Sign in
Sign up
home
>
HUABIO
> HUABIO Ras antibody
Ras
HUABIO
catalog: ER40115
domestic rabbit polyclonal
reactivity:
human
,
mouse
,
rat
application:
western blot
,
flow cytometry
,
immunohistochemistry - paraffin section
Western blot analysis of Ras on different lysates with Rabbit anti-Ras antibody (ER40115) at 1/1,000 dilution. Lane 1: MCF7 cell lysate (15 µg/Lane) Lane 2: HeLa cell lysate (15 µg/Lane) Lane 3: NIH/3T3 cell lysate (15 µg/Lane) Lane 4: Mouse brain tissue lysate (30 µg/Lane) Lane 5: Mouse ovary tissue lysate (30 µg/Lane) Lane 6: Rat brain tissue lysate (30 µg/Lane) Predicted band size: 21 kDa Observed band size: 21 kDa Exposure time: 25 seconds; ECL: K1801; 4-20% SDS-PAGE gel. Proteins were transferred to a PVDF membrane and blocked with 5% NFDM/TBST for 1 hour at room temperature. The primary antibody (ER40115) at 1/1,000 dilution was used in 5% NFDM/TBST at 4℃ overnight. Goat Anti-Rabbit IgG - HRP Secondary Antibody (HA1001) at 1/50,000 dilution was used for 1 hour at room temperature.
Immunocytochemistry analysis of HeLa cells labeling Ras with Rabbit anti-Ras antibody (ER40115) at 1/100 dilution. Cells were fixed in 4% paraformaldehyde for 15 minutes at room temperature, permeabilized with 0.1% Triton X-100 in PBS for 15 minutes at room temperature, then blocked with 1% BSA in 10% negative goat serum for 1 hour at room temperature. Cells were then incubated with Rabbit anti-Ras antibody (ER40115) at 1/100 dilution in 1% BSA in PBST overnight at 4 ℃. Goat Anti-Rabbit IgG H&L (iFluor™ 488, HA1121) was used as the secondary antibody at 1/1,000 dilution. PBS instead of the primary antibody was used as the secondary antibody only control. Nuclear DNA was labelled in blue with DAPI. Beta tubulin (HA601187, red) was stained at 1/100 dilution overnight at +4℃. Goat Anti-Mouse IgG H&L (iFluor™ 594, HA1126) was used as the secondary antibody at 1/1,000 dilution.
Immunocytochemistry analysis of PC-12 cells labeling Ras with Rabbit anti-Ras antibody (ER40115) at 1/100 dilution. Cells were fixed in 4% paraformaldehyde for 15 minutes at room temperature, permeabilized with 0.1% Triton X-100 in PBS for 15 minutes at room temperature, then blocked with 1% BSA in 10% negative goat serum for 1 hour at room temperature. Cells were then incubated with Rabbit anti-Ras antibody (ER40115) at 1/100 dilution in 1% BSA in PBST overnight at 4 ℃. Goat Anti-Rabbit IgG H&L (iFluor™ 488, HA1121) was used as the secondary antibody at 1/1,000 dilution. PBS instead of the primary antibody was used as the secondary antibody only control. Nuclear DNA was labelled in blue with DAPI. Beta tubulin (HA601187, red) was stained at 1/100 dilution overnight at +4℃. Goat Anti-Mouse IgG H&L (iFluor™ 594, HA1126) was used as the secondary antibody at 1/1,000 dilution.
