Sign in
Sign up
home
>
HUABIO
> HUABIO MCM2 antibody
Phospho-MCM2 (S108)
HUABIO
catalog: HA721021
domestic rabbit monoclonal (JE63-52)
reactivity:
human
,
mouse
,
rat
application:
western blot
,
immunohistochemistry - paraffin section
Western blot analysis of Phospho-MCM2 (S108) on different lysates with Rabbit anti-Phospho-MCM2 (S108) antibody (HA721021) at 1/5,000 dilution. Lane 1: SiHa cell lysate Lane 2: HL-60 cell lysate Lane 3: HeLa cell lysate Lane 4: RAW264.7 cell lysate Lane 5: C6 cell lysate Lane 6: HL-60 cell lysate, then the membrane treated with λpp for 1 hour Lysates/proteins at 20 µg/Lane. Predicted band size: 102 kDa Observed band size: 125 kDa Exposure time: 8 seconds; ECL: K1801; 4-20% SDS-PAGE gel. Proteins were transferred to a PVDF membrane and blocked with 5% NFDM/TBST for 1 hour at room temperature. The primary antibody (HA721021) at 1/5,000 dilution was used in primary antibody dilution (K1803) at 4℃ overnight. Goat Anti-Rabbit IgG - HRP Secondary Antibody (HA1001) at 1/50,000 dilution was used for 1 hour at room temperature.
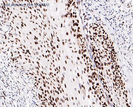
Immunohistochemical analysis of paraffin-embedded human lymph node tissue with Rabbit anti-Phospho-MCM2 (S108) antibody (HA721021) at 1/400 dilution. The section was pre-treated using heat mediated antigen retrieval with sodium citrate buffer (pH 6.0) (high pressure) for 2 minutes. The tissues were blocked in 1% BSA for 20 minutes at room temperature, washed with ddH2O and PBS, and then probed with the primary antibody (HA721021) at 1/400 dilution for 1 hour at room temperature. The detection was performed using an HRP conjugated compact polymer system. DAB was used as the chromogen. Tissues were counterstained with hematoxylin and mounted with DPX.
Immunohistochemical analysis of paraffin-embedded mouse testis tissue with Rabbit anti-Phospho-MCM2 (S108) antibody (HA721021) at 1/9,000 dilution. The section was pre-treated using heat mediated antigen retrieval with Tris-EDTA buffer (pH 9.0) for 20 minutes. The tissues were blocked in 1% BSA for 20 minutes at room temperature, washed with ddH2O and PBS, and then probed with the primary antibody (HA721021) at 1/9,000 dilution for 1 hour at room temperature. The detection was performed using an HRP conjugated compact polymer system. DAB was used as the chromogen. Tissues were counterstained with hematoxylin and mounted with DPX.
quantity: 100μl
price: 385.00 USD
to the supplier
MCM2
HUABIO
catalog: HA721177
domestic rabbit monoclonal (PD00-90)
reactivity:
human
application:
western blot
,
flow cytometry
,
immunohistochemistry - paraffin section
Western blot analysis of MCM2 on different lysates with Rabbit anti-MCM2 antibody (HA721177) at 1/2,000 dilution. Lane 1: HL-60 cell lysate Lane 2: SiHa cell lysate Lysates/proteins at 10 µg/Lane. Predicted band size: 102 kDa Observed band size: 130 kDa Exposure time: 1 minute; 8% SDS-PAGE gel. Proteins were transferred to a PVDF membrane and blocked with 5% NFDM/TBST for 1 hour at room temperature. The primary antibody (HA721177) at 1/2,000 dilution was used in 5% NFDM/TBST at room temperature for 2 hours. Goat Anti-Rabbit IgG - HRP Secondary Antibody (HA1001) at 1:300,000 dilution was used for 1 hour at room temperature.
