domestic rabbit monoclonal (SY0254)
reactivity: human, mouse
application: western blot, immunohistochemistry - paraffin section
reactivity: human, mouse
application: western blot, immunohistochemistry - paraffin section

All lanes: Western blot analysis of Smad1 with anti-Smad1 antibody (ET1607-42) at 1:500 dilution. Lane 1: Wild-type p19 whole cell lysate (15 µg). Lane 2/3: Smad1 knockout p19 whole cell lysate (15 µg). ET1607-42 was shown to specifically react with Smad1 in wild-type p19 cells. No bands were observed when Smad1 knockout samples were tested. Wild-type and Smad1 knockout samples were subjected to SDS-PAGE. Proteins were transferred to a PVDF membrane and blocked with 5% NFDM in TBST for 1 hour at room temperature. The primary antibody (ET1607-42, 1:500) was used in 5% BSA at room temperature for 2 hours. Goat Anti-Rabbit IgG-HRP Secondary Antibody at 1:10,000 dilution was used for 1 hour at room temperature.

ICC staining of Smad1 in Hela cells (green). Formalin fixed cells were permeabilized with 0.1% Triton X-100 in TBS for 10 minutes at room temperature and blocked with 1% Blocker BSA for 15 minutes at room temperature. Cells were probed with the primary antibody (ET1607-42, 1/50) for 1 hour at room temperature, washed with PBS. Alexa Fluor®488 Goat anti-Rabbit IgG was used as the secondary antibody at 1/1,000 dilution. The nuclear counter stain is DAPI (blue).

ICC staining of Smad1 in PANC-1 cells (green). Formalin fixed cells were permeabilized with 0.1% Triton X-100 in TBS for 10 minutes at room temperature and blocked with 1% Blocker BSA for 15 minutes at room temperature. Cells were probed with the primary antibody (ET1607-42, 1/50) for 1 hour at room temperature, washed with PBS. Alexa Fluor®488 Goat anti-Rabbit IgG was used as the secondary antibody at 1/1,000 dilution. The nuclear counter stain is DAPI (blue).
quantity: 100μl
price: 385.00 USD
to the supplier
domestic rabbit monoclonal (SD2090)
reactivity: human
application: western blot, flow cytometry, immunohistochemistry - paraffin section
reactivity: human
application: western blot, flow cytometry, immunohistochemistry - paraffin section

Western blot analysis of Smad1 on different lysates. Proteins were transferred to a PVDF membrane and blocked with 5% BSA in PBS for 1 hour at room temperature. The primary antibody (ET1612-39, 1/500) was used in 5% BSA at room temperature for 2 hours. Goat Anti-Rabbit IgG - HRP Secondary Antibody (HA1001) at 1:200,000 dilution was used for 1 hour at room temperature. Positive control: Lane 1: Human skeletal muscle tissue lysate Lane 2: Hela cell lysate

ICC staining of Smad1 in Hela cells (green). Formalin fixed cells were permeabilized with 0.1% Triton X-100 in TBS for 10 minutes at room temperature and blocked with 10% negative goat serum for 15 minutes at room temperature. Cells were probed with the primary antibody (ET1612-39, 1/50) for 1 hour at room temperature, washed with PBS. Alexa Fluor®488 conjugate-Goat anti-Rabbit IgG was used as the secondary antibody at 1/1,000 dilution. The nuclear counter stain is DAPI (blue).

ICC staining of Smad1 in MCF-7 cells (green). Formalin fixed cells were permeabilized with 0.1% Triton X-100 in TBS for 10 minutes at room temperature and blocked with 10% negative goat serum for 15 minutes at room temperature. Cells were probed with the primary antibody (ET1612-39, 1/50) for 1 hour at room temperature, washed with PBS. Alexa Fluor®488 conjugate-Goat anti-Rabbit IgG was used as the secondary antibody at 1/1,000 dilution. The nuclear counter stain is DAPI (blue).
quantity: 100μl
price: 385.00 USD
to the supplier
domestic rabbit polyclonal
reactivity: human, mouse
application: western blot
reactivity: human, mouse
application: western blot

Western blot analysis of Phospho-SMAD1 (S463/465)/ SMAD5 (S463/465)/ SMAD9 (S465/467) on different lysates with Rabbit anti-Phospho-SMAD1 (S463/465)/ SMAD5 (S463/465)/ SMAD9 (S465/467) antibody (HA500583) at 1/5,000 dilution. Lane 1: HeLa cell lysate Lane 2: HeLa treated with 10ng/mL BMP4 for 1 hour cell lysate Lane 3: NIH/3T3 cell lysate Lane 4: NIH/3T3 treated with 10ng/mL BMP4 for 1 hour cell lysate Lane 5: HeLa treated with 10ng/mL BMP4 for 1 hour cell lysate, then the membrane treated with λpp for 1 hour Lane 6: NIH/3T3 treated with 10ng/mL BMP4 for 1 hour cell lysate, then the membrane treated with λpp for 1 hour Lysates/proteins at 20 µg/Lane. Predicted band size: 52 kDa Observed band size: 52 kDa Exposure time: 3 minutes; ECL: K1802; 4-20% SDS-PAGE gel. Proteins were transferred to a PVDF membrane and blocked with 5% NFDM/TBST for 1 hour at room temperature. The primary antibody (HA500583) at 1/5,000 dilution was used in primary antibody dilution (K1803) at 4℃ overnight. Goat Anti-Rabbit IgG - HRP Secondary Antibody (HA1001) at 1/50,000 dilution was used for 1 hour at room temperature.
quantity: 100μl
price: 330 USD
to the supplier
domestic rabbit monoclonal (JE59-46)
reactivity: human, mouse, rat
application: western blot, immunohistochemistry
reactivity: human, mouse, rat
application: western blot, immunohistochemistry

