domestic rabbit monoclonal (SC52-09)
reactivity: human
application: western blot, flow cytometry, immunohistochemistry - paraffin section

Western blot analysis of Cytokeratin 16 on different lysates with Rabbit anti-Cytokeratin 16 antibody (ET1610-17) at 1/1,000 dilution.
Lane 1: HeLa cell lysate
Lane 2: HaCaT cell lysate
Lane 3: HepG2 cell lysate
Lane 4: MCF7 cell lysate
Lysates/proteins at 20 µg/Lane.
Predicted band size: 51 kDa
Observed band size: 51 kDa
Exposure time: 16 seconds; ECL: K1801;
4-20% SDS-PAGE gel.
Proteins were transferred to a PVDF membrane and blocked with 5% NFDM/TBST for 1 hour at room temperature. The primary antibody (ET1610-17) at 1/1,000 dilution was used in 5% NFDM/TBST at 4℃ overnight. Goat Anti-Rabbit IgG - HRP Secondary Antibody (HA1001) at 1/50,000 dilution was used for 1 hour at room temperature.

Immunocytochemistry analysis of A431 cells labeling Cytokeratin 16 with Rabbit anti-Cytokeratin 16 antibody (ET1610-17) at 1/100 dilution.
Cells were fixed in 4% paraformaldehyde for 15 minutes at room temperature, permeabilized with 0.1% Triton X-100 in PBS for 15 minutes at room temperature, then blocked with 1% BSA in 10% negative goat serum for 1 hour at room temperature. Cells were then incubated with Rabbit anti-Cytokeratin 16 antibody (ET1610-17) at 1/100 dilution in 1% BSA in PBST overnight at 4 ℃. Goat Anti-Rabbit IgG H&L (iFluor™ 488, HA1121) was used as the secondary antibody at 1/1,000 dilution. PBS instead of the primary antibody was used as the secondary antibody only control. Nuclear DNA was labelled in blue with DAPI.
Beta tubulin (M1305-2, red) was stained at 1/100 dilution overnight at +4℃. Goat Anti-Mouse IgG H&L (iFluor™ 594, HA1126) was used as the secondary antibody at 1/1,000 dilution.

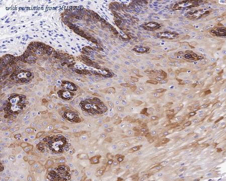
Immunohistochemical analysis of paraffin-embedded human esophagus tissue with Rabbit anti-Cytokeratin 16 antibody (ET1610-17) at 1/1,500 dilution.
The section was pre-treated using heat mediated antigen retrieval with Tris-EDTA buffer (pH 9.0) for 20 minutes. The tissues were blocked in 1% BSA for 20 minutes at room temperature, washed with ddH2O and PBS, and then probed with the primary antibody (ET1610-17) at 1/1,500 dilution for 1 hour at room temperature. The detection was performed using an HRP conjugated compact polymer system. DAB was used as the chromogen. Tissues were counterstained with hematoxylin and mounted with DPX.
quantity: 100μl
price: 385.00 USD
to the supplier