Immunohistochemical analysis of paraffin-embedded human tonsil tissue with Rabbit anti-MCM2 antibody (HA721177) at 1/1,000 dilution. The section was pre-treated using heat mediated antigen retrieval with sodium citrate buffer (pH 6.0) (high pressure) for 2 minutes. The tissues were blocked in 1% BSA for 20 minutes at room temperature, washed with ddH2O and PBS, and then probed with the primary antibody (HA721177) at 1/1,000 dilution for 1 hour at room temperature. The detection was performed using an HRP conjugated compact polymer system. DAB was used as the chromogen. Tissues were counterstained with hematoxylin and mounted with DPX.
Immunohistochemical analysis of paraffin-embedded human cervical carcinoma tissue with Rabbit anti-MCM2 antibody (HA721177) at 1/800 dilution. The section was pre-treated using heat mediated antigen retrieval with Tris-EDTA buffer (pH 9.0) for 20 minutes. The tissues were blocked in 1% BSA for 20 minutes at room temperature, washed with ddH2O and PBS, and then probed with the primary antibody (HA721177) at 1/800 dilution for 1 hour at room temperature. The detection was performed using an HRP conjugated compact polymer system. DAB was used as the chromogen. Tissues were counterstained with hematoxylin and mounted with DPX.
quantity: 100μl
price: 385.00 USD
to the supplier
MCM2
HUABIO
catalog: HA721553
domestic rabbit monoclonal (JE42-39)
reactivity:
human
,
mouse
,
rat
application:
western blot
,
immunohistochemistry - paraffin section
Western blot analysis of MCM2 on different lysates with Rabbit anti-MCM2 antibody (HA721553) at 1/1,000 dilution. Lane 1: SW480 cell lysate (20 µg/Lane) Lane 2: SH-SY5Y cell lysate (20 µg/Lane) Lane 3: Raji cell lysate (20 µg/Lane) Lane 4: HeLa cell lysate (20 µg/Lane) Lane 5: HL-60 cell lysate (20 µg/Lane) Lane 6: Mouse thymus tissue lysate (40 µg/Lane) Lane 7: Jurkat cell lysate (20 µg/Lane) Lane 8: C2C12 cell lysate (20 µg/Lane) Lane 9: U-87 MG cell lysate (20 µg/Lane) Predicted band size: 102 kDa Observed band size: 130 kDa Exposure time: 40 seconds; 4-20% SDS-PAGE gel. Proteins were transferred to a PVDF membrane and blocked with 5% NFDM/TBST for 1 hour at room temperature. The primary antibody (HA721553) at 1/1,000 dilution was used in 5% NFDM/TBST at room temperature for 2 hours. Goat Anti-Rabbit IgG - HRP Secondary Antibody (HA1001) at 1:100,000 dilution was used for 1 hour at room temperature.
Western blot analysis of MCM2 on rat thymus tissue lysates with Rabbit anti-MCM2 antibody (HA721553) at 1/1,000 dilution. Lysates/proteins at 40 µg/Lane. Predicted band size: 102 kDa Observed band size: 130 kDa Exposure time: 17 seconds; ECL: K1801; 4-20% SDS-PAGE gel. Proteins were transferred to a PVDF membrane and blocked with 5% NFDM/TBST for 1 hour at room temperature. The primary antibody (HA721553) at 1/1,000 dilution was used in 5% NFDM/TBST at 4℃ overnight. Goat Anti-Rabbit IgG - HRP Secondary Antibody (HA1001) at 1/50,000 dilution was used for 1 hour at room temperature.
Immunocytochemistry analysis of HeLa cells labeling MCM2 with Rabbit anti-MCM2 antibody (HA721553) at 1/250 dilution. Cells were fixed in 100% precooled methanol for 5 minutes at room temperature, then blocked with 1% BSA in 10% negative goat serum for 1 hour at room temperature. Cells were then incubated with Rabbit anti-MCM2 antibody (HA721553) at 1/250 dilution in 1% BSA in PBST overnight at 4 ℃. Goat Anti-Rabbit IgG H&L (iFluor™ 488, HA1121) was used as the secondary antibody at 1/1,000 dilution. PBS instead of the primary antibody was used as the secondary antibody only control. Nuclear DNA was labelled in blue with DAPI. Beta tubulin (M1305-2, red) was stained at 1/100 dilution overnight at +4℃. Goat Anti-Mouse IgG H&L (iFluor™ 594, HA1126) was used as the secondary antibody at 1/1,000 dilution.
