Sign in
Sign up
home
>
HUABIO
> HUABIO MUC1 antibody
MUC1
HUABIO
catalog: EM1902-32
mouse monoclonal (A4D9)
reactivity:
human
application:
flow cytometry
,
immunohistochemistry - paraffin section
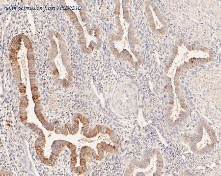
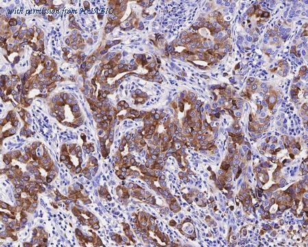
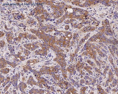
Immunohistochemical analysis of paraffin-embedded human breast tissue using anti-MUC1 antibody. The section was pre-treated using heat mediated antigen retrieval with sodium citrate buffer (pH 6.0) for 2 minutes in microwave oven. The tissues were blocked in 5% BSA for 30 minutes at room temperature, washed with ddH2O and PBS, and then probed with the primary antibody (EM1902-32, 1/100) for 30 minutes at room temperature. The detection was performed using an HRP conjugated compact polymer system. DAB was used as the chromogen. Tissues were counterstained with hematoxylin and mounted with DPX.
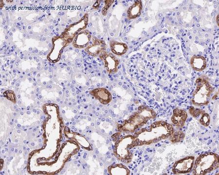
Immunohistochemical analysis of paraffin-embedded human kidney tissue using anti-MUC1 antibody. The section was pre-treated using heat mediated antigen retrieval with sodium citrate buffer (pH 6.0) for 2 minutes in microwave oven. The tissues were blocked in 5% BSA for 30 minutes at room temperature, washed with ddH2O and PBS, and then probed with the primary antibody (EM1902-32, 1/400) for 30 minutes at room temperature. The detection was performed using an HRP conjugated compact polymer system. DAB was used as the chromogen. Tissues were counterstained with hematoxylin and mounted with DPX.
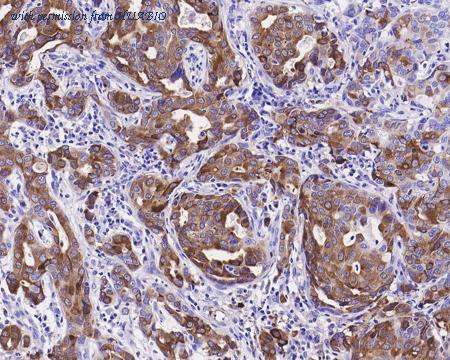
Immunohistochemical analysis of paraffin-embedded human uterus tissue using anti-MUC1 antibody. The section was pre-treated using heat mediated antigen retrieval with sodium citrate buffer (pH 6.0) for 2 minutes in microwave oven. The tissues were blocked in 5% BSA for 30 minutes at room temperature, washed with ddH2O and PBS, and then probed with the primary antibody (EM1902-32, 1/100) for 30 minutes at room temperature. The detection was performed using an HRP conjugated compact polymer system. DAB was used as the chromogen. Tissues were counterstained with hematoxylin and mounted with DPX.
quantity: 100μl
price: 360.00 USD
to the supplier
Muc1
HUABIO
catalog: ER1902-10
domestic rabbit polyclonal
reactivity:
human
application:
western blot
,
immunohistochemistry - paraffin section
Western blot analysis of Muc1 on different lysates with Rabbit anti-Muc1 antibody (ER1902-10) at 1/2,000 dilution. Lane 1: MCF-7 cell lysate Lane 2: Hela cell lysate Lysates/proteins at 10 µg/Lane. Predicted band size: 122 kDa Observed band size: 200 kDa Exposure time: 2 minutes; 6% SDS-PAGE gel. Proteins were transferred to a PVDF membrane and blocked with 5% NFDM/TBST for 1 hour at room temperature. The primary antibody (ER1902-10) at 1/2,000 dilution was used in 5% NFDM/TBST at room temperature for 2 hours. Goat Anti-Rabbit IgG - HRP Secondary Antibody (HA1001) at 1:200,000 dilution was used for 1 hour at room temperature.
