 antibody (HA722378) at 1/2,000 dilution. Lane 1: A549 cell lysate Lane 2: HepG2 cell lysate Lane 3: MCF7 cell lysate Lane 4: Jurkat cell lysate Lane 5: K-562 cell lysate Lane 6: HL-60 cell lysate Lane 7: LNCaP cell lysate Lane 8: SK-Br-3 cell lysate Lane 9: COS-1 cell lysate Lysates/proteins at 20 µg/Lane. Predicted band size: 33 kDa Observed band size: 33 kDa Exposure time: 10 seconds; ECL: K1801; 4-20% SDS-PAGE gel. Proteins were transferred to a PVDF membrane and blocked with 5% NFDM/TBST for 1 hour at room temperature. The primary antibody (HA722378) at 1/2,000 dilution was used in 5% NFDM/TBST at 4℃ overnight. Goat Anti-Rabbit IgG - HRP Secondary Antibody (HA1001) at 1/50,000 dilution was used for 1 hour at room temperature.
Immunocytochemistry analysis of A549 cells labeling MyD88 with Rabbit anti-MyD88 antibody (HA722378) at 1/100 dilution. Cells were fixed in 4% paraformaldehyde for 20 minutes at room temperature, permeabilized with 0.1% Triton X-100 in PBS for 5 minutes at room temperature, then blocked with 1% BSA in 10% negative goat serum for 1 hour at room temperature. Cells were then incubated with Rabbit anti-MyD88 antibody (HA722378) at 1/100 dilution in 1% BSA in PBST overnight at 4 ℃. Goat Anti-Rabbit IgG H&L (iFluor™ 488, HA1121) was used as the secondary antibody at 1/1,000 dilution. PBS instead of the primary antibody was used as the secondary antibody only control. Nuclear DNA was labelled in blue with DAPI. Beta tubulin (M1305-2, red) was stained at 1/100 dilution overnight at +4℃. Goat Anti-Mouse IgG H&L (iFluor™ 594, HA1126) was used as the secondary antibody at 1/1,000 dilution.
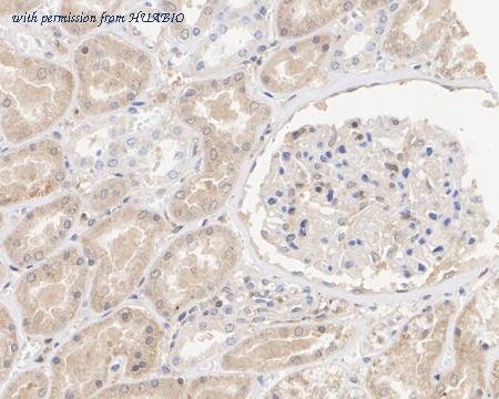
Immunohistochemical analysis of paraffin-embedded human kidney tissue with Rabbit anti-MyD88 antibody (HA722378) at 1/500 dilution. The section was pre-treated using heat mediated antigen retrieval with Tris-EDTA buffer (pH 9.0) for 20 minutes. The tissues were blocked in 1% BSA for 20 minutes at room temperature, washed with ddH2O and PBS, and then probed with the primary antibody (HA722378) at 1/1,000 dilution for 1 hour at room temperature. The detection was performed using an HRP conjugated compact polymer system. DAB was used as the chromogen. Tissues were counterstained with hematoxylin and mounted with DPX.
quantity: 100μl
price: 385.00 USD
to the supplier
MyD88
HUABIO
catalog: HA723139
domestic rabbit monoclonal (PSH09-74)
reactivity:
human
,
mouse
,
rat
application:
western blot
Western blot analysis of MyD88 on different lysates with Rabbit anti-MyD88 antibody (HA723139) at 1/2,000 dilution. Lane 1: RAW264.7 cell lysate Lane 2: NIH/3T3 cell lysate Lane 3: A20 cell lysate Lane 4: J774A.1 cell lysate Lane 5: NR8383 cell lysate Lane 6: C6 cell lysate Lane 7: PC-12 cell lysate Lane 8: A549 cell lysate Lane 9: HepG2 cell lysate Lane 10: COS-1 cell lysate Lane 11: Mouse liver tissue lysate Lane 12: Mouse spleen tissue lysate Lane 13: Rat liver tissue lysate Lane 14: Rat spleen tissue lysate Lysates/proteins at 20 µg/Lane. Predicted band size: 33 kDa Observed band size: 33 kDa Exposure time: 1 minute; ECL: K1802; 4-20% SDS-PAGE gel. Proteins were transferred to a PVDF membrane and blocked with 5% NFDM/TBST for 1 hour at room temperature. The primary antibody (HA723139) at 1/2,000 dilution was used in 5% NFDM/TBST at 4℃ overnight. Goat Anti-Rabbit IgG - HRP Secondary Antibody (HA1001) at 1/50,000 dilution was used for 1 hour at room temperature.
