Sign in
Sign up
home
>
HUABIO
> HUABIO myeloperoxidase antibody
Myeloperoxidase
HUABIO
catalog: EM1901-19
mouse monoclonal (A1F2)
reactivity:
human
,
mouse
application:
western blot
,
flow cytometry
,
immunohistochemistry - paraffin section
Western blot analysis of Myeloperoxidase on HL-60 cell lysates with Mouse anti-Myeloperoxidase antibody (EM1901-19) at 1/1,000 dilution. Lysates/proteins at 20 µg/Lane. Predicted band size: 84 kDa Observed band size: 84/55/37 kDa Exposure time: 24 seconds; 4-20% SDS-PAGE gel. Proteins were transferred to a PVDF membrane and blocked with 5% NFDM/TBST for 1 hour at room temperature. The primary antibody (EM1901-19) at 1/1,000 dilution was used in 5% NFDM/TBST at room temperature for 2 hours. Goat Anti-Mouse IgG - HRP Secondary Antibody (HA1006) at 1/50,000 dilution was used for 1 hour at room temperature.
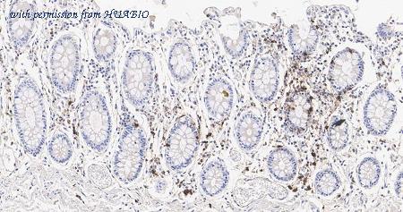
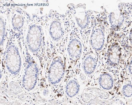
Immunohistochemical analysis of paraffin-embedded human colon tissue with Mouse anti-Myeloperoxidase antibody (EM1901-19) at 1/10,000 dilution. The section was pre-treated using heat mediated antigen retrieval with Tris-EDTA buffer (pH 9.0) for 20 minutes. The tissues were blocked in 1% BSA for 20 minutes at room temperature, washed with ddH2O and PBS, and then probed with the primary antibody (EM1901-19) at 1/10,000 dilution for 1 hour at room temperature. The detection was performed using an HRP conjugated compact polymer system. DAB was used as the chromogen. Tissues were counterstained with hematoxylin and mounted with DPX.
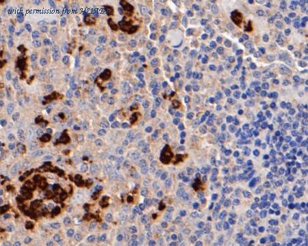
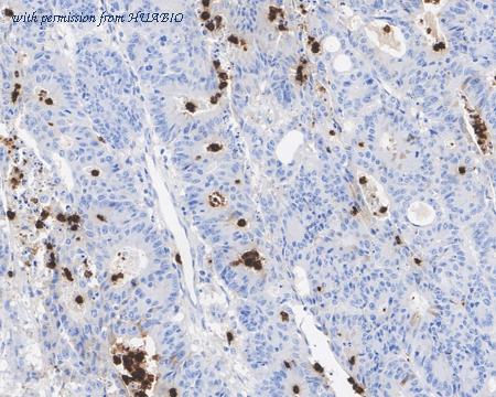
Immunohistochemical analysis of paraffin-embedded human colon cancer tissue with Mouse anti-Myeloperoxidase antibody (EM1901-19) at 1/5,000 dilution. The section was pre-treated using heat mediated antigen retrieval with Tris-EDTA buffer (pH 9.0) for 20 minutes. The tissues were blocked in 1% BSA for 20 minutes at room temperature, washed with ddH2O and PBS, and then probed with the primary antibody (EM1901-19) at 1/5,000 dilution for 1 hour at room temperature. The detection was performed using an HRP conjugated compact polymer system. DAB was used as the chromogen. Tissues were counterstained with hematoxylin and mounted with DPX.
quantity: 100μl
price: 360.00 USD
to the supplier
Myeloperoxidase
HUABIO
catalog: EM1901-20
mouse monoclonal (A1F3)
reactivity:
human
application:
western blot
,
flow cytometry
,
immunohistochemistry - paraffin section
Western blot analysis of Myeloperoxidase on HL-60 lysate. Proteins were transferred to a PVDF membrane and blocked with 5% BSA in PBS for 1 hour at room temperature. The primary antibody (EM1901-20, 1/500) was used in 5% BSA at room temperature for 2 hours. Goat Anti-Mouse IgG - HRP Secondary Antibody (HA1006) at 1:5,000 dilution was used for 1 hour at room temperature.