quantity: 100μl
price: 330 USD
to the supplier
Ras
HUABIO
catalog: ET1601-16
domestic rabbit monoclonal (SA39-05)
reactivity:
human
,
mouse
,
rat
,
zebrafish
application:
western blot
,
immunoprecipitation
,
flow cytometry
Western blot analysis of Ras on different lysates with Rabbit anti-Ras antibody (ET1601-16) at 1/1,000 dilution. Lane 1: 293T cell lysate (10 µg/Lane) Lane 2: MCF7 cell lysate (10 µg/Lane) Lane 3: NIH/3T3 cell lysate (10 µg/Lane) Lane 4: Neuro-2a cell lysate (10 µg/Lane) Lane 5: PC-12 cell lysate (10 µg/Lane) Lane 6: Mouse brain tissue lysate (20 µg/Lane) Predicted band size: 21 kDa Observed band size: 21 kDa Exposure time: 30 seconds; ECL: K1801; 4-20% SDS-PAGE gel. Proteins were transferred to a PVDF membrane and blocked with 5% NFDM/TBST for 1 hour at room temperature. The primary antibody (ET1601-16) at 1/1,000 dilution was used in 5% NFDM/TBST at 4℃ overnight. Goat Anti-Rabbit IgG - HRP Secondary Antibody (HA1001) at 1/50,000 dilution was used for 1 hour at room temperature.
Immunocytochemistry analysis of MCF7 cells labeling Ras with Rabbit anti-Ras antibody (ET1601-16) at 1/100 dilution. Cells were fixed in 4% paraformaldehyde for 15 minutes at room temperature, permeabilized with 0.1% Triton X-100 in PBS for 15 minutes at room temperature, then blocked with 1% BSA in 10% negative goat serum for 1 hour at room temperature. Cells were then incubated with Rabbit anti-Ras antibody (ET1601-16) at 1/100 dilution in 1% BSA in PBST overnight at 4 ℃. Goat Anti-Rabbit IgG H&L (iFluor™ 488, HA1121) was used as the secondary antibody at 1/1,000 dilution. PBS instead of the primary antibody was used as the secondary antibody only control. Nuclear DNA was labelled in blue with DAPI. Beta tubulin (HA601187, red) was stained at 1/100 dilution overnight at +4℃. Goat Anti-Mouse IgG H&L (iFluor™ 594, HA1126) was used as the secondary antibody at 1/1,000 dilution.
Immunocytochemistry analysis of NIH/3T3 cells labeling Ras with Rabbit anti-Ras antibody (ET1601-16) at 1/100 dilution. Cells were fixed in 4% paraformaldehyde for 15 minutes at room temperature, permeabilized with 0.1% Triton X-100 in PBS for 15 minutes at room temperature, then blocked with 1% BSA in 10% negative goat serum for 1 hour at room temperature. Cells were then incubated with Rabbit anti-Ras antibody (ET1601-16) at 1/100 dilution in 1% BSA in PBST overnight at 4 ℃. Goat Anti-Rabbit IgG H&L (iFluor™ 488, HA1121) was used as the secondary antibody at 1/1,000 dilution. PBS instead of the primary antibody was used as the secondary antibody only control. Nuclear DNA was labelled in blue with DAPI. Beta tubulin (HA601187, red) was stained at 1/100 dilution overnight at +4℃. Goat Anti-Mouse IgG H&L (iFluor™ 594, HA1126) was used as the secondary antibody at 1/1,000 dilution.
quantity: 100μl
price: 385.00 USD
to the supplier
Ras
HUABIO
catalog: ET1702-94
domestic rabbit monoclonal (JF10-11)
reactivity:
human
,
mouse
,
rat
,
zebrafish
application:
western blot
,
immunoprecipitation
,
flow cytometry
Western blot analysis of Ras on different lysates with Rabbit anti-Ras antibody (ET1702-94) at 1/1,000 dilution. Lane 1: MCF7 cell lysate (15 µg/Lane) Lane 2: HeLa cell lysate (15 µg/Lane) Lane 3: NIH/3T3 cell lysate (15 µg/Lane) Lane 4: Mouse brain tissue lysate (30 µg/Lane) Lane 5: Mouse ovary tissue lysate (30 µg/Lane) Lane 6: Rat brain tissue lysate (30 µg/Lane) Predicted band size: 21 kDa Observed band size: 21 kDa Exposure time: 25 seconds; ECL: K1801; 4-20% SDS-PAGE gel. Proteins were transferred to a PVDF membrane and blocked with 5% NFDM/TBST for 1 hour at room temperature. The primary antibody (ET1702-94) at 1/1,000 dilution was used in 5% NFDM/TBST at 4℃ overnight. Goat Anti-Rabbit IgG - HRP Secondary Antibody (HA1001) at 1/50,000 dilution was used for 1 hour at room temperature.
