domestic rabbit polyclonal
reactivity: human, mouse, rat
application: western blot, immunohistochemistry - paraffin section
reactivity: human, mouse, rat
application: western blot, immunohistochemistry - paraffin section

Western blot analysis of MMP-3 on different lysates with Rabbit anti-MMP-3 antibody (ER1706-77) at 1/1,000 dilution. Lane 1: U-87 MG cell lysate Lane 2: HeLa cell lysate Lysates/proteins at 20 µg/Lane. Predicted band size: 54 kDa Observed band size: 54 kDa Exposure time: 59 seconds; ECL: K1801; 4-20% SDS-PAGE gel. Proteins were transferred to a PVDF membrane and blocked with 5% NFDM/TBST for 1 hour at room temperature. The primary antibody (ER1706-77) at 1/1,000 dilution was used in 5% NFDM/TBST at 4℃ overnight. Goat Anti-Rabbit IgG - HRP Secondary Antibody (HA1001) at 1/50,000 dilution was used for 1 hour at room temperature.

Immunocytochemistry analysis of C2C12 cells labeling MMP-3 with Rabbit anti-MMP-3 antibody (ER1706-77) at 1/100 dilution. Cells were fixed in 4% paraformaldehyde for 15 minutes at room temperature, permeabilized with 0.1% Triton X-100 in PBS for 15 minutes at room temperature, then blocked with 1% BSA in 10% negative goat serum for 1 hour at room temperature. Cells were then incubated with Rabbit anti-MMP-3 antibody (ER1706-77) at 1/100 dilution in 1% BSA in PBST overnight at 4 ℃. Goat Anti-Rabbit IgG H&L (iFluor™ 488, HA1121) was used as the secondary antibody at 1/1,000 dilution. PBS instead of the primary antibody was used as the secondary antibody only control. Nuclear DNA was labelled in blue with DAPI. Beta tubulin (HA601187, red) was stained at 1/100 dilution overnight at +4℃. Goat Anti-Mouse IgG H&L (iFluor™ 594, HA1126) was used as the secondary antibody at 1/1,000 dilution.

Immunocytochemistry analysis of PC-12 cells labeling MMP-3 with Rabbit anti-MMP-3 antibody (ER1706-77) at 1/100 dilution. Cells were fixed in 4% paraformaldehyde for 15 minutes at room temperature, permeabilized with 0.1% Triton X-100 in PBS for 15 minutes at room temperature, then blocked with 1% BSA in 10% negative goat serum for 1 hour at room temperature. Cells were then incubated with Rabbit anti-MMP-3 antibody (ER1706-77) at 1/100 dilution in 1% BSA in PBST overnight at 4 ℃. Goat Anti-Rabbit IgG H&L (iFluor™ 488, HA1121) was used as the secondary antibody at 1/1,000 dilution. PBS instead of the primary antibody was used as the secondary antibody only control. Nuclear DNA was labelled in blue with DAPI. Beta tubulin (HA601187, red) was stained at 1/100 dilution overnight at +4℃. Goat Anti-Mouse IgG H&L (iFluor™ 594, HA1126) was used as the secondary antibody at 1/1,000 dilution.
quantity: 100μl
price: 330 USD
to the supplier
domestic rabbit monoclonal (JM46-22)
reactivity: human, mouse, rat
application: western blot, immunohistochemistry - paraffin section
reactivity: human, mouse, rat
application: western blot, immunohistochemistry - paraffin section

Western blot analysis of MMP-3 on different lysates. Proteins were transferred to a PVDF membrane and blocked with 5% BSA in PBS for 1 hour at room temperature. The primary antibody (ET1705-98, 1/500) was used in 5% BSA at room temperature for 2 hours. Goat Anti-Rabbit IgG - HRP Secondary Antibody (HA1001) at 1:5,000 dilution was used for 1 hour at room temperature. Positive control: Lane 1: human liver tissue lysate Lane 2: rat liver tissue lysate

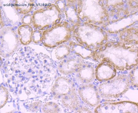
Immunohistochemical analysis of paraffin-embedded rat kidney tissue using anti-MMP-3 antibody. The section was pre-treated using heat mediated antigen retrieval with Tris-EDTA buffer (pH 8.0-8.4) for 20 minutes.The tissues were blocked in 5% BSA for 30 minutes at room temperature, washed with ddH2O and PBS, and then probed with the primary antibody (ET1705-98, 1/50) for 30 minutes at room temperature. The detection was performed using an HRP conjugated compact polymer system. DAB was used as the chromogen. Tissues were counterstained with hematoxylin and mounted with DPX.

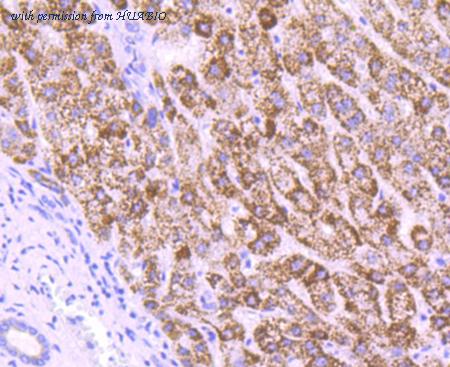
Immunohistochemical analysis of paraffin-embedded human liver tissue using anti-MMP-3 antibody. The section was pre-treated using heat mediated antigen retrieval with Tris-EDTA buffer (pH 8.0-8.4) for 20 minutes.The tissues were blocked in 5% BSA for 30 minutes at room temperature, washed with ddH2O and PBS, and then probed with the primary antibody (ET1705-98, 1/50) for 30 minutes at room temperature. The detection was performed using an HRP conjugated compact polymer system. DAB was used as the chromogen. Tissues were counterstained with hematoxylin and mounted with DPX.
quantity: 100μl
price: 385.00 USD
to the supplier
domestic rabbit monoclonal (PSH07-61)
reactivity: human
application: ELISA
reactivity: human
application: ELISA

