Sign in
Sign up
home
>
HUABIO
> HUABIO MLH1 antibody
MLH1
HUABIO
catalog: ET1604-41-50UL
domestic rabbit monoclonal (SP08-04)
reactivity:
human
,
mouse
,
rat
application:
western blot
,
immunohistochemistry - paraffin section
All lanes: Western blot analysis of MLH1 with anti-MLH1 antibody [SP08-04] (ET1604-41) at 1:1,000 dilution. Lane 1: Wild-type B16F10 whole cell lysate. Lane 2: MLH1 knockout B16F10 whole cell lysate. ET1604-41 was shown to specifically react with MLH1 in wild-type B16F10 cells. No band was observed when MLH1 knockout samples were tested. Wild-type and MLH1 knockout samples were subjected to SDS-PAGE. Proteins were transferred to a PVDF membrane and blocked with 5% NFDM in TBST for 1 hour at room temperature. The primary Anti-MLH1 antibody (ET1604-41, 1/1,000) and Anti-Vinculin antibody (ET1705-94, 1/5,000) were used in 5% BSA at room temperature for 2 hours. Goat Anti-Rabbit IgG H&L (HRP) Secondary Antibody (HA1001) at 1:200,000 dilution was used for 1 hour at room temperature. Cell lysate was provided by Ubigene Biosciences (Ubigene Biosciences Co., Ltd., Guangzhou, China).
Western blot analysis of MLH1 on different lysates with Rabbit anti-MLH1 antibody (ET1604-41) at 1/5,000 dilution. Lane 1: HeLa cell lysate Lane 2: HCT 116 cell lysate (negative) Lane 3: A549 cell lysate Lane 4: MCF7 cell lysate Lane 5: HepG2 cell lysate Lysates/proteins at 20 µg/Lane. Predicted band size: 85 kDa Observed band size: 85 kDa Exposure time: 3 minutes; 4-20% SDS-PAGE gel. Proteins were transferred to a PVDF membrane and blocked with 5% NFDM/TBST for 1 hour at room temperature. The primary antibody (ET1604-41) at 1/5,000 dilution was used in 5% NFDM/TBST at 4℃ overnight. Goat Anti-Rabbit IgG - HRP Secondary Antibody (HA1001) at 1:100,000 dilution was used for 1 hour at room temperature.
ICC staining of MLH1 in HepG2 cells (green). Formalin fixed cells were permeabilized with 0.1% Triton X-100 in TBS for 10 minutes at room temperature and blocked with 1% Blocker BSA for 15 minutes at room temperature. Cells were probed with the primary antibody (ET1604-41, 1/50) for 1 hour at room temperature, washed with PBS. Alexa Fluor®488 Goat anti-Rabbit IgG was used as the secondary antibody at 1/1,000 dilution. The nuclear counter stain is DAPI (blue).
quantity: 50μl
price: 205.00 USD
to the supplier
MLH1
HUABIO
catalog: HA601135
mouse monoclonal (A9F7)
reactivity:
human
,
mouse
,
rat
application:
western blot
,
immunohistochemistry - paraffin section
Western blot analysis of MLH1 on different lysates with Mouse anti-MLH1 antibody (HA601135) at 1/2,000 dilution and competitor's antibody at 1/2,000 dilution. Lane 1: HeLa cell lysate (15 µg/Lane) Lane 2: HCT 116 cell lysate (negative) (15 µg/Lane) Lane 3: A549 cell lysate (15 µg/Lane) Lane 4: HepG2 cell lysate (15 µg/Lane) Lane 5: Jurkat cell lysate (15 µg/Lane) Predicted band size: 85 kDa Observed band size: 85 kDa Exposure time: Lane 1-5 (left): 24 seconds; Lane 1-5 (right): 2 minutes; ECL: K1801; 4-20% SDS-PAGE gel. Proteins were transferred to a PVDF membrane and blocked with 5% NFDM/TBST for 1 hour at room temperature. The primary antibody (HA601135) at 1/2,000 dilution and competitor's antibody at 1/2,000 dilution were used in 5% NFDM/TBST at 4℃ overnight. Goat Anti-Mouse IgG - HRP Secondary Antibody (HA1006) at 1/50,000 dilution was used for 1 hour at room temperature.