Western blot analysis of Phospho-Smad1/5/9 (S463/S465/S467) on different lysates with Rabbit anti-Phospho-Smad1/5/9 (S463/S465/S467) antibody (HA722566) at 1/1,000 dilution. Lane 1: HeLa cell lysate Lane 2: HeLa treated with 10ng/mL BMP4 for 1 hour cell lysate Lane 3: HeLa treated with 10ng/mL BMP4 for 1 hour cell lysate, then the membrane treated with λpp for 1 hour Lane 4: NIH/3T3 cell lysate Lane 5: NIH/3T3 treated with 10ng/mL BMP4 for 1 hour cell lysate Lysates/proteins at 20 µg/Lane. Predicted band size: 52 kDa Observed band size: 52 kDa Exposure time: Lane 1-3: 3 minutes; Lane 4-5: 42 seconds; ECL: K1801; 4-20% SDS-PAGE gel. Proteins were transferred to a PVDF membrane and blocked with 5% NFDM/TBST for 1 hour at room temperature. The primary antibody (HA722566) at 1/1,000 dilution was used in 5% NFDM/TBST at 4℃ overnight. Goat Anti-Rabbit IgG - HRP Secondary Antibody (HA1001) at 1/50,000 dilution was used for 1 hour at room temperature.

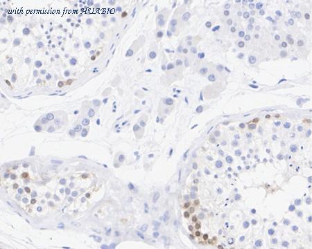
Immunohistochemical analysis of paraffin-embedded human testis tissue with Rabbit anti-Phospho-Smad1/5/9 (S463/S465/S467) antibody (HA722566) at 1/1,000 dilution. The section was pre-treated using heat mediated antigen retrieval with sodium citrate buffer (pH 6.0) (high pressure) for 2 minutes. The tissues were blocked in 1% BSA for 20 minutes at room temperature, washed with ddH2O and PBS, and then probed with the primary antibody (HA722566) at 1/1,000 dilution for 1 hour at room temperature. The detection was performed using an HRP conjugated compact polymer system. DAB was used as the chromogen. Tissues were counterstained with hematoxylin and mounted with DPX.

Western blot analysis of Phospho-Smad1/5/9 (S463/S465/S467) on different lysates with Rabbit anti-Phospho-Smad1/5/9 (S463/S465/S467) antibody (HA722566) at 1/1,000 dilution. Lane 1: C6 cell lysate Lane 2: C6 treated with 10ng/mL BMP4 for 1 hour cell lysate Lane 3: C6 treated with 10ng/mL BMP4 for 1 hour cell lysate, then the membrane treated with λpp for 1 hour Lysates/proteins at 10 µg/Lane. Predicted band size: 52 kDa Observed band size: 52 kDa Exposure time: 1 minute 18 seconds; ECL: K1801; 4-20% SDS-PAGE gel. Proteins were transferred to a PVDF membrane and blocked with 5% NFDM/TBST for 1 hour at room temperature. The primary antibody (HA722566) at 1/1,000 dilution was used in 5% NFDM/TBST at 4℃ overnight. Goat Anti-Rabbit IgG - HRP Secondary Antibody (HA1001) at 1/50,000 dilution was used for 1 hour at room temperature.
quantity: 100μl
price: 385.00 USD
to the supplier
domestic rabbit monoclonal (SY0254)
reactivity: human, mouse
application: western blot, immunohistochemistry - paraffin section
reactivity: human, mouse
application: western blot, immunohistochemistry - paraffin section

All lanes: Western blot analysis of Smad1 with anti-Smad1 antibody (HA750124) at 1:500 dilution. Lane 1: Wild-type p19 whole cell lysate (15 µg). Lane 2/3: Smad1 knockout p19 whole cell lysate (15 µg). ET1607-42 was shown to specifically react with Smad1 in wild-type p19 cells. No bands were observed when Smad1 knockout samples were tested. Wild-type and Smad1 knockout samples were subjected to SDS-PAGE. Proteins were transferred to a PVDF membrane and blocked with 5% NFDM in TBST for 1 hour at room temperature. The primary antibody (ET1607-42, 1:500) was used in 5% BSA at room temperature for 2 hours. Goat Anti-Rabbit IgG-HRP Secondary Antibody at 1:10,000 dilution was used for 1 hour at room temperature.

ICC staining of Smad1 in Hela cells (green). Formalin fixed cells were permeabilized with 0.1% Triton X-100 in TBS for 10 minutes at room temperature and blocked with 1% Blocker BSA for 15 minutes at room temperature. Cells were probed with the primary antibody (HA750124, 1/50) for 1 hour at room temperature, washed with PBS. Alexa Fluor®488 Goat anti-Rabbit IgG was used as the secondary antibody at 1/1,000 dilution. The nuclear counter stain is DAPI (blue).

ICC staining of Smad1 in PANC-1 cells (green). Formalin fixed cells were permeabilized with 0.1% Triton X-100 in TBS for 10 minutes at room temperature and blocked with 1% Blocker BSA for 15 minutes at room temperature. Cells were probed with the primary antibody (HA750124, 1/50) for 1 hour at room temperature, washed with PBS. Alexa Fluor®488 Goat anti-Rabbit IgG was used as the secondary antibody at 1/1,000 dilution. The nuclear counter stain is DAPI (blue).
quantity: 100μl
price: 649.00 USD
to the supplier
