Sign in
Sign up
home
>
HUABIO
> HUABIO LPA antibody
Lipoprotein a
HUABIO
catalog: HA722312
domestic rabbit monoclonal (JE39-47)
reactivity:
human
application:
western blot
,
immunohistochemistry - paraffin section
Western blot analysis of Lipoprotein a on different lysates with Rabbit anti-Lipoprotein a antibody (HA722312) at 1/1,000 dilution. Lane 1: Human serum lysate Lane 2: Human plasma lysate Lysates/proteins at 40 µg/Lane. Predicted band size: 227 kDa Observed band size: 500 kDa Exposure time: 10 seconds; ECL: K1801; 3-8% SDS-PAGE gel. Proteins were transferred to a PVDF membrane and blocked with 5% NFDM/TBST for 1 hour at room temperature. The primary antibody (HA722312) at 1/1,000 dilution was used in 5% NFDM/TBST at 4℃ overnight. Goat Anti-Rabbit IgG - HRP Secondary Antibody (HA1001) at 1/50,000 dilution was used for 1 hour at room temperature.
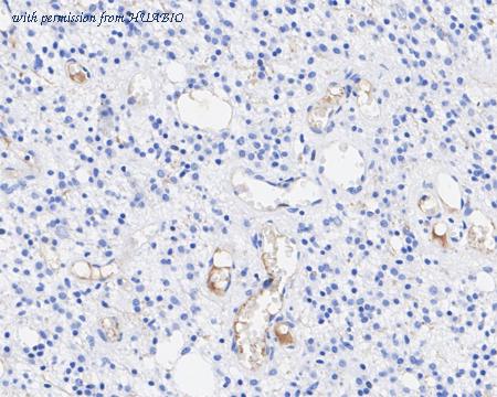
Immunohistochemical analysis of paraffin-embedded human glioma tissue with Rabbit anti-Lipoprotein a antibody (HA722312) at 1/200 dilution. The section was pre-treated using heat mediated antigen retrieval with Tris-EDTA buffer (pH 9.0) for 20 minutes. The tissues were blocked in 1% BSA for 20 minutes at room temperature, washed with ddH2O and PBS, and then probed with the primary antibody (HA722312) at 1/200 dilution for 1 hour at room temperature. The detection was performed using an HRP conjugated compact polymer system. DAB was used as the chromogen. Tissues were counterstained with hematoxylin and mounted with DPX.
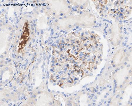
Immunohistochemical analysis of paraffin-embedded human kidney tissue with Rabbit anti-Lipoprotein a antibody (HA722312) at 1/1,000 dilution. The section was pre-treated using heat mediated antigen retrieval with Tris-EDTA buffer (pH 9.0) for 20 minutes. The tissues were blocked in 1% BSA for 20 minutes at room temperature, washed with ddH2O and PBS, and then probed with the primary antibody (HA722312) at 1/1,000 dilution for 1 hour at room temperature. The detection was performed using an HRP conjugated compact polymer system. DAB was used as the chromogen. Tissues were counterstained with hematoxylin and mounted with DPX.
quantity: 100μl
price: 385.00 USD
to the supplier
Lipoprotein a
HUABIO
catalog: HA723311
domestic rabbit monoclonal (PSH11-29)
reactivity:
human
application:
western blot
,
immunohistochemistry - paraffin section
Western blot analysis of Lipoprotein a on different lysates with Rabbit anti-Lipoprotein a antibody (HA723311) at 1/2,000 dilution. Lane 1: Human serum lysate Lane 2: Human plasma lysate Lysates/proteins at 20 µg/Lane. Predicted band size: 227 kDa Observed band size: 500 kDa Exposure time: 10 seconds; ECL: K1801; 3-8% SDS-PAGE gel. Proteins were transferred to a PVDF membrane and blocked with 5% NFDM/TBST for 1 hour at room temperature. The primary antibody (HA723311) at 1/2,000 dilution was used in 5% NFDM/TBST at 4℃ overnight. Goat Anti-Rabbit IgG - HRP Secondary Antibody (HA1001) at 1/50,000 dilution was used for 1 hour at room temperature.