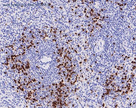
Immunohistochemical analysis of paraffin-embedded human tonsil tissue using anti-Myeloperoxidase antibody. The section was pre-treated using heat mediated antigen retrieval with Tris-EDTA buffer (pH 8.0-8.4) for 20 minutes.The tissues were blocked in 5% BSA for 30 minutes at room temperature, washed with ddH2O and PBS, and then probed with the primary antibody (EM1901-20, 1/50) for 30 minutes at room temperature. The detection was performed using an HRP conjugated compact polymer system. DAB was used as the chromogen. Tissues were counterstained with hematoxylin and mounted with DPX.
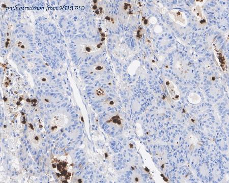
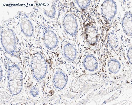
Immunohistochemical analysis of paraffin-embedded human colon tissue using anti-Myeloperoxidase antibody. The section was pre-treated using heat mediated antigen retrieval with Tris-EDTA buffer (pH 8.0-8.4) for 20 minutes.The tissues were blocked in 5% BSA for 30 minutes at room temperature, washed with ddH2O and PBS, and then probed with the primary antibody (EM1901-20, 1/50) for 30 minutes at room temperature. The detection was performed using an HRP conjugated compact polymer system. DAB was used as the chromogen. Tissues were counterstained with hematoxylin and mounted with DPX.
quantity: 100μl
price: 360.00 USD
to the supplier
Myeloperoxidase
HUABIO
catalog: EM1901-21
mouse monoclonal (A1F4)
reactivity:
human
,
mouse
application:
western blot
,
flow cytometry
,
immunohistochemistry - paraffin section
Western blot analysis of Myeloperoxidase on HL-60 cell lysates with Mouse anti-Myeloperoxidase antibody (EM1901-21) at 1/1,000 dilution. Lysates/proteins at 20 µg/Lane. Predicted band size: 84 kDa Observed band size: 84/55/37 kDa Exposure time: 1 minute 40 seconds; 4-20% SDS-PAGE gel. Proteins were transferred to a PVDF membrane and blocked with 5% NFDM/TBST for 1 hour at room temperature. The primary antibody (EM1901-21) at 1/1,000 dilution was used in 5% NFDM/TBST at room temperature for 2 hours. Goat Anti-Mouse IgG - HRP Secondary Antibody (HA1006) at 1/50,000 dilution was used for 1 hour at room temperature.
Immunocytochemistry analysis of HL-60 cells labeling Myeloperoxidase with Mouse anti-Myeloperoxidase antibody (EM1901-21) at 1/100 dilution. Cells were fixed in 4% paraformaldehyde for 20 minutes at room temperature, permeabilized with 0.1% Triton X-100 in PBS for 5 minutes at room temperature, then blocked with 1% BSA in 10% negative goat serum for 1 hour at room temperature. Cells were then incubated with Mouse anti-Myeloperoxidase antibody (EM1901-21) at 1/100 dilution in 1% BSA in PBST overnight at 4 ℃. Goat Anti-Mouse IgG H&L (iFluor™ 488, HA1125) was used as the secondary antibody at 1/1,000 dilution. PBS instead of the primary antibody was used as the secondary antibody only control. Nuclear DNA was labelled in blue with DAPI. beta Tubulin (ET1602-4, red) was stained at 1/100 dilution overnight at +4℃. Goat Anti-Rabbit IgG H&L (iFluor™ 594, HA1122) were used as the secondary antibody at 1/1,000 dilution.