Western blot analysis of Ras on different lysates. Proteins were transferred to a PVDF membrane and blocked with 5% BSA in PBS for 1 hour at room temperature. The primary antibody (ET1702-94, 1/500) was used in 5% BSA at room temperature for 2 hours. Goat Anti-Rabbit IgG - HRP Secondary Antibody (HA1001) at 1:5,000 dilution was used for 1 hour at room temperature. Positive control: Lane 1: 293T cell lysate Lane 2: MCF7 cell lysate Lane 3: HeLa cell lysate Lane 4: Zebrafish tissue lysate
Immunocytochemistry analysis of HeLa cells labeling Ras with Rabbit anti-Ras antibody (ET1702-94) at 1/100 dilution. Cells were fixed in 4% paraformaldehyde for 15 minutes at room temperature, permeabilized with 0.1% Triton X-100 in PBS for 15 minutes at room temperature, then blocked with 1% BSA in 10% negative goat serum for 1 hour at room temperature. Cells were then incubated with Rabbit anti-Ras antibody (ET1702-94) at 1/100 dilution in 1% BSA in PBST overnight at 4 ℃. Goat Anti-Rabbit IgG H&L (iFluor™ 488, HA1121) was used as the secondary antibody at 1/1,000 dilution. PBS instead of the primary antibody was used as the secondary antibody only control. Nuclear DNA was labelled in blue with DAPI. Beta tubulin (HA601187, red) was stained at 1/100 dilution overnight at +4℃. Goat Anti-Mouse IgG H&L (iFluor™ 594, HA1126) was used as the secondary antibody at 1/1,000 dilution.
quantity: 100μl
price: 385.00 USD
to the supplier
KRAS
HUABIO
catalog: HA601058
mouse monoclonal (A8E4)
reactivity:
human
,
mouse
,
rat
application:
western blot
,
flow cytometry
Western blot analysis of KRAS on different lysates with Mouse anti-KRAS antibody (HA601058) at 1/1,000 dilution. Lane 1: HeLa cell lysate (20 µg/Lane) Lane 2: A549 cell lysate (20 µg/Lane) Lane 3: Jurkat cell lysate (20 µg/Lane) Lane 4: PC-12 cell lysate (20 µg/Lane) Lane 5: Mouse brain tissue lysate (40 µg/Lane) Lane 6: Rat brain tissue lysate (40 µg/Lane) Predicted band size: 22 kDa Observed band size: 22 kDa Exposure time: 2 minutes; ECL: K1801; 4-20% SDS-PAGE gel. Proteins were transferred to a PVDF membrane and blocked with 5% NFDM/TBST for 1 hour at room temperature. The primary antibody (HA601058) at 1/1,000 dilution was used in 5% NFDM/TBST at 4℃ overnight. Goat Anti-Mouse IgG - HRP Secondary Antibody (HA1006) at 1/50,000 dilution was used for 1 hour at room temperature.
Immunocytochemistry analysis of Hela cells labeling KRAS with Mouse anti-KRAS antibody (HA601058) at 1/200 dilution. Cells were fixed in 4% paraformaldehyde for 30 minutes, permeabilized with 0.1% Triton X-100 in PBS for 15 minutes, and then blocked with 2% BSA for 30 minutes at room temperature. Cells were then incubated with Mouse anti-KRAS antibody (HA601058) at 1/200 dilution in 2% BSA overnight at 4 ℃. Goat Anti-Mouse IgG H&L (iFluor™ 488, HA1125) was used as the secondary antibody at 1/1,000 dilution. PBS instead of the primary antibody was used as the secondary antibody only control. Nuclear DNA was labelled in blue with DAPI.
