Sign in
Sign up
home
>
HUABIO
> HUABIO KRT15 antibody
Cytokeratin 15
HUABIO
catalog: ET1609-54
domestic rabbit monoclonal (ST04-85)
reactivity:
human
,
mouse
,
rat
application:
western blot
,
immunohistochemistry - paraffin section
Western blot analysis of Cytokeratin 15 on different lysates with Rabbit anti-Cytokeratin 15 antibody (ET1609-54) at 1/1,000 dilution. Lane 1: A431 cell lysate (20 µg/Lane) Lane 2: Mouse skin tissue lysate (40 µg/Lane) Predicted band size: 49 kDa Observed band size: 49 kDa Exposure time: 25 seconds; ECL: K1801; 4-20% SDS-PAGE gel. Proteins were transferred to a PVDF membrane and blocked with 5% NFDM/TBST for 1 hour at room temperature. The primary antibody (ET1609-54) at 1/1,000 dilution was used in 5% NFDM/TBST at 4℃ overnight. Goat Anti-Rabbit IgG - HRP Secondary Antibody (HA1001) at 1/50,000 dilution was used for 1 hour at room temperature.
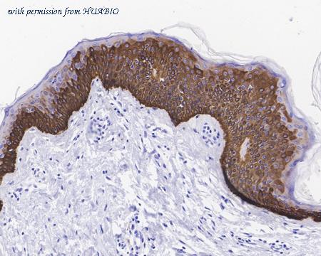
Immunohistochemical analysis of paraffin-embedded human skin tissue with Rabbit anti-Cytokeratin 15 antibody (ET1609-54) at 1/1,500 dilution. The section was pre-treated using heat mediated antigen retrieval with Tris-EDTA buffer (pH 9.0) for 20 minutes. The tissues were blocked in 1% BSA for 20 minutes at room temperature, washed with ddH2O and PBS, and then probed with the primary antibody (ET1609-54) at 1/1,500 dilution for 1 hour at room temperature. The detection was performed using an HRP conjugated compact polymer system. DAB was used as the chromogen. Tissues were counterstained with hematoxylin and mounted with DPX.
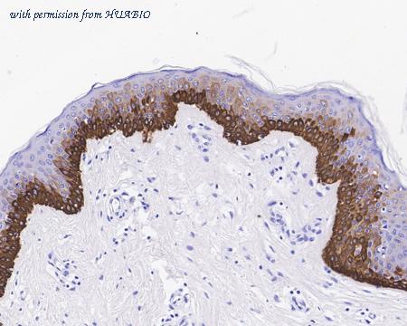
Immunohistochemical analysis of paraffin-embedded human skin tissue with Rabbit anti-Cytokeratin 15 antibody (ET1609-54) at 1/1,500 dilution. The section was not undergone antigen retrieval. The tissues were blocked in 1% BSA for 20 minutes at room temperature, washed with ddH2O and PBS, and then probed with the primary antibody (ET1609-54) at 1/1,500 dilution for 1 hour at room temperature. The detection was performed using an HRP conjugated compact polymer system. DAB was used as the chromogen. Tissues were counterstained with hematoxylin and mounted with DPX.
quantity: 100μl
price: 385.00 USD
to the supplier
pan Cytokeratin
HUABIO
catalog: HA600111F
mouse monoclonal (PDH0-10)
reactivity:
human
Immunofluorescence analysis of paraffin-embedded human small intestine tissue labeling pan Cytokeratin with Mouse anti-pan Cytokeratin antibody (HA600111F) at 1/200 dilution. The section was pre-treated using heat mediated antigen retrieval with Tris-EDTA buffer (pH 9.0) for 20 minutes. The tissues were blocked in 10% negative goat serum for 1 hour at room temperature, washed with PBS, and then probed with the primary antibody (HA600111F, green) at 1/200 dilution overnight at 4 ℃, washed with PBS. Nuclei were counterstained with DAPI (blue).
Immunofluorescence analysis of paraffin-embedded human skin tissue labeling pan Cytokeratin with Mouse anti-pan Cytokeratin antibody (HA600111F) at 1/200 dilution. The section was pre-treated using heat mediated antigen retrieval with Tris-EDTA buffer (pH 9.0) for 20 minutes. The tissues were blocked in 10% negative goat serum for 1 hour at room temperature, washed with PBS, and then probed with the primary antibody (HA600111F, green) at 1/200 dilution overnight at 4 ℃, washed with PBS. Nuclei were counterstained with DAPI (blue).