quantity: 100μl
price: 385.00 USD
to the supplier
Phospho-MCM2 (S40)
HUABIO
catalog: HA722216
domestic rabbit monoclonal (JE35-01)
reactivity:
human
,
mouse
,
rat
application:
western blot
,
flow cytometry
,
immunohistochemistry - paraffin section
Western blot analysis of Phospho-MCM2 (S40) on different lysates with Rabbit anti-Phospho-MCM2 (S40) antibody (HA722216) at 1/2,000 dilution. Lane 1: HeLa cell lysate Lane 2: 293T cell lysate Lane 3: NIH/3T3 cell lysate Lane 4: C6 cell lysate Lane 5: 293T cell lysate, the membrane treated with λpp for 1 hour Lysates/proteins at 20 µg/Lane. Predicted band size: 102 kDa Observed band size: 130 kDa Exposure time: 14 seconds; ECL: K1801; 4-20% SDS-PAGE gel. Proteins were transferred to a PVDF membrane and blocked with 5% NFDM/TBST for 1 hour at room temperature. The primary antibody (HA722216) at 1/2,000 dilution was used in 5% NFDM/TBST at 4℃ overnight. Goat Anti-Rabbit IgG - HRP Secondary Antibody (HA1001) at 1/50,000 dilution was used for 1 hour at room temperature.
Immunocytochemistry analysis of HeLa cells treated with or without λpp labeling Phospho-MCM2 (S40) with Rabbit anti-Phospho-MCM2 (S40) antibody (HA722216) at 1/1,000 dilution. Cells were fixed in 4% paraformaldehyde for 20 minutes at room temperature, permeabilized with 0.1% Triton X-100 in PBS for 5 minutes at room temperature, then blocked with 1% BSA in 10% negative goat serum for 1 hour at room temperature. Cells were then incubated with Rabbit anti-Phospho-MCM2 (S40) antibody (HA722216) at 1/1,000 dilution in 1% BSA in PBST overnight at 4 ℃. Goat Anti-Rabbit IgG H&L (iFluor™ 488, HA1121) was used as the secondary antibody at 1/1,000 dilution. PBS instead of the primary antibody was used as the secondary antibody only control. Nuclear DNA was labelled in blue with DAPI. Beta tubulin (M1305-2, red) was stained at 1/100 dilution overnight at +4℃. Goat Anti-Mouse IgG H&L (iFluor™ 594, HA1126) was used as the secondary antibody at 1/1,000 dilution.
Immunohistochemical analysis of paraffin-embedded human tonsil tissue untreated / treated with λpp with Rabbit anti-Phospho-MCM2 (S40) antibody (HA722216) at 1/1,000 dilution. The section was pre-treated using heat mediated antigen retrieval with sodium citrate buffer (pH 6.0) (high pressure) for 2 minutes. The tissues were blocked in 1% BSA for 20 minutes at room temperature, washed with ddH2O and PBS, and then probed with the primary antibody (HA722216) at 1/1,000 dilution for 1 hour at room temperature. The detection was performed using an HRP conjugated compact polymer system. DAB was used as the chromogen. Tissues were counterstained with hematoxylin and mounted with DPX.