Flow cytometric analysis of NIH/3T3 cells labeling KRAS. Cells were fixed and permeabilized, and then blocked with 2% negative goat serum for 15 minutes at room temperature.Then stained with the primary antibody (HA601058, 1ug/ml) (red) compared with Mouse IgG1 Isotype Control (green). After incubation of the primary antibody at +4℃ for an hour, the cells were stained with a iFluor™ 488 conjugate-Goat anti-Mouse IgG Secondary antibody (HA1125) at 1/1,000 dilution for 30 minutes at +4℃. Unlabelled sample was used as a control (cells without incubation with primary antibody; black).
quantity: 100μl
price: 360.00 USD
to the supplier
KRAS
HUABIO
catalog: HA601059
mouse monoclonal (A8E5)
reactivity:
human
,
mouse
,
rat
application:
western blot
,
flow cytometry
,
immunohistochemistry - paraffin section
Western blot analysis of KRAS on different lysates with Mouse anti-KRAS antibody (HA601059) at 1/2,000 dilution. Lane 1: HCT 116 cell lysate Lane 2: HEK-293 cell lysate Lane 3: 22RV1 cell lysate Lane 4: Mouse brain tissue lysate Lane 5: Mouse kidney tissue lysate Lane 6: Rat brain tissue lysate Lysates/proteins at 30 µg/Lane. Predicted band size: 22 kDa Observed band size: 22 kDa Exposure time: 3 minutes; ECL: K1801; 4-20% SDS-PAGE gel. Proteins were transferred to a PVDF membrane and blocked with 5% NFDM/TBST for 1 hour at room temperature. The primary antibody (HA601059) at 1/2,000 dilution was used in 5% NFDM/TBST at 4℃ overnight. Goat Anti-Mouse IgG - HRP Secondary Antibody (HA1006) at 1/50,000 dilution was used for 1 hour at room temperature.
Immunocytochemistry analysis of Jurkat cells labeling KRAS with Mouse anti-KRAS antibody (HA601059) at 1/100 dilution. Cells were fixed in 4% paraformaldehyde for 15 minutes at room temperature, permeabilized with 0.1% Triton X-100 in PBS for 15 minutes at room temperature, then blocked with 1% BSA in 10% negative goat serum for 1 hour at room temperature. Cells were then incubated with Mouse anti-KRAS antibody (HA601059) at 1/100 dilution in 1% BSA in PBST overnight at 4 ℃. Goat Anti-Mouse IgG H&L (iFluor™ 488, HA1125) was used as the secondary antibody at 1/1,000 dilution. PBS instead of the primary antibody was used as the secondary antibody only control. Nuclear DNA was labelled in blue with DAPI. beta Tubulin (ET1602-4, red) was stained at 1/100 dilution overnight at +4℃. Goat Anti-Rabbit IgG H&L (iFluor™ 594, HA1122) were used as the secondary antibody at 1/1,000 dilution.
Immunocytochemistry analysis of NIH/3T3 cells labeling KRAS with Mouse anti-KRAS antibody (HA601059) at 1/100 dilution. Cells were fixed in 4% paraformaldehyde for 30 minutes, permeabilized with 0.1% Triton X-100 in PBS for 15 minutes, and then blocked with 2% BSA for 30 minutes at room temperature. Cells were then incubated with Mouse anti-KRAS antibody (HA601059) at 1/100 dilution in 2% BSA overnight at 4 ℃. Goat Anti-Mouse IgG H&L (iFluor™ 488, HA1125) was used as the secondary antibody at 1/1,000 dilution. PBS instead of the primary antibody was used as the secondary antibody only control. Nuclear DNA was labelled in blue with DAPI.
