Sign in
Sign up
home
>
HUABIO
> HUABIO c-Met antibody
cMet
HUABIO
catalog: ER40501
domestic rabbit polyclonal
reactivity:
human
,
mouse
,
rat
application:
western blot
,
flow cytometry
,
immunohistochemistry - paraffin section
Western blot analysis of cMet on different cell lysates using anti-cMet antibody at 1/1,000 dilution. Positive control: Lane 1: Mouse liver tissue lysate Lane 2: Mouse kidney tissue lysate Lane 3: D3 cell lysate Lane 4: MEF cell lysate
ICC staining cMet in N2A cells (green). Cells were fixed in paraformaldehyde, permeabilised with 0.25% Triton X100/PBS.
ICC staining cMet in Hela cells (green). Cells were fixed in paraformaldehyde, permeabilised with 0.25% Triton X100/PBS.
quantity: 100μl
price: 330 USD
to the supplier
Met (C-Met)
HUABIO
catalog: ET1606-45
domestic rabbit monoclonal (SJ19-05)
reactivity:
human
application:
western blot
,
immunohistochemistry - paraffin section
Western blot analysis of Met (C-Met) on different lysates with Rabbit anti-Met (C-Met) antibody (ET1606-45) at 1/1,000 dilution. Lane 1: HCT 116-si NT cell lysate Lane 2: HCT 116-si Met (C-Met) cell lysate Lysates/proteins at 10 µg/Lane. Predicted band size: 156 kDa Observed band size: 156 kDa Exposure time: 2 minutes; ECL: K1801; 4-20% SDS-PAGE gel. Proteins were transferred to a PVDF membrane and blocked with 5% NFDM/TBST for 1 hour at room temperature. The primary antibody (ET1606-45) at 1/1,000 dilution was used in 5% NFDM/TBST at 4℃ overnight. Goat Anti-Rabbit IgG - HRP Secondary Antibody (HA1001) at 1/50,000 dilution was used for 1 hour at room temperature.
Western blot analysis of Met (C-Met) on different lysates with Rabbit anti-Met (C-Met) antibody (ET1606-45) at 1/500 dilution. Lane 1: Hela cell lysate Lane 2: HepG2 cell lysate Lysates/proteins at 10 µg/Lane. Predicted band size: 156 kDa Observed band size: 156 kDa Exposure time: 2 minutes; 6% SDS-PAGE gel. Proteins were transferred to a PVDF membrane and blocked with 5% NFDM/TBST for 1 hour at room temperature. The primary antibody (ET1606-45) at 1/500 dilution was used in 5% NFDM/TBST at room temperature for 2 hours. Goat Anti-Rabbit IgG - HRP Secondary Antibody (HA1001) at 1:300,000 dilution was used for 1 hour at room temperature.
ICC staining of Met (C-Met) in Hela cells (green). Formalin fixed cells were permeabilized with 0.1% Triton X-100 in TBS for 10 minutes at room temperature and blocked with 1% Blocker BSA for 15 minutes at room temperature. Cells were probed with the primary antibody (ET1606-45, 1/50) for 1 hour at room temperature, washed with PBS. Alexa Fluor®488 Goat anti-Rabbit IgG was used as the secondary antibody at 1/1,000 dilution. The nuclear counter stain is DAPI (blue).
quantity: 100μl
price: 385.00 USD
to the supplier
Phospho-Met (Y1349)
HUABIO
catalog: ET7110-14
domestic rabbit monoclonal (JE51-68)
reactivity:
human
,
rat
application:
western blot
,
immunohistochemistry - paraffin section
Western blot analysis of Phospho-Met (Y1349) on different lysates with Rabbit anti-Phospho-Met (Y1349) antibody (ET7110-14) at 1/1,000 dilution. Lane 1: HeLa cell lysate Lane 2: HeLa treated with 100ng/mL Calyculin A for 30 minutes cell lysate Lysates/proteins at 20 µg/Lane. Predicted band size: 156 kDa Observed band size: 156 kDa Exposure time: 1 minute; ECL: K1801; 4-20% SDS-PAGE gel. Proteins were transferred to a PVDF membrane and blocked with 5% NFDM/TBST for 1 hour at room temperature. The primary antibody (ET7110-14) at 1/1,000 dilution was used in 5% NFDM/TBST at 4℃ overnight. Goat Anti-Rabbit IgG - HRP Secondary Antibody (HA1001) at 1/50,000 dilution was used for 1 hour at room temperature.