ICC staining of Muc1 in MCF-7 cells (green). Formalin fixed cells were permeabilized with 0.1% Triton X-100 in TBS for 10 minutes at room temperature and blocked with 1% Blocker BSA for 15 minutes at room temperature. Cells were probed with the primary antibody (ER1902-10, 1/200) for 1 hour at room temperature, washed with PBS. Alexa Fluor®488 Goat anti-Rabbit IgG was used as the secondary antibody at 1/1,000 dilution. The nuclear counter stain is DAPI (blue).
Immunohistochemical analysis of paraffin-embedded human colon tissue using anti-Muc1 antibody. The section was pre-treated using heat mediated antigen retrieval with sodium citrate buffer (pH 6.0) (high pressure) for 2 minutes. The tissues were blocked in 5% BSA for 30 minutes at room temperature, washed with ddH2O and PBS, and then probed with the primary antibody (ER1902-10, 1/200) for 30 minutes at room temperature. The detection was performed using an HRP conjugated compact polymer system. DAB was used as the chromogen. Tissues were counterstained with hematoxylin and mounted with DPX.
quantity: 100μl
price: 330 USD
to the supplier
MUC1
HUABIO
catalog: ET1611-14-50UL
domestic rabbit monoclonal (SN06-80)
reactivity:
human
,
mouse
,
rat
application:
western blot
,
immunoprecipitation
,
flow cytometry
,
immunohistochemistry - paraffin section
Western blot analysis of MUC1 on different lysates with Rabbit anti-MUC1 antibody (ET1611-14) at 1/2,000 dilution and competitor's antibody at 1/1,000 dilution. Lane 1: HeLa cell lysate (20 µg/Lane) Lane 2: HCT 116 cell lysate (negative) (20 µg/Lane) Lane 3: T-47D cell lysate (20 µg/Lane) Lane 4: Mouse lung tissue lysate (40 µg/Lane) Lane 5: Rat lung tissue lysate (40 µg/Lane) Predicted band size: 122 kDa Observed band size: 17~24 kDa Exposure time: 3 minutes 10 seconds; ECL: K1801; 4-20% SDS-PAGE gel. Proteins were transferred to a PVDF membrane and blocked with 5% NFDM/TBST for 1 hour at room temperature. The primary antibody (ET1611-14) at 1/2,000 dilution and competitor's antibody at 1/1,000 dilution were used in 5% NFDM/TBST at 4℃ overnight. Goat Anti-Rabbit IgG - HRP Secondary Antibody (HA1001) at 1/50,000 dilution was used for 1 hour at room temperature.
Immunocytochemistry analysis of HeLa (positive) and HCT 116 (negative) labeling MUC1 with Rabbit anti-MUC1 antibody (ET1611-14) at 1/500 dilution and competitor's antibody at 1/500 dilution. Cells were fixed in 4% paraformaldehyde for 20 minutes at room temperature, permeabilized with 0.1% Triton X-100 in PBS for 5 minutes at room temperature, then blocked with 1% BSA in 10% negative goat serum for 1 hour at room temperature. Cells were then incubated with Rabbit anti-MUC1 antibody (ET1611-14) at 1/500 dilution and competitor's antibody at 1/500 dilution in 1% BSA in PBST overnight at 4 ℃. Goat Anti-Rabbit IgG H&L (iFluor™ 488, HA1121) was used as the secondary antibody at 1/1,000 dilution. PBS instead of the primary antibody was used as the secondary antibody only control. Nuclear DNA was labelled in blue with DAPI. Beta tubulin (M1305-2, red) was stained at 1/100 dilution overnight at +4℃. Goat Anti-Mouse IgG H&L (iFluor™ 594, HA1126) was used as the secondary antibody at 1/1,000 dilution.
