Sign in
Sign up
home
>
HUABIO
> HUABIO cytokeratin 14 antibody
Cytokeratin 14
HUABIO
catalog: EM1901-31
mouse monoclonal (A2C12)
reactivity:
human
application:
western blot
,
flow cytometry
,
immunohistochemistry - paraffin section
Western blot analysis of Cytokeratin 14 on A431 cell lysates. Proteins were transferred to a PVDF membrane and blocked with 5% BSA in PBS for 1 hour at room temperature. The primary antibody (EM1901-31, 1/500) was used in 5% BSA at room temperature for 2 hours. Goat Anti-Mouse IgG - HRP Secondary Antibody (HA1006) at 1:5,000 dilution was used for 1 hour at room temperature.
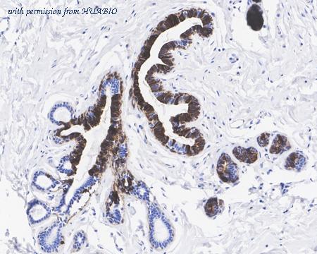
Immunohistochemical analysis of paraffin-embedded human tonsil tissue using anti-Cytokeratin 14 antibody. The section was pre-treated using heat mediated antigen retrieval with Tris-EDTA buffer (pH 8.0-8.4) for 20 minutes.The tissues were blocked in 5% BSA for 30 minutes at room temperature, washed with ddH2O and PBS, and then probed with the primary antibody (EM1901-31, 1/200) for 30 minutes at room temperature. The detection was performed using an HRP conjugated compact polymer system. DAB was used as the chromogen. Tissues were counterstained with hematoxylin and mounted with DPX.
Immunohistochemical analysis of paraffin-embedded human skin tissue using anti-Cytokeratin 14 antibody. The section was pre-treated using heat mediated antigen retrieval with Tris-EDTA buffer (pH 8.0-8.4) for 20 minutes.The tissues were blocked in 5% BSA for 30 minutes at room temperature, washed with ddH2O and PBS, and then probed with the primary antibody (EM1901-31, 1/200) for 30 minutes at room temperature. The detection was performed using an HRP conjugated compact polymer system. DAB was used as the chromogen. Tissues were counterstained with hematoxylin and mounted with DPX.
quantity: 100μl
price: 360.00 USD
to the supplier
Cytokeratin 14
HUABIO
catalog: EM1901-32
mouse monoclonal (A2C11)
reactivity:
human
application:
western blot
,
immunohistochemistry - paraffin section
Western blot analysis of Cytokeratin 14 on different lysates with Mouse anti-Cytokeratin 14 antibody (EM1901-32) at 1/1,000 dilution. Lane 1: A431 cell lysate Lane 2: MCF7 cell lysate (negative) Lane 3: PANC-1 cell lysate (negative) Lysates/proteins at 20 µg/Lane. Predicted band size: 52 kDa Observed band size: 52 kDa Exposure time: 1 minute 59 seconds; 4-20% SDS-PAGE gel. Proteins were transferred to a PVDF membrane and blocked with 5% NFDM/TBST for 1 hour at room temperature. The primary antibody (EM1901-32) at 1/1,000 dilution was used in 5% NFDM/TBST at 4℃ overnight. Goat Anti-Mouse IgG - HRP Secondary Antibody (HA1006) at 1/50,000 dilution was used for 1 hour at room temperature.
Immunocytochemistry analysis of A431 (positive) and PANC-1 (negative) labeling Cytokeratin 14 with Mouse anti-Cytokeratin 14 antibody (EM1901-32) at 1/100 dilution. Cells were fixed in 4% paraformaldehyde for 20 minutes at room temperature, permeabilized with 0.1% Triton X-100 in PBS for 5 minutes at room temperature, then blocked with 1% BSA in 10% negative goat serum for 1 hour at room temperature. Cells were then incubated with Mouse anti-Cytokeratin 14 antibody (EM1901-32) at 1/100 dilution in 1% BSA in PBST overnight at 4 ℃. Goat Anti-Mouse IgG H&L (iFluor™ 488, HA1125) was used as the secondary antibody at 1/1,000 dilution. PBS instead of the primary antibody was used as the secondary antibody only control. Nuclear DNA was labelled in blue with DAPI. beta Tubulin (ET1602-4, red) was stained at 1/100 dilution overnight at +4℃. Goat Anti-Rabbit IgG H&L (iFluor™ 594, HA1122) were used as the secondary antibody at 1/1,000 dilution.