Western blot analysis of Phospho-Met (Y1349) on PC-12 cell lysates with Rabbit anti-Phospho-Met (Y1349) antibody (ET7110-14) at 1/2,000 dilution. Lysates/proteins at 20 µg/Lane. Predicted band size: 156 kDa Observed band size: 156 kDa Exposure time: 25 seconds; ECL: K1802; 4-20% SDS-PAGE gel. Proteins were transferred to a PVDF membrane and blocked with 5% NFDM/TBST for 1 hour at room temperature. The primary antibody (ET7110-14) at 1/2,000 dilution was used in 5% NFDM/TBST at 4℃ overnight. Goat Anti-Rabbit IgG - HRP Secondary Antibody (HA1001) at 1/50,000 dilution was used for 1 hour at room temperature.
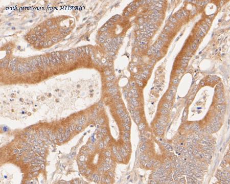
Immunohistochemical analysis of paraffin-embedded human colon carcinoma tissue using anti-Phospho-Met (Y1349) antibody. The section was pre-treated using heat mediated antigen retrieval with Tris-EDTA buffer (pH 8.0-8.4) for 20 minutes.The tissues were blocked in 5% BSA for 30 minutes at room temperature, washed with ddH2O and PBS, and then probed with the primary antibody (ET7110-14, 1/50) for 30 minutes at room temperature. The detection was performed using an HRP conjugated compact polymer system. DAB was used as the chromogen. Tissues were counterstained with hematoxylin and mounted with DPX.
quantity: 100μl
price: 385.00 USD
to the supplier
Met (c-Met)
HUABIO
catalog: HA500242
domestic rabbit polyclonal
reactivity:
human
application:
western blot
,
immunohistochemistry - paraffin section
Western blot analysis of Met (c-Met) on different lysates. Proteins were transferred to a PVDF membrane and blocked with 5% BSA in PBS for 1 hour at room temperature. The primary antibody (HA500242, 1/500) was used in 5% BSA at room temperature for 2 hours. Goat Anti-Rabbit IgG - HRP Secondary Antibody (HA1001) at 1:200,000 dilution was used for 1 hour at room temperature. Positive control: Lane 1: LO2 cell lysate Lane 2: Hela cell lysate Lane 3: A549 cell lysate Lane 4: A431 cell lysate Lane 5: HT-29 cell lysate
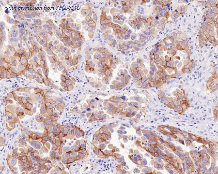
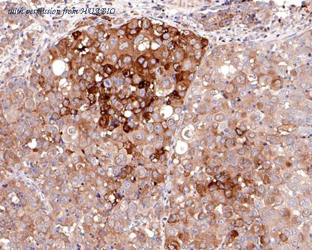
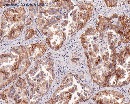
Immunohistochemical analysis of paraffin-embedded human lung carcinoma tissue using anti-Met (c-Met) antibody. The section was pre-treated using heat mediated antigen retrieval with Tris-EDTA buffer (pH 9.0) for 20 minutes.The tissues were blocked in 5% BSA for 30 minutes at room temperature, washed with ddH2O and PBS, and then probed with the primary antibody (HA500242, 1/400) for 30 minutes at room temperature. The detection was performed using an HRP conjugated compact polymer system. DAB was used as the chromogen. Tissues were counterstained with hematoxylin and mounted with DPX.