Immunohistochemical analysis of paraffin-embedded human liver tissue with Rabbit anti-Lipoprotein a antibody (HA723311) at 1/1,000 dilution. The section was pre-treated using heat mediated antigen retrieval with Tris-EDTA buffer (pH 9.0) for 20 minutes. The tissues were blocked in 1% BSA for 20 minutes at room temperature, washed with ddH2O and PBS, and then probed with the primary antibody (HA723311) at 1/1,000 dilution for 1 hour at room temperature. The detection was performed using an HRP conjugated compact polymer system. DAB was used as the chromogen. Tissues were counterstained with hematoxylin and mounted with DPX.
Immunohistochemical analysis of paraffin-embedded human glioma tumor tissue with Rabbit anti-Lipoprotein a antibody (HA723311) at 1/1,000 dilution. The section was pre-treated using heat mediated antigen retrieval with Tris-EDTA buffer (pH 9.0) for 20 minutes. The tissues were blocked in 1% BSA for 20 minutes at room temperature, washed with ddH2O and PBS, and then probed with the primary antibody (HA723311) at 1/1,000 dilution for 1 hour at room temperature. The detection was performed using an HRP conjugated compact polymer system. DAB was used as the chromogen. Tissues were counterstained with hematoxylin and mounted with DPX.
quantity: 100μl
price: 385.00 USD
to the supplier
Human Lipoprotein A
HUABIO
catalog: HA723570
domestic rabbit monoclonal (PSH13-81)
reactivity:
human
application:
ELISA
Sandwich ELISA analysis of human Lipoprotein A matched pair antibodies Capture: HA723570, Human Lipoprotein A Rabbit mAb [PSH13-81] Detector: HA723571, Human Lipoprotein A Rabbit mAb [PSH13-82] Elisa assay was performed by coating wells of a 96-well plate with 50 µl per well of capture antibody (HA723570) diluted in carbonate/bicarbonate buffer, at a concentration of 2 µg/mL overnight at 4℃. Wells of the plate were washed, blocked with 150 µl 0.05% tween-20 1%BSA blocking buffer, and incubated with serial diluted Recombinant Human Lipoprotein A protein (HA210979) starting from 2,000 pg/ml to 0 pg/ml and detect antibody (HA723571, Biotin, 0.2 µg/ml) for 1 hour at 30℃ with shaking. Then the plate was washed and incubated with 50 µl per well of SA-HRP for 0.5 hour at 30℃ with shaking. Detection was performed using an Ultra TMB Substrate for 10 minutes at room temperature in the dark. The reaction was stopped with sulfuric acid and absorbances were read on a spectrophotometer at 450 nm.
Sandwich ELISA analysis of human Lipoprotein A matched pair antibodies Capture: HA723570, Human Lipoprotein A Rabbit mAb [PSH13-81] Detector: HA723573, Human Lipoprotein A Rabbit mAb [PSH13-83] Elisa assay was performed by coating wells of a 96-well plate with 50 µl per well of capture antibody (HA723570) diluted in carbonate/bicarbonate buffer, at a concentration of 2 µg/mL overnight at 4℃. Wells of the plate were washed, blocked with 150 µl 0.05% tween-20 1%BSA blocking buffer, and incubated with serial diluted Recombinant Human Lipoprotein A protein (HA210979) starting from 2,000 pg/ml to 0 pg/ml and detect antibody (HA723573, Biotin, 0.2 µg/ml) for 1 hour at 30℃ with shaking. Then the plate was washed and incubated with 50 µl per well of SA-HRP for 0.5 hour at 30℃ with shaking. Detection was performed using an Ultra TMB Substrate for 10 minutes at room temperature in the dark. The reaction was stopped with sulfuric acid and absorbances were read on a spectrophotometer at 450 nm.
Interpolated concentrations of native Lipoprotein A in human urine samples. Capture: HA723570, Human Lipoprotein A Rabbit mAb [PSH13-81] Detector: HA723571, Human Lipoprotein A Rabbit mAb [PSH13-82] The concentrations of Lipoprotein A were measured in duplicates, interpolated from the Lipoprotein A standard curve and corrected for sample dilution. Undiluted samples are human urine 20%. The interpolated dilution factor corrected values are plotted (mean +/- SD, n=2). The mean Lipoprotein A concentration was determined to be 5,193 pg/ml in human urine.