Western blot analysis of MLH1 on different lysates with Mouse anti-MLH1 antibody (HA601135) at 1/1,000 dilution. Lane 1: NIH/3T3 cell lysate (20 µg/Lane) Lane 2: F9 cell lysate (20 µg/Lane) Lane 3: RAW264.7 cell lysate (20 µg/Lane) Lane 4: C6 cell lysate (20 µg/Lane) Predicted band size: 85 kDa Observed band size: 85 kDa Exposure time: 3 minutes 10 seconds; ECL: K1801; 4-20% SDS-PAGE gel. Proteins were transferred to a PVDF membrane and blocked with 5% NFDM/TBST for 1 hour at room temperature. The primary antibody (HA601135) at 1/1,000 dilution was used in 5% NFDM/TBST at room temperature for 2 hours. Goat Anti-Mouse IgG - HRP Secondary Antibody (HA1006) at 1:50,000 dilution was used for 1 hour at room temperature.
Western blot analysis of MLH1 on different lysates with Mouse anti-MLH1 antibody (HA601135) at 1/1,000 dilution. Lane 1: A431 cell lysate (20 µg/Lane) Lane 2: HeLa cell lysate (20 µg/Lane) Lane 3: Daudi cell lysate (20 µg/Lane) Lane 4: K-562 cell lysate (20 µg/Lane) Lane 5: HL-60 cell lysate (20 µg/Lane) Lane 6: SW480 cell lysate (20 µg/Lane) Lane 7: HCT 116 cell lysate (Negative) (20 µg/Lane) Predicted band size: 85 kDa Observed band size: 85 kDa Exposure time: 20 seconds; 4-20% SDS-PAGE gel. Proteins were transferred to a PVDF membrane and blocked with 5% NFDM/TBST for 1 hour at room temperature. The primary antibody (HA601135) at 1/1,000 dilution was used in 5% NFDM/TBST at room temperature for 2 hours. Goat Anti-Mouse IgG - HRP Secondary Antibody (HA1006) at 1:150,000 dilution was used for 1 hour at room temperature.
quantity: 100μl
price: 360.00 USD
to the supplier
MLH1
HUABIO
catalog: HA601184
mouse monoclonal (A10A3)
reactivity:
human
application:
western blot
,
immunohistochemistry - paraffin section
Western blot analysis of MLH1 on different lysates with Mouse anti-MLH1 antibody (HA601184) at 1/1,000 dilution. Lane 1: A431 cell lysate Lane 2: HeLa cell lysate Lane 3: Daudi cell lysate Lane 4: K-562 cell lysate Lane 5: HL-60 cell lysate Lane 6: SW480 cell lysate Lysates/proteins at 20 µg/Lane. Predicted band size: 84.6 kDa Observed band size: 85 kDa Exposure time: 1 minutes 40 seconds; 4-20% SDS-PAGE gel. Proteins were transferred to a PVDF membrane and blocked with 5% NFDM/TBST for 1 hour at room temperature. The primary antibody (HA601184) at 1/1,000 dilution was used in 5% NFDM/TBST at room temperature for 2 hours. Goat Anti-Mouse IgG - HRP Secondary Antibody (HA1006) at 1/50,000 dilution was used for 1 hour at room temperature.