quantity: 100μl
price: 385.00 USD
to the supplier
Phospho-MCM2 (S41)
HUABIO
catalog: HA722279
domestic rabbit monoclonal (JE50-04)
reactivity:
human
,
mouse
,
rat
application:
western blot
,
immunoprecipitation
,
flow cytometry
,
immunohistochemistry - paraffin section
Western blot analysis of Phospho-MCM2 (S41) on different lysates with Rabbit anti-Phospho-MCM2 (S41) antibody (HA722279) at 1/1,000 dilution. Lane 1: A431 cell lysate (20 µg/Lane) Lane 2: HeLa cell lysate (20 µg/Lane) Lane 3: HEK-293 cell lysate (20 µg/Lane) Lane 4: THP-1 cell lysate (20 µg/Lane) Lane 5: Mouse spleen tissue lysate (30 µg/Lane) Lane 6: Mouse thymus tissue lysate (30 µg/Lane) Lane 7: Rat spleen tissue lysate (30 µg/Lane) Lane 8: Rat thymus tissue lysate (30 µg/Lane) Predicted band size: 102 kDa Observed band size: 130 kDa Exposure time: Lane 1-4: 8 seconds; Lane 5-8: 25 seconds; ECL: K1801; 4-20% SDS-PAGE gel. Proteins were transferred to a PVDF membrane and blocked with 5% NFDM/TBST for 1 hour at room temperature. The primary antibody (HA722279) at 1/1,000 dilution was used in 5% NFDM/TBST at 4℃ overnight. Goat Anti-Rabbit IgG - HRP Secondary Antibody (HA1001) at 1/50,000 dilution was used for 1 hour at room temperature.
Immunocytochemistry analysis of THP-1 cells labeling Phospho-MCM2 (S41) with Rabbit anti-Phospho-MCM2 (S41) antibody (HA722279) at 1/500 dilution. Cells were fixed in 4% paraformaldehyde for 20 minutes at room temperature, permeabilized with 0.1% Triton X-100 in PBS for 5 minutes at room temperature, then blocked with 1% BSA in 10% negative goat serum for 1 hour at room temperature. Cells were then incubated with Rabbit anti-Phospho-MCM2 (S41) antibody (HA722279) at 1/500 dilution in 1% BSA in PBST overnight at 4 ℃. Goat Anti-Rabbit IgG H&L (iFluor™ 488, HA1121) was used as the secondary antibody at 1/1,000 dilution. PBS instead of the primary antibody was used as the secondary antibody only control. Nuclear DNA was labelled in blue with DAPI. Beta tubulin (M1305-2, red) was stained at 1/100 dilution overnight at +4℃. Goat Anti-Mouse IgG H&L (iFluor™ 594, HA1126) was used as the secondary antibody at 1/1,000 dilution.
Immunohistochemical analysis of paraffin-embedded human tonsil tissue untreated / treated with λpp with Rabbit anti-Phospho-MCM2 (S41) antibody (HA722279) at 1/1,000 dilution. The section was pre-treated using heat mediated antigen retrieval with sodium citrate buffer (pH 6.0) (high pressure) for 2 minutes. The tissues were blocked in 1% BSA for 20 minutes at room temperature, washed with ddH2O and PBS, and then probed with the primary antibody (HA722279) at 1/1,000 dilution for 1 hour at room temperature. The detection was performed using an HRP conjugated compact polymer system. DAB was used as the chromogen. Tissues were counterstained with hematoxylin and mounted with DPX.
quantity: 100μl
price: 385.00 USD
to the supplier
Phospho-MCM2 (S27)
HUABIO
catalog: HA722574
domestic rabbit monoclonal (JE63-40)
reactivity:
human
,
mouse
,
rat
application:
western blot
,
immunoprecipitation
,
immunohistochemistry - paraffin section
Western blot analysis of Phospho-MCM2 (S27) on different lysates with Rabbit anti-Phospho-MCM2 (S27) antibody (HA722574) at 1/1,000 dilution and pan MCM2 antibody (HA721553) at 1/1,000 dilution. Lane 1: HeLa cell lysate (20 µg/Lane) Lane 2: Jurkat cell lysate (20 µg/Lane) Lane 3: NIH/3T3 cell lysate (20 µg/Lane) Lane 4: Mouse thymus tissue lysate (40 µg/Lane) Lane 5: Rat thymus tissue lysate (40 µg/Lane) Lane 6: HeLa cell lysate, the membrane treated with λpp for 1 hour (20 µg/Lane) Predicted band size: 102 kDa Observed band size: 140 kDa Exposure time: 17 seconds; ECL: K1801; 4-20% SDS-PAGE gel. Proteins were transferred to a PVDF membrane and blocked with 5% NFDM/TBST for 1 hour at room temperature. The primary antibody (HA722574) at 1/1,000 dilution and pan MCM2 antibody (HA721553) at 1/1,000 dilution were used in 5% NFDM/TBST at 4℃ overnight. Goat Anti-Rabbit IgG - HRP Secondary Antibody (HA1001) at 1/50,000 dilution was used for 1 hour at room temperature.