Immunocytochemistry analysis of SiHa cells labeling Met (c-Met) with Rabbit anti-Met (c-Met) antibody (HA500242) at 1/200 dilution. Cells were fixed in 4% paraformaldehyde for 10 minutes at 37 ℃, permeabilized with 0.05% Triton X-100 in PBS for 20 minutes, and then blocked with 2% negative goat serum for 30 minutes at room temperature. Cells were then incubated with Rabbit anti-Met (c-Met) antibody (HA500242) at 1/200 dilution in 2% negative goat serum overnight at 4 ℃. Goat Anti-Rabbit IgG H&L (Alexa Fluor® 488) was used as the secondary antibody at 1/1,000 dilution. Nuclear DNA was labelled in blue with DAPI. Beta tubulin (M1305-2, red) was stained at 1/200 dilution overnight at +4℃. Goat Anti-Mouse IgG H&L (Alexa Fluor® 647) were used as the secondary antibody at 1/1,000 dilution.
quantity: 100μl
price: 330 USD
to the supplier
c-Met
HUABIO
catalog: HA601092
mouse monoclonal (A9A4)
reactivity:
human
application:
western blot
,
immunohistochemistry - paraffin section
Western blot analysis of c-Met on different lysates with Mouse anti-c-Met antibody (HA601092) at 1/500 dilution. Lane 1: A549 cell lysate Lane 2: HepG2 cell lysate Lysates/proteins at 10 µg/Lane. Predicted band size: 156 kDa Observed band size: 130 kDa Exposure time: 2 minutes; 6% SDS-PAGE gel. Proteins were transferred to a PVDF membrane and blocked with 5% NFDM/TBST for 1 hour at room temperature. The primary antibody (HA601092) at 1/500 dilution was used in 5% NFDM/TBST at room temperature for 2 hours. Goat Anti-Mouse IgG - HRP Secondary Antibody (HA1006) at 1:150,000 dilution was used for 1 hour at room temperature.
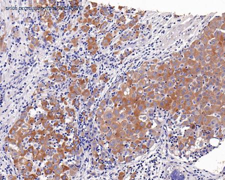
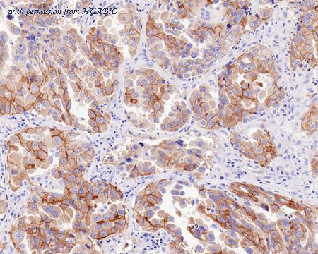
Immunohistochemical analysis of paraffin-embedded human lung carcinoma tissue with Mouse anti-c-Met antibody (HA601092) at 1/400 dilution. The section was pre-treated using heat mediated antigen retrieval with Tris-EDTA buffer (pH 9.0) for 20 minutes. The tissues were blocked in 1% BSA for 20 minutes at room temperature, washed with ddH2O and PBS, and then probed with the primary antibody (HA601092) at 1/400 dilution for 1 hour at room temperature. The detection was performed using an HRP conjugated compact polymer system. DAB was used as the chromogen. Tissues were counterstained with hematoxylin and mounted with DPX.
quantity: 100μl
price: 360.00 USD
to the supplier
c-Met
HUABIO
catalog: HA601093
mouse monoclonal (A9A5)
reactivity:
human
application:
western blot
,
immunohistochemistry - paraffin section
Western blot analysis of c-Met on different lysates with Mouse anti-c-Met antibody (HA601093) at 1/500 dilution. Lane 1: A549 cell lysate Lane 2: HepG2 cell lysate Lysates/proteins at 10 µg/Lane. Predicted band size: 156 kDa Observed band size: 130 kDa Exposure time: 2 minutes; 6% SDS-PAGE gel. Proteins were transferred to a PVDF membrane and blocked with 5% NFDM/TBST for 1 hour at room temperature. The primary antibody (HA601093) at 1/500 dilution was used in 5% NFDM/TBST at room temperature for 2 hours. Goat Anti-Mouse IgG - HRP Secondary Antibody (HA1006) at 1:150,000 dilution was used for 1 hour at room temperature.
