Sign in
Sign up
home
>
HUABIO
> HUABIO MMP-1 antibody
MMP-1
HUABIO
catalog: ER31211
domestic rabbit polyclonal
reactivity:
human
,
mouse
,
rat
application:
western blot
,
immunohistochemistry - paraffin section
Western blot analysis of MMP-1 on different lysates with Rabbit anti-MMP-1 antibody (ER31211) at 1/1,000 dilution. Lane 1: SK-Br-3 cell lysate (15 µg/Lane) Lane 2: MCF7 cell lysate (15 µg/Lane) Lane 3: Raji cell lysate (15 µg/Lane) Lane 4: A431 cell lysate (15 µg/Lane) Lane 5: HeLa cell lysate (15 µg/Lane) Lane 6: HUVEC cell lysate (15 µg/Lane) Lane 7: A549 cell lysate lysate (30 µg/Lane) Predicted band size: 54 kDa Observed band size: 54 kDa Exposure time: 2 minutes; 4-20% SDS-PAGE gel. Proteins were transferred to a PVDF membrane and blocked with 5% NFDM/TBST for 1 hour at room temperature. The primary antibody (ER31211) at 1/1,000 dilution was used in 5% NFDM/TBST at room temperature for 2 hours. Goat Anti-Rabbit IgG - HRP Secondary Antibody (HA1001) at 1:100,000 dilution was used for 1 hour at room temperature.
Western blot analysis of MMP-1 on different lysates with Rabbit anti-MMP-1 antibody (ER31211) at 1/1,000 dilution. Lane 1: SK-Br-3 cell lysate Lane 2: MCF7 cell lysate Lane 3: Raji cell lysate Lane 4: NIH/3T3 cell lysate Lane 5: COS-1 cell lysate Lysates/proteins at 15 µg/Lane. Predicted band size: 54 kDa Observed band size: 54 kDa Exposure time: 23 seconds; ECL: K1801; 4-20% SDS-PAGE gel. Proteins were transferred to a PVDF membrane and blocked with 5% NFDM/TBST for 1 hour at room temperature. The primary antibody (ER31211) at 1/1,000 dilution was used in 5% NFDM/TBST at 4℃ overnight. Goat Anti-Rabbit IgG - HRP Secondary Antibody (HA1001) at 1/50,000 dilution was used for 1 hour at room temperature.
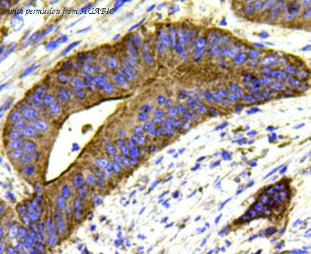
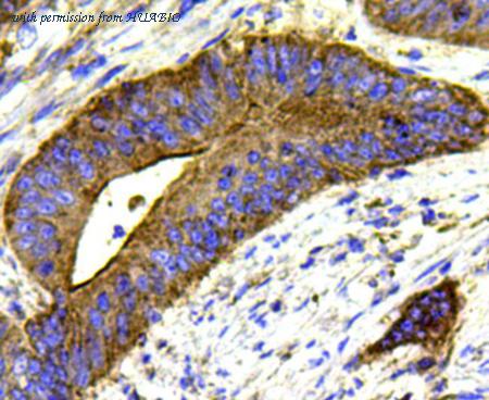
Immunohistochemical analysis of paraffin-embedded human colon cancer tissue using anti-MMP1 antibody. Counter stained with hematoxylin.
quantity: 100μl
price: 330 USD
to the supplier
Human MMP-1
HUABIO
catalog: HA722874
domestic rabbit monoclonal (PSH07-59)
reactivity:
human
application:
ELISA
Sandwich ELISA analysis of human MMP-1 matched pair antibodies Elisa assay was performed by coating wells of a 96-well plate with 100 µl per well of capture antibody (HA722874) diluted in carbonate/bicarbonate buffer, at a concentration of 2 µg/ml overnight at 4℃. Wells of the plate were washed, blocked with 150 µl 0.05% tween-20 1% BSA blocking buffer, and incubated with serial diluted Recombinant Human CXCL13 protein (HA210903) starting from 3000 pg/ml to 0 pg/ml and detect antibody (HA722875, Biotin, 0.2 µg/ml) for 1 hour at 30℃ with shaking. Then the plate was washed and incubated with 100 µl per well of SA-HRP for 0.5 hour at 30℃ with shaking. Detection was performed using an Ultra TMB Substrate for 10 minutes at room temperature in the dark. The reaction was stopped with sulfuric acid and absorbances were read on a spectrophotometer at 450 nm.
Interpolated concentrations of native Pro-MMP-1 in human cell culture supernatant samples. Interpolated concentration of native Pro-MMP-1 was measured in duplicate at different sample concentrations and interpolated from the Pro-MMP-1 standard curves. Undiluted samples were 100% cell supernatant. The interpolated dilution factor corrected values were plotted (mean +/- SD, n=2). The mean Pro-MMP-1 concentration was determined to be 2316 pg/mL in SW480 and 1660 pg/ml in HepG2 in cell culture supernatant, undetectable in A549 supernatant.
