Sign in
Sign up
home
>
HUABIO
> HUABIO Lamp-2 antibody
LAMP2
HUABIO
catalog: EM1901-62
mouse monoclonal (D3-D8-D3)
reactivity:
human
application:
western blot
,
immunohistochemistry - paraffin section
Western blot analysis of LAMP2 on different lysates with Mouse anti-LAMP2 antibody (EM1901-62) at 1/1,000 dilution. Lane 1: HeLa cell lysate Lane 2: Jurkat cell lysate Lane 3: HepG2 cell lysate Lane 4: HUVEC cell lysate Lane 5: JAR cell lysate Lane 6: HEK-293 cell lysate Lane 7: THP-1 cell lysate Lysates/proteins at 20 µg/Lane. Predicted band size: 45 kDa Observed band size: 110 kDa Exposure time: 1 minute 2 seconds; 4-20% SDS-PAGE gel. Proteins were transferred to a PVDF membrane and blocked with 5% NFDM/TBST for 1 hour at room temperature. The primary antibody (EM1901-62) at 1/1,000 dilution was used in 5% NFDM/TBST at 4℃ overnight. Goat Anti-Mouse IgG - HRP Secondary Antibody (HA1006) at 1/50,000 dilution was used for 1 hour at room temperature.
Western blot analysis of LAMP2 on different lysates with Mouse anti-LAMP2 antibody (EM1901-62) at 1/2,000 dilution. Lane 1: HAP1-parental cell lysate Lane 2: HAP1-LAMP2 KD cell lysate Lysates/proteins at 10 µg/Lane. Predicted band size: 45 kDa Observed band size: 110 kDa Exposure time: 3 minutes; ECL: K1801; 4-20% SDS-PAGE gel. Proteins were transferred to a PVDF membrane and blocked with 5% NFDM/TBST for 1 hour at room temperature. The primary antibody (EM1901-62) at 1/2,000 dilution was used in primary antibody dilution (K1803) at 4℃ overnight. Goat Anti-Mouse IgG - HRP Secondary Antibody (HA1006) at 1/50,000 dilution was used for 1 hour at room temperature.
Immunocytochemistry analysis of HUVEC cells labeling LAMP2 with Mouse anti-LAMP2 antibody (EM1901-62) at 1/100 dilution. Cells were fixed in 100% precooled methanol for 5 minutes at room temperature, then blocked with 1% BSA in 10% negative goat serum for 1 hour at room temperature. Cells were then incubated with Mouse anti-LAMP2 antibody (EM1901-62) at 1/100 dilution in 1% BSA in PBST overnight at 4 ℃. Goat Anti-Mouse IgG H&L (iFluor™ 488, HA1125) was used as the secondary antibody at 1/1,000 dilution. PBS instead of the primary antibody was used as the secondary antibody only control. Nuclear DNA was labelled in blue with DAPI. beta Tubulin (ET1602-4, red) was stained at 1/100 dilution overnight at +4℃. Goat Anti-Rabbit IgG H&L (iFluor™ 594, HA1122) were used as the secondary antibody at 1/1,000 dilution.
quantity: 100μl
price: 360.00 USD
to the supplier
LAMP2a
HUABIO
catalog: ER1802-99
domestic rabbit polyclonal
reactivity:
human
,
mouse
application:
western blot
,
immunohistochemistry - paraffin section
Western blot analysis of LAMP2a on mouse placenta tissue lysates using anti-LAMP2a antibody at 1/1,000 dilution.
Immunohistochemical analysis of paraffin-embedded human kidney tissue using anti-LAMP2a antibody. Counter stained with hematoxylin.