quantity: 100μl
price: 649.00 USD
to the supplier
Human Lipoprotein A
HUABIO
catalog: HA723571
domestic rabbit monoclonal (PSH13-82)
reactivity:
human
application:
ELISA
Sandwich ELISA analysis of human Lipoprotein A matched pair antibodies Capture: HA723570, Human Lipoprotein A Rabbit mAb [PSH13-81] Detector: HA723571, Human Lipoprotein A Rabbit mAb [PSH13-82] Elisa assay was performed by coating wells of a 96-well plate with 50 µl per well of capture antibody (HA723570) diluted in carbonate/bicarbonate buffer, at a concentration of 2 µg/mL overnight at 4℃. Wells of the plate were washed, blocked with 150 µl 0.05% tween-20 1%BSA blocking buffer, and incubated with serial diluted Recombinant Human Lipoprotein A protein (HA210979) starting from 2,000 pg/ml to 0 pg/ml and detect antibody (HA723571, Biotin, 0.2 µg/ml) for 1 hour at 30℃ with shaking. Then the plate was washed and incubated with 50 µl per well of SA-HRP for 0.5 hour at 30℃ with shaking. Detection was performed using an Ultra TMB Substrate for 10 minutes at room temperature in the dark. The reaction was stopped with sulfuric acid and absorbances were read on a spectrophotometer at 450 nm.
Interpolated concentrations of native Lipoprotein A in human urine samples. Capture: HA723570, Human Lipoprotein A Rabbit mAb [PSH13-81] Detector: HA723571, Human Lipoprotein A Rabbit mAb [PSH13-82] The concentrations of Lipoprotein A were measured in duplicates, interpolated from the Lipoprotein A standard curve and corrected for sample dilution. Undiluted samples are human urine 20%. The interpolated dilution factor corrected values are plotted (mean +/- SD, n=2). The mean Lipoprotein A concentration was determined to be 5,193 pg/ml in human urine.
Interpolated concentrations of native Lipoprotein A in human serum samples. Capture: HA723570, Human Lipoprotein A Rabbit mAb [PSH13-81] Detector: HA723571, Human Lipoprotein A Rabbit mAb [PSH13-82] The concentrations of Lipoprotein A were measured in duplicates, interpolated from the Lipoprotein A standard curve and corrected for sample dilution. Undiluted samples are human serum 0.033%. The interpolated dilution factor corrected values are plotted (mean +/- SD, n=2). The mean Lipoprotein A concentration was determined to be 4.48 µg/ml in human serum.
quantity: 100μl
price: 649.00 USD
to the supplier
Human Lipoprotein A
HUABIO
catalog: HA723572B
domestic rabbit monoclonal (PSH13-82)
reactivity:
human
conjugate: biotin
application:
ELISA
Sandwich ELISA analysis of human Lipoprotein A matched pair antibodies Capture: HA723570, Human Lipoprotein A Rabbit mAb [PSH13-81] Detector: HA723571, Human Lipoprotein A Rabbit mAb [PSH13-82] Elisa assay was performed by coating wells of a 96-well plate with 50 µl per well of capture antibody (HA723570) diluted in carbonate/bicarbonate buffer, at a concentration of 2 µg/mL overnight at 4℃. Wells of the plate were washed, blocked with 150 µl 0.05% tween-20 1%BSA blocking buffer, and incubated with serial diluted Recombinant Human Lipoprotein A protein (HA210979) starting from 2,000 pg/ml to 0 pg/ml and detect antibody (HA723571, Biotin, 0.2 µg/ml) for 1 hour at 30℃ with shaking. Then the plate was washed and incubated with 50 µl per well of SA-HRP for 0.5 hour at 30℃ with shaking. Detection was performed using an Ultra TMB Substrate for 10 minutes at room temperature in the dark. The reaction was stopped with sulfuric acid and absorbances were read on a spectrophotometer at 450 nm.
Interpolated concentrations of native Lipoprotein A in human urine samples. Capture: HA723570, Human Lipoprotein A Rabbit mAb [PSH13-81] Detector: HA723571, Human Lipoprotein A Rabbit mAb [PSH13-82] The concentrations of Lipoprotein A were measured in duplicates, interpolated from the Lipoprotein A standard curve and corrected for sample dilution. Undiluted samples are human urine 20%. The interpolated dilution factor corrected values are plotted (mean +/- SD, n=2). The mean Lipoprotein A concentration was determined to be 5,193 pg/ml in human urine.