Immunofluorescence analysis of paraffin-embedded human skin tissue labeling pan Cytokeratin with Mouse anti-pan Cytokeratin antibody (HA600111F) at 1/200 dilution. The section was pre-treated using heat mediated antigen retrieval with Tris-EDTA buffer (pH 9.0) for 20 minutes. The tissues were blocked in 10% negative goat serum for 1 hour at room temperature, washed with PBS, and then probed with the primary antibody (HA600111F, green) at 1/200 dilution overnight at 4 ℃, washed with PBS. Nuclei were counterstained with DAPI (blue).
quantity: 100μl
price: 360.00 USD
to the supplier
Cytokeratin 15
HUABIO
catalog: HA720122F
domestic rabbit monoclonal (ST04-85)
reactivity:
human
,
mouse
,
rat
Immunofluorescence analysis of paraffin-embedded human skin tissue labeling Cytokeratin 15 (HA720122F). The section was pre-treated using heat mediated antigen retrieval with Tris-EDTA buffer (pH 9.0) for 20 minutes. The tissues were blocked in 10% negative goat serum for 1 hour at room temperature, washed with PBS. And then probed with the primary antibodies Cytokeratin 15 (HA720122F, red) at 1/200 dilution at +4℃ overnight, washed with PBS. Nuclei were counterstained with DAPI (blue).
Immunofluorescence analysis of paraffin-embedded rat skin tissue labeling Cytokeratin 15 (HA720122F). The section was pre-treated using heat mediated antigen retrieval with Tris-EDTA buffer (pH 9.0) for 20 minutes. The tissues were blocked in 10% negative goat serum for 1 hour at room temperature, washed with PBS. And then probed with the primary antibodies Cytokeratin 15 (HA720122F, red) at 1/200 dilution at +4℃ overnight, washed with PBS. Nuclei were counterstained with DAPI (blue).
Immunofluorescence analysis of paraffin-embedded human skin tissue labeling Cytokeratin 15 (HA720122F) and Vimentin (EM0401). The section was pre-treated using heat mediated antigen retrieval with Tris-EDTA buffer (pH 9.0) for 20 minutes. The tissues were blocked in 10% negative goat serum for 1 hour at room temperature, washed with PBS. And then probed with the primary antibodies Cytokeratin 15 (HA720122F, red) at 1/100 dilution and Vimentin (EM0401, green) at 1/400 dilution at +4℃ overnight, washed with PBS. Goat Anti-Mouse IgG H&L (iFluor™ 488, HA1125) were used as the secondary antibody at 1/1,000 dilution. Nuclei were counterstained with DAPI (blue).
quantity: 100μl
price: 429.00 USD
to the supplier
Cytokeratin 15
HUABIO
catalog: HA720136F
domestic rabbit monoclonal (ST04-85)
reactivity:
human
,
mouse
,
rat
application:
flow cytometry
Immunofluorescence analysis of paraffin-embedded human breast tissue labeling Cytokeratin 15 (HA720136F) and Vimentin (EM0401). The section was pre-treated using heat mediated antigen retrieval with Tris-EDTA buffer (pH 9.0) for 20 minutes. The tissues were blocked in 10% negative goat serum for 1 hour at room temperature, washed with PBS. And then probed with the primary antibodies Cytokeratin 15 (HA720136F, green) at 1/400 dilution and Vimentin (EM0401, red) at 1/1,000 dilution overnight at 4 ℃, washed with PBS. iFluor™ 594 conjugate-Goat anti-Mouse IgG (HA1126) was used as the secondary antibody at 1/1,000 dilution. DAPI was used as nuclear counterstain.
Immunocytochemistry analysis of MCF-7 cells labeling Cytokeratin 15 with Rabbit anti-Cytokeratin 15 antibody (HA720136F) at 1/100 dilution. Cells were fixed in 100% methanol for 10 minutes, permeabilized with 0.1% Triton X-100 in PBS for 15 minutes, and then blocked with 1% BSA for 30 minutes at room temperature. Cells were then incubated with Rabbit anti-Cytokeratin 15 antibody (HA720136F) at 1/100 dilution in 1% BSA overnight at 4 ℃. Nuclear DNA was labelled in blue with DAPI. Beta tubulin (M1305-2, red) was stained at 1/200 dilution overnight at +4℃. Goat Anti-Mouse IgG H&L (iFluor™ 594, HA1126) were used as the secondary antibody at 1/800 dilution.
