Sign in
Sign up
home
>
HUABIO
> HUABIO hormone sensitive lipase antibody
Phospho-Hormone sensitive lipase (S853)
HUABIO
catalog: ET1611-19
domestic rabbit monoclonal (SN06-39)
reactivity:
human
,
mouse
,
rat
application:
western blot
,
immunohistochemistry - paraffin section
Western blot analysis of Phospho-Hormone sensitive lipase (S853) on different lysates with Rabbit anti-Phospho-Hormone sensitive lipase (S853) antibody (ET1611-19) at 1/1,000 dilution. Lane 1: Mouse skeletal muscle tissue lysate Lane 2: Rat skeletal muscle tissue lysate Lane 3: Rat skeletal muscle tissue lysate, the membrane treated with λpp for 1 hour Lysates/proteins at 30 µg/Lane. Predicted band size: 117 kDa Observed band size: 84 kDa Exposure time: 4 seconds; ECL: K1801; 4-20% SDS-PAGE gel. Proteins were transferred to a PVDF membrane and blocked with 5% NFDM/TBST for 1 hour at room temperature. The primary antibody (ET1611-19) at 1/1,000 dilution was used in 5% NFDM/TBST at 4℃ overnight. Goat Anti-Rabbit IgG - HRP Secondary Antibody (HA1001) at 1/50,000 dilution was used for 1 hour at room temperature.
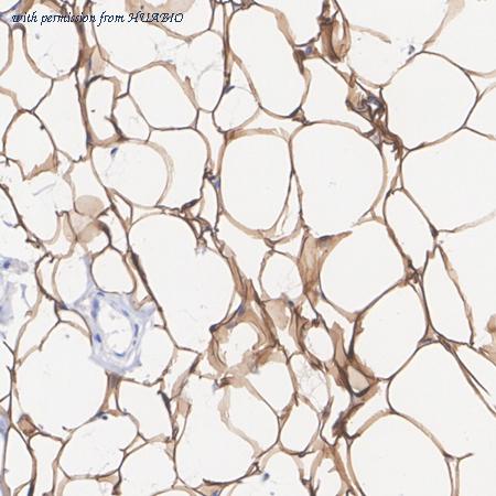
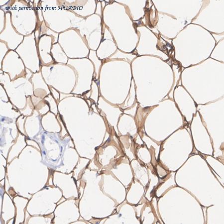
Immunohistochemical analysis of paraffin-embedded human fetal skeletal muscle tissue with Rabbit anti-Phospho-Hormone sensitive lipase (S853) antibody (ET1611-19) at 1/200 dilution. The section was pre-treated using heat mediated antigen retrieval with Tris-EDTA buffer (pH 9.0) for 20 minutes. The tissues were blocked in 1% BSA for 20 minutes at room temperature, washed with ddH2O and PBS, and then probed with the primary antibody (ET1611-19) at 1/200 dilution for 1 hour at room temperature. The detection was performed using an HRP conjugated compact polymer system. DAB was used as the chromogen. Tissues were counterstained with hematoxylin and mounted with DPX.
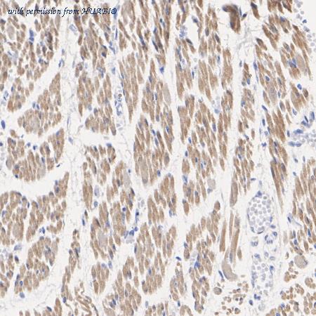
Immunohistochemical analysis of paraffin-embedded mouse skeletal muscle tissue with Rabbit anti-Phospho-Hormone sensitive lipase (S853) antibody (ET1611-19) at 1/200 dilution. The section was pre-treated using heat mediated antigen retrieval with Tris-EDTA buffer (pH 9.0) for 20 minutes. The tissues were blocked in 1% BSA for 20 minutes at room temperature, washed with ddH2O and PBS, and then probed with the primary antibody (ET1611-19) at 1/200 dilution for 1 hour at room temperature. The detection was performed using an HRP conjugated compact polymer system. DAB was used as the chromogen. Tissues were counterstained with hematoxylin and mounted with DPX.
