mouse monoclonal (15E1)
reactivity: human, mouse, rat
application: western blot, flow cytometry, immunohistochemistry - paraffin section
reactivity: human, mouse, rat
application: western blot, flow cytometry, immunohistochemistry - paraffin section

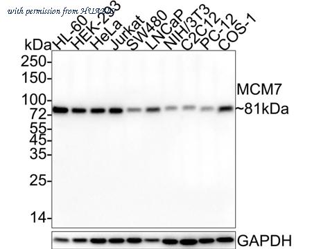
Western blot analysis of MCM7 on different lysates with Mouse anti-MCM7 antibody (EM1901-12) at 1/1,000 dilution. Lane 1: HL-60 cell lysate Lane 2: HEK-293 cell lysate Lane 3: HeLa cell lysate Lane 4: Jurkat cell lysate Lane 5: SW480 cell lysate Lane 6: LNCaP cell lysate Lane 7: NIH/3T3 cell lysate Lane 8: C2C12 cell lysate Lane 9: PC-12 cell lysate Lane 10: COS-1 cell lysate Lysates/proteins at 20 µg/Lane. Predicted band size: 81 kDa Observed band size: 81 kDa Exposure time: 51 seconds; 4-20% SDS-PAGE gel. Proteins were transferred to a PVDF membrane and blocked with 5% NFDM/TBST for 1 hour at room temperature. The primary antibody (EM1901-12) at 1/1,000 dilution was used in 5% NFDM/TBST at 4℃ overnight. Goat Anti-Mouse IgG - HRP Secondary Antibody (HA1006) at 1/50,000 dilution was used for 1 hour at room temperature.

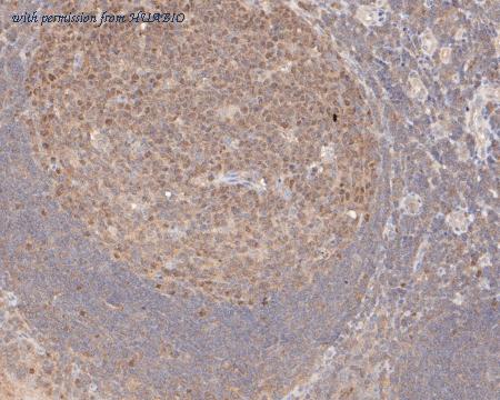
Immunohistochemical analysis of paraffin-embedded human tonsil tissue using anti-MCM7 antibody. The section was pre-treated using heat mediated antigen retrieval with sodium citrate buffer (pH 6.0) (high pressure) for 2 minutes. The tissues were blocked in 5% BSA for 30 minutes at room temperature, washed with ddH2O and PBS, and then probed with the primary antibody (EM1901-12, 1/100) for 30 minutes at room temperature. The detection was performed using an HRP conjugated compact polymer system. DAB was used as the chromogen. Tissues were counterstained with hematoxylin and mounted with DPX.

Immunohistochemical analysis of paraffin-embedded human esophagus tissue using anti-MCM7 antibody. The section was pre-treated using heat mediated antigen retrieval with sodium citrate buffer (pH 6.0) (high pressure) for 2 minutes. The tissues were blocked in 5% BSA for 30 minutes at room temperature, washed with ddH2O and PBS, and then probed with the primary antibody (EM1901-12, 1/100) for 30 minutes at room temperature. The detection was performed using an HRP conjugated compact polymer system. DAB was used as the chromogen. Tissues were counterstained with hematoxylin and mounted with DPX.
quantity: 100μl
price: 360.00 USD
to the supplier
domestic rabbit polyclonal
reactivity: human, mouse, rat
application: western blot, flow cytometry, immunohistochemistry - paraffin section
reactivity: human, mouse, rat
application: western blot, flow cytometry, immunohistochemistry - paraffin section

Western blot analysis of MCM7 on different lysates. Proteins were transferred to a PVDF membrane and blocked with 5% BSA in PBS for 1 hour at room temperature. The primary antibody (ER1902-60, 1/500) was used in 5% BSA at room temperature for 2 hours. Goat Anti-Rabbit IgG - HRP Secondary Antibody (HA1001) at 1:5,000 dilution was used for 1 hour at room temperature. Positive control: Lane 1: MCF-7 cell lysate Lane 2: K562 cell lysate Lane 3: Mouse colon tissue lysate