Interpolated concentrations of native Lipoprotein A in human serum samples. Capture: HA723570, Human Lipoprotein A Rabbit mAb [PSH13-81] Detector: HA723571, Human Lipoprotein A Rabbit mAb [PSH13-82] The concentrations of Lipoprotein A were measured in duplicates, interpolated from the Lipoprotein A standard curve and corrected for sample dilution. Undiluted samples are human serum 0.033%. The interpolated dilution factor corrected values are plotted (mean +/- SD, n=2). The mean Lipoprotein A concentration was determined to be 4.48 µg/ml in human serum.
quantity: 100μl
price: 409.00 USD
to the supplier
Human Lipoprotein A
HUABIO
catalog: HA723573
domestic rabbit monoclonal (PSH13-83)
reactivity:
human
application:
ELISA
Sandwich ELISA analysis of human Lipoprotein A matched pair antibodies Capture: HA723570, Human Lipoprotein A Rabbit mAb [PSH13-81] Detector: HA723573, Human Lipoprotein A Rabbit mAb [PSH13-83] Elisa assay was performed by coating wells of a 96-well plate with 50 µl per well of capture antibody (HA723570) diluted in carbonate/bicarbonate buffer, at a concentration of 2 µg/mL overnight at 4℃. Wells of the plate were washed, blocked with 150 µl 0.05% tween-20 1%BSA blocking buffer, and incubated with serial diluted Recombinant Human Lipoprotein A protein (HA210979) starting from 2,000 pg/ml to 0 pg/ml and detect antibody (HA723573, Biotin, 0.2 µg/ml) for 1 hour at 30℃ with shaking. Then the plate was washed and incubated with 50 µl per well of SA-HRP for 0.5 hour at 30℃ with shaking. Detection was performed using an Ultra TMB Substrate for 10 minutes at room temperature in the dark. The reaction was stopped with sulfuric acid and absorbances were read on a spectrophotometer at 450 nm.
Interpolated concentrations of native Lipoprotein A in human urine samples. Capture: HA723570, Human Lipoprotein A Rabbit mAb [PSH13-81] Detector: HA723573, Human Lipoprotein A Rabbit mAb [PSH13-83] The concentrations of Lipoprotein A were measured in duplicates, interpolated from the Lipoprotein A standard curve and corrected for sample dilution. Undiluted samples are human urine 10%. The interpolated dilution factor corrected values are plotted (mean +/- SD, n=2). The mean Lipoprotein A concentration was determined to be 4,023 pg/ml in human urine.
Interpolated concentrations of native Lipoprotein A in human serum samples. Capture: HA723570, Human Lipoprotein A Rabbit mAb [PSH13-81] Detector: HA723573, Human Lipoprotein A Rabbit mAb [PSH13-83] The concentrations of Lipoprotein A were measured in duplicates, interpolated from the Lipoprotein A standard curve and corrected for sample dilution. Undiluted samples are human serum 0.004%. The interpolated dilution factor corrected values are plotted (mean +/- SD, n=2). The mean Lipoprotein A concentration was determined to be 16.01 µg/ml in human serum.
quantity: 100μl
price: 649.00 USD
to the supplier
Human Lipoprotein A
HUABIO
catalog: HA723574B
domestic rabbit monoclonal (PSH13-83)
reactivity:
human
conjugate: biotin
application:
ELISA
Sandwich ELISA analysis of human Lipoprotein A matched pair antibodies Capture: HA723570, Human Lipoprotein A Rabbit mAb [PSH13-81] Detector: HA723573, Human Lipoprotein A Rabbit mAb [PSH13-83] Elisa assay was performed by coating wells of a 96-well plate with 50 µl per well of capture antibody (HA723570) diluted in carbonate/bicarbonate buffer, at a concentration of 2 µg/mL overnight at 4℃. Wells of the plate were washed, blocked with 150 µl 0.05% tween-20 1%BSA blocking buffer, and incubated with serial diluted Recombinant Human Lipoprotein A protein (HA210979) starting from 2,000 pg/ml to 0 pg/ml and detect antibody (HA723573, Biotin, 0.2 µg/ml) for 1 hour at 30℃ with shaking. Then the plate was washed and incubated with 50 µl per well of SA-HRP for 0.5 hour at 30℃ with shaking. Detection was performed using an Ultra TMB Substrate for 10 minutes at room temperature in the dark. The reaction was stopped with sulfuric acid and absorbances were read on a spectrophotometer at 450 nm.
Interpolated concentrations of native Lipoprotein A in human urine samples. Capture: HA723570, Human Lipoprotein A Rabbit mAb [PSH13-81] Detector: HA723573, Human Lipoprotein A Rabbit mAb [PSH13-83] The concentrations of Lipoprotein A were measured in duplicates, interpolated from the Lipoprotein A standard curve and corrected for sample dilution. Undiluted samples are human urine 10%. The interpolated dilution factor corrected values are plotted (mean +/- SD, n=2). The mean Lipoprotein A concentration was determined to be 4,023 pg/ml in human urine.
