Sign in
Sign up
home
>
HUABIO
> HUABIO cytokeratin 7 antibody
Cytokeratin 7
HUABIO
catalog: EM0702
mouse monoclonal (3-G3-D8)
reactivity:
human
application:
western blot
,
immunohistochemistry - paraffin section
All lanes: Western blot analysis of Cytokeratin-7 with anti-Cytokeratin-7 antibody [3-G3-D8] (EM0702) at 1:1,000 dilution. Lane 1/2: Wild-type Hela whole cell lysate. Lane 3/4: Cytokeratin-7 fragment 1 knockout Hela whole cell lysate. Lane 5/6: Cytokeratin-7 fragment 2 knockout Hela whole cell lysate. EM0702 was shown to specifically react with Cytokeratin-7 in wild-type Hela cells. No band was observed when Cytokeratin-7 knockout samples were tested. Wild-type and Cytokeratin-7 knockout samples were subjected to SDS-PAGE. Proteins were transferred to a PVDF membrane and blocked with 5% NFDM in TBST for 1 hour at room temperature. The primary antibody (EM0702, 1/1,000) and Loading control antibody(Rabbit anti-Vinculin, ET1705-94, 1/5,000) was used in 5% BSA at room temperature for 2 hours. Goat Anti-Mouse IgG-HRP Secondary Antibody (HA1006) at 1:20,000 dilution was used for 1 hour at room temperature.
Western blot analysis of Cytokeratin 7 on different lysates with Mouse anti-Cytokeratin 7 antibody (EM0702) at 1/2,000 dilution. Lane 1: A549 cell lysate Lane 2: HeLa cell lysate Lane 3: HepG2 cell lysate Lane 4: SK-Br-3 cell lysate Lane 5: SK-OV-3 cell lysate Lane 6: SW1990 cell lysate Lysates/proteins at 20 µg/Lane. Predicted band size: 51 kDa Observed band size: 51 kDa Exposure time: 24 seconds; 4-20% SDS-PAGE gel. Proteins were transferred to a PVDF membrane and blocked with 5% NFDM/TBST for 1 hour at room temperature. The primary antibody (EM0702) at 1/2,000 dilution was used in 5% NFDM/TBST at room temperature for 2 hours. Goat Anti-Mouse IgG - HRP Secondary Antibody (HA1006) at 1/50,000 dilution was used for 1 hour at room temperature.
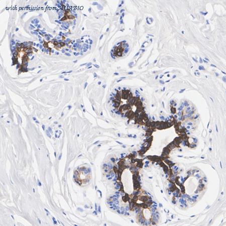
Immunohistochemical analysis of paraffin-embedded human lung bronchus tissue using anti-Cytokeratin 7 antibody. The section was pre-treated using heat mediated antigen retrieval with Tris-EDTA buffer (pH 8.0-8.4) for 20 minutes.The tissues were blocked in 5% BSA for 30 minutes at room temperature, washed with ddH2O and PBS, and then probed with the primary antibody (EM0702, 1/200) for 30 minutes at room temperature. The detection was performed using an HRP conjugated compact polymer system. DAB was used as the chromogen. Tissues were counterstained with hematoxylin and mounted with DPX.
quantity: 100μl
price: 360.00 USD
to the supplier
Cytokeratin 7
HUABIO
catalog: ER1803-89
domestic rabbit polyclonal
reactivity:
human
,
mouse
,
rat
application:
western blot
,
immunohistochemistry - paraffin section
Western blot analysis of Cytokeratin 7 on different lysates with Rabbit anti-Cytokeratin 7 antibody (ER1803-89) at 1/2,000 dilution. Lane 1: HeLa cell lysate Lane 2: A549 cell lysate Lane 3: T-47D cell lysate Lysates/proteins at 20 µg/Lane. Predicted band size: 51 kDa Observed band size: 40-55 kDa Exposure time: 4 seconds; ECL: K1801; 4-20% SDS-PAGE gel. Proteins were transferred to a PVDF membrane and blocked with 5% NFDM/TBST for 1 hour at room temperature. The primary antibody (ER1803-89) at 1/2,000 dilution was used in 5% NFDM/TBST at 4℃ overnight. Goat Anti-Rabbit IgG - HRP Secondary Antibody (HA1001) at 1/50,000 dilution was used for 1 hour at room temperature.
