Sign in
Sign up
home
>
HUABIO
> HUABIO leptin receptor antibody
Leptin Receptor
HUABIO
catalog: ET1704-44-50UL
domestic rabbit monoclonal (JA73-01)
reactivity:
human
,
mouse
,
rat
application:
western blot
,
flow cytometry
,
immunohistochemistry - paraffin section
Western blot analysis of Leptin Receptor on different lysates. Proteins were transferred to a PVDF membrane and blocked with 5% BSA in PBS for 1 hour at room temperature. The primary antibody (ET1704-44, 1/1,000) was used in 5% BSA at room temperature for 2 hours. Goat Anti-Rabbit IgG - HRP Secondary Antibody (HA1001) at 1/50,000 dilution was used for 1 hour at room temperature. Positive control: Lane 1: Mouse lung tissue lysate Lane 2: Mouse liver tissue lysate
Western blot analysis of Leptin Receptor on different lysates with Rabbit anti-Leptin Receptor antibody (ET1704-44) at 1/1,000 dilution. Lane 1: K-562 cell lysate (16 µg/Lane) Lane 2: HeLa cell lysate (20 µg/Lane) Lane 3: Rat brain tissue lysate (32 µg/Lane) Predicted band size: 132 kDa Observed band size: 132 kDa Exposure time: 3 minutes; 4-20% SDS-PAGE gel. Proteins were transferred to a PVDF membrane and blocked with 5% NFDM/TBST for 1 hour at room temperature. The primary antibody (ET1704-44) at 1/1,000 dilution was used in 5% NFDM/TBST at room temperature for 2 hours. Goat Anti-Rabbit IgG - HRP Secondary Antibody (HA1001) at 1:200,000 dilution was used for 1 hour at room temperature.
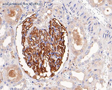
Immunohistochemical analysis of paraffin-embedded human kidney tissue with Rabbit anti-Leptin Receptor antibody (ET1704-44) at 1/1,000 dilution. The section was pre-treated using heat mediated antigen retrieval with Tris-EDTA buffer (pH 9.0) for 20 minutes. The tissues were blocked in 1% BSA for 20 minutes at room temperature, washed with ddH2O and PBS, and then probed with the primary antibody (ET1704-44) at 1/1,000 dilution for 1 hour at room temperature. The detection was performed using an HRP conjugated compact polymer system. DAB was used as the chromogen. Tissues were counterstained with hematoxylin and mounted with DPX.
quantity: 50μl
price: 205.00 USD
to the supplier
Human Leptin Receptor
HUABIO
catalog: HA725058
domestic rabbit monoclonal (PSH14-71)
reactivity:
human
application:
ELISA
Sandwich ELISA analysis of human Leptin Receptor matched pair antibodies Capture: HA725058, Human Leptin Receptor Rabbit mAb [PSH14-71] Detector: HA725059, Human Leptin Receptor Rabbit mAb [PSH14-72] Elisa assay was performed by coating wells of a 96-well plate with 50 µl per well of capture antibody (HA725058) diluted in carbonate/bicarbonate buffer, at a concentration of5µg/ml overnight at 4℃. Wells of the plate were washed, blocked with 150 µl 0.05% tween-20 1% BSA blocking buffer, and incubated with serial diluted Recombinant Human Leptin Receptor protein (HA211148) starting from 20,000 pg/ml to 0 pg/ml and detect antibody (HA725059, Biotin, 0.2 µg/ml) for 1 hour at 30℃ with shaking. Then the plate was washed and incubated with 50 µl per well of SA-HRP for 0.5 hour at 30℃ with shaking. Detection was performed using an Ultra TMB Substrate for 10 minutes at room temperature in the dark. The reaction was stopped with sulfuric acid and absorbances were read on a spectrophotometer at 450 nm.
Interpolated concentrations of native Leptin Receptor in K562 and HepG2 extract samples based on a 1,000 µg/ml extract load. Capture: HA725058, Human Leptin Receptor Rabbit mAb [PSH14-71] Detector: HA725059, Human Leptin Receptor Rabbit mAb [PSH14-72] The concentrations of Leptin Receptor were measured in duplicates, interpolated from the Leptin Receptor standard curve and corrected for sample dilution. Undiluted samples are K562 extract 50% and HepG2 extract 100%. The interpolated dilution factor corrected values are plotted (mean +/- SD, n=2). The mean Leptin Receptor concentration was determined to be 3,255 pg/ml in K562 extract and undetectable in HepG2 extract.
quantity: 100μl
price: 649.00 USD
to the supplier
Human Leptin Receptor
HUABIO
catalog: HA725059
domestic rabbit monoclonal (PSH14-72)
reactivity:
human
application:
ELISA
Sandwich ELISA analysis of human Leptin Receptor matched pair antibodies Capture: HA725058, Human Leptin Receptor Rabbit mAb [PSH14-71] Detector: HA725059, Human Leptin Receptor Rabbit mAb [PSH14-72] Elisa assay was performed by coating wells of a 96-well plate with 50 µl per well of capture antibody (HA725058) diluted in carbonate/bicarbonate buffer, at a concentration of5µg/ml overnight at 4℃. Wells of the plate were washed, blocked with 150 µl 0.05% tween-20 1% BSA blocking buffer, and incubated with serial diluted Recombinant Human Leptin Receptor protein (HA211148) starting from 20,000 pg/ml to 0 pg/ml and detect antibody (HA725059, Biotin, 0.2 µg/ml) for 1 hour at 30℃ with shaking. Then the plate was washed and incubated with 50 µl per well of SA-HRP for 0.5 hour at 30℃ with shaking. Detection was performed using an Ultra TMB Substrate for 10 minutes at room temperature in the dark. The reaction was stopped with sulfuric acid and absorbances were read on a spectrophotometer at 450 nm.