Immunocytochemistry analysis of HeLa cells labeling Phospho-MCM2 (S27) with Rabbit anti-Phospho-MCM2 (S27) antibody (HA722574) at 1/100 dilution. Cells were fixed in 4% paraformaldehyde for 20 minutes at room temperature, permeabilized with 0.1% Triton X-100 in PBS for 5 minutes at room temperature, then blocked with 1% BSA in 10% negative goat serum for 1 hour at room temperature. Cells were then incubated with Rabbit anti-Phospho-MCM2 (S27) antibody (HA722574) at 1/100 dilution in 1% BSA in PBST overnight at 4 ℃. Goat Anti-Rabbit IgG H&L (iFluor™ 488, HA1121) was used as the secondary antibody at 1/1,000 dilution. PBS instead of the primary antibody was used as the secondary antibody only control. Nuclear DNA was labelled in blue with DAPI. Beta tubulin (M1305-2, red) was stained at 1/100 dilution overnight at +4℃. Goat Anti-Mouse IgG H&L (iFluor™ 594, HA1126) was used as the secondary antibody at 1/1,000 dilution.
Immunohistochemical analysis of paraffin-embedded human cervical carcinoma tissue with Rabbit anti-Phospho-MCM2 (S27) antibody (HA722574) at 1/1,000 dilution. The section was pre-treated using heat mediated antigen retrieval with sodium citrate buffer (pH 6.0) (high pressure) for 2 minutes. The tissues were blocked in 1% BSA for 20 minutes at room temperature, washed with ddH2O and PBS, and then probed with the primary antibody (HA722574) at 1/1,000 dilution for 1 hour at room temperature. The detection was performed using an HRP conjugated compact polymer system. DAB was used as the chromogen. Tissues were counterstained with hematoxylin and mounted with DPX.
quantity: 100μl
price: 385.00 USD
to the supplier
MCM2
HUABIO
catalog: HA601523
domestic rabbit polyclonal (PD00-90)
reactivity:
human
,
mouse
,
rat
application:
western blot
,
immunohistochemistry - paraffin section
Western blot analysis of MCM2 on different lysates with Mouse anti-MCM2 antibody (HA601523) at 1/5,000 dilution. Lane 1: HeLa cell lysate Lane 2: 293T cell lysate Lane 3: C2C12 cell lysate Lane 4: C6 cell lysate Lane 5: COS-1 cell lysate Lysates/proteins at 15 µg/Lane. Predicted band size: 102 kDa Observed band size: 130 kDa Exposure time: 11 seconds; ECL: K1801; 4-20% SDS-PAGE gel. Proteins were transferred to a PVDF membrane and blocked with 5% NFDM/TBST for 1 hour at room temperature. The primary antibody (HA601523) at 1/5,000 dilution was used in primary antibody dilution (K1803) at 4℃ overnight. Goat Anti-Mouse IgG - HRP Secondary Antibody (HA1006) at 1/50,000 dilution was used for 1 hour at room temperature.
Immunocytochemistry analysis of HeLa cells labeling MCM2 with Mouse anti-MCM2 antibody (HA601523) at 1/500 dilution. Cells were fixed in 4% paraformaldehyde for 15 minutes at room temperature, permeabilized with 0.1% Triton X-100 in PBS for 15 minutes at room temperature, then blocked with 1% BSA in 10% negative goat serum for 1 hour at room temperature. Cells were then incubated with Mouse anti-MCM2 antibody (HA601523) at 1/500 dilution in 1% BSA in PBST overnight at 4 ℃. Goat Anti-Mouse IgG H&L (iFluor™ 488, HA1125) was used as the secondary antibody at 1/1,000 dilution. PBS instead of the primary antibody was used as the secondary antibody only control. Nuclear DNA was labelled in blue with DAPI. beta Tubulin (ET1602-4, red) was stained at 1/100 dilution overnight at +4℃. Goat Anti-Rabbit IgG H&L (iFluor™ 594, HA1122) were used as the secondary antibody at 1/1,000 dilution.