Immunohistochemical analysis of paraffin-embedded human placenta tissue using anti-LAMP2a antibody. Counter stained with hematoxylin.
quantity: 100μl
price: 330 USD
to the supplier
LAMP2a
HUABIO
catalog: ET1601-24-50UL
domestic rabbit monoclonal (SA46-01)
reactivity:
human
,
mouse
,
rat
application:
western blot
,
immunoprecipitation
,
immunohistochemistry - paraffin section
Western blot analysis of LAMP2a on different lysates with Rabbit anti-LAMP2a antibody (ET1601-24) at 1/5,000 dilution. Lane 1: SK-MEL-28 cell lysate (20 µg/Lane) Lane 2: HeLa cell lysate (20 µg/Lane) Lane 3: JAR cell lysate (20 µg/Lane) Lane 4: U-937 cell lysate (20 µg/Lane) Lane 5: RAW264.7 cell lysate (15 µg/Lane) Lane 6: NIH/3T3 cell lysate (15 µg/Lane) Lane 7: PC-12 cell lysate (15 µg/Lane) Lane 8: Mouse liver tissue lysate (30 µg/Lane) Lane 9: Rat liver tissue lysate (30 µg/Lane) Lane 10: Rat lung tissue lysate (30 µg/Lane) Predicted band size: 45 kDa Observed band size: 70-140 kDa Exposure time: Lane 1-4: 2 minutes 37 seconds; Lane 5-10: 5 minutes; 4-20% SDS-PAGE gel. Proteins were transferred to a PVDF membrane and blocked with 5% NFDM/TBST for 1 hour at room temperature. The primary antibody (ET1601-24) at 1/5,000 dilution was used in 5% NFDM/TBST at 4℃ overnight. Goat Anti-Rabbit IgG - HRP Secondary Antibody (HA1001) at 1:50,000 dilution was used for 1 hour at room temperature.
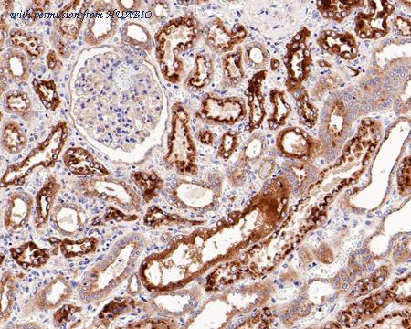
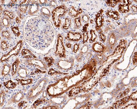
Immunohistochemical analysis of paraffin-embedded human kidney tissue with Rabbit anti-LAMP2a antibody (ET1601-24) at 1/500 dilution. The section was pre-treated using heat mediated antigen retrieval with Tris-EDTA buffer (pH 9.0) for 20 minutes. The tissues were blocked in 1% BSA for 20 minutes at room temperature, washed with ddH2O and PBS, and then probed with the primary antibody (ET1601-24) at 1/500 dilution for 1 hour at room temperature. The detection was performed using an HRP conjugated compact polymer system. DAB was used as the chromogen. Tissues were counterstained with hematoxylin and mounted with DPX.
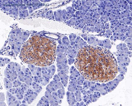
Immunohistochemical analysis of paraffin-embedded mouse pancreas tissue with Rabbit anti-LAMP2a antibody (ET1601-24) at 1/500 dilution. The section was pre-treated using heat mediated antigen retrieval with Tris-EDTA buffer (pH 9.0) for 20 minutes. The tissues were blocked in 1% BSA for 20 minutes at room temperature, washed with ddH2O and PBS, and then probed with the primary antibody (ET1601-24) at 1/500 dilution for 1 hour at room temperature. The detection was performed using an HRP conjugated compact polymer system. DAB was used as the chromogen. Tissues were counterstained with hematoxylin and mounted with DPX.