Interpolated concentrations of spiked Pro-MMP-1 in human cell culture media samples. The concentrations of Pro-MMP-1 were measured in duplicates, interpolated from the Pro-MMP-1 standard curves and corrected for sample dilution. Undiluted samples are as follows: cell culture media 50%. The interpolated dilution factor corrected values are plotted (mean +/- SD, n=2).
quantity: 100μl
price: 649.00 USD
to the supplier
Human MMP-1
HUABIO
catalog: HA722875
domestic rabbit monoclonal (PSH07-60)
reactivity:
human
application:
ELISA
Sandwich ELISA analysis of human MMP-1 matched pair antibodies Elisa assay was performed by coating wells of a 96-well plate with 100 µl per well of capture antibody (HA722874) diluted in carbonate/bicarbonate buffer, at a concentration of 2 µg/ml overnight at 4℃. Wells of the plate were washed, blocked with 150 µl 0.05% tween-20 1% BSA blocking buffer, and incubated with serial diluted Recombinant Human CXCL13 protein (HA210903) starting from 3000 pg/ml to 0 pg/ml and detect antibody (HA722875, Biotin, 0.2 µg/ml) for 1 hour at 30℃ with shaking. Then the plate was washed and incubated with 100 µl per well of SA-HRP for 0.5 hour at 30℃ with shaking. Detection was performed using an Ultra TMB Substrate for 10 minutes at room temperature in the dark. The reaction was stopped with sulfuric acid and absorbances were read on a spectrophotometer at 450 nm.
Interpolated concentrations of native Pro-MMP-1 in human cell culture supernatant samples. Interpolated concentration of native Pro-MMP-1 was measured in duplicate at different sample concentrations and interpolated from the Pro-MMP-1 standard curves. Undiluted samples were 100% cell supernatant. The interpolated dilution factor corrected values were plotted (mean +/- SD, n=2). The mean Pro-MMP-1 concentration was determined to be 2316 pg/mL in SW480 and 1660 pg/ml in HepG2 in cell culture supernatant, undetectable in A549 supernatant.
Interpolated concentrations of spiked Pro-MMP-1 in human cell culture media samples. The concentrations of Pro-MMP-1 were measured in duplicates, interpolated from the Pro-MMP-1 standard curves and corrected for sample dilution. Undiluted samples are as follows: cell culture media 50%. The interpolated dilution factor corrected values are plotted (mean +/- SD, n=2).
quantity: 100μl
price: 649.00 USD
to the supplier
Human MMP-1
HUABIO
catalog: HA722876B
domestic rabbit monoclonal (PSH07-60)
reactivity:
human
conjugate: biotin
application:
ELISA
Sandwich ELISA analysis of human MMP-1 matched pair antibodies Elisa assay was performed by coating wells of a 96-well plate with 100 µl per well of capture antibody (HA722874) diluted in carbonate/bicarbonate buffer, at a concentration of 2 µg/ml overnight at 4℃. Wells of the plate were washed, blocked with 150 µl 0.05% tween-20 1% BSA blocking buffer, and incubated with serial diluted Recombinant Human CXCL13 protein (HA210903) starting from 3000 pg/ml to 0 pg/ml and detect antibody (HA722876B, 0.2 µg/ml) for 1 hour at 30℃ with shaking. Then the plate was washed and incubated with 100 µl per well of SA-HRP for 0.5 hour at 30℃ with shaking. Detection was performed using an Ultra TMB Substrate for 10 minutes at room temperature in the dark. The reaction was stopped with sulfuric acid and absorbances were read on a spectrophotometer at 450 nm.
Interpolated concentrations of native Pro-MMP-1 in human cell culture supernatant samples. Interpolated concentration of native Pro-MMP-1 was measured in duplicate at different sample concentrations and interpolated from the Pro-MMP-1 standard curves. Undiluted samples were 100% cell supernatant. The interpolated dilution factor corrected values were plotted (mean +/- SD, n=2). The mean Pro-MMP-1 concentration was determined to be 2316 pg/mL in SW480 and 1660 pg/ml in HepG2 in cell culture supernatant, undetectable in A549 supernatant.
