Sign in
Sign up
home
>
HUABIO
> HUABIO KRT5 antibody
Cytokeratin 5+6
HUABIO
catalog: EM1901-07
mouse monoclonal (A2A12)
reactivity:
human
,
rat
application:
western blot
,
flow cytometry
,
immunohistochemistry - paraffin section
Western blot analysis of Cytokeratin 5+6 on different lysates with Mouse anti-Cytokeratin 5+6 antibody (EM1901-07) at 1/1,000 dilution. Lane 1: HT-29 cell lysate Lane 2: A549 cell lysate Lane 3: MCF7 cell lysate Lane 4: HeLa cell lysate Lysates/proteins at 20 µg/Lane. Predicted band size: 60/62 kDa Observed band size: 50 kDa Exposure time: 24 seconds; ECL: K1801; 4-20% SDS-PAGE gel. Proteins were transferred to a PVDF membrane and blocked with 5% NFDM/TBST for 1 hour at room temperature. The primary antibody (EM1901-07) at 1/1,000 dilution was used in 5% NFDM/TBST at 4℃ overnight. Goat Anti-Mouse IgG - HRP Secondary Antibody (HA1006) at 1/50,000 dilution was used for 1 hour at room temperature.
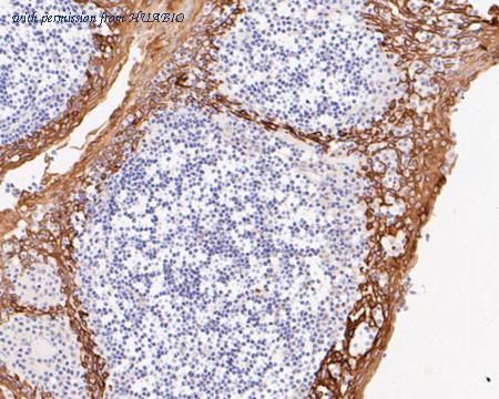
Immunohistochemical analysis of paraffin-embedded human tonsil tissue using anti-Cytokeratin 5+6 antibody. The section was pre-treated using heat mediated antigen retrieval with Tris-EDTA buffer (pH 8.0-8.4) for 20 minutes.The tissues were blocked in 5% BSA for 30 minutes at room temperature, washed with ddH2O and PBS, and then probed with the primary antibody (EM1901-07, 1/200) for 30 minutes at room temperature. The detection was performed using an HRP conjugated compact polymer system. DAB was used as the chromogen. Tissues were counterstained with hematoxylin and mounted with DPX.
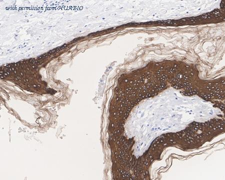
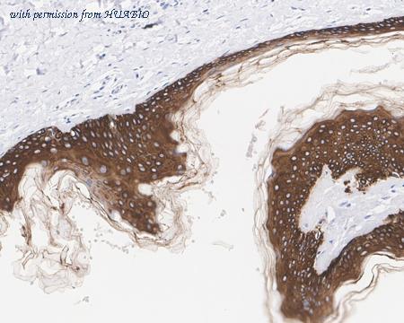
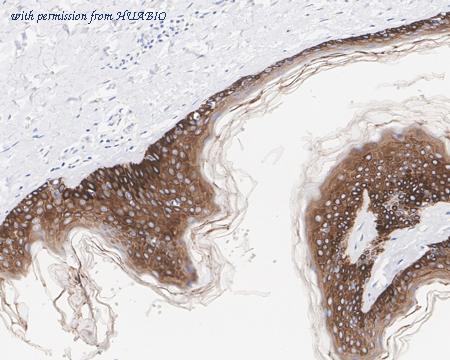
Immunohistochemical analysis of paraffin-embedded human skin tissue with Mouse anti-Cytokeratin 5+6 antibody (EM1901-07) at 1/1,000 dilution. The section was pre-treated using heat mediated antigen retrieval with Tris-EDTA buffer (pH 9.0) for 20 minutes. The tissues were blocked in 1% BSA for 20 minutes at room temperature, washed with ddH2O and PBS, and then probed with the primary antibody (EM1901-07) at 1/1,000 dilution for 1 hour at room temperature. The detection was performed using an HRP conjugated compact polymer system. DAB was used as the chromogen. Tissues were counterstained with hematoxylin and mounted with DPX.
quantity: 100μl
price: 360.00 USD
to the supplier
Cytokeratin 5+6
HUABIO
catalog: EM1901-08
mouse monoclonal (A2B2)
reactivity:
human
,
rat
application:
western blot
,
flow cytometry
,
immunohistochemistry - paraffin section
Western blot analysis of Cytokeratin 5+6 on different lysates with Mouse anti-Cytokeratin 5+6 antibody (EM1901-08) at 1/1,000 dilution. Lane 1: HT-29 cell lysate Lane 2: A549 cell lysate Lane 3: MCF7 cell lysate Lane 4: HeLa cell lysate Lysates/proteins at 20 µg/Lane. Predicted band size: 60/62 kDa Observed band size: 50 kDa Exposure time: 3 minutes; ECL: K1801; 4-20% SDS-PAGE gel. Proteins were transferred to a PVDF membrane and blocked with 5% NFDM/TBST for 1 hour at room temperature. The primary antibody (EM1901-08) at 1/1,000 dilution was used in 5% NFDM/TBST at 4℃ overnight. Goat Anti-Mouse IgG - HRP Secondary Antibody (HA1006) at 1/50,000 dilution was used for 1 hour at room temperature.