quantity: 50μl
price: 205.00 USD
to the supplier
LAMP2
HUABIO
catalog: HA601192
mouse monoclonal (D3-D8-D3-R)
reactivity:
human
application:
western blot
,
immunohistochemistry - paraffin section
Western blot analysis of LAMP2 on different lysates with Mouse anti-LAMP2 antibody (HA601192) at 1/1,000 dilution. Lane 1: HeLa cell lysate Lane 2: Jurkat cell lysate Lane 3: HepG2 cell lysate Lane 4: HUVEC cell lysate Lane 5: JAR cell lysate Lane 6: HEK-293 cell lysate Lane 7: THP-1 cell lysate Lysates/proteins at 20 µg/Lane. Predicted band size: 45 kDa Observed band size: 110 kDa Exposure time: 3 minute; 4-20% SDS-PAGE gel. Proteins were transferred to a PVDF membrane and blocked with 5% NFDM/TBST for 1 hour at room temperature. The primary antibody (HA601192) at 1/1,000 dilution was used in 5% NFDM/TBST at 4℃ overnight. Goat Anti-Mouse IgG - HRP Secondary Antibody (HA1006) at 1/50,000 dilution was used for 1 hour at room temperature.
Western blot analysis of LAMP2 on different lysates with Mouse anti-LAMP2 antibody (HA601192) at 1/2,000 dilution. Lane 1: HAP1-parental cell lysate Lane 2: HAP1-LAMP2 KD cell lysate Lysates/proteins at 10 µg/Lane. Predicted band size: 45 kDa Observed band size: 110 kDa Exposure time: 3 minutes; ECL: K1801; 4-20% SDS-PAGE gel. Proteins were transferred to a PVDF membrane and blocked with 5% NFDM/TBST for 1 hour at room temperature. The primary antibody (HA601192) at 1/2,000 dilution was used in primary antibody dilution (K1803) at 4℃ overnight. Goat Anti-Mouse IgG - HRP Secondary Antibody (HA1006) at 1/50,000 dilution was used for 1 hour at room temperature.
Immunohistochemical analysis of paraffin-embedded human kidney tissue with Mouse anti-LAMP2 antibody (HA601192) at 1/5,000 dilution. The section was pre-treated using heat mediated antigen retrieval with Tris-EDTA buffer (pH 9.0) for 20 minutes. The tissues were blocked in 1% BSA for 20 minutes at room temperature, washed with ddH2O and PBS, and then probed with the primary antibody (HA601192) at 1/5,000 dilution for 1 hour at room temperature. The detection was performed using an HRP conjugated compact polymer system. DAB was used as the chromogen. Tissues were counterstained with hematoxylin and mounted with DPX.
quantity: 100μl
price: 360.00 USD
to the supplier
LAMP2
HUABIO
catalog: HA610072
mouse monoclonal (D3-D8-D3-R)
reactivity:
human
application:
western blot
,
immunohistochemistry - paraffin section
Western blot analysis of LAMP2 on different lysates with Mouse anti-LAMP2 antibody (HA610072) at 1/1,000 dilution. Lane 1: HeLa cell lysate Lane 2: Jurkat cell lysate Lane 3: HepG2 cell lysate Lane 4: HUVEC cell lysate Lane 5: JAR cell lysate Lane 6: HEK-293 cell lysate Lane 7: THP-1 cell lysate Lysates/proteins at 20 µg/Lane. Predicted band size: 45 kDa Observed band size: 110 kDa Exposure time: 3 minute; 4-20% SDS-PAGE gel. Proteins were transferred to a PVDF membrane and blocked with 5% NFDM/TBST for 1 hour at room temperature. The primary antibody (HA610072) at 1/1,000 dilution was used in 5% NFDM/TBST at 4℃ overnight. Goat Anti-Mouse IgG - HRP Secondary Antibody (HA1006) at 1/50,000 dilution was used for 1 hour at room temperature.
Western blot analysis of LAMP2 on different lysates with Mouse anti-LAMP2 antibody (HA610072) at 1/2,000 dilution. Lane 1: HAP1-parental cell lysate Lane 2: HAP1-LAMP2 KD cell lysate Lysates/proteins at 10 µg/Lane. Predicted band size: 45 kDa Observed band size: 110 kDa Exposure time: 3 minutes; ECL: K1801; 4-20% SDS-PAGE gel. Proteins were transferred to a PVDF membrane and blocked with 5% NFDM/TBST for 1 hour at room temperature. The primary antibody (HA610072) at 1/2,000 dilution was used in primary antibody dilution (K1803) at 4℃ overnight. Goat Anti-Mouse IgG - HRP Secondary Antibody (HA1006) at 1/50,000 dilution was used for 1 hour at room temperature.