Immunohistochemical analysis of paraffin-embedded human lung squamous carcinoma tissue with Mouse anti-Cytokeratin 14 antibody (EM1901-32) at 1/1,000 dilution. The section was pre-treated using heat mediated antigen retrieval with Tris-EDTA buffer (pH 9.0) for 20 minutes. The tissues were blocked in 1% BSA for 20 minutes at room temperature, washed with ddH2O and PBS, and then probed with the primary antibody (EM1901-32) at 1/1,000 dilution for 1 hour at room temperature. The detection was performed using an HRP conjugated compact polymer system. DAB was used as the chromogen. Tissues were counterstained with hematoxylin and mounted with DPX.
quantity: 100μl
price: 360.00 USD
to the supplier
Cytokeratin 14
HUABIO
catalog: EM1901-33
mouse monoclonal (A2C10)
reactivity:
human
,
mouse
,
rat
application:
western blot
,
immunohistochemistry - paraffin section
Western blot analysis of Cytokeratin 14 on different lysates with Mouse anti-Cytokeratin 14 antibody (EM1901-33) at 1/1,000 dilution. Lane 1: A431 cell lysate (20 µg/Lane) Lane 2: PANC-1 cell lysate (negative) (20 µg/Lane) Lane 3: Mouse skin tissue lysate (40 µg/Lane) Lane 4: Rat skin tissue lysate (40 µg/Lane) Predicted band size: 52 kDa Observed band size: 52 kDa Exposure time: 1 minute; 4-20% SDS-PAGE gel. Proteins were transferred to a PVDF membrane and blocked with 5% NFDM/TBST for 1 hour at room temperature. The primary antibody (EM1901-33) at 1/1,000 dilution was used in 5% NFDM/TBST at 4℃ overnight. Goat Anti-Mouse IgG - HRP Secondary Antibody (HA1006) at 1/50,000 dilution was used for 1 hour at room temperature.
Immunocytochemistry analysis of A431 (positive) and PANC-1 (negative) labeling Cytokeratin 14 with Mouse anti-Cytokeratin 14 antibody (EM1901-33) at 1/100 dilution. Cells were fixed in 4% paraformaldehyde for 20 minutes at room temperature, permeabilized with 0.1% Triton X-100 in PBS for 5 minutes at room temperature, then blocked with 1% BSA in 10% negative goat serum for 1 hour at room temperature. Cells were then incubated with Mouse anti-Cytokeratin 14 antibody (EM1901-33) at 1/100 dilution in 1% BSA in PBST overnight at 4 ℃. Goat Anti-Mouse IgG H&L (iFluor™ 488, HA1125) was used as the secondary antibody at 1/1,000 dilution. PBS instead of the primary antibody was used as the secondary antibody only control. Nuclear DNA was labelled in blue with DAPI. beta Tubulin (ET1602-4, red) was stained at 1/100 dilution overnight at +4℃. Goat Anti-Rabbit IgG H&L (iFluor™ 594, HA1122) were used as the secondary antibody at 1/1,000 dilution.
Immunohistochemical analysis of paraffin-embedded human breast tissue with Mouse anti-Cytokeratin 14 antibody (EM1901-33) at 1/1,000 dilution. The section was pre-treated using heat mediated antigen retrieval with Tris-EDTA buffer (pH 9.0) for 20 minutes. The tissues were blocked in 1% BSA for 20 minutes at room temperature, washed with ddH2O and PBS, and then probed with the primary antibody (EM1901-33) at 1/1,000 dilution for 1 hour at room temperature. The detection was performed using an HRP conjugated compact polymer system. DAB was used as the chromogen. Tissues were counterstained with hematoxylin and mounted with DPX.
quantity: 100μl
price: 360.00 USD
to the supplier
Cytokeratin 14
HUABIO
catalog: ER1901-08
domestic rabbit polyclonal
reactivity:
human
,
rat
application:
western blot
,
immunohistochemistry - paraffin section
Western blot analysis of Cytokeratin 14 on rat skin tissue lysate. Proteins were transferred to a PVDF membrane and blocked with 5% BSA in PBS for 1 hour at room temperature. The primary antibody was used at a 1:500 dilution in 5% BSA at room temperature for 2 hours. Goat Anti-Rabbit IgG - HRP Secondary Antibody (HA1001) at 1:5,000 dilution was used for 1 hour at room temperature.
