domestic rabbit polyclonal
reactivity: human, mouse, rat
application: western blot, immunohistochemistry - paraffin section
reactivity: human, mouse, rat
application: western blot, immunohistochemistry - paraffin section

Western blot analysis of Integrin beta-3 on A431 (1) and rat spleen tissue (2) lysate using anti-Integrin beta-3 antibody at 1/1,000 dilution.

Immunohistochemical analysis of paraffin-embedded rat ossature tissue using anti-Integrin beta-3 antibody. Counter stained with hematoxylin.

Immunohistochemical analysis of paraffin-embedded human tonsil tissue using anti-Integrin beta-3 antibody. Counter stained with hematoxylin.
quantity: 100μl
price: 330 USD
to the supplier
domestic rabbit monoclonal (SJ19-09)
reactivity: human, mouse
application: western blot, immunohistochemistry - paraffin section
reactivity: human, mouse
application: western blot, immunohistochemistry - paraffin section

Western blot analysis of Integrin beta 3 on U-87 MG cell lysates with Rabbit anti-Integrin beta 3 antibody (ET1606-49) at 1/2,000 dilution. Lysates/proteins at 15 µg/Lane. Predicted band size: 87 kDa Observed band size: 100 kDa Exposure time: 1 minute 40 seconds; 4-20% SDS-PAGE gel. Proteins were transferred to a PVDF membrane and blocked with 5% NFDM/TBST for 1 hour at room temperature. The primary antibody (ET1606-49) at 1/2,000 dilution was used in 5% NFDM/TBST at 4℃ overnight. Goat Anti-Rabbit IgG - HRP Secondary Antibody (HA1001) at 1:100,000 dilution was used for 1 hour at room temperature.

Western blot analysis of Integrin beta 3 on different lysates with Rabbit anti-Integrin beta 3 antibody (ET1606-49) at 1/500 dilution. Lane 1: U87-MG-si NT cell lysate Lane 2: U87-MG-si Integrin beta 3 cell lysate Lysates/proteins at 10 µg/Lane. Predicted band size: 87 kDa Observed band size: 87,100 kDa Exposure time: 1 minutes 10 seconds; 4-20% SDS-PAGE gel. ET1606-49 was shown to specifically react with Integrin beta 3 in U87-MG-si NT cells. Weakened band was observed when U87-MG-si Integrin beta 3 sample was tested. U87-MG-si NT and U87-MG-si Integrin beta 3 samples were subjected to SDS-PAGE. Proteins were transferred to a PVDF membrane and blocked with 5% NFDM in TBST for 1 hour at room temperature. The primary antibody (ET1606-49, 1/500) and Loading control antibody (Rabbit anti-Hsp90, ET1605-56, 1/10,000) were used in 5% BSA at room temperature for 2 hours. Goat Anti-rabbit IgG-HRP Secondary Antibody (HA1001) at 1:200,000 dilution was used for 1 hour at room temperature.

Immunohistochemical analysis of paraffin-embedded human spleen tissue with Rabbit anti-Integrin beta 3 antibody (ET1606-49) at 1/400 dilution. The section was pre-treated using heat mediated antigen retrieval with Tris-EDTA buffer (pH 9.0) for 20 minutes. The tissues were blocked in 1% BSA for 20 minutes at room temperature, washed with ddH2O and PBS, and then probed with the primary antibody (ET1606-49) at 1/400 dilution for 1 hour at room temperature. The detection was performed using an HRP conjugated compact polymer system. DAB was used as the chromogen. Tissues were counterstained with hematoxylin and mounted with DPX.
quantity: 100μl
price: 385.00 USD
to the supplier
domestic rabbit monoclonal (JE22-64)
reactivity: human, mouse
application: western blot, immunohistochemistry - paraffin section
reactivity: human, mouse
application: western blot, immunohistochemistry - paraffin section

Western blot analysis of Integrin beta 3 on HUVEC cell lysates with Rabbit anti-Integrin beta 3 antibody (ET7110-61) at 1/500 dilution. Lysates/proteins at 10 µg/Lane. Predicted band size: 87 kDa Observed band size:120 kDa Exposure time: 2 minutes; Proteins were transferred to a PVDF membrane and blocked with 5% NFDM/TBST for 1 hour at room temperature. The primary antibody (ET7110-61) at 1/500 dilution was used in 5% NFDM/TBST at room temperature for 2 hours. Goat Anti-Rabbit IgG - HRP Secondary Antibody (HA1001) at 1:5,000 dilution was used for 1 hour at room temperature.