Immunohistochemical analysis of paraffin-embedded human tonsil tissue using anti-Cytokeratin 5+6 antibody. The section was pre-treated using heat mediated antigen retrieval with Tris-EDTA buffer (pH 8.0-8.4) for 20 minutes.The tissues were blocked in 5% BSA for 30 minutes at room temperature, washed with ddH2O and PBS, and then probed with the primary antibody (EM1901-08, 1/200) for 30 minutes at room temperature. The detection was performed using an HRP conjugated compact polymer system. DAB was used as the chromogen. Tissues were counterstained with hematoxylin and mounted with DPX.
Immunohistochemical analysis of paraffin-embedded human skin tissue with Mouse anti-Cytokeratin 5+6 antibody (EM1901-08) at 1/1,000 dilution. The section was pre-treated using heat mediated antigen retrieval with Tris-EDTA buffer (pH 9.0) for 20 minutes. The tissues were blocked in 1% BSA for 20 minutes at room temperature, washed with ddH2O and PBS, and then probed with the primary antibody (EM1901-08) at 1/1,000 dilution for 1 hour at room temperature. The detection was performed using an HRP conjugated compact polymer system. DAB was used as the chromogen. Tissues were counterstained with hematoxylin and mounted with DPX.
quantity: 100μl
price: 360.00 USD
to the supplier
Cytokeratin 5+6
HUABIO
catalog: ER1901-03
domestic rabbit polyclonal
reactivity:
human
,
mouse
,
rat
application:
western blot
,
immunohistochemistry - paraffin section
Western blot analysis of Cytokeratin 5+6 on different lysates with Rabbit anti-Cytokeratin 5+6 antibody (ER1901-03) at 1/500 dilution. Lane 1: Hela cell lysate Lane 2: SK-Br-3 cell lysate Lane 3: MCF-7 cell lysate Lane 4: HepG2 cell lysate Lysates/proteins at 10 µg/Lane. Predicted band size: 62 kDa Observed band size: 62 kDa Exposure time: 2 minutes; 8% SDS-PAGE gel. Proteins were transferred to a PVDF membrane and blocked with 5% NFDM/TBST for 1 hour at room temperature. The primary antibody (ER1901-03) at 1/500 dilution was used in 5% NFDM/TBST at room temperature for 2 hours. Goat Anti-Rabbit IgG - HRP Secondary Antibody (HA1001) at 1:300,000 dilution was used for 1 hour at room temperature.
Immunohistochemical analysis of paraffin-embedded rat skin tissue using anti-Cytokeratin 5+6 antibody. The section was pre-treated using heat mediated antigen retrieval with sodium citrate buffer (pH 6.0) (high pressure) for 2 minutes. The tissues were blocked in 5% BSA for 30 minutes at room temperature, washed with ddH2O and PBS, and then probed with the antibody (ER1901-03) at 1/200 dilution, for 30 minutes at room temperature and detected using an HRP conjugated compact polymer system. DAB was used as the chromogen. Counter stained with hematoxylin and mounted with DPX.
Immunohistochemical analysis of paraffin-embedded human tonsil tissue using anti-Cytokeratin 5+6 antibody. The section was pre-treated using heat mediated antigen retrieval with sodium citrate buffer (pH 6.0) (high pressure) for 2 minutes. The tissues were blocked in 5% BSA for 30 minutes at room temperature, washed with ddH2O and PBS, and then probed with the antibody (ER1901-03) at 1/200 dilution, for 30 minutes at room temperature and detected using an HRP conjugated compact polymer system. DAB was used as the chromogen. Counter stained with hematoxylin and mounted with DPX.
quantity: 100μl
price: 330 USD
to the supplier
Cytokeratin 5+6
HUABIO
catalog: ER1901-86
domestic rabbit polyclonal
reactivity:
human
,
mouse
,
rat
application:
western blot
,
flow cytometry
,
immunohistochemistry - paraffin section
Western blot analysis of Cytokeratin 5+6 on A431 cell lysate. Proteins were transferred to a PVDF membrane and blocked with 5% BSA in PBS for 1 hour at room temperature. The primary antibody was used at a 1:2,000 dilution in 5% BSA at room temperature for 2 hours. Goat Anti-Rabbit IgG - HRP Secondary Antibody (HA1001) at 1:5,000 dilution was used for 1 hour at room temperature.