Interpolated concentrations of native Leptin Receptor in K562 and HepG2 extract samples based on a 1,000 µg/ml extract load. Capture: HA725058, Human Leptin Receptor Rabbit mAb [PSH14-71] Detector: HA725059, Human Leptin Receptor Rabbit mAb [PSH14-72] The concentrations of Leptin Receptor were measured in duplicates, interpolated from the Leptin Receptor standard curve and corrected for sample dilution. Undiluted samples are K562 extract 50% and HepG2 extract 100%. The interpolated dilution factor corrected values are plotted (mean +/- SD, n=2). The mean Leptin Receptor concentration was determined to be 3,255 pg/ml in K562 extract and undetectable in HepG2 extract.
quantity: 100μl
price: 649.00 USD
to the supplier
Human Leptin Receptor
HUABIO
catalog: HA725060B
domestic rabbit monoclonal (PSH14-72)
reactivity:
human
conjugate: biotin
application:
ELISA
Sandwich ELISA analysis of human Leptin Receptor matched pair antibodies Capture: HA725058, Human Leptin Receptor Rabbit mAb [PSH14-71] Detector: HA725059, Human Leptin Receptor Rabbit mAb [PSH14-72] Elisa assay was performed by coating wells of a 96-well plate with 50 µl per well of capture antibody (HA725058) diluted in carbonate/bicarbonate buffer, at a concentration of5µg/ml overnight at 4℃. Wells of the plate were washed, blocked with 150 µl 0.05% tween-20 1% BSA blocking buffer, and incubated with serial diluted Recombinant Human Leptin Receptor protein (HA211148) starting from 20,000 pg/ml to 0 pg/ml and detect antibody (HA725059, Biotin, 0.2 µg/ml) for 1 hour at 30℃ with shaking. Then the plate was washed and incubated with 50 µl per well of SA-HRP for 0.5 hour at 30℃ with shaking. Detection was performed using an Ultra TMB Substrate for 10 minutes at room temperature in the dark. The reaction was stopped with sulfuric acid and absorbances were read on a spectrophotometer at 450 nm.
Interpolated concentrations of native Leptin Receptor in K562 and HepG2 extract samples based on a 1,000 µg/ml extract load. Capture: HA725058, Human Leptin Receptor Rabbit mAb [PSH14-71] Detector: HA725059, Human Leptin Receptor Rabbit mAb [PSH14-72] The concentrations of Leptin Receptor were measured in duplicates, interpolated from the Leptin Receptor standard curve and corrected for sample dilution. Undiluted samples are K562 extract 50% and HepG2 extract 100%. The interpolated dilution factor corrected values are plotted (mean +/- SD, n=2). The mean Leptin Receptor concentration was determined to be 3,255 pg/ml in K562 extract and undetectable in HepG2 extract.
quantity: 100μl
price: 409.00 USD
to the supplier
Leptin Receptor
HUABIO
catalog: HA750413
domestic rabbit monoclonal (JA73-01)
reactivity:
human
,
mouse
,
rat
application:
western blot
,
flow cytometry
,
immunohistochemistry - paraffin section
Western blot analysis of Leptin Receptor on different lysates. Proteins were transferred to a PVDF membrane and blocked with 5% BSA in PBS for 1 hour at room temperature. The primary antibody (HA750413, 1/1,000) was used in 5% BSA at room temperature for 2 hours. Goat Anti-Rabbit IgG - HRP Secondary Antibody (HA1001) at 1/50,000 dilution was used for 1 hour at room temperature. Positive control: Lane 1: Mouse lung tissue lysate Lane 2: Mouse liver tissue lysate
Western blot analysis of Leptin Receptor on different lysates with Rabbit anti-Leptin Receptor antibody (HA750413) at 1/1,000 dilution. Lane 1: K-562 cell lysate (16 µg/Lane) Lane 2: HeLa cell lysate (20 µg/Lane) Lane 3: Rat brain tissue lysate (32 µg/Lane) Predicted band size: 132 kDa Observed band size: 132 kDa Exposure time: 3 minutes; 4-20% SDS-PAGE gel. Proteins were transferred to a PVDF membrane and blocked with 5% NFDM/TBST for 1 hour at room temperature. The primary antibody (HA750413) at 1/1,000 dilution was used in 5% NFDM/TBST at room temperature for 2 hours. Goat Anti-Rabbit IgG - HRP Secondary Antibody (HA1001) at 1:200,000 dilution was used for 1 hour at room temperature.
Immunohistochemical analysis of paraffin-embedded human kidney tissue with Rabbit anti-Leptin Receptor antibody (HA750413) at 1/1,000 dilution. The section was pre-treated using heat mediated antigen retrieval with Tris-EDTA buffer (pH 9.0) for 20 minutes. The tissues were blocked in 1% BSA for 20 minutes at room temperature, washed with ddH2O and PBS, and then probed with the primary antibody (HA750413) at 1/1,000 dilution for 1 hour at room temperature. The detection was performed using an HRP conjugated compact polymer system. DAB was used as the chromogen. Tissues were counterstained with hematoxylin and mounted with DPX.
quantity: 100μl
price: 649.00 USD
to the supplier
Anti-Leptin Receptor Antibody [JA73-01]
HUABIO
catalog: ET1704-44TR
domestic rabbit monoclonal (JA73-01)
reactivity:
human
,
mouse
,
rat
application:
western blot
,
flow cytometry
,
immunohistochemistry - paraffin section
quantity: 20 uL
price: 99 USD
to the supplier