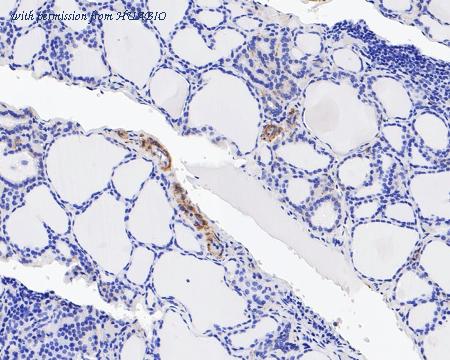
Immunohistochemical analysis of paraffin-embedded human thyroid tissue with Rabbit anti-Integrin beta 3 antibody (ET7110-61) at 1/100 dilution. The section was pre-treated using heat mediated antigen retrieval with Tris-EDTA buffer (pH 8.0-8.4) for 20 minutes. The tissues were blocked in 1% BSA for 20 minutes at room temperature, washed with ddH2O and PBS, and then probed with the primary antibody (ET7110-61) at 1/100 dilution for 1 hour at room temperature. The detection was performed using an HRP conjugated compact polymer system. DAB was used as the chromogen. Tissues were counterstained with hematoxylin and mounted with DPX.

Immunohistochemical analysis of paraffin-embedded human colon carcinoma tissue with Rabbit anti-Integrin beta 3 antibody (ET7110-61) at 1/100 dilution. The section was pre-treated using heat mediated antigen retrieval with Tris-EDTA buffer (pH 8.0-8.4) for 20 minutes. The tissues were blocked in 1% BSA for 20 minutes at room temperature, washed with ddH2O and PBS, and then probed with the primary antibody (ET7110-61) at 1/100 dilution for 1 hour at room temperature. The detection was performed using an HRP conjugated compact polymer system. DAB was used as the chromogen. Tissues were counterstained with hematoxylin and mounted with DPX.
quantity: 100μl
price: 385.00 USD
to the supplier
domestic rabbit monoclonal (PSH09-27)
reactivity: human, mouse, rat
application: western blot, immunohistochemistry - paraffin section
reactivity: human, mouse, rat
application: western blot, immunohistochemistry - paraffin section

Western blot analysis of Integrin beta 3 on different lysates with Rabbit anti-Integrin beta 3 antibody (HA723085) at 1/5,000 dilution. Lane 1: U-87 MG cell lysate (20 µg/Lane) Lane 2: LNCaP cell lysate (low expression) (20 µg/Lane) Lane 3: HUVEC cell lysate (20 µg/Lane) Lane 4: C2C12 cell lysate (20 µg/Lane) Lane 5: Mouse spleen tissue lysate (40 µg/Lane) Lane 6: Rat spleen tissue lysate (40 µg/Lane) Predicted band size: 87 kDa Observed band size: 100 kDa Exposure time: 20 seconds; ECL: K1801; 4-20% SDS-PAGE gel. Proteins were transferred to a PVDF membrane and blocked with 5% NFDM/TBST for 1 hour at room temperature. The primary antibody (HA723085) at 1/5,000 dilution was used in 5% NFDM/TBST at 4℃ overnight. Goat Anti-Rabbit IgG - HRP Secondary Antibody (HA1001) at 1/50,000 dilution was used for 1 hour at room temperature.

Application: IF-Tissue Species: Human Site: spleen Sample: Paraffin-embedded section Antibody concentration: 1/1,000

Immunohistochemical analysis of paraffin-embedded human kidney tissue with Rabbit anti-Integrin beta 3 antibody (HA723085) at 1/2,000 dilution. The section was pre-treated using heat mediated antigen retrieval with Tris-EDTA buffer (pH 9.0) for 20 minutes. The tissues were blocked in 1% BSA for 20 minutes at room temperature, washed with ddH2O and PBS, and then probed with the primary antibody (HA723085) at 1/2,000 dilution for 1 hour at room temperature. The detection was performed using an HRP conjugated compact polymer system. DAB was used as the chromogen. Tissues were counterstained with hematoxylin and mounted with DPX.
quantity: 100μl
price: 385.00 USD
to the supplier
domestic rabbit monoclonal (SJ19-09)
reactivity: human, mouse, rat
application: western blot, immunohistochemistry - paraffin section
reactivity: human, mouse, rat
application: western blot, immunohistochemistry - paraffin section