Western blot analysis of MUC1 on different lysates with Rabbit anti-MUC1 antibody (ET1611-14) at 1/2,000 dilution. Lane 1: Hela-si NT cell lysate Lane 2: Hela-si MUC1#1 cell lysate Lane 3: Hela-si MUC1#2 cell lysate Lysates/proteins at 10 µg/Lane. Predicted band size: 122 kDa Observed band size: 17~24 kDa Exposure time: 10 seconds; 4-20% SDS-PAGE gel. ET1611-14 was shown to specifically react with MUC1 in Hela-si NT cells. Weakened bands were observed when Hela-si MUC1 sample were tested. Hela-si NT and Hela-si MUC1 samples were subjected to SDS-PAGE. Proteins were transferred to a PVDF membrane and blocked with 5% NFDM in TBST for 1 hour at room temperature. The primary antibody (ET1611-14, 1/2,000) and Loading control antibody (Rabbit anti-GAPDH, ET1601-4, 1/10,000) were used in 5% NFDM/TBST at 4℃ overnight. Goat Anti-rabbit IgG-HRP Secondary Antibody (HA1001) at 1:50,000 dilution was used for 1 hour at room temperature.
quantity: 50μl
price: 205.00 USD
to the supplier
MUC1
HUABIO
catalog: HA600107F
mouse monoclonal (PSH0-48)
reactivity:
human
application:
flow cytometry
Flow cytometric analysis of MCF7 cells labeling MUC1. Cells were washed twice with cold PBS and resuspend. Then incubated for 1 hour at +4℃ with MUC1 (HA600107F, red, 1ug/ml). Unlabelled sample was used as a control (cells without incubation with primary antibody; black).
Flow cytometric analysis of SK-Br-3 cells labeling MUC1. Cells were washed twice with cold PBS and resuspend. Then incubated for 1 hour at +4℃ with MUC1 (HA600107F, red, 1ug/ml). Unlabelled sample was used as a control (cells without incubation with primary antibody; black).
quantity: 100μl
price: 394.00 USD
to the supplier
MUC1
HUABIO
catalog: HA600108F
mouse monoclonal (PSH0-49)
reactivity:
human
application:
flow cytometry
Flow cytometric analysis of MCF7 cells labeling MUC1. Cells were washed twice with cold PBS and resuspend. Then incubated for 1 hour at +4℃ with MUC1 (HA600108F, red, 1ug/ml). Unlabelled sample was used as a control (cells without incubation with primary antibody; black).
Flow cytometric analysis of SK-Br-3 cells labeling MUC1. Cells were washed twice with cold PBS and resuspend. Then incubated for 1 hour at +4℃ with MUC1 (HA600108F, red, 1ug/ml). Unlabelled sample was used as a control (cells without incubation with primary antibody; black).
quantity: 100μl
price: 394.00 USD
to the supplier
MUC1
HUABIO
catalog: HA601139
mouse monoclonal (A9G4)
reactivity:
human
application:
immunohistochemistry - paraffin section
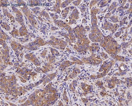
Immunohistochemical analysis of paraffin-embedded human breast carcinoma tissue with Mouse anti-MUC1 antibody (HA601139) at 1/1,500 dilution. The section was pre-treated using heat mediated antigen retrieval with Tris-EDTA buffer (pH 9.0) for 20 minutes. The tissues were blocked in 1% BSA for 20 minutes at room temperature, washed with ddH2O and PBS, and then probed with the primary antibody (HA601139) at 1/1,500 dilution for 1 hour at room temperature. The detection was performed using an HRP conjugated compact polymer system. DAB was used as the chromogen. Tissues were counterstained with hematoxylin and mounted with DPX.
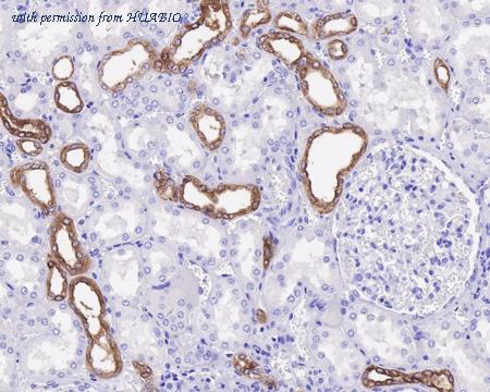
Immunohistochemical analysis of paraffin-embedded human kidney tissue with Mouse anti-MUC1 antibody (HA601139) at 1/1,500 dilution. The section was pre-treated using heat mediated antigen retrieval with Tris-EDTA buffer (pH 9.0) for 20 minutes. The tissues were blocked in 1% BSA for 20 minutes at room temperature, washed with ddH2O and PBS, and then probed with the primary antibody (HA601139) at 1/1,500 dilution for 1 hour at room temperature. The detection was performed using an HRP conjugated compact polymer system. DAB was used as the chromogen. Tissues were counterstained with hematoxylin and mounted with DPX.