Immunohistochemical analysis of paraffin-embedded human skin tissue using anti-Cytokeratin 5+6 antibody. The section was pre-treated using heat mediated antigen retrieval with sodium citrate buffer (pH 6.0) (high pressure) for 2 minutes. The tissues were blocked in 5% BSA for 30 minutes at room temperature, washed with ddH2O and PBS, and then probed with the antibody (ER1901-86) at 1/50 dilution, for 30 minutes at room temperature and detected using an HRP conjugated compact polymer system. DAB was used as the chromogen. Counter stained with hematoxylin and mounted with DPX.
Immunohistochemical analysis of paraffin-embedded human esophagus tissue using anti-Cytokeratin 5+6 antibody. The section was pre-treated using heat mediated antigen retrieval with sodium citrate buffer (pH 6.0) (high pressure) for 2 minutes. The tissues were blocked in 5% BSA for 30 minutes at room temperature, washed with ddH2O and PBS, and then probed with the antibody (ER1901-86) at 1/50 dilution, for 30 minutes at room temperature and detected using an HRP conjugated compact polymer system. DAB was used as the chromogen. Counter stained with hematoxylin and mounted with DPX.
quantity: 100μl
price: 330 USD
to the supplier
Cytokeratin 5
HUABIO
catalog: ET1605-17
domestic rabbit monoclonal (SY88-19)
reactivity:
human
,
mouse
application:
western blot
,
immunohistochemistry - paraffin section
Western blot analysis of Cytokeratin 5 on A431 cell lysates with Rabbit anti-Cytokeratin 5 antibody (ET1605-17) at 1/500 dilution. Lysates/proteins at 10 µg/Lane. Predicted band size: 62 kDa Exposure time: 2 minutes; 10% SDS-PAGE gel. Proteins were transferred to a PVDF membrane and blocked with 5% NFDM/TBST for 1 hour at room temperature. The primary antibody (ET1605-17) at 1/500 dilution was used in 5% NFDM/TBST at room temperature for 2 hours. Goat Anti-Rabbit IgG - HRP Secondary Antibody (HA1001) at 1:300,000 dilution was used for 1 hour at room temperature.
Immunohistochemical analysis of paraffin-embedded human tonsil tissue using anti-Cytokeratin 5 antibody. Counter stained with hematoxylin.
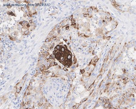
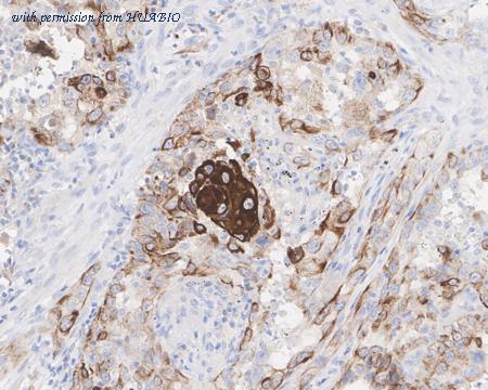
Immunohistochemical analysis of paraffin-embedded human lung cancer tissue using anti-Cytokeratin 5 antibody. Counter stained with hematoxylin.
quantity: 100μl
price: 385.00 USD
to the supplier
Cytokeratin 5
HUABIO
catalog: ET1610-43
domestic rabbit monoclonal (SC62-04)
reactivity:
human
,
mouse
,
rat
application:
western blot
,
flow cytometry
,
immunohistochemistry - paraffin section
Immunocytochemistry analysis of A431 cells labeling Cytokeratin 5 with Rabbit anti-Cytokeratin 5 antibody (ET1610-43) at 1/500 dilution and competitor's antibody at 1/100 dilution. Cells were fixed in 4% paraformaldehyde for 20 minutes at room temperature, permeabilized with 0.1% Triton X-100 in PBS for 5 minutes at room temperature, then blocked with 1% BSA in 10% negative goat serum for 1 hour at room temperature. Cells were then incubated with Rabbit anti-Cytokeratin 5 antibody (ET1610-43) at 1/500 dilution and competitor's antibody at 1/100 dilution in 1% BSA in PBST overnight at 4 ℃. Goat Anti-Rabbit IgG H&L (iFluor™ 488, HA1121) was used as the secondary antibody at 1/1,000 dilution. PBS instead of the primary antibody was used as the secondary antibody only control. Nuclear DNA was labelled in blue with DAPI. Beta tubulin (M1305-2, red) was stained at 1/100 dilution overnight at +4℃. Goat Anti-Mouse IgG H&L (iFluor™ 594, HA1126) was used as the secondary antibody at 1/1,000 dilution.