quantity: 100μl
price: 360.00 USD
to the supplier
KRAS
HUABIO
catalog: HA601060
mouse monoclonal (A8E6)
reactivity:
human
,
mouse
,
rat
application:
western blot
,
immunohistochemistry - paraffin section
Western blot analysis of KRAS on different lysates with Mouse anti-KRAS antibody (HA601060) at 1/2,000 dilution. Lane 1: HEK-293 cell lysate Lane 2: 22RV1 cell lysate Lane 3: Mouse brain tissue lysate Lane 4: Mouse kidney tissue lysate Lane 5: Rat brain tissue lysate Lysates/proteins at 30 µg/Lane. Predicted band size: 22 kDa Observed band size: 22 kDa Exposure time: 43 seconds; 4-20% SDS-PAGE gel. Proteins were transferred to a PVDF membrane and blocked with 5% NFDM/TBST for 1 hour at room temperature. The primary antibody (HA601060) at 1/2,000 dilution was used in 5% NFDM/TBST at 4℃ overnight. Anti-Mouse IgG for IP Nano-secondary antibody (NBI02H) at 1/5,000 dilution was used for 1 hour at room temperature.
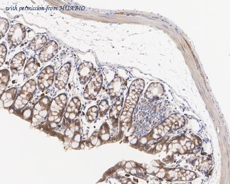
Immunohistochemical analysis of paraffin-embedded mouse colon tissue with Mouse anti-KRAS antibody (HA601060) at 1/1,000 dilution. The section was pre-treated using heat mediated antigen retrieval with Tris-EDTA buffer (pH 9.0) for 20 minutes. The tissues were blocked in 1% BSA for 20 minutes at room temperature, washed with ddH2O and PBS, and then probed with the primary antibody (HA601060) at 1/1,000 dilution for 1 hour at room temperature. The detection was performed using an HRP conjugated compact polymer system. DAB was used as the chromogen. Tissues were counterstained with hematoxylin and mounted with DPX.
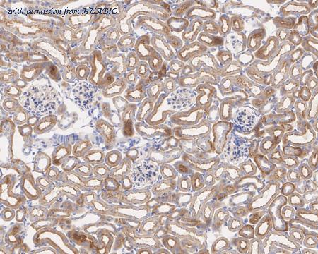
Immunohistochemical analysis of paraffin-embedded mouse kidney tissue with Mouse anti-KRAS antibody (HA601060) at 1/1,000 dilution. The section was pre-treated using heat mediated antigen retrieval with Tris-EDTA buffer (pH 9.0) for 20 minutes. The tissues were blocked in 1% BSA for 20 minutes at room temperature, washed with ddH2O and PBS, and then probed with the primary antibody (HA601060) at 1/1,000 dilution for 1 hour at room temperature. The detection was performed using an HRP conjugated compact polymer system. DAB was used as the chromogen. Tissues were counterstained with hematoxylin and mounted with DPX.
quantity: 100μl
price: 360.00 USD
to the supplier
KRAS
HUABIO
catalog: HA610008
mouse monoclonal (A8E6)
reactivity:
human
,
mouse
,
rat
application:
western blot
,
immunohistochemistry - paraffin section
Western blot analysis of KRAS on different lysates with Mouse anti-KRAS antibody (HA610008) at 1/2,000 dilution. Lane 1: HEK-293 cell lysate Lane 2: 22RV1 cell lysate Lane 3: Mouse brain tissue lysate Lane 4: Mouse kidney tissue lysate Lane 5: Rat brain tissue lysate Lysates/proteins at 30 µg/Lane. Predicted band size: 22 kDa Observed band size: 22 kDa Exposure time: 43 seconds; 4-20% SDS-PAGE gel. Proteins were transferred to a PVDF membrane and blocked with 5% NFDM/TBST for 1 hour at room temperature. The primary antibody (HA610008) at 1/2,000 dilution was used in 5% NFDM/TBST at 4℃ overnight. Anti-Mouse IgG for IP Nano-secondary antibody (NBI02H) at 1/5,000 dilution was used for 1 hour at room temperature.