Western blot analysis of Cytokeratin 14 on A431 cell lysate. Proteins were transferred to a PVDF membrane and blocked with 5% BSA in PBS for 1 hour at room temperature. The primary antibody was used at a 1:5,000 dilution in 5% BSA at room temperature for 2 hours. Goat Anti-Rabbit IgG - HRP Secondary Antibody (HA1001) at 1:5,000 dilution was used for 1 hour at room temperature.
Immunohistochemical analysis of paraffin-embedded human skin tissue using anti-Cytokeratin 14 antibody. The section was pre-treated using heat mediated antigen retrieval with Tris-EDTA buffer (pH 8.0-8.4) for 20 minutes.The tissues were blocked in 5% BSA for 30 minutes at room temperature, washed with ddH2O and PBS, and then probed with the primary antibody (ER1901-08, 1/200 dilution) for 30 minutes at room temperature and detected using an HRP conjugated compact polymer system. DAB was used as the chromogen. Counter stained with hematoxylin and mounted with DPX.
quantity: 100μl
price: 330 USD
to the supplier
Cytokeratin 14
HUABIO
catalog: ET1610-42
domestic rabbit monoclonal (SC65-06)
reactivity:
human
,
mouse
,
rat
application:
western blot
,
flow cytometry
,
immunohistochemistry - paraffin section
Western blot analysis of Cytokeratin 14 on different lysates with Rabbit anti-Cytokeratin 14 antibody (ET1610-42) at 1/2,000 dilution. Lane 1: A431 cell lysate (15 µg/Lane) Lane 2: PANC-1 cell lysate (negative) (15 µg/Lane) Lane 3: NIH/3T3 cell lysate (negative) (15 µg/Lane) Lane 4: PC-12 cell lysate (negative) (15 µg/Lane) Lane 5: Mouse skin tissue lysate (20 µg/Lane) Predicted band size: 51 kDa Observed band size: 51 kDa Exposure time: 24 seconds; 4-20% SDS-PAGE gel. Proteins were transferred to a PVDF membrane and blocked with 5% NFDM/TBST for 1 hour at room temperature. The primary antibody (ET1610-42) at 1/2,000 dilution was used in 5% NFDM/TBST at 4℃ overnight. Goat Anti-Rabbit IgG - HRP Secondary Antibody (HA1001) at 1/50,000 dilution was used for 1 hour at room temperature.
Immunocytochemistry analysis of A431 cells labeling Cytokeratin 14 with Rabbit anti-Cytokeratin 14 antibody (ET1610-42) at 1/500 dilution. Cells were fixed in 4% paraformaldehyde for 20 minutes at room temperature, permeabilized with 0.1% Triton X-100 in PBS for 5 minutes at room temperature, then blocked with 1% BSA in 10% negative goat serum for 1 hour at room temperature. Cells were then incubated with Rabbit anti-Cytokeratin 14 antibody (ET1610-42) at 1/500 dilution in 1% BSA in PBST overnight at 4 ℃. Goat Anti-Rabbit IgG H&L (iFluor™ 488, HA1121) was used as the secondary antibody at 1/1,000 dilution. PBS instead of the primary antibody was used as the secondary antibody only control. Nuclear DNA was labelled in blue with DAPI. Beta tubulin (M1305-2, red) was stained at 1/100 dilution overnight at +4℃. Goat Anti-Mouse IgG H&L (iFluor™ 594, HA1126) was used as the secondary antibody at 1/1,000 dilution.