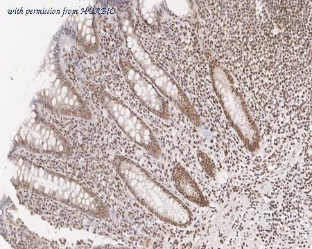
Immunohistochemical analysis of paraffin-embedded human appendix tissue with Mouse anti-MLH1 antibody (HA601184) at 1/1,000 dilution. The section was pre-treated using heat mediated antigen retrieval with sodium citrate buffer (pH 6.0) (high pressure) for 2 minutes. The tissues were blocked in 1% BSA for 20 minutes at room temperature, washed with ddH2O and PBS, and then probed with the primary antibody (HA601184) at 1/1,000 dilution for 1 hour at room temperature. The detection was performed using an HRP conjugated compact polymer system. DAB was used as the chromogen. Tissues were counterstained with hematoxylin and mounted with DPX.
Immunohistochemical analysis of paraffin-embedded human tonsil tissue with Mouse anti-MLH1 antibody (HA601184) at 1/1,000 dilution. The section was pre-treated using heat mediated antigen retrieval with sodium citrate buffer (pH 6.0) (high pressure) for 2 minutes. The tissues were blocked in 1% BSA for 20 minutes at room temperature, washed with ddH2O and PBS, and then probed with the primary antibody (HA601184) at 1/1,000 dilution for 1 hour at room temperature. The detection was performed using an HRP conjugated compact polymer system. DAB was used as the chromogen. Tissues were counterstained with hematoxylin and mounted with DPX.
quantity: 100μl
price: 360.00 USD
to the supplier
MLH1
HUABIO
catalog: HA721325
domestic rabbit monoclonal (PD01-61)
reactivity:
human
,
mouse
,
rat
application:
western blot
,
immunohistochemistry - paraffin section
Western blot analysis of MLH1 on different lysates with Rabbit anti-MLH1 antibody (HA721325) at 1/2,000 dilution. Lane 1: HeLa cell lysate Lane 2: HCT 116 cell lysate (negative) Lane 3: A549 cell lysate Lysates/proteins at 15 µg/Lane. Predicted band size: 85 kDa Observed band size: 85 kDa Exposure time: 2 minutes; ECL: K1801; 4-20% SDS-PAGE gel. Proteins were transferred to a PVDF membrane and blocked with 5% NFDM/TBST for 1 hour at room temperature. The primary antibody (HA721325) at 1/2,000 dilution was used in 5% NFDM/TBST at 4℃ overnight. Goat Anti-Rabbit IgG - HRP Secondary Antibody (HA1001) at 1/50,000 dilution was used for 1 hour at room temperature.
Western blot analysis of MLH1 on different lysates with Rabbit anti-MLH1 antibody (HA721325) at 1/2,000 dilution. Lane 1: C2C12 cell lysate Lane 2: NIH/3T3 cell lysate Lysates/proteins at 30 µg/Lane. Predicted band size: 85 kDa Observed band size: 85 kDa Exposure time: 1 minute; ECL: K1801; 4-20% SDS-PAGE gel. Proteins were transferred to a PVDF membrane and blocked with 5% NFDM/TBST for 1 hour at room temperature. The primary antibody (HA721325) at 1/2,000 dilution was used in 5% NFDM/TBST at 4℃ overnight. Goat Anti-Rabbit IgG - HRP Secondary Antibody (HA1001) at 1/50,000 dilution was used for 1 hour at room temperature.
Western blot analysis of MLH1 on different lysates with Rabbit anti-MLH1 antibody (HA721325) at 1/2,000 dilution. Lane 1: Hela-si NT cell lysate (10 µg/Lane) Lane 2: Hela-si MLH1 cell lysate (10 µg/Lane) Predicted band size: 85 kDa Observed band size: 85 kDa Exposure time: 3 minutes; 4-20% SDS-PAGE gel. HA721325 was shown to specifically react with MLH1 in Hela-si NT cells. Weakened band was observed when Hela-si MLH1 sample was tested. Hela-si NT and Hela-si MLH1 samples were subjected to SDS-PAGE. Proteins were transferred to a PVDF membrane and blocked with 5% NFDM in TBST for 1 hour at room temperature. The primary antibody (HA721325, 1/2,000) and Loading control antibody (Rabbit anti-GAPDH, ET1601-4, 1/10,000) were used in 5% NFDM/TBST at 4℃ overnight. Goat Anti-rabbit IgG-HRP Secondary Antibody (HA1001) at 1:50,000 dilution was used for 1 hour at room temperature.