Western blot analysis of Cytokeratin 7 on different lysates. Proteins were transferred to a PVDF membrane and blocked with 5% BSA in PBS for 1 hour at room temperature. The primary antibody was used at a 1:500 dilution in 5% BSA at room temperature for 2 hours. Goat Anti-Rabbit IgG - HRP Secondary Antibody (HA1001) at 1:5,000 dilution was used for 1 hour at room temperature. Lane 1: SK-Br-3 cell lysate Lane 2: Mouse ovary tissue lysate
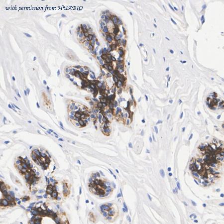
Immunohistochemical analysis of paraffin-embedded rat uterus tissue using anti-Cytokeratin 7 antibody. The section was pre-treated using heat mediated antigen retrieval with Tris-EDTA buffer (pH 8.0-8.4) for 20 minutes.The tissues were blocked in 5% BSA for 30 minutes at room temperature, washed with ddH2O and PBS, and then probed with the antibody (ER1803-89) at 1/50 dilution, for 30 minutes at room temperature and detected using an HRP conjugated compact polymer system. DAB was used as the chromogen. Counter stained with hematoxylin and mounted with DPX.
quantity: 100μl
price: 330 USD
to the supplier
Cytokeratin 7
HUABIO
catalog: ET1609-62
domestic rabbit monoclonal (ST50-05)
reactivity:
human
,
mouse
application:
western blot
,
immunoprecipitation
,
flow cytometry
,
immunohistochemistry - paraffin section
All lanes: Western blot analysis of Cytokeratin 7 with anti-Cytokeratin 7 antibody [ST50-05] (ET1609-62) at 1:1,000 dilution. Lane 1/2: Wild-type Hela whole cell lysate (20 µg). Lane 3/4: Cytokeratin 7 fragment 1 knockdown Hela whole cell lysate (20 µg). Lane 5/6: Cytokeratin 7 fragment 2 knockdown Hela whole cell lysate (20 µg). ET1609-62 was shown to specifically react with Cytokeratin 7 in wild-type Hela cells. Weakened bands were observed when Cytokeratin 7 knockdown samples were tested. Wild-type and Cytokeratin 7 knockdown samples were subjected to SDS-PAGE. Proteins were transferred to a PVDF membrane and blocked with 5% NFDM in TBST for 1 hour at room temperature. The primary antibody (ET1609-62, 1/1,000) and Loading control antibody (Rabbit anti-GAPDH , ET1601-4, 1/10,000) were used in 5% BSA at room temperature for 2 hours. Goat Anti-Rabbit IgG-HRP Secondary Antibody (HA1001) at 1:200,000 dilution was used for 1 hour at room temperature.
Western blot analysis of Cytokeratin 7 on different lysates with Rabbit anti-Cytokeratin 7 antibody (ET1609-62) at 1/5,000 dilution. Lane 1: HeLa cell lysate Lane 2: A549 cell lysate Lane 3: MCF7 cell lysate (negative) Lysates/proteins at 15 µg/Lane. Predicted band size: 51 kDa Observed band size: 55 kDa Exposure time: 20 seconds; 4-20% SDS-PAGE gel. Proteins were transferred to a PVDF membrane and blocked with 5% NFDM/TBST for 1 hour at room temperature. The primary antibody (ET1609-62) at 1/5,000 dilution was used in 5% NFDM/TBST at 4℃ overnight. Goat Anti-Rabbit IgG - HRP Secondary Antibody (HA1001) at 1/50,000 dilution was used for 1 hour at room temperature.
Immunocytochemistry analysis of A549 cells labeling Cytokeratin 7 with Rabbit anti-Cytokeratin 7 antibody (ET1609-62) at 1/100 dilution. Cells were fixed in 4% paraformaldehyde for 20 minutes at room temperature, permeabilized with 0.1% Triton X-100 in PBS for 5 minutes at room temperature, then blocked with 1% BSA in 10% negative goat serum for 1 hour at room temperature. Cells were then incubated with Rabbit anti-Cytokeratin 7 antibody (ET1609-62) at 1/100 dilution in 1% BSA in PBST overnight at 4 ℃. Goat Anti-Rabbit IgG H&L (iFluor™ 488, HA1121) was used as the secondary antibody at 1/1,000 dilution. PBS instead of the primary antibody was used as the secondary antibody only control. Nuclear DNA was labelled in blue with DAPI. Beta tubulin (M1305-2, red) was stained at 1/100 dilution overnight at +4℃. Goat Anti-Mouse IgG H&L (iFluor™ 594, HA1126) was used as the secondary antibody at 1/1,000 dilution.