Immunohistochemical analysis of paraffin-embedded human colon tissue with Mouse anti-Myeloperoxidase antibody (EM1901-21) at 1/10,000 dilution. The section was pre-treated using heat mediated antigen retrieval with Tris-EDTA buffer (pH 9.0) for 20 minutes. The tissues were blocked in 1% BSA for 20 minutes at room temperature, washed with ddH2O and PBS, and then probed with the primary antibody (EM1901-21) at 1/10,000 dilution for 1 hour at room temperature. The detection was performed using an HRP conjugated compact polymer system. DAB was used as the chromogen. Tissues were counterstained with hematoxylin and mounted with DPX.
quantity: 100μl
price: 360.00 USD
to the supplier
Myeloperoxidase
HUABIO
catalog: ET1703-21
domestic rabbit monoclonal (JM10-58)
reactivity:
human
application:
western blot
,
immunohistochemistry - paraffin section
Western blot analysis of Myeloperoxidase on different lysates with Rabbit anti-Myeloperoxidase antibody (ET1703-21) at 1/2,000 dilution. Lane 1: HL-60 cell lysate Lane 2: HeLa cell lysate (negative) Lysates/proteins at 10 µg/Lane. Predicted band size: 84 kDa Observed band size: 100 kDa Exposure time: 3 minutes; ECL: K1802; 4-20% SDS-PAGE gel. Proteins were transferred to a PVDF membrane and blocked with 5% NFDM/TBST for 1 hour at room temperature. The primary antibody (ET1703-21) at 1/2,000 dilution was used in 5% NFDM/TBST at 4℃ overnight. Goat Anti-Rabbit IgG - HRP Secondary Antibody (HA1001) at 1/50,000 dilution was used for 1 hour at room temperature.
Immunohistochemical analysis of paraffin-embedded human lung tissue using anti-Myeloperoxidase antibody. The section was pre-treated using heat mediated antigen retrieval with Tris-EDTA buffer (pH 8.0-8.4) for 20 minutes.The tissues were blocked in 5% BSA for 30 minutes at room temperature, washed with ddH2O and PBS, and then probed with the primary antibody (ET1703-21, 1/50) for 30 minutes at room temperature. The detection was performed using an HRP conjugated compact polymer system. DAB was used as the chromogen. Tissues were counterstained with hematoxylin and mounted with DPX.
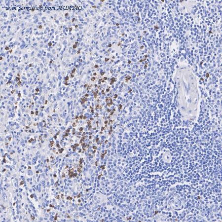
Immunohistochemical analysis of paraffin-embedded human spleen tissue using anti-Myeloperoxidase antibody. The section was pre-treated using heat mediated antigen retrieval with Tris-EDTA buffer (pH 8.0-8.4) for 20 minutes.The tissues were blocked in 5% BSA for 30 minutes at room temperature, washed with ddH2O and PBS, and then probed with the primary antibody (ET1703-21, 1/50) for 30 minutes at room temperature. The detection was performed using an HRP conjugated compact polymer system. DAB was used as the chromogen. Tissues were counterstained with hematoxylin and mounted with DPX.
quantity: 100μl
price: 385.00 USD
to the supplier
Myeloperoxidase
HUABIO
catalog: HA601249
mouse monoclonal (A1F2-R)
reactivity:
human
,
mouse
application:
western blot
,
immunohistochemistry - paraffin section
Western blot analysis of Myeloperoxidase on HL-60 cell lysates with Mouse anti-Myeloperoxidase antibody (HA601249) at 1/1,000 dilution. Lysates/proteins at 20 µg/Lane. Predicted band size: 84 kDa Observed band size: 84/55/37 kDa Exposure time: 1 minute 40 seconds; 4-20% SDS-PAGE gel. Proteins were transferred to a PVDF membrane and blocked with 5% NFDM/TBST for 1 hour at room temperature. The primary antibody (HA601249) at 1/1,000 dilution was used in 5% NFDM/TBST at room temperature for 2 hours. Goat Anti-Mouse IgG - HRP Secondary Antibody (HA1006) at 1/50,000 dilution was used for 1 hour at room temperature.