quantity: 100μl
price: 385.00 USD
to the supplier
Hormone sensitive lipase / HSL
HUABIO
catalog: HA722810
domestic rabbit monoclonal (PSH07-22)
reactivity:
human
,
mouse
,
rat
application:
western blot
,
immunoprecipitation
,
immunohistochemistry - paraffin section
Western blot analysis of Hormone sensitive lipase / HSL on different lysates with Rabbit anti-Hormone sensitive lipase / HSL antibody (HA722810) at 1/1,000 dilution. Lane 1: Jurkat cell lysate Lane 2: SH-SY5Y cell lysate Lysates/proteins at 20 µg/Lane. Predicted band size: 117 kDa Observed band size: 90 kDa Exposure time: 6 seconds; ECL: K1801; 4-20% SDS-PAGE gel. Proteins were transferred to a PVDF membrane and blocked with 5% NFDM/TBST for 1 hour at room temperature. The primary antibody (HA722810) at 1/1,000 dilution was used in 5% NFDM/TBST at 4℃ overnight. Goat Anti-Rabbit IgG - HRP Secondary Antibody (HA1001) at 1/50,000 dilution was used for 1 hour at room temperature.
Western blot analysis of Hormone sensitive lipase / HSL on different lysates with Rabbit anti-Hormone sensitive lipase / HSL antibody (HA722810) at 1/1,000 dilution. Lane 1: Human liver tissue lysate (negative) Lane 2: Mouse brown adipose tissue lysate Lane 3: Rat brown adipose tissue lysate Lysates/proteins at 20 µg/Lane. Predicted band size: 117 kDa Observed band size: 90 kDa Exposure time: 6 seconds; ECL: K1801; 4-20% SDS-PAGE gel. Proteins were transferred to a PVDF membrane and blocked with 5% NFDM/TBST for 1 hour at room temperature. The primary antibody (HA722810) at 1/1,000 dilution was used in 5% NFDM/TBST at 4℃ overnight. Goat Anti-Rabbit IgG - HRP Secondary Antibody (HA1001) at 1/50,000 dilution was used for 1 hour at room temperature.
Immunohistochemical analysis of paraffin-embedded human breast tissue with Rabbit anti-Hormone sensitive lipase / HSL antibody (HA722810) at 1/30,000 dilution. The section was pre-treated using heat mediated antigen retrieval with Tris-EDTA buffer (pH 9.0) for 20 minutes. The tissues were blocked in 1% BSA for 20 minutes at room temperature, washed with ddH2O and PBS, and then probed with the primary antibody (HA722810) at 1/30,000 dilution for 1 hour at room temperature. The detection was performed using an HRP conjugated compact polymer system. DAB was used as the chromogen. Tissues were counterstained with hematoxylin and mounted with DPX.
quantity: 100μl
price: 385.00 USD
to the supplier
Phospho-Hormone sensitive lipase (S660)
HUABIO
catalog: HA723195
domestic rabbit monoclonal (PSH10-28)
reactivity:
human
,
mouse
,
rat
application:
western blot
Western blot analysis of Phospho-Hormone sensitive lipase (S660) on different lysates with Rabbit anti-Phospho-Hormone sensitive lipase (S660) antibody (HA723195) at 1/2,000 dilution. Lane 1: Mouse white adipose tissue lysate Lane 2: Rat white adipose tissue lysate Lane 3: Mouse white adipose tissue lysate, the membrane treated with λpp for 1 hour Lysates/proteins at 40 µg/Lane. Predicted band size: 117 kDa Observed band size: 84 kDa Exposure time: 59 seconds; ECL: K1801; 4-20% SDS-PAGE gel. Proteins were transferred to a PVDF membrane and blocked with 5% NFDM/TBST for 1 hour at room temperature. The primary antibody (HA723195) at 1/2,000 dilution was used in 5% NFDM/TBST at 4℃ overnight. Goat Anti-Rabbit IgG - HRP Secondary Antibody (HA1001) at 1/50,000 dilution was used for 1 hour at room temperature.