Immunofluorescence analysis of paraffin-embedded human skin tissue labeling Cytokeratin 15 (HA720136F), Cytokeratin 10 (HA720146F) and Vimentin (EM0401). The section was pre-treated using heat mediated antigen retrieval with Tris-EDTA buffer (pH 9.0) for 20 minutes. The tissues were blocked in 10% negative goat serum for 1 hour at room temperature, washed with PBS. And then probed with the primary antibodies Cytokeratin 15 (HA720136F, green) at 1/200 dilution, Cytokeratin 10 (HA720146F, red) at 1/50 dilution and Vimentin (EM0401, magenta) at 1/1,000 dilution overnight at 4 ℃, washed with PBS. Alexa Fluor® 555 conjugate-Goat anti-Mouse IgG was used as the secondary antibody at 1/1,000 dilution. DAPI was used as nuclear counterstain.
quantity: 100μl
price: 429.00 USD
to the supplier
Cytokeratin 15
HUABIO
catalog: HA720148F
domestic rabbit monoclonal (ST04-85)
reactivity:
human
,
mouse
,
rat
Immunofluorescence analysis of paraffin-embedded human skin tissue labeling Cytokeratin 15 (HA720148F) and Vimentin (EM0401). The section was pre-treated using heat mediated antigen retrieval with Tris-EDTA buffer (pH 9.0) for 20 minutes. The tissues were blocked in 10% negative goat serum for 1 hour at room temperature, washed with PBS. And then probed with the primary antibodies Cytokeratin 15 (HA720148F, red) at 1/200 dilution and Vimentin (EM0401, green) at 1/1,000 dilution overnight at 4 ℃, washed with PBS. iFluor™ 488 conjugate-Goat anti-Mouse IgG (HA1125) was used as the secondary antibody at 1/1,000 dilution. DAPI was used as nuclear counterstain.
quantity: 100μl
price: 429.00 USD
to the supplier
Cytokeratin 15
HUABIO
catalog: HA750182
domestic rabbit monoclonal (ST04-85)
reactivity:
human
,
mouse
,
rat
application:
western blot
,
immunohistochemistry - paraffin section
Western blot analysis of Cytokeratin 15 on different lysates with Rabbit anti-Cytokeratin 15 antibody (HA750182) at 1/1,000 dilution. Lane 1: A431 cell lysate (20 µg/Lane) Lane 2: Mouse skin tissue lysate (40 µg/Lane) Predicted band size: 49 kDa Observed band size: 49 kDa Exposure time: 25 seconds; ECL: K1801; 4-20% SDS-PAGE gel. Proteins were transferred to a PVDF membrane and blocked with 5% NFDM/TBST for 1 hour at room temperature. The primary antibody (HA750182) at 1/1,000 dilution was used in 5% NFDM/TBST at 4℃ overnight. Goat Anti-Rabbit IgG - HRP Secondary Antibody (HA1001) at 1/50,000 dilution was used for 1 hour at room temperature.
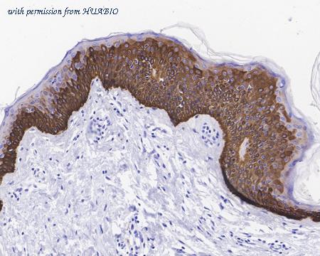
Immunohistochemical analysis of paraffin-embedded human skin tissue with Rabbit anti-Cytokeratin 15 antibody (HA750182) at 1/1,500 dilution. The section was pre-treated using heat mediated antigen retrieval with Tris-EDTA buffer (pH 9.0) for 20 minutes. The tissues were blocked in 1% BSA for 20 minutes at room temperature, washed with ddH2O and PBS, and then probed with the primary antibody (HA750182) at 1/1,500 dilution for 1 hour at room temperature. The detection was performed using an HRP conjugated compact polymer system. DAB was used as the chromogen. Tissues were counterstained with hematoxylin and mounted with DPX.
Immunohistochemical analysis of paraffin-embedded human skin tissue with Rabbit anti-Cytokeratin 15 antibody (HA750182) at 1/1,500 dilution. The section was not undergone antigen retrieval. The tissues were blocked in 1% BSA for 20 minutes at room temperature, washed with ddH2O and PBS, and then probed with the primary antibody (HA750182) at 1/1,500 dilution for 1 hour at room temperature. The detection was performed using an HRP conjugated compact polymer system. DAB was used as the chromogen. Tissues were counterstained with hematoxylin and mounted with DPX.
quantity: 100μl
price: 649.00 USD
to the supplier