Immunohistochemical analysis of paraffin-embedded human colon tissue with Mouse anti-Myeloperoxidase antibody (HA601249) at 1/10,000 dilution. The section was pre-treated using heat mediated antigen retrieval with Tris-EDTA buffer (pH 9.0) for 20 minutes. The tissues were blocked in 1% BSA for 20 minutes at room temperature, washed with ddH2O and PBS, and then probed with the primary antibody (HA601249) at 1/10,000 dilution for 1 hour at room temperature. The detection was performed using an HRP conjugated compact polymer system. DAB was used as the chromogen. Tissues were counterstained with hematoxylin and mounted with DPX.
Immunohistochemical analysis of paraffin-embedded human colon cancer tissue with Mouse anti-Myeloperoxidase antibody (HA601249) at 1/10,000 dilution. The section was pre-treated using heat mediated antigen retrieval with Tris-EDTA buffer (pH 9.0) for 20 minutes. The tissues were blocked in 1% BSA for 20 minutes at room temperature, washed with ddH2O and PBS, and then probed with the primary antibody (HA601249) at 1/10,000 dilution for 1 hour at room temperature. The detection was performed using an HRP conjugated compact polymer system. DAB was used as the chromogen. Tissues were counterstained with hematoxylin and mounted with DPX.
quantity: 100μl
price: 360.00 USD
to the supplier
Myeloperoxidase
HUABIO
catalog: HA610124
mouse monoclonal (A1F2-R)
reactivity:
human
,
mouse
application:
western blot
,
immunohistochemistry - paraffin section
Western blot analysis of Myeloperoxidase on HL-60 cell lysates with Mouse anti-Myeloperoxidase antibody (HA610124) at 1/1,000 dilution. Lysates/proteins at 20 µg/Lane. Predicted band size: 84 kDa Observed band size: 84/55/37 kDa Exposure time: 1 minute 40 seconds; 4-20% SDS-PAGE gel. Proteins were transferred to a PVDF membrane and blocked with 5% NFDM/TBST for 1 hour at room temperature. The primary antibody (HA610124) at 1/1,000 dilution was used in 5% NFDM/TBST at room temperature for 2 hours. Goat Anti-Mouse IgG - HRP Secondary Antibody (HA1006) at 1/50,000 dilution was used for 1 hour at room temperature.
Immunohistochemical analysis of paraffin-embedded human colon tissue with Mouse anti-Myeloperoxidase antibody (HA610124) at 1/10,000 dilution. The section was pre-treated using heat mediated antigen retrieval with Tris-EDTA buffer (pH 9.0) for 20 minutes. The tissues were blocked in 1% BSA for 20 minutes at room temperature, washed with ddH2O and PBS, and then probed with the primary antibody (HA610124) at 1/10,000 dilution for 1 hour at room temperature. The detection was performed using an HRP conjugated compact polymer system. DAB was used as the chromogen. Tissues were counterstained with hematoxylin and mounted with DPX.
Immunohistochemical analysis of paraffin-embedded human colon cancer tissue with Mouse anti-Myeloperoxidase antibody (HA610124) at 1/10,000 dilution. The section was pre-treated using heat mediated antigen retrieval with Tris-EDTA buffer (pH 9.0) for 20 minutes. The tissues were blocked in 1% BSA for 20 minutes at room temperature, washed with ddH2O and PBS, and then probed with the primary antibody (HA610124) at 1/10,000 dilution for 1 hour at room temperature. The detection was performed using an HRP conjugated compact polymer system. DAB was used as the chromogen. Tissues were counterstained with hematoxylin and mounted with DPX.