quantity: 100μl
price: 385.00 USD
to the supplier
Cytokeratin 7
HUABIO
catalog: HA601065
mouse monoclonal (3-G3-D8-R)
reactivity:
human
application:
western blot
,
flow cytometry
,
immunohistochemistry - paraffin section
Western blot analysis of Cytokeratin 7 on different lysates with Mouse anti-Cytokeratin 7 antibody (HA601065) at 1/1,000 dilution. Lane 1: A549 cell lysate Lane 2: HepG2 cell lysate Lane 3: SKOV-3 cell lysate Lysates/proteins at 10 µg/Lane. Predicted band size: 51 kDa Observed band size: 51 kDa Exposure time: 30 seconds; 4-20% SDS-PAGE gel. Proteins were transferred to a PVDF membrane and blocked with 5% NFDM/TBST for 1 hour at room temperature. The primary antibody (HA601065) at 1/1,000 dilution was used in 5% NFDM/TBST at room temperature for 2 hours. Goat Anti-Mouse IgG - HRP Secondary Antibody (HA1006) at 1:100,000 dilution was used for 1 hour at room temperature.
Western blot analysis of Cytokeratin 7 on HeLa cell lysates with Mouse anti-Cytokeratin 7 antibody (HA601065) at 1/5,000 dilution. Lysates/proteins at 10 µg/Lane. Predicted band size: 51 kDa Observed band size: 51 kDa Exposure time: 2 minutes; 10% SDS-PAGE gel. Proteins were transferred to a PVDF membrane and blocked with 5% NFDM/TBST for 1 hour at room temperature. The primary antibody (HA601065) at 1/5,000 dilution was used in 5% NFDM/TBST at room temperature for 2 hours. Goat Anti-Mouse IgG - HRP Secondary Antibody (HA1006) at 1:100,000 dilution was used for 1 hour at room temperature.
Immunohistochemical analysis of paraffin-embedded human breast tissue with Mouse anti-Cytokeratin 7 antibody (HA601065) at 1/5,000 dilution. The section was pre-treated using heat mediated antigen retrieval with Tris-EDTA buffer (pH 9.0) for 20 minutes. The tissues were blocked in 1% BSA for 20 minutes at room temperature, washed with ddH2O and PBS, and then probed with the primary antibody (HA601065) at 1/5,000 dilution for 1 hour at room temperature. The detection was performed using an HRP conjugated compact polymer system. DAB was used as the chromogen. Tissues were counterstained with hematoxylin and mounted with DPX.
quantity: 100μl
price: 360.00 USD
to the supplier
Cytokeratin 7
HUABIO
catalog: HA720120F
domestic rabbit monoclonal (ST50-05)
reactivity:
human
,
mouse
application:
flow cytometry
Immunofluorescence analysis of paraffin-embedded human breast tissue labeling Cytokeratin 7 (HA720120F). The section was pre-treated using heat mediated antigen retrieval with Tris-EDTA buffer (pH 9.0) for 20 minutes. The tissues were blocked in 10% negative goat serum for 1 hour at room temperature, washed with PBS. And then probed with the primary antibody Cytokeratin 7 (HA720120F, iFluor™ 594) at 1/200 dilution overnight at 4 ℃, washed with PBS. DAPI was used as nuclear counterstain.
Immunofluorescence analysis of paraffin-embedded human liver tissue labeling Cytokeratin 7 (HA720120F) and Vimentin (EM0401). The section was pre-treated using heat mediated antigen retrieval with Tris-EDTA buffer (pH 9.0) for 20 minutes. The tissues were blocked in 10% negative goat serum for 1 hour at room temperature, washed with PBS. And then probed with the primary antibodies Cytokeratin 7 (HA720120F, red) at 1/200 dilution and Vimentin (EM0401, green) at 1/500 dilution at +4℃ overnight, washed with PBS. Goat Anti-Mouse IgG H&L (iFluor™ 488, HA1125) were used as the secondary antibody at 1/1,000 dilution. Nuclei were counterstained with DAPI (blue).