Immunohistochemical analysis of paraffin-embedded human lung carcinoma tissue with Mouse anti-c-Met antibody (HA601093) at 1/400 dilution. The section was pre-treated using heat mediated antigen retrieval with Tris-EDTA buffer (pH 9.0) for 20 minutes. The tissues were blocked in 1% BSA for 20 minutes at room temperature, washed with ddH2O and PBS, and then probed with the primary antibody (HA601093) at 1/400 dilution for 1 hour at room temperature. The detection was performed using an HRP conjugated compact polymer system. DAB was used as the chromogen. Tissues were counterstained with hematoxylin and mounted with DPX.
quantity: 100μl
price: 360.00 USD
to the supplier
c-Met
HUABIO
catalog: HA601122
mouse monoclonal (A9A4-R)
reactivity:
human
application:
western blot
,
immunohistochemistry - paraffin section
Western blot analysis of c-Met on different lysates with Mouse anti-c-Met antibody (HA601122) at 1/500 dilution. Lane 1: A549 cell lysate Lane 2: HepG2 cell lysate Lane 3: HT-29 cell lysate Lane 4: Hela cell lysate Lane 5: LO2 cell lysate Lane 6: SK-Br-3 cell lysate (Negative) Lysates/proteins at 30 µg/Lane. Predicted band size: 156 kDa Observed band size: 145 kDa Exposure time: 1 minute; 6% SDS-PAGE gel. Proteins were transferred to a PVDF membrane and blocked with 5% NFDM/TBST for 1 hour at room temperature. The primary antibody (HA601122) at 1/500 dilution was used in 5% NFDM/TBST at room temperature for 2 hours. Goat Anti-Mouse IgG - HRP Secondary Antibody (HA1006) at 1:150,000 dilution was used for 1 hour at room temperature.
Immunohistochemical analysis of paraffin-embedded human lung adenocarcinoma tissue with Mouse anti-c-Met antibody (HA601122) at 1/400 dilution. The section was pre-treated using heat mediated antigen retrieval with Tris-EDTA buffer (pH 9.0) for 20 minutes. The tissues were blocked in 1% BSA for 20 minutes at room temperature, washed with ddH2O and PBS, and then probed with the primary antibody (HA601122) at 1/400 dilution for 1 hour at room temperature. The detection was performed using an HRP conjugated compact polymer system. DAB was used as the chromogen. Tissues were counterstained with hematoxylin and mounted with DPX.
quantity: 100μl
price: 360.00 USD
to the supplier
c-Met
HUABIO
catalog: HA610037
mouse monoclonal (A9A4-R)
reactivity:
human
application:
western blot
,
immunohistochemistry - paraffin section
Western blot analysis of c-Met on different lysates with Mouse anti-c-Met antibody (HA610037) at 1/500 dilution. Lane 1: A549 cell lysate Lane 2: HepG2 cell lysate Lane 3: HT-29 cell lysate Lane 4: Hela cell lysate Lane 5: LO2 cell lysate Lane 6: SK-Br-3 cell lysate (Negative) Lysates/proteins at 30 µg/Lane. Predicted band size: 156 kDa Observed band size: 145 kDa Exposure time: 1 minute; 6% SDS-PAGE gel. Proteins were transferred to a PVDF membrane and blocked with 5% NFDM/TBST for 1 hour at room temperature. The primary antibody (HA610037) at 1/500 dilution was used in 5% NFDM/TBST at room temperature for 2 hours. Goat Anti-Mouse IgG - HRP Secondary Antibody (HA1006) at 1:150,000 dilution was used for 1 hour at room temperature.