quantity: 100μg
price: 649.00 USD
to the supplier
Myeloperoxidase
HUABIO
catalog: HA721146
domestic rabbit monoclonal (PD00-20)
reactivity:
human
application:
western blot
,
immunohistochemistry - paraffin section
Immunocytochemistry analysis of Jurkat cells labeling Myeloperoxidase with Rabbit anti-Myeloperoxidase antibody (HA721146) at 1/100 dilution. Cells were fixed in 80% precooled methanol for 5 minutes at room temperature, then blocked with 1% BSA in 10% negative goat serum for 1 hour at room temperature. Cells were then incubated with Rabbit anti-Myeloperoxidase antibody (HA721146) at 1/100 dilution in 1% BSA in PBST overnight at 4 ℃. Goat Anti-Rabbit IgG H&L (iFluor™ 488, HA1121) was used as the secondary antibody at 1/1,000 dilution. PBS instead of the primary antibody was used as the secondary antibody only control. Nuclear DNA was labelled in blue with DAPI. Beta tubulin (M1305-2, red) was stained at 1/100 dilution overnight at +4℃. Goat Anti-Mouse IgG H&L (iFluor™ 594, HA1126) was used as the secondary antibody at 1/1,000 dilution.
Western blot analysis of Myeloperoxidase on different lysates with Rabbit anti-Myeloperoxidase antibody (HA721146) at 1/5,000 dilution. Lane 1: HeLa cell lysate (negative) Lane 2: HL-60 cell lysate Lysates/proteins at 20 µg/Lane. Predicted band size: 84 kDa Observed band size: 100/55 kDa Exposure time: 24 seconds; 4-20% SDS-PAGE gel. Proteins were transferred to a PVDF membrane and blocked with 5% NFDM/TBST for 1 hour at room temperature. The primary antibody (HA721146) at 1/5,000 dilution was used in 5% NFDM/TBST at 4℃ overnight. Goat Anti-Rabbit IgG - HRP Secondary Antibody (HA1001) at 1/50,000 dilution was used for 1 hour at room temperature.
Immunohistochemical analysis of paraffin-embedded human spleen tissue with Rabbit anti-Myeloperoxidase antibody (HA721146) at 1/1,000 dilution. The section was pre-treated using heat mediated antigen retrieval with Tris-EDTA buffer (pH 9.0) for 20 minutes. The tissues were blocked in 1% BSA for 20 minutes at room temperature, washed with ddH2O and PBS, and then probed with the primary antibody (HA721146) at 1/1,000 dilution for 1 hour at room temperature. The detection was performed using an HRP conjugated compact polymer system. DAB was used as the chromogen. Tissues were counterstained with hematoxylin and mounted with DPX.
quantity: 100μl
price: 385.00 USD
to the supplier
Human Myeloperoxidase
HUABIO
catalog: HA723673
domestic rabbit monoclonal (PSH14-78)
reactivity:
human
application:
ELISA
Sandwich ELISA analysis of Human Myeloperoxidase matched pair antibodies Capture: HA723673, Human Myeloperoxidase Rabbit mAb [PSH14-78] Detector: HA723674, Human Myeloperoxidase Rabbit mAb [PSH14-79] Elisa assay was performed by coating wells of a 96-well plate with 100 µl per well of capture antibody (HA723673) diluted in carbonate/bicarbonate buffer, at a concentration of 2ug/ml overnight at 4℃. Wells of the plate were washed, blocked with 150 µl 0.05% tween-20 1% BSA blocking buffer, and incubated with serial diluted Recombinant Human Myeloperoxidase protein (HA211022) starting from 12,000 pg/ml to 0 pg/ml and detect antibody (HA723674, Biotin, 0.2 µg/ml) for 1 hour at 30℃ with shaking. Then the plate was washed and incubated with 100 µl per well of SA-HRP for 0.5 hour at 30℃ with shaking. Detection was performed using an Ultra TMB Substrate for 10 minutes at room temperature in the dark. The reaction was stopped with sulfuric acid and absorbances were read on a spectrophotometer at 450 nm.