Immunocytochemistry analysis of SK-Br-3 cells labeling Cytokeratin 7 (HA720120F). Cells were fixed in methanol and then blocked with 2% negative goat serum for 15 minutes at room temperature. The cells were then incubated overnight at +4℃ with Cytokeratin 7 (HA720120F, red) at 1/100 dilution. Nuclei were counterstained with DAPI (blue).
quantity: 100μl
price: 429.00 USD
to the supplier
Cytokeratin 7
HUABIO
catalog: HA720131F
domestic rabbit monoclonal (ST50-05)
reactivity:
human
,
mouse
application:
flow cytometry
Immunofluorescence analysis of paraffin-embedded human liver tissue labeling Cytokeratin 7 (HA720131F) and Vimentin (EM0401). The section was pre-treated using heat mediated antigen retrieval with Tris-EDTA buffer (pH 9.0) for 20 minutes. The tissues were blocked in 10% negative goat serum for 1 hour at room temperature, washed with PBS. And then probed with the primary antibodies Cytokeratin 7 (HA720131F, green) at 1/200 dilution and Vimentin (EM0401, red) at 1/1,000 dilution overnight at 4 ℃, washed with PBS. iFluor™ 594 conjugate-Goat anti-Mouse IgG (HA1126) was used as the secondary antibody at 1/1,000 dilution. DAPI was used as nuclear counterstain.
Immunocytochemistry analysis of A431 cells labeling Cytokeratin 7 with Rabbit anti-Cytokeratin 7 antibody (HA720131F) at 1/100 dilution. Cells were fixed in 4% paraformaldehyde for 15 minutes, permeabilized with 0.1% Triton X-100 in PBS for 15 minutes, and then blocked with 1% BSA for 30 minutes at room temperature. Cells were then incubated with Rabbit anti-Cytokeratin 7 antibody (HA720131F) at 1/100 dilution in 1% BSA overnight at 4 ℃. Nuclear DNA was labelled in blue with DAPI. Beta tubulin (M1305-2, red) was stained at 1/200 dilution overnight at +4℃. Goat Anti-Mouse IgG H&L (iFluor™ 594, HA1126) were used as the secondary antibody at 1/800 dilution.
Immunofluorescence analysis of paraffin-embedded human breast tissue labeling Cytokeratin 7 (HA720131F). The section was pre-treated using heat mediated antigen retrieval with Tris-EDTA buffer (pH 9.0) for 20 minutes. The tissues were blocked in 10% negative goat serum for 1 hour at room temperature, washed with PBS. And then probed with the primary antibody Cytokeratin 7 (HA720131F, iFluor™ 488) at 1/200 dilution overnight at 4 ℃, washed with PBS. DAPI was used as nuclear counterstain.
quantity: 100μl
price: 429.00 USD
to the supplier
Cytokeratin 7
HUABIO
catalog: HA720144F
domestic rabbit monoclonal (ST50-05)
reactivity:
human
,
mouse
application:
flow cytometry
Immunocytochemistry analysis of SK-Br-3 cells labeling Cytokeratin 7 with Rabbit anti-Cytokeratin 7 antibody (HA720144F) at 1/100 dilution. Cells were fixed in 4% paraformaldehyde for 15 minutes, permeabilized with 0.1% Triton X-100 in PBS for 15 minutes, and then blocked with 2% normal goat serum for 1 hour at 37℃. Cells were then incubated with Rabbit anti-Cytokeratin 7 antibody (HA720144F, red) at 1/100 dilution in 2% normal goat serum overnight at 4 ℃. Nuclear DNA was labelled in blue with DAPI. Beta III Tubulin (M0805-8, green) was stained at 1/200 dilution overnight at +4℃. Goat Anti-Mouse IgG H&L (iFluor™ 488, HA1125) was used as the secondary antibody at 1/800 dilution.
Immunofluorescence analysis of paraffin-embedded human liver tissue labeling Cytokeratin 7 (HA720144F) and Cytokeratin 8 (HA720132F). The section was pre-treated using heat mediated antigen retrieval with Tris-EDTA buffer (pH 9.0) for 20 minutes. The tissues were blocked in 10% negative goat serum for 1 hour at room temperature, washed with PBS. And then probed with the primary antibodies Cytokeratin 7 (HA720144F, red) at 1/200 dilution and Cytokeratin 8 (HA720132F, green) at 1/200 dilution overnight at 4 ℃, washed with PBS. DAPI was used as nuclear counterstain.