Immunohistochemical analysis of paraffin-embedded human lung adenocarcinoma tissue with Mouse anti-c-Met antibody (HA610037) at 1/400 dilution. The section was pre-treated using heat mediated antigen retrieval with Tris-EDTA buffer (pH 9.0) for 20 minutes. The tissues were blocked in 1% BSA for 20 minutes at room temperature, washed with ddH2O and PBS, and then probed with the primary antibody (HA610037) at 1/400 dilution for 1 hour at room temperature. The detection was performed using an HRP conjugated compact polymer system. DAB was used as the chromogen. Tissues were counterstained with hematoxylin and mounted with DPX.
quantity: 100μg
price: 649.00 USD
to the supplier
c-Met
HUABIO
catalog: HA721287
domestic rabbit monoclonal (PSH0-19)
reactivity:
human
application:
western blot
,
flow cytometry
,
immunohistochemistry - paraffin section
Western blot analysis of c-Met on different lysates with Rabbit anti-c-Met antibody (HA721287) at 1/1,000 dilution. Lane 1: A549 cell lysate Lane 2: HepG2 cell lysate Lane 3: HT-29 cell lysate Lane 4: Hela cell lysate Lane 5: LO2 cell lysate Lane 6: SK-Br-3 cell lysate (Negative) Lysates/proteins at 30 µg/Lane. Predicted band size: 156 kDa Observed band size: 145 kDa Exposure time: 1 minute; 6% SDS-PAGE gel. Proteins were transferred to a PVDF membrane and blocked with 5% NFDM/TBST for 1 hour at room temperature. The primary antibody (HA721287) at 1/1,000 dilution was used in 5% NFDM/TBST at room temperature for 2 hours. Goat Anti-Rabbit IgG - HRP Secondary Antibody (HA1001) at 1:300,000 dilution was used for 1 hour at room temperature.
Immunohistochemical analysis of paraffin-embedded human lung adenocarcinoma tissue with Rabbit anti-c-Met antibody (HA721287) at 1/800 dilution. The section was pre-treated using heat mediated antigen retrieval with Tris-EDTA buffer (pH 9.0) for 20 minutes. The tissues were blocked in 1% BSA for 20 minutes at room temperature, washed with ddH2O and PBS, and then probed with the primary antibody (HA721287) at 1/800 dilution for 1 hour at room temperature. The detection was performed using an HRP conjugated compact polymer system. DAB was used as the chromogen. Tissues were counterstained with hematoxylin and mounted with DPX.
Flow cytometric analysis of Hela cells labeling c-Met. Cells were fixed and permeabilized. Then stained with the primary antibody (HA721287, 1ug/ml) (red) compared with Rabbit IgG Isotype Control (green). After incubation of the primary antibody at +4℃ for an hour, the cells were stained with a iFluor™ 488 conjugate-Goat anti-Rabbit IgG Secondary antibody (HA1121) at 1/1,000 dilution for 30 minutes at +4℃. Unlabelled sample was used as a control (cells without incubation with primary antibody; black).
quantity: 100μl
price: 385.00 USD
to the supplier
Phospho-Met (Y1234/Y1235)
HUABIO
catalog: HA722765
domestic rabbit monoclonal (PSH06-90)
reactivity:
human
application:
western blot
Western blot analysis of Phospho-Met (Y1234/Y1235) on different lysates with Rabbit anti-Phospho-Met (Y1234/Y1235) antibody (HA722765) at 1/1,000 dilution. Lane 1: HeLa cell lysate Lane 2: HeLa starved for 16 hours then treated with 20ng/mL HGF for 10 minutes cell lysate Lysates/proteins at 20 µg/Lane. Predicted band size: 156 kDa Observed band size: 145 kDa Exposure time: 59 seconds; ECL: K1801; 4-20% SDS-PAGE gel. Proteins were transferred to a PVDF membrane and blocked with 5% NFDM/TBST for 1 hour at room temperature. The primary antibody (HA722765) at 1/1,000 dilution was used in 5% NFDM/TBST at 4℃ overnight. Goat Anti-Rabbit IgG - HRP Secondary Antibody (HA1001) at 1/50,000 dilution was used for 1 hour at room temperature.