Interpolated concentrations of native Myeloperoxidase in human samples. Capture: HA723673, Human Myeloperoxidase Rabbit mAb [PSH14-78] Detector: HA723674, Human Myeloperoxidase Rabbit mAb [PSH14-79] Interpolated concentration of native Myeloperoxidase was measured in duplicate at different sample concentrations and interpolated from the Myeloperoxidase standard curves. The interpolated dilution factor corrected values were plotted (mean +/- SD, n=2). The mean Myeloperoxidase concentration was determined to be 432 ng/mL in HL-60 cell supernatant. There was no detectable signal in Hela cell supernatant.
Interpolated concentrations of spiked Myeloperoxidase in cell culture media samples. Capture: HA723673, Human Myeloperoxidase Rabbit mAb [PSH14-78] Detector: HA723674, Human Myeloperoxidase Rabbit mAb [PSH14-79] The concentrations of Myeloperoxidase were measured in duplicates, interpolated from the Myeloperoxidase standard curves and corrected for sample dilution. Undiluted samples are as follows: cell culture media 50%. The interpolated dilution factor corrected values are plotted (mean +/- SD, n=2).
quantity: 100μl
price: 649.00 USD
to the supplier
Human Myeloperoxidase
HUABIO
catalog: HA723674
domestic rabbit monoclonal (PSH14-79)
reactivity:
human
application:
ELISA
Sandwich ELISA analysis of Human Myeloperoxidase matched pair antibodies Capture: HA723673, Human Myeloperoxidase Rabbit mAb [PSH14-78] Detector: HA723674, Human Myeloperoxidase Rabbit mAb [PSH14-79] Elisa assay was performed by coating wells of a 96-well plate with 100 µl per well of capture antibody (HA723673) diluted in carbonate/bicarbonate buffer, at a concentration of 2ug/ml overnight at 4℃. Wells of the plate were washed, blocked with 150 µl 0.05% tween-20 1% BSA blocking buffer, and incubated with serial diluted Recombinant Human Myeloperoxidase protein (HA211022) starting from 12,000 pg/ml to 0 pg/ml and detect antibody (HA723674, Biotin, 0.2 µg/ml) for 1 hour at 30℃ with shaking. Then the plate was washed and incubated with 100 µl per well of SA-HRP for 0.5 hour at 30℃ with shaking. Detection was performed using an Ultra TMB Substrate for 10 minutes at room temperature in the dark. The reaction was stopped with sulfuric acid and absorbances were read on a spectrophotometer at 450 nm.
Interpolated concentrations of native Myeloperoxidase in human samples. Capture: HA723673, Human Myeloperoxidase Rabbit mAb [PSH14-78] Detector: HA723674, Human Myeloperoxidase Rabbit mAb [PSH14-79] Interpolated concentration of native Myeloperoxidase was measured in duplicate at different sample concentrations and interpolated from the Myeloperoxidase standard curves. The interpolated dilution factor corrected values were plotted (mean +/- SD, n=2). The mean Myeloperoxidase concentration was determined to be 432 ng/mL in HL-60 cell supernatant. There was no detectable signal in Hela cell supernatant.
Interpolated concentrations of spiked Myeloperoxidase in cell culture media samples. Capture: HA723673, Human Myeloperoxidase Rabbit mAb [PSH14-78] Detector: HA723674, Human Myeloperoxidase Rabbit mAb [PSH14-79] The concentrations of Myeloperoxidase were measured in duplicates, interpolated from the Myeloperoxidase standard curves and corrected for sample dilution. Undiluted samples are as follows: cell culture media 50%. The interpolated dilution factor corrected values are plotted (mean +/- SD, n=2).