ICC staining of Cytokeratin 14 in B16F1 cells (green). Formalin fixed cells were permeabilized with 0.1% Triton X-100 in TBS for 10 minutes at room temperature and blocked with 1% Blocker BSA for 15 minutes at room temperature. Cells were probed with the primary antibody (ET1610-42, 1/50) for 1 hour at room temperature, washed with PBS. Alexa Fluor®488 Goat anti-Rabbit IgG was used as the secondary antibody at 1/1,000 dilution. The nuclear counter stain is DAPI (blue).
quantity: 100μl
price: 385.00 USD
to the supplier
pan Cytokeratin
HUABIO
catalog: HA600111F
mouse monoclonal (PDH0-10)
reactivity:
human
Immunofluorescence analysis of paraffin-embedded human small intestine tissue labeling pan Cytokeratin with Mouse anti-pan Cytokeratin antibody (HA600111F) at 1/200 dilution. The section was pre-treated using heat mediated antigen retrieval with Tris-EDTA buffer (pH 9.0) for 20 minutes. The tissues were blocked in 10% negative goat serum for 1 hour at room temperature, washed with PBS, and then probed with the primary antibody (HA600111F, green) at 1/200 dilution overnight at 4 ℃, washed with PBS. Nuclei were counterstained with DAPI (blue).
Immunofluorescence analysis of paraffin-embedded human skin tissue labeling pan Cytokeratin with Mouse anti-pan Cytokeratin antibody (HA600111F) at 1/200 dilution. The section was pre-treated using heat mediated antigen retrieval with Tris-EDTA buffer (pH 9.0) for 20 minutes. The tissues were blocked in 10% negative goat serum for 1 hour at room temperature, washed with PBS, and then probed with the primary antibody (HA600111F, green) at 1/200 dilution overnight at 4 ℃, washed with PBS. Nuclei were counterstained with DAPI (blue).
Immunofluorescence analysis of paraffin-embedded human skin tissue labeling pan Cytokeratin with Mouse anti-pan Cytokeratin antibody (HA600111F) at 1/200 dilution. The section was pre-treated using heat mediated antigen retrieval with Tris-EDTA buffer (pH 9.0) for 20 minutes. The tissues were blocked in 10% negative goat serum for 1 hour at room temperature, washed with PBS, and then probed with the primary antibody (HA600111F, green) at 1/200 dilution overnight at 4 ℃, washed with PBS. Nuclei were counterstained with DAPI (blue).
quantity: 100μl
price: 360.00 USD
to the supplier
Cytokeratin 14
HUABIO
catalog: HA601259
mouse monoclonal (A2C11-R)
reactivity:
human
,
mouse
,
rat
application:
western blot
,
immunohistochemistry - paraffin section
Western blot analysis of Cytokeratin 14 on different lysates with Mouse anti-Cytokeratin 14 antibody (HA601259) at 1/1,000 dilution. Lane 1: A431 cell lysate (20 µg/Lane) Lane 2: MCF7 cell lysate (negative) (20 µg/Lane) Lane 3: PANC-1 cell lysate (negative) (20 µg/Lane) Lane 4: Mouse skin tissue lysate (40 µg/Lane) Lane 5: Rat skin tissue lysate (40 µg/Lane) Predicted band size: 52 kDa Observed band size: 52 kDa Exposure time: 18 seconds; 4-20% SDS-PAGE gel. Proteins were transferred to a PVDF membrane and blocked with 5% NFDM/TBST for 1 hour at room temperature. The primary antibody (HA601259) at 1/1,000 dilution was used in 5% NFDM/TBST at 4℃ overnight. Goat Anti-Mouse IgG - HRP Secondary Antibody (HA1006) at 1/50,000 dilution was used for 1 hour at room temperature.
Immunocytochemistry analysis of A431 (positive) and PANC-1 (negative) labeling Cytokeratin 14 with Mouse anti-Cytokeratin 14 antibody (HA601259) at 1/100 dilution. Cells were fixed in 4% paraformaldehyde for 20 minutes at room temperature, permeabilized with 0.1% Triton X-100 in PBS for 5 minutes at room temperature, then blocked with 1% BSA in 10% negative goat serum for 1 hour at room temperature. Cells were then incubated with Mouse anti-Cytokeratin 14 antibody (HA601259) at 1/100 dilution in 1% BSA in PBST overnight at 4 ℃. Goat Anti-Mouse IgG H&L (iFluor™ 488, HA1125) was used as the secondary antibody at 1/1,000 dilution. PBS instead of the primary antibody was used as the secondary antibody only control. Nuclear DNA was labelled in blue with DAPI. beta Tubulin (ET1602-4, red) was stained at 1/100 dilution overnight at +4℃. Goat Anti-Rabbit IgG H&L (iFluor™ 594, HA1122) were used as the secondary antibody at 1/1,000 dilution.