quantity: 100μl
price: 385.00 USD
to the supplier
MyD88
HUABIO
catalog: HA750231
domestic rabbit monoclonal (SC65-04)
reactivity:
human
application:
western blot
,
flow cytometry
,
immunohistochemistry - paraffin section
Western blot analysis of MyD88 on different lysates with Rabbit anti-MyD88 antibody (HA750231) at 1/1,000 dilution. Lane 1: HepG2 cell lysate Lane 2: MCF7 cell lysate Lane 3: HeLa cell lysate Lysates/proteins at 20 µg/Lane. Predicted band size: 33 kDa Observed band size: 35 kDa Exposure time: 42 seconds; ECL: K1801; 4-20% SDS-PAGE gel. Proteins were transferred to a PVDF membrane and blocked with 5% NFDM/TBST for 1 hour at room temperature. The primary antibody (HA750231) at 1/1,000 dilution was used in 5% NFDM/TBST at 4℃ overnight. Goat Anti-Rabbit IgG - HRP Secondary Antibody (HA1001) at 1/50,000 dilution was used for 1 hour at room temperature.
Immunocytochemistry analysis of HepG2 cells labeling MyD88 with Rabbit anti-MyD88 antibody (HA750231) at 1/250 dilution. Cells were fixed in 4% paraformaldehyde for 20 minutes at room temperature, permeabilized with 0.1% Triton X-100 in PBS for 5 minutes at room temperature, then blocked with 1% BSA in 10% negative goat serum for 1 hour at room temperature. Cells were then incubated with Rabbit anti-MyD88 antibody (HA750231) at 1/250 dilution in 1% BSA in PBST overnight at 4 ℃. Goat Anti-Rabbit IgG H&L (iFluor™ 488, HA1121) was used as the secondary antibody at 1/1,000 dilution. PBS instead of the primary antibody was used as the secondary antibody only control. Nuclear DNA was labelled in blue with DAPI. Beta tubulin (M1305-2, red) was stained at 1/100 dilution overnight at +4℃. Goat Anti-Mouse IgG H&L (iFluor™ 594, HA1126) was used as the secondary antibody at 1/1,000 dilution.
Immunocytochemistry analysis of MCF7 cells labeling MyD88 with Rabbit anti-MyD88 antibody (HA750231) at 1/100 dilution. Cells were fixed in 4% paraformaldehyde for 20 minutes at room temperature, permeabilized with 0.1% Triton X-100 in PBS for 5 minutes at room temperature, then blocked with 1% BSA in 10% negative goat serum for 1 hour at room temperature. Cells were then incubated with Rabbit anti-MyD88 antibody (HA750231) at 1/100 dilution in 1% BSA in PBST overnight at 4 ℃. Goat Anti-Rabbit IgG H&L (iFluor™ 488, HA1121) was used as the secondary antibody at 1/1,000 dilution. PBS instead of the primary antibody was used as the secondary antibody only control. Nuclear DNA was labelled in blue with DAPI. Beta tubulin (M1305-2, red) was stained at 1/100 dilution overnight at +4℃. Goat Anti-Mouse IgG H&L (iFluor™ 594, HA1126) was used as the secondary antibody at 1/1,000 dilution.