quantity: 100μl
price: 649.00 USD
to the supplier
Human Myeloperoxidase
HUABIO
catalog: HA723675B
domestic rabbit monoclonal (PSH14-79)
reactivity:
human
conjugate: biotin
application:
ELISA
Sandwich ELISA analysis of Human Myeloperoxidase matched pair antibodies Capture: HA723673, Human Myeloperoxidase Rabbit mAb [PSH14-78] Detector: HA723674, Human Myeloperoxidase Rabbit mAb [PSH14-79] Elisa assay was performed by coating wells of a 96-well plate with 100 µl per well of capture antibody (HA723673) diluted in carbonate/bicarbonate buffer, at a concentration of 2ug/ml overnight at 4℃. Wells of the plate were washed, blocked with 150 µl 0.05% tween-20 1% BSA blocking buffer, and incubated with serial diluted Recombinant Human Myeloperoxidase protein (HA211022) starting from 12,000 pg/ml to 0 pg/ml and detect antibody (HA723674, Biotin, 0.2 µg/ml) for 1 hour at 30℃ with shaking. Then the plate was washed and incubated with 100 µl per well of SA-HRP for 0.5 hour at 30℃ with shaking. Detection was performed using an Ultra TMB Substrate for 10 minutes at room temperature in the dark. The reaction was stopped with sulfuric acid and absorbances were read on a spectrophotometer at 450 nm.
Interpolated concentrations of native Myeloperoxidase in human samples. Capture: HA723673, Human Myeloperoxidase Rabbit mAb [PSH14-78] Detector: HA723674, Human Myeloperoxidase Rabbit mAb [PSH14-79] Interpolated concentration of native Myeloperoxidase was measured in duplicate at different sample concentrations and interpolated from the Myeloperoxidase standard curves. The interpolated dilution factor corrected values were plotted (mean +/- SD, n=2). The mean Myeloperoxidase concentration was determined to be 432 ng/mL in HL-60 cell supernatant. There was no detectable signal in Hela cell supernatant.
Interpolated concentrations of spiked Myeloperoxidase in cell culture media samples. Capture: HA723673, Human Myeloperoxidase Rabbit mAb [PSH14-78] Detector: HA723674, Human Myeloperoxidase Rabbit mAb [PSH14-79] The concentrations of Myeloperoxidase were measured in duplicates, interpolated from the Myeloperoxidase standard curves and corrected for sample dilution. Undiluted samples are as follows: cell culture media 50%. The interpolated dilution factor corrected values are plotted (mean +/- SD, n=2).
quantity: 100μl
price: 409.00 USD
to the supplier
Human Myeloperoxidase
HUABIO
catalog: HA723675H
domestic rabbit monoclonal (PSH14-79)
reactivity:
human
conjugate: HRP
application:
ELISA
Sandwich ELISA analysis of Human Myeloperoxidase matched pair antibodies Capture: HA723673, Human Myeloperoxidase Rabbit mAb [PSH14-78] Detector: HA723674, Human Myeloperoxidase Rabbit mAb [PSH14-79] Elisa assay was performed by coating wells of a 96-well plate with 100 µl per well of capture antibody (HA723673) diluted in carbonate/bicarbonate buffer, at a concentration of 2ug/ml overnight at 4℃. Wells of the plate were washed, blocked with 150 µl 0.05% tween-20 1% BSA blocking buffer, and incubated with serial diluted Recombinant Human Myeloperoxidase protein (HA211022) starting from 4,000,000 pg/ml to 0 pg/ml and detect antibody (HA723674, HRP, 2 µg/ml) for 1 hour at 30℃ with shaking. Detection was performed using an Ultra TMB Substrate for 10 minutes at room temperature in the dark. The reaction was stopped with sulfuric acid and absorbances were read on a spectrophotometer at 450 nm.