Interpolated concentrations of native Lipoprotein A in human serum samples. Capture: HA723570, Human Lipoprotein A Rabbit mAb [PSH13-81] Detector: HA723573, Human Lipoprotein A Rabbit mAb [PSH13-83] The concentrations of Lipoprotein A were measured in duplicates, interpolated from the Lipoprotein A standard curve and corrected for sample dilution. Undiluted samples are human serum 0.004%. The interpolated dilution factor corrected values are plotted (mean +/- SD, n=2). The mean Lipoprotein A concentration was determined to be 16.01 µg/ml in human serum.
quantity: 100μl
price: 409.00 USD
to the supplier
Human Lipoprotein A
HUABIO
catalog: HA723574H
domestic rabbit monoclonal (PSH13-83)
reactivity:
human
conjugate: HRP
application:
ELISA
Sandwich ELISA analysis of human Lipoprotein A matched pair antibodies Capture: HA723570, Human Lipoprotein A Rabbit mAb [PSH13-81] Detector: HA723573, Human Lipoprotein A Rabbit mAb [PSH13-83] Elisa assay was performed by coating wells of a 96-well plate with 50 µl per well of capture antibody (HA723570) diluted in carbonate/bicarbonate buffer, at a concentration of 0.5 µg/mL overnight at 4℃. Wells of the plate were washed, blocked with 150 µl 0.05% tween-20 1%BSA blocking buffer, and incubated with serial diluted Recombinant Human Lipoprotein A protein (HA210979) starting from 37,000 pg/ml to 0 pg/ml and detect antibody (HA723573, HRP, 0.5 µg/ml) for 1 hour at 30℃ with shaking. Detection was performed using an Ultra TMB Substrate for 10 minutes at room temperature in the dark. The reaction was stopped with sulfuric acid and absorbances were read on a spectrophotometer at 450 nm.
quantity: 100μl
price: 409.00 USD
to the supplier
Lipoprotein a
HUABIO
catalog: HA751408
domestic rabbit monoclonal (PSH11-29)
reactivity:
human
application:
western blot
,
immunohistochemistry - paraffin section
Western blot analysis of Lipoprotein a on different lysates with Rabbit anti-Lipoprotein a antibody (HA751408) at 1/2,000 dilution. Lane 1: Human serum lysate Lane 2: Human plasma lysate Lysates/proteins at 20 µg/Lane. Predicted band size: 227 kDa Observed band size: 500 kDa Exposure time: 10 seconds; ECL: K1801; 3-8% SDS-PAGE gel. Proteins were transferred to a PVDF membrane and blocked with 5% NFDM/TBST for 1 hour at room temperature. The primary antibody (HA751408) at 1/2,000 dilution was used in 5% NFDM/TBST at 4℃ overnight. Goat Anti-Rabbit IgG - HRP Secondary Antibody (HA1001) at 1/50,000 dilution was used for 1 hour at room temperature.
Immunohistochemical analysis of paraffin-embedded human liver tissue with Rabbit anti-Lipoprotein a antibody (HA751408) at 1/1,000 dilution. The section was pre-treated using heat mediated antigen retrieval with Tris-EDTA buffer (pH 9.0) for 20 minutes. The tissues were blocked in 1% BSA for 20 minutes at room temperature, washed with ddH2O and PBS, and then probed with the primary antibody (HA751408) at 1/1,000 dilution for 1 hour at room temperature. The detection was performed using an HRP conjugated compact polymer system. DAB was used as the chromogen. Tissues were counterstained with hematoxylin and mounted with DPX.
Immunohistochemical analysis of paraffin-embedded human glioma tumor tissue with Rabbit anti-Lipoprotein a antibody (HA751408) at 1/1,000 dilution. The section was pre-treated using heat mediated antigen retrieval with Tris-EDTA buffer (pH 9.0) for 20 minutes. The tissues were blocked in 1% BSA for 20 minutes at room temperature, washed with ddH2O and PBS, and then probed with the primary antibody (HA751408) at 1/1,000 dilution for 1 hour at room temperature. The detection was performed using an HRP conjugated compact polymer system. DAB was used as the chromogen. Tissues were counterstained with hematoxylin and mounted with DPX.
quantity: 100μl
price: 649.00 USD
to the supplier