quantity: 100μl
price: 649.00 USD
to the supplier
MyD88
HUABIO
catalog: HA751021
domestic rabbit monoclonal (PSH05-58)
reactivity:
human
application:
western blot
,
immunoprecipitation
,
flow cytometry
,
immunohistochemistry - paraffin section
Western blot analysis of MyD88 on different lysates with Rabbit anti-MyD88 antibody (HA751021) at 1/2,000 dilution. Lane 1: A549 cell lysate Lane 2: HepG2 cell lysate Lane 3: MCF7 cell lysate Lane 4: Jurkat cell lysate Lane 5: K-562 cell lysate Lane 6: HL-60 cell lysate Lane 7: LNCaP cell lysate Lane 8: SK-Br-3 cell lysate Lane 9: COS-1 cell lysate Lysates/proteins at 20 µg/Lane. Predicted band size: 33 kDa Observed band size: 33 kDa Exposure time: 10 seconds; ECL: K1801; 4-20% SDS-PAGE gel. Proteins were transferred to a PVDF membrane and blocked with 5% NFDM/TBST for 1 hour at room temperature. The primary antibody (HA751021) at 1/2,000 dilution was used in 5% NFDM/TBST at 4℃ overnight. Goat Anti-Rabbit IgG - HRP Secondary Antibody (HA1001) at 1/50,000 dilution was used for 1 hour at room temperature.
Immunocytochemistry analysis of A549 cells labeling MyD88 with Rabbit anti-MyD88 antibody (HA751021) at 1/100 dilution. Cells were fixed in 4% paraformaldehyde for 20 minutes at room temperature, permeabilized with 0.1% Triton X-100 in PBS for 5 minutes at room temperature, then blocked with 1% BSA in 10% negative goat serum for 1 hour at room temperature. Cells were then incubated with Rabbit anti-MyD88 antibody (HA751021) at 1/100 dilution in 1% BSA in PBST overnight at 4 ℃. Goat Anti-Rabbit IgG H&L (iFluor™ 488, HA1121) was used as the secondary antibody at 1/1,000 dilution. PBS instead of the primary antibody was used as the secondary antibody only control. Nuclear DNA was labelled in blue with DAPI. Beta tubulin (M1305-2, red) was stained at 1/100 dilution overnight at +4℃. Goat Anti-Mouse IgG H&L (iFluor™ 594, HA1126) was used as the secondary antibody at 1/1,000 dilution.
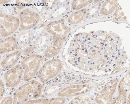
Immunohistochemical analysis of paraffin-embedded human kidney tissue with Rabbit anti-MyD88 antibody (HA751021) at 1/500 dilution. The section was pre-treated using heat mediated antigen retrieval with Tris-EDTA buffer (pH 9.0) for 20 minutes. The tissues were blocked in 1% BSA for 20 minutes at room temperature, washed with ddH2O and PBS, and then probed with the primary antibody (HA751021) at 1/1,000 dilution for 1 hour at room temperature. The detection was performed using an HRP conjugated compact polymer system. DAB was used as the chromogen. Tissues were counterstained with hematoxylin and mounted with DPX.
quantity: 100μl
price: 649.00 USD
to the supplier
MyD88
HUABIO
catalog: HA751316
domestic rabbit monoclonal (PSH09-74)
reactivity:
human
,
mouse
,
rat
application:
western blot
Western blot analysis of MyD88 on different lysates with Rabbit anti-MyD88 antibody (HA751316) at 1/2,000 dilution. Lane 1: RAW264.7 cell lysate Lane 2: NIH/3T3 cell lysate Lane 3: A20 cell lysate Lane 4: J774A.1 cell lysate Lane 5: NR8383 cell lysate Lane 6: C6 cell lysate Lane 7: PC-12 cell lysate Lane 8: A549 cell lysate Lane 9: HepG2 cell lysate Lane 10: COS-1 cell lysate Lane 11: Mouse liver tissue lysate Lane 12: Mouse spleen tissue lysate Lane 13: Rat liver tissue lysate Lane 14: Rat spleen tissue lysate Lysates/proteins at 20 µg/Lane. Predicted band size: 33 kDa Observed band size: 33 kDa Exposure time: 1 minute; ECL: K1802; 4-20% SDS-PAGE gel. Proteins were transferred to a PVDF membrane and blocked with 5% NFDM/TBST for 1 hour at room temperature. The primary antibody (HA751316) at 1/2,000 dilution was used in 5% NFDM/TBST at 4℃ overnight. Goat Anti-Rabbit IgG - HRP Secondary Antibody (HA1001) at 1/50,000 dilution was used for 1 hour at room temperature.
quantity: 100μl
price: 649.00 USD
to the supplier