Western blot analysis of Cytokeratin 5 on different lysates with Rabbit anti-Cytokeratin 5 antibody (ET1610-43) at 1/5,000 dilution. Lane 1: A431 cell lysate Lane 2: MDA-MB-468 cell lysate Lane 3: MCF7 cell lysate (negative) Lane 4: Mouse skin tissue lysate Lane 5: Rat skin tissue lysate Lysates/proteins at 20 µg/Lane. Predicted band size: 62 kDa Observed band size: 57 kDa Exposure time: 2 minutes 6 seconds; 4-20% SDS-PAGE gel. Proteins were transferred to a PVDF membrane and blocked with 5% NFDM/TBST for 1 hour at room temperature. The primary antibody (ET1610-43) at 1/5,000 dilution was used in 5% NFDM/TBST at 4℃ overnight. Goat Anti-Rabbit IgG - HRP Secondary Antibody (HA1001) at 1/50,000 dilution was used for 1 hour at room temperature.
Immunohistochemical analysis of paraffin-embedded human skin tissue with Rabbit anti-Cytokeratin 5 antibody (ET1610-43) at 1/800 dilution and competitor's antibody at 1/800 dilution. The section was not undergone antigen retrieval. The tissues were blocked in 1% BSA for 20 minutes at room temperature, washed with ddH2O and PBS, and then probed with the primary antibody (ET1610-43) at 1/800 dilution and competitor's antibody at 1/800 dilution for 1 hour at room temperature. The detection was performed using an HRP conjugated compact polymer system. DAB was used as the chromogen. Tissues were counterstained with hematoxylin and mounted with DPX.
quantity: 100μl
price: 385.00 USD
to the supplier
Cytokeratin 5+6
HUABIO
catalog: HA500508
domestic rabbit polyclonal
reactivity:
human
application:
western blot
,
immunohistochemistry - paraffin section
Western blot analysis of Cytokeratin 5+6 on different lysates. Proteins were transferred to a PVDF membrane and blocked with 5% BSA in PBS for 1 hour at room temperature. The primary antibody (HA500508, 1/1,000) was used in 5% BSA at room temperature for 2 hours. Goat Anti-Rabbit IgG - HRP Secondary Antibody (HA1001) at 1:200,000 dilution was used for 1 hour at room temperature. Positive control: Lane 1: Human skin tissue lysate Lane 2: A431 cell lysate
Immunohistochemical analysis of paraffin-embedded human tonsil tissue using anti-Cytokeratin 5+6 antibody. The section was pre-treated using heat mediated antigen retrieval with sodium citrate buffer (pH 6.0) (high pressure) for 2 minutes. The tissues were blocked in 1% BSA for 30 minutes at room temperature, washed with ddH2O and PBS, and then probed with the primary antibody (HA500508, 1/600) for 30 minutes at room temperature. The detection was performed using an HRP conjugated compact polymer system. DAB was used as the chromogen. Tissues were counterstained with hematoxylin and mounted with DPX.
Immunohistochemical analysis of paraffin-embedded human lung adenocarcinoma tissue using anti-Cytokeratin 5+6 antibody. The section was pre-treated using heat mediated antigen retrieval with sodium citrate buffer (pH 6.0) (high pressure) for 2 minutes. The tissues were blocked in 1% BSA for 30 minutes at room temperature, washed with ddH2O and PBS, and then probed with the primary antibody (HA500508, 1/600) for 30 minutes at room temperature. The detection was performed using an HRP conjugated compact polymer system. DAB was used as the chromogen. Tissues were counterstained with hematoxylin and mounted with DPX.
quantity: 100μl
price: 330 USD
to the supplier
Cytokeratin 5+6
HUABIO
catalog: HA601233
mouse monoclonal (A2B2-R)
reactivity:
human
,
rat
application:
western blot
,
immunohistochemistry - paraffin section
Western blot analysis of Cytokeratin 5+6 on different lysates with Mouse anti-Cytokeratin 5+6 antibody (HA601233) at 1/1,000 dilution. Lane 1: HT-29 cell lysate Lane 2: A549 cell lysate Lane 3: MCF7 cell lysate Lysates/proteins at 20 µg/Lane. Predicted band size: 60/62 kDa Observed band size: 50 kDa Exposure time: 3 minutes; 4-20% SDS-PAGE gel. Proteins were transferred to a PVDF membrane and blocked with 5% NFDM/TBST for 1 hour at room temperature. The primary antibody (HA601233) at 1/1,000 dilution was used in 5% NFDM/TBST at 4℃ overnight. Goat Anti-Mouse IgG - HRP Secondary Antibody (HA1006) at 1/50,000 dilution was used for 1 hour at room temperature.