quantity: 100μl
price: 385.00 USD
to the supplier
Myeloperoxidase
HUABIO
catalog: HA723980
domestic rabbit monoclonal (PSH18-17)
reactivity:
human
,
mouse
application:
western blot
,
immunohistochemistry - paraffin section
Western blot analysis of Myeloperoxidase on different lysates with Rabbit anti-Myeloperoxidase antibody (HA723980) at 1/5,000 dilution. Lane 1: HL-60 cell lysate (20 µg/Lane) Lane 2: Jurkat cell lysate (negative) (20 µg/Lane) Lane 3: Mouse spleen tissue lysate (40 µg/Lane) Lane 4: Rat bone marrow tissue lysate (40 µg/Lane) Predicted band size: 84 kDa Observed band size: 84/55/37 kDa Exposure time: Lane 1-2: 3 minutes; Lane 3-4: 6 seconds; ECL: K1801; 4-20% SDS-PAGE gel. Proteins were transferred to a PVDF membrane and blocked with 5% NFDM/TBST for 1 hour at room temperature. The primary antibody (HA723980) at 1/5,000 dilution was used in primary antibody dilution (K1803) at 4℃ overnight. Goat Anti-Rabbit IgG - HRP Secondary Antibody (HA1001) at 1/50,000 dilution was used for 1 hour at room temperature.
Immunohistochemical analysis of paraffin-embedded human bone marrow tissue with Rabbit anti-Myeloperoxidase antibody (HA723980) at 1/1,000 dilution. The section was pre-treated using heat mediated antigen retrieval with Tris-EDTA buffer (pH 9.0) for 20 minutes. The tissues were blocked in 1% BSA for 20 minutes at room temperature, washed with ddH2O and PBS, and then probed with the primary antibody (HA723980) at 1/1,000 dilution for 1 hour at room temperature. The detection was performed using an HRP conjugated compact polymer system. DAB was used as the chromogen. Tissues were counterstained with hematoxylin and mounted with DPX.
Immunohistochemical analysis of paraffin-embedded human spleen tissue with Rabbit anti-Myeloperoxidase antibody (HA723980) at 1/200 dilution. The section was pre-treated using heat mediated antigen retrieval with Tris-EDTA buffer (pH 9.0) for 20 minutes. The tissues were blocked in 1% BSA for 20 minutes at room temperature, washed with ddH2O and PBS, and then probed with the primary antibody (HA723980) at 1/200 dilution for 1 hour at room temperature. The detection was performed using an HRP conjugated compact polymer system. DAB was used as the chromogen. Tissues were counterstained with hematoxylin and mounted with DPX.
quantity: 100μl
price: 385.00 USD
to the supplier
Myeloperoxidase
HUABIO
catalog: IRS037
domestic rabbit monoclonal
reactivity:
human
mIHC analysis of human tonsils tissue (Formalin/PFA-fixed paraffin-embedded sections) with Rabbit anti-Myeloperoxidase antibody (IRS037) at 1/100 dilution. The immunostaining was performed with the IRISKitCmTSA Kit (900808). Heat mediated antigen retrieval with Tris-EDTA buffer (pH 9.0) for 30 mins at 95℃. DAPI (blue) was used as a nuclear counter stain. Image acquisition was performed with Olympus VS200 Slide Scanner.
mIHC analysis of human lung cancer tissue (Formalin/PFA-fixed paraffin-embedded sections) with FOXP3 (IRS008), CD57 (IRS027), MPO (IRS037), CD8 (IRS007) and panCK (IRS010) antibody at 1/100 dilution. The immunostaining was performed with the IRISKitCmTSA Kit (900802). Heat mediated antigen retrieval with Tris-EDTA buffer (pH 9.0) for 30 mins at 95℃. DAPI (blue) was used as a nuclear counter stain. Image acquisition was performed with Olympus VS200 Slide Scanner.
quantity: 100μl
price: 385.00 USD
to the supplier
Myeloperoxidase
HUABIO
catalog: IRS173MS
mouse monoclonal
reactivity:
human
mIHC analysis of human tonsil tissue (Formalin/PFA-fixed paraffin-embedded sections) with Mouse anti-Myeloperoxidase antibody (IRS173MS) at 1/100 dilution. The immunostaining was performed with the IRISKitCmTSA Kit (900809). Heat mediated antigen retrieval with Tris-EDTA buffer (pH 9.0) for 30 mins at 95℃. DAPI (blue) was used as a nuclear counter stain. Image acquisition was performed with Olympus VS200 Slide Scanner.
quantity: 50T
price: 278.00 USD
to the supplier