Immunofluorescence analysis of paraffin-embedded human breast tissue labeling Cytokeratin 7 (HA720144F), Cytokeratin 8 (HA720132F) and Vimentin (EM0401). The section was pre-treated using heat mediated antigen retrieval with Tris-EDTA buffer (pH 9.0) for 20 minutes. The tissues were blocked in 10% negative goat serum for 1 hour at room temperature, washed with PBS. And then probed with the primary antibodies Cytokeratin 7 (HA720144F, red) at 1/50 dilution, Cytokeratin 8 (HA720132F, green) at 1/200 dilution and Vimentin (EM0401, yellow) at 1/1,000 dilution overnight at 4 ℃, washed with PBS. Alexa Fluor® 555 conjugate-Goat anti-Mouse IgG was used as the secondary antibody at 1/1,000 dilution. DAPI was used as nuclear counterstain.
quantity: 100μl
price: 429.00 USD
to the supplier
Cytokeratin 7
HUABIO
catalog: HA750185
domestic rabbit monoclonal (ST50-05)
reactivity:
human
,
mouse
application:
western blot
,
immunoprecipitation
,
flow cytometry
,
immunohistochemistry - paraffin section
All lanes: Western blot analysis of Cytokeratin 7 with anti-Cytokeratin 7 antibody [ST50-05] (HA750185) at 1:1,000 dilution. Lane 1/2: Wild-type Hela whole cell lysate (20 µg). Lane 3/4: Cytokeratin 7 fragment 1 knockdown Hela whole cell lysate (20 µg). Lane 5/6: Cytokeratin 7 fragment 2 knockdown Hela whole cell lysate (20 µg). ET1609-62 was shown to specifically react with Cytokeratin 7 in wild-type Hela cells. Weakened bands were observed when Cytokeratin 7 knockdown samples were tested. Wild-type and Cytokeratin 7 knockdown samples were subjected to SDS-PAGE. Proteins were transferred to a PVDF membrane and blocked with 5% NFDM in TBST for 1 hour at room temperature. The primary antibody (ET1609-62, 1/1,000) and Loading control antibody (Rabbit anti-GAPDH , ET1601-4, 1/10,000) were used in 5% BSA at room temperature for 2 hours. Goat Anti-Rabbit IgG-HRP Secondary Antibody (HA1001) at 1:200,000 dilution was used for 1 hour at room temperature.
Western blot analysis of Cytokeratin 7 on different lysates with Rabbit anti-Cytokeratin 7 antibody (HA750185) at 1/5,000 dilution. Lane 1: HeLa cell lysate Lane 2: A549 cell lysate Lane 3: MCF7 cell lysate (negative) Lysates/proteins at 15 µg/Lane. Predicted band size: 51 kDa Observed band size: 55 kDa Exposure time: 20 seconds; 4-20% SDS-PAGE gel. Proteins were transferred to a PVDF membrane and blocked with 5% NFDM/TBST for 1 hour at room temperature. The primary antibody (HA750185) at 1/5,000 dilution was used in 5% NFDM/TBST at 4℃ overnight. Goat Anti-Rabbit IgG - HRP Secondary Antibody (HA1001) at 1/50,000 dilution was used for 1 hour at room temperature.
Immunocytochemistry analysis of A549 cells labeling Cytokeratin 7 with Rabbit anti-Cytokeratin 7 antibody (HA750185) at 1/100 dilution. Cells were fixed in 4% paraformaldehyde for 20 minutes at room temperature, permeabilized with 0.1% Triton X-100 in PBS for 5 minutes at room temperature, then blocked with 1% BSA in 10% negative goat serum for 1 hour at room temperature. Cells were then incubated with Rabbit anti-Cytokeratin 7 antibody (HA750185) at 1/100 dilution in 1% BSA in PBST overnight at 4 ℃. Goat Anti-Rabbit IgG H&L (iFluor™ 488, HA1121) was used as the secondary antibody at 1/1,000 dilution. PBS instead of the primary antibody was used as the secondary antibody only control. Nuclear DNA was labelled in blue with DAPI. Beta tubulin (M1305-2, red) was stained at 1/100 dilution overnight at +4℃. Goat Anti-Mouse IgG H&L (iFluor™ 594, HA1126) was used as the secondary antibody at 1/1,000 dilution.
