Sign in
Sign up
home
>
HUABIO
> HUABIO KRT8 antibody
Cytokeratin 8
HUABIO
catalog: ER1706-92
domestic rabbit polyclonal
reactivity:
human
,
mouse
,
rat
application:
western blot
,
flow cytometry
,
immunohistochemistry - paraffin section
Western blot analysis of Cytokeratin 8 on human small intestine tissue lysate using anti-Cytokeratin 8 antibody at 1/200 dilution.
ICC staining Cytokeratin 8 in A549 cells (green). The nuclear counter stain is DAPI (blue). Cells were fixed in paraformaldehyde, permeabilised with 0.25% Triton X100/PBS.
ICC staining Cytokeratin 8 in LOVO cells (green). The nuclear counter stain is DAPI (blue). Cells were fixed in paraformaldehyde, permeabilised with 0.25% Triton X100/PBS.
quantity: 100μl
price: 330 USD
to the supplier
Cytokeratin 8
HUABIO
catalog: ER1802-43
domestic rabbit polyclonal
reactivity:
human
,
mouse
,
rat
application:
western blot
,
flow cytometry
,
immunohistochemistry - paraffin section
Western blot analysis of Cytokeratin 8 on different lysates using anti-Cytokeratin 8 antibody at 1/500 dilution. Positive control: Lane 1: Human small intestine Lane 2: A431
ICC staining Cytokeratin 8 in A549 cells (green). The nuclear counter stain is DAPI (blue). Cells were fixed in paraformaldehyde, permeabilised with 0.25% Triton X100/PBS.
ICC staining Cytokeratin 8 in LOVO cells (green). The nuclear counter stain is DAPI (blue). Cells were fixed in paraformaldehyde, permeabilised with 0.25% Triton X100/PBS.
quantity: 100μl
price: 330 USD
to the supplier
Cytokeratin 8
HUABIO
catalog: ER1803-87
domestic rabbit polyclonal
reactivity:
human
application:
western blot
,
flow cytometry
,
immunohistochemistry - paraffin section
Western blot analysis of Cytokeratin 8 on K562 lysate. Proteins were transferred to a PVDF membrane and blocked with 5% BSA in PBS for 1 hour at room temperature. The primary antibody was used at a 1:2,000 dilution in 5% BSA at room temperature for 2 hours. Goat Anti-Rabbit IgG - HRP Secondary Antibody (HA1001) at 1:5,000 dilution was used for 1 hour at room temperature.
ICC staining Cytokeratin 8 in LOVO cells (green). Formalin fixed cells were permeabilized with 0.1% Triton X-100 in TBS for 10 minutes at room temperature and blocked with 1% Blocker BSA for 15 minutes at room temperature. Cells were probed with Cytokeratin 8 at a dilution of 1:50 for 1 hour at room temperature, washed with PBS. Alexa Fluorc™ 488 Goat anti-Rabbit IgG was used as the secondary antibody at 1/100 dilution. The nuclear counter stain is DAPI (blue).
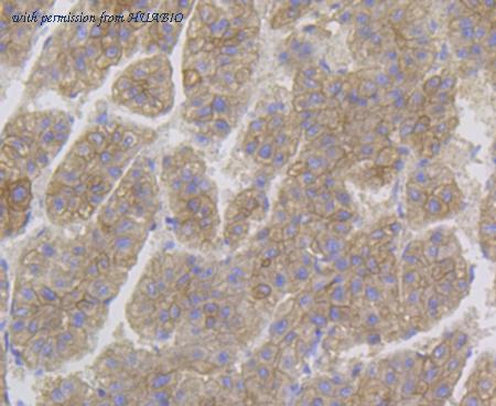
Immunohistochemical analysis of paraffin-embedded human liver tissue using anti-Cytokeratin 8 antibody. The section was pre-treated using heat mediated antigen retrieval with Tris-EDTA buffer (pH 8.0-8.4) for 20 minutes.The tissues were blocked in 5% BSA for 30 minutes at room temperature, washed with ddH2O and PBS, and then probed with the antibody (ER1803-87) at 1/50 dilution, for 30 minutes at room temperature and detected using an HRP conjugated compact polymer system. DAB was used as the chromogen. Counter stained with hematoxylin and mounted with DPX.