Immunohistochemical analysis of paraffin-embedded human tonsil tissue with Mouse anti-MCM2 antibody (HA601523) at 1/1,000 dilution. The section was pre-treated using heat mediated antigen retrieval with Tris-EDTA buffer (pH 9.0) for 20 minutes. The tissues were blocked in 1% BSA for 20 minutes at room temperature, washed with ddH2O and PBS, and then probed with the primary antibody (HA601523) at 1/1,000 dilution for 1 hour at room temperature. The detection was performed using an HRP conjugated compact polymer system. DAB was used as the chromogen. Tissues were counterstained with hematoxylin and mounted with DPX.
quantity: 100μl
price: 360.00 USD
to the supplier
MCM2
HUABIO
catalog: HA610350
domestic rabbit polyclonal (PD00-90)
reactivity:
human
,
mouse
,
rat
application:
western blot
,
immunohistochemistry - paraffin section
Western blot analysis of MCM2 on different lysates with Mouse anti-MCM2 antibody (HA610350) at 1/5,000 dilution. Lane 1: HeLa cell lysate Lane 2: 293T cell lysate Lane 3: C2C12 cell lysate Lane 4: C6 cell lysate Lane 5: COS-1 cell lysate Lysates/proteins at 15 µg/Lane. Predicted band size: 102 kDa Observed band size: 130 kDa Exposure time: 11 seconds; ECL: K1801; 4-20% SDS-PAGE gel. Proteins were transferred to a PVDF membrane and blocked with 5% NFDM/TBST for 1 hour at room temperature. The primary antibody (HA610350) at 1/5,000 dilution was used in primary antibody dilution (K1803) at 4℃ overnight. Goat Anti-Mouse IgG - HRP Secondary Antibody (HA1006) at 1/50,000 dilution was used for 1 hour at room temperature.
Immunocytochemistry analysis of HeLa cells labeling MCM2 with Mouse anti-MCM2 antibody (HA610350) at 1/500 dilution. Cells were fixed in 4% paraformaldehyde for 15 minutes at room temperature, permeabilized with 0.1% Triton X-100 in PBS for 15 minutes at room temperature, then blocked with 1% BSA in 10% negative goat serum for 1 hour at room temperature. Cells were then incubated with Mouse anti-MCM2 antibody (HA610350) at 1/500 dilution in 1% BSA in PBST overnight at 4 ℃. Goat Anti-Mouse IgG H&L (iFluor™ 488, HA1125) was used as the secondary antibody at 1/1,000 dilution. PBS instead of the primary antibody was used as the secondary antibody only control. Nuclear DNA was labelled in blue with DAPI. beta Tubulin (ET1602-4, red) was stained at 1/100 dilution overnight at +4℃. Goat Anti-Rabbit IgG H&L (iFluor™ 594, HA1122) were used as the secondary antibody at 1/1,000 dilution.
Immunohistochemical analysis of paraffin-embedded human tonsil tissue with Mouse anti-MCM2 antibody (HA610350) at 1/1,000 dilution. The section was pre-treated using heat mediated antigen retrieval with Tris-EDTA buffer (pH 9.0) for 20 minutes. The tissues were blocked in 1% BSA for 20 minutes at room temperature, washed with ddH2O and PBS, and then probed with the primary antibody (HA610350) at 1/1,000 dilution for 1 hour at room temperature. The detection was performed using an HRP conjugated compact polymer system. DAB was used as the chromogen. Tissues were counterstained with hematoxylin and mounted with DPX.
quantity: 100μl
price: 385.00 USD
to the supplier