Immunohistochemical analysis of paraffin-embedded mouse colon tissue with Mouse anti-KRAS antibody (HA610008) at 1/1,000 dilution. The section was pre-treated using heat mediated antigen retrieval with Tris-EDTA buffer (pH 9.0) for 20 minutes. The tissues were blocked in 1% BSA for 20 minutes at room temperature, washed with ddH2O and PBS, and then probed with the primary antibody (HA610008) at 1/1,000 dilution for 1 hour at room temperature. The detection was performed using an HRP conjugated compact polymer system. DAB was used as the chromogen. Tissues were counterstained with hematoxylin and mounted with DPX.
Immunohistochemical analysis of paraffin-embedded mouse kidney tissue with Mouse anti-KRAS antibody (HA610008) at 1/1,000 dilution. The section was pre-treated using heat mediated antigen retrieval with Tris-EDTA buffer (pH 9.0) for 20 minutes. The tissues were blocked in 1% BSA for 20 minutes at room temperature, washed with ddH2O and PBS, and then probed with the primary antibody (HA610008) at 1/1,000 dilution for 1 hour at room temperature. The detection was performed using an HRP conjugated compact polymer system. DAB was used as the chromogen. Tissues were counterstained with hematoxylin and mounted with DPX.
quantity: 100μg
price: 649.00 USD
to the supplier
Ras
HUABIO
catalog: HA721883
domestic rabbit monoclonal (JE44-13)
reactivity:
human
,
mouse
,
rat
application:
western blot
,
flow cytometry
Western blot analysis of Ras on different lysates with Rabbit anti-Ras antibody (HA721883) at 1/1,000 dilution. Lane 1: HEK-293 cell lysate (20 µg/Lane) Lane 2: Jurkat cell lysate (20 µg/Lane) Lane 3: SH-SY5Y cell lysate (20 µg/Lane) Lane 4: MCF7 cell lysate (20 µg/Lane) Lane 5: A431 cell lysate (20 µg/Lane) Lane 6: A375 cell lysate (20 µg/Lane) Lane 7: C6 cell lysate (20 µg/Lane) Lane 8: NIH/3T3 cell lysate (20 µg/Lane) Lane 9: Rat spleen tissue lysate (40 µg/Lane) Lane 10: Mouse spleen tissue lysate (40 µg/Lane) Predicted band size: 21 kDa Observed band size: 21 kDa Exposure time: 25 seconds; 4-20% SDS-PAGE gel. Proteins were transferred to a PVDF membrane and blocked with 5% NFDM/TBST for 1 hour at room temperature. The primary antibody (HA721883) at 1/1,000 dilution was used in 5% NFDM/TBST at 4℃ overnight. Goat Anti-Rabbit IgG - HRP Secondary Antibody (HA1001) at 1/50,000 dilution was used for 1 hour at room temperature.
Immunocytochemistry analysis of MCF7 cells labeling Ras with Rabbit anti-Ras antibody (HA721883) at 1/100 dilution. Cells were fixed in 4% paraformaldehyde for 20 minutes at room temperature, permeabilized with 0.1% Triton X-100 in PBS for 5 minutes at room temperature, then blocked with 1% BSA in 10% negative goat serum for 1 hour at room temperature. Cells were then incubated with Rabbit anti-Ras antibody (HA721883) at 1/100 dilution in 1% BSA in PBST overnight at 4 ℃. Goat Anti-Rabbit IgG H&L (iFluor™ 488, HA1121) was used as the secondary antibody at 1/1,000 dilution. PBS instead of the primary antibody was used as the secondary antibody only control. Nuclear DNA was labelled in blue with DAPI.
Flow cytometric analysis of MCF7 cells labeling Ras. Cells were fixed and permeabilized. Then stained with the primary antibody (HA721883, 1μg/mL) (red) compared with Rabbit IgG Isotype Control (green). After incubation of the primary antibody at +4℃ for an hour, the cells were stained with a iFluor™ 488 conjugate-Goat anti-Rabbit IgG Secondary antibody (HA1121) at 1/1,000 dilution for 30 minutes at +4℃. Unlabelled sample was used as a control (cells without incubation with primary antibody; black).
quantity: 100μl
price: 385.00 USD
to the supplier