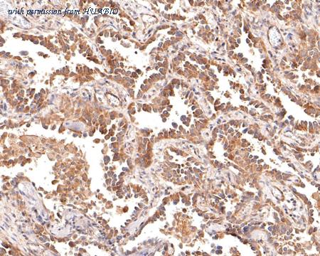
Immunohistochemical analysis of paraffin-embedded human lung adenocarcinoma tissue with Mouse anti-Cytokeratin 5+6 antibody (HA601233) at 1/200 dilution. The section was pre-treated using heat mediated antigen retrieval with Tris-EDTA buffer (pH 9.0) for 20 minutes. The tissues were blocked in 1% BSA for 20 minutes at room temperature, washed with ddH2O and PBS, and then probed with the primary antibody (HA601233) at 1/200 dilution for 1 hour at room temperature. The detection was performed using an HRP conjugated compact polymer system. DAB was used as the chromogen. Tissues were counterstained with hematoxylin and mounted with DPX.
Immunohistochemical analysis of paraffin-embedded human skin tissue with Mouse anti-Cytokeratin 5+6 antibody (HA601233) at 1/1,000 dilution. The section was pre-treated using heat mediated antigen retrieval with Tris-EDTA buffer (pH 9.0) for 20 minutes. The tissues were blocked in 1% BSA for 20 minutes at room temperature, washed with ddH2O and PBS, and then probed with the primary antibody (HA601233) at 1/1,000 dilution for 1 hour at room temperature. The detection was performed using an HRP conjugated compact polymer system. DAB was used as the chromogen. Tissues were counterstained with hematoxylin and mounted with DPX.
quantity: 100μl
price: 360.00 USD
to the supplier
Cytokeratin 5+6
HUABIO
catalog: HA610108
mouse monoclonal (A2B2-R)
reactivity:
human
,
rat
application:
western blot
,
immunohistochemistry - paraffin section
Western blot analysis of Cytokeratin 5+6 on different lysates with Mouse anti-Cytokeratin 5+6 antibody (HA610108) at 1/1,000 dilution. Lane 1: HT-29 cell lysate Lane 2: A549 cell lysate Lane 3: MCF7 cell lysate Lysates/proteins at 20 µg/Lane. Predicted band size: 60/62 kDa Observed band size: 50 kDa Exposure time: 3 minutes; 4-20% SDS-PAGE gel. Proteins were transferred to a PVDF membrane and blocked with 5% NFDM/TBST for 1 hour at room temperature. The primary antibody (HA610108) at 1/1,000 dilution was used in 5% NFDM/TBST at 4℃ overnight. Goat Anti-Mouse IgG - HRP Secondary Antibody (HA1006) at 1/50,000 dilution was used for 1 hour at room temperature.
Immunohistochemical analysis of paraffin-embedded human lung adenocarcinoma tissue with Mouse anti-Cytokeratin 5+6 antibody (HA610108) at 1/200 dilution. The section was pre-treated using heat mediated antigen retrieval with Tris-EDTA buffer (pH 9.0) for 20 minutes. The tissues were blocked in 1% BSA for 20 minutes at room temperature, washed with ddH2O and PBS, and then probed with the primary antibody (HA610108) at 1/200 dilution for 1 hour at room temperature. The detection was performed using an HRP conjugated compact polymer system. DAB was used as the chromogen. Tissues were counterstained with hematoxylin and mounted with DPX.
Immunohistochemical analysis of paraffin-embedded human skin tissue with Mouse anti-Cytokeratin 5+6 antibody (HA610108) at 1/1,000 dilution. The section was pre-treated using heat mediated antigen retrieval with Tris-EDTA buffer (pH 9.0) for 20 minutes. The tissues were blocked in 1% BSA for 20 minutes at room temperature, washed with ddH2O and PBS, and then probed with the primary antibody (HA610108) at 1/1,000 dilution for 1 hour at room temperature. The detection was performed using an HRP conjugated compact polymer system. DAB was used as the chromogen. Tissues were counterstained with hematoxylin and mounted with DPX.
quantity: 100μg
price: 649.00 USD
to the supplier
Cytokeratin 5
HUABIO
catalog: HA720121F
domestic rabbit monoclonal (SC62-04)
reactivity:
human
Immunofluorescence analysis of paraffin-embedded human skin tissue labeling Cytokeratin 5 (HA720121F) and Vimentin (EM0401). The section was pre-treated using heat mediated antigen retrieval with Tris-EDTA buffer (pH 9.0) for 20 minutes. The tissues were blocked in 10% negative goat serum for 1 hour at room temperature, washed with PBS. And then probed with the primary antibodies Cytokeratin 5 (HA720121F, red) at 1/50 dilution and Vimentin (EM0401, green) at 1/200 dilution at +4℃ overnight, washed with PBS. Goat Anti-Mouse IgG H&L (iFluor™ 488, HA1125) were used as the secondary antibody at 1/1,000 dilution. Nuclei were counterstained with DAPI (blue).