quantity: 100μl
price: 385.00 USD
to the supplier
MLH1
HUABIO
catalog: HA721726
domestic rabbit monoclonal (PSH01-74)
reactivity:
human
application:
immunohistochemistry - paraffin section
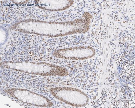
Immunohistochemical analysis of paraffin-embedded human appendix tissue with Rabbit anti-MLH1 antibody (HA721726) at 1/400 dilution. The section was pre-treated using heat mediated antigen retrieval with sodium citrate buffer (pH 6.0) (high pressure) for 2 minutes. The tissues were blocked in 1% BSA for 20 minutes at room temperature, washed with ddH2O and PBS, and then probed with the primary antibody (HA721726) at 1/400 dilution for 1 hour at room temperature. The detection was performed using an HRP conjugated compact polymer system. DAB was used as the chromogen. Tissues were counterstained with hematoxylin and mounted with DPX.
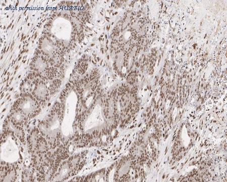
Immunohistochemical analysis of paraffin-embedded human colon cancer tissue with Rabbit anti-MLH1 antibody (HA721726) at 1/400 dilution. The section was pre-treated using heat mediated antigen retrieval with sodium citrate buffer (pH 6.0) (high pressure) for 2 minutes. The tissues were blocked in 1% BSA for 20 minutes at room temperature, washed with ddH2O and PBS, and then probed with the primary antibody (HA721726) at 1/400 dilution for 1 hour at room temperature. The detection was performed using an HRP conjugated compact polymer system. DAB was used as the chromogen. Tissues were counterstained with hematoxylin and mounted with DPX.
Immunohistochemical analysis of paraffin-embedded human tonsil tissue with Rabbit anti-MLH1 antibody (HA721726) at 1/400 dilution. The section was pre-treated using heat mediated antigen retrieval with sodium citrate buffer (pH 6.0) (high pressure) for 2 minutes. The tissues were blocked in 1% BSA for 20 minutes at room temperature, washed with ddH2O and PBS, and then probed with the primary antibody (HA721726) at 1/400 dilution for 1 hour at room temperature. The detection was performed using an HRP conjugated compact polymer system. DAB was used as the chromogen. Tissues were counterstained with hematoxylin and mounted with DPX.
quantity: 100μl
price: 385.00 USD
to the supplier
MLH1
HUABIO
catalog: HA750077
domestic rabbit monoclonal (SP08-04)
reactivity:
human
,
mouse
,
rat
application:
western blot
,
immunohistochemistry - paraffin section
All lanes: Western blot analysis of MLH1 with anti-MLH1 antibody [SP08-04] (HA750077) at 1:1,000 dilution. Lane 1: Wild-type B16F10 whole cell lysate. Lane 2: MLH1 knockout B16F10 whole cell lysate. ET1604-41 was shown to specifically react with MLH1 in wild-type B16F10 cells. No band was observed when MLH1 knockout samples were tested. Wild-type and MLH1 knockout samples were subjected to SDS-PAGE. Proteins were transferred to a PVDF membrane and blocked with 5% NFDM in TBST for 1 hour at room temperature. The primary Anti-MLH1 antibody (ET1604-41, 1/1,000) and Anti-Vinculin antibody (ET1705-94, 1/5,000) were used in 5% BSA at room temperature for 2 hours. Goat Anti-Rabbit IgG H&L (HRP) Secondary Antibody (HA1001) at 1:200,000 dilution was used for 1 hour at room temperature. Cell lysate was provided by Ubigene Biosciences (Ubigene Biosciences Co., Ltd., Guangzhou, China).