quantity: 100μl
price: 385.00 USD
to the supplier
c-Met
HUABIO
catalog: HA750594
domestic rabbit monoclonal (PSH0-19)
reactivity:
human
application:
western blot
,
flow cytometry
,
immunohistochemistry - paraffin section
Western blot analysis of c-Met on different lysates with Rabbit anti-c-Met antibody (HA750594) at 1/1,000 dilution. Lane 1: A549 cell lysate Lane 2: HepG2 cell lysate Lane 3: HT-29 cell lysate Lane 4: Hela cell lysate Lane 5: LO2 cell lysate Lane 6: SK-Br-3 cell lysate (Negative) Lysates/proteins at 30 µg/Lane. Predicted band size: 156 kDa Observed band size: 145 kDa Exposure time: 1 minute; 6% SDS-PAGE gel. Proteins were transferred to a PVDF membrane and blocked with 5% NFDM/TBST for 1 hour at room temperature. The primary antibody (HA750594) at 1/1,000 dilution was used in 5% NFDM/TBST at room temperature for 2 hours. Goat Anti-Rabbit IgG - HRP Secondary Antibody (HA1001) at 1:300,000 dilution was used for 1 hour at room temperature.
Immunohistochemical analysis of paraffin-embedded human lung adenocarcinoma tissue with Rabbit anti-c-Met antibody (HA750594) at 1/800 dilution. The section was pre-treated using heat mediated antigen retrieval with Tris-EDTA buffer (pH 9.0) for 20 minutes. The tissues were blocked in 1% BSA for 20 minutes at room temperature, washed with ddH2O and PBS, and then probed with the primary antibody (HA750594) at 1/800 dilution for 1 hour at room temperature. The detection was performed using an HRP conjugated compact polymer system. DAB was used as the chromogen. Tissues were counterstained with hematoxylin and mounted with DPX.
Flow cytometric analysis of Hela cells labeling c-Met. Cells were fixed and permeabilized. Then stained with the primary antibody (HA750594, 1ug/ml) (red) compared with Rabbit IgG Isotype Control (green). After incubation of the primary antibody at +4℃ for an hour, the cells were stained with a iFluor™ 488 conjugate-Goat anti-Rabbit IgG Secondary antibody (HA1121) at 1/1,000 dilution for 30 minutes at +4℃. Unlabelled sample was used as a control (cells without incubation with primary antibody; black).
quantity: 100μl
price: 649.00 USD
to the supplier
Phospho-Met (Y1234/Y1235)
HUABIO
catalog: HA751114
domestic rabbit monoclonal (PSH06-90)
reactivity:
human
application:
western blot
Western blot analysis of Phospho-Met (Y1234/Y1235) on different lysates with Rabbit anti-Phospho-Met (Y1234/Y1235) antibody (HA751114) at 1/1,000 dilution. Lane 1: HeLa cell lysate Lane 2: HeLa starved for 16 hours then treated with 20ng/mL HGF for 10 minutes cell lysate Lysates/proteins at 20 µg/Lane. Predicted band size: 156 kDa Observed band size: 145 kDa Exposure time: 59 seconds; ECL: K1801; 4-20% SDS-PAGE gel. Proteins were transferred to a PVDF membrane and blocked with 5% NFDM/TBST for 1 hour at room temperature. The primary antibody (HA751114) at 1/1,000 dilution was used in 5% NFDM/TBST at 4℃ overnight. Goat Anti-Rabbit IgG - HRP Secondary Antibody (HA1001) at 1/50,000 dilution was used for 1 hour at room temperature.
quantity: 100μl
price: 649.00 USD
to the supplier