Immunofluorescence analysis of paraffin-embedded human tonsil tissue labeling Cytokeratin 5 (HA720121F) and Vimentin (EM0401). The section was pre-treated using heat mediated antigen retrieval with Tris-EDTA buffer (pH 9.0) for 20 minutes. The tissues were blocked in 10% negative goat serum for 1 hour at room temperature, washed with PBS. And then probed with the primary antibodies Cytokeratin 5 (HA720121F, red) at 1/50 dilution and Vimentin (EM0401, green) at 1/200 dilution at +4℃ overnight, washed with PBS. Goat Anti-Mouse IgG H&L (iFluor™ 488, HA1125) were used as the secondary antibody at 1/1,000 dilution. Nuclei were counterstained with DAPI (blue).
quantity: 100μl
price: 429.00 USD
to the supplier
Cytokeratin 5
HUABIO
catalog: HA720126F
domestic rabbit monoclonal (SC62-04)
reactivity:
human
Immunofluorescence analysis of paraffin-embedded human skin tissue labeling Cytokeratin 5 (HA720126F) and Vimentin (EM0401). The section was pre-treated using heat mediated antigen retrieval with Tris-EDTA buffer (pH 9.0) for 20 minutes. The tissues were blocked in 10% negative goat serum for 1 hour at room temperature, washed with PBS. And then probed with the primary antibodies Cytokeratin 5 (HA720126F, red) at 1/50 dilution and Vimentin (EM0401, green) at 1/1,000 dilution overnight at 4 ℃, washed with PBS. iFluor™ 488 conjugate-Goat anti-Mouse IgG (HA1125) was used as the secondary antibody at 1/1,000 dilution. DAPI was used as nuclear counterstain.
Immunocytochemistry analysis of A431 cells labeling Cytokeratin 5 with Rabbit anti-Cytokeratin 5 antibody (HA720126F) at 1/100 dilution. Cells were fixed in 100% methanol for 10 minutes, permeabilized with 0.1% Triton X-100 in PBS for 15 minutes, and then blocked with 2% normal goat serum for 30 minutes at room temperature. Cells were then incubated with Rabbit anti-Cytokeratin 5 antibody (HA720126F) at 1/100 dilution in 2% normal goat serum overnight at 4 ℃. Nuclear DNA was labelled in blue with DAPI. Beta tubulin (M1305-2, green) was stained at 1/200 dilution overnight at +4℃. Goat Anti-Mouse IgG H&L (iFluor™ 488, HA1125) were used as the secondary antibody at 1/800 dilution.
quantity: 100μl
price: 429.00 USD
to the supplier
Cytokeratin 5
HUABIO
catalog: HA720129F
domestic rabbit monoclonal (SC62-04)
reactivity:
human
Immunofluorescence analysis of paraffin-embedded human skin tissue labeling Cytokeratin 5 (HA720129F) and Vimentin (EM0401). The section was pre-treated using heat mediated antigen retrieval with Tris-EDTA buffer (pH 9.0) for 20 minutes. The tissues were blocked in 10% negative goat serum for 1 hour at room temperature, washed with PBS. And then probed with the primary antibodies Cytokeratin 5 (HA720129F, green) at 1/200 dilution and Vimentin (EM0401, red) at 1/1,000 dilution overnight at 4 ℃, washed with PBS. iFluor™ 594 conjugate-Goat anti-Mouse IgG (HA1126) was used as the secondary antibody at 1/1,000 dilution. DAPI was used as nuclear counterstain.
Immunocytochemistry analysis of A431 cells labeling Cytokeratin 5 with Rabbit anti-Cytokeratin 5 antibody (HA720129F) at 1/100 dilution. Cells were fixed in 100% methanol for 10 minutes, permeabilized with 0.1% Triton X-100 in PBS for 15 minutes, and then blocked with 1% BSA for 30 minutes at room temperature. Cells were then incubated with Rabbit anti-Cytokeratin 5 antibody (HA720129F) at 1/100 dilution in 1% BSA overnight at 4 ℃. Nuclear DNA was labelled in blue with DAPI. Beta tubulin (M1305-2, red) was stained at 1/200 dilution overnight at +4℃. Goat Anti-Mouse IgG H&L (iFluor™ 594, HA1126) was used as the secondary antibody at 1/800 dilution.