quantity: 100μl
price: 330 USD
to the supplier
Cytokeratin 8
HUABIO
catalog: ET1608-32-50UL
domestic rabbit monoclonal (SU0338)
reactivity:
human
,
mouse
,
rat
application:
western blot
,
immunoprecipitation
,
flow cytometry
,
immunohistochemistry - paraffin section
Western blot analysis of Cytokeratin 8 on different lysates with Rabbit anti-Cytokeratin 8 antibody (ET1608-32) at 1/1,000 dilution. Lane 1: Hela cell lysate (10 µg/Lane) Lane 2: A431 cell lysate (10 µg/Lane) Predicted band size: 54 kDa Observed band size: 54 kDa Exposure time: 30 seconds; 10% SDS-PAGE gel. Proteins were transferred to a PVDF membrane and blocked with 5% NFDM/TBST for 1 hour at room temperature. The primary antibody (ET1608-32) at 1/1,000 dilution was used in 5% NFDM/TBST at room temperature for 2 hours. Goat Anti-Rabbit IgG - HRP Secondary Antibody (HA1001) at 1:300,000 dilution was used for 1 hour at room temperature.
Western blot analysis of Cytokeratin 8 on different lysates with Rabbit anti-Cytokeratin 8 antibody (ET1608-32) at 1/2,000 dilution. Lane 1: Hela-si NT cell lysate (10 µg/Lane) Lane 2: Hela-si Cytokeratin 8 cell lysate (10 µg/Lane) Predicted band size: 54 kDa Observed band size: 54 kDa Exposure time: 24 seconds; 4-20% SDS-PAGE gel. ET1608-32 was shown to specifically react with Cytokeratin 8 in Hela-si NT cells. Weakened band was observed when Hela-si Cytokeratin 8 sample was tested. Hela-si NT and Hela-si Cytokeratin 8 samples were subjected to SDS-PAGE. Proteins were transferred to a PVDF membrane and blocked with 5% NFDM in TBST for 1 hour at room temperature. The primary antibody (ET1608-32, 1/2,000) and Loading control antibody (Rabbit anti-GAPDH, ET1601-4, 1/10,000) were used in 5% NFDM/TBST at 4℃ overnight. Goat Anti-rabbit IgG-HRP Secondary Antibody (HA1001) at 1:50,000 dilution was used for 1 hour at room temperature.
Immunohistochemical analysis of paraffin-embedded human breast carcinoma tissue with Rabbit anti-Cytokeratin 8 antibody (ET1608-32) at 1/1,500 dilution. The section was pre-treated using heat mediated antigen retrieval with Tris-EDTA buffer (pH 9.0) for 20 minutes. The tissues were blocked in 1% BSA for 20 minutes at room temperature, washed with ddH2O and PBS, and then probed with the primary antibody (ET1608-32) at 1/1,500 dilution for 1 hour at room temperature. The detection was performed using an HRP conjugated compact polymer system. DAB was used as the chromogen. Tissues were counterstained with hematoxylin and mounted with DPX.
quantity: 50μl
price: 205.00 USD
to the supplier
Cytokeratin 8
HUABIO
catalog: HA720118F
domestic rabbit monoclonal (SU0338)
reactivity:
human
,
mouse
application:
flow cytometry
Immunofluorescence analysis of paraffin-embedded human breast tissue labeling Cytokeratin 8 (HA720118F). The section was pre-treated using heat mediated antigen retrieval with Tris-EDTA buffer (pH 9.0) for 20 minutes. The tissues were blocked in 10% negative goat serum for 1 hour at room temperature, washed with PBS. And then probed with the primary antibodies Cytokeratin 8 (HA720118F, red) at 1/400 dilution at +4℃ overnight, washed with PBS. Nuclei were counterstained with DAPI (blue).
Immunofluorescence analysis of paraffin-embedded human liver tissue labeling Cytokeratin 8 (HA720118F) and Vimentin (EM0401). The section was pre-treated using heat mediated antigen retrieval with Tris-EDTA buffer (pH 9.0) for 20 minutes. The tissues were blocked in 10% negative goat serum for 1 hour at room temperature, washed with PBS. And then probed with the primary antibodies Cytokeratin 8 (HA720118F, red) at 1/100 dilution and Vimentin (EM0401, green) at 1/400 dilution at +4℃ overnight, washed with PBS. Goat Anti-Mouse IgG H&L (iFluor™ 488, HA1125) were used as the secondary antibody at 1/1,000 dilution. Nuclei were counterstained with DAPI (blue).