Immunohistochemical analysis of paraffin-embedded human breast tissue with Mouse anti-Cytokeratin 14 antibody (HA601259) at 1/1,000 dilution. The section was pre-treated using heat mediated antigen retrieval with Tris-EDTA buffer (pH 9.0) for 20 minutes. The tissues were blocked in 1% BSA for 20 minutes at room temperature, washed with ddH2O and PBS, and then probed with the primary antibody (HA601259) at 1/1,000 dilution for 1 hour at room temperature. The detection was performed using an HRP conjugated compact polymer system. DAB was used as the chromogen. Tissues were counterstained with hematoxylin and mounted with DPX.
quantity: 100μl
price: 360.00 USD
to the supplier
Cytokeratin 14
HUABIO
catalog: HA601323
mouse monoclonal (A2C10-R)
reactivity:
human
,
mouse
,
rat
application:
western blot
,
immunohistochemistry - paraffin section
Western blot analysis of Cytokeratin 14 on different lysates with Mouse anti-Cytokeratin 14 antibody (HA601323) at 1/1,000 dilution. Lane 1: A431 cell lysate (20 µg/Lane) Lane 2: PANC-1 cell lysate (negative) (20 µg/Lane) Lane 3: Mouse skin tissue lysate (40 µg/Lane) Lane 4: Rat skin tissue lysate (40 µg/Lane) Predicted band size: 52 kDa Observed band size: 52 kDa Exposure time: 1 minute; 4-20% SDS-PAGE gel. Proteins were transferred to a PVDF membrane and blocked with 5% NFDM/TBST for 1 hour at room temperature. The primary antibody (HA601323) at 1/1,000 dilution was used in 5% NFDM/TBST at 4℃ overnight. Goat Anti-Mouse IgG - HRP Secondary Antibody (HA1006) at 1/50,000 dilution was used for 1 hour at room temperature.
Immunocytochemistry analysis of A431 (positive) and PANC-1 (negative) labeling Cytokeratin 14 with Mouse anti-Cytokeratin 14 antibody (HA601323) at 1/100 dilution. Cells were fixed in 4% paraformaldehyde for 20 minutes at room temperature, permeabilized with 0.1% Triton X-100 in PBS for 5 minutes at room temperature, then blocked with 1% BSA in 10% negative goat serum for 1 hour at room temperature. Cells were then incubated with Mouse anti-Cytokeratin 14 antibody (HA601323) at 1/100 dilution in 1% BSA in PBST overnight at 4 ℃. Goat Anti-Mouse IgG H&L (iFluor™ 488, HA1125) was used as the secondary antibody at 1/1,000 dilution. PBS instead of the primary antibody was used as the secondary antibody only control. Nuclear DNA was labelled in blue with DAPI. beta Tubulin (ET1602-4, red) was stained at 1/100 dilution overnight at +4℃. Goat Anti-Rabbit IgG H&L (iFluor™ 594, HA1122) were used as the secondary antibody at 1/1,000 dilution.
Immunohistochemical analysis of paraffin-embedded human breast tissue with Mouse anti-Cytokeratin 14 antibody (HA601323) at 1/1,000 dilution. The section was pre-treated using heat mediated antigen retrieval with Tris-EDTA buffer (pH 9.0) for 20 minutes. The tissues were blocked in 1% BSA for 20 minutes at room temperature, washed with ddH2O and PBS, and then probed with the primary antibody (HA601323) at 1/1,000 dilution for 1 hour at room temperature. The detection was performed using an HRP conjugated compact polymer system. DAB was used as the chromogen. Tissues were counterstained with hematoxylin and mounted with DPX.
quantity: 100μl
price: 360.00 USD
to the supplier
Cytokeratin 14
HUABIO
catalog: HA720117F
domestic rabbit monoclonal (SC65-06)
reactivity:
human
,
mouse
,
rat
Immunofluorescence analysis of paraffin-embedded rat skin tissue labeling Cytokeratin 14 (HA720117F). The section was pre-treated using heat mediated antigen retrieval with Tris-EDTA buffer (pH 9.0) for 20 minutes. The tissues were blocked in 10% negative goat serum for 1 hour at room temperature, washed with PBS. And then probed with the primary antibodies Cytokeratin 14 (HA720117F, red) at 1/200 dilution at +4℃ overnight, washed with PBS. Nuclei were counterstained with DAPI (blue).