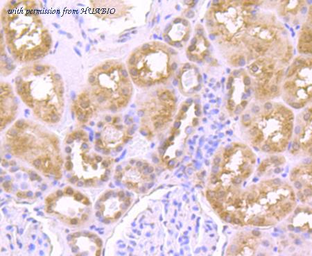
Immunohistochemical analysis of paraffin-embedded human kidney tissue with Mouse anti-LAMP2 antibody (HA610072) at 1/5,000 dilution. The section was pre-treated using heat mediated antigen retrieval with Tris-EDTA buffer (pH 9.0) for 20 minutes. The tissues were blocked in 1% BSA for 20 minutes at room temperature, washed with ddH2O and PBS, and then probed with the primary antibody (HA610072) at 1/5,000 dilution for 1 hour at room temperature. The detection was performed using an HRP conjugated compact polymer system. DAB was used as the chromogen. Tissues were counterstained with hematoxylin and mounted with DPX.
quantity: 100μg
price: 649.00 USD
to the supplier
LAMP2a
HUABIO
catalog: HA750016
domestic rabbit monoclonal (SA46-01)
reactivity:
human
,
mouse
,
rat
application:
western blot
,
immunoprecipitation
,
immunohistochemistry - paraffin section
Western blot analysis of LAMP2a on different lysates with Rabbit anti-LAMP2a antibody (HA750016) at 1/5,000 dilution. Lane 1: SK-MEL-28 cell lysate (20 µg/Lane) Lane 2: HeLa cell lysate (20 µg/Lane) Lane 3: JAR cell lysate (20 µg/Lane) Lane 4: U-937 cell lysate (20 µg/Lane) Lane 5: RAW264.7 cell lysate (15 µg/Lane) Lane 6: NIH/3T3 cell lysate (15 µg/Lane) Lane 7: PC-12 cell lysate (15 µg/Lane) Lane 8: Mouse liver tissue lysate (30 µg/Lane) Lane 9: Rat liver tissue lysate (30 µg/Lane) Lane 10: Rat lung tissue lysate (30 µg/Lane) Predicted band size: 45 kDa Observed band size: 70-140 kDa Exposure time: Lane 1-4: 2 minutes 37 seconds; Lane 5-10: 5 minutes; 4-20% SDS-PAGE gel. Proteins were transferred to a PVDF membrane and blocked with 5% NFDM/TBST for 1 hour at room temperature. The primary antibody (HA750016) at 1/5,000 dilution was used in 5% NFDM/TBST at 4℃ overnight. Goat Anti-Rabbit IgG - HRP Secondary Antibody (HA1001) at 1:50,000 dilution was used for 1 hour at room temperature.
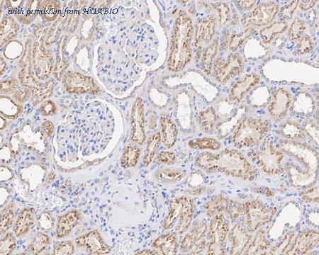
Immunohistochemical analysis of paraffin-embedded human kidney tissue with Rabbit anti-LAMP2a antibody (HA750016) at 1/500 dilution. The section was pre-treated using heat mediated antigen retrieval with Tris-EDTA buffer (pH 9.0) for 20 minutes. The tissues were blocked in 1% BSA for 20 minutes at room temperature, washed with ddH2O and PBS, and then probed with the primary antibody (HA750016) at 1/500 dilution for 1 hour at room temperature. The detection was performed using an HRP conjugated compact polymer system. DAB was used as the chromogen. Tissues were counterstained with hematoxylin and mounted with DPX.