ICC staining of MCM7 in MCF-7 cells (green). Formalin fixed cells were permeabilized with 0.1% Triton X-100 in TBS for 10 minutes at room temperature and blocked with 1% Blocker BSA for 15 minutes at room temperature. Cells were probed with the primary antibody (ER1902-60, 1/200) for 1 hour at room temperature, washed with PBS. Alexa Fluor®488 Goat anti-Rabbit IgG was used as the secondary antibody at 1/100 dilution. The nuclear counter stain is DAPI (blue).

ICC staining of MCM7 in MG-63 cells (green). Formalin fixed cells were permeabilized with 0.1% Triton X-100 in TBS for 10 minutes at room temperature and blocked with 1% Blocker BSA for 15 minutes at room temperature. Cells were probed with the primary antibody (ER1902-60, 1/200) for 1 hour at room temperature, washed with PBS. Alexa Fluor®488 Goat anti-Rabbit IgG was used as the secondary antibody at 1/100 dilution. The nuclear counter stain is DAPI (blue).
quantity: 100μl
price: 330 USD
to the supplier
mouse monoclonal (15E1-R)
reactivity: human, mouse, rat
application: western blot
reactivity: human, mouse, rat
application: western blot

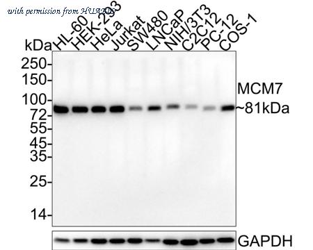
Western blot analysis of MCM7 on different lysates with Mouse anti-MCM7 antibody (HA601288) at 1/1,000 dilution. Lane 1: HL-60 cell lysate Lane 2: HEK-293 cell lysate Lane 3: HeLa cell lysate Lane 4: Jurkat cell lysate Lane 5: SW480 cell lysate Lane 6: LNCaP cell lysate Lane 7: NIH/3T3 cell lysate Lane 8: C2C12 cell lysate Lane 9: PC-12 cell lysate Lane 10: COS-1 cell lysate Lysates/proteins at 20 µg/Lane. Predicted band size: 81 kDa Observed band size: 81 kDa Exposure time: 1 minute 55 seconds; 4-20% SDS-PAGE gel. Proteins were transferred to a PVDF membrane and blocked with 5% NFDM/TBST for 1 hour at room temperature. The primary antibody (HA601288) at 1/1,000 dilution was used in 5% NFDM/TBST at 4℃ overnight. Goat Anti-Mouse IgG - HRP Secondary Antibody (HA1006) at 1/50,000 dilution was used for 1 hour at room temperature.
quantity: 100μl
price: 360.00 USD
to the supplier
mouse monoclonal (15E1-R)
reactivity: human, mouse, rat
application: western blot
reactivity: human, mouse, rat
application: western blot

Western blot analysis of MCM7 on different lysates with Mouse anti-MCM7 antibody (HA610161) at 1/1,000 dilution. Lane 1: HL-60 cell lysate Lane 2: HEK-293 cell lysate Lane 3: HeLa cell lysate Lane 4: Jurkat cell lysate Lane 5: SW480 cell lysate Lane 6: LNCaP cell lysate Lane 7: NIH/3T3 cell lysate Lane 8: C2C12 cell lysate Lane 9: PC-12 cell lysate Lane 10: COS-1 cell lysate Lysates/proteins at 20 µg/Lane. Predicted band size: 81 kDa Observed band size: 81 kDa Exposure time: 1 minute 55 seconds; 4-20% SDS-PAGE gel. Proteins were transferred to a PVDF membrane and blocked with 5% NFDM/TBST for 1 hour at room temperature. The primary antibody (HA610161) at 1/1,000 dilution was used in 5% NFDM/TBST at 4℃ overnight. Goat Anti-Mouse IgG - HRP Secondary Antibody (HA1006) at 1/50,000 dilution was used for 1 hour at room temperature.
quantity: 100μg
price: 649.00 USD
to the supplier