Western blot analysis of MLH1 on different lysates with Rabbit anti-MLH1 antibody (HA750077) at 1/5,000 dilution. Lane 1: HeLa cell lysate Lane 2: HCT 116 cell lysate (negative) Lane 3: A549 cell lysate Lane 4: MCF7 cell lysate Lane 5: HepG2 cell lysate Lysates/proteins at 20 µg/Lane. Predicted band size: 85 kDa Observed band size: 85 kDa Exposure time: 3 minutes; 4-20% SDS-PAGE gel. Proteins were transferred to a PVDF membrane and blocked with 5% NFDM/TBST for 1 hour at room temperature. The primary antibody (HA750077) at 1/5,000 dilution was used in 5% NFDM/TBST at 4℃ overnight. Goat Anti-Rabbit IgG - HRP Secondary Antibody (HA1001) at 1:100,000 dilution was used for 1 hour at room temperature.
ICC staining of MLH1 in HepG2 cells (green). Formalin fixed cells were permeabilized with 0.1% Triton X-100 in TBS for 10 minutes at room temperature and blocked with 1% Blocker BSA for 15 minutes at room temperature. Cells were probed with the primary antibody (HA750077, 1/50) for 1 hour at room temperature, washed with PBS. Alexa Fluor®488 Goat anti-Rabbit IgG was used as the secondary antibody at 1/1,000 dilution. The nuclear counter stain is DAPI (blue).
quantity: 100μl
price: 649.00 USD
to the supplier
MLH1
HUABIO
catalog: HA750749
domestic rabbit monoclonal (PSH01-74)
reactivity:
human
application:
immunohistochemistry - paraffin section
Immunohistochemical analysis of paraffin-embedded human appendix tissue with Rabbit anti-MLH1 antibody (HA750749) at 1/400 dilution. The section was pre-treated using heat mediated antigen retrieval with sodium citrate buffer (pH 6.0) (high pressure) for 2 minutes. The tissues were blocked in 1% BSA for 20 minutes at room temperature, washed with ddH2O and PBS, and then probed with the primary antibody (HA750749) at 1/400 dilution for 1 hour at room temperature. The detection was performed using an HRP conjugated compact polymer system. DAB was used as the chromogen. Tissues were counterstained with hematoxylin and mounted with DPX.
Immunohistochemical analysis of paraffin-embedded human colon cancer tissue with Rabbit anti-MLH1 antibody (HA750749) at 1/400 dilution. The section was pre-treated using heat mediated antigen retrieval with sodium citrate buffer (pH 6.0) (high pressure) for 2 minutes. The tissues were blocked in 1% BSA for 20 minutes at room temperature, washed with ddH2O and PBS, and then probed with the primary antibody (HA750749) at 1/400 dilution for 1 hour at room temperature. The detection was performed using an HRP conjugated compact polymer system. DAB was used as the chromogen. Tissues were counterstained with hematoxylin and mounted with DPX.
Immunohistochemical analysis of paraffin-embedded human tonsil tissue with Rabbit anti-MLH1 antibody (HA750749) at 1/400 dilution. The section was pre-treated using heat mediated antigen retrieval with sodium citrate buffer (pH 6.0) (high pressure) for 2 minutes. The tissues were blocked in 1% BSA for 20 minutes at room temperature, washed with ddH2O and PBS, and then probed with the primary antibody (HA750749) at 1/400 dilution for 1 hour at room temperature. The detection was performed using an HRP conjugated compact polymer system. DAB was used as the chromogen. Tissues were counterstained with hematoxylin and mounted with DPX.
quantity: 100μl
price: 649.00 USD
to the supplier