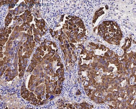
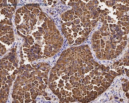
Immunohistochemical analysis of paraffin-embedded human lung carcinoma tissue with Mouse anti-MUC1 antibody (HA601139) at 1/4,000 dilution. The section was pre-treated using heat mediated antigen retrieval with Tris-EDTA buffer (pH 9.0) for 20 minutes. The tissues were blocked in 1% BSA for 20 minutes at room temperature, washed with ddH2O and PBS, and then probed with the primary antibody (HA601139) at 1/4,000 dilution for 1 hour at room temperature. The detection was performed using an HRP conjugated compact polymer system. DAB was used as the chromogen. Tissues were counterstained with hematoxylin and mounted with DPX.
quantity: 100μl
price: 360.00 USD
to the supplier
MUC1
HUABIO
catalog: HA601140
mouse monoclonal (PSH0-47)
reactivity:
human
application:
western blot
,
immunohistochemistry - paraffin section
Immunohistochemical analysis of paraffin-embedded human breast carcinoma tissue with Mouse anti-MUC1 antibody (HA601140) at 1/1,500 dilution. The section was pre-treated using heat mediated antigen retrieval with Tris-EDTA buffer (pH 9.0) for 20 minutes. The tissues were blocked in 1% BSA for 20 minutes at room temperature, washed with ddH2O and PBS, and then probed with the primary antibody (HA601140) at 1/1,500 dilution for 1 hour at room temperature. The detection was performed using an HRP conjugated compact polymer system. DAB was used as the chromogen. Tissues were counterstained with hematoxylin and mounted with DPX.
Immunohistochemical analysis of paraffin-embedded human kidney tissue with Mouse anti-MUC1 antibody (HA601140) at 1/1,500 dilution. The section was pre-treated using heat mediated antigen retrieval with Tris-EDTA buffer (pH 9.0) for 20 minutes. The tissues were blocked in 1% BSA for 20 minutes at room temperature, washed with ddH2O and PBS, and then probed with the primary antibody (HA601140) at 1/1,500 dilution for 1 hour at room temperature. The detection was performed using an HRP conjugated compact polymer system. DAB was used as the chromogen. Tissues were counterstained with hematoxylin and mounted with DPX.
Immunohistochemical analysis of paraffin-embedded human lung carcinoma tissue with Mouse anti-MUC1 antibody (HA601140) at 1/4,000 dilution. The section was pre-treated using heat mediated antigen retrieval with Tris-EDTA buffer (pH 9.0) for 20 minutes. The tissues were blocked in 1% BSA for 20 minutes at room temperature, washed with ddH2O and PBS, and then probed with the primary antibody (HA601140) at 1/4,000 dilution for 1 hour at room temperature. The detection was performed using an HRP conjugated compact polymer system. DAB was used as the chromogen. Tissues were counterstained with hematoxylin and mounted with DPX.
quantity: 100μl
price: 360.00 USD
to the supplier
MUC1
HUABIO
catalog: HA601141
mouse monoclonal (PSH0-48)
reactivity:
human
application:
flow cytometry
,
immunohistochemistry - paraffin section
Immunohistochemical analysis of paraffin-embedded human breast carcinoma tissue with Mouse anti-MUC1 antibody (HA601141) at 1/10,000 dilution. The section was pre-treated using heat mediated antigen retrieval with Tris-EDTA buffer (pH 9.0) for 20 minutes. The tissues were blocked in 1% BSA for 20 minutes at room temperature, washed with ddH2O and PBS, and then probed with the primary antibody (HA601141) at 1/10,000 dilution for 1 hour at room temperature. The detection was performed using an HRP conjugated compact polymer system. DAB was used as the chromogen. Tissues were counterstained with hematoxylin and mounted with DPX.