quantity: 100μl
price: 649.00 USD
to the supplier
Cytokeratin 7
HUABIO
catalog: IRS029
domestic rabbit monoclonal
reactivity:
human
mIHC analysis of human gastric cancer tissue (Formalin/PFA-fixed paraffin-embedded sections) with CD21 (IRS019), PD-1, CD14 (IRS015), CD38 (IRS006), aSMA (IRS012) and CK7 (IRS029) antibody at 1/100 dilution. The immunostaining was performed with the IRISKitCmTSA Kit (900802). Heat mediated antigen retrieval with Tris-EDTA buffer (pH 9.0) for 30 mins at 95℃. DAPI (blue) was used as a nuclear counter stain. Image acquisition was performed with Olympus VS200 Slide Scanner.
mIHC analysis of human gastric cancer tissue (Formalin/PFA-fixed paraffin-embedded sections) with Rabbit anti-Cytokeratin 7 antibody (IRS029) at 1/100 dilution. The immunostaining was performed with the IRISKitCmTSA Kit (900808). Heat mediated antigen retrieval with Tris-EDTA buffer (pH 9.0) for 30 mins at 95℃. DAPI (blue) was used as a nuclear counter stain. Image acquisition was performed with Olympus VS200 Slide Scanner.
quantity: 100μl
price: 385.00 USD
to the supplier
Cytokeratin 7
HUABIO
catalog: R1309-4
domestic rabbit polyclonal
reactivity:
human
application:
western blot
,
flow cytometry
,
immunohistochemistry - paraffin section
Immunohistochemical analysis of paraffin-embedded human breast tissue with Rabbit anti-Cytokeratin 7 antibody (R1309-4) at 1/5,000 dilution. The section was pre-treated using heat mediated antigen retrieval with Tris-EDTA buffer (pH 9.0) for 20 minutes. The tissues were blocked in 1% BSA for 20 minutes at room temperature, washed with ddH2O and PBS, and then probed with the primary antibody (R1309-4) at 1/5,000 dilution for 1 hour at room temperature. The detection was performed using an HRP conjugated compact polymer system. DAB was used as the chromogen. Tissues were counterstained with hematoxylin and mounted with DPX.
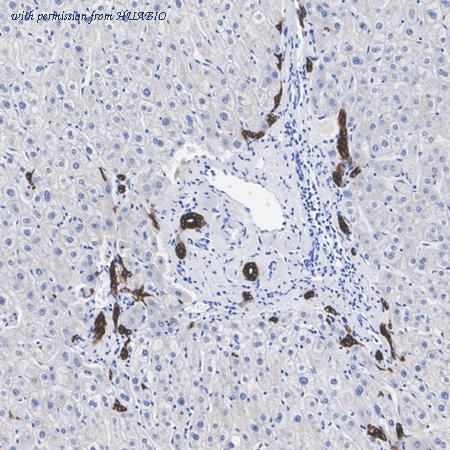
Immunohistochemical analysis of paraffin-embedded human liver tissue with Rabbit anti-Cytokeratin 7 antibody (R1309-4) at 1/5,000 dilution. The section was pre-treated using heat mediated antigen retrieval with Tris-EDTA buffer (pH 9.0) for 20 minutes. The tissues were blocked in 1% BSA for 20 minutes at room temperature, washed with ddH2O and PBS, and then probed with the primary antibody (R1309-4) at 1/5,000 dilution for 1 hour at room temperature. The detection was performed using an HRP conjugated compact polymer system. DAB was used as the chromogen. Tissues were counterstained with hematoxylin and mounted with DPX.
All lanes: Western blot analysis of Cytokeratin 7 with anti-Cytokeratin 7 antibody(R1309-4) at 1:1,000 dilution. Lane 1/2: Wild-type Hela whole cell lysate (20 µg). Lane 3/4: Cytokeratin 7 fragment 1 knockdown Hela whole cell lysate (20 µg). Lane 5/6: Cytokeratin 7 fragment 2 knockdown Hela whole cell lysate (20 µg). R1309-4 was shown to specifically react with Cytokeratin 7 in wild-type Hela cells. Weakened bands were observed when Cytokeratin 7 knockdown samples were tested. Wild-type and Cytokeratin 7 knockdown samples were subjected to SDS-PAGE. Proteins were transferred to a PVDF membrane and blocked with 5% NFDM in TBST for 1 hour at room temperature. The primary antibody (R1309-4, 1/1,000) and Loading control antibody (Rabbit anti-GAPDH , ET1601-4, 1/10,000) were used in 5% BSA at room temperature for 2 hours. Goat Anti-Rabbit IgG-HRP Secondary Antibody (HA1001) at 1:200,000 dilution was used for 1 hour at room temperature.
quantity: 100μl
price: 330 USD
to the supplier