Sign in
Sign up
home
>
HUABIO
> HUABIO CD200 antibody
Human CD200
HUABIO
catalog: HA720208F
domestic rabbit monoclonal (PSH01-48)
reactivity:
human
conjugate: FITC
application:
flow cytometry
Flow cytometric analysis of Human peripheral blood labelling Human CD200 (HA720208F, FITC).
quantity: 100μl
price: 429.00 USD
to the supplier
CD200
HUABIO
catalog: HA721691
domestic rabbit monoclonal (PSH01-48)
reactivity:
human
application:
western blot
,
flow cytometry
,
immunohistochemistry - paraffin section
Western blot analysis of CD200 on different lysates with Rabbit anti-CD200 antibody (HA721691) at 1/1,000 dilution. Lane 1: SK-MEL-28 cell lysate (20 µg/Lane) Lane 2: NCI-H226 cell lysate (20 µg/Lane) Lane 3: Human brain tissue lysate (30 µg/Lane) Lane 4: Human placenta tissue lysate (30 µg/Lane) Lane 5: Human lung tissue lysate (30 µg/Lane) Predicted band size: 31 kDa Observed band size: 40-50kDa Exposure time: 40 seconds; 4-20% SDS-PAGE gel. Proteins were transferred to a PVDF membrane and blocked with 5% NFDM/TBST for 1 hour at room temperature. The primary antibody (HA721691) at 1/1,000 dilution was used in 5% NFDM/TBST at room temperature for 2 hours. Goat Anti-Rabbit IgG - HRP Secondary Antibody (HA1001) at 1/100,000 dilution was used for 1 hour at room temperature.
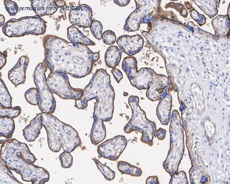
Immunohistochemical analysis of paraffin-embedded human placenta tissue with Rabbit anti-CD200 antibody (HA721691) at 1/2,000 dilution. The section was pre-treated using heat mediated antigen retrieval with Tris-EDTA buffer (pH 9.0) for 20 minutes. The tissues were blocked in 1% BSA for 20 minutes at room temperature, washed with ddH2O and PBS, and then probed with the primary antibody (HA721691) at 1/2,000 dilution for 1 hour at room temperature. The detection was performed using an HRP conjugated compact polymer system. DAB was used as the chromogen. Tissues were counterstained with hematoxylin and mounted with DPX.
Immunohistochemical analysis of paraffin-embedded human breast carcinoma tissue (negative control) with Rabbit anti-CD200 antibody (HA721691) at 1/800 dilution. The section was pre-treated using heat mediated antigen retrieval with Tris-EDTA buffer (pH 9.0) for 20 minutes. The tissues were blocked in 1% BSA for 20 minutes at room temperature, washed with ddH2O and PBS, and then probed with the primary antibody (HA721691) at 1/800 dilution for 1 hour at room temperature. The detection was performed using an HRP conjugated compact polymer system. DAB was used as the chromogen. Tissues were counterstained with hematoxylin and mounted with DPX.
quantity: 100μl
price: 385.00 USD
to the supplier
CD200
HUABIO
catalog: HA721692
domestic rabbit monoclonal (PSH01-49)
reactivity:
human
application:
western blot
,
flow cytometry
,
immunohistochemistry - paraffin section
Western blot analysis of CD200 on different lysates with Rabbit anti-CD200 antibody (HA721692) at 1/1,000 dilution. Lane 1: SK-MEL-28 cell lysate (20 µg/Lane) Lane 2: NCI-H226 cell lysate (20 µg/Lane) Lane 3: Human brain tissue lysate (20 µg/Lane) Lane 4: Human lung tissue lysate (20 µg/Lane) Predicted band size: 31 kDa Observed band size: 40-50 kDa Exposure time: 2 minutes 10 seconds; ECL: K1801; 4-20% SDS-PAGE gel. Proteins were transferred to a PVDF membrane and blocked with 5% NFDM/TBST for 1 hour at room temperature. The primary antibody (HA721692) at 1/1,000 dilution was used in 5% NFDM/TBST at room temperature for 2 hours. Goat Anti-Rabbit IgG - HRP Secondary Antibody (HA1001) at 1/100,000 dilution was used for 1 hour at room temperature.
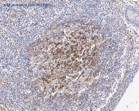
Immunohistochemical analysis of paraffin-embedded human lymph node tissue with Rabbit anti-CD200 antibody (HA721692) at 1/2,000 dilution. The section was pre-treated using heat mediated antigen retrieval with Tris-EDTA buffer (pH 9.0) for 20 minutes. The tissues were blocked in 1% BSA for 20 minutes at room temperature, washed with ddH2O and PBS, and then probed with the primary antibody (HA721692) at 1/2,000 dilution for 1 hour at room temperature. The detection was performed using an HRP conjugated compact polymer system. DAB was used as the chromogen. Tissues were counterstained with hematoxylin and mounted with DPX.