Immunohistochemical analysis of paraffin-embedded human kidney tissue with Mouse anti-MUC1 antibody (HA601141) at 1/10,000 dilution. The section was pre-treated using heat mediated antigen retrieval with Tris-EDTA buffer (pH 9.0) for 20 minutes. The tissues were blocked in 1% BSA for 20 minutes at room temperature, washed with ddH2O and PBS, and then probed with the primary antibody (HA601141) at 1/10,000 dilution for 1 hour at room temperature. The detection was performed using an HRP conjugated compact polymer system. DAB was used as the chromogen. Tissues were counterstained with hematoxylin and mounted with DPX.
Immunohistochemical analysis of paraffin-embedded human lung tissue with Mouse anti-MUC1 antibody (HA601141) at 1/5,000 dilution. The section was pre-treated using heat mediated antigen retrieval with Tris-EDTA buffer (pH 9.0) for 20 minutes. The tissues were blocked in 1% BSA for 20 minutes at room temperature, washed with ddH2O and PBS, and then probed with the primary antibody (HA601141) at 1/5,000 dilution for 1 hour at room temperature. The detection was performed using an HRP conjugated compact polymer system. DAB was used as the chromogen. Tissues were counterstained with hematoxylin and mounted with DPX.
quantity: 100μl
price: 360.00 USD
to the supplier
MUC1
HUABIO
catalog: HA601142
mouse monoclonal (PSH0-49)
reactivity:
human
application:
flow cytometry
,
immunohistochemistry - paraffin section
Immunohistochemical analysis of paraffin-embedded human breast carcinoma tissue with Mouse anti-MUC1 antibody (HA601142) at 1/10,000 dilution. The section was pre-treated using heat mediated antigen retrieval with Tris-EDTA buffer (pH 9.0) for 20 minutes. The tissues were blocked in 1% BSA for 20 minutes at room temperature, washed with ddH2O and PBS, and then probed with the primary antibody (HA601142) at 1/10,000 dilution for 1 hour at room temperature. The detection was performed using an HRP conjugated compact polymer system. DAB was used as the chromogen. Tissues were counterstained with hematoxylin and mounted with DPX.
Immunohistochemical analysis of paraffin-embedded human kidney tissue with Mouse anti-MUC1 antibody (HA601142) at 1/10,000 dilution. The section was pre-treated using heat mediated antigen retrieval with Tris-EDTA buffer (pH 9.0) for 20 minutes. The tissues were blocked in 1% BSA for 20 minutes at room temperature, washed with ddH2O and PBS, and then probed with the primary antibody (HA601142) at 1/10,000 dilution for 1 hour at room temperature. The detection was performed using an HRP conjugated compact polymer system. DAB was used as the chromogen. Tissues were counterstained with hematoxylin and mounted with DPX.
Immunohistochemical analysis of paraffin-embedded human lung tissue with Mouse anti-MUC1 antibody (HA601142) at 1/5,000 dilution. The section was pre-treated using heat mediated antigen retrieval with Tris-EDTA buffer (pH 9.0) for 20 minutes. The tissues were blocked in 1% BSA for 20 minutes at room temperature, washed with ddH2O and PBS, and then probed with the primary antibody (HA601142) at 1/5,000 dilution for 1 hour at room temperature. The detection was performed using an HRP conjugated compact polymer system. DAB was used as the chromogen. Tissues were counterstained with hematoxylin and mounted with DPX.
quantity: 100μl
price: 360.00 USD
to the supplier
MUC1
HUABIO
catalog: HA750245
domestic rabbit monoclonal (SN06-80)
reactivity:
human
,
mouse
,
rat
application:
western blot
,
immunoprecipitation
,
flow cytometry
,
immunohistochemistry - paraffin section
Western blot analysis of MUC1 on different lysates with Rabbit anti-MUC1 antibody (HA750245) at 1/2,000 dilution and competitor's antibody at 1/1,000 dilution. Lane 1: HeLa cell lysate (20 µg/Lane) Lane 2: HCT 116 cell lysate (negative) (20 µg/Lane) Lane 3: T-47D cell lysate (20 µg/Lane) Lane 4: Mouse lung tissue lysate (40 µg/Lane) Lane 5: Rat lung tissue lysate (40 µg/Lane) Predicted band size: 122 kDa Observed band size: 17~24 kDa Exposure time: 3 minutes 10 seconds; ECL: K1801; 4-20% SDS-PAGE gel. Proteins were transferred to a PVDF membrane and blocked with 5% NFDM/TBST for 1 hour at room temperature. The primary antibody (HA750245) at 1/2,000 dilution and competitor's antibody at 1/1,000 dilution were used in 5% NFDM/TBST at 4℃ overnight. Goat Anti-Rabbit IgG - HRP Secondary Antibody (HA1001) at 1/50,000 dilution was used for 1 hour at room temperature.