Immunofluorescence analysis of paraffin-embedded rat skin tissue labeling Cytokeratin 14 (HA720117F) and Vimentin (EM0401). The section was pre-treated using heat mediated antigen retrieval with Tris-EDTA buffer (pH 9.0) for 20 minutes. The tissues were blocked in 10% negative goat serum for 1 hour at room temperature, washed with PBS. And then probed with the primary antibodies Cytokeratin 14 (HA720117F, red) at 1/100 dilution and Vimentin (EM0401, green) at 1/400 dilution at +4℃ overnight, washed with PBS. Goat Anti-Mouse IgG H&L (iFluor™ 488, HA1125) were used as the secondary antibody at 1/1,000 dilution. Nuclei were counterstained with DAPI (blue).
quantity: 100μl
price: 429.00 USD
to the supplier
Cytokeratin 14
HUABIO
catalog: HA720135F
domestic rabbit monoclonal (SC65-06)
reactivity:
human
,
mouse
,
rat
Immunofluorescence analysis of paraffin-embedded rat skin tissue labeling Cytokeratin 14 (HA720135F) and Vimentin (EM0401). The section was pre-treated using heat mediated antigen retrieval with Tris-EDTA buffer (pH 9.0) for 20 minutes. The tissues were blocked in 10% negative goat serum for 1 hour at room temperature, washed with PBS. And then probed with the primary antibodies Cytokeratin 14 (HA720135F, green) at 1/100 dilution and Vimentin (EM0401, red) at 1/1,000 dilution overnight at 4 ℃, washed with PBS. iFluor™ 594 conjugate-Goat anti-Mouse IgG (HA1126) was used as the secondary antibody at 1/1,000 dilution. DAPI was used as nuclear counterstain.
Immunofluorescence analysis of paraffin-embedded mouse skin tissue labeling Cytokeratin 14 with Rabbit anti-Cytokeratin 14 antibody (HA720135F) at 1/500 dilution. The section was pre-treated using heat mediated antigen retrieval with sodium citrate buffer (pH 6.0) (high pressure) for 2 minutes. The tissues were blocked in 10% negative goat serum for 1 hour at room temperature, washed with PBS, and then probed with the primary antibody (HA720135F, green) at 1/500 dilution overnight at 4 ℃, washed with PBS. Nuclei were counterstained with DAPI (blue).
Immunofluorescence analysis of paraffin-embedded rat skin tissue labeling Cytokeratin 14 with Rabbit anti-Cytokeratin 14 antibody (HA720135F) at 1/500 dilution. The section was pre-treated using heat mediated antigen retrieval with sodium citrate buffer (pH 6.0) (high pressure) for 2 minutes. The tissues were blocked in 10% negative goat serum for 1 hour at room temperature, washed with PBS, and then probed with the primary antibody (HA720135F, green) at 1/500 dilution overnight at 4 ℃, washed with PBS. Nuclei were counterstained with DAPI (blue).
quantity: 100μl
price: 429.00 USD
to the supplier
Cytokeratin 14
HUABIO
catalog: HA720147F
domestic rabbit monoclonal (SC65-06)
reactivity:
human
,
mouse
,
rat
Immunocytochemistry analysis of A431 cells labeling Cytokeratin 14 with Rabbit anti-Cytokeratin 14 antibody (HA720147F) at 1/100 dilution. Cells were fixed in 100% methanol for 10 minutes, permeabilized with 0.1% Triton X-100 in PBS for 15 minutes, and then blocked with 2% normal goat serum for 1 hour at 37℃. Cells were then incubated with Rabbit anti-Cytokeratin 14 antibody (HA720147F, red) at 1/100 dilution in 2% normal goat serum overnight at 4 ℃. Nuclear DNA was labelled in blue with DAPI. Beta tubulin (M1305-2, green) was stained at 1/200 dilution overnight at +4℃. Goat Anti-Mouse IgG H&L (iFluor™ 488, HA1125) was used as the secondary antibody at 1/800 dilution.