Immunofluorescence analysis of paraffin-embedded human skin tissue labeling Cytokeratin 5 (HA720129F), Cytokeratin 1 (HA720141F) and Cytokeratin 10 (HA720119F). The section was pre-treated using heat mediated antigen retrieval with Tris-EDTA buffer (pH 9.0) for 20 minutes. The tissues were blocked in 10% negative goat serum for 1 hour at room temperature, washed with PBS. And then probed with the primary antibodies Cytokeratin 5 (HA720129F, green) at 1/100 dilution, Cytokeratin 1 (HA720141F, red) at 1/400 dilution and Cytokeratin 10 (HA720119F, yellow) at 1/400 dilution overnight at 4 ℃, washed with PBS. DAPI was used as nuclear counterstain.
quantity: 100μl
price: 429.00 USD
to the supplier
Cytokeratin 5+6
HUABIO
catalog: HA721455
domestic rabbit monoclonal (PSH0-67)
reactivity:
human
,
mouse
,
rat
application:
western blot
,
immunohistochemistry - paraffin section
Immunohistochemical analysis of paraffin-embedded human breast tissue with Rabbit anti-Cytokeratin 5+6 antibody (HA721455) at 1/1,000 dilution. The section was pre-treated using heat mediated antigen retrieval with Tris-EDTA buffer (pH 9.0) for 20 minutes. The tissues were blocked in 1% BSA for 20 minutes at room temperature, washed with ddH2O and PBS, and then probed with the primary antibody (HA721455) at 1/1,000 dilution for 1 hour at room temperature. The detection was performed using an HRP conjugated compact polymer system. DAB was used as the chromogen. Tissues were counterstained with hematoxylin and mounted with DPX.
Immunohistochemical analysis of paraffin-embedded mouse skin tissue with Rabbit anti-Cytokeratin 5+6 antibody (HA721455) at 1/1,000 dilution. The section was pre-treated using heat mediated antigen retrieval with Tris-EDTA buffer (pH 9.0) for 20 minutes. The tissues were blocked in 1% BSA for 20 minutes at room temperature, washed with ddH2O and PBS, and then probed with the primary antibody (HA721455) at 1/1,000 dilution for 1 hour at room temperature. The detection was performed using an HRP conjugated compact polymer system. DAB was used as the chromogen. Tissues were counterstained with hematoxylin and mounted with DPX.
Immunohistochemical analysis of paraffin-embedded rat skin tissue with Rabbit anti-Cytokeratin 5+6 antibody (HA721455) at 1/1,000 dilution. The section was pre-treated using heat mediated antigen retrieval with Tris-EDTA buffer (pH 9.0) for 20 minutes. The tissues were blocked in 1% BSA for 20 minutes at room temperature, washed with ddH2O and PBS, and then probed with the primary antibody (HA721455) at 1/1,000 dilution for 1 hour at room temperature. The detection was performed using an HRP conjugated compact polymer system. DAB was used as the chromogen. Tissues were counterstained with hematoxylin and mounted with DPX.
quantity: 100μl
price: 385.00 USD
to the supplier
Cytokeratin 5+6
HUABIO
catalog: HA721456
domestic rabbit monoclonal (PSH0-68)
reactivity:
human
application:
western blot
,
flow cytometry
Western blot analysis of Cytokeratin 5+6 on different lysates with Rabbit anti-Cytokeratin 5+6 antibody (HA721456) at 1/1,000 dilution. Lane 1: A431 cell lysate Lane 2: NCI-H226 cell lysate Lysates/proteins at 10 µg/Lane. Predicted band size: 60 kDa Observed band size: 55 kDa Exposure time: 1 minute; 4-20% SDS-PAGE gel. Proteins were transferred to a PVDF membrane and blocked with 5% NFDM/TBST for 1 hour at room temperature. The primary antibody (HA721456) at 1/1,000 dilution was used in 5% NFDM/TBST at room temperature for 2 hours. Goat Anti-Rabbit IgG - HRP Secondary Antibody (HA1001) at 1:100,000 dilution was used for 1 hour at room temperature.
Western blot analysis of Cytokeratin 5+6 on different lysates with Rabbit anti-Cytokeratin 5+6 antibody (HA721456) at 1/1,000 dilution. Lane 1: Mouse brain tissue lysate (hot lysis) Lane 2: Rat brain tissue lysate (hot lysis) Lane 3: Rat brain tissue lysate (RIPA lysis) Lysates/proteins at 40 µg/Lane. Predicted band size: 60 kDa Observed band size: 60 kDa Exposure time: 1 minute 40 seconds; 4-20% SDS-PAGE gel. Proteins were transferred to a PVDF membrane and blocked with 5% NFDM/TBST for 1 hour at room temperature. The primary antibody (HA721456) at 1/1,000 dilution was used in 5% NFDM/TBST at room temperature for 2 hours. Goat Anti-Rabbit IgG - HRP Secondary Antibody (HA1001) at 1:100,000 dilution was used for 1 hour at room temperature.