Sandwich ELISA analysis of human MMP3 matched pair antibodies Elisa assay was performed by coating wells of a 96-well plate with 100 µl per well of capture antibody (HA722877) diluted in carbonate/bicarbonate buffer, at a concentration of 2 µg/mL overnight at 4℃. Wells of the plate were washed, blocked with 150 µl 0.05% tween-20 1%BSA blocking buffer, and incubated with serial diluted Recombinant Human MMP-3 protein (HA210853) starting from 10,000 pg/ml to 0 pg/ml and detect antibody (HA722878, Biotin, 0.2 µg/ml) for 1 hour at 30℃ with shaking. Then the plate was washed and incubated with 100 µl per well of SA-HRP for 0.5 hour at 30℃ with shaking. Detection was performed using an Ultra TMB Substrate for 10 minutes at room temperature in the dark. The reaction was stopped with sulfuric acid and absorbances were read on a spectrophotometer at 450 nm.

Interpolated concentrations of native MMP3 in human serum samples. The concentrations of MMP3 were interpolated from the MMP3 standard curves and corrected for sample dilution. Undiluted samples are human serum 20%. The interpolated dilution factor corrected values are plotted (mean +/- SD, n=2). The mean MMP3 concentration was determined to be 12,706 pg/ml in human serum.

Interpolated concentrations of native MMP3 in U-2 OS cell culture supernatant. The concentrations of MMP3 were interpolated from the MMP3 standard curves and corrected for sample dilution. Undiluted samples are U-2 OS cell culture supernatant 100%. The interpolated dilution factor corrected values are plotted (mean +/- SD, n=2). The mean MMP3 concentration was determined to be 4,120 pg/ml in U-2 OS cell culture supernatant.
quantity: 100μl
price: 649.00 USD
to the supplier
domestic rabbit monoclonal (PSH07-62)
reactivity: human
application: ELISA
reactivity: human
application: ELISA

Sandwich ELISA analysis of human MMP3 matched pair antibodies Elisa assay was performed by coating wells of a 96-well plate with 100 µl per well of capture antibody (HA722877) diluted in carbonate/bicarbonate buffer, at a concentration of 2 µg/mL overnight at 4℃. Wells of the plate were washed, blocked with 150 µl 0.05% tween-20 1%BSA blocking buffer, and incubated with serial diluted Recombinant Human MMP-3 protein (HA210853) starting from 10,000 pg/ml to 0 pg/ml and detect antibody (HA722878, Biotin, 0.2 µg/ml) for 1 hour at 30℃ with shaking. Then the plate was washed and incubated with 100 µl per well of SA-HRP for 0.5 hour at 30℃ with shaking. Detection was performed using an Ultra TMB Substrate for 10 minutes at room temperature in the dark. The reaction was stopped with sulfuric acid and absorbances were read on a spectrophotometer at 450 nm.

Interpolated concentrations of native MMP3 in human serum samples. The concentrations of MMP3 were interpolated from the MMP3 standard curves and corrected for sample dilution. Undiluted samples are human serum 20%. The interpolated dilution factor corrected values are plotted (mean +/- SD, n=2). The mean MMP3 concentration was determined to be 12,706 pg/ml in human serum.

Interpolated concentrations of native MMP3 in U-2 OS cell culture supernatant. The concentrations of MMP3 were interpolated from the MMP3 standard curves and corrected for sample dilution. Undiluted samples are U-2 OS cell culture supernatant 100%. The interpolated dilution factor corrected values are plotted (mean +/- SD, n=2). The mean MMP3 concentration was determined to be 4,120 pg/ml in U-2 OS cell culture supernatant.
quantity: 100μl
price: 649.00 USD
to the supplier
domestic rabbit monoclonal (PSH07-62)
reactivity: human
conjugate: biotin
application: ELISA
reactivity: human
conjugate: biotin
application: ELISA

Sandwich ELISA analysis of human MMP3 matched pair antibodies Elisa assay was performed by coating wells of a 96-well plate with 100 µl per well of capture antibody (HA722877) diluted in carbonate/bicarbonate buffer, at a concentration of 2 µg/mL overnight at 4℃. Wells of the plate were washed, blocked with 150 µl 0.05% tween-20 1%BSA blocking buffer, and incubated with serial diluted Recombinant Human MMP-3 protein (HA210853) starting from 10,000 pg/ml to 0 pg/ml and detect antibody (HA722879B, 0.2 µg/ml) for 1 hour at 30℃ with shaking. Then the plate was washed and incubated with 100 µl per well of SA-HRP for 0.5 hour at 30℃ with shaking. Detection was performed using an Ultra TMB Substrate for 10 minutes at room temperature in the dark. The reaction was stopped with sulfuric acid and absorbances were read on a spectrophotometer at 450 nm.

Interpolated concentrations of native MMP3 in human serum samples. The concentrations of MMP3 were interpolated from the MMP3 standard curves and corrected for sample dilution. Undiluted samples are human serum 20%. The interpolated dilution factor corrected values are plotted (mean +/- SD, n=2). The mean MMP3 concentration was determined to be 12,706 pg/ml in human serum.

Interpolated concentrations of native MMP3 in U-2 OS cell culture supernatant. The concentrations of MMP3 were interpolated from the MMP3 standard curves and corrected for sample dilution. Undiluted samples are U-2 OS cell culture supernatant 100%. The interpolated dilution factor corrected values are plotted (mean +/- SD, n=2). The mean MMP3 concentration was determined to be 4,120 pg/ml in U-2 OS cell culture supernatant.
quantity: 100μl
price: 409.00 USD
to the supplier