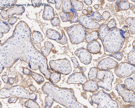
Immunohistochemical analysis of paraffin-embedded human placenta tissue with Rabbit anti-CD200 antibody (HA721692) at 1/2,000 dilution. The section was pre-treated using heat mediated antigen retrieval with Tris-EDTA buffer (pH 9.0) for 20 minutes. The tissues were blocked in 1% BSA for 20 minutes at room temperature, washed with ddH2O and PBS, and then probed with the primary antibody (HA721692) at 1/2,000 dilution for 1 hour at room temperature. The detection was performed using an HRP conjugated compact polymer system. DAB was used as the chromogen. Tissues were counterstained with hematoxylin and mounted with DPX.
quantity: 100μl
price: 385.00 USD
to the supplier
Human CD200
HUABIO
catalog: HA722379
domestic rabbit monoclonal (PSH05-59)
reactivity:
human
application:
ELISA
Sandwich ELISA analysis of human CD200 matched pair antibodies Elisa assay was performed by coating wells of a 96-well plate with 100 µl per well of capture antibody (HA722379) diluted in carbonate/bicarbonate buffer, at a concentration of 2 µg/mL overnight at 4℃. Wells of the plate were washed, blocked with 150 µl 0.05% tween-20 1% BSA blocking buffer, and incubated with serial diluted recombinant human CD200 protein (HA210665) starting from 2,500 pg/ml to 0 pg/ml and detect antibody (HA722380, Biotin, 0.2 µg/ml) for 1 hour at 30℃ with shaking. Then the plate was washed and incubated with 100 µl per well of SA-HRP for 0.5 hour at 30℃ with shaking. Detection was performed using an Ultra TMB Substrate for 10 minutes at room temperature in the dark. The reaction was stopped with sulfuric acid and absorbances were read on a spectrophotometer at 450 nm.
Interpolated concentrations of native CD200 in human serum samples. The concentrations of CD200 were interpolated from the CD200 standard curves and corrected for sample dilution. Undiluted samples are human serum 100%. The mean CD200 concentration was determined to be 652.9 pg/ml in human serum.
Interpolated concentrations of native CD200 in SK-Mel-28 and NCI-H226 extract samples based on a 1,000 µg/ml extract load. The concentrations of CD200 were measured in triplicates, interpolated from the CD200 standard curve and corrected for sample dilution. Undiluted samples are SK-Mel-28 extract 20% and NCI-H226 extract 5%. The interpolated dilution factor corrected values are plotted (mean +/- SD, n=3). The mean CD200 concentration was determined to be 3,860 pg/ml in SK-Mel-28 extract and 21,265 pg/ml in NCI-H226 extract.
quantity: 100μl
price: 649.00 USD
to the supplier
Human CD200
HUABIO
catalog: HA722380
domestic rabbit monoclonal (PSH05-60)
reactivity:
human
application:
ELISA
Sandwich ELISA analysis of human CD200 matched pair antibodies Elisa assay was performed by coating wells of a 96-well plate with 100 µl per well of capture antibody (HA722379) diluted in carbonate/bicarbonate buffer, at a concentration of 2 µg/mL overnight at 4℃. Wells of the plate were washed, blocked with 150 µl 0.05% tween-20 1% BSA blocking buffer, and incubated with serial diluted recombinant human CD200 protein (HA210665) starting from 2,500 pg/ml to 0 pg/ml and detect antibody (HA722380, Biotin, 0.2 µg/ml) for 1 hour at 30℃ with shaking. Then the plate was washed and incubated with 100 µl per well of SA-HRP for 0.5 hour at 30℃ with shaking. Detection was performed using an Ultra TMB Substrate for 10 minutes at room temperature in the dark. The reaction was stopped with sulfuric acid and absorbances were read on a spectrophotometer at 450 nm.
Interpolated concentrations of native CD200 in human serum samples. The concentrations of CD200 were interpolated from the CD200 standard curves and corrected for sample dilution. Undiluted samples are human serum 100%. The mean CD200 concentration was determined to be 652.9 pg/ml in human serum.
Interpolated concentrations of native CD200 in SK-Mel-28 and NCI-H226 extract samples based on a 1,000 µg/ml extract load. The concentrations of CD200 were measured in triplicates, interpolated from the CD200 standard curve and corrected for sample dilution. Undiluted samples are SK-Mel-28 extract 20% and NCI-H226 extract 5%. The interpolated dilution factor corrected values are plotted (mean +/- SD, n=3). The mean CD200 concentration was determined to be 3,860 pg/ml in SK-Mel-28 extract and 21,265 pg/ml in NCI-H226 extract.
quantity: 100μl
price: 649.00 USD
to the supplier
Human CD200
HUABIO
catalog: HA722591B
domestic rabbit monoclonal (PSH05-60)
reactivity:
human
conjugate: biotin
application:
ELISA
quantity: 100μl
price: 409.00 USD
to the supplier