Interpolated concentrations of spiked Pro-MMP-1 in human cell culture media samples. The concentrations of Pro-MMP-1 were measured in duplicates, interpolated from the Pro-MMP-1 standard curves and corrected for sample dilution. Undiluted samples are as follows: cell culture media 50%. The interpolated dilution factor corrected values are plotted (mean +/- SD, n=2).
quantity: 100μl
price: 409.00 USD
to the supplier
MMP-1
HUABIO
catalog: HA723118
domestic rabbit monoclonal (PSH09-56)
reactivity:
human
application:
western blot
,
immunohistochemistry - paraffin section
Western blot analysis of MMP-1 on different lysates with Rabbit anti-MMP-1 antibody (HA723118) at 1/2,000 dilution. Lane 1: MDA-MB-231 cell lysate (20 µg/Lane) Lane 2: U-87 MG cell lysate (20 µg/Lane) Lane 3: HT-29 cell lysate (negative) (20 µg/Lane) Lane 4: HUVEC cell lysate (20 µg/Lane) Lane 5: A375 cell lysate (20 µg/Lane) Predicted band size: 54 kDa Observed band size: 54 kDa Exposure time: 27 seconds; ECL: K1802; 4-20% SDS-PAGE gel. Proteins were transferred to a PVDF membrane and blocked with 5% NFDM/TBST for 1 hour at room temperature. The primary antibody (HA723118) at 1/2,000 dilution was used in 5% NFDM/TBST at 4℃ overnight. Goat Anti-Rabbit IgG - HRP Secondary Antibody (HA1001) at 1/50,000 dilution was used for 1 hour at room temperature.
Immunohistochemical analysis of paraffin-embedded human breast cancer tissue with Rabbit anti-MMP-1 antibody (HA723118) at 1/1,000 dilution. The section was pre-treated using heat mediated antigen retrieval with Tris-EDTA buffer (pH 9.0) for 20 minutes. The tissues were blocked in 1% BSA for 20 minutes at room temperature, washed with ddH2O and PBS, and then probed with the primary antibody (HA723118) at 1/1,000 dilution for 1 hour at room temperature. The detection was performed using an HRP conjugated compact polymer system. DAB was used as the chromogen. Tissues were counterstained with hematoxylin and mounted with DPX.
Immunohistochemical analysis of paraffin-embedded human lung adenocarcinoma tissue with Rabbit anti-MMP-1 antibody (HA723118) at 1/1,000 dilution. The section was pre-treated using heat mediated antigen retrieval with Tris-EDTA buffer (pH 9.0) for 20 minutes. The tissues were blocked in 1% BSA for 20 minutes at room temperature, washed with ddH2O and PBS, and then probed with the primary antibody (HA723118) at 1/1,000 dilution for 1 hour at room temperature. The detection was performed using an HRP conjugated compact polymer system. DAB was used as the chromogen. Tissues were counterstained with hematoxylin and mounted with DPX.
quantity: 100μl
price: 385.00 USD
to the supplier
MMP-1
HUABIO
catalog: HA751303
domestic rabbit monoclonal (PSH09-56)
reactivity:
human
application:
western blot
,
immunohistochemistry - paraffin section
Western blot analysis of MMP-1 on different lysates with Rabbit anti-MMP-1 antibody (HA751303) at 1/2,000 dilution. Lane 1: MDA-MB-231 cell lysate (20 µg/Lane) Lane 2: U-87 MG cell lysate (20 µg/Lane) Lane 3: HT-29 cell lysate (negative) (20 µg/Lane) Lane 4: HUVEC cell lysate (20 µg/Lane) Lane 5: A375 cell lysate (20 µg/Lane) Predicted band size: 54 kDa Observed band size: 54 kDa Exposure time: 27 seconds; ECL: K1802; 4-20% SDS-PAGE gel. Proteins were transferred to a PVDF membrane and blocked with 5% NFDM/TBST for 1 hour at room temperature. The primary antibody (HA751303) at 1/2,000 dilution was used in 5% NFDM/TBST at 4℃ overnight. Goat Anti-Rabbit IgG - HRP Secondary Antibody (HA1001) at 1/50,000 dilution was used for 1 hour at room temperature.
Immunohistochemical analysis of paraffin-embedded human breast cancer tissue with Rabbit anti-MMP-1 antibody (HA751303) at 1/1,000 dilution. The section was pre-treated using heat mediated antigen retrieval with Tris-EDTA buffer (pH 9.0) for 20 minutes. The tissues were blocked in 1% BSA for 20 minutes at room temperature, washed with ddH2O and PBS, and then probed with the primary antibody (HA751303) at 1/1,000 dilution for 1 hour at room temperature. The detection was performed using an HRP conjugated compact polymer system. DAB was used as the chromogen. Tissues were counterstained with hematoxylin and mounted with DPX.
Immunohistochemical analysis of paraffin-embedded human lung adenocarcinoma tissue with Rabbit anti-MMP-1 antibody (HA751303) at 1/1,000 dilution. The section was pre-treated using heat mediated antigen retrieval with Tris-EDTA buffer (pH 9.0) for 20 minutes. The tissues were blocked in 1% BSA for 20 minutes at room temperature, washed with ddH2O and PBS, and then probed with the primary antibody (HA751303) at 1/1,000 dilution for 1 hour at room temperature. The detection was performed using an HRP conjugated compact polymer system. DAB was used as the chromogen. Tissues were counterstained with hematoxylin and mounted with DPX.
quantity: 100μl
price: 649.00 USD
to the supplier