Immunocytochemistry analysis of SK-Br-3 cells labeling Cytokeratin 8 (HA720118F). Cells were fixed in methanol and then blocked with 2% negative goat serum for 15 minutes at room temperature. The cells were then incubated overnight at +4℃ with Cytokeratin 8 (HA720118F, red) at 1/50 dilution and Beta-tubulin (EM0103, yellow) at 1/400 dilution. Goat Anti-Mouse IgG H&L (iFluor™ 488, HA1125) were used as the secondary antibody at 1/1,000 dilution. Nuclei were counterstained with DAPI (blue).
quantity: 100μl
price: 429.00 USD
to the supplier
Cytokeratin 8
HUABIO
catalog: HA720132F
domestic rabbit monoclonal (SU0338)
reactivity:
human
Immunofluorescence analysis of paraffin-embedded human liver tissue labeling Cytokeratin 8 (HA720132F) and Vimentin (EM0401). The section was pre-treated using heat mediated antigen retrieval with Tris-EDTA buffer (pH 9.0) for 20 minutes. The tissues were blocked in 10% negative goat serum for 1 hour at room temperature, washed with PBS. And then probed with the primary antibodies Cytokeratin 8 (HA720132F, green) at 1/200 dilution and Vimentin (EM0401, red) at 1/1,000 dilution overnight at 4 ℃, washed with PBS. iFluor™ 594 conjugate-Goat anti-Mouse IgG (HA1126) was used as the secondary antibody at 1/1,000 dilution. DAPI was used as nuclear counterstain.
Immunocytochemistry analysis of SK-Br-3 cells labeling Cytokeratin 8 with Rabbit anti-Cytokeratin 8 antibody (HA720132F) at 1/100 dilution. Cells were fixed in 4% paraformaldehyde for 15 minutes, permeabilized with 0.1% Triton X-100 in PBS for 15 minutes, and then blocked with 1% BSA for 30 minutes at room temperature. Cells were then incubated with Rabbit anti-Cytokeratin 8 antibody (HA720132F) at 1/100 dilution in 1% BSA overnight at 4 ℃. Nuclear DNA was labelled in blue with DAPI. Beta tubulin (M1305-2, red) was stained at 1/200 dilution overnight at +4℃. Goat Anti-Mouse IgG H&L (iFluor™ 594, HA1126) was used as the secondary antibody at 1/800 dilution.
Immunofluorescence analysis of paraffin-embedded human liver tissue labeling Cytokeratin 8 (HA720132F) and Cytokeratin 7 (HA720144F). The section was pre-treated using heat mediated antigen retrieval with Tris-EDTA buffer (pH 9.0) for 20 minutes. The tissues were blocked in 10% negative goat serum for 1 hour at room temperature, washed with PBS. And then probed with the primary antibodies Cytokeratin 8 (HA720132F, green) at 1/200 dilution and Cytokeratin 7 (HA720144F, red) at 1/200 dilution overnight at 4 ℃, washed with PBS. DAPI was used as nuclear counterstain.
quantity: 100μl
price: 429.00 USD
to the supplier
Cytokeratin 8
HUABIO
catalog: HA720145F
domestic rabbit monoclonal (SU0338)
reactivity:
human
,
mouse
Immunocytochemistry analysis of SK-Br-3 cells labeling Cytokeratin 8 with Rabbit anti-Cytokeratin 8 antibody (HA720145F) at 1/100 dilution. Cells were fixed in 4% paraformaldehyde for 15 minutes, permeabilized with 0.1% Triton X-100 in PBS for 15 minutes, and then blocked with 2% normal goat serum for 1 hour at 37℃. Cells were then incubated with Rabbit anti-Cytokeratin 8 antibody (HA720145F, red) at 1/100 dilution in 2% normal goat serum overnight at 4 ℃. Nuclear DNA was labelled in blue with DAPI. Beta III Tubulin (M0805-8, green) was stained at 1/200 dilution overnight at +4℃. Goat Anti-Mouse IgG H&L (iFluor™ 488, HA1125) was used as the secondary antibody at 1/800 dilution.