Immunocytochemistry analysis of HeLa cells labeling Cytokeratin 5+6 with Rabbit anti-Cytokeratin 5+6 antibody (HA721456) at 1/100 dilution. Cells were fixed in 4% paraformaldehyde for 10 minutes at 37 ℃, permeabilized with 0.05% Triton X-100 in PBS for 20 minutes, and then blocked with 2% negative goat serum for 30 minutes at room temperature. Cells were then incubated with Rabbit anti-Cytokeratin 5+6 antibody (HA721456) at 1/100 dilution in 2% negative goat serum overnight at 4 ℃. Goat Anti-Rabbit IgG H&L (iFluor™ 488, HA1121) was used as the secondary antibody at 1/1,000 dilution. Nuclear DNA was labelled in blue with DAPI. Beta tubulin (M1305-2, red) was stained at 1/200 dilution overnight at +4℃. Goat Anti-Mouse IgG H&L (iFluor™ 594, HA1126) was used as the secondary antibody at 1/1,000 dilution.
quantity: 100μl
price: 385.00 USD
to the supplier
Cytokeratin 5+6
HUABIO
catalog: HA750645
domestic rabbit monoclonal (PSH0-68)
reactivity:
human
application:
western blot
,
flow cytometry
Western blot analysis of Cytokeratin 5+6 on different lysates with Rabbit anti-Cytokeratin 5+6 antibody (HA750645) at 1/1,000 dilution. Lane 1: A431 cell lysate Lane 2: NCI-H226 cell lysate Lysates/proteins at 10 µg/Lane. Predicted band size: 60 kDa Observed band size: 55 kDa Exposure time: 1 minute; 4-20% SDS-PAGE gel. Proteins were transferred to a PVDF membrane and blocked with 5% NFDM/TBST for 1 hour at room temperature. The primary antibody (HA750645) at 1/1,000 dilution was used in 5% NFDM/TBST at room temperature for 2 hours. Goat Anti-Rabbit IgG - HRP Secondary Antibody (HA1001) at 1:100,000 dilution was used for 1 hour at room temperature.
Western blot analysis of Cytokeratin 5+6 on different lysates with Rabbit anti-Cytokeratin 5+6 antibody (HA750645) at 1/1,000 dilution. Lane 1: Mouse brain tissue lysate (hot lysis) Lane 2: Rat brain tissue lysate (hot lysis) Lane 3: Rat brain tissue lysate (RIPA lysis) Lysates/proteins at 40 µg/Lane. Predicted band size: 60 kDa Observed band size: 60 kDa Exposure time: 1 minute 40 seconds; 4-20% SDS-PAGE gel. Proteins were transferred to a PVDF membrane and blocked with 5% NFDM/TBST for 1 hour at room temperature. The primary antibody (HA750645) at 1/1,000 dilution was used in 5% NFDM/TBST at room temperature for 2 hours. Goat Anti-Rabbit IgG - HRP Secondary Antibody (HA1001) at 1:100,000 dilution was used for 1 hour at room temperature.
Immunocytochemistry analysis of HeLa cells labeling Cytokeratin 5+6 with Rabbit anti-Cytokeratin 5+6 antibody (HA750645) at 1/100 dilution. Cells were fixed in 4% paraformaldehyde for 10 minutes at 37 ℃, permeabilized with 0.05% Triton X-100 in PBS for 20 minutes, and then blocked with 2% negative goat serum for 30 minutes at room temperature. Cells were then incubated with Rabbit anti-Cytokeratin 5+6 antibody (HA750645) at 1/100 dilution in 2% negative goat serum overnight at 4 ℃. Goat Anti-Rabbit IgG H&L (iFluor™ 488, HA1121) was used as the secondary antibody at 1/1,000 dilution. Nuclear DNA was labelled in blue with DAPI. Beta tubulin (M1305-2, red) was stained at 1/200 dilution overnight at +4℃. Goat Anti-Mouse IgG H&L (iFluor™ 594, HA1126) was used as the secondary antibody at 1/1,000 dilution.
quantity: 100μl
price: 649.00 USD
to the supplier
Cytokeratin 5
HUABIO
catalog: IRS249RB
domestic rabbit monoclonal
reactivity:
human
mIHC analysis of human oral squamous cell carcinoma tissue (Formalin/PFA-fixed paraffin-embedded sections) with Rabbit anti-Cytokeratin 5 antibody (IRS249RB) at 1/100 dilution. The immunostaining was performed with the IRISKitCmTSA Kit (900808). Heat mediated antigen retrieval with Tris-EDTA buffer (pH 9.0) for 30 mins at 95℃. DAPI (blue) was used as a nuclear counter stain. Image acquisition was performed with Olympus VS200 Slide Scanner.
mIHC analysis of human pancreatic cancer tissue (Formalin/PFA-fixed paraffin-embedded sections) with Rabbit anti-Cytokeratin 5 antibody (IRS249RB) at 1/100 dilution. The immunostaining was performed with the IRISKitCmTSA Kit (900808). Heat mediated antigen retrieval with Tris-EDTA buffer (pH 9.0) for 30 mins at 95℃. DAPI (blue) was used as a nuclear counter stain. Image acquisition was performed with Olympus VS200 Slide Scanner.
quantity: 50T
price: 278.00 USD
to the supplier