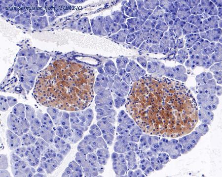
Immunohistochemical analysis of paraffin-embedded mouse pancreas tissue with Rabbit anti-LAMP2a antibody (HA750016) at 1/500 dilution. The section was pre-treated using heat mediated antigen retrieval with Tris-EDTA buffer (pH 9.0) for 20 minutes. The tissues were blocked in 1% BSA for 20 minutes at room temperature, washed with ddH2O and PBS, and then probed with the primary antibody (HA750016) at 1/500 dilution for 1 hour at room temperature. The detection was performed using an HRP conjugated compact polymer system. DAB was used as the chromogen. Tissues were counterstained with hematoxylin and mounted with DPX.
quantity: 100μl
price: 649.00 USD
to the supplier
LAMP2
HUABIO
catalog: M1603-5
mouse monoclonal (C9-9)
reactivity:
human
application:
western blot
,
immunohistochemistry - paraffin section
Western blot analysis of LAMP2 on different lysates with Mouse anti-LAMP2 antibody (M1603-5) at 1/1,000 dilution. Lane 1: HeLa cell lysate Lane 2: Jurkat cell lysate Lane 3: HepG2 cell lysate Lane 4: HUVEC cell lysate Lane 5: JAR cell lysate Lane 6: HEK-293 cell lysate Lane 7: THP-1 cell lysate Lysates/proteins at 20 µg/Lane. Predicted band size: 45 kDa Observed band size: 110 kDa Exposure time: 1 minute 2 seconds; ECL: K1801; 4-20% SDS-PAGE gel. Proteins were transferred to a PVDF membrane and blocked with 5% NFDM/TBST for 1 hour at room temperature. The primary antibody (M1603-5) at 1/1,000 dilution was used in 5% NFDM/TBST at 4℃ overnight. Goat Anti-Mouse IgG - HRP Secondary Antibody (HA1006) at 1/50,000 dilution was used for 1 hour at room temperature.
Immunocytochemistry analysis of HeLa cells labeling LAMP2 with Mouse anti-LAMP2 antibody (M1603-5) at 1/100 dilution. Cells were fixed in 4% paraformaldehyde for 20 minutes at room temperature, permeabilized with 0.1% Triton X-100 in PBS for 5 minutes at room temperature, then blocked with 1% BSA in 10% negative goat serum for 1 hour at room temperature. Cells were then incubated with Mouse anti-LAMP2 antibody (M1603-5) at 1/100 dilution in 1% BSA in PBST overnight at 4 ℃. Goat Anti-Mouse IgG H&L (iFluor™ 488, HA1125) was used as the secondary antibody at 1/1,000 dilution. PBS instead of the primary antibody was used as the secondary antibody only control. Nuclear DNA was labelled in blue with DAPI. beta Tubulin (ET1602-4, red) was stained at 1/100 dilution overnight at +4℃. Goat Anti-Rabbit IgG H&L (iFluor™ 594, HA1122) were used as the secondary antibody at 1/1,000 dilution.
Immunohistochemical analysis of paraffin-embedded human kidney tissue with Mouse anti-LAMP2 antibody (M1603-5) at 1/1,000 dilution. The section was pre-treated using heat mediated antigen retrieval with Tris-EDTA buffer (pH 9.0) for 20 minutes. The tissues were blocked in 1% BSA for 20 minutes at room temperature, washed with ddH2O and PBS, and then probed with the primary antibody (M1603-5) at 1/1,000 dilution for 1 hour at room temperature. The detection was performed using an HRP conjugated compact polymer system. DAB was used as the chromogen. Tissues were counterstained with hematoxylin and mounted with DPX.
quantity: 100μl
price: 360.00 USD
to the supplier