Immunocytochemistry analysis of HeLa (positive) and HCT 116 (negative) labeling MUC1 with Rabbit anti-MUC1 antibody (HA750245) at 1/500 dilution and competitor's antibody at 1/500 dilution. Cells were fixed in 4% paraformaldehyde for 20 minutes at room temperature, permeabilized with 0.1% Triton X-100 in PBS for 5 minutes at room temperature, then blocked with 1% BSA in 10% negative goat serum for 1 hour at room temperature. Cells were then incubated with Rabbit anti-MUC1 antibody (HA750245) at 1/500 dilution and competitor's antibody at 1/500 dilution in 1% BSA in PBST overnight at 4 ℃. Goat Anti-Rabbit IgG H&L (iFluor™ 488, HA1121) was used as the secondary antibody at 1/1,000 dilution. PBS instead of the primary antibody was used as the secondary antibody only control. Nuclear DNA was labelled in blue with DAPI. Beta tubulin (M1305-2, red) was stained at 1/100 dilution overnight at +4℃. Goat Anti-Mouse IgG H&L (iFluor™ 594, HA1126) was used as the secondary antibody at 1/1,000 dilution.
Western blot analysis of MUC1 on different lysates with Rabbit anti-MUC1 antibody (HA750245) at 1/2,000 dilution. Lane 1: Hela-si NT cell lysate Lane 2: Hela-si MUC1#1 cell lysate Lane 3: Hela-si MUC1#2 cell lysate Lysates/proteins at 10 µg/Lane. Predicted band size: 122 kDa Observed band size: 17~24 kDa Exposure time: 10 seconds; 4-20% SDS-PAGE gel. ET1611-14 was shown to specifically react with MUC1 in Hela-si NT cells. Weakened bands were observed when Hela-si MUC1 sample were tested. Hela-si NT and Hela-si MUC1 samples were subjected to SDS-PAGE. Proteins were transferred to a PVDF membrane and blocked with 5% NFDM in TBST for 1 hour at room temperature. The primary antibody (ET1611-14, 1/2,000) and Loading control antibody (Rabbit anti-GAPDH, ET1601-4, 1/10,000) were used in 5% NFDM/TBST at 4℃ overnight. Goat Anti-rabbit IgG-HRP Secondary Antibody (HA1001) at 1:50,000 dilution was used for 1 hour at room temperature.
quantity: 100μl
price: 649.00 USD
to the supplier
MUC1
HUABIO
catalog: IRS174MS
mouse monoclonal
reactivity:
human
mIHC analysis of human tonsil tissue (Formalin/PFA-fixed paraffin-embedded sections) with Mouse anti-MUC1 antibody (IRS174MS) at 1/100 dilution. The immunostaining was performed with the IRISKitCmTSA Kit (900809). Heat mediated antigen retrieval with Tris-EDTA buffer (pH 9.0) for 30 mins at 95℃. DAPI (blue) was used as a nuclear counter stain. Image acquisition was performed with Olympus VS200 Slide Scanner.
mIHC analysis of human colon tissue (Formalin/PFA-fixed paraffin-embedded sections) with Mouse anti-MUC1 antibody (IRS174MS) at 1/100 dilution. The immunostaining was performed with the IRISKitCmTSA Kit (900809). Heat mediated antigen retrieval with Tris-EDTA buffer (pH 9.0) for 30 mins at 95℃. DAPI (blue) was used as a nuclear counter stain. Image acquisition was performed with Olympus VS200 Slide Scanner.
quantity: 50T
price: 278.00 USD
to the supplier