Immunofluorescence analysis of paraffin-embedded rat skin tissue labeling Cytokeratin 14 (HA720147F), Cytokeratin 10 (HA720134F) and Vimentin (EM0401). The section was pre-treated using heat mediated antigen retrieval with Tris-EDTA buffer (pH 9.0) for 20 minutes. The tissues were blocked in 10% negative goat serum for 1 hour at room temperature, washed with PBS. And then probed with the primary antibodies Cytokeratin 14 (HA720147F, red) at 1/400 dilution, Cytokeratin 10 (HA720134F, green) at 1/400 dilution and Vimentin (EM0401, yellow) at 1/1,000 dilution overnight at 4 ℃, washed with PBS. Alexa Fluor® 555 conjugate-Goat anti-Mouse IgG (HA1125) was used as the secondary antibody at 1/1,000 dilution. DAPI was used as nuclear counterstain.
quantity: 100μl
price: 429.00 USD
to the supplier
Cytokeratin 14
HUABIO
catalog: HA750216
domestic rabbit monoclonal (SC65-06)
reactivity:
human
,
mouse
,
rat
application:
western blot
,
flow cytometry
,
immunohistochemistry - paraffin section
Western blot analysis of Cytokeratin 14 on different lysates with Rabbit anti-Cytokeratin 14 antibody (HA750216) at 1/2,000 dilution. Lane 1: A431 cell lysate (15 µg/Lane) Lane 2: PANC-1 cell lysate (negative) (15 µg/Lane) Lane 3: NIH/3T3 cell lysate (negative) (15 µg/Lane) Lane 4: PC-12 cell lysate (negative) (15 µg/Lane) Lane 5: Mouse skin tissue lysate (20 µg/Lane) Predicted band size: 51 kDa Observed band size: 51 kDa Exposure time: 24 seconds; 4-20% SDS-PAGE gel. Proteins were transferred to a PVDF membrane and blocked with 5% NFDM/TBST for 1 hour at room temperature. The primary antibody (HA750216) at 1/2,000 dilution was used in 5% NFDM/TBST at 4℃ overnight. Goat Anti-Rabbit IgG - HRP Secondary Antibody (HA1001) at 1/50,000 dilution was used for 1 hour at room temperature.
Immunocytochemistry analysis of A431 cells labeling Cytokeratin 14 with Rabbit anti-Cytokeratin 14 antibody (HA750216) at 1/500 dilution. Cells were fixed in 4% paraformaldehyde for 20 minutes at room temperature, permeabilized with 0.1% Triton X-100 in PBS for 5 minutes at room temperature, then blocked with 1% BSA in 10% negative goat serum for 1 hour at room temperature. Cells were then incubated with Rabbit anti-Cytokeratin 14 antibody (HA750216) at 1/500 dilution in 1% BSA in PBST overnight at 4 ℃. Goat Anti-Rabbit IgG H&L (iFluor™ 488, HA1121) was used as the secondary antibody at 1/1,000 dilution. PBS instead of the primary antibody was used as the secondary antibody only control. Nuclear DNA was labelled in blue with DAPI. Beta tubulin (M1305-2, red) was stained at 1/100 dilution overnight at +4℃. Goat Anti-Mouse IgG H&L (iFluor™ 594, HA1126) was used as the secondary antibody at 1/1,000 dilution.
ICC staining of Cytokeratin 14 in B16F1 cells (green). Formalin fixed cells were permeabilized with 0.1% Triton X-100 in TBS for 10 minutes at room temperature and blocked with 1% Blocker BSA for 15 minutes at room temperature. Cells were probed with the primary antibody (HA750216, 1/50) for 1 hour at room temperature, washed with PBS. Alexa Fluor®488 Goat anti-Rabbit IgG was used as the secondary antibody at 1/1,000 dilution. The nuclear counter stain is DAPI (blue).
quantity: 100μl
price: 649.00 USD
to the supplier
Cytokeratin 14
HUABIO
catalog: IRS162RB
domestic rabbit monoclonal
reactivity:
human
mIHC analysis of human skin tissue (Formalin/PFA-fixed paraffin-embedded sections) with Rabbit anti-Cytokeratin 14 antibody (IRS162RB) at 1/100 dilution. The immunostaining was performed with the IRISKitCmTSA Kit (900808). Heat mediated antigen retrieval with Tris-EDTA buffer (pH 9.0) for 30 mins at 95℃. DAPI (blue) was used as a nuclear counter stain. Image acquisition was performed with Olympus VS200 Slide Scanner.
quantity: 50T
price: 278.00 USD
to the supplier