Immunofluorescence analysis of paraffin-embedded human breast tissue labeling Cytokeratin 8 (HA720145F) and Vimentin (EM0401). The section was pre-treated using heat mediated antigen retrieval with Tris-EDTA buffer (pH 9.0) for 20 minutes. The tissues were blocked in 10% negative goat serum for 1 hour at room temperature, washed with PBS. And then probed with the primary antibodies Cytokeratin 8 (HA720145F, red) at 1/200 dilution and Vimentin (EM0401, green) at 1/1,000 dilution overnight at 4 ℃, washed with PBS. iFluor™ 488 conjugate-Goat anti-Mouse IgG (HA1125) was used as the secondary antibody at 1/1,000 dilution. DAPI was used as nuclear counterstain.
quantity: 100μl
price: 429.00 USD
to the supplier
Cytokeratin 8
HUABIO
catalog: HA750145
domestic rabbit monoclonal (SU0338)
reactivity:
human
,
mouse
,
rat
application:
western blot
,
immunoprecipitation
,
flow cytometry
,
immunohistochemistry - paraffin section
Western blot analysis of Cytokeratin 8 on different lysates with Rabbit anti-Cytokeratin 8 antibody (HA750145) at 1/1,000 dilution. Lane 1: Hela cell lysate (10 µg/Lane) Lane 2: A431 cell lysate (10 µg/Lane) Predicted band size: 54 kDa Observed band size: 54 kDa Exposure time: 30 seconds; 10% SDS-PAGE gel. Proteins were transferred to a PVDF membrane and blocked with 5% NFDM/TBST for 1 hour at room temperature. The primary antibody (HA750145) at 1/1,000 dilution was used in 5% NFDM/TBST at room temperature for 2 hours. Goat Anti-Rabbit IgG - HRP Secondary Antibody (HA1001) at 1:300,000 dilution was used for 1 hour at room temperature.
Western blot analysis of Cytokeratin 8 on different lysates with Rabbit anti-Cytokeratin 8 antibody (HA750145) at 1/2,000 dilution. Lane 1: Hela-si NT cell lysate (10 µg/Lane) Lane 2: Hela-si Cytokeratin 8 cell lysate (10 µg/Lane) Predicted band size: 54 kDa Observed band size: 54 kDa Exposure time: 24 seconds; 4-20% SDS-PAGE gel. ET1608-32 was shown to specifically react with Cytokeratin 8 in Hela-si NT cells. Weakened band was observed when Hela-si Cytokeratin 8 sample was tested. Hela-si NT and Hela-si Cytokeratin 8 samples were subjected to SDS-PAGE. Proteins were transferred to a PVDF membrane and blocked with 5% NFDM in TBST for 1 hour at room temperature. The primary antibody (ET1608-32, 1/2,000) and Loading control antibody (Rabbit anti-GAPDH, ET1601-4, 1/10,000) were used in 5% NFDM/TBST at 4℃ overnight. Goat Anti-rabbit IgG-HRP Secondary Antibody (HA1001) at 1:50,000 dilution was used for 1 hour at room temperature.
Immunohistochemical analysis of paraffin-embedded human breast carcinoma tissue with Rabbit anti-Cytokeratin 8 antibody (HA750145) at 1/1,500 dilution. The section was pre-treated using heat mediated antigen retrieval with Tris-EDTA buffer (pH 9.0) for 20 minutes. The tissues were blocked in 1% BSA for 20 minutes at room temperature, washed with ddH2O and PBS, and then probed with the primary antibody (HA750145) at 1/1,500 dilution for 1 hour at room temperature. The detection was performed using an HRP conjugated compact polymer system. DAB was used as the chromogen. Tissues were counterstained with hematoxylin and mounted with DPX.
quantity: 100μl
price: 649.00 USD
to the supplier
Cytokeratin 8
HUABIO
catalog: M1603-2
mouse monoclonal (A1-B11)
reactivity:
human
,
mouse
,
rat
application:
western blot
,
flow cytometry
,
immunohistochemistry - paraffin section
Western blot analysis on different cell lysates using anti-Cytokeratin 8 Mouse mAb. Positive control: Lane 1: A549 Lane 2: MCF-7 Lane 3: PC12
Immunocytochemical staining of MCF-7 cells using anti-Cytokeratin 8 Mouse mAb.
Immunocytochemical staining of PANC-1 cells using anti-Cytokeratin 8 Mouse mAb.
quantity: 100μl
price: 360.00 USD
to the supplier
Anti-Cytokeratin 8 Antibody [SU0338]
HUABIO
catalog: ET1608-32TR
domestic rabbit monoclonal (SU0338)
reactivity:
human
,
mouse
application:
western blot
,
immunoprecipitation
,
flow cytometry
,
immunohistochemistry - paraffin section
quantity: 20 uL
price: 99 USD
to the supplier