quantity: 100μl
price: 385.00 USD
to the supplier
Hormone sensitive lipase / HSL
HUABIO
catalog: HA751143
domestic rabbit monoclonal (PSH07-22)
reactivity:
human
,
mouse
,
rat
application:
western blot
,
immunoprecipitation
,
immunohistochemistry - paraffin section
Western blot analysis of Hormone sensitive lipase / HSL on different lysates with Rabbit anti-Hormone sensitive lipase / HSL antibody (HA751143) at 1/1,000 dilution. Lane 1: Jurkat cell lysate Lane 2: SH-SY5Y cell lysate Lysates/proteins at 20 µg/Lane. Predicted band size: 117 kDa Observed band size: 90 kDa Exposure time: 6 seconds; ECL: K1801; 4-20% SDS-PAGE gel. Proteins were transferred to a PVDF membrane and blocked with 5% NFDM/TBST for 1 hour at room temperature. The primary antibody (HA751143) at 1/1,000 dilution was used in 5% NFDM/TBST at 4℃ overnight. Goat Anti-Rabbit IgG - HRP Secondary Antibody (HA1001) at 1/50,000 dilution was used for 1 hour at room temperature.
Western blot analysis of Hormone sensitive lipase / HSL on different lysates with Rabbit anti-Hormone sensitive lipase / HSL antibody (HA751143) at 1/1,000 dilution. Lane 1: Human liver tissue lysate (negative) Lane 2: Mouse brown adipose tissue lysate Lane 3: Rat brown adipose tissue lysate Lysates/proteins at 20 µg/Lane. Predicted band size: 117 kDa Observed band size: 90 kDa Exposure time: 6 seconds; ECL: K1801; 4-20% SDS-PAGE gel. Proteins were transferred to a PVDF membrane and blocked with 5% NFDM/TBST for 1 hour at room temperature. The primary antibody (HA751143) at 1/1,000 dilution was used in 5% NFDM/TBST at 4℃ overnight. Goat Anti-Rabbit IgG - HRP Secondary Antibody (HA1001) at 1/50,000 dilution was used for 1 hour at room temperature.
Immunohistochemical analysis of paraffin-embedded human breast tissue with Rabbit anti-Hormone sensitive lipase / HSL antibody (HA751143) at 1/30,000 dilution. The section was pre-treated using heat mediated antigen retrieval with Tris-EDTA buffer (pH 9.0) for 20 minutes. The tissues were blocked in 1% BSA for 20 minutes at room temperature, washed with ddH2O and PBS, and then probed with the primary antibody (HA751143) at 1/30,000 dilution for 1 hour at room temperature. The detection was performed using an HRP conjugated compact polymer system. DAB was used as the chromogen. Tissues were counterstained with hematoxylin and mounted with DPX.
quantity: 100μl
price: 649.00 USD
to the supplier
Phospho-Hormone sensitive lipase (S660)
HUABIO
catalog: HA751345
domestic rabbit monoclonal (PSH10-28)
reactivity:
human
,
mouse
,
rat
application:
western blot
Western blot analysis of Phospho-Hormone sensitive lipase (S660) on different lysates with Rabbit anti-Phospho-Hormone sensitive lipase (S660) antibody (HA751345) at 1/2,000 dilution. Lane 1: Mouse white adipose tissue lysate Lane 2: Rat white adipose tissue lysate Lane 3: Mouse white adipose tissue lysate, the membrane treated with λpp for 1 hour Lysates/proteins at 40 µg/Lane. Predicted band size: 117 kDa Observed band size: 84 kDa Exposure time: 59 seconds; ECL: K1801; 4-20% SDS-PAGE gel. Proteins were transferred to a PVDF membrane and blocked with 5% NFDM/TBST for 1 hour at room temperature. The primary antibody (HA751345) at 1/2,000 dilution was used in 5% NFDM/TBST at 4℃ overnight. Goat Anti-Rabbit IgG - HRP Secondary Antibody (HA1001) at 1/50,000 dilution was used for 1 hour at room temperature.
quantity: 100μl
price: 649.00 USD
to the supplier
Hormone sensitive lipase / HSL
HUABIO
catalog: IRS157RB
domestic rabbit monoclonal
reactivity:
human
mIHC analysis of human breast tissue (Formalin/PFA-fixed paraffin-embedded sections) with Rabbit anti-Hormone sensitive lipase / HSL antibody (IRS157RB) at 1/100 dilution. The immunostaining was performed with the IRISKitCmTSA Kit (900808). Heat mediated antigen retrieval with Tris-EDTA buffer (pH 9.0) for 30 mins at 95℃. DAPI (blue) was used as a nuclear counter stain. Image acquisition was performed with Olympus VS200 Slide Scanner.
quantity: 50T
price: 278.00 USD
to the supplier